Role of Virtual iMRI in Glioblastoma Surgery: Advantages, Limitations, and Correlation with iCT and Brain Shift
Abstract
1. Introduction
2. Materials and Methods
2.1. Patient Enrolment and Eligibility Criteria
2.2. Data Acquisition and Volumetric Analysis
- Age
- Side and anatomical localisation of tumour within the brain
- Size of craniotomy
- Head position
- Ventricular opening
- Volumetric assessment:
- -
- Pre- and post-operative MRI tumour volume
- -
- Necrosis/tumour ratio (NTR)
- -
- Extent of resection (EOTR)
- Geometrical measurements for analysis of image accuracy:
- -
- Bifrontal ventricular width (referred to as “Evan’s index” in the text)
- -
- Midline shift
- -
- Euclidean distance between anatomical landmarks after rigid image fusion (RIF) and elastic image fusion (EIF) algorithms.
- “tumour”: enhancing area on T1-weighted gadolinium (Gd)-enhanced sequence
- “necrosis”: non-enhancing region within the tumour on T1-weighted Gd-enhanced MRI
2.3. Intraoperative Multimodal Imaging Protocol
2.4. Image Fusion Accuracy and Quantitation of the Target Registration Error
- Maximum cortical displacement in lateral and cranio-caudal directions;
- Anterior communicating artery at its junction with A1 segment (AComm);
- Basilar apex;
- Midline shift;
- Evan’s index.
2.5. Qualitative Comparison of iCT, Virtual iMRI, and Post-Operative MRI
2.6. Statistical Analysis
3. Results
3.1. Residual Tumour
3.2. Analysis on Accuracy: Quantitation of the Target Registration Error
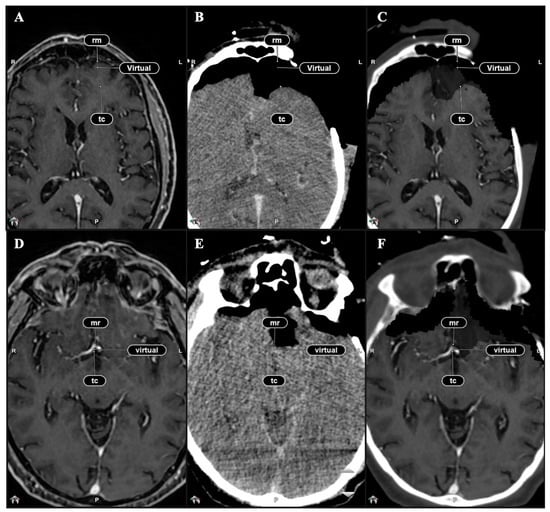
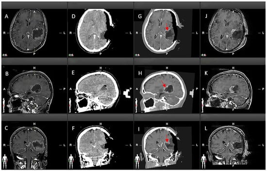
3.3. Qualitative Evaluation
4. Discussion
Limitations and Future Directions
5. Conclusions
Author Contributions
Funding
Institutional Review Board Statement
Informed Consent Statement
Data Availability Statement
Acknowledgments
Conflicts of Interest
References
- Reinges, M.H.T.; Nguyen, H.-H.; Krings, T.; Hütter, B.-O.; Rohde, V.; Gilsbach, J.M. Course of Brain Shift during Microsurgical Resection of Supratentorial Cerebral Lesions: Limits of Conventional Neuronavigation. Acta Neurochir. 2004, 146, 369–377. [Google Scholar] [CrossRef] [PubMed]
- Gerard, I.J.; Kersten-Oertel, M.; Petrecca, K.; Sirhan, D.; Hall, J.A.; Collins, D.L. Brain Shift in Neuronavigation of Brain Tumors: A Review. Med. Image Anal. 2017, 35, 403–420. [Google Scholar] [CrossRef] [PubMed]
- Ganau, M.; Ligarotti, G.K.; Apostolopoulos, V. Real-Time Intraoperative Ultrasound in Brain Surgery: Neuronavigation and Use of Contrast-Enhanced Image Fusion. Quant. Imaging Med. Surg. 2019, 9, 35058–35358. [Google Scholar] [CrossRef]
- Ohue, S.; Kumon, Y.; Nagato, S.; Kohno, S.; Harada, H.; Nakagawa, K.; Kikuchi, K.; Miki, H.; Ohnishi, T. Evaluation of Intraoperative Brain Shift Using an Ultrasound-Linked Navigation System for Brain Tumor Surgery. Neurol. Med. Chir. 2010, 50, 291–300. [Google Scholar] [CrossRef] [PubMed]
- Becker, S.; Mang, A.; Toma, A.; Buzug, T.M. In-Silico Oncology: An Approximate Model of Brain Tumor Mass Effect Based on Directly Manipulated Free Form Deformation. Int. J. CARS 2010, 5, 607–622. [Google Scholar] [CrossRef] [PubMed]
- Nabavi, A.; Gering, D.T.; Mehta, V.; Ferrant, M.; Hata, N.; Schwartz, R.B.; Iii, W.M.W.; Jolesz, F.A. Serial Intraoperative Magnetic Resonance Imaging of Brain Shift. Neurosurgery 2001, 48, 787–798. [Google Scholar] [PubMed]
- Nimsky, C.; Ganslandt, O.; Cerny, S.; Hastreiter, P.; Greiner, G.; Fahlbusch, R. Quantification of, Visualization of, and Compensation for Brain Shift Using Intraoperative Magnetic Resonance Imaging. Neurosurgery 2000, 47, 1070–1080. [Google Scholar] [CrossRef]
- Riva, M.; Hiepe, P.; Frommert, M.; Divenuto, I.; Gay, L.G.; Sciortino, T.; Nibali, M.C.; Rossi, M.; Pessina, F.; Bello, L. Intraoperative Computed Tomography and Finite Element Modelling for Multimodal Image Fusion in Brain Surgery. Oper. Surg. 2020, 18, 531–541. [Google Scholar] [CrossRef]
- Mazzucchi, E.; La Rocca, G.; Hiepe, P.; Pignotti, F.; Galieri, G.; Policicchio, D.; Boccaletti, R.; Rinaldi, P.; Gaudino, S.; Ius, T.; et al. Intraoperative Integration of Multimodal Imaging to Improve Neuronavigation: A Technical Note. World Neurosurg. 2022, 164, 330–340. [Google Scholar] [CrossRef] [PubMed]
- Negwer, C.; Hiepe, P.; Meyer, B.; Krieg, S.M. Elastic Fusion Enables Fusion of Intraoperative Magnetic Resonance Imaging Data with Preoperative Neuronavigation Data. World Neurosurg. 2020, 142, e223–e228. [Google Scholar] [CrossRef]
- Ille, S.; Schroeder, A.; Wagner, A.; Negwer, C.; Kreiser, K.; Meyer, B.; Krieg, S.M. Intraoperative MRI–Based Elastic Fusion for Anatomically Accurate Tractography of the Corticospinal Tract: Correlation with Intraoperative Neuromonitoring and Clinical Status. Neurosurg. Focus 2021, 50, E9. [Google Scholar] [CrossRef]
- Zhang, W.; Ille, S.; Schwendner, M.; Wiestler, B.; Meyer, B.; Krieg, S.M. Tracking Motor and Language Eloquent White Matter Pathways with Intraoperative Fiber Tracking versus Preoperative Tractography Adjusted by Intraoperative MRI–Based Elastic Fusion. J. Neurosurg. 2022, 137, 1114–1123. [Google Scholar] [CrossRef]
- Mazzucchi, E.; Cavlak, L.B.; Pignotti, F.; La Rocca, G.; Cusumano, D.; Rinaldi, P.; Olivi, A.; Sabatino, G. Evaluation of the Extent of Resection of Intracranial Tumors with Virtual Intraoperative MRI: A Case Series. J. Neurosurg. 2024, 141, 695–701. [Google Scholar] [CrossRef]
- Kim, J.T.; Di, L.; Etame, A.B.; Olson, S.; Vogelbaum, M.A.; Tran, N.D. Use of Virtual Magnetic Resonance Imaging to Compensate for Brain Shift during Image-Guided Surgery: Illustrative Case. J. Neurosurg. Case Lessons 2022, 3, CASE21683. [Google Scholar] [CrossRef]
- Senova, S.; Lefaucheur, J.-P.; Brugières, P.; Ayache, S.S.; Tazi, S.; Bapst, B.; Abhay, K.; Langeron, O.; Edakawa, K.; Palfi, S.; et al. Case Report: Multimodal Functional and Structural Evaluation Combining Pre-Operative nTMS Mapping and Neuroimaging With Intraoperative CT-Scan and Brain Shift Correction for Brain Tumor Surgical Resection. Front. Hum. Neurosci. 2021, 15, 646268. [Google Scholar] [CrossRef] [PubMed]
- Schnaudigel, S.; Preul, C.; Ugur, T.; Mentzel, H.J.; Witte, O.W.; Tittgemeyer, M.; Hagemann, G. Positional Brain Deformation Visualized With Magnetic Resonance Morphometry. Neurosurgery 2010, 66, 376. [Google Scholar] [CrossRef]
- Trantakis, C.; Tittgemeyer, M.; Schneider, J.-P.; Lindner, D.; Winkler, D.; Strauß, G.; Meixensberger, J. Investigation of Time-Dependency of Intracranial Brain Shift and Its Relation to the Extent of Tumor Removal Using Intra-Operative MRI. Neurol. Res. 2003, 25, 9–12. [Google Scholar] [CrossRef]
- Henker, C.; Kriesen, T.; Glass, Ä.; Schneider, B.; Piek, J. Volumetric Quantification of Glioblastoma: Experiences with Different Measurement Techniques and Impact on Survival. J. Neurooncol. 2017, 135, 391–402. [Google Scholar] [CrossRef] [PubMed]
- Sanai, N.; Berger, M.S. Glioma extent of resection and its impact on patient outcome. Neurosurgery 2008, 62, 753–766. [Google Scholar] [CrossRef]
- Karschnia, P.; Vogelbaum, M.A.; van den Bent, M.; Cahill, D.P.; Bello, L.; Narita, Y.; Berger, M.S.; Weller, M.; Tonn, J.-C. Evidence-Based Recommendations on Categories for Extent of Resection in Diffuse Glioma. Eur. J. Cancer 2021, 149, 23–33. [Google Scholar] [CrossRef]
- Vincenzo Barbagallo, G.M.; Certo, F.; Di Gregorio, S.; Maione, M.; Garozzo, M.; Peschillo, S.; Altieri, R. Recurrent High-Grade Glioma Surgery: A Multimodal Intraoperative Protocol to Safely Increase Extent of Tumor Resection and Analysis of Its Impact on Patient Outcome. Neurosurg. Focus 2021, 50, E20. [Google Scholar] [CrossRef] [PubMed]
- Certo, F.; Altieri, R.; Grasso, G.; Barbagallo, G.M.V. Role of I-CT, i-US, and Neuromonitoring in Surgical Management of Brain Cavernous Malformations and Arteriovenous Malformations: A Case Series. World Neurosurg. 2022, 159, 402–408. [Google Scholar] [CrossRef] [PubMed]
- Xiao, Y.; Rivaz, H.; Chabanas, M.; Fortin, M.; Machado, I.; Ou, Y.; Heinrich, M.P.; Schnabel, J.A.; Zhong, X.; Maier, A.; et al. Evaluation of MRI to Ultrasound Registration Methods for Brain Shift Correction: The CuRIOUS2018 Challenge. IEEE Trans. Med. Imaging 2020, 39, 777–786. [Google Scholar] [CrossRef] [PubMed]
- Machado, I.; Toews, M.; George, E.; Unadkat, P.; Essayed, W.; Luo, J.; Teodoro, P.; Carvalho, H.; Martins, J.; Golland, P.; et al. Deformable MRI-Ultrasound Registration Using Correlation-Based Attribute Matching for Brain Shift Correction: Accuracy and Generality in Multi-Site Data. Neuroimage 2019, 202, 116094. [Google Scholar] [CrossRef]
- Furuse, M.; Ikeda, N.; Kawabata, S.; Park, Y.; Takeuchi, K.; Fukumura, M.; Tsuji, Y.; Kimura, S.; Kanemitsu, T.; Yagi, R.; et al. Influence of Surgical Position and Registration Methods on Clinical Accuracy of Navigation Systems in Brain Tumor Surgery. Sci. Rep. 2023, 13, 2644. [Google Scholar] [CrossRef] [PubMed]
- Mazzucchi, E.; Hiepe, P.; Langhof, M.; La Rocca, G.; Pignotti, F.; Rinaldi, P.; Sabatino, G. Automatic Rigid Image Fusion of Preoperative MR and Intraoperative US Acquired after Craniotomy. Cancer Imaging 2023, 23, 37. [Google Scholar] [CrossRef]
- Wang, M.N.; Song, Z.J. Properties of the Target Registration Error for Surface Matching in Neuronavigation. Comput. Aided Surg. 2011, 16, 161–169. [Google Scholar] [CrossRef]
- Hartkens, T.; Hill, D.L.G.; Castellano-Smith, A.D.; Hawkes, D.J.; Maurer, C.R.; Martin, A.J.; Hall, W.A.; Liu, H.; Truwit, C.L. Measurement and Analysis of Brain Deformation during Neurosurgery. IEEE Trans. Med. Imaging 2003, 22, 82–92. [Google Scholar] [CrossRef] [PubMed]
- Stummer, W.; Tonn, J.-C.; Goetz, C.; Ullrich, W.; Stepp, H.; Bink, A.; Pietsch, T.; Pichlmeier, U. 5-Aminolevulinic Acid-Derived Tumor Fluorescence: The Diagnostic Accuracy of Visible Fluorescence Qualities as Corroborated by Spectrometry and Histology and Postoperative Imaging. Neurosurgery 2014, 74, 310. [Google Scholar] [CrossRef] [PubMed]
- Roder, C.; Stummer, W.; Coburger, J.; Scherer, M.; Haas, P.; von der Brelie, C.; Kamp, M.A.; Löhr, M.; Hamisch, C.A.; Skardelly, M.; et al. Intraoperative MRI-Guided Resection Is Not Superior to 5-Aminolevulinic Acid Guidance in Newly Diagnosed Glioblastoma: A Prospective Controlled Multicenter Clinical Trial. J. Clin. Oncol. 2023, 41, 5512–5523. [Google Scholar] [CrossRef]
- Zhang, G.; Li, Z.; Si, D.; Shen, L. Diagnostic Ability of Intraoperative Ultrasound for Identifying Tumor Residual in Glioma Surgery Operation. Oncotarget 2017, 8, 73105–73114. [Google Scholar] [CrossRef] [PubMed]
- Wu, H.; Cheng, Y.; Gao, W.; Chen, P.; Wei, Y.; Zhao, H.; Wang, F. Progress in the Application of Ultrasound in Glioma Surgery. Front. Med. 2024, 11, 1388728. [Google Scholar] [CrossRef] [PubMed]
- Della Pepa, G.M.; Ius, T.; La Rocca, G.; Gaudino, S.; Isola, M.; Pignotti, F.; Rapisarda, A.; Mazzucchi, E.; Giordano, C.; Dragonetti, V.; et al. 5-Aminolevulinic Acid and Contrast-Enhanced Ultrasound: The Combination of the Two Techniques to Optimize the Extent of Resection in Glioblastoma Surgery. Neurosurgery 2020, 86, E529–E540. [Google Scholar] [CrossRef]
- Barbagallo, G.; Maione, M.; Peschillo, S.; Signorelli, F.; Visocchi, M.; Sortino, G.; Fiumanò, G.; Certo, F. Intraoperative Computed Tomography, Navigated Ultrasound, 5-Amino-Levulinic Acid Fluorescence and Neuromonitoring in Brain Tumor Surgery: Overtreatment or Useful Tool Combination? J. Neurosurg. Sci. 2019, 68, 31–43. [Google Scholar] [CrossRef] [PubMed]
- Grasso, E.; Certo, F.; Bonomo, G.; Rossitto, M.; Cammarata, G.; Vitaliti, C.; Barbagallo, G. Role of Virtual iMRI in Glioblastoma Surgery: Advantages, Limitations and Correlation with iCT and Brainshift. Brain Spine 2024, 4, 103851. [Google Scholar] [CrossRef]






| Inclusion Criteria | Exclusion Criteria |
|---|---|
| Diagnosis of glioblastoma | Different histological diagnosis |
| Supratentorial localisation | Infratentorial localisation |
| Neuroradiological dataset including pre- and post-operative MRI, intraoperative CT | Unavailable imaging dataset |
| Gross/Subtotal surgical excision | Surgical procedure different from gross/subtotal resection: biopsy, external ventricular drainage (DVE), ventriculoperitoneal shunt (DVP) |
| VARIABLE | Frequency, Mean (SD), or Median (IQR) n = 80 Patients |
|---|---|
| Male | 44 |
| Female | 36 |
| Mean age (years) | 61 years |
| Median craniotomy size (mm) | 70 (21.5) |
| Head positioning | |
| 0° | 9 |
| 30° | 16 |
| 45° | 17 |
| 90° | 21 |
| Prone | 12 |
| Tumour location | |
| Frontal lobe | 22 |
| Parietal lobe | 10 |
| Temporal lobe | 18 |
| Occipital lobe | 3 |
| Insula | 12 |
| Central core | 4 |
| Median tumour volume on pre-operative Gd-enhanced MRI (cm3) | 33.5 (33.9) |
| Median necrosis volume (cm3) | 10 (20.4) |
| Median NTR (with 0 meaning that tumour was entirely fleshy and 1 fully necrotic or colloid) | 0.37 (0.44) |
| Median tumour residual volume on Virtual iMRI (cm3) | 1.88 (7.7) |
| Median tumour volume on post-operative Gd-enhanced MRI (cm3) | 0 (0.8) |
| Mean EOTR | 97% |
| TC | Virtual iMRI | |
|---|---|---|
| FP | 0 | 27 |
| FN | 13 | 0 |
| TP | 17 | 26 |
| TN | 50 | 27 |
| SENSITIVITY | 0.56 | 1 |
| SPECIFICITY | 1 | 0.5 |
| PPV | 1 | 0.49 |
| NPV | 0.79 | 1 |
| Maximum | Minimum | Mean ± SD | ||||
|---|---|---|---|---|---|---|
| RIF | EIF | RIF | EIF | RIF | EIF | |
| Lateral cortical shift | 32 | 22 | 0 | 0 | 12.5 ± 8.9 | 9.6 ± 6.8 |
| Cranio-caudal cortical shift | 30 | 22 | 0 | 0 | 10.9 ± 7.7 | 7.8 ± 5.6 |
| Anterior communicating artery | 3 | 5 | −5 | −4 | −0.8 ± 1.6 | −0.1 ± 1.4 |
| Basilar apex | 2 | 2 | −2 | −3 | −0.3 ± 0.8 | −0.1 ± 0.8 |
| D Midline shift | 9 | 7 | −4 | −6 | 1.5 ± 3 | 1 ± 2.6 |
| D Evan’s index | 19 | 11 | −3 | −10 | 4.8 ± 4.5 | 2.1 ± 3.8 |
Disclaimer/Publisher’s Note: The statements, opinions and data contained in all publications are solely those of the individual author(s) and contributor(s) and not of MDPI and/or the editor(s). MDPI and/or the editor(s) disclaim responsibility for any injury to people or property resulting from any ideas, methods, instructions or products referred to in the content. |
© 2024 by the authors. Licensee MDPI, Basel, Switzerland. This article is an open access article distributed under the terms and conditions of the Creative Commons Attribution (CC BY) license (https://creativecommons.org/licenses/by/4.0/).
Share and Cite
Grasso, E.; Certo, F.; Ganau, M.; Bonomo, G.; Fiumanò, G.; Buscema, G.; Maugeri, A.; Agodi, A.; Barbagallo, G.M.V. Role of Virtual iMRI in Glioblastoma Surgery: Advantages, Limitations, and Correlation with iCT and Brain Shift. Brain Sci. 2025, 15, 35. https://doi.org/10.3390/brainsci15010035
Grasso E, Certo F, Ganau M, Bonomo G, Fiumanò G, Buscema G, Maugeri A, Agodi A, Barbagallo GMV. Role of Virtual iMRI in Glioblastoma Surgery: Advantages, Limitations, and Correlation with iCT and Brain Shift. Brain Sciences. 2025; 15(1):35. https://doi.org/10.3390/brainsci15010035
Chicago/Turabian StyleGrasso, Erica, Francesco Certo, Mario Ganau, Giulio Bonomo, Giuseppa Fiumanò, Giovanni Buscema, Andrea Maugeri, Antonella Agodi, and Giuseppe M. V. Barbagallo. 2025. "Role of Virtual iMRI in Glioblastoma Surgery: Advantages, Limitations, and Correlation with iCT and Brain Shift" Brain Sciences 15, no. 1: 35. https://doi.org/10.3390/brainsci15010035
APA StyleGrasso, E., Certo, F., Ganau, M., Bonomo, G., Fiumanò, G., Buscema, G., Maugeri, A., Agodi, A., & Barbagallo, G. M. V. (2025). Role of Virtual iMRI in Glioblastoma Surgery: Advantages, Limitations, and Correlation with iCT and Brain Shift. Brain Sciences, 15(1), 35. https://doi.org/10.3390/brainsci15010035

