Epilepsy Surgery for Skull-Base Temporal Lobe Encephaloceles: Should We Spare the Hippocampus from Resection?
Abstract
:1. Introduction
2. Case Series
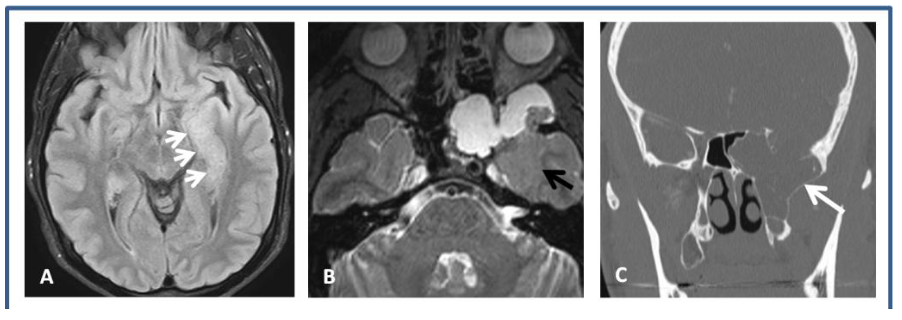
2.1. Case 1: 24-Year-Old Ambidextrous, Bilingual (English and German) Man with Seizures Since 22 Years of Age. Seizure Semiology: Ictal Expressive Aphasia, Right Forced Head and Eyes Deviation, Lip-Smacking, and Sensation of Fear
2.2. Case 2: 66-Year-Old Right-Handed Man with Intractable Epilepsy since the Age of 43 Years, after He Was Struck on Forehead at Work by a Pump While Pumping Oil from a Compressor. Seizure Semiology Consisted of Dizziness, Starring Off, Lip-Smacking, Excessive Drooling, Right Hand Rolling Movements, and Occasional Bilateral Tonic-Clonic Seizures
3. Discussion
Acknowledgments
Author Contributions
Conflicts of Interest
References
- Jeevan, D.S.; Ormond, D.R.; Kim, A.H.; Meiteles, L.Z.; Stidham, K.R.; Linstrom, C.; Murali, R. Cerebrospinal fluid leaks and encephaloceles of temporal bone origin: Nuances to diagnosis and management. World Neurosurg. 2015, 83, 560–566. [Google Scholar] [CrossRef] [PubMed]
- Mosnier, I.; Fiky, L.E.; Shahidi, A.; Sterkers, O. Brain herniation and chronic otitis media: Diagnosis and surgical management. Clin. Otolaryngol. Allied Sci. 2000, 25, 385–391. [Google Scholar] [CrossRef] [PubMed]
- Abou-Hamden, A.; Lau, M.; Fabinyi, G.; Berkovic, S.F.; Jackson, G.D.; Mitchell, L.A.; Kalnins, R.; Fitt, G.; Archer, J.S. Small temporal pole encephaloceles: A treatable cause of “lesion negative” temporal lobe epilepsy. Epilepsia 2010, 51, 2199–2202. [Google Scholar] [CrossRef] [PubMed]
- Shimada, S.; Kunii, N.; Kawai, K.; Usami, K.; Matsuo, T.; Uno, T.; Koizumi, T.; Saito, N. Spontaneous Temporal Pole Encephalocele Presenting with Epilepsy: Report of Two Cases. World Neurosurg. 2015, 84, e1–e6. [Google Scholar] [CrossRef] [PubMed]
- Hyson, M.; Andermann, F.; Olivier, A.; Melanson, D. Occult encephaloceles and temporal lobe epilepsy: Developmental and acquired lesions in the middle fossa. Neurology 1984, 34, 363–366. [Google Scholar] [CrossRef] [PubMed]
- Yang, E.; Yeo, S.B.; Tan, T.Y. Temporal lobe encephalocoele presenting with seizures and hearing loss. Singap. Med. J. 2004, 45, 40–42. [Google Scholar]
- Faulkner, H.J.; Sandeman, D.R.; Love, S.; Likeman, M.J.; Nunez, D.A.; Lhatoo, S.D. Epilepsy surgery for refractory epilepsy due to encephalocele: A case report and review of the literature. Epileptic Disord. 2010, 12, 160–166. [Google Scholar] [PubMed]
- Morone, P.J.; Sweeney, A.D.; Carlson, M.L.; Neimat, J.S.; Weaver, K.D.; Abou-Khalil, B.W.; Arain, A.M.; Singh, P.; Wanna, G.B. Temporal Lobe Encephaloceles: A Potentially Curable Cause of Seizures. Otol. Neurotol. 2015, 36, 1439–1442. [Google Scholar] [CrossRef] [PubMed]
- Ruiz Garcia, F. A case of temporal lobe epilepsy caused by an encephalocele. Rev. Esp. Otoneurooftalmol. Neurocir. 1971, 29, 216–220. [Google Scholar] [PubMed]
- Giulioni, M.; Licchetta, L.; Bisulli, F.; Rubboli, G.; Mostacci, B.; Marucci, G.; Martinoni, M.; Ferri, L.; Volpi, L.; Calbucci, F.; et al. Tailored surgery for drug-resistant epilepsy due to temporal pole encephalocele and microdysgenesis. Seizure 2014, 23, 164–166. [Google Scholar] [CrossRef] [PubMed]
- Gasparini, S.; Ferlazzo, E.; Villani, F.; Didato, G.; Deleo, F.; Bellavia, M.A.; Cianci, V.; Latella, M.A.; Campello, M.; Giangaspero, F.; et al. Refractory epilepsy and encephalocele: Lesionectomy or tailored surgery? Seizure 2014, 23, 583–584. [Google Scholar] [CrossRef] [PubMed]
- Aquilina, K.; Clarke, D.F.; Wheless, J.W.; Boop, F.A. Microencephaloceles: Another dual pathology of intractable temporal lobe epilepsy in childhood. J. Neurosurg. Pediatr. 2010, 5, 360–364. [Google Scholar] [CrossRef] [PubMed]
- Leblanc, R.; Tampieri, D.; Robitaille, Y.; Olivier, A.; Andermann, F.; Sherwin, A. Developmental anterobasal temporal encephalocele and temporal lobe epilepsy. J. Neurosurg. 1991, 74, 933–999. [Google Scholar] [CrossRef] [PubMed]
- Panov, F.; Li, Y.; Chang, E.; Knowlton, R.; Cornes, S. Epilepsy with temporal encephalocele: Characteristics of electrocorticography and surgical outcome. Epilepsia 2016, 57, e33–e38. [Google Scholar] [CrossRef] [PubMed]
- Saavalainen, T.; Jutila, L.; Mervaala, E.; Kälviäinen, R.; Vanninen, R.; Immonen, A. Temporal anteroinferior encephalocele: An underrecognized etiology of temporal lobe epilepsy? Neurology 2015, 85, 1467–1474. [Google Scholar] [CrossRef] [PubMed]
- De Souza, J.P.S.A.S.; Mullin, J.; Wathen, C.; Bulacio, J.; Chauvel, P.; Jehi, L.; Gonzalez-Martinez, J. The usefulness of stereo-electroencephalography (SEEG) in the surgical management of focal epilepsy associated with “hidden” temporal pole encephalocele: A case report and literature review. Neurosurg. Rev. 2018, 41, 347–354. [Google Scholar] [CrossRef] [PubMed]
- Rosenbaum, T.J.; Laxer, K.D.; Rafal, R.D.; Smith, W.B. Temporal lobe encephaloceles: Etiology of partial complex seizures? Neurology 1985, 35, 287–288. [Google Scholar] [CrossRef] [PubMed]
- Whiting, D.M.; Awad, I.A.; Miles, J.; Chou, S.S.; Lüders, H. Intractable complex partial seizures associated with occult temporal lobe encephalocele and meningoangiomatosis: A case report. Surg. Neurol. 1990, 34, 318–322. [Google Scholar] [CrossRef]
- Wilkins, R.H.; Radtke, R.A.; Burger, P.C. Spontaneous temporal encephalocele. Case report. J. Neurosurg. 1993, 78, 492–498. [Google Scholar] [CrossRef] [PubMed]
- Mulcahy, M.M.; McMenomey, S.O.; Talbot, J.M.; Delashaw, J.B., Jr. Congenital encephalocele of the medial skull base. Laryngoscope 1997, 107, 910–914. [Google Scholar] [CrossRef] [PubMed]
- Byrne, R.W.; Smith, A.P.; Roh, D.; Kanner, A. Occult middle fossa encephaloceles in patients with temporal lobe epilepsy. World Neurosurg. 2010, 73, 541–546. [Google Scholar] [CrossRef] [PubMed]
- Ebersole, J.S.; Pacia, S.V. Localization of Temporal Lobe Foci by Ictal EEG Patterns. Epilepsia 1996, 37, 386–399. [Google Scholar] [CrossRef] [PubMed]
- Bui, C.J.; Tubbs, R.S.; Shannon, C.N.; Acakpo-Satchivi, L.; Wellons, J.C., III; Blount, J.P.; Oakes, W.J. Institutional experience with cranial vault encephaloceles. J. Neurosurg. 2007, 107 (Suppl. 1), 22–25. [Google Scholar] [PubMed]







| Authors, Year | Age, Sex | Location | Congenital or Acquired | Surgical Approach | Pathology | Seizure Outcome/Duration |
|---|---|---|---|---|---|---|
| Ruiz Garcia et al., 1971 [9] | 30, F | L temporal | Congenital | ATL | Gliosis and fibrosis | Free/NA |
| Hyson et al., 1984 [5] | 40, W | R temporal | Acquired (after right mastoidectomy) | Lesionectomy | NA | Free/NA |
| 12, M | R temporal | Acquired (after trauma) | ATL | Mixed astrocytoma grade I and oligodendroglioma. | NA | |
| 37, F | L temporal | Congenital | ATL | Gliosis | Free/3 y | |
| Rosenbaum et al., 1985 [17] | 38, F | R temporal | Congenital | ATL + AH | NA | Only Aura |
| 30, F | R temporal | Congenital | ATL + AH | NA | Free/NA | |
| Whiting et al., 1990 [18] | 18, F | R temporal | Congenital | ATL | Meningo-angiomatosis. | Only Aura |
| Le Blanc et al., 1991 [13] | 37, F | L temporal | Congenital | ATL + AH | Gliosis | Free/NA |
| 36, M | L temporal | Congenital | ATL + AH | Gliosis | Free/NA | |
| 26, M | L temporal | Acquired | ATL + AH | Gliosis | Free/NA | |
| Wilkins et al., 1993 [19] | 36, F | R temporal | Congenital | ATL | Gliosis | Free/18 Mo |
| Mulcahy et al., 1997 [20] | 25, F | L temporal | Congenital | Lesionectomy | NA | NA |
| Yang et al., 2004 [6] | 46, M | Bitemporal | Congenital | Lesionecotmy | Inflamed neuroglial | Free/NA |
| Byrne et al., 2010 [21] | 26, M | L temporal | Congenital | Lesionectomy | Astrocystotis | Free/7 y |
| 42, F | L temporal | Congenital | ATL + AH | Astrocystotis | Free/2 y | |
| 57, M | R temporal | Congenital | ATL + AH | Astrocystotis | Free/1 y | |
| Aquilina et al., 2010 [12] | 14, F | L temporal | Congenital (14) | ATL + AH | Diffuse temporal gliosis involving the HC + microdysgenesis of the amygdala. | Free |
| Abou-Hamden et al., 2010 [3] | 39, F | L temporal | Congenital | ATL | Gliosis | Free/22 Mo |
| 26, F | L temporal | Congenital | ATL | Gliosis | Free/12 Mo | |
| 26, F | L temporal | Acquired (forceps delivery) | ATL | Gliosis | Free/12 Mo | |
| Giulioni et al., 2014 [10] | 41, M | L temporal | Congenital | ATL | Microdysgenesis | Free/5 y |
| 63, M | L temporal | Congenital | ATL | Microdysgenesis | Free/4 y | |
| Gasparinin et al., 2014 [11] | 20, M | L temporal | Congenital | Lesionectomy | Mild gliosis | Free/20 Mo |
| Shimada et al., 2015 [4] | 21, M | L temporal | Congenital | Temporopolar disconnection | NA | Free/5 y |
| 36, M | L temporal | Congenital | Temporopolar disconnection | NA | Free/15 Mo | |
| Saavalainen et al., 2015 [15] | 22, M | L temporal | NA | ATL + disconnection | Gliosis | Free/2.5 y |
| 43, F | L temporal | NA | ATL + disconnection | Gliosis | Free/2.1 y | |
| 45, F | R temporal | NA | ATL + disconnection | Gliosis | Engl II/0.79 y | |
| 45, F | L temporal | NA | ATL + disconnection | Gliosis | Engle II/1.2 y | |
| 32, M | L temporal | NA | ATL + disconnection | Gliosis | Engle 3 A/1.3 y | |
| 40, M | R temporal | NA | ATL + disconnection | Gliosis | Free/1.1 y | |
| 30, M | L temporal | NA | ATL + disconnection | Gliosis | Free/3 Mo | |
| Saavalainen et al., 2015 [15] * | 33, M | R temporal | NA | ATL + AH | Gliosis | Aura only/4.9 y |
| 31, M | R temporal | NA | ATL + AH | Gliosis | Free/6.2 y | |
| 43, F | R temporal | NA | ATL + AH | Gliosis | Free/5.9 y | |
| 44, F | R temporal | NA | ATL + AH | Gliosis | Free/3.2 y | |
| 43, M | L temporal | NA | ATL + AH | Gliosis | Free/3.8 y | |
| Panov et al., 2016 [14] | 24, F | L temporal | NA | Disconnection (concern for verbal memory) | Mild gliosis | Free |
| 50, M | R temporal | NA | Lesionectomy (patient preference) | Reactive astrogliosis | Free | |
| 45, F | R temporal | NA | ATL + AH (Szs originated from HC) | Severe astrogliosis | Free | |
| 23, M | R temporal | NA | ATL +AH (increased volume or amygdala) | Mild gliosis | Engle IIb (recurred Szs but overall improved) | |
| 45, F | R temporal | NA | ATL +AH (increase volume and T2 MRI signal of HC) | Mild Chaslin’s gliosis, with FCD-IC affecting HC | Free | |
| 39, M | R temporal | NA | ATL +AH (No reported MRI or EEG early involvement of HC) | Moderate gliosis and mild astrogliosis of HC | Free | |
| De Souza et al., 2018 [16] | 18, F | L temporal | NA | ATL + amygdalectomy alone | Architectural disorganization suggestive of FCD | Free/1 y |
© 2018 by the authors. Licensee MDPI, Basel, Switzerland. This article is an open access article distributed under the terms and conditions of the Creative Commons Attribution (CC BY) license (http://creativecommons.org/licenses/by/4.0/).
Share and Cite
Bannout, F.; Harder, S.; Lee, M.; Zouros, A.; Raghavan, R.; Fogel, T.; De Los Reyes, K.; Losey, T. Epilepsy Surgery for Skull-Base Temporal Lobe Encephaloceles: Should We Spare the Hippocampus from Resection? Brain Sci. 2018, 8, 42. https://doi.org/10.3390/brainsci8030042
Bannout F, Harder S, Lee M, Zouros A, Raghavan R, Fogel T, De Los Reyes K, Losey T. Epilepsy Surgery for Skull-Base Temporal Lobe Encephaloceles: Should We Spare the Hippocampus from Resection? Brain Sciences. 2018; 8(3):42. https://doi.org/10.3390/brainsci8030042
Chicago/Turabian StyleBannout, Firas, Sheri Harder, Michael Lee, Alexander Zouros, Ravi Raghavan, Travis Fogel, Kenneth De Los Reyes, and Travis Losey. 2018. "Epilepsy Surgery for Skull-Base Temporal Lobe Encephaloceles: Should We Spare the Hippocampus from Resection?" Brain Sciences 8, no. 3: 42. https://doi.org/10.3390/brainsci8030042
APA StyleBannout, F., Harder, S., Lee, M., Zouros, A., Raghavan, R., Fogel, T., De Los Reyes, K., & Losey, T. (2018). Epilepsy Surgery for Skull-Base Temporal Lobe Encephaloceles: Should We Spare the Hippocampus from Resection? Brain Sciences, 8(3), 42. https://doi.org/10.3390/brainsci8030042

