Biogenic Selenium Nanoparticles Synthesized with Alginate Oligosaccharides Alleviate Heat Stress-Induced Oxidative Damage to Organs in Broilers through Activating Nrf2-Mediated Anti-Oxidation and Anti-Ferroptosis Pathways
Abstract
1. Introduction
2. Materials and Methods
2.1. Synthesis of SeNPs-AOS
2.2. Experimental Design, Birds, and Diet
2.3. Sample Collection
2.4. Organs Index and Histological Analysis
2.5. Antioxidant Parameters
2.6. Quantitative Real-Time PCR Analysis
2.7. Statistical Analysis
3. Results
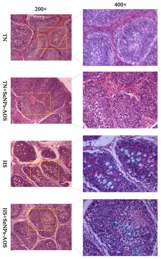
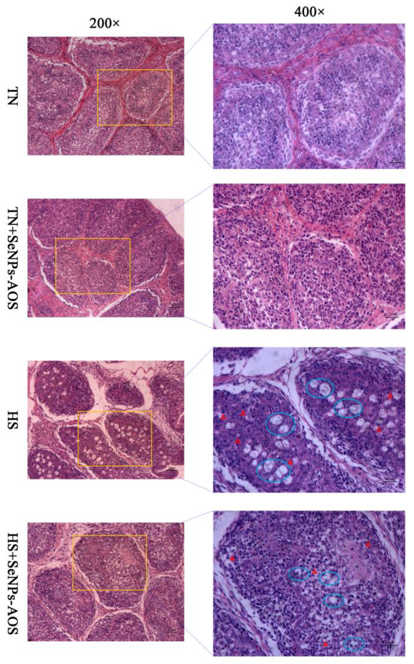
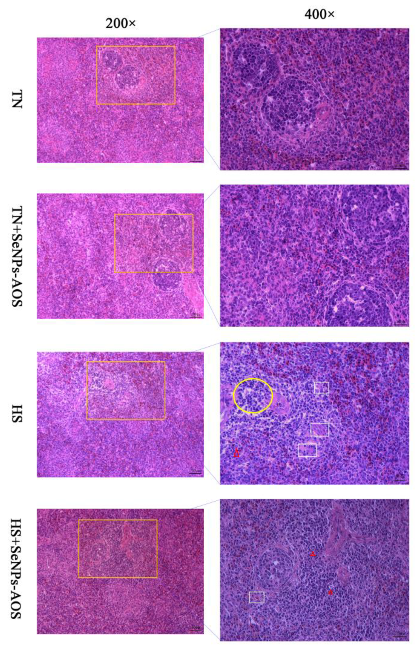
3.1. Spleen Index and Histological Analysis
3.2. Antioxidant Capacity and Relative mRNA Expression of Selenoprotein and Antioxidant-Related Genes in Spleen
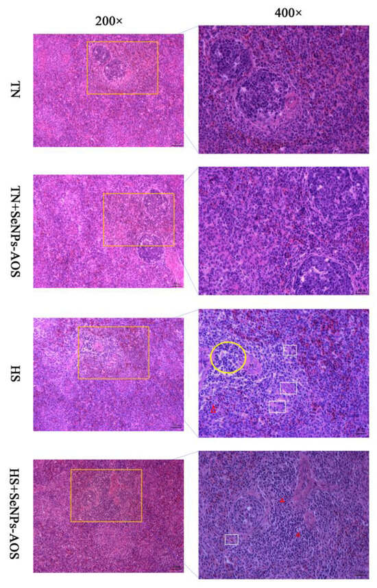
3.3. Bursa of Fabricius Index and Histological Analysis
3.4. Antioxidant Capacity and Relative mRNA Expression of Selenoprotein and Antioxidant-Related Genes in Bursa of Fabricius
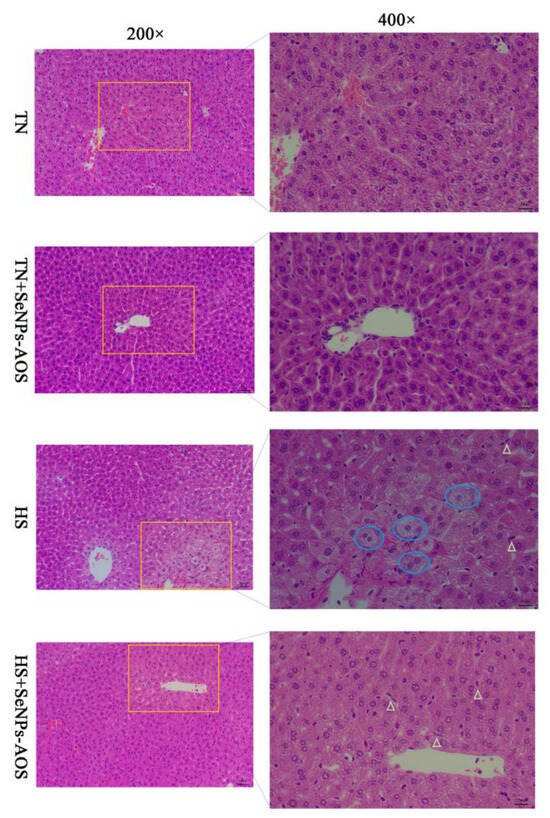
3.5. Liver Index and Histological Analysis
3.6. Antioxidant Capacity and Relative mRNA Expression of Selenoprotein and Antioxidant-Related Genes in Liver
3.7. Relative mRNA Expression of Ferroptosis-Related Genes
4. Discussion
4.1. Effects of Dietary SeNPs-AOS Supplementation on the Spleen of Heat-Stressed Broilers
4.2. Effects of Dietary SeNPs-AOS Supplementation on the Bursa of Heat-Stressed Broilers
4.3. Effects of Dietary SeNPs-AOS Supplementation on the Liver of Heat-Stressed Broilers
5. Conclusions
Author Contributions
Funding
Institutional Review Board Statement
Informed Consent Statement
Data Availability Statement
Acknowledgments
Conflicts of Interest
References
- Chen, X.L.; Zeng, Y.B.; Liu, L.X. Effects of dietary chromium propionate on laying performance, egg quality, serum biochemical parameters and antioxidant status of laying ducks under heat stress. Animal 2021, 15, 100081. [Google Scholar] [CrossRef] [PubMed]
- Liu, Y.; Liu, Z.; Xing, T.; Li, J.; Zhang, L.; Zhao, L.; Gao, F. Effect of chronic heat stress on the carbonylation of glycolytic enzymes in breast muscle and its correlation with the growth performance of broilers. Poult. Sci. 2023, 102, 103103. [Google Scholar] [CrossRef] [PubMed]
- Zhao, Y.; Wang, H.; Wang, H.; Liu, H.; Zhang, Y.; Zhang, J.; Pi, Y.; Yang, P.; Wang, Q. Sulfide causes histological damage, oxidative stress, metabolic disorders and gut microbiota dysbiosis in juvenile sea cucumber Apostichopus japonicus Selenka. Aquat. Toxicol. 2023, 258, 106439. [Google Scholar] [CrossRef] [PubMed]
- Liu, H.-S.; Zhou, M.-Y.; Zhang, X.; Li, Y.-L.; Kong, J.-W.; Gao, X.; Ge, D.-Y.; Liu, J.-J.; Ma, P.-G.; Peng, G.-Y.; et al. Sagittaria sagittifolia polysaccharide protects against six-heavy-metal-induced hepatic injury associated with the activation of Nrf2 pathway to regulate oxidative stress and apoptosis. J. Inorg. Biochem. 2022, 232, 111810. [Google Scholar] [CrossRef] [PubMed]
- Qin, Q.; Li, Z.; Zhang, M. Effects of melittin on production performance, antioxidant function, immune function, heat shock protein, intestinal morphology, and cecal microbiota in heat-stressed quails. Poult. Sci. 2023, 102, 102713. [Google Scholar] [CrossRef] [PubMed]
- Majdeddin, M.; Braun, U.; Lemme, A. Effects of feeding guanidinoacetic acid on oxidative status and creatine metabolism in broilers subjected to chronic cyclic heat stress in the finisher phase. Poult. Sci. 2023, 102, 102653. [Google Scholar] [CrossRef]
- Guo, Y.; Balasubramanian, B.; Zhao, Z.H. Marine algal polysaccharides alleviate aflatoxin B1-induced bursa of Fabricius injury by regulating redox and apoptotic signaling pathway in broilers. Poult. Sci. 2021, 100, 844–857. [Google Scholar] [CrossRef] [PubMed]
- Gao, X.; Yuaner, Z.; Shuqiang, L.; Shuling, W. Acute stress show great influences on liver function and the expression of hepatic genes associated with lipid metabolism in rats. Lipids Health Dis. 2013, 12, 118. [Google Scholar] [CrossRef] [PubMed]
- Belhadj Slimen, I.; Najar, T.; Ghram, A.; Abdrrabba, M. Heat stress effects on livestock: Molecular, cellular and metabolic aspects, a review. J. Anim. Physiol. Anim. Nutr. 2016, 100, 401–412. [Google Scholar] [CrossRef] [PubMed]
- Emami, N.K.; Jung, U.; Voy, B.; Dridi, S. Radical Response: Effects of Heat Stress-Induced Oxidative Stress on Lipid Metabolism in the Avian Liver. Antioxidants 2020, 10, 35. [Google Scholar] [CrossRef] [PubMed]
- Ohtsu, H.; Yamazaki, M.; Abe, H.; Murakami, H.; Toyomizu, M. Heat Stress Modulates Cytokine Gene Expression in the Spleen of Broiler Chickens. J. Poult. Sci. 2015, 52, 282–287. [Google Scholar] [CrossRef]
- Liu, Y.; Wan, Y.; Jiang, Y.; Zhang, L.; Cheng, W. GPX4: The hub of lipid oxidation, ferroptosis, disease and treatment. Biochim. Biophys. Acta Rev. Cancer 2023, 1878, 188890. [Google Scholar] [CrossRef]
- Li, D.; Pi, W.; Sun, Z.; Liu, X.; Jiang, J. Ferroptosis and its role in cardiomyopathy. Biomed. Pharmacother. 2022, 153, 113279. [Google Scholar] [CrossRef]
- Ookhtens, M.; Kaplowitz, N. Role of the Liver in Interorgan Homeostasis of Glutathione and Cyst(e)ine. Semin. Liver Dis. 1998, 18, 313–329. [Google Scholar] [CrossRef] [PubMed]
- Al-Quwaie, D.A. The influence of bacterial selenium nanoparticles biosynthesized by Bacillus subtilus DA20 on blood constituents, growth performance, carcass traits, and gut microbiota of broiler chickens. Poult. Sci. 2023, 102, 102848. [Google Scholar] [CrossRef] [PubMed]
- Bao, B.W.; Kang, Z.; Zhang, Y.; Li, K.; Xu, R.; Guo, M.Y. Selenium Deficiency Leads to Reduced Skeletal Muscle Cell Differentiation by Oxidative Stress in Mice. Biol. Trace Elem. Res. 2023, 201, 1878–1887. [Google Scholar] [CrossRef]
- Dalgaard, T.S.; Briens, M.; Engberg, R.M.; Lauridsen, C. The influence of selenium and selenoproteins on immune responses of poultry and pigs. Anim. Feed. Sci. Technol. 2018, 238, 73–83. [Google Scholar] [CrossRef]
- Zhao, L.; Feng, Y.; Deng, J.; Zhang, N.-Y.; Zhang, W.-P.; Liu, X.-L.; Rajput, S.A.; Qi, D.-S.; Sun, L.-H. Selenium Deficiency Aggravates Aflatoxin B1–Induced Immunotoxicity in Chick Spleen by Regulating 6 Selenoprotein Genes and Redox/Inflammation/Apoptotic Signaling. J. Nutr. 2019, 149, 894–901. [Google Scholar] [CrossRef]
- Rayman, M.P. Selenium and human health. Lancet 2012, 379, 1256–1268. [Google Scholar] [CrossRef] [PubMed]
- Devi, M.S.; Srinivasan, S.; Muthuvel, A. Selenium nanomaterial is a promising nanotechnology for biomedical and environmental remediation: A detailed review. Biocatal. Agric. Biotechnol. 2023, 51, 102766. [Google Scholar] [CrossRef]
- Kumar, A.; Prasad, K.S. Role of nano-selenium in health and environment. J. Biotechnol. 2021, 325, 152–163. [Google Scholar] [CrossRef]
- Song, D.; Cheng, Y.; Li, X.; Wang, F.; Lu, Z.; Xiao, X.; Wang, Y. Biogenic nano-selenium particles effectively attenuate oxidative stress-induced intestinal epithelial barrier injury by activating the Nrf2 antioxidant pathway. J. Anim. Sci. Biotechnol. 2017, 95, 20–21. [Google Scholar] [CrossRef][Green Version]
- AbdEl-Kader, M.F.; El-Kassas, S.; Abd-Elghany, M.F.; Abo-Al-Ela, H.G.; El-Naggar, K.; Al Wakeel, R.A.; Zaki, A.G.; Grana, Y.S.; El-Saftawy, H.A.M. Dietary selenium nanoparticles positively modulate the growth and immunity of seabream (Sparus aurata) fingerlings exposed to low salinity stress and Vibrio parahaemolyticus challenge. Aquaculture 2023, 576, 739893. [Google Scholar] [CrossRef]
- Xiao, X.; Song, D.; Cheng, Y.; Hu, Y.; Wang, F.; Lu, Z.; Wang, Y. Biogenic nanoselenium particles activate Nrf2-ARE pathway by phosphorylating p38, ERK1-2, and AKT on IPEC-J2 cells. Cell Physiol. 2018, 234, 11227–11234. [Google Scholar] [CrossRef] [PubMed]
- Wang, Y.; Ren, K.; Tan, J. Alginate oligosaccharide alleviates aging-related intestinal mucosal barrier dysfunction by blocking FGF1-mediated TLR4/NF-kappaB p65 pathway. Phytomedicine 2023, 116, 154806. [Google Scholar] [CrossRef]
- Lu, S.; Na, K.; Wei, J. Alginate oligosaccharides: The structure-function relationships and the directional preparation for application. Carbohydr. Polym. 2022, 284, 119225. [Google Scholar] [CrossRef]
- Qiu, S.J. Effects of Nanoselenium-Fucoidan Oligosaccharides on Growth Performance and Intestinal Mechanical Barrier in heat-Stressed Broilers. Master’s Thesis, Guangdong Ocean University, Zhanjiang, China, 2023. [Google Scholar]
- Liu, H.W.; Dong, X.F.; Tong, J.M.; Zhang, Q. Alfalfa polysaccharides improve the growth performance and antioxidant status of heat-stressed rabbits. Livest. Sci. 2010, 131, 88–93. [Google Scholar] [CrossRef]
- Won, S.Y.; Han, G.P.; Kwon, C.H.; Lee, E.C.; Kil, D.Y. Effect of individual or combination of dietary betaine and glycine on productive performance, stress response, liver health, and intestinal barrier function in broiler chickens raised under heat stress conditions. Poult. Sci. 2023, 102, 102771. [Google Scholar] [CrossRef]
- Liu, W.C.; Zhuang, D.P.; Zhao, Y.; Balamuralikrishnan, B.; Zhao, Z.H. Seaweed-Derived Polysaccharides Attenuate Heat Stress-Induced Splenic Oxidative Stress and Inflammatory Response via Regulating Nrf2 and NF-κB Signaling Pathways. Mar. Drugs 2022, 20, 358. [Google Scholar] [CrossRef]
- Bożena, K.; Stanisław, G.; Jarosław, K. Investigation of the immune effects of Scutellaria baicalensis on blood leukocytes and selected organs of the chicken’s lymphatic system. J. Anim. Sci. Biotechnol. 2017, 8, 22. [Google Scholar]
- Ahmed, B.M.S.; Younas, U.; Asar, T.O.; Monteiro, A.P.A.; Hayen, M.J.; Tao, S.; Dahl, G.E. Maternal heat stress reduces body and organ growth in calves: Relationship to immune status. JDS Commun. 2021, 2, 295–299. [Google Scholar] [CrossRef] [PubMed]
- Tang, L.-P.; Liu, Y.-L.; Ding, K.-N.; Hou, X.-J.; Qin, J.-J.; Zhang, Y.-A.; Liu, H.-X.; Shen, X.-L.; He, Y.-M. Chai Hu oral liquid enhances the immune functions of both spleen and bursa of Fabricius in heat-stressed broilers through strengthening TLR4-TBK1 signaling pathway. Poult. Sci. 2021, 100, 101302. [Google Scholar] [CrossRef] [PubMed]
- Zhang, C.; Kaikai, C.; Xiaohui, Z. Protective effects of resveratrol against high ambient temperature-induced spleen dysplasia in broilers through modulating splenic redox status and apoptosis. J. Sci. Food Agric. 2018, 98, 5409–5417. [Google Scholar] [CrossRef]
- Jha, N.; Esakkiraj, P.; Annamalai, A.; Lakra, A.K.; Naik, S.; Arul, V. Synthesis, optimization, and physicochemical characterization of selenium nanoparticles from polysaccharide of mangrove Rhizophora mucronata with potential bioactivities. J. Trace Elem. Miner. 2022, 2, 100019. [Google Scholar] [CrossRef]
- Shi, X.D.; Tian, Y.Q.; Wu, J.L.; Wang, S.Y. Synthesis, characterization, and biological activity of selenium nanoparticles conjugated with polysaccharides. Crit. Rev. Food Sci. Nutr. 2020, 61, 2225–2236. [Google Scholar] [CrossRef] [PubMed]
- Alian, H.A.; Samy, H.M.; Ibrahim, M.T.; Mahmoud, M.M.A. Nanoselenium effect on growth performance, carcass traits, antioxidant activity, and immune status of broilers. Environ. Sci. Pollut. Res. Int. 2020, 27, 38607–38616. [Google Scholar] [CrossRef]
- Aderao, G.N.; Jadhav, S.E.; Pattanaik, A.K.; Gupta, S.K.; Ramakrishnan, S.; Lokesha, E.; Chaudhary, P.; Vaswani, S.; Singh, A.; Panigrahi, M.; et al. Dietary selenium levels modulates antioxidant, cytokine and immune response and selenoproteins mRNA expression in rats under heat stress condition. J. Trace Elem. Med. Biol. 2023, 75, 127105. [Google Scholar] [CrossRef]
- Wang, W.; Kang, R.; Liu, M.; Wang, Z.; Zhao, L.; Zhang, J.; Huang, S.; Ma, Q. Effects of Different Selenium Sources on the Laying Performance, Egg Quality, Antioxidant, and Immune Responses of Laying Hens under Normal and Cyclic High Temperatures. Animals 2022, 12, 1006. [Google Scholar] [CrossRef] [PubMed]
- Chen, S.; Liu, H.; Zhang, J.; Zhou, B.; He, X.; Wang, T.; Wang, C. Dietary rutin improves breast meat quality in heat-stressed broilers and protects mitochondria from oxidative attack via the AMPK/PINK1–Parkin pathway. J. Sci. Food Agric. 2023, 103, 2367–2377. [Google Scholar] [CrossRef]
- Lee, Y.-S.; Je, C.I.; Wan, K.J. Hepatoprotective effects of blue honeysuckle on CCl4-induced acute liver damaged mice. Food Sci. Nutr. 2019, 7, 322–338. [Google Scholar] [CrossRef]
- Wang, J.; Guo, H.; Zhang, J.; Wang, X.; Zhao, B.; Yao, J.; Wang, Y. Sulfated modification, characterization and structure–antioxidant relationships of Artemisia sphaerocephala polysaccharides. Carbohydr. Polym. 2010, 81, 897–905. [Google Scholar] [CrossRef]
- Karkhanei, B.; Ghane, E.T.; Mehri, F. Evaluation of oxidative stress level total antioxidant capacity, total oxidant status and glutathione activity in patients with COVID-19. New Microbes New Infect. 2021, 42, 100897. [Google Scholar] [CrossRef] [PubMed]
- Turanov, A.A.; Xu, X.M.; Carlson, B.A.; Yoo, M.H.; Gladyshev, V.N.; Hatfield, D.L. Biosynthesis of selenocysteine, the 21st amino acid in the genetic code, and a novel pathway for cysteine biosynthesis. Adv. Nutr. 2011, 2, 122–128. [Google Scholar] [CrossRef] [PubMed]
- Huang, Z.; Rose, A.H.; Hoffmann, P.R. The role of selenium in inflammation and immunity: From molecular mechanisms to therapeutic opportunities. Antioxid. Redox Signal. 2012, 16, 705–743. [Google Scholar] [CrossRef] [PubMed]
- Vanda, P.L.; Jun, L.; Arne, H.; Kum, K.K. From selenium to selenoproteins: Synthesis, identity, and their role in human health. Antioxid. Redox Signal. 2007, 9, 775–806. [Google Scholar]
- Guariniello, S.; Colonna, G.; Raucci, R.; Costantini, M.; Di Bernardo, G.; Bergantino, F.; Castello, G.; Costantini, S. Structure–function relationship and evolutionary history of the human selenoprotein M (SelM) found over-expressed in hepatocellular carcinoma. Biochim. Biophys. Acta (BBA)-Proteins Proteom. 2014, 1844, 447–456. [Google Scholar] [CrossRef] [PubMed]
- Ding, K.N.; Lu, M.H.; Guo, Y.N.; Liang, S.S.; Mou, R.W.; He, Y.M.; Tang, L.P. Resveratrol relieves chronic heat stress-induced liver oxidative damage in broilers by activating the Nrf2-Keap1 signaling pathway. Ecotoxicol. Environ. Saf. 2023, 249, 114411. [Google Scholar] [CrossRef]
- Zhang, H.; Zhang, S.; Wang, J.; Sun, B. Wheat bran feruloyl oligosaccharides protect against AAPH-induced oxidative injury via p38MAPK/PI3K-Nrf2/Keap1-MafK pathway. J. Funct. Foods 2017, 29, 53–59. [Google Scholar] [CrossRef]
- Bahrampour, K.; Ziaei, N.; Esmaeilipour, O.A. Feeding nano particles of vitamin C and zinc oxide: Effect on growth performance, immune response, intestinal morphology and blood constituents in heat stressed broiler chickens. Livest. Sci. 2021, 253, 104719. [Google Scholar] [CrossRef]
- Bami, M.K.; Afsharmanesh, M.; Salarmoini, M.; Ebrahimnejad, H. Effects of selenium-chitosan on growth performance, carcass traits, meat quality, and blood indices of broiler chickens. Livest. Sci. 2021, 250, 104562. [Google Scholar] [CrossRef]
- Ratcliffe, M.J.H.; Härtle, S. Avian Immunology, 3rd ed.; Kaspers, B., Schat, K.A., Göbel, T.W., Vervelde, L., Eds.; Academic Press: Cambridge, MA, USA, 2022; pp. 71–99. [Google Scholar]
- Zhang, L.; Hu, T.J.; Liu, H.L.; Shuai, X.H. Inhibitory effect of Sargassum polysaccharide on oxidative stress induced by infectious bursa disease virus in chicken bursal lymphocytes. Int. J. Biol. Macromol. 2011, 49, 607–615. [Google Scholar] [CrossRef]
- Chauhan, S.S.; Rashamol, V.P.; Bagath, M.; Sejian, V.; Dunshea, F.R. Impacts of heat stress on immune responses and oxidative stress in farm animals and nutritional strategies for amelioration. Int. J. Biometeorol. 2021, 65, 1231–1244. [Google Scholar] [CrossRef]
- Ryota, H.; Siti, N.; Kyohei, F. Heat Stress Causes Immune Abnormalities via Massive Damage to Effect Proliferation and Differentiation of Lymphocytes in Broiler Chickens. Front. Vet. Sci. 2020, 7, 46. [Google Scholar]
- Zhang, C.; Wang, L.; Zhao, X.H.; Chen, X.Y.; Yang, L.; Geng, Z.Y. Dietary resveratrol supplementation prevents transport-stress-impaired meat quality of broilers through maintaining muscle energy metabolism and antioxidant status. Poult. Sci. 2017, 96, 2219–2225. [Google Scholar] [CrossRef] [PubMed]
- Liu, W.C.; Ou, B.H.; Liang, Z.L. Algae-derived polysaccharides supplementation ameliorates heat stress-induced impairment of bursa of Fabricius via modulating NF-kappaB signaling pathway in broilers. Poult. Sci. 2021, 100, 101139. [Google Scholar] [CrossRef]
- Hosseini-Vashan, S.J.; Raei-Moghadam, M.S. Antioxidant and immune system status, plasma lipid, abdominal fat, and growth performance of broilers exposed to heat stress and fed diets supplemented with pomegranate pulp (Punica granatum L.). J. Appl. Anim. Res. 2019, 47, 521–531. [Google Scholar] [CrossRef]
- Sun, H.; Zhao, L.; Xu, Z.-J.; De Marco, M.; Briens, M.; Yan, X.-H.; Sun, L.-H. Hydroxy-Selenomethionine Improves the Selenium Status and Helps to Maintain Broiler Performances under a High Stocking Density and Heat Stress Conditions through a Better Redox and Immune Response. Antioxidants 2021, 10, 1542. [Google Scholar] [CrossRef]
- Han, J.C.; Zhang, J.L.; Zhang, N.; Yang, X.; Qu, H.X.; Guo, Y.; Shi, C.X.; Yan, Y.F. Age, phosphorus, and 25-hydroxycholecalciferol regulate mRNA expression of vitamin D receptor and sodium-phosphate cotransporter in the small intestine of broiler chickens. Poult. Sci. 2018, 97, 1199–1208. [Google Scholar] [CrossRef]
- Marta, C.; Karolina, M.; Marek, Z. Today’s oxidative stress markers. Med. Pr. 2015, 66, 393–405. [Google Scholar]
- Truong, L.; King, A.J. Lipid oxidation and antioxidant capacity in multigenerational heat stressed Japanese quail (Coturnix coturnix japonica). Poult. Sci. 2023, 102, 103005. [Google Scholar] [CrossRef]
- Li, H.; Cong, X.; Yu, W.; Jiang, Z.; Fu, K.; Cao, R.; Tian, W.; Feng, Y. Baicalin inhibits oxidative injures of mouse uterine tissue induced by acute heat stress through activating the Keap1/Nrf2 signaling pathway. Res. Vet. Sci. 2022, 152, 717–725. [Google Scholar] [CrossRef] [PubMed]
- Dalto, D.B.; Lapointe, J.; Matte, J.-J. Assessment of antioxidative and selenium status by seleno-dependent glutathione peroxidase activity in different blood fractions using a pig model: Issues for clinical nutrition and research. J. Anim. Physiol. Anim. Nutr. 2018, 102, 184–193. [Google Scholar] [CrossRef]
- Burk, R.F.; Hill, K.E. Regulation of Selenium Metabolism and Transport. Annu. Rev. Nutr. 2015, 35, 109–134. [Google Scholar] [CrossRef] [PubMed]
- Lu, C.; Qiu, F.; Zhou, H.; Peng, Y.; Hao, W.; Xu, J.; Yuan, J.; Wang, S.; Qiang, B.; Xu, C.; et al. Identification and characterization of selenoprotein K: An antioxidant in cardiomyocytes. FEBS Lett. 2006, 580, 5189–5197. [Google Scholar] [CrossRef] [PubMed]
- Chen, X.; Ishfaq, M.; Wang, J. Effects of Lactobacillus salivarius supplementation on the growth performance, liver function, meat quality, immune responses and Salmonella Pullorum infection resistance of broilers challenged with Aflatoxin B1. Poult. Sci. 2022, 101, 101651. [Google Scholar] [CrossRef] [PubMed]
- Ma, B.; Xing, T.; Li, J.; Zhang, L.; Jiang, Y.; Gao, F. Chronic heat stress causes liver damage via endoplasmic reticulum stress-induced apoptosis in broilers. Poult. Sci. 2022, 101, 102063. [Google Scholar] [CrossRef] [PubMed]
- Liu, L.L.; He, J.H.; Xie, H.B.; Yang, Y.S.; Li, J.C.; Zou, Y. Resveratrol induces antioxidant and heat shock protein mRNA expression in response to heat stress in black-boned chickens. Poult. Sci. 2014, 93, 54–62. [Google Scholar] [CrossRef]
- Wolfenson, D.; Frei, Y.F.; Snapir, N.; Berman, A. Heat stress effects on capillary blood flow and its redistribution in the laying hen. Pflug. Arch. Eur. J. Physiol. 1981, 390, 86–93. [Google Scholar] [CrossRef]
- Liu, Y.; Yin, S.; Tang, J.; Liu, Y.; Jia, G.; Liu, G.; Tian, G.; Chen, X.; Cai, J.; Kang, B.; et al. Hydroxy Selenomethionine Improves Meat Quality through Optimal Skeletal Metabolism and Functions of Selenoproteins of Pigs under Chronic Heat Stress. Antioxidants 2021, 10, 1558. [Google Scholar] [CrossRef]
- Wang, Y.; Liu, B.B.; Wu, P.X.; Chu, Y.; Gui, S.S.; Zheng, Y.Z.; Chen, X.D. Dietary Selenium Alleviated Mouse Liver Oxidative Stress and NAFLD Induced by Obesity by Regulating the KEAP1/NRF2 Pathway. Antioxidants 2022, 11, 349. [Google Scholar] [CrossRef] [PubMed]
- Lan, R.; Zhao, Z.; Li, S. Sodium butyrate as an effective feed additive to improve performance, liver function, and meat quality in broilers under hot climatic conditions. Poult. Sci. 2020, 99, 5491–5500. [Google Scholar] [CrossRef] [PubMed]
- Miao, Q.; Si, X.; Xie, Y. Effects of acute heat stress at different ambient temperature on hepatic redox status in broilers. Poult. Sci. 2020, 99, 4113–4122. [Google Scholar] [CrossRef] [PubMed]
- Cao, X.; Guo, L.; Zhou, C.; Huang, C.; Li, G.; Zhuang, Y.; Yang, F.; Liu, P.; Hu, G.; Gao, X.; et al. Effects of N-acetyl-l-cysteine on chronic heat stress-induced oxidative stress and inflammation in the ovaries of growing pullets. Poult. Sci. 2023, 102, 102274. [Google Scholar] [CrossRef]
- Sahin, K.; Orhan, C.; Tuzcu, Z.; Tuzcu, M.; Sahin, N. Curcumin ameloriates heat stress via inhibition of oxidative stress and modulation of Nrf2/HO-1 pathway in quail. Food Chem. Toxicol. 2012, 50, 4035–4041. [Google Scholar] [CrossRef]
- Xie, L.; Xu, Y.; Ding, X.; Li, K.; Liang, S.; Li, D.; Wang, Y.; Fu, A.; Yu, W.; Zhan, X. Selenomethionine Attenuated H2O2-Induced Oxidative Stress and Apoptosis by Nrf2 in Chicken Liver Cells. Antioxidants 2023, 12, 1685. [Google Scholar] [CrossRef]
- Wan, X.L.; Ju, G.Y.; Xu, L. Dietary selenomethionine increases antioxidant capacity of geese by improving glutathione and thioredoxin systems. Poult. Sci. 2019, 98, 3763–3769. [Google Scholar] [CrossRef]
- Wang, M.; Li, Y.; Molenaar, A.; Li, Q.; Cao, Y.; Shen, Y.; Chen, P.; Yan, J.; Gao, Y.; Li, J. Vitamin-E-and-selenium-supplementation-synergistically-alleviate. Theriogenology 2021, 170, 91–106. [Google Scholar] [CrossRef] [PubMed]
- Pope, L.E.; Dixon, S.J. Regulation of ferroptosis by lipid metabolism. Trends Cell Biol. 2023. [Google Scholar] [CrossRef] [PubMed]
- Wei, S.; Bi, J.; Yang, L.; Zhang, J.; Wan, Y.; Chen, X.; Wang, Y.; Wu, Z.; Lv, Y.; Wu, R. Serum irisin levels are decreased in patients with sepsis, and exogenous irisin suppresses ferroptosis in the liver of septic mice. Clin. Transl. Med. 2020, 10, e173. [Google Scholar] [CrossRef]
- Chen, G.H.; Song, C.C.; Pantopoulos, K.; Wei, X.L.; Zheng, H.; Luo, Z. Mitochondrial oxidative stress mediated Fe-induced ferroptosis via the NRF2-ARE pathway. Free Radic. Biol. Med. 2022, 180, 95–107. [Google Scholar] [CrossRef]
- Ingold, I.; Berndt, C.; Schmitt, S. Selenium Utilization by GPX4 Is Required to Prevent Hydroperoxide-Induced Ferroptosis. Cell 2018, 172, 409–422. [Google Scholar] [CrossRef]
- Jiang, Y.Q.; Yang, X.Y.; Duan, D.Q.; Zhang, Y.Y.; Li, N.S.; Tang, L.J.; Peng, J.; Luo, X.J. Inhibition of MALT1 reduces ferroptosis in rat hearts following ischemia/reperfusion via enhancing the Nrf2/SLC7A11 pathway. Eur. J. Pharmacol. 2023, 950, 175774. [Google Scholar] [CrossRef] [PubMed]
- Schimanski, L.M.; Drakesmith, H.; Merryweather-Clarke, A.T.; Viprakasit, V.; Edwards, J.P.; Sweetland, E.; Bastin, J.M.; Cowley, D.; Chinthammitr, Y.; Robson, K.J.; et al. In vitro functional analysis of human ferroproteins (FPN) and hemochromatosis-associated FPN mutations. Blood 2005, 105, 4096–4102. [Google Scholar] [CrossRef] [PubMed]
- Zhao, L.; Feng, Y.; Xu, Z.J. Selenium mitigated aflatoxin B1-induced cardiotoxicity with potential regulation of 4 selenoproteins and ferroptosis signaling in chicks. Food Chem. Toxicol. 2021, 154, 112320. [Google Scholar] [CrossRef] [PubMed]
- Jung, Y.J.; Choi, H.; Oh, E. Selenium mitigates ferroptosis-mediated dopaminergic cell death by regulating the Nrf2/GPX4 pathway. Neurosci. Lett. 2023, 810, 137314. [Google Scholar] [CrossRef] [PubMed]
- Wu, H.; Luan, Y.; Wang, H. Selenium inhibits ferroptosis and ameliorates autistic-like behaviors of BTBR mice by regulating the Nrf2/GPx4 pathway. Brain Res. Bull. 2022, 183, 38–48. [Google Scholar] [CrossRef] [PubMed]








| Item | Contents (%) |
|---|---|
| Ingredients | |
| Corn | 55.00 |
| Soybean meal | 34.82 |
| Wheat bran | 2.00 |
| Soybean oil | 5.00 |
| Limestone | 0.50 |
| CaHPO4 | 1.60 |
| NaCl | 0.30 |
| DL-Methionine | 0.18 |
| L-Lysine (50%) | 0.10 |
| Vitamin Premix 1 | 0.20 |
| Mineral premix 2 | 0.30 |
| total | 100 |
| Nutrient levels | |
| ME (MJ/kg) | 12.82 |
| Crude protein (%) | 19.92 |
| Ca (%) | 0.93 |
| P (%) | 0.44 |
| Lys (%) | 1.30 |
| Met (%) | 0.45 |
| Total Met + Cystine (%) | 0.72 |
| Se (%) 3 | Measured value |
| Target Genes | Primer | Primer Sequence (5′→3′) | Accession No. |
|---|---|---|---|
| SELENOM | Forward | GGCTTCTACCGCAAGGAGACTC | NM_001277859.2 |
| Reverse | GGTGGTCCTTCTTGTCCTGTTCA | ||
| SELENOW | Forward | CAGGAGGTGACGGGATGGTT | NM_001166327.2 |
| Reverse | TACGGGAGGGCAGCTTGGAT | ||
| SELENOS | Forward | CGTCGCCATCTATCTCATCGT | NM_001024734.3 |
| Reverse | GCTTCTTGTCTTCTTACCACCAT | ||
| SELENOT | Forward | GGCACATAGCATCCTTCCTG | NM_001006557.4 |
| Reverse | CCGTTGACATACACTGGTTCT | ||
| SELENOP1 | Forward | CCAAGTGGTCATTCACATC | NM_001031609.2 |
| Reverse | ATGACGACCACCCTCACGAT | ||
| SEPP1 | Forward | GCAGACAGCATCAGACTCTACAAC | NM_001031609.3 |
| Reverse | TCAGGCAGCAGTGAGCAGAC | ||
| MafF | Forward | CGACGACGGACGCTGAAGAA | NM_204757.2 |
| Reverse | GTACTTGCCACGGAGAGTGTCAA | ||
| MafK | Forward | GCAGCAAGAGGTGGAGAAGC | NM_204756.2 |
| Reverse | ACGGCACGGAACTGGATGA | ||
| MafG | Forward | ACGCTGAAGAACCGAGGCTAC | NM_001079489.1 |
| Reverse | GTTCTGGCGAAGTTCTGGAGTG | ||
| CAT | Forward | CTATCCTTCCTGGTCTTTCTACAT | NM_001031215.2 |
| Reverse | TCATACGCCATCTGTTCTACCT | ||
| SOD1 | Forward | AGGGAGGAGTGGCAGAAGT | NM_205064.1 |
| Reverse | GCTAAACGAGGTCCAGCAT | ||
| NQO1 | Forward | ACCATCTCTGACCTCTACGCCATA | NM_001277619.1 |
| Reverse | GCCGCTTCAATCTTCTTCTGCTC | ||
| SOD2 | Forward | TCCTGACCTGCCTTACGACTATGG | NM_204211.1 |
| Reverse | GCGACACCTGAGCTGTAACATCAC | ||
| GPX1 | Forward | CAAAGTGCTGCTGGTGGTCAAC | NM_001277853.2 |
| Reverse | TTGGTGGCGTTCTCCTGGTG | ||
| GPX3 | Forward | TGGCAGAGGAGTTCGGCAAC | NM_001163232.2 |
| Reverse | CGTTCTTGACAGTGGCGATGTT | ||
| GSTT1 | Forward | CATGCTAACATCCGGGCTAA | NM_205365.1 |
| Reverse | AAATTGCTTCAGGGAAGTGG | ||
| GSTA3 | Forward | GCGGCTGCTGGAGTTGAGTT | NM_001001777.1 |
| Reverse | GTAGTTGAGGATGGCTCTGGTCTG | ||
| GSTO1 | Forward | GGGCTGGTTCCTGTTCTG | NM_001277375.1 |
| Reverse | TCTTCTGTAAGGCTCGCTCAT | ||
| Nrf2 | Forward | TGTGTGTGATTCAACCCGACT | NM_205117.1 |
| Reverse | TTAATGGAAGCCGCACCACT | ||
| Keap1 | Forward | ACTTCGCTGAGGTCTCCAAG | NM_012289.4 |
| Reverse | CAGTCGTACTGCACCCAGTT | ||
| HO-1 | Forward | GCCTACACCCGCTATTTGG | NM_205344.1 |
| Reverse | TCTCAAGGGCATTCATTCG | ||
| TERT | Forward | TTCCTCGCTCCTCCCTCAGT | NM_001031007.2 |
| Reverse | CGGCATTTGTTATGGCTTGAACC | ||
| FTH1 | Forward | GAATGTGAACCAGTCGCTGTTAGA | NM_205086.2 |
| Reverse | AGGTACTCTGCCATGCCATACTT | ||
| Fpn1 | Forward | CCACAGCGATCACAATTCAGAGG | NM_001012913.2 |
| Reverse | CGACATCAGGTTCCAGCCAGAA | ||
| PTGS2 | Forward | TGGTGAGACTCTGGAGAGGCAACT | NM_001167718.2 |
| Reverse | GCCAAACACCTCCTGCCCAACA | ||
| GPX4 | Forward | ACCCGCTGTGGAAGTGGATGAAG | NM_001039848.4 |
| Reverse | TCACCACGCAGCCGTTCTTGT | ||
| β-actin | Forward | GTGATGGACTCTGGTGATGGTGTT | NM_205518.1 |
| Reverse | TCTCGGCTGTGGTGGTGAAG |
| Parameters | TN | HS | p-Values | |||||
|---|---|---|---|---|---|---|---|---|
| CON | SeNPs-AOS | CON | SeNPs-AOS | SEM | Temp. | SeNPs-AOS | Temp. × SeNPs-AOS | |
| CAT, U/mg prot | 7.64 b | 20.53 a | 7.21 b | 18.93 a | 0.85 | 0.249 | <0.001 | 0.500 |
| GSH-Px, U/mg prot | 122.29 bc | 147.78 a | 108.26 c | 136.73 ab | 6.28 | 0.060 | 0.001 | 0.815 |
| GST, U/mg prot | 246.15 ab | 296.24 a | 218.66 b | 223.28 b | 19.99 | 0.021 | 0.186 | 0.269 |
| T-SOD, U/mg prot | 683.90 ac | 739.77 a | 602.47 c | 610.83 c | 28.67 | 0.002 | 0.276 | 0.417 |
| T-AOC, mmol/g prot | 0.92 c | 0.98 a | 0.94 b | 0.94 b | 0.005 | 0.290 | <0.001 | <0.001 |
| MDA, nmol/mg prot | 5.66 bc | 3.24 c | 9.39 a | 7.07 ab | 1.16 | 0.004 | 0.054 | 0.965 |
| Parameters | TN | HS | p-Values | |||||
|---|---|---|---|---|---|---|---|---|
| CON | SeNPs-AOS | CON | SeNPs-AOS | SEM | Temp. | SeNPs-AOS | Temp. × SeNPs-AOS | |
| CAT, U/mg prot | 21.48 b | 57.92 a | 10.50 b | 53.13 a | 5.45 | 0.163 | <0.001 | 0.504 |
| GSH-Px, U/mg prot | 18.30 b | 21.66 a | 8.73 c | 18.43 b | 1.02 | <0.001 | <0.001 | 0.005 |
| GST, U/mg prot | 173.60 b | 255.35 a | 82.82 c | 124.43 d | 12.52 | <0.001 | <0.001 | <0.001 |
| T-SOD, U/mg prot | 754.94 b | 1240.35 a | 556.54 c | 618.32 bc | 58.36 | <0.001 | <0.001 | <0.001 |
| T-AOC, mmol/g prot | 1.00 a | 1.01 a | 0.75 b | 0.97 a | 0.04 | 0.009 | 0.025 | <0.001 |
| MDA, nmol/mg prot | 13.21 b | 17.18 a | 16.04 a | 12.52 b | 0.96 | <0.001 | <0.001 | <0.001 |
| Parameters | TN | HS | p-Values | |||||
|---|---|---|---|---|---|---|---|---|
| CON | SeNPs-AOS | CON | SeNPs-AOS | SEM | Temp. | SeNPs-AOS | Temp. × SeNPs-AOS | |
| CAT, U/mg prot | 269.29 b | 361.38 a | 232.44 b | 276.01 b | 20.40 | 0.007 | 0.003 | 0.248 |
| GSH-Px, U/mg prot | 107.53 b | 127.50 a | 50.05 d | 71.59 c | 5.86 | <0.001 | 0.002 | 0.895 |
| GST, U/mg prot | 97.30 ab | 106.20 a | 90.41 b | 103.26 a | 4.17 | 0.252 | 0.017 | 0.641 |
| T-SOD, U/g prot | 26.64 a | 23.97 ab | 22.27 bc | 24.64 ab | 1.43 | 0.211 | 0.916 | 0.094 |
| T-AOC, mmol/g prot | 481.74 bc | 498.36 ab | 455.15 c | 453.98 c | 15.22 | 0.030 | 0.617 | 0.565 |
| MDA, nmol/mg prot | 12.77 a | 10.72 b | 16.67 c | 14.61 a | 0.674 | <0.001 | 0.006 | 0.996 |
Disclaimer/Publisher’s Note: The statements, opinions and data contained in all publications are solely those of the individual author(s) and contributor(s) and not of MDPI and/or the editor(s). MDPI and/or the editor(s) disclaim responsibility for any injury to people or property resulting from any ideas, methods, instructions or products referred to in the content. |
© 2023 by the authors. Licensee MDPI, Basel, Switzerland. This article is an open access article distributed under the terms and conditions of the Creative Commons Attribution (CC BY) license (https://creativecommons.org/licenses/by/4.0/).
Share and Cite
Ye, X.-Q.; Zhu, Y.-R.; Yang, Y.-Y.; Qiu, S.-J.; Liu, W.-C. Biogenic Selenium Nanoparticles Synthesized with Alginate Oligosaccharides Alleviate Heat Stress-Induced Oxidative Damage to Organs in Broilers through Activating Nrf2-Mediated Anti-Oxidation and Anti-Ferroptosis Pathways. Antioxidants 2023, 12, 1973. https://doi.org/10.3390/antiox12111973
Ye X-Q, Zhu Y-R, Yang Y-Y, Qiu S-J, Liu W-C. Biogenic Selenium Nanoparticles Synthesized with Alginate Oligosaccharides Alleviate Heat Stress-Induced Oxidative Damage to Organs in Broilers through Activating Nrf2-Mediated Anti-Oxidation and Anti-Ferroptosis Pathways. Antioxidants. 2023; 12(11):1973. https://doi.org/10.3390/antiox12111973
Chicago/Turabian StyleYe, Xue-Qing, Yan-Ru Zhu, Yu-Ying Yang, Sheng-Jian Qiu, and Wen-Chao Liu. 2023. "Biogenic Selenium Nanoparticles Synthesized with Alginate Oligosaccharides Alleviate Heat Stress-Induced Oxidative Damage to Organs in Broilers through Activating Nrf2-Mediated Anti-Oxidation and Anti-Ferroptosis Pathways" Antioxidants 12, no. 11: 1973. https://doi.org/10.3390/antiox12111973
APA StyleYe, X.-Q., Zhu, Y.-R., Yang, Y.-Y., Qiu, S.-J., & Liu, W.-C. (2023). Biogenic Selenium Nanoparticles Synthesized with Alginate Oligosaccharides Alleviate Heat Stress-Induced Oxidative Damage to Organs in Broilers through Activating Nrf2-Mediated Anti-Oxidation and Anti-Ferroptosis Pathways. Antioxidants, 12(11), 1973. https://doi.org/10.3390/antiox12111973
