Clinical, Cortical, Subcortical, and White Matter Features of Right Temporal Variant FTD †
Abstract
1. Introduction
2. Materials and Methods
- Ethics Approval
- Participants
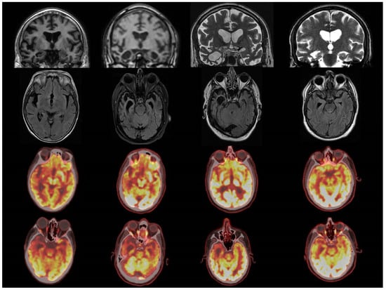
- Neuroimaging
- Morphometric analyses
- White matter analyses
- Subcortical segmentation
- Data availability
- Statistics
3. Results
3.1. Grey Matter Atrophy Patterns
3.2. White Matter Patterns
3.3. Concordance with PET
3.4. Subcortical Grey Matter Volume Alterations
3.5. Clinical Profiles
4. Discussion
- Clinical observations
- Radiological considerations
- Academic considerations
- ALS-FTD
- Subcortical involvement in ALS-FTD and FTD phenotypes
- Clinical implications
- Study limitations
- Future directions
5. Conclusions
Author Contributions
Funding
Institutional Review Board Statement
Informed Consent Statement
Data Availability Statement
Acknowledgments
Conflicts of Interest
Glossary
References
- Gorno-Tempini, M.L.; Hillis, A.E.; Weintraub, S.; Kertesz, A.; Mendez, M.; Cappa, S.F.; Ogar, J.M.; Rohrer, J.D.; Black, S.; Boeve, B.F.; et al. Classification of primary progressive aphasia and its variants. Neurology 2011, 76, 1006–1014. [Google Scholar] [CrossRef] [PubMed]
- Strong, M.J.; Abrahams, S.; Goldstein, L.H.; Woolley, S.; McLaughlin, P.; Snowden, J.; Mioshi, E.; Roberts-South, A.; Benatar, M.; HortobaGyi, T.; et al. Amyotrophic lateral sclerosis—Frontotemporal spectrum disorder (ALS-FTSD): Revised diagnostic criteria. Amyotroph. Lateral Scler. Front. Degener. 2017, 18, 153–174. [Google Scholar] [CrossRef] [PubMed]
- Rohrer, J.D.; Lashley, T.; Schott, J.M.; Warren, J.E.; Mead, S.; Isaacs, A.M.; Beck, J.; Hardy, J.; de Silva, R.; Warrington, E.; et al. Clinical and neuroanatomical signatures of tissue pathology in frontotemporal lobar degeneration. Brain A J. Neurol. 2011, 134, 2565–2581. [Google Scholar] [CrossRef]
- Lomen-Hoerth, C. Clinical Phenomenology and Neuroimaging Correlates in ALS-FTD. J. Mol. Neurosci. 2011, 45, 656–662. [Google Scholar] [CrossRef] [PubMed]
- Strong, M.J.; Grace, G.M.; Freedman, M.; Lomen-Hoerth, C.; Woolley, S.; Goldstein, L.H.; Murphy, J.; Shoesmith, C.; Rosenfeld, J.; Leigh, P.N.; et al. Consensus criteria for the diagnosis of frontotemporal cognitive and behavioural syndromes in amyotrophic lateral sclerosis. Amyotroph. Lateral Scler. 2009, 10, 131–146. [Google Scholar] [CrossRef]
- Rascovsky, K.; Hodges, J.R.; Knopman, D.; Mendez, M.F.; Kramer, J.H.; Neuhaus, J.; van Swieten, J.C.; Seelaar, H.; Dopper, E.G.P.; Onyike, C.U.; et al. Sensitivity of revised diagnostic criteria for the behavioural variant of frontotemporal dementia. Brain A J. Neurol. 2011, 134, 2456–2477. [Google Scholar] [CrossRef]
- Seelaar, H.; Rohrer, J.D.; Pijnenburg, Y.A.L.; Fox, N.C.; van Swieten, J.C. Clinical, genetic and pathological heterogeneity of frontotemporal dementia: A review. J. Neurol. Neurosurg. Psychiatry 2011, 82, 476–486. [Google Scholar] [CrossRef]
- Raaphorst, J.; De Visser, M.; Linssen, W.H.J.P.; De Haan, R.J.; Schmand, B. The cognitive profile of amyotrophic lateral sclerosis: A meta-analysis. Amyotroph. Lateral Scler. 2010, 11, 27–37. [Google Scholar] [CrossRef]
- Lomen-Hoerth, C.; Murphy, J.; Langmore, S.; Kramer, J.H.; Olney, R.K.; Miller, B. Are amyotrophic lateral sclerosis patients cognitively normal? Neurology 2003, 60, 1094–1097. [Google Scholar] [CrossRef]
- Woolley, S.; Goetz, R.; Factor-Litvak, P.; Murphy, J.; Hupf, J.; Lomen-Hoerth, C.; Andrews, H.; Heitzman, D.; Bedlack, R.; Katz, J.; et al. Longitudinal Screening Detects Cognitive Stability and Behavioral Deterioration in ALS Patients. Behav. Neurol. 2018, 2018, 5969137. [Google Scholar] [CrossRef]
- Woolley, S.C.; York, M.K.; Moore, D.H.; Strutt, A.M.; Murphy, J.; Schulz, P.E.; Katz, J.S. Detecting frontotemporal dysfunction in ALS: Utility of the ALS Cognitive Behavioral Screen (ALS-CBS). Amyotroph. Lateral Scler. Off. Publ. World Fed. Neurol. Res. Group Mot. Neuron Dis. 2010, 11, 303–311. [Google Scholar] [CrossRef] [PubMed]
- Goldstein, L.H.; Abrahams, S. Changes in cognition and behaviour in amyotrophic lateral sclerosis: Nature of impairment and implications for assessment. Lancet Neurol. 2013, 12, 368–380. [Google Scholar] [CrossRef] [PubMed]
- Geser, F.; Prvulovic, D.; O’Dwyer, L.; Hardiman, O.; Bede, P.; Bokde, A.L.; Trojanowski, J.Q.; Hampel, H. On the development of markers for pathological TDP-43 in amyotrophic lateral sclerosis with and without dementia. Prog. Neurobiol. 2011, 95, 649–662. [Google Scholar] [CrossRef] [PubMed]
- DeJesus-Hernandez, M.; Mackenzie, I.R.; Boeve, B.F.; Boxer, A.L.; Baker, M.; Rutherford, N.J.; Nicholson, A.M.; Finch, N.A.; Flynn, H.; Adamson, J.; et al. Expanded GGGGCC hexanucleotide repeat in noncoding region of C9ORF72 causes chromosome 9p-linked FTD and ALS. Neuron 2011, 72, 245–256. [Google Scholar] [CrossRef]
- Rohrer, J.D.; Isaacs, A.M.; Mizlienska, S.; Mead, S.; Lashley, T.; Wray, S.; Sidle, K.; Fratta, P.; Orrell, R.W.; Hardy, J.; et al. C9orf72 expansions in frontotemporal dementia and amyotrophic lateral sclerosis. Lancet Neurol. 2015, 14, 291–301. [Google Scholar] [CrossRef] [PubMed]
- Abrahams, S.; Leigh, P.N.; Harvey, A.; Vythelingum, G.N.; Grise, D.; Goldstein, L.H. Verbal fluency and executive dysfunction in amyotrophic lateral sclerosis (ALS). Neuropsychologia 2000, 38, 734–747. [Google Scholar] [CrossRef]
- Abrahams, S.; Goldstein, L.H.; Kew, J.J.; Brooks, D.J.; Lloyd, C.M.; Frith, C.D.; Leigh, P.N. Frontal lobe dysfunction in amyotrophic lateral sclerosis. A PET study. Brain A J. Neurol. 1996, 119 Pt 6, 2105–2120. [Google Scholar] [CrossRef]
- Kew, J.J.; Goldstein, L.H.; Leigh, P.N.; Abrahams, S.; Cosgrave, N.; Passingham, R.E.; Frackowiak, R.S.; Brooks, D.J. The relationship between abnormalities of cognitive function and cerebral activation in amyotrophic lateral sclerosis. A neuropsychological and positron emission tomography study. Brain A J. Neurol. 1993, 116 Pt 6, 1399–1423. [Google Scholar] [CrossRef]
- Hodges, J.R.; Mitchell, J.; Dawson, K.; Spillantini, M.G.; Xuereb, J.H.; McMonagle, P.; Nestor, P.J.; Patterson, K. Semantic dementia: Demography, familial factors and survival in a consecutive series of 100 cases. Brain A J. Neurol. 2010, 133, 300–306. [Google Scholar] [CrossRef] [PubMed]
- Spinelli, E.G.; Ghirelli, A.; Basaia, S.; Cividini, C.; Riva, N.; Canu, E.; Castelnovo, V.; Domi, T.; Magnani, G.; Caso, F.; et al. Structural MRI Signatures in Genetic Presentations of the Frontotemporal Dementia/Motor Neuron Disease Spectrum. Neurology 2021, 97, e1594–e1607. [Google Scholar] [CrossRef]
- Belder, C.R.S.; Chokesuwattanaskul, A.; Marshall, C.R.; Hardy, C.J.D.; Rohrer, J.D.; Warren, J.D. The problematic syndrome of right temporal lobe atrophy: Unweaving the phenotypic rainbow. Front. Neurol. 2022, 13, 1082828. [Google Scholar] [CrossRef] [PubMed]
- Ulugut Erkoyun, H.; Groot, C.; Heilbron, R.; Nelissen, A.; van Rossum, J.; Jutten, R.; Koene, T.; van der Flier, W.M.; Wattjes, M.P.; Scheltens, P.; et al. A clinical-radiological framework of the right temporal variant of frontotemporal dementia. Brain 2020, 143, 2831–2843. [Google Scholar] [CrossRef] [PubMed]
- Younes, K.; Borghesani, V.; Montembeault, M.; Spina, S.; Mandelli, M.L.; Welch, A.E.; Weis, E.; Callahan, P.; Elahi, F.M.; Hua, A.Y.; et al. Right temporal degeneration and socioemotional semantics: Semantic behavioural variant frontotemporal dementia. Brain A J. Neurol. 2022, 145, 4080–4096. [Google Scholar] [CrossRef] [PubMed]
- Kumfor, F.; Landin-Romero, R.; Devenney, E.; Hutchings, R.; Grasso, R.; Hodges, J.R.; Piguet, O. On the right side? A longitudinal study of left- versus right-lateralized semantic dementia. Brain 2016, 139, 986–998. [Google Scholar] [CrossRef] [PubMed]
- Seeley, W.W.; Bauer, A.M.; Miller, B.L.; Gorno-Tempini, M.L.; Kramer, J.H.; Weiner, M.; Rosen, H.J. The natural history of temporal variant frontotemporal dementia. Neurology 2005, 64, 1384–1390. [Google Scholar] [CrossRef]
- Edwards-Lee, T.; Miller, B.L.; Benson, D.F.; Cummings, J.L.; Russell, G.L.; Boone, K.; Mena, I. The temporal variant of frontotemporal dementia. Brain 1997, 120 Pt 6, 1027–1040. [Google Scholar] [CrossRef] [PubMed]
- Chan, D.; Anderson, V.; Pijnenburg, Y.; Whitwell, J.; Barnes, J.; Scahill, R.; Stevens, J.M.; Barkhof, F.; Scheltens, P.; Rossor, M.N.; et al. The clinical profile of right temporal lobe atrophy. Brain 2009, 132, 1287–1298. [Google Scholar] [CrossRef] [PubMed]
- Abrahams, S.; Newton, J.; Niven, E.; Foley, J.; Bak, T.H. Screening for cognition and behaviour changes in ALS. Amyotroph. Lateral Scler. Front. Degener. 2014, 15, 9–14. [Google Scholar] [CrossRef] [PubMed]
- Brooks, B.R.; Miller, R.G.; Swash, M.; Munsat, T.L.; Gr, W.F.N.R. El Escorial revisited: Revised criteria for the diagnosis of amyotrophic lateral sclerosis. Amyotroph. Lateral Scler. 2000, 1, 293–299. [Google Scholar] [CrossRef]
- Douaud, G.; Smith, S.; Jenkinson, M.; Behrens, T.; Johansen-Berg, H.; Vickers, J.; James, S.; Voets, N.; Watkins, K.; Matthews, P.M.; et al. Anatomically related grey and white matter abnormalities in adolescent-onset schizophrenia. Brain A J. Neurol. 2007, 130, 2375–2386. [Google Scholar] [CrossRef]
- Good, C.D.; Johnsrude, I.S.; Ashburner, J.; Henson, R.N.; Friston, K.J.; Frackowiak, R.S. A voxel-based morphometric study of ageing in 465 normal adult human brains. NeuroImage 2001, 14, 21–36. [Google Scholar] [CrossRef] [PubMed]
- Smith, S.M.; Jenkinson, M.; Woolrich, M.W.; Beckmann, C.F.; Behrens, T.E.; Johansen-Berg, H.; Bannister, P.R.; De Luca, M.; Drobnjak, I.; Flitney, D.E.; et al. Advances in functional and structural MR image analysis and implementation as FSL. NeuroImage 2004, 23 (Suppl. 1), S208–S219. [Google Scholar] [CrossRef] [PubMed]
- Smith, S.M. Fast robust automated brain extraction. Hum. Brain Mapp. 2002, 17, 143–155. [Google Scholar] [CrossRef] [PubMed]
- Winkler, A.M.; Ridgway, G.R.; Webster, M.A.; Smith, S.M.; Nichols, T.E. Permutation inference for the general linear model. NeuroImage 2014, 92, 381–397. [Google Scholar] [CrossRef]
- Smith, S.M.; Nichols, T.E. Threshold-free cluster enhancement: Addressing problems of smoothing, threshold dependence and localisation in cluster inference. NeuroImage 2009, 44, 83–98. [Google Scholar] [CrossRef]
- Smith, S.M.; Jenkinson, M.; Johansen-Berg, H.; Rueckert, D.; Nichols, T.E.; Mackay, C.E.; Watkins, K.E.; Ciccarelli, O.; Cader, M.Z.; Matthews, P.M.; et al. Tract-based spatial statistics: Voxelwise analysis of multi-subject diffusion data. NeuroImage 2006, 31, 1487–1505. [Google Scholar] [CrossRef]
- Fischl, B. FreeSurfer. NeuroImage 2012, 62, 774–781. [Google Scholar] [CrossRef] [PubMed]
- Fischl, B.; Dale, A.M. Measuring the thickness of the human cerebral cortex from magnetic resonance images. Proc. Natl. Acad. Sci. USA 2000, 97, 11050–11055. [Google Scholar] [CrossRef] [PubMed]
- Fischl, B.; Salat, D.H.; Busa, E.; Albert, M.; Dieterich, M.; Haselgrove, C.; van der Kouwe, A.; Killiany, R.; Kennedy, D.; Klaveness, S.; et al. Whole brain segmentation: Automated labeling of neuroanatomical structures in the human brain. Neuron 2002, 33, 341–355. [Google Scholar] [CrossRef]
- Buckner, R.L.; Head, D.; Parker, J.; Fotenos, A.F.; Marcus, D.; Morris, J.C.; Snyder, A.Z. A unified approach for morphometric and functional data analysis in young, old, and demented adults using automated atlas-based head size normalization: Reliability and validation against manual measurement of total intracranial volume. NeuroImage 2004, 23, 724–738. [Google Scholar] [CrossRef]
- Turner, M.R.; Talbot, K. Sweet food preference in amyotrophic lateral sclerosis. Pract. Neurol. 2017, 17, 128–129. [Google Scholar] [CrossRef]
- Sun, S.W.; Liang, H.F.; Trinkaus, K.; Cross, A.H.; Armstrong, R.C.; Song, S.K. Noninvasive detection of cuprizone induced axonal damage and demyelination in the mouse corpus callosum. Magn. Reson. Med. Off. J. Soc. Magn. Reson. Med. Soc. Magn. Reson. Med. 2006, 55, 302–308. [Google Scholar] [CrossRef]
- Song, S.K.; Sun, S.W.; Ramsbottom, M.J.; Chang, C.; Russell, J.; Cross, A.H. Dysmyelination revealed through MRI as increased radial (but unchanged axial) diffusion of water. NeuroImage 2002, 17, 1429–1436. [Google Scholar] [CrossRef]
- Neary, D.; Snowden, J.S.; Gustafson, L.; Passant, U.; Stuss, D.; Black, S.; Freedman, M.; Kertesz, A.; Robert, P.H.; Albert, M.; et al. Frontotemporal lobar degeneration. Neurology 1998, 51, 1546. [Google Scholar] [CrossRef]
- Kamminga, J.; Kumfor, F.; Burrell, J.R.; Piguet, O.; Hodges, J.R.; Irish, M. Differentiating between right-lateralised semantic dementia and behavioural-variant frontotemporal dementia: An examination of clinical characteristics and emotion processing. J. Neurol. Neurosurg. Psychiatry 2015, 86, 1082–1088. [Google Scholar] [CrossRef] [PubMed]
- Szaflarski, J.P.; Binder, J.R.; Possing, E.T.; McKiernan, K.A.; Ward, B.D.; Hammeke, T.A. Language lateralization in left-handed and ambidextrous people. Neurology 2002, 59, 238. [Google Scholar] [CrossRef] [PubMed]
- Ghirelli, A.; Spinelli, E.G.; Canu, E.; Basaia, S.; Castelnovo, V.; Cecchetti, G.; Sibilla, E.; Domi, T.; Magnani, G.; Caso, F.; et al. Clinical and neuroanatomical characterization of the semantic behavioral variant of frontotemporal dementia in a multicenter Italian cohort. J. Neurol. 2024, 271, 4203–4215. [Google Scholar] [CrossRef] [PubMed]
- Brambati, S.M.; Rankin, K.P.; Narvid, J.; Seeley, W.W.; Dean, D.; Rosen, H.J.; Miller, B.L.; Ashburner, J.; Gorno-Tempini, M.L. Atrophy progression in semantic dementia with asymmetric temporal involvement: A tensor-based morphometry study. Neurobiol. Aging 2009, 30, 103–111. [Google Scholar] [CrossRef]
- Rosen, H.J.; Perry, R.J.; Murphy, J.; Kramer, J.H.; Mychack, P.; Schuff, N.; Weiner, M.; Levenson, R.W.; Miller, B.L. Emotion comprehension in the temporal variant of frontotemporal dementia. Brain 2002, 125, 2286–2295. [Google Scholar] [CrossRef]
- Gainotti, G. Different patterns of famous people recognition disorders in patients with right and left anterior temporal lesions: A systematic review. Neuropsychologia 2007, 45, 1591–1607. [Google Scholar] [CrossRef]
- Irish, M.; Kumfor, F.; Hodges, J.R.; Piguet, O. A tale of two hemispheres: Contrasting socioemotional dysfunction in right- versus left-lateralised semantic dementia. Dement. Neuropsychol. 2013, 7, 88–95. [Google Scholar] [CrossRef]
- Rankin, K.P.; Gorno-Tempini, M.L.; Allison, S.C.; Stanley, C.M.; Glenn, S.; Weiner, M.W.; Miller, B.L. Structural anatomy of empathy in neurodegenerative disease. Brain A J. Neurol. 2006, 129, 2945–2956. [Google Scholar] [CrossRef]
- Irish, M.; Hodges, J.R.; Piguet, O. Right anterior temporal lobe dysfunction underlies theory of mind impairments in semantic dementia. Brain 2014, 137, 1241–1253. [Google Scholar] [CrossRef]
- Rankin, K.P.; Salazar, A.; Gorno-Tempini, M.L.; Sollberger, M.; Wilson, S.M.; Pavlic, D.; Stanley, C.M.; Glenn, S.; Weiner, M.W.; Miller, B.L. Detecting sarcasm from paralinguistic cues: Anatomic and cognitive correlates in neurodegenerative disease. Neuroimage 2009, 47, 2005–2015. [Google Scholar] [CrossRef]
- Mendez, M.F.; McMurtray, A.; Chen, A.K.; Shapira, J.S.; Mishkin, F.; Miller, B.L. Functional neuroimaging and presenting psychiatric features in frontotemporal dementia. J. Neurol. Neurosurg. Psychiatry 2006, 77, 4–7. [Google Scholar] [CrossRef]
- Ulugut, H.; Dijkstra, A.A.; Scarioni, M.; Barkhof, F.; Scheltens, P.; Rozemuller, A.J.M.; Pijnenburg, Y.A.L. Right temporal variant frontotemporal dementia is pathologically heterogeneous: A case-series and a systematic review. Acta Neuropathol. Commun. 2021, 9, 131. [Google Scholar] [CrossRef] [PubMed]
- Josephs, K.A.; Whitwell, J.L.; Knopman, D.S.; Boeve, B.F.; Vemuri, P.; Senjem, M.L.; Parisi, J.E.; Ivnik, R.J.; Dickson, D.W.; Petersen, R.C.; et al. Two distinct subtypes of right temporal variant frontotemporal dementia. Neurology 2009, 73, 1443–1450. [Google Scholar] [CrossRef]
- McKenna, M.C.; Corcia, P.; Couratier, P.; Siah, W.F.; Pradat, P.F.; Bede, P. Frontotemporal Pathology in Motor Neuron Disease Phenotypes: Insights From Neuroimaging. Front. Neurol. 2021, 12, 723450. [Google Scholar] [CrossRef] [PubMed]
- McKenna, M.C.; Chipika, R.H.; Li Hi Shing, S.; Christidi, F.; Lope, J.; Doherty, M.A.; Hengeveld, J.C.; Vajda, A.; McLaughlin, R.L.; Hardiman, O.; et al. Infratentorial pathology in frontotemporal dementia: Cerebellar grey and white matter alterations in FTD phenotypes. J. Neurol. 2021, 268, 4687–4697. [Google Scholar] [CrossRef] [PubMed]
- Abrahams, S.; Leigh, P.N.; Goldstein, L.H. Cognitive change in ALS—A prospective study. Neurology 2005, 64, 1222–1226. [Google Scholar] [CrossRef]
- Costello, E.; Rooney, J.; Pinto-Grau, M.; Burke, T.; Elamin, M.; Bede, P.; McMackin, R.; Dukic, S.; Vajda, A.; Heverin, M.; et al. Cognitive reserve in amyotrophic lateral sclerosis (ALS): A population-based longitudinal study. J. Neurol. Neurosurg. Psychiatry 2021, 92, 460–465. [Google Scholar] [CrossRef] [PubMed]
- Tahedl, M.; Li Hi Shing, S.; Finegan, E.; Chipika, R.H.; Lope, J.; Hardiman, O.; Bede, P. Propagation patterns in motor neuron diseases: Individual and phenotype-associated disease-burden trajectories across the UMN-LMN spectrum of MNDs. Neurobiol. Aging 2021, 109, 78–87. [Google Scholar] [CrossRef] [PubMed]
- Bede, P.; Chipika, R.H.; Christidi, F.; Hengeveld, J.C.; Karavasilis, E.; Argyropoulos, G.D.; Lope, J.; Li Hi Shing, S.; Velonakis, G.; Dupuis, L.; et al. Genotype-associated cerebellar profiles in ALS: Focal cerebellar pathology and cerebro-cerebellar connectivity alterations. J. Neurol. Neurosurg. Psychiatry 2021, 92, 1197–1205. [Google Scholar] [CrossRef] [PubMed]
- Finegan, E.; Hi Shing, S.L.; Chipika, R.H.; McKenna, M.C.; Doherty, M.A.; Hengeveld, J.C.; Vajda, A.; Donaghy, C.; McLaughlin, R.L.; Hutchinson, S.; et al. Thalamic, hippocampal and basal ganglia pathology in primary lateral sclerosis and amyotrophic lateral sclerosis: Evidence from quantitative imaging data. Data Brief 2020, 29, 105115. [Google Scholar] [CrossRef] [PubMed]
- Abrahams, S.; Leigh, P.N.; Kew, J.J.; Goldstein, L.H.; Lloyd, C.M.; Brooks, D.J. A positron emission tomography study of frontal lobe function (verbal fluency) in amyotrophic lateral sclerosis. J. Neurol. Sci. 1995, 129, 44–46. [Google Scholar] [CrossRef] [PubMed]
- Abrahams, S.; Goldstein, L.H.; Suckling, J.; Ng, V.; Simmons, A.; Chitnis, X.; Atkins, L.; Williams, S.C.R.; Leigh, P.N. Frontotemporal white matter changes in amyotrophic lateral sclerosis. J. Neurol. 2005, 252, 321–331. [Google Scholar] [CrossRef] [PubMed]
- Pettit, L.D.; Bastin, M.E.; Smith, C.; Bak, T.H.; Gillingwater, T.H.; Abrahams, S. Executive deficits, not processing speed relates to abnormalities in distinct prefrontal tracts in amyotrophic lateral sclerosis. Brain A J. Neurol. 2013, 136, 3290–3304. [Google Scholar] [CrossRef]
- Goldstein, L.H.; Newsom-Davis, I.C.; Bryant, V.; Brammer, M.; Leigh, P.N.; Simmons, A. Altered patterns of cortical activation in ALS patients during attention and cognitive response inhibition tasks. J. Neurol. 2011, 258, 2186–2198. [Google Scholar] [CrossRef][Green Version]
- Abrahams, S.; Goldstein, L.H.; Lloyd, C.M.; Brooks, D.J.; Leigh, P.N. Cognitive deficits in non-demented amyotrophic lateral sclerosis patients: A neuropsychological investigation. J. Neurol. Sci. 1995, 129, 54–55. [Google Scholar] [CrossRef]
- Finegan, E.; Chipika, R.H.; Li Hi Shing, S.; Hardiman, O.; Bede, P. Pathological Crying and Laughing in Motor Neuron Disease: Pathobiology, Screening, Intervention. Front. Neurol. 2019, 10, 260. [Google Scholar] [CrossRef]
- Burke, T.; Lonergan, K.; Pinto-Grau, M.; Elamin, M.; Bede, P.; Madden, C.; Hardiman, O.; Pender, N. Visual encoding, consolidation, and retrieval in amyotrophic lateral sclerosis: Executive function as a mediator, and predictor of performance. Amyotroph. Lateral Scler. Front. Degener. 2017, 18, 193–201. [Google Scholar] [CrossRef]
- Burke, T.; Elamin, M.; Bede, P.; Pinto-Grau, M.; Lonergan, K.; Hardiman, O.; Pender, N. Discordant performance on the ‘Reading the Mind in the Eyes’ Test, based on disease onset in amyotrophic lateral sclerosis. Amyotroph. Lateral Scler. Front. Degener. 2016, 17, 467–472. [Google Scholar] [CrossRef]
- Tahedl, M.; Tan, E.L.; Chipika, R.H.; Lope, J.; Hengeveld, J.C.; Doherty, M.A.; McLaughlin, R.L.; Hardiman, O.; Hutchinson, S.; McKenna, M.C.; et al. The involvement of language-associated networks, tracts, and cortical regions in frontotemporal dementia and amyotrophic lateral sclerosis: Structural and functional alterations. Brain Behav. 2023, 13, e3250. [Google Scholar] [CrossRef]
- Radakovic, R.; Stephenson, L.; Colville, S.; Swingler, R.; Chandran, S.; Abrahams, S. Multidimensional apathy in ALS: Validation of the Dimensional Apathy Scale. J. Neurol. Neurosurg. Psychiatry 2016, 87, 663–669. [Google Scholar] [CrossRef]
- Machts, J.; Bittner, V.; Kasper, E.; Schuster, C.; Prudlo, J.; Abdulla, S.; Kollewe, K.; Petri, S.; Dengler, R.; Heinze, H.J.; et al. Memory deficits in amyotrophic lateral sclerosis are not exclusively caused by executive dysfunction: A comparative neuropsychological study of amnestic mild cognitive impairment. BMC Neurosci. 2014, 15, 83. [Google Scholar] [CrossRef] [PubMed]
- Bak, T.H.; Hodges, J.R. Motor neurone disease, dementia and aphasia: Coincidence, co-occurrence or continuum? J. Neurol. 2001, 248, 260–270. [Google Scholar] [CrossRef]
- Taylor, L.J.; Brown, R.G.; Tsermentseli, S.; Al-Chalabi, A.; Shaw, C.E.; Ellis, C.M.; Leigh, P.N.; Goldstein, L.H. Is language impairment more common than executive dysfunction in amyotrophic lateral sclerosis? J. Neurol. Neurosurg. Psychiatry 2013, 84, 494–498. [Google Scholar] [CrossRef] [PubMed]
- Woolley, S.C.; Zhang, Y.; Schuff, N.; Weiner, M.W.; Katz, J.S. Neuroanatomical correlates of apathy in ALS using 4 Tesla diffusion tensor MRI. Amyotroph. Lateral Scler. 2011, 12, 52–58. [Google Scholar] [CrossRef]
- Olney, R.K.; Murphy, J.; Forshew, D.; Garwood, E.; Miller, B.L.; Langmore, S.; Kohn, M.A.; Lomen-Hoerth, C. The effects of executive and behavioral dysfunction on the course of ALS. Neurology 2005, 65, 1774–1777. [Google Scholar] [CrossRef]
- Chio, A.; Ilardi, A.; Cammarosano, S.; Moglia, C.; Montuschi, A.; Calvo, A. Neurobehavioral dysfunction in ALS has a negative effect on outcome and use of PEG and NIV. Neurology 2012, 78, 1085–1089. [Google Scholar] [CrossRef]
- Chio, A.; Vignola, A.; Mastro, E.; Giudici, A.D.; Iazzolino, B.; Calvo, A.; Moglia, C.; Montuschi, A. Neurobehavioral symptoms in ALS are negatively related to caregivers’ burden and quality of life. Eur. J. Neurol. 2010, 17, 1298–1303. [Google Scholar] [CrossRef]
- Mavridis, I.N.; Pyrgelis, E.S. Nucleus accumbens changes in amyotrophic lateral sclerosis. Am. J. Neurodegener. Dis. 2023, 12, 85–88. [Google Scholar] [PubMed]
- Christidi, F.; Argyropoulos, G.D.; Karavasilis, E.; Velonakis, G.; Zouvelou, V.; Kourtesis, P.; Pantoleon, V.; Tan, E.L.; Daponte, A.; Aristeidou, S.; et al. Hippocampal Metabolic Alterations in Amyotrophic Lateral Sclerosis: A Magnetic Resonance Spectroscopy Study. Life 2023, 13, 571. [Google Scholar] [CrossRef]
- Chipika, R.H.; Christidi, F.; Finegan, E.; Li Hi Shing, S.; McKenna, M.C.; Chang, K.M.; Karavasilis, E.; Doherty, M.A.; Hengeveld, J.C.; Vajda, A.; et al. Amygdala pathology in amyotrophic lateral sclerosis and primary lateral sclerosis. J. Neurol. Sci. 2020, 417, 117039. [Google Scholar] [CrossRef]
- Anderson, V.E.; Cairns, N.J.; Leigh, P.N. Involvement of the amygdala, dentate and hippocampus in motor neuron disease. J. Neurol. Sci. 1995, 129, 75–78. [Google Scholar] [CrossRef]
- Chipika, R.H.; Finegan, E.; Li Hi Shing, S.; McKenna, M.C.; Christidi, F.; Chang, K.M.; Doherty, M.A.; Hengeveld, J.C.; Vajda, A.; Pender, N.; et al. “Switchboard” malfunction in motor neuron diseases: Selective pathology of thalamic nuclei in amyotrophic lateral sclerosis and primary lateral sclerosis. NeuroImage Clin. 2020, 27, 102300. [Google Scholar] [CrossRef] [PubMed]
- Chio, A.; Pagani, M.; Agosta, F.; Calvo, A.; Cistaro, A.; Filippi, M. Neuroimaging in amyotrophic lateral sclerosis: Insights into structural and functional changes. Lancet Neurol. 2014, 13, 1228–1240. [Google Scholar] [CrossRef] [PubMed]
- Bonelli, R.M.; Cummings, J.L. Frontal-subcortical circuitry and behavior. Dialogues Clin. Neurosci. 2007, 9, 141–151. [Google Scholar] [CrossRef] [PubMed]
- O’Callaghan, C.; Bertoux, M.; Hornberger, M. Beyond and below the cortex: The contribution of striatal dysfunction to cognition and behaviour in neurodegeneration. J. Neurol. Neurosurg. Psychiatry 2013, 85, 371–378. [Google Scholar] [CrossRef]
- Meier, J.M.; van der Burgh, H.K.; Nitert, A.D.; Bede, P.; de Lange, S.C.; Hardiman, O.; van den Berg, L.H.; van den Heuvel, M.P. Connectome-Based Propagation Model in Amyotrophic Lateral Sclerosis. Ann. Neurol. 2020, 87, 725–738. [Google Scholar] [CrossRef]
- Dukic, S.; McMackin, R.; Costello, E.; Metzger, M.; Buxo, T.; Fasano, A.; Chipika, R.; Pinto-Grau, M.; Schuster, C.; Hammond, M.; et al. Resting-state EEG reveals four subphenotypes of amyotrophic lateral sclerosis. Brain A J. Neurol. 2022, 145, 621–631. [Google Scholar] [CrossRef] [PubMed]
- Bocchetta, M.; Gordon, E.; Cardoso, M.J.; Modat, M.; Ourselin, S.; Warren, J.D.; Rohrer, J.D. Thalamic atrophy in frontotemporal dementia—Not just a C9orf72 problem. NeuroImage Clin. 2018, 18, 675–681. [Google Scholar] [CrossRef] [PubMed]
- Bocchetta, M.; Todd, E.G.; Peakman, G.; Cash, D.M.; Convery, R.S.; Russell, L.L.; Thomas, D.L.; Eugenio Iglesias, J.; van Swieten, J.C.; Jiskoot, L.C.; et al. Differential early subcortical involvement in genetic FTD within the GENFI cohort. NeuroImage Clin. 2021, 30, 102646. [Google Scholar] [CrossRef] [PubMed]
- McKenna, M.C.; Li Hi Shing, S.; Murad, A.; Lope, J.; Hardiman, O.; Hutchinson, S.; Bede, P. Focal thalamus pathology in frontotemporal dementia: Phenotype-associated thalamic profiles. J. Neurol. Sci. 2022, 436, 120221. [Google Scholar] [CrossRef]
- McKenna, M.C.; Lope, J.; Bede, P.; Tan, E.L. Thalamic pathology in frontotemporal dementia: Predilection for specific nuclei, phenotype-specific signatures, clinical correlates, and practical relevance. Brain Behav. 2023, 13, e2881. [Google Scholar] [CrossRef]
- Finegan, E.; Li Hi Shing, S.; Chipika, R.H.; Doherty, M.A.; Hengeveld, J.C.; Vajda, A.; Donaghy, C.; Pender, N.; McLaughlin, R.L.; Hardiman, O.; et al. Widespread subcortical grey matter degeneration in primary lateral sclerosis: A multimodal imaging study with genetic profiling. NeuroImage Clin. 2019, 24, 102089. [Google Scholar] [CrossRef]
- Finegan, E.; Shing, S.L.H.; Chipika, R.H.; Chang, K.M.; McKenna, M.C.; Doherty, M.A.; Hengeveld, J.C.; Vajda, A.; Pender, N.; Donaghy, C.; et al. Extra-motor cerebral changes and manifestations in primary lateral sclerosis. Brain Imaging Behav. 2021, 15, 2283–2296. [Google Scholar] [CrossRef]
- Bertrand, A.; Wen, J.; Rinaldi, D.; Houot, M.; Sayah, S.; Camuzat, A.; Fournier, C.; Fontanella, S.; Routier, A.; Couratier, P.; et al. Early Cognitive, Structural, and Microstructural Changes in Presymptomatic C9orf72 Carriers Younger Than 40 Years. JAMA Neurol. 2018, 75, 236–245. [Google Scholar] [CrossRef]
- Bede, P.; Lulé, D.; Müller, H.P.; Tan, E.L.; Dorst, J.; Ludolph, A.C.; Kassubek, J. Presymptomatic grey matter alterations in ALS kindreds: A computational neuroimaging study of asymptomatic C9orf72 and SOD1 mutation carriers. J. Neurol. 2023, 270, 4235–4247. [Google Scholar] [CrossRef]
- Chipika, R.H.; Siah, W.F.; McKenna, M.C.; Li Hi Shing, S.; Hardiman, O.; Bede, P. The presymptomatic phase of amyotrophic lateral sclerosis: Are we merely scratching the surface? J. Neurol. 2021, 268, 4607–4629. [Google Scholar] [CrossRef]
- Westeneng, H.J.; Walhout, R.; Straathof, M.; Schmidt, R.; Hendrikse, J.; Veldink, J.H.; van den Heuvel, M.P.; van den Berg, L.H. Widespread structural brain involvement in ALS is not limited to the C9orf72 repeat expansion. J. Neurol. Neurosurg. Psychiatry 2016, 87, 1354–1360. [Google Scholar] [CrossRef] [PubMed]
- Li Hi Shing, S.; McKenna, M.C.; Siah, W.F.; Chipika, R.H.; Hardiman, O.; Bede, P. The imaging signature of C9orf72 hexanucleotide repeat expansions: Implications for clinical trials and therapy development. Brain Imaging Behav. 2021, 15, 2693–2719. [Google Scholar] [CrossRef] [PubMed]
- van de Pol, L.A.; Hensel, A.; van der Flier, W.M.; Visser, P.J.; Pijnenburg, Y.A.; Barkhof, F.; Gertz, H.J.; Scheltens, P. Hippocampal atrophy on MRI in frontotemporal lobar degeneration and Alzheimer’s disease. J. Neurol. Neurosurg. Psychiatry 2006, 77, 439–442. [Google Scholar] [CrossRef] [PubMed]
- Christidi, F.; Karavasilis, E.; Velonakis, G.; Ferentinos, P.; Rentzos, M.; Kelekis, N.; Evdokimidis, I.; Bede, P. The Clinical and Radiological Spectrum of Hippocampal Pathology in Amyotrophic Lateral Sclerosis. Front. Neurol. 2018, 9, 523. [Google Scholar] [CrossRef] [PubMed]
- Trojsi, F.; Di Nardo, F.; Caiazzo, G.; Siciliano, M.; D’Alvano, G.; Ferrantino, T.; Passaniti, C.; Ricciardi, D.; Esposito, S.; Lavorgna, L.; et al. Hippocampal connectivity in Amyotrophic Lateral Sclerosis (ALS): More than Papez circuit impairment. Brain Imaging Behav. 2020, 15, 2126–2138. [Google Scholar] [CrossRef]
- Bueno, A.P.A.; de Souza, L.C.; Pinaya, W.H.L.; Teixeira, A.L.; de Prado, L.G.R.; Caramelli, P.; Hornberger, M.; Sato, J.R. Papez Circuit Gray Matter and Episodic Memory in Amyotrophic Lateral Sclerosis and Behavioural Variant Frontotemporal Dementia. Brain Imaging Behav. 2021, 15, 996–1006. [Google Scholar] [CrossRef] [PubMed]
- Bueno, A.P.A.; Pinaya, W.H.L.; Moura, L.M.; Bertoux, M.; Radakovic, R.; Kiernan, M.C.; Teixeira, A.L.; de Souza, L.C.; Hornberger, M.; Sato, J.R. Structural and functional papez circuit integrity in amyotrophic lateral sclerosis. Brain Imaging Behav. 2018, 12, 1622–1630. [Google Scholar] [CrossRef]
- Horne, K.; Ahmed, R.M.; Piguet, O.; Irish, M. Establishing the link between motivational disturbances and behavioural rigidity in frontotemporal dementia. Eur. J. Neurol. 2024, 31, e16132. [Google Scholar] [CrossRef]
- Barritt, A.W.; Gabel, M.C.; Cercignani, M.; Leigh, P.N. Emerging Magnetic Resonance Imaging Techniques and Analysis Methods in Amyotrophic Lateral Sclerosis. Front. Neurol. 2018, 9, 1065. [Google Scholar] [CrossRef]
- Tahedl, M.; Tan, E.L.; Kleinerova, J.; Delaney, S.; Hengeveld, J.C.; Doherty, M.A.; McLaughlin, R.L.; Pradat, P.F.; Raoul, C.; Ango, F.; et al. Progressive Cerebrocerebellar Uncoupling in Sporadic and Genetic Forms of Amyotrophic Lateral Sclerosis. Neurology 2024, 103, e209623. [Google Scholar] [CrossRef]
- Bede, P.; Murad, A.; Lope, J.; Li Hi Shing, S.; Finegan, E.; Chipika, R.H.; Hardiman, O.; Chang, K.M. Phenotypic categorisation of individual subjects with motor neuron disease based on radiological disease burden patterns: A machine-learning approach. J. Neurol. Sci. 2021, 432, 120079. [Google Scholar] [CrossRef] [PubMed]
- Bede, P.; Murad, A.; Hardiman, O. Pathological neural networks and artificial neural networks in ALS: Diagnostic classification based on pathognomonic neuroimaging features. J. Neurol. 2021, 269, 2440–2452. [Google Scholar] [CrossRef] [PubMed]
- Behler, A.; Müller, H.P.; Ludolph, A.C.; Lulé, D.; Kassubek, J. A multivariate Bayesian classification algorithm for cerebral stage prediction by diffusion tensor imaging in amyotrophic lateral sclerosis. NeuroImage Clin. 2022, 35, 103094. [Google Scholar] [CrossRef] [PubMed]
- McCarthy, J.; Borroni, B.; Sanchez-Valle, R.; Moreno, F.; Laforce, R., Jr.; Graff, C.; Synofzik, M.; Galimberti, D.; Rowe, J.B.; Masellis, M.; et al. Data-driven staging of genetic frontotemporal dementia using multi-modal MRI. Hum. Brain Mapp. 2022, 43, 1821–1835. [Google Scholar] [CrossRef] [PubMed]
- Chagué, P.; Marro, B.; Fadili, S.; Houot, M.; Morin, A.; Samper-González, J.; Beunon, P.; Arrivé, L.; Dormont, D.; Dubois, B.; et al. Radiological classification of dementia from anatomical MRI assisted by machine learning-derived maps. J. Neuroradiol. 2021, 48, 412–418. [Google Scholar] [CrossRef] [PubMed]
- Kim, J.P.; Kim, J.; Park, Y.H.; Park, S.B.; Lee, J.S.; Yoo, S.; Kim, E.J.; Kim, H.J.; Na, D.L.; Brown, J.A.; et al. Machine learning based hierarchical classification of frontotemporal dementia and Alzheimer’s disease. NeuroImage Clin. 2019, 23, 101811. [Google Scholar] [CrossRef] [PubMed]
- Tahedl, M.; Murad, A.; Lope, J.; Hardiman, O.; Bede, P. Evaluation and categorisation of individual patients based on white matter profiles: Single-patient diffusion data interpretation in neurodegeneration. J. Neurol. Sci. 2021, 428, 117584. [Google Scholar] [CrossRef] [PubMed]
- McKenna, M.C.; Tahedl, M.; Lope, J.; Chipika, R.H.; Li Hi Shing, S.; Doherty, M.A.; Hengeveld, J.C.; Vajda, A.; McLaughlin, R.L.; Hardiman, O.; et al. Mapping cortical disease-burden at individual-level in frontotemporal dementia: Implications for clinical care and pharmacological trials. Brain Imaging Behav. 2021, 16, 1196–1207. [Google Scholar] [CrossRef] [PubMed]
- McKenna, M.C.; Tahedl, M.; Murad, A.; Lope, J.; Hardiman, O.; Hutchinson, S.; Bede, P. White matter microstructure alterations in frontotemporal dementia: Phenotype-associated signatures and single-subject interpretation. Brain Behav. 2022, 12, e2500. [Google Scholar] [CrossRef] [PubMed]
- Tahedl, M.; Chipika, R.H.; Lope, J.; Li Hi Shing, S.; Hardiman, O.; Bede, P. Cortical progression patterns in individual ALS patients across multiple timepoints: A mosaic-based approach for clinical use. J. Neurol. 2021, 268, 1913–1926. [Google Scholar] [CrossRef]
- McKenna, M.C.; Murad, A.; Huynh, W.; Lope, J.; Bede, P. The changing landscape of neuroimaging in frontotemporal lobar degeneration: From group-level observations to single-subject data interpretation. Expert Rev. Neurother. 2022, 22, 179–207. [Google Scholar] [CrossRef] [PubMed]
- Pradat, P.F.; Bernard, E.; Corcia, P.; Couratier, P.; Jublanc, C.; Querin, G.; Morelot Panzini, C.; Salachas, F.; Vial, C.; Wahbi, K.; et al. The French national protocol for Kennedy’s disease (SBMA): Consensus diagnostic and management recommendations. Orphanet J. Rare Dis. 2020, 15, 90. [Google Scholar] [CrossRef] [PubMed]
- Querin, G.; Bede, P.; Marchand-Pauvert, V.; Pradat, P.F. Biomarkers of Spinal and Bulbar Muscle Atrophy (SBMA): A Comprehensive Review. Front. Neurol. 2018, 9, 844. [Google Scholar] [CrossRef]
- Mulkerrin, G.; França, M.C., Jr.; Lope, J.; Tan, E.L.; Bede, P. Neuroimaging in hereditary spastic paraplegias: From qualitative cues to precision biomarkers. Expert Rev. Mol. Diagn. 2022, 22, 745–760. [Google Scholar] [CrossRef] [PubMed]
- Di Napoli, J.; Arighi, A.; Conte, G.; Carandini, T.; Sacchi, L.; Arcaro, M.; Fenoglio, C.; Sorrentino, F.; Mercurio, M.; Pietroboni, A.M.; et al. Predominant right temporal lobe atrophy: Clinical, neuropsychological and structural differences based on amyloid status. Eur. J. Neurol. 2024, 31, e16124. [Google Scholar] [CrossRef]
- Frings, L.; Blazhenets, G.; Binder, R.; Bormann, T.; Hellwig, S.; Meyer, P.T. More extensive hypometabolism and higher mortality risk in patients with right- than left-predominant neurodegeneration of the anterior temporal lobe. Alzheimer’s Res. Ther. 2023, 15, 11. [Google Scholar] [CrossRef]
- Luzzi, S.; Baldinelli, S.; Ranaldi, V.; Fabi, K.; Cafazzo, V.; Fringuelli, F.; Silvestrini, M.; Provinciali, L.; Reverberi, C.; Gainotti, G. Famous faces and voices: Differential profiles in early right and left semantic dementia and in Alzheimer’s disease. Neuropsychologia 2017, 94, 118–128. [Google Scholar] [CrossRef]
- Nelissen, N.; Dupont, P.; Vandenbulcke, M.; Tousseyn, T.; Peeters, R.; Vandenberghe, R. Right hemisphere recruitment during language processing in frontotemporal lobar degeneration and Alzheimer’s disease. J. Mol. Neurosci. MN 2011, 45, 637–647. [Google Scholar] [CrossRef]
- Gasca-Salas, C.; Clavero, P.; García-García, D.; Obeso, J.A.; Rodríguez-Oroz, M.C. Significance of visual hallucinations and cerebral hypometabolism in the risk of dementia in Parkinson’s disease patients with mild cognitive impairment. Hum. Brain Mapp. 2016, 37, 968–977. [Google Scholar] [CrossRef]
- Zhai, H.; Fan, W.; Xiao, Y.; Zhu, Z.; Ding, Y.; He, C.; Zhang, W.; Xu, Y.; Zhang, Y. Voxel-based morphometry of grey matter structures in Parkinson’s Disease with wearing-off. Brain Imaging Behav. 2023, 17, 725–737. [Google Scholar] [CrossRef]






| Semantic–Behavioural Variant FTD (sbvFTD) n = 7 | Healthy Controls (n = 100) | Group Comparisons | |
|---|---|---|---|
| Age (Years—M/SD) | 67.29 (4.92) | 65.23 (6.52) | 0.416 |
| Sex (M/F) | 4/3 | 56/44 | 0.953 |
| Education (Years—M/SD) | 14.43 (3.99) | 14.92 (3.34) | 0.711 |
| Handedness (Rt/Lt) | 6/1 | 88/12 | 0.858 |
| Symptom duration (Years—M/SD) | 5.86 (2.41) | n/a | n/a |
| Subcortical Structure | Estimated Marginal Means ± S.E. | Statistics | ||
|---|---|---|---|---|
| HC (n = 100) | sbvFTD (n = 7) | Univariate Effect Size | p-Corrected | |
| Thalamus L | 7360.36 ± 81.57 | 5687.58 ± 314.29 | η2p = 0.207 | <0.001 |
| Thalamus R | 6916.73 ± 64.76 | 5180.82 ± 249.52 | η2p = 0.309 | <0.001 |
| Caudate L | 3426.86 ± 36.60 | 2945.77 ± 141.01 | η2p = 0.097 | 0.014 |
| Caudate R | 3526.19 ± 36.89 | 2575.97 ± 142.12 | η2p = 0.292 | <0.001 |
| Putamen L | 4638.97 ± 48.63 | 3641.45 ± 187.39 | η2p = 0.207 | <0.001 |
| Putamen R | 4672.54 ± 49.51 | 2943.83 ± 190.77 | η2p = 0.431 | <0.001 |
| Pallidum L | 1940.44 ± 20.36 | 1599.42 ± 78.44 | η2p = 0.148 | <0.001 |
| Pallidum R | 1894.54 ± 25.57 | 1805.70 ± 98.50 | η2p = 0.007 | 1.000 |
| Hippocampus L | 4064.14 ± 42.90 | 3334.91 ± 165.30 | η2p = 0.152 | <0.001 |
| Hippocampus R | 4199.83 ± 42.64 | 2650.79 ± 164.28 | η2p = 0.451 | <0.001 |
| Amygdala L | 1594.03 ± 20.70 | 1166.33 ± 79.77 | η2p = 0.210 | <0.001 |
| Amygdala R | 1833.13 ± 21.22 | 1047.12 ± 81.76 | η2p = 0.460 | <0.001 |
| Accumbens area L | 442.79 ± 9.33 | 338.15 ± 35.95 | η2p = 0.072 | 0.084 |
| Accumbens area R | 528.35 ± 8.56 | 271.90 ± 32.96 | η2p = 0.358 | <0.001 |
| Case 1 | Case 2 | Case 3 | Case 4 | Case 5 | Case 6 | Case 7 | Case 8 | |
|---|---|---|---|---|---|---|---|---|
| Handedness | Rt | Rt | Rt | Rt | Rt | Lt | Rt | Rt |
| Age | 73 | 65 | 71 | 67 | 73 | 64 | 61 | 64 |
| Sex | M | M | F | M | F | M | M | F |
| Education (years) | 17 | 17 | 10 | 15 | 20 | 9 | 13 | 15 |
| Symptom Duration | 2 years | 8 years | 3 years | 10 years | 8 years | 7 years | 6 years | 7 years |
| Presenting symptoms Prosopagnosia Rigid thought process Executive deficits Obs. Rep. behaviours Verbal semantic loss Ep. Mem. impairment Disinhibition Loss of empathy Apathy Dietary changes Alexithymia | ✓ ✓ ✓ ✓ - - ✓ ✓ ✓ ✓ ✓ | ✓ - ✓ - ✓ ✓ - ✓ - - ✓ | ✓ ✓ ✓ ✓ - ✓ - ✓ ✓ - - | ✓ ✓ ✓ ✓ ✓ ✓ ✓ - - - ✓ | ✓ ✓ ✓ ✓ ✓ ✓ ✓ - - - - | ✓ ✓ ✓ - ✓ ✓ - ✓ ✓ - - | ✓ ✓ ✓ ✓ ✓ - ✓ - ✓ - ✓ | - ✓ ✓ - ✓ - ✓ - ✓ ✓ - |
| Comorbid dx. | - | Hypertension | ALS | - | - | - | ALS | ALS |
| ACE-III | 97/100 | 89/100 | 63/100 | 41/100 | 91/100 | 88/100 | 61/100 | 93/100 |
| ECAS | 120/136 | 95/136 | 85/136 | 109/136 | 92/136 | 81/136 | 112/136 | |
| BNT | 25/30 | 24/30 | 21/30 | - | 14/30 | 21/30 | 17/30 | 19/30 |
| Main domains Affected on testing | Executive | Executive | Executive | Executive | Executive | Executive | Executive | Executive |
| Language | Language | Language | Language | Language | Language | Language | Language | |
| Memory | Memory | Memory | Memory | Memory | Memory | Memory | Memory | |
| - | Fluency | - | Fluency | Fluency | Fluency | Fluency | Fluency | |
| Attention | - | - | - | - | Attention | - | - | |
| CSF | Not AD-compatible | - | - | - | Not AD-compatible | Not AD-compatible | - | - |
| AB42 (591–997 pg/mL) | 835 | - | - | - | 959.6 | 722.2 | - | - |
| Total Tau (135–345 pg/mL) | 602.7 | - | - | - | 249 | 302 | - | - |
| P-Tau (35.0–64.0 pg/mL) | 116.5 | - | - | - | 46 | 67.3 | - | - |
| Neuroimaging Clinical MRI [18F] FDG PET-CT Quantitative 3D MRI | ✓ ✓ ✓ | ✓ - ✓ | ✓ - ✓ | ✓ ✓ - | ✓ ✓ ✓ | ✓ ✓ ✓ | ✓ - ✓ | ✓ - ✓ |
Disclaimer/Publisher’s Note: The statements, opinions and data contained in all publications are solely those of the individual author(s) and contributor(s) and not of MDPI and/or the editor(s). MDPI and/or the editor(s) disclaim responsibility for any injury to people or property resulting from any ideas, methods, instructions or products referred to in the content. |
© 2024 by the authors. Licensee MDPI, Basel, Switzerland. This article is an open access article distributed under the terms and conditions of the Creative Commons Attribution (CC BY) license (https://creativecommons.org/licenses/by/4.0/).
Share and Cite
Kleinerova, J.; McKenna, M.C.; Finnegan, M.; Tacheva, A.; Garcia-Gallardo, A.; Mohammed, R.; Tan, E.L.; Christidi, F.; Hardiman, O.; Hutchinson, S.; et al. Clinical, Cortical, Subcortical, and White Matter Features of Right Temporal Variant FTD. Brain Sci. 2024, 14, 806. https://doi.org/10.3390/brainsci14080806
Kleinerova J, McKenna MC, Finnegan M, Tacheva A, Garcia-Gallardo A, Mohammed R, Tan EL, Christidi F, Hardiman O, Hutchinson S, et al. Clinical, Cortical, Subcortical, and White Matter Features of Right Temporal Variant FTD. Brain Sciences. 2024; 14(8):806. https://doi.org/10.3390/brainsci14080806
Chicago/Turabian StyleKleinerova, Jana, Mary Clare McKenna, Martha Finnegan, Asya Tacheva, Angela Garcia-Gallardo, Rayan Mohammed, Ee Ling Tan, Foteini Christidi, Orla Hardiman, Siobhan Hutchinson, and et al. 2024. "Clinical, Cortical, Subcortical, and White Matter Features of Right Temporal Variant FTD" Brain Sciences 14, no. 8: 806. https://doi.org/10.3390/brainsci14080806
APA StyleKleinerova, J., McKenna, M. C., Finnegan, M., Tacheva, A., Garcia-Gallardo, A., Mohammed, R., Tan, E. L., Christidi, F., Hardiman, O., Hutchinson, S., & Bede, P. (2024). Clinical, Cortical, Subcortical, and White Matter Features of Right Temporal Variant FTD. Brain Sciences, 14(8), 806. https://doi.org/10.3390/brainsci14080806

