Multi-Disciplinary Approach to Skull Base Paragangliomas
Abstract
1. Introduction
2. Materials and Methods
3. Results
3.1. Patient Demographics and Clinical Characteristics
3.2. Surgical Management
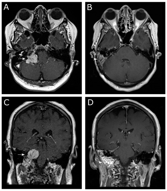
3.3. Outcomes
4. Discussion
5. Conclusions
Author Contributions
Funding
Institutional Review Board Statement
Informed Consent Statement
Data Availability Statement
Conflicts of Interest
References
- Wasserman, P.G.; Savargaonkar, P. Paragangliomas: Classification, Pathology, and Differential Diagnosis. Otolaryngol. Clin. N. Am. 2001, 34, 845–862. [Google Scholar] [CrossRef]
- Ramina, R.; Maniglia, J.J.; Fernandes, Y.B.; Paschoal, J.R.; Pfeilsticker, L.N.; Coelho Neto, M. Tumors of the Jugular Foramen: Diagnosis and Management. Neurosurgery 2005, 57, 59–68. [Google Scholar] [CrossRef]
- Szymańska, A.; Szymański, M.; Czekajska-Chehab, E.; Gołąbek, W.; Szczerbo-Trojanowska, M. Diagnosis and Management of Multiple Paragangliomas of the Head and Neck. Eur. Arch. Otorhinolaryngol. 2015, 272, 1991–1999. [Google Scholar] [CrossRef]
- Graham, N.J.; Smith, J.D.; Else, T.; Basura, G.J. Paragangliomas of the Head and Neck: A Contemporary Review. Endocr. Oncol. 2022, 2, R153–R162. [Google Scholar] [CrossRef]
- Ramos Macías, A.; Bueno Yanes, J.; Bolaños Hernández, P.; Lisner Contreras, I.; Osorio Acosta, A.; Vicente Barrero, M.; Zaballos González, M.L. Temporal paragangliomas. A 12-year experience. Acta Otorrinolaringol. Esp. 2011, 62, 375–380. [Google Scholar] [CrossRef]
- Waldvogel, D.; Mattle, H.P.; Sturzenegger, M.; Schroth, G. Pulsatile Tinnitus—A Review of 84 Patients. J. Neurol. 1998, 245, 137–142. [Google Scholar] [CrossRef]
- Hofmann, E.; Behr, R.; Neumann-Haefelin, T.; Schwager, K. Pulsatile Tinnitus: Imaging and Differential Diagnosis. Dtsch. Arztebl. Int. 2013, 110, 451–458. [Google Scholar] [CrossRef]
- Song, J.-J.; An, G.S.; Choi, I.; De Ridder, D.; Kim, S.Y.; Choi, H.S.; Park, J.H.; Choi, B.Y.; Koo, J.-W.; Lee, K. Objectification and Differential Diagnosis of Vascular Pulsatile Tinnitus by Transcanal Sound Recording and Spectrotemporal Analysis: A Preliminary Study. Otol. Neurotol. 2016, 37, 613–620. [Google Scholar] [CrossRef]
- Thomsen, K.; Elbrond, O.; Andersen, A.P. Glomus Jugulare Tumours. (A Series of 21 Cases). J. Laryngol. Otol. 1975, 89, 1113–1121. [Google Scholar] [CrossRef]
- Kaylie, D.M.; O’Malley, M.; Aulino, J.M.; Jackson, C.G. Neurotologic Surgery for Glomus Tumors. Otolaryngol. Clin. N. Am. 2007, 40, 625–649. [Google Scholar] [CrossRef]
- Offergeld, C.; Brase, C.; Yaremchuk, S.; Mader, I.; Rischke, H.C.; Gläsker, S.; Schmid, K.W.; Wiech, T.; Preuss, S.F.; Suárez, C.; et al. Head and Neck Paragangliomas: Clinical and Molecular Genetic Classification. Clinics 2012, 67 (Suppl. S1), 19–28. [Google Scholar] [CrossRef]
- Sanna, M.; Fois, P.; Pasanisi, E.; Russo, A.; Bacciu, A. Middle Ear and Mastoid Glomus Tumors (Glomus Tympanicum): An Algorithm for the Surgical Management. Auris Nasus Larynx 2010, 37, 661–668. [Google Scholar] [CrossRef]
- Carlson, M.L.; Sweeney, A.D.; Pelosi, S.; Wanna, G.B.; Glasscock, M.E.; Haynes, D.S. Glomus Tympanicum: A Review of 115 Cases over 4 Decades. Otolaryngol. Head Neck Surg. 2015, 152, 136–142. [Google Scholar] [CrossRef] [PubMed]
- Prasad, S.C.; Mimoune, H.A.; Khardaly, M.; Piazza, P.; Russo, A.; Sanna, M. Strategies and Long-Term Outcomes in the Surgical Management of Tympanojugular Paragangliomas. Head Neck 2016, 38, 871–885. [Google Scholar] [CrossRef] [PubMed]
- Netterville, J.L.; Jackson, C.G.; Miller, F.R.; Wanamaker, J.R.; Glasscock, M.E. Vagal Paraganglioma: A Review of 46 Patients Treated during a 20-Year Period. Arch. Otolaryngol. Head Neck Surg. 1998, 124, 1133–1140. [Google Scholar] [CrossRef] [PubMed]
- Zanoletti, E.; Mazzoni, A. Vagal Paraganglioma. Skull Base 2006, 16, 161–167. [Google Scholar] [CrossRef] [PubMed]
- Bradshaw, J.W.; Jansen, J.C. Management of Vagal Paraganglioma: Is Operative Resection Really the Best Option? Surgery 2005, 137, 225–228. [Google Scholar] [CrossRef]
- Lozano, F.S.; Gómez, J.L.; Mondillo, M.C.; González-Porras, J.R.; González-Sarmiento, R.; Muñoz, A. Surgery of Vagal Paragangliomas: Six Patients and Review of Literature. Surg. Oncol. 2008, 17, 281–287. [Google Scholar] [CrossRef]
- Foote, R.L.; Pollock, B.E.; Gorman, D.A.; Schomberg, P.J.; Stafford, S.L.; Link, M.J.; Kline, R.W.; Strome, S.E.; Kasperbauer, J.L.; Olsen, K.D. Glomus Jugulare Tumor: Tumor Control and Complications after Stereotactic Radiosurgery. Head Neck 2002, 24, 332–338; discussion 338–339. [Google Scholar] [CrossRef]
- Mazzoni, A.; Zanoletti, E. Observation and Partial Targeted Surgery in the Management of Tympano-Jugular Paraganglioma: A Contribution to the Multioptional Treatment. Eur. Arch. Otorhinolaryngol. 2016, 273, 635–642. [Google Scholar] [CrossRef]
- Campbell, J.C.; Lee, J.W.; Ledbetter, L.; Wick, C.C.; Riska, K.M.; Cunningham, C.D.; Russomando, A.C.; Truong, T.; Hong, H.; Kuchibhatla, M.; et al. Systematic Review and Meta-Analysis for Surgery Versus Stereotactic Radiosurgery for Jugular Paragangliomas. Otol. Neurotol. 2023, 44, 195. [Google Scholar] [CrossRef] [PubMed]
- Willen, S.N.; Einstein, D.B.; Maciunas, R.J.; Megerian, C.A. Treatment of Glomus Jugulare Tumors in Patients with Advanced Age: Planned Limited Surgical Resection Followed by Staged Gamma Knife Radiosurgery: A Preliminary Report. Otol. Neurotol. 2005, 26, 1229–1234. [Google Scholar] [CrossRef] [PubMed]
- Cosetti, M.; Linstrom, C.; Alexiades, G.; Tessema, B.; Parisier, S. Glomus Tumors in Patients of Advanced Age: A Conservative Approach. Laryngoscope 2008, 118, 270–274. [Google Scholar] [CrossRef] [PubMed]
- Wanna, G.B.; Sweeney, A.D.; Carlson, M.L.; Latuska, R.F.; Rivas, A.; Bennett, M.L.; Netterville, J.L.; Haynes, D.S. Subtotal Resection for Management of Large Jugular Paragangliomas with Functional Lower Cranial Nerves. Otolaryngol. Head Neck Surg. 2014, 151, 991–995. [Google Scholar] [CrossRef]
- Miller, J.P.; Semaan, M.T.; Maciunas, R.J.; Einstein, D.B.; Megerian, C.A. Radiosurgery for Glomus Jugulare Tumors. Otolaryngol. Clin. N. Am. 2009, 42, 689–706. [Google Scholar] [CrossRef]
- Suárez, C.; Rodrigo, J.P.; Bödeker, C.C.; Llorente, J.L.; Silver, C.E.; Jansen, J.C.; Takes, R.P.; Strojan, P.; Pellitteri, P.K.; Rinaldo, A.; et al. Jugular and Vagal Paragangliomas: Systematic Study of Management with Surgery and Radiotherapy. Head Neck 2013, 35, 1195–1204. [Google Scholar] [CrossRef]
- Ivan, M.E.; Sughrue, M.E.; Clark, A.J.; Kane, A.J.; Aranda, D.; Barani, I.J.; Parsa, A.T. A Meta-Analysis of Tumor Control Rates and Treatment-Related Morbidity for Patients with Glomus Jugulare Tumors. J. Neurosurg. 2011, 114, 1299–1305. [Google Scholar] [CrossRef]
- Lieberson, R.E.; Adler, J.R.; Soltys, S.G.; Choi, C.; Gibbs, I.C.; Chang, S.D. Stereotactic Radiosurgery as the Primary Treatment for New and Recurrent Paragangliomas: Is Open Surgical Resection Still the Treatment of Choice? World Neurosurg. 2012, 77, 745–761. [Google Scholar] [CrossRef] [PubMed]
- Guss, Z.D.; Batra, S.; Limb, C.J.; Li, G.; Sughrue, M.E.; Redmond, K.; Rigamonti, D.; Parsa, A.T.; Chang, S.; Kleinberg, L.; et al. Radiosurgery of Glomus Jugulare Tumors: A Meta-Analysis. Int. J. Radiat. Oncol. Biol. Phys. 2011, 81, e497–e502. [Google Scholar] [CrossRef]
- Manzoor, N.F.; Yancey, K.L.; Aulino, J.M.; Sherry, A.D.; Khattab, M.H.; Cmelak, A.; Morrel, W.G.; Haynes, D.S.; Bennett, M.L.; O’Malley, M.R.; et al. Contemporary Management of Jugular Paragangliomas with Neural Preservation. Otolaryngol. Head Neck Surg. 2021, 164, 391–398. [Google Scholar] [CrossRef]
- Fayad, J.N.; Keles, B.; Brackmann, D.E. Jugular Foramen Tumors: Clinical Characteristics and Treatment Outcomes. Otol. Neurotol. 2010, 31, 299–305. [Google Scholar] [CrossRef] [PubMed]
- Sanna, M.; Jain, Y.; De Donato, G.; Rohit; Lauda, L.; Taibah, A. Management of Jugular Paragangliomas: The Gruppo Otologico Experience. Otol. Neurotol. 2004, 25, 797–804. [Google Scholar] [CrossRef] [PubMed]
- Fayad, J.N.; Schwartz, M.S.; Brackmann, D.E. Treatment of Recurrent and Residual Glomus Jugulare Tumors. Skull Base 2009, 19, 92–98. [Google Scholar] [CrossRef] [PubMed]
- Carlson, M.L.; Driscoll, C.L.W.; Garcia, J.J.; Janus, J.R.; Link, M.J. Surgical Management of Giant Transdural Glomus Jugulare Tumors with Cerebellar and Brainstem Compression. J. Neurol. Surg. B Skull Base 2012, 73, 197–207. [Google Scholar] [CrossRef] [PubMed]
- Moe, K.S.; Li, D.; Linder, T.E.; Schmid, S.; Fisch, U. An Update on the Surgical Treatment of Temporal Bone Paraganglioma. Skull Base Surg. 1999, 9, 185–194. [Google Scholar] [CrossRef] [PubMed]
- Williams, M.D.; Tischler, A.S. Update from the 4th Edition of the World Health Organization Classification of Head and Neck Tumours: Paragangliomas. Head Neck Pathol. 2017, 11, 88–95. [Google Scholar] [CrossRef]
- Lustig, L.R.; Jackler, R.K. The Variable Relationship between the Lower Cranial Nerves and Jugular Foramen Tumors: Implications for Neural Preservation. Am. J. Otol. 1996, 17, 658–668. [Google Scholar] [PubMed]
- Fisch, U. Infratemporal Fossa Approach to Tumours of the Temporal Bone and Base of the Skull. J. Laryngol. Otol. 1978, 92, 949–967. [Google Scholar] [CrossRef]
- Fisch, U.; Fagan, P.; Valavanis, A. The Infratemporal Fossa Approach for the Lateral Skull Base. Otolaryngol. Clin. N. Am. 1984, 17, 513–552. [Google Scholar] [CrossRef]
- Al-Mefty, O.; Fox, J.L.; Rifai, A.; Smith, R.R. A Combined Infratemporal and Posterior Fossa Approach for the Removal of Giant Glomus Tumors and Chondrosarcomas. Surg. Neurol. 1987, 28, 423–431. [Google Scholar] [CrossRef] [PubMed]
- Al-Mefty, O.; Teixeira, A. Complex Tumors of the Glomus Jugulare: Criteria, Treatment, and Outcome. J. Neurosurg. 2002, 97, 1356–1366. [Google Scholar] [CrossRef] [PubMed]
- de Brito, R.; Cisneros Lesser, J.C.; Lopes, P.T.; Bento, R.F. Preservation of the Facial and Lower Cranial Nerves in Glomus Jugulare Tumor Surgery: Modifying Our Surgical Technique for Improved Outcomes. Eur. Arch. Otorhinolaryngol. 2018, 275, 1963–1969. [Google Scholar] [CrossRef] [PubMed]
- Netterville, J.L.; Civantos, F.J. Rehabilitation of Cranial Nerve Deficits after Neurotologic Skull Base Surgery. Laryngoscope 1993, 103, 45–54. [Google Scholar] [CrossRef] [PubMed]
- Heinrich, M.C.; Harris, A.E.; Bell, W.R. Metastatic Intravagal Paraganglioma. Case Report and Review of the Literature. Am. J. Med. 1985, 78, 1017–1024. [Google Scholar] [CrossRef]
- Browne, J.D.; Fisch, U.; Valavanis, A. Surgical Therapy of Glomus Vagale Tumors. Skull Base Surg. 1993, 3, 182–192. [Google Scholar] [CrossRef][Green Version]
- González-Orús Álvarez-Morujo, R.; Arístegui Ruiz, M.; Martin Oviedo, C.; Álvarez Palacios, I.; Scola Yurrita, B. Management of Vagal Paragangliomas: Review of 17 Patients. Eur. Arch. Otorhinolaryngol. 2015, 272, 2403–2414. [Google Scholar] [CrossRef]
- Sager, O.; Dincoglan, F.; Beyzadeoglu, M. Stereotactic Radiosurgery of Glomus Jugulare Tumors: Current Concepts, Recent Advances and Future Perspectives. CNS Oncol. 2015, 4, 105–114. [Google Scholar] [CrossRef]
- Elshaikh, M.A.; Mahmoud-Ahmed, A.S.; Kinney, S.E.; Wood, B.G.; Lee, J.H.; Barnett, G.H.; Suh, J.H. Recurrent Head-and-Neck Chemodectomas: A Comparison of Surgical and Radiotherapeutic Results. Int. J. Radiat. Oncol. Biol. Phys. 2002, 52, 953–956. [Google Scholar] [CrossRef]
- Helal, A.; Vakharia, K.; Brinjikji, W.; Carlson, M.L.; Driscoll, C.L.; Van Gompel, J.J.; Link, M.J.; Cloft, H. Preoperative Embolization of Jugular Paraganglioma Tumors Using Particles Is Safe and Effective. Interv. Neuroradiol. 2022, 28, 145–151. [Google Scholar] [CrossRef]
- Gaynor, B.G.; Elhammady, M.S.; Jethanamest, D.; Angeli, S.I.; Aziz-Sultan, M.A. Incidence of Cranial Nerve Palsy after Preoperative Embolization of Glomus Jugulare Tumors Using Onyx. J. Neurosurg. 2014, 120, 377–381. [Google Scholar] [CrossRef]
- Gartrell, B.C.; Hansen, M.R.; Gantz, B.J.; Gluth, M.B.; Mowry, S.E.; Aagaard-Kienitz, B.L.; Baskaya, M.K.; Gubbels, S.P. Facial and Lower Cranial Neuropathies after Preoperative Embolization of Jugular Foramen Lesions with Ethylene Vinyl Alcohol. Otol. Neurotol. 2012, 33, 1270–1275. [Google Scholar] [CrossRef] [PubMed]
- De Marini, P.; Greget, M.; Boatta, E.; Jahn, C.; Enescu, I.; Garnon, J.; Dalili, D.; Cazzato, R.L.; Gangi, A. Safety and Technical Efficacy of Pre-Operative Embolization of Head and Neck Paragangliomas: A 10-Year Mono-Centric Experience and Systematic Review. Clin. Imaging 2021, 80, 292–299. [Google Scholar] [CrossRef] [PubMed]
- van der Mey, A.G.; Frijns, J.H.; Cornelisse, C.J.; Brons, E.N.; van Dulken, H.; Terpstra, H.L.; Schmidt, P.H. Does Intervention Improve the Natural Course of Glomus Tumors? A Series of 108 Patients Seen in a 32-Year Period. Ann. Otol. Rhinol. Laryngol. 1992, 101, 635–642. [Google Scholar] [CrossRef] [PubMed]
- Jansen, J.C.; van den Berg, R.; Kuiper, A.; van der Mey, A.G.; Zwinderman, A.H.; Cornelisse, C.J. Estimation of Growth Rate in Patients with Head and Neck Paragangliomas Influences the Treatment Proposal. Cancer 2000, 88, 2811–2816. [Google Scholar] [CrossRef] [PubMed]
- Prasad, S.C.; Mimoune, H.A.; D’Orazio, F.; Medina, M.; Bacciu, A.; Mariani-Costantini, R.; Piazza, P.; Sanna, M. The Role of Wait-and-Scan and the Efficacy of Radiotherapy in the Treatment of Temporal Bone Paragangliomas. Otol. Neurotol. 2014, 35, 922–931. [Google Scholar] [CrossRef] [PubMed]
- Carlson, M.L.; Sweeney, A.D.; Wanna, G.B.; Netterville, J.L.; Haynes, D.S. Natural History of Glomus Jugulare: A Review of 16 Tumors Managed with Primary Observation. Otolaryngol. Head Neck Surg. 2015, 152, 98–105. [Google Scholar] [CrossRef] [PubMed]
- Lloyd, S.; Obholzer, R.; Tysome, J. BSBS Consensus Group British Skull Base Society Clinical Consensus Document on Management of Head and Neck Paragangliomas. Otolaryngol. Head Neck Surg. 2020, 163, 400–409. [Google Scholar] [CrossRef]
- Favier, J.; Amar, L.; Gimenez-Roqueplo, A.-P. Paraganglioma and Phaeochromocytoma: From Genetics to Personalized Medicine. Nat. Rev. Endocrinol. 2015, 11, 101–111. [Google Scholar] [CrossRef]
- Cass, N.D.; Schopper, M.A.; Lubin, J.A.; Fishbein, L.; Gubbels, S.P. The Changing Paradigm of Head and Neck Paragangliomas: What Every Otolaryngologist Needs to Know. Ann. Otol. Rhinol. Laryngol. 2020, 129, 1135–1143. [Google Scholar] [CrossRef]
- Baysal, B.E.; Willett-Brozick, J.E.; Lawrence, E.C.; Drovdlic, C.M.; Savul, S.A.; McLeod, D.R.; Yee, H.A.; Brackmann, D.E.; Slattery, W.H.; Myers, E.N.; et al. Prevalence of SDHB, SDHC, and SDHD Germline Mutations in Clinic Patients with Head and Neck Paragangliomas. J. Med. Genet. 2002, 39, 178–183. [Google Scholar] [CrossRef]
- Lenders, J.W.M.; Duh, Q.-Y.; Eisenhofer, G.; Gimenez-Roqueplo, A.-P.; Grebe, S.K.G.; Murad, M.H.; Naruse, M.; Pacak, K.; Young, W.F. Endocrine Society Pheochromocytoma and Paraganglioma: An Endocrine Society Clinical Practice Guideline. J. Clin. Endocrinol. Metab. 2014, 99, 1915–1942. [Google Scholar] [CrossRef] [PubMed]
- Taïeb, D.; Wanna, G.B.; Ahmad, M.; Lussey-Lepoutre, C.; Perrier, N.D.; Nölting, S.; Amar, L.; Timmers, H.J.L.M.; Schwam, Z.G.; Estrera, A.L.; et al. Clinical Consensus Guideline on the Management of Phaeochromocytoma and Paraganglioma in Patients Harbouring Germline SDHD Pathogenic Variants. Lancet Diabetes Endocrinol. 2023, 11, 345–361. [Google Scholar] [CrossRef] [PubMed]


| Variable | Value |
|---|---|
| Age, mean (SD) | 61.2 (16.8) years |
| Female (%) | 11 (50%) |
| Tumor classification | |
| Jugulotympanic paraganglioma | 19 |
| Fisch class A | 0 |
| Fisch class B | 3 |
| Fisch class C | 15 |
| Fisch class D | 1 |
| Vagal paraganglioma | 3 |
Disclaimer/Publisher’s Note: The statements, opinions and data contained in all publications are solely those of the individual author(s) and contributor(s) and not of MDPI and/or the editor(s). MDPI and/or the editor(s) disclaim responsibility for any injury to people or property resulting from any ideas, methods, instructions or products referred to in the content. |
© 2023 by the authors. Licensee MDPI, Basel, Switzerland. This article is an open access article distributed under the terms and conditions of the Creative Commons Attribution (CC BY) license (https://creativecommons.org/licenses/by/4.0/).
Share and Cite
Curry, S.D.; Kocharyan, A.; Lekovic, G.P. Multi-Disciplinary Approach to Skull Base Paragangliomas. Brain Sci. 2023, 13, 1533. https://doi.org/10.3390/brainsci13111533
Curry SD, Kocharyan A, Lekovic GP. Multi-Disciplinary Approach to Skull Base Paragangliomas. Brain Sciences. 2023; 13(11):1533. https://doi.org/10.3390/brainsci13111533
Chicago/Turabian StyleCurry, Steven D., Armine Kocharyan, and Gregory P. Lekovic. 2023. "Multi-Disciplinary Approach to Skull Base Paragangliomas" Brain Sciences 13, no. 11: 1533. https://doi.org/10.3390/brainsci13111533
APA StyleCurry, S. D., Kocharyan, A., & Lekovic, G. P. (2023). Multi-Disciplinary Approach to Skull Base Paragangliomas. Brain Sciences, 13(11), 1533. https://doi.org/10.3390/brainsci13111533

