Anti-Tumor Potential of Gymnema sylvestre Saponin Rich Fraction on In Vitro Breast Cancer Cell Lines and In Vivo Tumor-Bearing Mouse Models
Abstract
1. Introduction
2. Materials and Methods
2.1. Preparation of GSSRF
2.2. Animals
2.3. Cell Lines
2.4. Test Drug Preparation
2.5. Standardization of GSSR
2.6. DPPH Radical Scavenging Assay
2.7. In Vitro Cytotoxic Activity on MCF-7 and MDA-MB-468 Cell Lines
2.8. Acute Toxicity Studies
2.9. EAC-Induced Liquid Tumor Model
2.10. DLA-Induced Solid Tumor Model
2.11. Histopathology
2.12. Statistical Analysis
3. Results
3.1. Percentage Yield of GSSRF
3.2. Chemical Test and Spectroscopic Data
3.3. In Vitro Anti-Oxidant Study by DPPH Scavenging Assay
3.4. In Vitro Cytotoxic Effects on MCF-7 and MDA-MB-468 Cell Lines
3.5. Acute Toxicity Study
3.6. EAC-Induced Liquid Tumor Model
3.6.1. Body Weight Changes
3.6.2. Survival Study
3.6.3. Hematological profile
3.7. DLA-Induced Solid Tumor Model
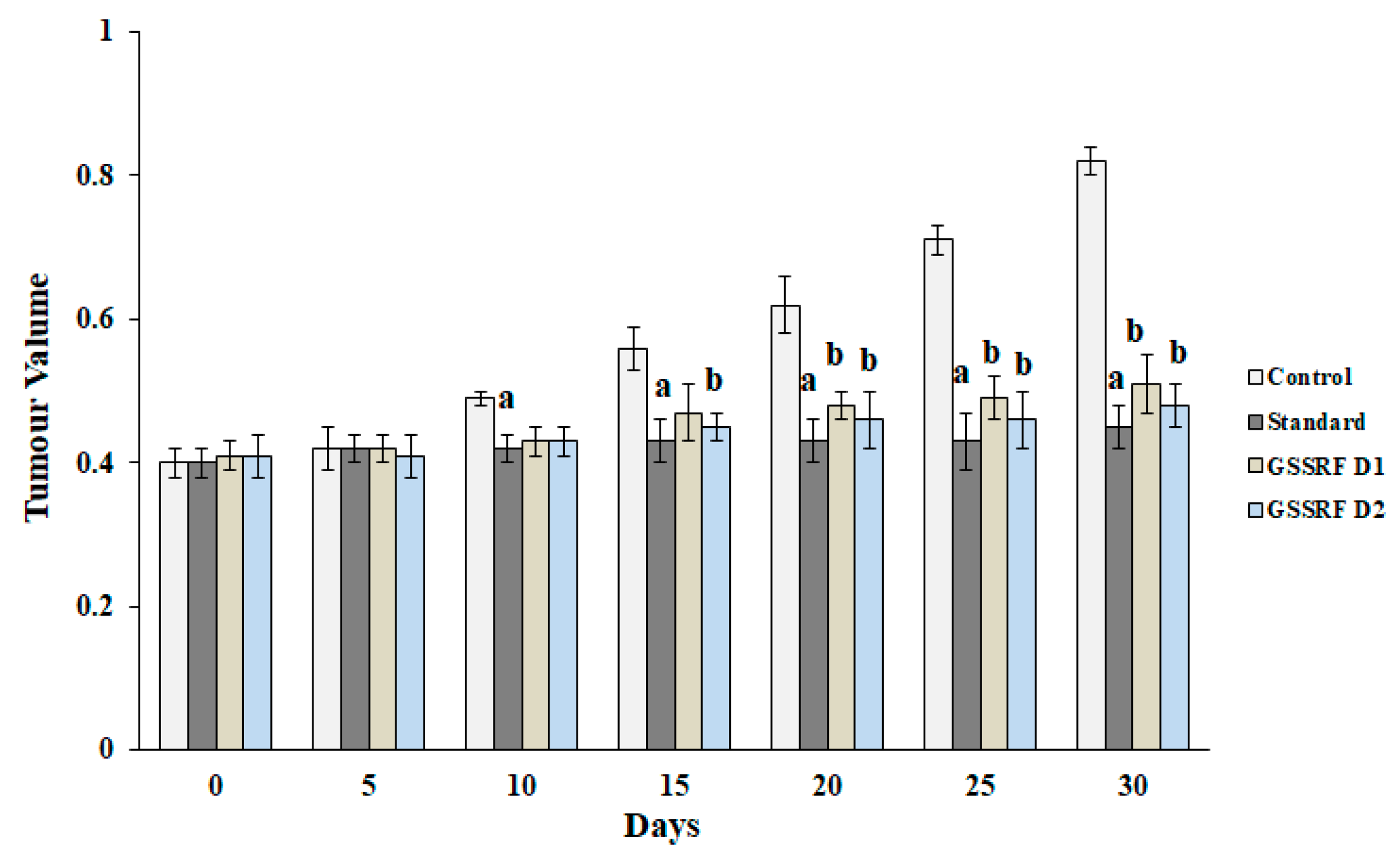
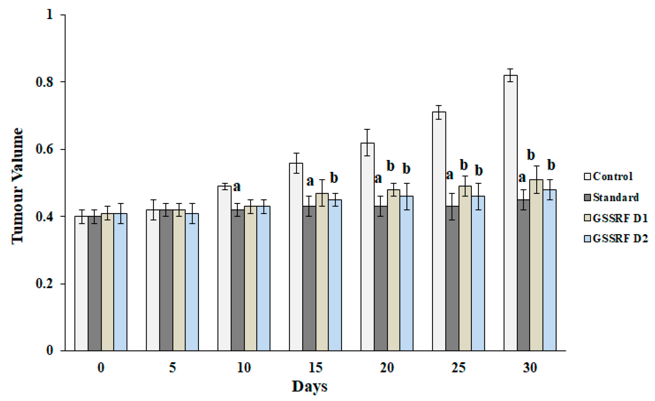
3.7.1. Tumor Volume
3.7.2. Tumor Weight
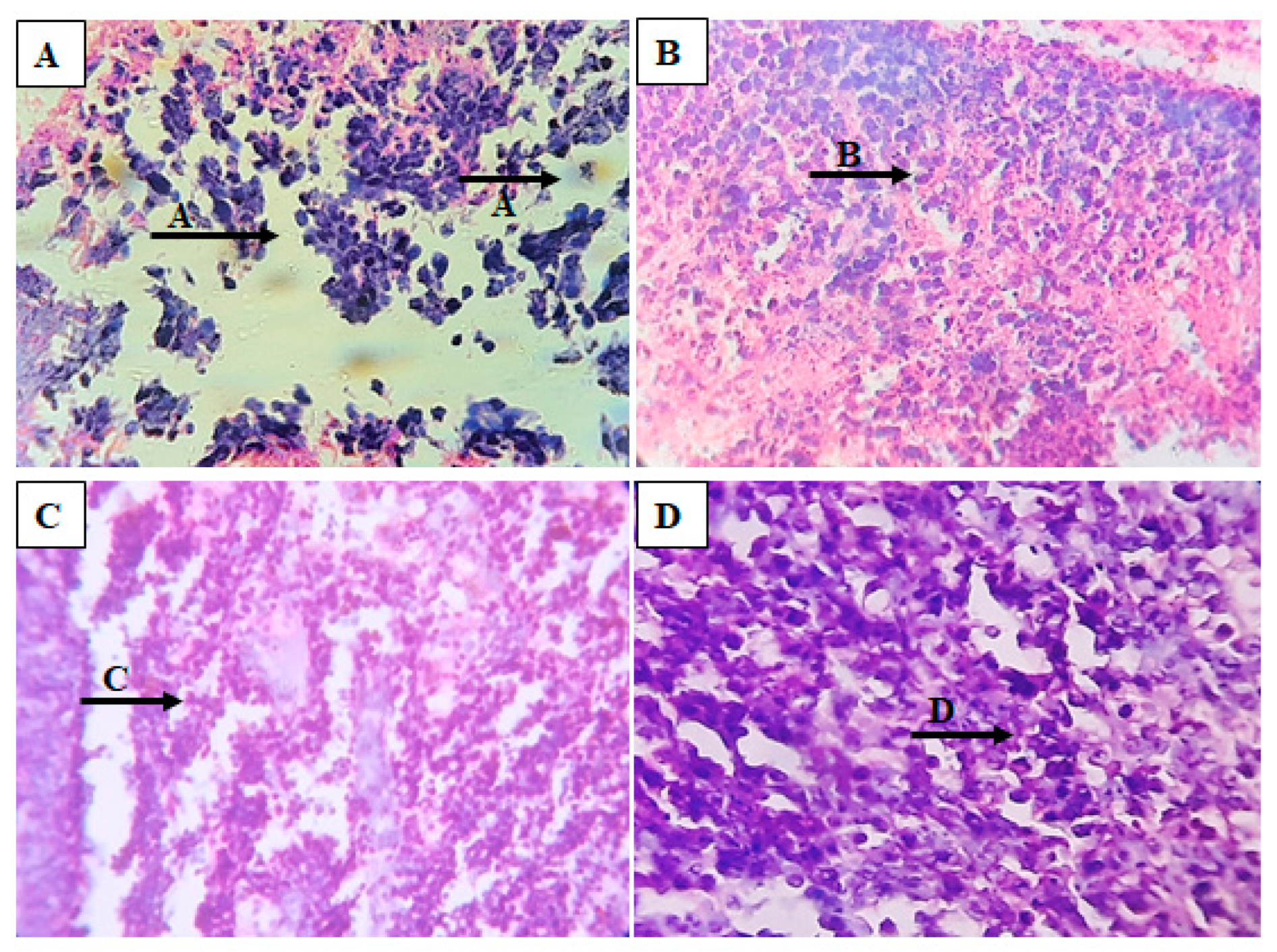
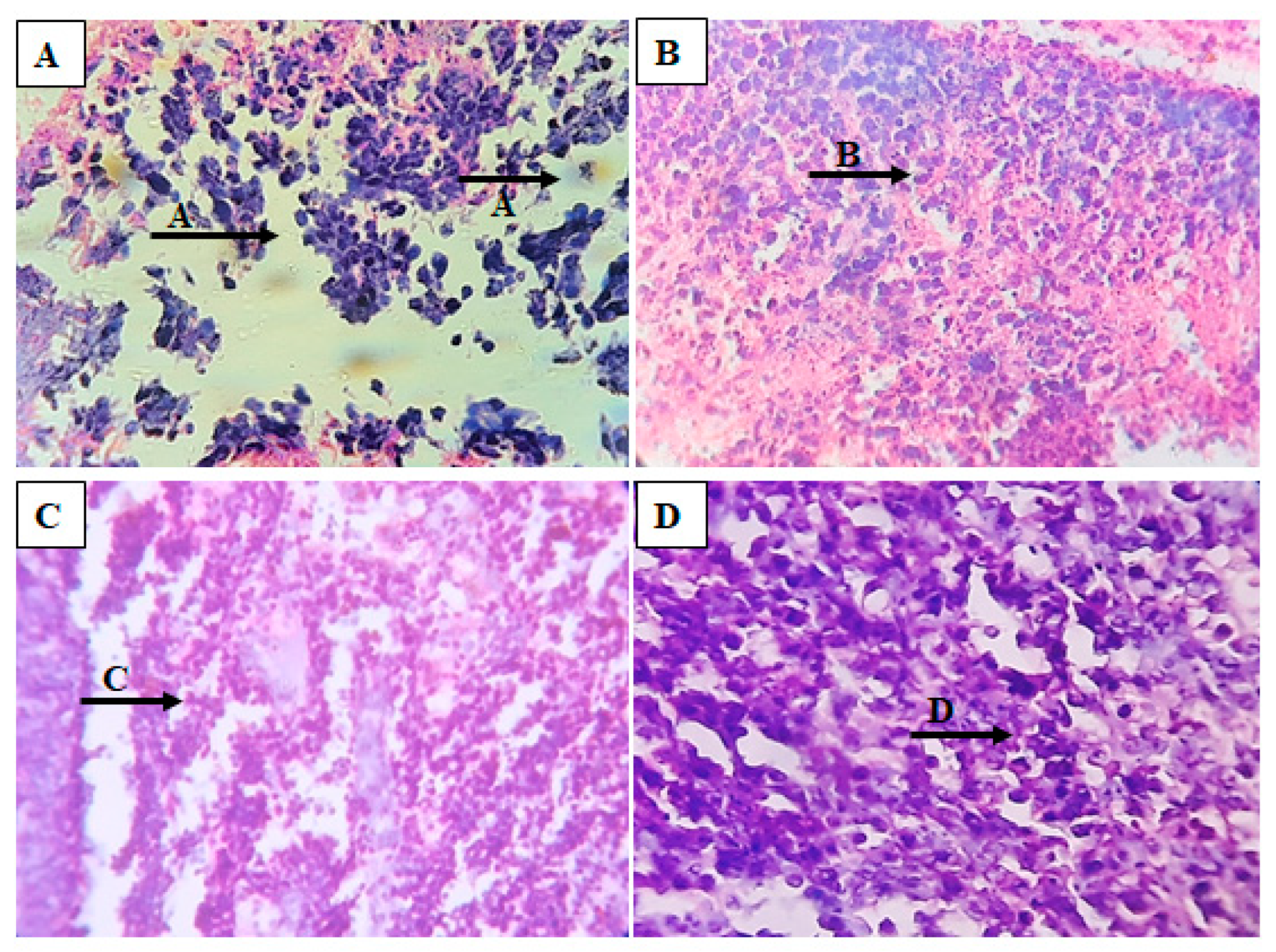
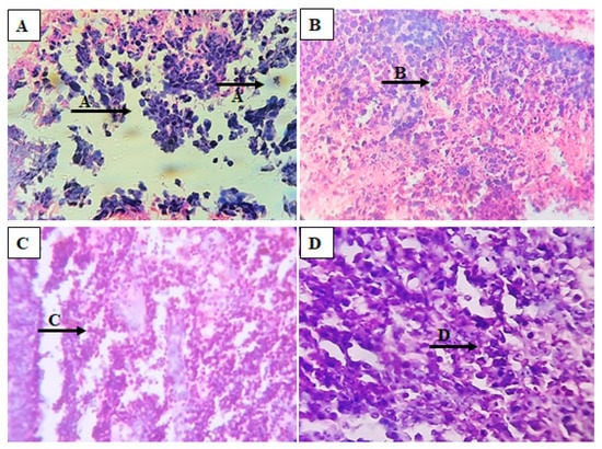
3.8. Histopathology Studies
4. Discussion
4.1. In Vitro Studies of GS
4.2. In Vivo Studies of GSSRF
5. Conclusions
Author Contributions
Funding
Institutional Review Board Statement
Informed Consent Statement
Data Availability Statement
Acknowledgments
Conflicts of Interest
References
- You, J.S.; Jones, P.A. Cancer Genetics and Epigenetics: Two Sides of the Same Coin? Cancer Cell 2012, 22, 9–20. [Google Scholar] [CrossRef] [PubMed]
- Qin, L.; Liu, N.; Yang, D.; Ma, G.; Yi, W.; Xiao, G.; Cao, H. Mesenchymal Stem Cells in Fibrotic Diseases—The Two Sides of the Same Coin. Acta Pharmacol. Sin. 2022, 1–20. [Google Scholar] [CrossRef] [PubMed]
- Berretta, M.; Franceschi, F.; Quagliariello, V.; Montopoli, M.; Cazzavillan, S.; Rossi, P.; Zanello, P.P. The Role of Integrative and Complementary Medicine in the Management of Breast Cancer Patients on Behalf of the Integrative Medicine Research Group (IMRG). Eur. Rev. Med. Pharmacol. Sci. 2022, 26, 947–956. [Google Scholar] [PubMed]
- Samarakoon, S.R.; Ediriweera, M.K.; Nwokwu, C.D.U.; Bandara, C.J.; Tennekoon, K.H.; Piyathilaka, P.; Karunaratne, D.; Karunaratne, V. A Study on Cytotoxic and Apoptotic Potential of a Triterpenoid Saponin (3-O--L-Arabinosyl Oleanolic Acid) Isolated from Schumacheria Castaneifolia Vahl in Human Non-Small-Cell Lung Cancer (NCI-H292) Cells. Biomed Res. Int. 2017, 2017, 9854083. [Google Scholar] [CrossRef] [PubMed]
- Jamadagni, P.S.; Pawar, S.D.; Jamadagni, S.B.; Gautam, M.; Gaidhani, S.N.; Prasad, G.P.; Gurav, A.M. Recent Updates in Research on Gymnema Sylvestre. Pharmacogn. Rev. 2021, 15, 128–133. [Google Scholar] [CrossRef]
- Karande, S.S.; Vikhe, D.N.; Jadhav, R.S. Gynmema Sylvestre-A Potentional Medicinal Herb. Res. J. Sci. Technol. 2022, 14, 193–196. [Google Scholar] [CrossRef]
- Khanna, V.G.; Kannabiran, K. Anticancer-Cytotoxic Activity of Saponins Isolated from the Leaves of Gymnema Sylvestre and Eclipta Prostrata on HeLa Cells. Int. J. Green Pharm. 2009, 3, 227–229. [Google Scholar]
- Arunachalam, K.D.; Arun, L.B.; Annamalai, S.K.; Arunachalam, A.M. Potential Anticancer Properties of Bioactive Compounds of Gymnema Sylvestre and Its Biofunctionalized Silver Nanoparticles. Int. J. Nanomed. 2015, 10, 31. [Google Scholar] [CrossRef]
- Packialakshm, B.; Raga Sowndriya, S. Anti-Cancer Effect of Gymnema Sylvestre Leaf Extract against MG63, Human Osteosarcoma Cell Line-An in Vitro Analysis. Int. J. Curr. Res. Rev. 2019, 11, 18–24. [Google Scholar] [CrossRef]
- Choi, H.Y.; Jhun, E.J.; Lim, B.O.; Chung, I.M.; Kyung, S.H.; Park, D.K. Application of Flow Injection—Chemiluminescence to the Study of Radical Scavenging Activity in Plants. Phyther. Res. An Int. J. Devoted to Pharmacol. Toxicol. Eval. Nat. Prod. Deriv. 2000, 14, 250–253. [Google Scholar] [CrossRef]
- Dhamija, I.; Kumar, N.; Manjula, S.N.; Parihar, V.; Setty, M.M.; Pai, K.S.R. Preliminary Evaluation of in Vitro Cytotoxicity and in Vivo Antitumor Activity of Premna Herbacea Roxb. in Ehrlich Ascites Carcinoma Model and Dalton’s Lymphoma Ascites Model. Exp. Toxicol. Pathol. 2013, 65, 235–242. [Google Scholar] [CrossRef]
- Dewangan, H.K.; Singh, N.; Kumar Megh, S.; Singh, S. Lakshmi Optimisation and Evaluation of Gymnema Sylvestre Extract Loaded Polymeric Nanoparticles for Enhancement of in Vivo Efficacy and Reduction of Toxicity. J. Microencapsul. 2022, 39, 125–135. [Google Scholar] [CrossRef] [PubMed]
- Singh, K.; Deo, B. Phytochemical Evaluation and in Vitro Antioxidant Activity of Gymnema Sylvestre R. Br. J. Med. Plants Stud. 2014, 2, 19–23. [Google Scholar]
- Marinova, G.; Batchvarov, V. Evaluation of the Methods for Determination of the Free Radical Scavenging Activity by DPPH. Bulg. J. Agric. Sci. 2011, 17, 11–24. [Google Scholar]
- Lewandowski, Ł.; Bednarz-Misa, I.; Kucharska, A.Z.; Kubiak, A.; Kasprzyk, P.; Sozański, T.; Przybylska, D.; Piórecki, N.; Krzystek-Korpacka, M. Cornelian Cherry (Cornus Mas L.) Extracts Exert Cytotoxicity in Two Selected Melanoma Cell Lines—A Factorial Analysis of Time-Dependent Alterations in Values Obtained with SRB and MTT Assays. Molecules 2022, 27, 4193. [Google Scholar] [CrossRef] [PubMed]
- Moin, A.; Wani, S.U.D.; Osmani, R.A.; Abu Lila, A.S.; Khafagy, E.-S.; Arab, H.H.; Gangadharappa, H.V.; Allam, A.N. Formulation, Characterization, and Cellular Toxicity Assessment of Tamoxifen-Loaded Silk Fibroin Nanoparticles in Breast Cancer. Drug Deliv. 2021, 28, 1626–1636. [Google Scholar] [CrossRef] [PubMed]
- Toxicity–Up, A.O. OECD Guideline for Testing of Chemicals; Organisation for Economic Co-Operation and Development: Paris, France, 2001. [Google Scholar]
- Puri, V.; Sharma, A.; Kumar, P.; Dua, K.; Huanbutta, K.; Singh, I.; Sangnim, T. Assessment of Acute Oral Toxicity of Thiolated Gum Ghatti in Rats. Polymers 2022, 14, 3836. [Google Scholar] [CrossRef] [PubMed]
- Jagetia, G.C.; Rao, S.K. Evaluation of the Antineoplastic Activity of Guduchi (Tinospora Cordifolia) in Ehrlich Ascites Carcinoma Bearing Mice. Biol. Pharm. Bull. 2006, 29, 460–466. [Google Scholar] [CrossRef]
- Kumar, R.; Kumar, N.; Ramalingayya, G.V.; Setty, M.M.; Pai, K.S.R. Evaluation of Ceiba Pentandra (L.) Gaertner Bark Extracts for in Vitro Cytotoxicity on Cancer Cells and in Vivo Antitumor Activity in Solid and Liquid Tumor Models. Cytotechnology 2016, 68, 1909–1923. [Google Scholar] [CrossRef]
- Dhanisha, S.S.; Drishya, S.; Guruvayoorappan, C. Pithecellobium Dulce Induces Apoptosis and Reduce Tumor Burden in Experimental Animals via Regulating Pro-Inflammatory Cytokines and Anti-Apoptotic Gene Expression. Food Chem. Toxicol. 2022, 161, 112816. [Google Scholar] [CrossRef]
- Pereira, E.R.; Jones, D.; Jung, K.; Padera, T.P. The Lymph Node Microenvironment and Its Role in the Progression of Metastatic Cancer. Semin. Cell Dev. Biol. 2015, 38, 98–105. [Google Scholar] [CrossRef] [PubMed]
- Podgrabinska, S.; Skobe, M. Role of Lymphatic Vasculature in Regional and Distant Metastases. Microvasc. Res. 2014, 95, 46–52. [Google Scholar] [CrossRef]
- Kaur, J.; Nafees, S.; Anwar, M.; Akhtar, J.; Anjum, N. Glycyrrhiza Glabra (Licorice) and Gymnema Sylvestre (Gurmar). In Herbs, Shrubs, and Trees of Potential Medicinal Benefits; CRC Press: Boca Raton, FL, USA, 2022; pp. 133–150. ISBN 1003205062. [Google Scholar]
- Minal, W.; Ali, F.; Agarwal, S.; Despande, J.; Mathew, S.; Khetmalas, M. Qualitative Phytochemical Analysis and Antimicrobial Activity Studies of Gymnema Sylvestre. Acta Biol. Indica 2012, 1, 121–124. [Google Scholar]
- Pon Nivedha, R.; Selvaraj, J.; Lalitha, K.G.; Rajalakshmi, M. Effects of Dihydroxy Gymnemic Triacetate (DGT) on Expression of Apoptosis Associated Proteins in Human Prostate Cancer Cell Lines (PC3). J. Recept. Signal Transduct. 2015, 35, 605–612. [Google Scholar] [CrossRef] [PubMed]
- Chakraborty, D.; Ghosh, S.; Bishayee, K.; Mukherjee, A.; Sikdar, S.; Khuda-Bukhsh, A.R. Antihyperglycemic Drug Gymnema Sylvestre Also Shows Anticancer Potentials in Human Melanoma A375 Cells via Reactive Oxygen Species Generation and Mitochondria-Dependent Caspase Pathway. Integr. Cancer Ther. 2013, 12, 433–441. [Google Scholar] [CrossRef]
- Latha, R.; Rajanathan, T.M.C.; Khusro, A.; Chidambaranathan, N.; Agastian, P.; Nagarajan, S. Anticancer Activity of Mahonia Leschenaultii Methanolic Root Extract and Berberine on Dalton’s Ascitic Lymphoma in Mice. Asian Pac. J. Trop. Med. 2019, 12, 264. [Google Scholar]
- Salem, M.L.; Shoukry, N.M.; Teleb, W.K.; Abdel-Daim, M.M.; Abdel-Rahman, M.A. In Vitro and in Vivo Antitumor Effects of the Egyptian Scorpion Androctonus Amoreuxi Venom in an Ehrlich Ascites Tumor Model. Springerplus 2016, 5, 570. [Google Scholar] [CrossRef]
- Robertson, S.; Narayanan, N.; Raj Kapoor, B. Antitumour Activity of Prosopis Cineraria (L.) Druce against Ehrlich Ascites Carcinoma-Induced Mice. Nat. Prod. Res. 2011, 25, 857–862. [Google Scholar] [CrossRef]








| Group | Treatment | Evaluation |
|---|---|---|
| Normal | Distilled water (vehicle) p.o. 15 days. |
|
| Control | Vehicle for p.o. 15 days + EAC cells. | |
| Standard | Cisplatin (3.5 mg/kg) i.p. twice a week + EAC cells. | |
| GSSRF D1 | 25 mg/kg p.o. for 15 days + EAC cells. | |
| GSSRF D2 | 50 mg/kg p.o. for 15 days + EAC cells. | |
| GSSRF D3 | 100 mg/kg p.o. for 15 days + EAC cells. |
| Group | Treatment | Evaluation |
|---|---|---|
| Normal | Distilled water (vehicle) p.o. for 30 days |
|
| Control | Vehicle p.o. for 30 days + DLA cells | |
| Standard | Cisplatin (3.5 mg/kg) i.p. twice a week for 30 days + DLA cells. | |
| GSSRF D1 | 100 mg/kg p.o. for 30 days + DLA cells | |
| GSSRF D 2 | 200 mg/kg p.o. for 30 days + DLA cells |
| Parts of Plant | % Yield w/w |
|---|---|
| Leaves of GS. | 1.4 |
| Concentration (μg/mL) | % Cytotoxicity on MCF-7 Cell Line | % Cytotoxicity on MDA-MB-468 Cell Line | ||
|---|---|---|---|---|
| 24 h | 48 h | 24 h | 48 h | |
| Vehicle control | 18.40 ± 0.27 | 23.64 ± 0.08 | 18.50 ± 0.71 | 30.86 ± 1.17 |
| DADS | 67.50 ± 0.77 | 46.36 ± 1.22 | 67.77 ± 1.23 | 45.87 ± 1.79 |
| 1.56 µg/mL | 08.35 ± 0.18 | 02.76 ± 0.16 | 06.25 ± 1.18 | −4.97 ± 0.39 |
| 3.12 µg/mL | 21.82 ± 0.13 | 11.15 ± 0.11 | 14.71 ± 1.09 | 12.05 ± 0.74 |
| 6.25 µg/mL | 32.09 ± 0.29 | 18.07 ± 0.08 | 18.05 ± 0.43 | 15.21 ± 0.61 |
| 12.50 µg/mL | 35.98 ± 0.41 | 20.43 ± 0.25 | 18.54 ± 1.07 | 16.73 ± 0.29 |
| 25.00 µg/mL | 37.26 ± 0.46 | 25.36 ± 0.39 | 21.61 ± 0.62 | 18.89 ± 1.22 |
| 50.00 µg/mL | 40.03 ± 0.09 | 27.81 ± 0.11 | 31.92 ± 0.78 | 21.51 ± 0.62 |
| 100.0 µg/mL | 66.49 ± 0.11 | 43.82 ± 0.14 | 47.81 ± 0.59 | 38.52 ± 0.94 |
| IC50 (µg/mL) | 63.77 ± 0.23 | 114.01 ± 0.13 | 103.14 ± 1.05 | 135.33 ± 2.40 |
| Groups | Body Weight Changes in gm (% Increase in Weight) | |||||
|---|---|---|---|---|---|---|
| Day 0 | Day 3 | Day 6 | Day 9 | Day 12 | Day 15 | |
| Normal | 20.97 ± 0.81 | 21.68 ± 0.99 (3.38) | 22.93 ± 1.22 (9.34) | 23.86 ± 1.11 (13.78) | 25.01 ± 1.06 (19.26) | 25.68 ± 0.82 (22.46) |
| Control | 21.03 ± 0.52 | 25.50 ± 0.43 a (21.25) | 33.56 ± 0.39 a (59.58) | 37.11 ± 0.43 a (76.46) | 39.28 ± 0.29 a (86.78) | 41.81 ± 0.44 a (98.81) |
| Standard | 21.49 ± 0.55 | 23.70 ± 0.55 b (10.28) | 24.95 ± 0.63 b (16.10) | 26.98 ± 0.63 b (25.54) | 26.00 ± 0.63 b (20.98) | 24.43 ± 0.51 b (13.68) |
| GSSRF D1 | 21.32 ± 0.46 | 23.03 ± 0.45 c (8.02) | 25.16 ± 0.42 c (18.01) | 30.28 ± 0.43 c (42.02) | 32.75 ± 0.66 c (53.61) | 32.55 ± 0.65 c (52.67) |
| GSSRF D2 | 21.66 ± 0.58 | 23.62 ± 0.49 c (9.01) | 25.75 ± 0.54 c (18.84) | 29.90 ± 0.58 c (37.99) | 32.12 ± 0.94 c (48.24) | 30.69 ± 0.95 c (41.64) |
| GSSRF D3 | 21.22 ± 0.41 | 23.45 ± 046 c (10.50) | 27.18 ± 0.50 c (28.08) | 30.09 ± 0.61 c (41.80) | 31.40 ± 1.09 c (47.97) | 29.79 ± 1.08 c (40.39) |
| Groups | Mean Survival Time (Days) | % Increase in Life Span |
|---|---|---|
| Control | 13.50 ± 0.43 | — |
| Standard (cisplatin 3.5 mg/kg) | 26.50 ± 0.56 a | 96.29 |
| GSSRF D1 (25 mg/kg) | 17.33 ± 0.42 b | 28.37 |
| GSSRF D2 (50 mg/kg) | 19.17 ± 0.91 b | 41.98 |
| GSSRF D3 (100 mg/kg) | 23.00 ± 1.21 b | 70.37 |
| Groups | RBC Count (106 Cells/mm) | WBC Count (1000 Cells/mm) | Hb Content (gm %) |
|---|---|---|---|
| Normal | 6.33 ± 0.15 | 10.65 ± 0.34 | 11.30 ± 0.26 |
| Control | 3.03 ± 0.31 a | 52.51 ± 1.02 a | 05.06 ± 0.09 a |
| Standard | 6.66 ± 0.16 b | 11.97 ± 3.32 b | 10.47 ± 0.24 b |
| GSSRF D1 | 4.39 ± 0.34 | 46.72 ± 1.03 c | 07.07 ± 0.58 c |
| GSSRF D2 | 5.26 ± 0.26 c | 25.51 ± 4.84 c | 09.20 ± 0.33 c |
| GSSRF D3 | 5.59 ± 0.19 c | 20.71 ± 3.28 c | 09.88 ± 0.91 c |
Disclaimer/Publisher’s Note: The statements, opinions and data contained in all publications are solely those of the individual author(s) and contributor(s) and not of MDPI and/or the editor(s). MDPI and/or the editor(s) disclaim responsibility for any injury to people or property resulting from any ideas, methods, instructions or products referred to in the content. |
© 2023 by the authors. Licensee MDPI, Basel, Switzerland. This article is an open access article distributed under the terms and conditions of the Creative Commons Attribution (CC BY) license (https://creativecommons.org/licenses/by/4.0/).
Share and Cite
Ghosh, A.R.; Alsayari, A.; Habib, A.H.; Wahab, S.; Nadig, A.P.R.; Rafeeq, M.M.; Binothman, N.; Aljadani, M.; Al-Dhuayan, I.S.; Alaqeel, N.K.; et al. Anti-Tumor Potential of Gymnema sylvestre Saponin Rich Fraction on In Vitro Breast Cancer Cell Lines and In Vivo Tumor-Bearing Mouse Models. Antioxidants 2023, 12, 134. https://doi.org/10.3390/antiox12010134
Ghosh AR, Alsayari A, Habib AH, Wahab S, Nadig APR, Rafeeq MM, Binothman N, Aljadani M, Al-Dhuayan IS, Alaqeel NK, et al. Anti-Tumor Potential of Gymnema sylvestre Saponin Rich Fraction on In Vitro Breast Cancer Cell Lines and In Vivo Tumor-Bearing Mouse Models. Antioxidants. 2023; 12(1):134. https://doi.org/10.3390/antiox12010134
Chicago/Turabian StyleGhosh, Abhinav Raj, Abdulrhman Alsayari, Alaa Hamed Habib, Shadma Wahab, Abhishek P. R. Nadig, Misbahuddin M. Rafeeq, Najat Binothman, Majidah Aljadani, Ibtesam S. Al-Dhuayan, Nouf K. Alaqeel, and et al. 2023. "Anti-Tumor Potential of Gymnema sylvestre Saponin Rich Fraction on In Vitro Breast Cancer Cell Lines and In Vivo Tumor-Bearing Mouse Models" Antioxidants 12, no. 1: 134. https://doi.org/10.3390/antiox12010134
APA StyleGhosh, A. R., Alsayari, A., Habib, A. H., Wahab, S., Nadig, A. P. R., Rafeeq, M. M., Binothman, N., Aljadani, M., Al-Dhuayan, I. S., Alaqeel, N. K., Khalid, M., & Krishna, K. L. (2023). Anti-Tumor Potential of Gymnema sylvestre Saponin Rich Fraction on In Vitro Breast Cancer Cell Lines and In Vivo Tumor-Bearing Mouse Models. Antioxidants, 12(1), 134. https://doi.org/10.3390/antiox12010134

