ROS Induced by Streptococcus agalactiae Activate Inflammatory Responses via the TNF-α/NF-κB Signaling Pathway in Golden Pompano Trachinotus ovatus (Linnaeus, 1758)
Abstract
:1. Introduction
2. Materials and Methods
2.1. Ethical Statement
2.2. Experimental Fish and Bacteria Preparation
2.3. Experimental Infection and Sampling
2.4. Histological Examination
2.5. Detection of Biochemical Parameters in Serum
2.6. Detection of Antioxidant Enzyme Activity in Liver
2.7. RNA Extraction and First Strand cDNA Synthesis
2.8. Real-Time qPCR
2.9. Statistical Analyses
3. Results
3.1. Toxicology of Different Concentrations of S. agalactiae on Golden Pompano
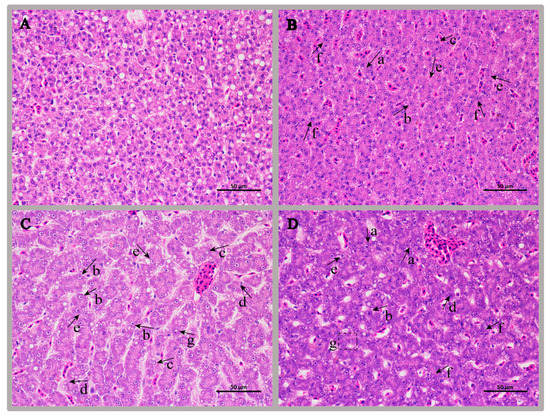
3.2. Examination of Liver Histopathological
3.3. Analysis of Serum Parameters
3.4. Analysis of Liver Enzyme Activity
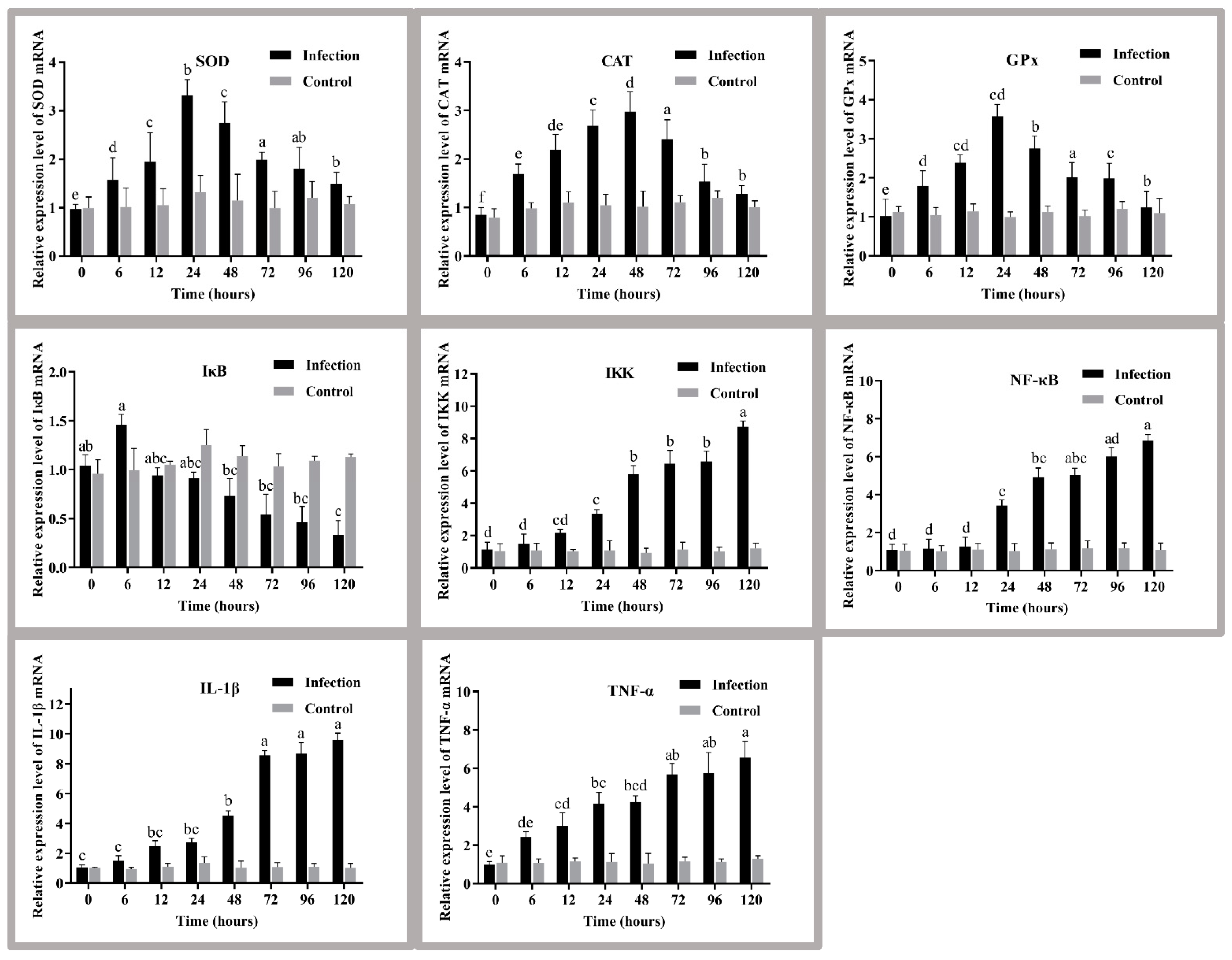
3.5. Expression of Antioxidant Markers and Signaling Pathway Genes in the Liver
4. Discussion
4.1. Survival Rate and Histopathological Analysis
4.2. Analysis of Serum Parameter
4.3. Analysis of Liver Antioxidant Enzyme Parameters
4.4. Analysis of Antioxidant Markers and Signaling Pathway Genes in the Liver
5. Conclusions
Author Contributions
Funding
Institutional Review Board Statement
Informed Consent Statement
Data Availability Statement
Conflicts of Interest
References
- Yang, Q.; Guo, L.; Liu, B.S.; Guo, H.Y.; Zhu, K.C.; Zhang, N.; Jiang, S.G.; Zhang, D.C. Effects of stocking density on the growth performance, serum biochemistry, muscle composition and HSP70 gene expression of juvenile golden pompano Trachinotus ovatus (Linnaeus, 1758). Aquaculture 2020, 518, 734841. [Google Scholar] [CrossRef]
- Liu, M.J.; Guo, H.Y.; Zhu, K.C.; Liu, B.S.; Liu, B.; Guo, L.; Zhang, N.; Yang, J.W.; Jiang, S.G.; Zhang, D.C. Effects of acute ammonia exposure and recovery on the antioxidant response and expression of genes in the Nrf2-Keap1 signaling pathway in the juvenile golden pompano (Trachinotus ovatus). Aquat. Toxicol. 2021, 240, 105969. [Google Scholar] [CrossRef] [PubMed]
- Guo, S.; Mo, Z.; Wang, Z.; Xu, J.; Li, Y.; Dan, X.; Li, A. Isolation and pathogenicity of Streptococcus iniae in offshore cage-cultured Trachinotus ovatus in China. Aquaculture 2018, 492, 247–252. [Google Scholar] [CrossRef]
- Johri, A.K.; Paoletti, L.C.; Glaser, P.; Dua, M.; Sharma, P.K.; Grandi, G.; Rappuoli RGroup, B. Streptococcus: Global incidence and vaccine development. Nat. Rev. Microbiol. 2006, 4, 932–942. [Google Scholar] [CrossRef] [PubMed]
- Delannoy, C.M.J.; Samai, H.; Labrie, L. Streptococcus agalactiae serotype IV in farmed tilapia. Aquaculture 2021, 544, 737033. [Google Scholar] [CrossRef]
- Fazio, F. Fish hematology analysis as an important tool of aquaculture: A review. Aquaculture 2019, 500, 237–242. [Google Scholar] [CrossRef]
- Fuller, G.G.; Kim, J.K. Compartmentalization and metabolic regulation of glycolysis. J. Cell Sci. 2021, 134, 20. [Google Scholar] [CrossRef]
- Uma, A.; Philominal, P.; Prabu, E.; Musthafa, M.S. Dietary Bougainvillea glabra leaf meal on growth, haemato-biochemical responses and disease resistance in Nile tilapia, Oreochromis niloticus against Enterococcus faecalis. Aquaculture 2022, 549, 737806. [Google Scholar] [CrossRef]
- Abdel-Tawwab, M.; El-Araby, D.A. Immune and antioxidative effects of dietary licorice (Glycyrrhiza glabra L.) on performance of Nile tilapia, Oreochromis niloticus (L.) and its susceptibility to Aeromonas hydrophila infection. Aquaculture 2021, 530, 735828. [Google Scholar] [CrossRef]
- Liu, M.J.; Guo, H.Y.; Liu, B.; Zhu, K.C.; Guo, L.; Liu, B.S.; Zhang, N.; Yang, J.W.; Jiang, S.G.; Zhang, D.C. Gill oxidative damage caused by acute ammonia infection was reduced through the HIF-1α/NF-κb signaling pathway in golden pompano (Trachinotus ovatus). Ecotoxicol. Environ. Saf. 2021, 222, 112504. [Google Scholar] [CrossRef]
- Abdel-Tawwab, M.; Samir, F.; Abd El-Naby, A.S.; Monier, M.N. Antioxidative and immunostimulatory effect of dietary cinnamon nanoparticles on the performance of Nile tilapia, Oreochromis niloticus (L.) and its susceptibility to hypoxia infection and Aeromonas hydrophila infection. Fish Shellfish. Immunol. 2018, 74, 19–25. [Google Scholar] [CrossRef] [PubMed]
- Senftleben, U.; Cao, Y.; Xiao, G.; Greten, F.R.; Krähn, G.; Bonizzi, G.; Chen, Y.; Hu, Y.; Fong, A.; Sun, S.C.; et al. Activation by IKKalpha of a second, evolutionary conserved, NF-kappa B signaling pathway. Science 2001, 293, 1495–1499. [Google Scholar] [CrossRef] [PubMed]
- Hayden, M.S.; Ghosh, S. Regulation of NF-κB by TNF family cytokines. Semin. Immunol. 2014, 26, 253–266. [Google Scholar] [CrossRef] [PubMed]
- Giri, S.S.; Sen, S.S.; Sukumaran, V. Pinocembrin attenuates lipopolysaccharide-induced inflammatory responses in Labeo rohita macrophages via the suppression of the NF-κB signaling pathway. Fish Shellfish. Immunol. 2016, 56, 459–466. [Google Scholar] [CrossRef] [PubMed]
- Chu, Y.; Lv, X.; Zhang, L.; Fu, X.; Song, S.; Su, A.; Chen, D.; Xu, L.; Wang, Y.; Wu, Z.; et al. Wogonin inhibits in vitro herpes simplex virus type 1 and 2 infection by modulating cellular NF-κB and MAPK pathways. BMC Microbiol. 2020, 20, 2–11. [Google Scholar] [CrossRef]
- Fujita, T.; Nolan, G.P.; Ghosh, S.; Baltimore, D. Independent modes of transcriptional activation by the p50 and p65 subunits of NF-KB. Genes Dev. 1992, 6, 775–787. [Google Scholar] [CrossRef]
- Tacchi, L.; Casadei, E.; Bickerdike, R.; Secombes, C.J.; Martin, S.A.M. MULAN related gene (MRG): A potential novel ubiquitin ligase activator of NF-kB involved in immune response in Atlantic salmon (Salmo salar). Dev. Comp. Immunol. 2012, 38, 545–553. [Google Scholar] [CrossRef]
- Deng, L.; Zeng, Q.; Wang, M.; Cheng, A.; Jia, R.; Chen, S.; Zhu, D.; Liu, M.; Yang, Q.; Wu, Y.; et al. Suppression of NF-κB activity: A viral immune evasion mechanism. Viruses 2018, 10, 409. [Google Scholar] [CrossRef]
- Vlantis, K.; Wullaert, A.; Polykratis, A.; Kondylis, V.; Dannappel, M.; Schwarzer, R.; Welz, P.; Corona, T.; Walczak, H.; Weih, F.; et al. NEMO Prevents RIP Kinase 1-Mediated Epithelial Cell Death and Chronic Intestinal Inflammation by NF-κB-Dependent and -Independent Functions. Immunity 2016, 44, 553–567. [Google Scholar] [CrossRef]
- Blackwell, K.; Zhang, L.; Workman, L.M.; Ting, A.T.; Iwai, K.; Habelhah, H. Two Coordinated Mechanisms Underlie Tumor Necrosis Factor Alpha-Induced Immediate and Delayed IκB Kinase Activation. Mol. Cell. Biol. 2013, 33, 1901–1915. [Google Scholar] [CrossRef] [Green Version]
- Wang, J.X.; Li, X.M.; Bello, B.K.; Yu, G.L.; Yang, Q.K.; Yang, H.T.; Zhang, W.; Wang, L.; Dong, J.Q.; Liu, G.; et al. Activation of TLR2 heterodimers-mediated NF-κB, MAPK, AKT signaling pathways is responsible for Vibrio alginolyticus triggered inflammatory response in vitro. Microb. Pathog. 2022, 162, 105219. [Google Scholar] [CrossRef] [PubMed]
- Guo, L.F.; Zhou, M.; Chen, D.D.; Yi, C.; Sun, B.; Wang, S.Q.; Ru, Y.Y.; Chen, H.J.; Wang, H. A new insight to characterize immunomodulation based on hepatopancreatic transcriptome and humoral immune factor analysis of the Cherax quadricarinatus infected with Aeromonas veronii. Ecotoxicol. Environ. Saf. 2021, 219, 112347. [Google Scholar] [CrossRef] [PubMed]
- Roubach, R.; Gomes, L.C.; Leão Fonseca, F.A.; Val, A.L. Eugenol as an efficacious anaesthetic for tambaqui, Colossoma macropomum (Cuvier). Aquac. Res. 2005, 36, 1056–1061. [Google Scholar] [CrossRef]
- Witeska, M.; Kondera, E.; Ługowska, K.; Bojarski, B. Hematological methods in fish-Not only for beginners. Aquaculture 2022, 547, 737498. [Google Scholar] [CrossRef]
- Tanaka, N.; Izawa, T.; Kuwamura, M.; Higashiguchi, N.; Kezuka, C.; Kurata, O.; Wada, S.; Yamate, J. The first case of infectious spleen and kidney necrosis virus (ISKNV) infection in aquarium-maintained mandarin fish, Siniperca chuatsi (Basilewsky), in Japan. J. Fish Dis. 2014, 37, 401–405. [Google Scholar] [CrossRef]
- Gerrits, P.O.; van Leeuwen, M.B. Glycol methacrylate embedding in histotechnology: The hematoxylin-eosin stain as a method for assessing the stability of glycol methacrylate sections. Stain Technol. 1987, 62, 181–190. [Google Scholar] [CrossRef]
- Loureiro, S.; Amorim, A.; Cainé, L.; Silva, B.; Gomes, I. Evaluation of two DNA/RNA co-extraction methods for organism fluid identification in forensics. Forensic Sci. Int. Genet. Suppl. Ser. 2019, 7, 250–252. [Google Scholar] [CrossRef]
- Ma, Q.W.; Guo, H.Y.; Zhu, K.C.; Guo, L.; Liu, B.S.; Zhang, N.; Liu, B.; Yang, J.W.; Jiang, S.G.; Zhang, D.C. Dietary taurine intake affects growth and taurine synthesis regulation in golden pompano, Trachinotus ovatus (Linnaeus 1758). Aquaculture 2021, 530, 735918. [Google Scholar] [CrossRef]
- Livak, K.J.; Schmittgen, T.D. Analysis of relative gene expression data using real-time quantitative PCR and the 2−ΔΔCT Method. Methods 2001, 25, 402–408. [Google Scholar] [CrossRef]
- Xie, J.J.; Fang, H.; He, X.; Liao, S.; Liu, Y.; Tian, L.; Niu, J. Study on mechanism of synthetic astaxanthin and Haematococcus pluvialis improving the growth performance and antioxidant capacity under acute hypoxia stress of golden pompano (Trachinotus ovatus) and enhancing anti-inflammatory by activating Nrf2-ARE pathway to antagonize the NF-κB pathway. Aquaculture 2020, 518, 734657. [Google Scholar] [CrossRef]
- Xun, P.W.; Zhou, C.; Huang, X.; Huang, Z.; Yu, W.; Yang, Y.; Li, T.; Huang, J.; Wu, Y.; Lin, H. Effects of Dietary Sodium Acetate on Growth Performance, Fillet Quality, Plasma Biochemistry, and Immune Function of Juvenile Golden Pompano (Trachinotus ovatus). Aquac. Nutr. 2022, 2022, 9074549. [Google Scholar] [CrossRef]
- Fang, H.H.; Xie, J.J.; Zhao, W.; Liu, Z.L.; Liu, Y.J.; Tian, L.X.; Niu, J. Study supplementation of astaxanthin in high-fat diet on growth performance, antioxidant ability, anti-inflammation, non-specific immunity and intestinal structure of juvenile Trachinotus ovatus. Aquac. Nutr. 2021, 27, 2575–2586. [Google Scholar] [CrossRef]
- Wu, X.M.; Cao, L.; Hu, Y.W.; Chang, M.X. Transcriptomic characterization of adult zebrafish infected with Streptococcus agalactiae. Fish Shellfish. Immunol. 2019, 94, 355–372. [Google Scholar] [CrossRef] [PubMed]
- Gallage, S.; Katagiri, T.; Endo, M.; Maita, M. Comprehensive evaluation of immunomodulation by moderate hypoxia in S. agalactiae vaccinated Nile tilapia. Fish Shellfish. Immunol. 2017, 66, 445–454. [Google Scholar] [CrossRef]
- Cao, J.M.; Liu, Z.G.; Zhang, D.F.; Guo, F.Q.; Gao, F.Y.; Wang, M.; Yi, M.M.; Lu, M.X. Distribution and localization of Streptococcus agalactiae in different tissues of artificially infected tilapia (Oreochromis niloticus). Aquaculture 2022, 546, 737370. [Google Scholar] [CrossRef]
- Soto, E.; Wang, R.; Wiles, J.; Green, C.; Plumb, J.; Hawke, J.; Soto, E. Characterization of isolates of Streptococcus agalactiae from diseased farmed and wild marine fish from the U.S. Gulf coast, Latin America, and Thailand. J. Aquat. Anim. Health 2015, 27, 123–134. [Google Scholar] [CrossRef]
- Kim, J.H.; Sohn, S.; Kim, S.K.; Hur, Y.B. Effects on hematological parameters, antioxidant and immune responses, AChE, and stress indicators of olive flounders, Paralichthys olivaceus, raised in bio-floc and seawater challenged by Edwardsiella tarda. Fish Shellfish. Immunol. 2020, 97, 194–203. [Google Scholar] [CrossRef]
- Bandeira Junior, G.; dos Santos, A.C.; de Freitas Souza, C.; Baldissera, M.D.; dos Santos Moreira , K.L.; da Veiga, M.L.; da Rocha, M.I.d.U.M.; de Vargas, A.P.C.; da Cunha, M.A.; Baldisserotto, B. Citrobacter freundii infection in silver catfish (Rhamdia quelen): Hematological and histological alterations. Microb. Pathog. 2018, 125, 276–280. [Google Scholar] [CrossRef]
- Kim, J.H.; Yu, Y.B.; Choi, J.H. Toxic effects on bioaccumulation, hematological parameters, oxidative infection, immune responses and neurotoxicity in fish exposed to microplastics: A review. J. Hazard. Mater. 2021, 413, 125423. [Google Scholar] [CrossRef]
- Rodríguez, I.; Novoa, B.; Figueras, A. Immune response of zebrafish (Danio rerio) against a newly isolated bacterial pathogen Aeromonas hydrophila. Fish Shellfish. Immunol. 2008, 25, 239–249. [Google Scholar] [CrossRef]
- Zheng, X.; Jiang, W.D.; Feng, L.; Wu, P.; Liu, Y.; Jiang, J.; Kuang, S.Y.; Tang, L.; Zhou, X.Q. Effects of dietary pyridoxine on the skin immunity, tight junctions, antioxidants and apoptosis of grass carp (Ctenopharyngodon idella) infected with Aeromonas hydrophila. Aquac. Res. 2022, 53, 1582–1596. [Google Scholar] [CrossRef]
- Xia, H.; Tang, Y.; Lu, F.; Luo, Y.; Yang, P.; Wang, W.; Jiang, J.; Li, N.; Han, Q.; Liu, F.; et al. The effect of Aeromonas hydrophila infection on the non-specific immunity of blunt snout bream (Megalobrama amblycephala). Cent. Eur. J. Immunol. 2017, 42, 239–243. [Google Scholar] [CrossRef] [PubMed]
- Banaee, M.; Soltanian, S.; Sureda, A.; Gholamhosseini, A.; Haghi, B.N.; Akhlaghi, M.; Derikvandy, A. Evaluation of single and combined effects of cadmium and micro-plastic particles on biochemical and immunological parameters of common carp (Cyprinus carpio). Chemosphere 2019, 236, 124335. [Google Scholar] [CrossRef] [PubMed]
- Tsikas, D. Assessment of lipid peroxidation by measuring malondialdehyde (MDA) and relatives in biological samples: Analytical and biological challenges. Anal. Biochem. 2017, 524, 13–30. [Google Scholar] [CrossRef]
- Lang, X.; Wang, L.; Zhang, Z. Stability evaluation of reference genes for real-time PCR in zebrafish (Danio rerio) exposed to cadmium chloride and subsequently infected by bacteria Aeromonas hydrophila. Aquat. Toxicol. 2016, 170, 240–250. [Google Scholar] [CrossRef]
- Chung, S.; Ribeiro, K.; Teixeira, D.V.; Copatti, C.E. Inclusion of essential oil from ginger in the diet improves physiological parameters of tambaqui juveniles (Colossoma macropomum). Aquaculture 2021, 543, 736934. [Google Scholar] [CrossRef]
- Kong, Y.D.; Li, M.; Wu, X.Q.; Xia, C.G.; Liu, X.Y.; Wang, G.Q. Protective mechanism of homologous lactic acid bacteria against cholestatic liver injury in snakehead fish. Aquaculture 2022, 550, 737845. [Google Scholar] [CrossRef]
- Aluta, U.P.; Aderolu, A.Z.; Lawal, M.O.; Olutola, A.A. Inclusion effect of onion peel powder in the diet of African catfish, Clarias gariepinus: Growth, blood chemistry, hepatic antioxidant enzymes activities and SOD mRNA responses. Sci. Afr. 2021, 12, e00780. [Google Scholar] [CrossRef]
- Junior, G.B.; Baldisserotto, B. Fish infections associated with the genus Aeromonas: A review of the effects on oxidative status. J. Appl. Microbiol. 2021, 131, 1083–1101. [Google Scholar] [CrossRef]
- Baruah, K.; Ranjan, J.; Sorgeloos, P.; MacRae, T.H.; Bossier, P. Priming the prophenoloxidase system of Artemia franciscana by heat shock proteins protects against Vibrio campbellii challenge. Fish Shellfish. Immunol. 2011, 31, 134–141. [Google Scholar] [CrossRef]
- Muñoz-Peñuela, M.; Nostro, F.L.L.; Dal’Olio Gomes, A.; Tolussi, C.E.; Branco, G.S.; Pinheiro, J.P.S.; de Godoi, F.G.A.; Moreira, R.G. Diclofenac and caffeine inhibit hepatic antioxidant enzymes in the freshwater fish Astyanax altiparanae (Teleostei: Characiformes). Comp. Biochem. Physiol. Part C Toxicol. Pharmacol. 2021, 240, 108910. [Google Scholar] [CrossRef] [PubMed]
- Lu, Y.P.; Zheng, P.H.; Zhang, X.X.; Wang, L.; Li, J.T.; Zhang, Z.L.; Xu JR Cao, Y.L.; Xian, J.A.; Wang, A.L.; Wang, D.M. Effects of dietary trehalose on growth, trehalose content, non-specific immunity, gene expression and desiccation resistance of juvenile red claw crayfish (Cherax quadricarinatus). Fish Shellfish. Immunol. 2021, 119, 524–532. [Google Scholar] [CrossRef] [PubMed]
- Han, Y.; Liu, T.; Wang, J.; Wang, J.; Zhang, C.; Zhu, L. Genotoxicity and oxidative infection induced by the fungicide azoxystrobin in zebrafish (Danio rerio) livers. Pestic. Biochem. Physiol. 2016, 133, 13–19. [Google Scholar] [CrossRef] [PubMed]
- Samayanpaulraj, V.; Velu, V.; Uthandakalaipandiyan, R. Determination of lethal dose of Aeromonas hydrophila Ah17 strain in snake head fish Channa striata. Microb. Pathog. 2019, 127, 7–11. [Google Scholar] [CrossRef]
- Kim, C.H.; Kim, E.J.; Nam, Y.K. Superoxide dismutase multigene family from a primitive chondrostean sturgeon, acipenser baerii: Molecular characterization, evolution, and antioxidant defense during development and pathogen infection. Antioxidants 2021, 10, 232. [Google Scholar] [CrossRef]
- Sun, J.; Wang, J.W.; Li, L.J.; Wu, Z.X.; Chen, X.X.; Yuan, J.F. ROS induced by spring viraemia of carp virus activate the inflammatory response via the MAPK/AP-1 and PI3K signaling pathways. Fish Shellfish. Immunol. 2020, 101, 216–224. [Google Scholar] [CrossRef]
- Yang, F.; Sheng, X.; Huang, X.; Zhang, Y. Interactions between Salmonella and host macrophages—Dissecting NF-κB signaling pathway responses. Microb. Pathog. 2021, 154, 104846. [Google Scholar] [CrossRef]
- Muto, A.; Ruland, J.; McAllister-Lucas, L.M.; Lucas, P.C.; Yamaoka, S.; Chen, F.F.; Lin, A.; Mak, T.W.; Núñez, G.; Inohara, N. Protein kinase C-associated kinase (PKK) mediates Bcl10-independent NF-κB activation induced by phorbol ester. J. Biol. Chem. 2002, 277, 31871–31876. [Google Scholar] [CrossRef]
- Dong, W.J.; Gao, W.Y.; Yan, X.L.; Sun, Y.N.; Xu, T.J. microRNA-132 as a negative regulator in NF-κB signaling pathway via targeting IL-1β in miiuy croaker. Dev. Comp. Immunol. 2021, 122, 104113. [Google Scholar] [CrossRef]
- Choi, J.H.; Ko, H.M.; Kim, J.W.; Lee, H.K.; Han, S.S.; Chun, S.B.; Im, S.Y. Platelet-activating factor-induced early activation of nf- b plays a crucial role for organ clearance of Candida albicans. J. Immunol. 2001, 166, 5139–5144. [Google Scholar] [CrossRef] [Green Version]




| Primer Name | Primer Sequences (5′−3′) | Amplification Target | Reference |
|---|---|---|---|
| SOD-F | CCTCATCCCCCTGCTTGGTA | qPCR | [2] |
| SOD-R | CCAGGGAGGGATGAGAGGTG | ||
| CAT-F | GGATGGACAGCCTTCAAGTTCTCG | qPCR | [2] |
| CAT-R | TGGACCGTTACAACAGTGCAGATG | ||
| GPx-F | GCTGAGAGGCTGGTGCAAGTG | qPCR | [2] |
| GPx-R | TTCAAGCGTTACAGCAGGAGGTTC | ||
| IKK-F | CCTGGAGAACTGCTGTGGAATGAG | qPCR | [30] |
| IKK-R | ATGGAGGTAGGTCAGAGCCGAAG | ||
| IκB-F | GCTGGTCCATTGCCTCCTGAAC | qPCR | [30] |
| IκB-R | GTGCCGTCTTCTCGTACAACTGG | ||
| NF-κB-F | TGCGACAAAGTCCAGAAAGAT | qPCR | [31] |
| NF-κB-R | CTGAGGGTGGTAGGTGAAGGG | ||
| IL-1β-F | CGGACTCGAACGTGGTCACATTC | qPCR | [32] |
| IL-1β-R | AATATGGAAGGCAACCGTGCTCAG | ||
| TNF-α-F | GCTCCTCACCCACACCATCA | qPCR | [10] |
| TNF-α-R | CCAAAGTAGACCTGCCCAGACT | ||
| EF-1α-F | AAGCCAGGTATGGTTGTCAACTTT | qPCR | [10] |
| EF-1α-R | CGTGGTGCATCTCCACAGACT |
| Dosage (CFU/fish) | Survival Rate at 120 h (%) | Half-Lethal Time (LT50, h) | Survival Time (h) |
|---|---|---|---|
| 2.0 × 109 | 0 | 17 ± 1.0 | 16~19 |
| 2.0 × 108 | 0 | 37 ± 3.0 | 36~70 |
| 2.0 × 107 | 47 ± 3.5 | 116 ± 5.5 | 95~125 |
| 2.0 × 106 | 100 | 130 ± 2.5 | 130~150 |
| 2.0 × 105 | 100 | >160 | >160 |
Publisher’s Note: MDPI stays neutral with regard to jurisdictional claims in published maps and institutional affiliations. |
© 2022 by the authors. Licensee MDPI, Basel, Switzerland. This article is an open access article distributed under the terms and conditions of the Creative Commons Attribution (CC BY) license (https://creativecommons.org/licenses/by/4.0/).
Share and Cite
Gao, J.; Liu, M.; Guo, H.; Zhu, K.; Liu, B.; Liu, B.; Zhang, N.; Zhang, D. ROS Induced by Streptococcus agalactiae Activate Inflammatory Responses via the TNF-α/NF-κB Signaling Pathway in Golden Pompano Trachinotus ovatus (Linnaeus, 1758). Antioxidants 2022, 11, 1809. https://doi.org/10.3390/antiox11091809
Gao J, Liu M, Guo H, Zhu K, Liu B, Liu B, Zhang N, Zhang D. ROS Induced by Streptococcus agalactiae Activate Inflammatory Responses via the TNF-α/NF-κB Signaling Pathway in Golden Pompano Trachinotus ovatus (Linnaeus, 1758). Antioxidants. 2022; 11(9):1809. https://doi.org/10.3390/antiox11091809
Chicago/Turabian StyleGao, Jie, Mingjian Liu, Huayang Guo, Kecheng Zhu, Bo Liu, Baosuo Liu, Nan Zhang, and Dianchang Zhang. 2022. "ROS Induced by Streptococcus agalactiae Activate Inflammatory Responses via the TNF-α/NF-κB Signaling Pathway in Golden Pompano Trachinotus ovatus (Linnaeus, 1758)" Antioxidants 11, no. 9: 1809. https://doi.org/10.3390/antiox11091809
APA StyleGao, J., Liu, M., Guo, H., Zhu, K., Liu, B., Liu, B., Zhang, N., & Zhang, D. (2022). ROS Induced by Streptococcus agalactiae Activate Inflammatory Responses via the TNF-α/NF-κB Signaling Pathway in Golden Pompano Trachinotus ovatus (Linnaeus, 1758). Antioxidants, 11(9), 1809. https://doi.org/10.3390/antiox11091809

