Altered Cerebral Vasoreactivity on Transcranial Color-Coded Sonography Related to Akinetic-Rigid Phenotype of Parkinson’s Disease: Interim Analysis of a Cross-Sectional Study
Abstract
1. Introduction
2. Materials and Methods
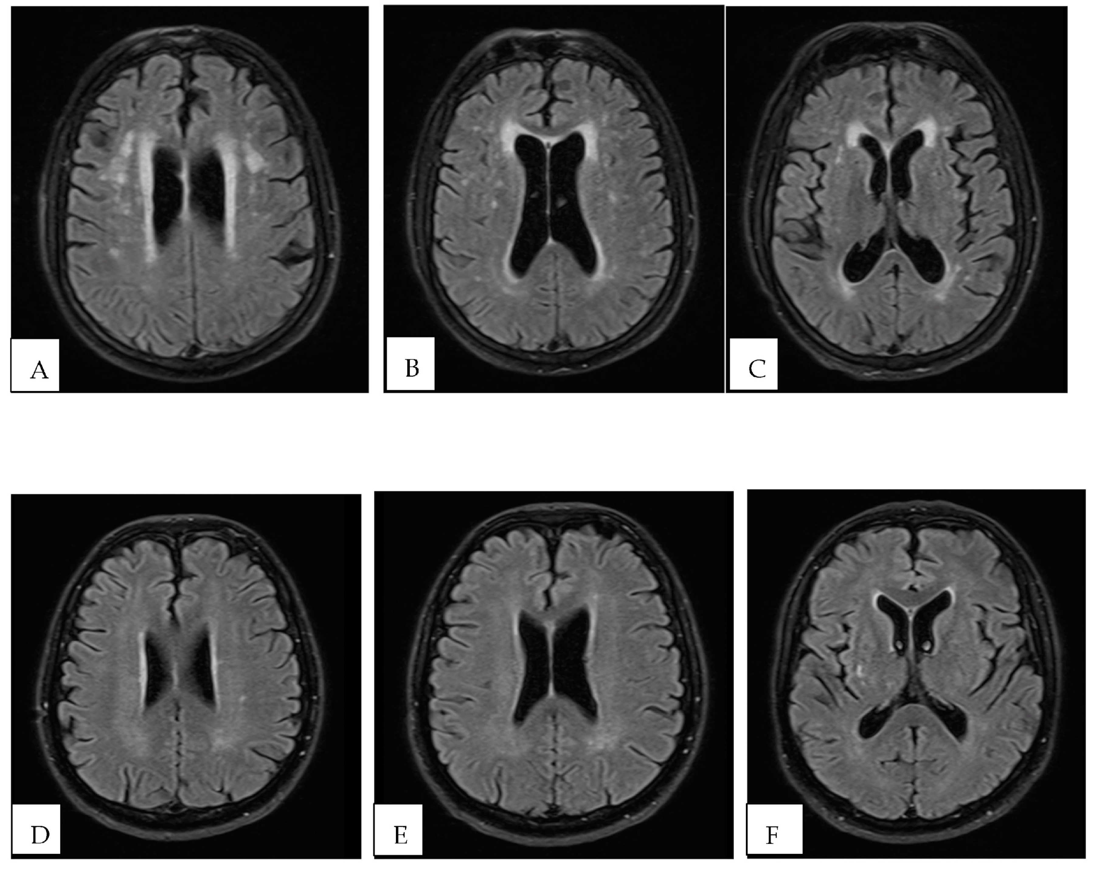
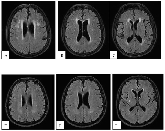
3. Results
4. Discussion
5. Conclusions
Author Contributions
Funding
Institutional Review Board Statement
Informed Consent Statement
Data Availability Statement
Acknowledgments
Conflicts of Interest
References
- Alexander, G.E. Biology of Parkinson’s disease: Pathogenesis and pathophysiology of a multisystem neurodegenerative disorder. Dialogues Clin. Neurosci. 2004, 6, 259–280. [Google Scholar] [CrossRef]
- Postuma, R.B.; Berg, D.; Stern, M.; Poewe, W.; Olanow, C.W.; Oertel, W.; Obeso, J.; Marek, K.; Litvan, I.; Lang, A.E.; et al. MDS clinical diagnostic criteria for Parkinson’s disease. Mov. Disord. 2015, 30, 1591–1601. [Google Scholar] [CrossRef] [PubMed]
- Jellinger, K.A. Prevalence of cerebrovascular lesions in Parkinson’s disease. A postmortem study. Acta Neuropathol. 2003, 105, 415–419. [Google Scholar] [CrossRef] [PubMed]
- Bohnen, N.I.; Albin, R.L. White matter lesions in Parkinson disease. Nat. Rev. Neurol. 2011, 7, 229–236. [Google Scholar] [CrossRef]
- Brisson, R.T.; De Cássia Leite Fernandes, R.; De Lima Arruda, J.F.; Silva, L.D.; De Lima, M.A.S.D.; Rosso, A.L.Z. Ultrasonographic Changes in Brain Hemodynamics in Patients with Parkinson’s Disease and Risk Factors for Cerebrovascular Disease: A Pilot Study. Parkinsons. Dis. 2021, 2021, 1713496. [Google Scholar] [CrossRef] [PubMed]
- Al-bachari, S.; Vidyasagar, R.; Emsley, H.; Parkes, L. MRI Assessment of Neurovascular Changes in Idiopathic Parkinson’s Disease. J. Neurol. Neurosurg. Psychiatry 2017, 88, A30. [Google Scholar] [CrossRef]
- Ojeda, A.E.; Martinez, H.R.; Rivera, F.G.; Garza, J.M.E.; Medina, H.C.; Davila, S.S. Cerebral Vasoreactivity in Parkinson’s Disease: A Cross-Sectional Pilot Study in a Hispanic Cohort. J. Alzheimers Dis. Park. 2017, 7, 1–4. [Google Scholar] [CrossRef]
- Pelizzari, L.; Laganà, M.M.; Rossetto, F.; Bergsland, N.; Galli, M.; Baselli, G.; Clerici, M.; Nemni, R.; Baglio, F. Cerebral blood flow and cerebrovascular reactivity correlate with severity of motor symptoms in Parkinson’s disease. Ther. Adv. Neurol. Disord. 2019, 12, 1756286419838354. [Google Scholar] [CrossRef] [PubMed]
- Gorell, J.M.; Johnson, C.C.; Rybicki, B.A. Parkinson’s disease and its comorbid disorders: An analysis of Michigan mortality data, 1970 to 1990. Neurology 1994, 44, 1865–1868. [Google Scholar] [CrossRef]
- Li, H.J.; Yu, Y.; Chen, Y.; Liang, H.Y. Vascular risk factors aggravate the progression of Parkinson’s disease: A five-year follow-up study in Chinese patients. Int. J. Clin. Exp. Med. 2015, 8, 9897–9903. [Google Scholar]
- Lavine, S.; Cockroft, K.; Hoh, B.; Bambakidis, N.; Khalessi, A.; Woo, H.; Riina, H.; Siddiqui, A.; Hirsch, J.; Chong, W.; et al. Training Guidelines for Endovascular Ischemic Stroke Intervention: An International Multi-Society Consensus Document. Am. J. Neuroradiol. 2016, 37, E31–E34. [Google Scholar] [CrossRef] [PubMed]
- Chen, H.; Wan, H.; Zhang, M.; Liu, G.; Wang, X.; Wang, Z.; Ma, H.; Pan, Y.; Feng, T.; Wang, Y. Cerebral small vessel disease may worsen motor function, cognition, and mood in Parkinson’s disease. Park. Relat. Disord. 2021, 83, 86–92. [Google Scholar] [CrossRef]
- Paoletti, F.P.; Simoni, S.; Parnetti, L.; Gaetani, L. The contribution of small vessel disease to neurodegeneration: Focus on alzheimer’s disease, parkinson’s disease and multiple sclerosis. Int. J. Mol. Sci. 2021, 22, 9. [Google Scholar] [CrossRef] [PubMed]
- Yu, X.; Ji, C.; Shao, A. Neurovascular Unit Dysfunction and Neurodegenerative Disorders. Front. Neurosci. 2020, 14, 1–8. [Google Scholar] [CrossRef]
- Ouellette, J.; Lacoste, B. From Neurodevelopmental to Neurodegenerative Disorders: The Vascular Continuum. Front. Aging Neurosci. 2021, 13, 1–30. [Google Scholar] [CrossRef]
- Smoliński, Ł.; Członkowska, A. Cerebral vasomotor reactivity in neurodegenerative diseases. Neurol. Neurochir. Polska 2016, 50, 455–462. [Google Scholar] [CrossRef] [PubMed]
- Staszewski, J.; Dȩbiec, A.; Skrobowska, E.; Stȩpień, A. Cerebral Vasoreactivity Changes over Time in Patients with Different Clinical Manifestations of Cerebral Small Vessel Disease. Front. Aging Neurosci. 2021, 13, 1–12. [Google Scholar] [CrossRef] [PubMed]
- Malek, N.; Lawton, M.A.; Swallow, D.M.A.; Grosset, K.A.; Marrinan, S.L.; Bajaj, N.; Barker, R.A.; Burn, D.J.; Hardy, J.; Morris, H.R.; et al. Vascular disease and vascular risk factors in relation to motor features and cognition in early Parkinson’s disease. Mov. Disord. 2016, 31, 1518–1526. [Google Scholar] [CrossRef]
- Yang, Q.; Wei, X.; Deng, B.; Chang, Z.; Jin, D.; Huang, Y.; Zhang, J.H.; Yenari, M.A.; Jin, K.; Wang, Q. Cerebral small vessel disease alters neurovascular unit regulation of microcirculation integrity involved in vascular cognitive impairment. Neurobiol. Dis. 2022, 170, 105750. [Google Scholar] [CrossRef]
- Sleight, E.; Stringer, M.S.; Marshall, I.; Wardlaw, J.M.; Thrippleton, M.J. Cerebrovascular Reactivity Measurement Using Magnetic Resonance Imaging: A Systematic Review. Front. Physiol. 2021, 12, 643468. [Google Scholar] [CrossRef]
- Chougar, L.; Pyatigorskaya, N.; Degos, B.; Grabli, D.; Lehéricy, S. The Role of Magnetic Resonance Imaging for the Diagnosis of Atypical Parkinsonism. Front. Neurol. 2020, 11, 665. [Google Scholar] [CrossRef]
- Camargo, C.H.F.; Martins, E.A.; Lange, M.C.; Hoffmann, H.A.; Luciano, J.J.; Blood, M.R.Y.; Schafranski, M.D.; Ferro, M.M.; Miyoshi, E. Abnormal Cerebrovascular Reactivity in Patients with Parkinson’s Disease. Park. Dis. 2015, 2015, 1–5. [Google Scholar] [CrossRef] [PubMed]
- Sette, G.; Indelicato, E.; Fanciulli, A.; Shofany, J.; Pontieri, F.E. Cerebral Vasoreactivity in Parkinson’s Disease: A Pilot Study. Int. J. Clin. Res. Trials 2018, 3, 3–5. [Google Scholar] [CrossRef]
- Kang, G.A.; Bronstein, J.M.; Masterman, D.L.; Redelings, M.; Crum, J.A.; Ritz, B. Clinical characteristics in early Parkinson’s disease in a central California population-based study. Mov. Disord. 2005, 20, 1133–1142. [Google Scholar] [CrossRef] [PubMed]
- Brisson, R.T.; Santos, R.D.S.A.; Stefano, L.H.S.S.; Barreira, C.M.A.; Arruda, J.F.D.L.; Dias, F.A.; Camilo, M.R.; Pontes-Neto, O.M. Association between Tomographic Characteristics of the Temporal Bone and Transtemporal Window Quality on Transcranial Color Doppler Ultrasound in Patients with Stroke or Transient Ischemic Attack. Ultrasound Med. Biol. 2020, 47, 511–516. [Google Scholar] [CrossRef]
- Goetz, C.G.; Poewe, W.; Rascol, O.; Sampaio, C.; Stebbins, G.T.; Counsell, C.; Giladi, N.; Holloway, R.G.; Moore, C.G.; Wenning, G.K.; et al. Movement Disorder Society Task Force report on the Hoehn and Yahr staging scale: Status and recommendations. Mov. Disord. 2004, 19, 1020–1028. [Google Scholar] [CrossRef] [PubMed]
- Nasreddine, Z.S.; Phillips, N.A.; Bédirian, V.; Charbonneau, S.; Whitehead, V.; Collin, I.; Cummings, J.L.; Chertkow, H. The Montreal Cognitive Assessment, MoCA: A brief screening tool for mild cognitive impairment. J. Am. Geriatr. Soc. 2005, 53, 695–699. [Google Scholar] [CrossRef]
- Markus, H.S.; Harrison, M.J. Estimation of cerebrovascular reactivity using transcranial Doppler, including the use of breath-holding as the vasodilatory stimulus. Stroke 1992, 23, 668–673. [Google Scholar] [CrossRef]
- Kim, T.W.; Kim, Y.-H.; Kim, K.H.; Chang, W.H. White Matter Hyperintensities and Cognitive Dysfunction in Patients with Infratentorial Stroke. Ann. Rehabil. Med. 2014, 38, 620–627. [Google Scholar] [CrossRef]
- Solla, P.; Masala, C.; Ercoli, T.; Orofino, G.; Loy, F.; Pinna, I.; Fadda, L.; Defazio, G. Olfactory Impairment in Parkinson’s Disease Patients with Tremor Dominant Subtype Compared to Those with Akinetic Rigid Dominant Subtype: A Pilot Study. Brain Sci. 2022, 12, 196. [Google Scholar] [CrossRef]
- Kalia, L.V.; Lang, A.E. Parkinson’s disease—The Lancet. Lancet 2015, 386, 896–912. [Google Scholar] [CrossRef]
- Zhang, J.; Wei, L.; Hu, X.; Xie, B.; Zhang, Y.; Wu, G.-R.; Wang, J. Akinetic-rigid and tremor-dominant Parkinson’s disease patients show different patterns of intrinsic brain activity. Park. Relat. Disord. 2015, 21, 23–30. [Google Scholar] [CrossRef]
- Urbanova, B.S.; Schwabova, J.P.; Magerova, H.; Jansky, P.; Markova, H.; Vyhnalek, M.; Laczo, J.; Hort, J.; Tomek, A. Reduced Cerebrovascular Reserve Capacity as a Biomarker of Microangiopathy in Alzheimer’s Disease and Mild Cognitive Impairment. J. Alzheimers Dis. 2018, 63, 465–477. [Google Scholar] [CrossRef] [PubMed]
- Haight, T.J.; Bryan, R.N.; Erus, G.; Davatzikos, C.; Jacobs, D.R.; D’Esposito, M.; Lewis, C.E.; Launer, L.J. Vascular risk factors, cerebrovascular reactivity, and the default-mode brain network. Neuroimage 2015, 115, 7–16. [Google Scholar] [CrossRef] [PubMed]
- Claus, J.; Breteler, M.; Hasan, D.; Krenning, E.; Bots, M.; Grobbee, D.; Van Swieten, J.; Van Harskamp, F.; Hofman, A. Regional Cerebral Blood Flow and Cerebrovascular Risk Factors in the Elderly Population. Neurobiol. Aging 1998, 19, 57–64. [Google Scholar] [CrossRef]
- ARiecker, A.; Grodd, W.; Klose, U.; Schulz, J.B.; Gröschel, K.; Erb, M.; Ackermann, H.; Kastrup, A. Relation between Regional Functional MRI Activation and Vascular Reactivity to Carbon Dioxide during Normal Aging. J. Cereb. Blood Flow Metab. 2003, 23, 565–573. [Google Scholar] [CrossRef]
- Jennings, J.R.; Muldoon, M.F.; Ryan, C.; Price, J.C.; Greer, P.; Sutton-Tyrrell, K.; van der Veen, F.M.; Meltzer, C.C. Reduced cerebral blood flow response and compensation among patients with untreated hypertension. Neurology 2005, 64, 1358–1365. [Google Scholar] [CrossRef]
- Last, D.; Alsop, D.C.; Abduljalil, A.M.; Marquis, R.P.; de Bazelaire, C.; Hu, K.; Cavallerano, J.; Novak, V. Global and Regional Effects of Type 2 Diabetes on Brain Tissue Volumes and Cerebral Vasoreactivity. Diabetes Care 2007, 30, 1193–1199. [Google Scholar] [CrossRef]
- Glodzik, L.; Rusinek, H.; Brys, M.; Tsui, W.H.; Switalski, R.; Mosconi, L.; Mistur, R.; Pirraglia, E.; De Santi, S.; Li, Y.; et al. Framingham Cardiovascular Risk Profile Correlates with Impaired Hippocampal and Cortical Vasoreactivity to Hypercapnia. J. Cereb. Blood Flow Metab. 2010, 31, 671–679. [Google Scholar] [CrossRef] [PubMed]
- Sartor, J.; Bettecken, K.; Bernhard, F.P.; Hofmann, M.; Gladow, T.; Lindig, T.; Ciliz, M.; Kate, M.T.; Geritz, J.; Heinzel, S.; et al. White Matter Changes-Related Gait and Executive Function Deficits: Associations with Age and Parkinson’s Disease. Front. Aging Neurosci. 2017, 9, 213. [Google Scholar] [CrossRef]
- Xiong, W.; Li, L.-F.; Huang, L.; Liu, Y.; Xia, Z.-C.; Zhou, X.-X.; Tang, B.-S.; Guo, J.-F.; Lei, L.-F. Different iron deposition patterns in akinetic/rigid-dominant and tremor-dominant Parkinson’s disease. Clin. Neurol. Neurosurg. 2020, 198, 106181. [Google Scholar] [CrossRef] [PubMed]
- Liu, Y.; Liu, J.; Liu, H.; Liao, Y.; Cao, L.; Ye, B.; Wang, W. Investigation of cerebral iron deposition in aged patients with ischemic cerebrovascular disease using susceptibility-weighted imaging. Ther. Clin. Risk Manag. 2016, 12, 1239–1247. [Google Scholar] [CrossRef] [PubMed]


| Total Sample | Akinetic-Rigid | Tremor-Dominant | p-Value | |
|---|---|---|---|---|
| Number of Participants | n = 51 | n = 27 | n = 24 | |
| Age (Years—SD) | 65.9 ± 8.3 | 67.8 ± 8.1 | 63.7 ± 8.0 | 0.605 |
| Gender n (%) male | 42 (82.3) | 22 (81.4) | 20 (83.3) | 0.862 |
| Ethnicity n (%) white | 37 (72.5) | 23 (85.1) | 14 (58.3) | 0.032 |
| Schooling n (%) >8 y | 32 (62.8) | 16 (59.6) | 16 (66.7) | 0.585 |
| H&Y scale (M ± SD) | 2.36 ± 0.95 | 2.7 ± 1.1 | 1.98 ± 0.7 | 0.023 |
| UPDRS-III (M ± SD) | 18.88 ± 8.18 | 19.4 ±8.9 | 18.3 ± 7.4 | 0.372 |
| Disease duration y (M ± SD) | 6.12 ± 3.4 | 6.78 ± 3.5 | 5.38 ± 3.1 | 0.144 |
| Daily levodopa dose mg (M ± SD) | 542.9 ± 25.5 | 542.6 | 497.9 | 0.058 |
| MoCA points in max. 30 (M ± SD) | 19.60 ± 6.34 | 18.9 ± 7.0 | 21.3 ± 4.9 | 0.100 |
| RI | 0.55 ± 0.09 | 0.58 ± 0.11 | 0.52 ± 0.06 | 0.021 |
| PI | 0.84 ± 0.22 | 0.91 ± 0.26 | 0.76 ± 0.12 | 0.005 |
| BHI | 0.71 ± 0.51 | 0.53 ± 0.31 | 0.91 ± 0.62 | 0.000 |
| Vma cm/s (M ± SD) | 48.6 ± 11.1 | 44.32 ± 9.0 | 53.42 ± 11.4 | 0.003 |
| cVR n (%) yes = BHI < 0.69 | 27 (52.9) | 18 (66.7) | 9 (37.5) | 0.037 |
| Fazekas scale n (%) | 17 (100) | 8 (47.1) | 9 (52.9) | 0.127 |
| 0 n (%) | 6 (35.3) | 2 (25.0) | 4 (44.5) | |
| 1 n (%) | 8 (47) | 3 (37.5) | 5 (55.6) | |
| 2 n (%) | 3 (17.7) | 3 (37.5) | 0 (0.00) | |
| 3 n (%) | 0 (0.0) | 0 (0.00) | 0 (0.00) |
| Variable | Total Sample | PDvasc | PDnvasc | p-Value |
|---|---|---|---|---|
| Smoke n (%) | 16 (31.4) | 7 (38.9) | 9 (27.8) | 0.730 |
| Type 2 diabetes n (%) | 3 (11.1) | 6 (33.3) | 0 (0) | 0.004 |
| Depression n (%) | 12 (23.5) | 3 (16.7) | 9 (27.3) | 0.728 |
| Stroke n (%) | 0 (0.0) | 0 (0) | 0 (0) | |
| HBP n (%) | 34 (66.7) | 18 (100) | 16 (48.5) | 0.002 |
| Dyslipidemia n (%) | 5 (9.8) | 5 (27.78) | 0 (0) | 0.003 |
| Cardiac disease n (%) | 13 (25.6) | 12 (66.7) | 1 (3.0) | 0.001 |
| Lung disease n (%) | 4 (7.8) | 3 (16.7) | 1 (3.03) | 0.120 |
| Alcoholism n (%) | 11 (21.6) | 5 (27.8) | 6 (18.1) | 0.425 |
| Total Sample | PDvasc | PDnvasc | p-Value | |
|---|---|---|---|---|
| Number of Participants | n = 51 | n = 18 | n = 33 | |
| Age (Years—SD) | 65.9 ± 8.3 | 70.3 ± 6.7 | 63.6 ± 8.3 | 0.0020 |
| Gender n (%) male | 41 (80.4) | 15 (83.3) | 26 (78.8) | 0.696 |
| Ethnicity n (%) white | 37 (72.5) | 14 (77.8) | 23(69.7) | 0.380 |
| Schooling n (%) >8 y | 32 (62.8) | 13 (72.2) | 19 (57.6) | 0.301 |
| H&Y scale (M + SD) | 2.36 ± 0.95 | 17.61 + 4.02 | 19.57 + 5.37 | 0.411 |
| UPDRS-III (mean) | 18.88 ± 8.18 | 17.61 ± 4.02 | 19.57 ± 5.37 | 0.411 |
| Disease duration y (M + SD) | 6.12 ± 3.4 | 6.11 (4.25) | 6.12 (2.11) | 0.889 |
| Daily levodopa dose mg (M + SD) | 542.9 ± 25.5 | 614.70 ± 23.5 | 504.68 ± 27.8 | 0.317 |
| MoCA points in max. 30 (M + SD) | 19.60 ± 6.34 | 20.35 ± 0.57 | 19.1 ± 0.46 | 0.644 |
| RI | 0.55 ± 0.09 | 0.59 ± 0.66 | 0.52 ± 0.30 | 0.030 |
| PI | 0.84 ± 0.22 | 0.98 ± 0.74 | 0.76 ± 0.35 | 0.001 |
| BHI | 0.71 ± 0.51 | 0.55 ± 0.27 | 0.80 ± 0.60 | 0.144 |
| Vma cm/s (M + SD) | 47.5 ± 12.7 | 44.2 ± 0.33 | 50.9 ± 0.57 | 0.028 |
| cVR n (%) yes = BHI < 0.69 | 27 (52.9) | 13 (72.2) | 14 (42.2) | 0.004 |
| Fazekas scale n (%) | 17 (100) | 8 (47.1) | 9 (52.9) | 0.012 |
| 0 n (%) | 6 (35.3) | 1 (20) | 5 (41.7) | |
| 1 n (%) | 8 (47) | 1 (20) | 7 (58.3) | |
| 2 n (%) | 3 (17.7) | 3 (60) | 0 (0.0) | |
| 3 n (%) | 0 (0.0) | 0 (0.0) | 0 (0.0) | |
| PD phenotype n (%) | ||||
| Akinetic-rigid (AR) | 27 (52.9) | 12 (44.4) | 15 (55.6) | 0.147 |
| Tremor-dominant (TD) | 24 (47.1) | 6 (25) | 18 (75) |
Disclaimer/Publisher’s Note: The statements, opinions and data contained in all publications are solely those of the individual author(s) and contributor(s) and not of MDPI and/or the editor(s). MDPI and/or the editor(s) disclaim responsibility for any injury to people or property resulting from any ideas, methods, instructions or products referred to in the content. |
© 2023 by the authors. Licensee MDPI, Basel, Switzerland. This article is an open access article distributed under the terms and conditions of the Creative Commons Attribution (CC BY) license (https://creativecommons.org/licenses/by/4.0/).
Share and Cite
Brisson, R.T.; Fernandes, R.d.C.L.; Arruda, J.F.d.L.; Rocha, T.C.C.d.S.M.; Santos, N.d.G.D.; Silva, L.D.; de Lima, M.A.S.D.; de Rosso, A.L.Z. Altered Cerebral Vasoreactivity on Transcranial Color-Coded Sonography Related to Akinetic-Rigid Phenotype of Parkinson’s Disease: Interim Analysis of a Cross-Sectional Study. Brain Sci. 2023, 13, 709. https://doi.org/10.3390/brainsci13050709
Brisson RT, Fernandes RdCL, Arruda JFdL, Rocha TCCdSM, Santos NdGD, Silva LD, de Lima MASD, de Rosso ALZ. Altered Cerebral Vasoreactivity on Transcranial Color-Coded Sonography Related to Akinetic-Rigid Phenotype of Parkinson’s Disease: Interim Analysis of a Cross-Sectional Study. Brain Sciences. 2023; 13(5):709. https://doi.org/10.3390/brainsci13050709
Chicago/Turabian StyleBrisson, Rodrigo Tavares, Rita de Cássia Leite Fernandes, Josevânia Fulgêncio de Lima Arruda, Thiffanny Cristini Cassiano da S. M. Rocha, Nathália de Góes Duarte Santos, Liene Duarte Silva, Marco Antônio Sales Dantas de Lima, and Ana Lucia Zuma de Rosso. 2023. "Altered Cerebral Vasoreactivity on Transcranial Color-Coded Sonography Related to Akinetic-Rigid Phenotype of Parkinson’s Disease: Interim Analysis of a Cross-Sectional Study" Brain Sciences 13, no. 5: 709. https://doi.org/10.3390/brainsci13050709
APA StyleBrisson, R. T., Fernandes, R. d. C. L., Arruda, J. F. d. L., Rocha, T. C. C. d. S. M., Santos, N. d. G. D., Silva, L. D., de Lima, M. A. S. D., & de Rosso, A. L. Z. (2023). Altered Cerebral Vasoreactivity on Transcranial Color-Coded Sonography Related to Akinetic-Rigid Phenotype of Parkinson’s Disease: Interim Analysis of a Cross-Sectional Study. Brain Sciences, 13(5), 709. https://doi.org/10.3390/brainsci13050709

