Glucose to Platelet Ratio: A Potential Predictor of Hemorrhagic Transformation in Patients with Acute Ischemic Stroke
Abstract
:1. Introduction
2. Materials and Methods
2.1. Study Population
2.2. Data Collection
2.3. Statistical Analyses
3. Results
3.1. Characteristics of Enrolled Patients
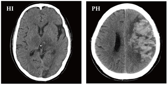
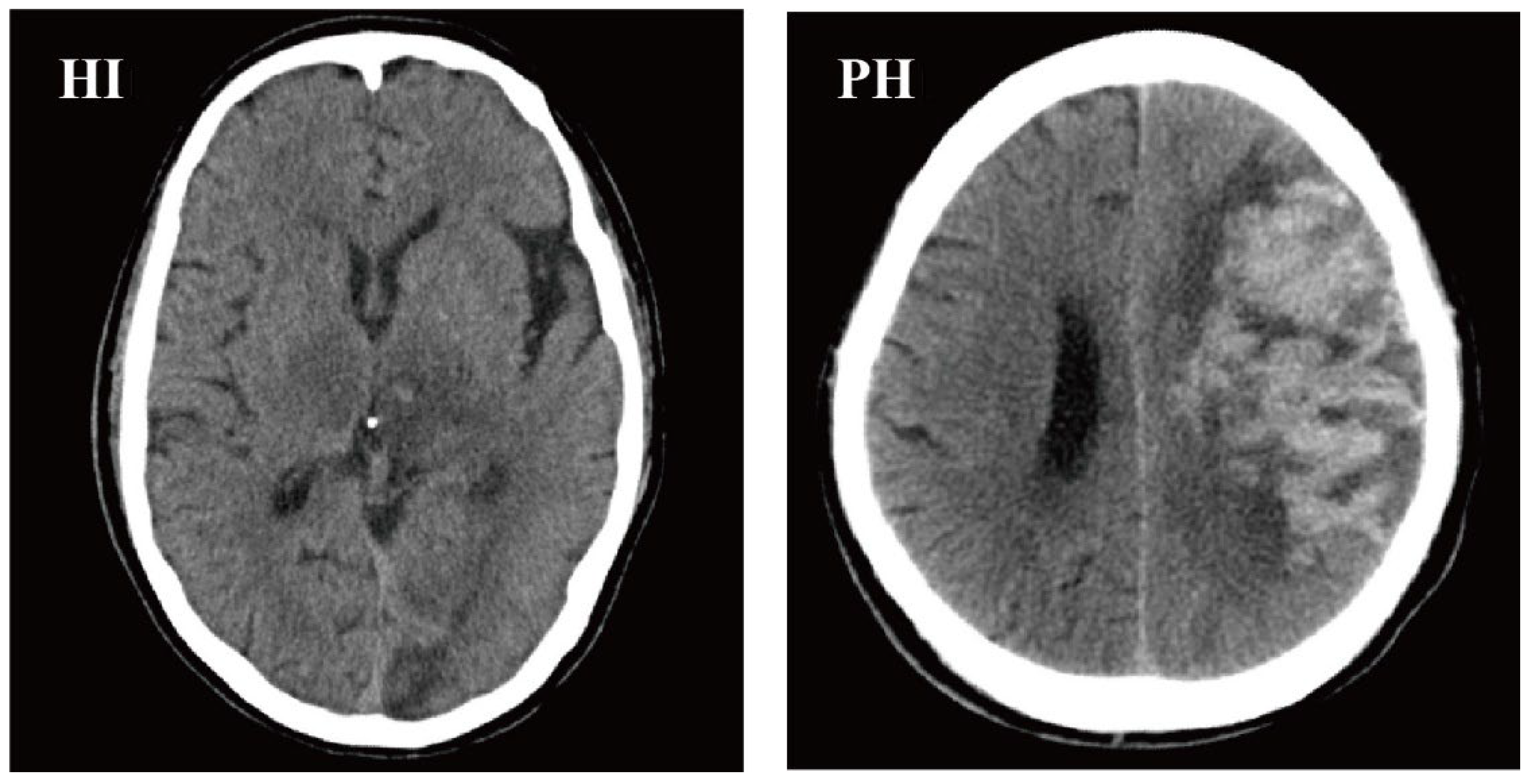
3.2. Characteristics of HI and PH Patients
3.3. Multivariable Logistic Regression Analysis of the Association between Variables and the HT Risk
4. Discussion
5. Conclusions
Supplementary Materials
Author Contributions
Funding
Institutional Review Board Statement
Informed Consent Statement
Data Availability Statement
Acknowledgments
Conflicts of Interest
References
- Phipps, M.S.; Cronin, C.A. Management of acute ischemic stroke. Br. Med. J. 2020, 368, l6983. [Google Scholar] [CrossRef] [PubMed]
- Powers, W.J. Acute Ischemic Stroke. N. Engl. J. Med. 2020, 383, 252–260. [Google Scholar] [CrossRef] [PubMed]
- Qiu, S.; Xu, Y. Guidelines for Acute Ischemic Stroke Treatment. Neurosci. Bull. 2020, 36, 1229–1232. [Google Scholar] [CrossRef]
- Hong, J.M.; Kim, D.S.; Kim, M. Hemorrhagic Transformation After Ischemic Stroke: Mechanisms and Management. Front. Neurol. 2021, 12, 703258. [Google Scholar] [CrossRef] [PubMed]
- Jenkinson, D. ECASS-II: Intravenous alteplase in acute ischaemic stroke. European Co-operative Acute Stroke Study-II. Lancet 1999, 353, 67–68. [Google Scholar] [CrossRef]
- Zhang, J.; Yang, Y.; Sun, H.; Xing, Y. Hemorrhagic transformation after cerebral infarction: Current concepts and challenges. Ann. Transl. Med. 2014, 2, 81. [Google Scholar] [CrossRef]
- Laredo, C.; Renu, A.; Llull, L.; Tudela, R.; Lopez-Rueda, A.; Urra, X.; Macias, N.G.; Rudilosso, S.; Obach, V.; Amaro, S.; et al. Elevated glucose is associated with hemorrhagic transformation after mechanical thrombectomy in acute ischemic stroke patients with severe pretreatment hypoperfusion. Sci. Rep. 2020, 10, 10588. [Google Scholar] [CrossRef]
- Kim, T.J.; Lee, J.S.; Park, S.H.; Ko, S.B. Short-term glycemic variability and hemorrhagic transformation after successful endovascular thrombectomy. Transl. Stroke Res. 2021, 12, 968–975. [Google Scholar] [CrossRef]
- Hu, Q.; Manaenko, A.; Bian, H.; Guo, Z.; Huang, J.L.; Guo, Z.N.; Yang, P.; Tang, J.; Zhang, J.H. Hyperbaric Oxygen Reduces Infarction Volume and Hemorrhagic Transformation Through ATP/NAD(+)/Sirt1 Pathway in Hyperglycemic Middle Cerebral Artery Occlusion Rats. Stroke 2017, 48, 1655–1664. [Google Scholar] [CrossRef]
- Desilles, J.P.; Syvannarath, V.; Ollivier, V.; Journe, C.; Delbosc, S.; Ducroux, C.; Boisseau, W.; Louedec, L.; Di Meglio, L.; Loyau, S.; et al. Exacerbation of Thromboinflammation by Hyperglycemia Precipitates Cerebral Infarct Growth and Hemorrhagic Transformation. Stroke 2017, 48, 1932–1940. [Google Scholar] [CrossRef]
- Prodan, C.I.; Stoner, J.A.; Cowan, L.D.; Dale, G.L. Lower coated-platelet levels are associated with early hemorrhagic transformation in patients with non-lacunar brain infarction. J. Thromb. Haemost. 2010, 8, 1185–1190. [Google Scholar] [CrossRef] [PubMed]
- Ngiam, J.N.; Cheong, C.W.S.; Leow, A.S.T.; Wei, Y.T.; Thet, J.K.X.; Lee, I.Y.S.; Sia, C.H.; Tan, B.Y.Q.; Khoo, C.M.; Sharma, V.K.; et al. Stress hyperglycaemia is associated with poor functional outcomes in patients with acute ischaemic stroke after intravenous thrombolysis. QJM 2022, 115, 7–11. [Google Scholar] [CrossRef] [PubMed]
- Dienel, G.A. Brain Glucose Metabolism: Integration of Energetics with Function. Physiol. Rev. 2019, 99, 949–1045. [Google Scholar] [CrossRef] [PubMed]
- Wong, T.H.T.; Wan, J.M.F.; Louie, J.C.Y. Flash Glucose Monitoring Can Accurately Reflect Postprandial Glucose Changes in Healthy Adults in Nutrition Studies. J. Am. Coll. Nutr. 2021, 40, 26–32. [Google Scholar] [CrossRef] [PubMed]
- Xing, Y.; Jiang, X.; Yang, Y.; Xi, G. Hemorrhagic transformation induced by acute hyperglycemia in a rat model of transient focal ischemia. Acta Neurochir. Suppl. 2011, 111, 49–54. [Google Scholar] [CrossRef]
- Couret, D.; Bourane, S.; Catan, A.; Nativel, B.; Planesse, C.; Dorsemans, A.C.; Ait-Arsa, I.; Cournot, M.; Rondeau, P.; Patche, J.; et al. A hemorrhagic transformation model of mechanical stroke therapy with acute hyperglycemia in mice. J. Comp. Neurol. 2018, 526, 1006–1016. [Google Scholar] [CrossRef]
- Paciaroni, M.; Agnelli, G.; Caso, V.; Corea, F.; Ageno, W.; Alberti, A.; Lanari, A.; Micheli, S.; Bertolani, L.; Venti, M.; et al. Acute hyperglycemia and early hemorrhagic transformation in ischemic stroke. Cerebrovasc. Dis. 2009, 28, 119–123. [Google Scholar] [CrossRef] [PubMed]
- Yuan, C.; Chen, S.; Ruan, Y.; Liu, Y.; Cheng, H.; Zeng, Y.; Chen, Y.; Cheng, Q.; Huang, G.; He, W.; et al. The Stress Hyperglycemia Ratio is Associated with Hemorrhagic Transformation in Patients with Acute Ischemic Stroke. Clin. Interv. Aging 2021, 16, 431–442. [Google Scholar] [CrossRef]
- Klingbeil, K.D.; Koch, S.; Dave, K.R. Potential link between post-acute ischemic stroke exposure to hypoglycemia and hemorrhagic transformation. Int. J. Stroke 2020, 15, 477–483. [Google Scholar] [CrossRef]
- Gensicke, H.; Al Sultan, A.S.; Strbian, D.; Hametner, C.; Zinkstok, S.M.; Moulin, S.; Bill, O.; Zini, A.; Padjen, V.; Kagi, G.; et al. Intravenous thrombolysis and platelet count. Neurology 2018, 90, e690–e697. [Google Scholar] [CrossRef] [PubMed]
- van Kranendonk, K.R.; Treurniet, K.M.; Boers, A.M.M.; Berkhemer, O.A.; van den Berg, L.A.; Chalos, V.; Lingsma, H.F.; van Zwam, W.H.; van der Lugt, A.; van Oostenbrugge, R.J.; et al. Clinical and Imaging Markers Associated With Hemorrhagic Transformation in Patients With Acute Ischemic Stroke. Stroke 2019, 50, 2037–2043. [Google Scholar] [CrossRef] [PubMed]
- Adams, H.P., Jr.; Bendixen, B.H.; Kappelle, L.J.; Biller, J.; Love, B.B.; Gordon, D.L.; Marsh, E.E., 3rd. Classification of subtype of acute ischemic stroke. Definitions for use in a multicenter clinical trial. TOAST. Trial of Org 10172 in Acute Stroke Treatment. Stroke 1993, 24, 35–41. [Google Scholar] [CrossRef] [PubMed]
- Hacke, W.; Kaste, M.; Fieschi, C.; von Kummer, R.; Davalos, A.; Meier, D.; Larrue, V.; Bluhmki, E.; Davis, S.; Donnan, G.; et al. Randomised double-blind placebo-controlled trial of thrombolytic therapy with intravenous alteplase in acute ischaemic stroke (ECASS II). Second European-Australasian Acute Stroke Study Investigators. Lancet 1998, 352, 1245–1251. [Google Scholar] [CrossRef]
- Bruno, A.; Levine, S.R.; Frankel, M.R.; Brott, T.G.; Lin, Y.; Tilley, B.C.; Lyden, P.D.; Broderick, J.P.; Kwiatkowski, T.G.; Fineberg, S.E.; et al. Admission glucose level and clinical outcomes in the NINDS rt-PA Stroke Trial. Neurology 2002, 59, 669–674. [Google Scholar] [CrossRef] [PubMed]
- Capes, S.E.; Hunt, D.; Malmberg, K.; Pathak, P.; Gerstein, H.C. Stress hyperglycemia and prognosis of stroke in nondiabetic and diabetic patients: A systematic overview. Stroke 2001, 32, 2426–2432. [Google Scholar] [CrossRef]
- de Courten-Myers, G.M.; Kleinholz, M.; Holm, P.; DeVoe, G.; Schmitt, G.; Wagner, K.R.; Myers, R.E. Hemorrhagic infarct conversion in experimental stroke. Ann. Emerg. Med. 1992, 21, 120–126. [Google Scholar] [CrossRef]
- Elgebaly, M.M.; Ogbi, S.; Li, W.; Mezzetti, E.M.; Prakash, R.; Johnson, M.H.; Bruno, A.; Fagan, S.C.; Ergul, A. Neurovascular injury in acute hyperglycemia and diabetes: A comparative analysis in experimental stroke. Transl. Stroke Res. 2011, 2, 391–398. [Google Scholar] [CrossRef]
- Yang, C.; Hawkins, K.E.; Dore, S.; Candelario-Jalil, E. Neuroinflammatory mechanisms of blood-brain barrier damage in ischemic stroke. Am. J. Physiol. Cell Physiol. 2019, 316, C135–C153. [Google Scholar] [CrossRef]
- Alvarez-Sabin, J.; Maisterra, O.; Santamarina, E.; Kase, C.S. Factors influencing haemorrhagic transformation in ischaemic stroke. Lancet Neurol. 2013, 12, 689–705. [Google Scholar] [CrossRef]
- Sun, M.S.; Jin, H.; Sun, X.; Huang, S.; Zhang, F.L.; Guo, Z.N.; Yang, Y. Free Radical Damage in Ischemia-Reperfusion Injury: An Obstacle in Acute Ischemic Stroke after Revascularization Therapy. Oxid. Med. Cell Longev. 2018, 2018, 3804979. [Google Scholar] [CrossRef]
- Salman, M.; Ismael, S.; Li, L.; Ahmed, H.A.; Puchowicz, M.A.; Ishrat, T. Acute Hyperglycemia Exacerbates Hemorrhagic Transformation after Embolic Stroke and Reperfusion with tPA: A Possible Role of TXNIP-NLRP3 Inflammasome. J. Stroke Cerebrovasc. Dis. 2022, 31, 106226. [Google Scholar] [CrossRef] [PubMed]
- Switonska, M.; Piekus-Slomka, N.; Slomka, A.; Sokal, P.; Zekanowska, E.; Lattanzi, S. Neutrophil-to-Lymphocyte Ratio and Symptomatic Hemorrhagic Transformation in Ischemic Stroke Patients Undergoing Revascularization. Brain Sci. 2020, 10, 771. [Google Scholar] [CrossRef] [PubMed]
- Lattanzi, S.; Norata, D.; Divani, A.A.; Di Napoli, M.; Broggi, S.; Rocchi, C.; Ortega-Gutierrez, S.; Mansueto, G.; Silvestrini, M. Systemic Inflammatory Response Index and Futile Recanalization in Patients with Ischemic Stroke Undergoing Endovascular Treatment. Brain Sci. 2021, 11, 1164. [Google Scholar] [CrossRef]
- Zangari, R.; Zanier, E.R.; Torgano, G.; Bersano, A.; Beretta, S.; Beghi, E.; Casolla, B.; Checcarelli, N.; Lanfranconi, S.; Maino, A.; et al. Early ficolin-1 is a sensitive prognostic marker for functional outcome in ischemic stroke. J. Neuroinflammation 2016, 13, 16. [Google Scholar] [CrossRef] [PubMed]
- Di Napoli, M.; Slevin, M.; Popa-Wagner, A.; Singh, P.; Lattanzi, S.; Divani, A.A. Monomeric C-Reactive Protein and Cerebral Hemorrhage: From Bench to Bedside. Front. Immunol. 2018, 9, 1921. [Google Scholar] [CrossRef]
- Lattanzi, S.; Di Napoli, M.; Ricci, S.; Divani, A.A. Matrix Metalloproteinases in Acute Intracerebral Hemorrhage. Neurotherapeutics 2020, 17, 484–496. [Google Scholar] [CrossRef]
- Lattanzi, S.; Cagnetti, C.; Rinaldi, C.; Angelocola, S.; Provinciali, L.; Silvestrini, M. Neutrophil-to-lymphocyte ratio improves outcome prediction of acute intracerebral hemorrhage. J. Neurol. Sci. 2018, 387, 98–102. [Google Scholar] [CrossRef]
- Santoro, S.A. Platelets: Platelet immunobiology. Science 1989, 245, 314–315. [Google Scholar] [CrossRef]
- Kannan, M.; Ahmad, F.; Saxena, R. Platelet activation markers in evaluation of thrombotic risk factors in various clinical settings. Blood Rev. 2019, 37, 100583. [Google Scholar] [CrossRef]
- He, W.; Ruan, Y.; Yuan, C.; Cheng, Q.; Cheng, H.; Zeng, Y.; Chen, Y.; Huang, G.; Chen, H.; He, J. High Neutrophil-to-Platelet Ratio Is Associated With Hemorrhagic Transformation in Patients With Acute Ischemic Stroke. Front. Neurol. 2019, 10, 1310. [Google Scholar] [CrossRef]
- Breuer, L.; Huttner, H.B.; Kiphuth, I.C.; Ringwald, J.; Hilz, M.J.; Schwab, S.; Kohrmann, M. Waiting for platelet counts causes unsubstantiated delay of thrombolysis therapy. Eur. Neurol. 2013, 69, 317–320. [Google Scholar] [CrossRef] [PubMed]
- Powers, W.J.; Rabinstein, A.A.; Ackerson, T.; Adeoye, O.M.; Bambakidis, N.C.; Becker, K.; Biller, J.; Brown, M.; Demaerschalk, B.M.; Hoh, B.; et al. Guidelines for the Early Management of Patients With Acute Ischemic Stroke: 2019 Update to the 2018 Guidelines for the Early Management of Acute Ischemic Stroke: A Guideline for Healthcare Professionals From the American Heart Association/American Stroke Association. Stroke 2019, 50, e344–e418. [Google Scholar] [CrossRef] [PubMed]




| Variables | Non-HT (n = 1282) | HT (n = 643) | Statistic | p |
|---|---|---|---|---|
| Age (years), Mean ± SD | 69.64 ± 11.85 | 69.57 ± 11.9 | 0.114 | 0.909 |
| Gender, n (%) | 0.06 | 0.806 | ||
| Male | 858 (66.93) | 426 (66.25) | ||
| Female | 424 (33.07) | 217 (33.75) | ||
| BMI (kg/m2), Mean ± SD | 23.72 ± 2.59 | 24.36 ± 7.57 | −2.061 | 0.04 |
| Drinking, n (%) | 393 (30.66) | 216 (33.59) | 1.575 | 0.209 |
| Smoking, n (%) | 467 (36.43) | 257 (39.97) | 2.14 | 0.143 |
| Hypertension, n (%) | 919 (71.68) | 416 (64.7) | 9.512 | 0.002 |
| Diabetes, n (%) | 360 (28.08) | 191 (29.7) | 0.476 | 0.49 |
| AF, n (%) | 209 (16.3) | 266 (41.37) | 143.41 | <0.001 |
| NIHSS, Median (Q1, Q3) | 2 (1, 6) | 3 (1, 8) | 338,743.5 | <0.001 |
| Time interval a (days), Median (Q1, Q3) | 0 (0–1) | 0 (0–1) | 1.409 | 0.159 |
| Time interval b (days), Median (Q1, Q3) | 5 (3–7) | 7 (5–11) | 11.874 | <0.001 |
| TOAST classification, n (%) | 129.742 | <0.001 | ||
| Large artery atherosclerosis | 449 (35.02) | 184 (28.62) | ||
| Small vessel occlusion | 47 (3.67) | 16 (2.49) | ||
| Cardioembolism | 204 (15.91) | 251 (39.04) | ||
| Other | 582 (45.4) | 192 (29.86) | ||
| Infarct location, n (%) | 448.145 | <0.001 | ||
| Lobar | 174 (13.57) | 158 (24.57) | ||
| Subcortical | 570 (44.46) | 43 (6.69) | ||
| Brainstem | 164 (12.79) | 6 (0.93) | ||
| Cerebellum | 25 (1.95) | 50 (7.78) | ||
| Mixed type | 349 (27.22) | 386 (60.03) | ||
| Drugs, n (%) | 161.61 | <0.001 | ||
| None | 101 (7.88) | 146 (22.71) | ||
| Antiplatelet | 952 (74.26) | 309 (48.06) | ||
| Anticoagulant | 75 (5.85) | 98 (15.24) | ||
| Antiplatelet + Anticoagulant | 154 (12.01) | 90 (14) | ||
| Statin, n (%) | 1202 (93.76) | 522 (81.18) | 71.106 | <0.001 |
| Creatinine (umol/L), Mean ± SD | 81.29 ± 61.23 | 79.21 ± 55.09 | 0.751 | 0.453 |
| PT, Median (Q1, Q3) | 13.8 (13.2, 14.3) | 13.9 (13.3, 14.3) | 393,247 | 0.1 |
| INR, Median (Q1, Q3) | 1.07 (1.01, 1.12) | 1.08 (1.02, 1.11) | 397,520 | 0.202 |
| Glucose (mmol/L), Mean ± SD | 6.17 ± 2.61 | 7.03 ± 3.26 | −5.806 | <0.001 |
| Platelet (109/L), Mean ± SD | 215.09 ± 68.66 | 200.52 ± 62.57 | 4.663 | <0.001 |
| G/P, Mean ± SD | 0.03 ± 0.02 | 0.04 ± 0.02 | −7.338 | <0.001 |
| Variables | Non-HT (n = 1282) | HI (n = 426) | PH (n = 217) | Statistic | p |
|---|---|---|---|---|---|
| Age (years), Mean ± SD | 69.64 ± 11.85 | 69.13 ± 11.98 | 70.45 ± 11.72 | 0.893 | 0.409 |
| Gender, n (%) | 2.211 | 0.331 | |||
| Male | 858 (66.93) | 274 (64.32) | 152 (70.05) | ||
| Female | 424 (33.07) | 152 (35.68) | 65 (29.95) | ||
| BMI (kg/m2), Mean ± SD | 23.72 ± 2.59 | 24.63 ± 9.18 | 23.82 ± 2.03 | 5.608 | 0.004 |
| Drinking, n (%) | 393 (30.66) | 136 (31.92) | 80 (36.87) | 3.331 | 0.189 |
| Smoking, n (%) | 467 (36.43) | 165 (38.73) | 92 (42.4) | 3.111 | 0.211 |
| Hypertension, n (%) | 919 (71.68) | 280 (65.73) | 136 (62.67) | 10.469 | 0.005 |
| Diabetes, n (%) | 360 (28.08) | 144 (33.8) | 47 (21.66) | 10.93 | 0.004 |
| AF, n (%) | 209 (16.3) | 167 (39.2) | 99 (45.62) | 147.944 | <0.001 |
| NIHSS, Median (Q1, Q3) | 2 (1, 6) | 3 (1, 8) | 4 (2, 8) | 47.214 | <0.001 |
| Time interval a (days), Median (Q1, Q3) | 0 (0–1) | 0 (0–2) | 0 (0–1) | 2.514 | 0.284 |
| Time interval b (days), Median (Q1, Q3) | 5 (3–7) | 7 (5–11) | 7 (5–12) | 141.13 | <0.001 |
| TOAST classification, n (%) | 143.875 | <0.001 | |||
| Large artery atherosclerosis | 449 (35.02) | 135 (31.69) | 49 (22.58) | ||
| Small vessel occlusion | 47 (3.67) | 10 (2.53) | 6 (2.76) | ||
| Cardioembolism | 204 (15.91) | 148 (34.74) | 103 (47.47) | ||
| Other | 582 (45.4) | 133 (31.22) | 49 (22.58) | ||
| Infarct location, n (%) | 451.211 | <0.001 | |||
| Lobar | 174 (13.57) | 111 (26.06) | 47 (21.66) | ||
| Subcortical | 570 (44.46) | 31 (7.28) | 12 (5.53) | ||
| Brainstem | 164 (12.79) | 4 (0.94) | 2 (0.92) | ||
| Cerebellum | 25 (1.95) | 32 (7.51) | 18 (8.29) | ||
| Mixed type | 349 (27.22) | 248 (58.22) | 138 (63.59) | ||
| Drugs, n (%) | 188.508 | <0.001 | |||
| None | 101 (7.88) | 76 (17.84) | 70 (32.26) | ||
| Antiplatelet | 952 (74.26) | 222 (52.11) | 87 (40.09) | ||
| Anticoagulant | 75 (5.85) | 67 (15.73) | 31 (14.29) | ||
| Antiplatelet + Anticoagulant | 154 (12.01) | 61 (14.32) | 29 (13.36) | ||
| Statin, n (%) | 1202 (93.76) | 357 (83.8) | 165 (76.04) | 81.717 | <0.001 |
| Creatinine (umol/L), Mean ± SD | 81.29 ± 61.23 | 80.38 ± 65.64 | 76.91 ± 23.13 | 0.509 | 0.601 |
| PT, Median (Q1, Q3) | 13.8 (13.2, 14.3) | 13.9 (13.3, 14.3) | 13.97 (13.4, 14.3) | 4.285 | 0.117 |
| INR, Median (Q1, Q3) | 1.07 (1.01, 1.12) | 1.08 (1.02, 1.11) | 1.08 (1.02, 1.11) | 2.204 | 0.332 |
| Glucose (mmol/L), Mean ± SD | 6.17 ± 2.61 | 7.13 ± 3.37 | 6.84 ± 3.04 | 20.203 | <0.001 |
| Platelet (109/L), Mean ± SD | 215.09 ± 68.66 | 202.11 ± 63.8 | 197.4 ± 60.13 | 10.58 | <0.001 |
| G/P, Mean ± SD | 0.03 ± 0.02 | 0.04 ± 0.02 | 0.04 ± 0.02 | 30.251 | <0.001 |
Publisher’s Note: MDPI stays neutral with regard to jurisdictional claims in published maps and institutional affiliations. |
© 2022 by the authors. Licensee MDPI, Basel, Switzerland. This article is an open access article distributed under the terms and conditions of the Creative Commons Attribution (CC BY) license (https://creativecommons.org/licenses/by/4.0/).
Share and Cite
Chen, L.; Chen, N.; Lin, Y.; Ren, H.; Huang, Q.; Jiang, X.; Zhou, X.; Pan, R.; Ren, W. Glucose to Platelet Ratio: A Potential Predictor of Hemorrhagic Transformation in Patients with Acute Ischemic Stroke. Brain Sci. 2022, 12, 1170. https://doi.org/10.3390/brainsci12091170
Chen L, Chen N, Lin Y, Ren H, Huang Q, Jiang X, Zhou X, Pan R, Ren W. Glucose to Platelet Ratio: A Potential Predictor of Hemorrhagic Transformation in Patients with Acute Ischemic Stroke. Brain Sciences. 2022; 12(9):1170. https://doi.org/10.3390/brainsci12091170
Chicago/Turabian StyleChen, Lingli, Nan Chen, Yisi Lin, Huanzeng Ren, Qiqi Huang, Xiuzhen Jiang, Xiahui Zhou, Rongrong Pan, and Wenwei Ren. 2022. "Glucose to Platelet Ratio: A Potential Predictor of Hemorrhagic Transformation in Patients with Acute Ischemic Stroke" Brain Sciences 12, no. 9: 1170. https://doi.org/10.3390/brainsci12091170
APA StyleChen, L., Chen, N., Lin, Y., Ren, H., Huang, Q., Jiang, X., Zhou, X., Pan, R., & Ren, W. (2022). Glucose to Platelet Ratio: A Potential Predictor of Hemorrhagic Transformation in Patients with Acute Ischemic Stroke. Brain Sciences, 12(9), 1170. https://doi.org/10.3390/brainsci12091170

