Functional Connectivity within the Frontal–Striatal Network Differentiates Checkers from Washers of Obsessive-Compulsive Disorder
Abstract
:1. Introduction
2. Methods
2.1. Participants
2.2. Clinical Measures and Quality Control
2.3. Clinical Subtype Classification
2.4. fMRI Scanning
2.5. MRI Data Preprocessing
2.6. ReHo Analysis
2.7. Seed-Based FC Calculation
2.8. Statistical Analysis
3. Results
3.1. Demographic and Clinical Characteristics
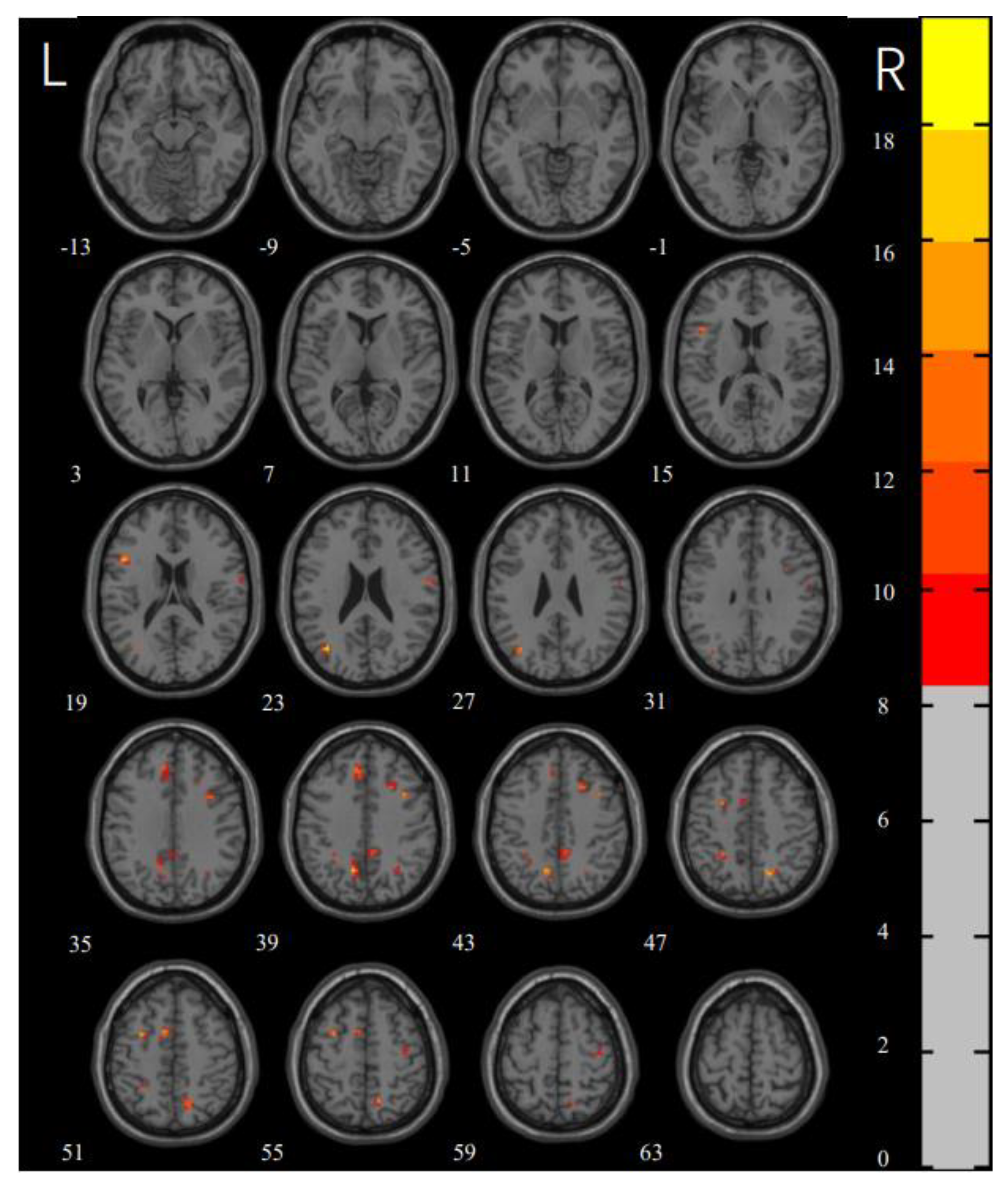
3.2. ReHo
3.3. ROC Curve Analysis
3.4. Functional Connectivity
3.5. Correlation Analysis
4. Discussion
General Discussion of the Classification of the OCD Symptom Subtypes
Author Contributions
Funding
Institutional Review Board Statement
Informed Consent Statement
Data Availability Statement
Conflicts of Interest
References
- Szalisznyó, K.; Silverstein, D.N. Computational Predictions for OCD Pathophysiology and Treatment: A Review. Front. Psychiatry 2021, 12, 687062. [Google Scholar] [CrossRef] [PubMed]
- Abramowitz, J.S.; Taylor, S.; McKay, D. Obsessive-compulsive disorder. Lancet 2009, 374, 491–499. [Google Scholar] [CrossRef]
- Vellozo, A.P.; Fontenelle, L.F.; Torresan, R.C.; Shavitt, R.G.; Ferrão, Y.A.; Rosário, M.C.; Miguel, E.C.; Torres, A.R. Symmetry Dimension in Obsessive–Compulsive Disorder: Prevalence, Severity and Clinical Correlates. J. Clin. Med. 2021, 10, 274. [Google Scholar] [CrossRef]
- Zhang, X.; Liu, J.; Cui, J.; Liu, C. Study of symptom dimensions and clinical characteristics in Chinese patients with OCD. J. Affect. Disord. 2013, 151, 868–874. [Google Scholar] [CrossRef] [PubMed]
- Clair, A.-H. Clinical characteristics of obsessivecompulsive disorder. La Revue du Praticien 2020, 70, 783–787. [Google Scholar] [PubMed]
- Strauss, A.Y.; Fradkin, I.; McNally, R.J.; Linkovski, O.; Anholt, G.E.; Huppert, J.D. Why check? A meta-analysis of checking in obsessive-compulsive disorder: Threat vs. distrust of senses. Clin. Psychol. Rev. 2019, 75, 101807. [Google Scholar] [CrossRef] [PubMed]
- Coleman, S.L.; Pieterefesa, A.S.; Holaway, R.M.; Coles, M.E.; Heimberg, R.G. Content and correlates of checking related to symptoms of obsessive compulsive disorder and generalized anxiety disorder. J. Anxiety Disord. 2011, 25, 293–301. [Google Scholar] [CrossRef]
- Pélissier, M.-C.; O’Connor, K.P.; Dupuis, G. When doubting begins: Exploring inductive reasoning in obsessive-compulsive disorder. J. Behav. Ther. Exp. Psychiatry 2009, 40, 39–49. [Google Scholar] [CrossRef] [PubMed]
- Ron, O.; Oren, E.; Dar, R. The doubt-certainty continuum in psychopathology, lay thinking, and science. J. Behav. Ther. Exp. Psychiatry 2016, 53, 68–74. [Google Scholar] [CrossRef]
- Toffolo, M.B.; Hout, M.A.V.D.; Engelhard, I.M.; Hooge, I.T.; Cath, D.C. Patients With Obsessive-Compulsive Disorder Check Excessively in Response to Mild Uncertainty. Behav. Ther. 2016, 47, 550–559. [Google Scholar] [CrossRef] [PubMed]
- Bhikram, T.; Abi-Jaoude, E.; Sandor, P. OCD: Obsessive–compulsive … disgust? The role of. J. Psychiatry Neurosci. 2017, 42, 300–306. [Google Scholar] [CrossRef] [PubMed] [Green Version]
- Brady, R.E.; Badour, C.L.; Arega, E.A.; Levy, J.J.; Adams, T.G. Evaluating the mediating effects of perceived vulnerability to disease in the relation between disgust and contamination-based OCD. J. Anxiety Disord. 2021, 79, 102384. [Google Scholar] [CrossRef]
- Armstrong, T.; Olatunji, B.O. Pavlovian disgust conditioning as a model for contamination-based OCD: Evidence from an analogue study. Behav. Res. Ther. 2017, 93, 78–87. [Google Scholar] [CrossRef]
- Knowles, K.A.; Jessup, S.C.; Olatunji, B.O. Disgust in Anxiety and Obsessive-Compulsive Disorders: Recent Findings and Future Directions. Curr. Psychiatry Rep. 2018, 20, 1–10. [Google Scholar] [CrossRef] [PubMed]
- Mataix-Cols, D.; Cullen, S.; Lange, K.; Zelaya, F.; Andrew, C.; Amaro, E.; Brammer, M.J.; Williams, S.C.; Speckens, A.; Phillips, M.L. Neural correlates of anxiety associated with obsessive-compulsive symptom dimensions in normal volunteers. Biol. Psychiatry 2003, 53, 482–493. [Google Scholar] [CrossRef]
- Murayama, K.; Nakao, T.; Sanematsu, H.; Okada, K.; Yoshiura, T.; Tomita, M.; Masuda, Y.; Isomura, K.; Nakagawa, A.; Kanba, S. Differential neural network of checking versus washing symptoms in obsessive-compulsive disorder. Prog. Neuro-Psychopharmacol. Biol. Psychiatry 2013, 40, 160–166. [Google Scholar] [CrossRef]
- Via, E.; Cardoner, N.; Pujol, J.; Alonso, P.; López-Solà, M.; Real, E.; Contreras-Rodríguez, O.; Deus, J.; Segalàs, C.; Menchón, J.M.; et al. Amygdala activation and symptom dimensions in obsessive–compulsive disorder. Br. J. Psychiatry 2014, 204, 61–68. [Google Scholar] [CrossRef] [Green Version]
- Mataix-Cols, D.; Wooderson, S.; Lawrence, N.; Brammer, M.J.; Speckens, A.; Phillips, M.L. Distinct Neural Correlates of Washing, Checking, and Hoarding SymptomDimensions in Obsessive-compulsive Disorder. Arch. Gen. Psychiatry 2004, 61, 564–576. [Google Scholar] [CrossRef] [Green Version]
- Phillips, M.L.; Marks, I.M.; Senior, C.; Lythgoe, D.; O’Dwyer, A.-M.; Meehan, O.; Williams, S.C.R.; Brammer, M.J.; Bullmore, E.T.; McGuire, P.K. A differential neural response in obsessive–compulsive disorder patients with washing compared with checking symptoms to disgust. Psychol. Med. 2000, 30, 1037–1050. [Google Scholar] [CrossRef]
- Shapira, N.A.; Liu, Y.; He, A.G.; Bradley, M.M.; Lessig, M.C.; James, G.A.; Stein, D.J.; Lang, P.J.; Goodman, W.K. Brain activation by disgust-inducing pictures in obsessive-compulsive disorder. Biol. Psychiatry 2003, 54, 751–756. [Google Scholar] [CrossRef]
- Thorsen, A.L.; Kvale, G.; Hansen, B.; Heuvel, O.A.V.D. Symptom Dimensions in Obsessive-Compulsive Disorder as Predictors of Neurobiology and Treatment Response. Curr. Treat. Options Psychiatry 2018, 5, 182–194. [Google Scholar] [CrossRef] [PubMed]
- Agarwal, S.M.; Jose, D.; Baruah, U.; Shivakumar, V.; Kalmady, S.; Venkatasubramanian, G.; Mataix-Cols, D.; Reddy, Y.C.J. Neurohemodynamic Correlates of Washing Symptoms in Obsessive-compulsive Disorder: A Pilot fMRI Study Using Symptom Provocation Paradigm. Indian J. Psychol. Med. 2013, 35, 67–74. [Google Scholar] [CrossRef] [Green Version]
- Jhung, K.; Ku, J.; Kim, S.J.; Lee, H.; Kim, K.R.; An, S.K.; Kim, S.I.; Yoon, K.-J.; Lee, E. Distinct functional connectivity of limbic network in the washing type obsessive–compulsive disorder. Prog. Neuro-Psychopharmacol. Biol. Psychiatry 2014, 53, 149–155. [Google Scholar] [CrossRef]
- Li, P.; Cheng, J.; Gu, Q.; Ruan, H.; Wang, Y.; Liu, O.; Wu, Y.; Wang, Z. Influence of obsessive beliefs and impulsivity traits on symptom dimensions of obsessive-compulsive disorder patients. J. Shanghai Jiaotong Univ. (Med. Sci.) 2021, 41, 756–760. [Google Scholar] [CrossRef]
- Yu, J.; Zhou, P.; Yuan, S.; Wu, Y.; Wang, C.; Zhang, N.; Li, C.-S.R.; Liu, N. Symptom provocation in obsessive–compulsive disorder: A voxel-based meta-analysis and meta-analytic connectivity modeling. J. Psychiatr. Res. 2021, 146, 125–134. [Google Scholar] [CrossRef] [PubMed]
- Ravindran, A.; Richter, M.; Jain, T.; Ravindran, L.; Rector, N.; Farb, N. Functional connectivity in obsessive-compulsive disorder and its subtypes. Psychol. Med. 2019, 50, 1173–1181. [Google Scholar] [CrossRef] [PubMed]
- Raimondo, L.; Oliveira, A.; Heij, J.; Priovoulos, N.; Kundu, P.; Leoni, R.F.; van der Zwaag, W. Advances in resting state fMRI acquisitions for functional connectomics. NeuroImage 2021, 243, 118503. [Google Scholar] [CrossRef] [PubMed]
- Ji, L.; Meda, S.A.; Tamminga, C.A.; Clementz, B.A.; Keshavan, M.S.; Sweeney, J.A.; Gershon, E.S.; Pearlson, G.D. Characterizing functional regional homogeneity (ReHo) as a B-SNIP psychosis biomarker using traditional and machine learning approaches. Schizophr. Res. 2019, 215, 430–438. [Google Scholar] [CrossRef]
- Shahhosseini, Y.; Miranda, M.F. Functional Connectivity Methods and Their Applications in fMRI Data. Entropy 2022, 24, 390. [Google Scholar] [CrossRef]
- Hutchison, R.M.; Womelsdorf, T.; Allen, E.A.; Bandettini, P.A.; Calhoun, V.D.; Corbetta, M.; Della Penna, S.; Duyn, J.H.; Glover, G.H.; Gonzalez-Castillo, J.; et al. Dynamic functional connectivity: Promise, issues, and interpretations. NeuroImage 2013, 80, 360–378. [Google Scholar] [CrossRef] [PubMed] [Green Version]
- Golestani, A.M.; Kwinta, J.B.; Khatamian, Y.B.; Chen, J.J. The Effect of Low-Frequency Physiological Correction on the Reproducibility and Specificity of Resting-State fMRI Metrics: Functional Connectivity, ALFF, and ReHo. Front. Neurosci. 2017, 11, 546. [Google Scholar] [CrossRef] [Green Version]
- Xu, J.; Guan, X.; Li, H.; Xu, X.; Zhang, M. Integration and segregation of functional segmented anterior and posterior hippocampal networks in memory performance. Behav. Brain Res. 2019, 364, 256–263. [Google Scholar] [CrossRef]
- Storch, E.A.; Rasmussen, S.A.; Price, L.H.; Larson, M.; Murphy, T.K.; Goodman, W.K. Development and psychometric evaluation of the Yale–Brown Obsessive-Compulsive Scale—Second Edition. Psychol. Assess. 2010, 22, 223–232. [Google Scholar] [CrossRef]
- Gong, H.; Nederpel, T.M.H.; Lin, G.; Zhang, Y.; Yang, Y.; Li, B.; Luo, X.; Fang, F.; Liu, W.; Zhang, C.; et al. The Obsessive-Compulsive Inventory–Revised: Replication of the psychometric properties in China. Bull. Menn. Clin. 2020, 84, 34–47. [Google Scholar] [CrossRef]
- Krámská, L.; Urgošík, D.; Liščák, R.; Hrešková, L.; Skopová, J. Neuropsychological outcome in refractory obsessive–compulsive disorder treated with anterior capsulotomy including repeated surgery. Psychiatry Clin. Neurosci. 2020, 75, 101–107. [Google Scholar] [CrossRef]
- Castro-Rodrigues, P.; Camacho, M.; Almeida, S.; Marinho, M.; Soares, C.; Barahona-Correa, B.; Oliveira-Maia, A.J. Criterion Validity of the Yale-Brown Obsessive-Compulsive Scale Second Edition for Diagnosis of Obsessive-Compulsive Disorder in Adults. Front. Psychiatry 2018, 9, 431. [Google Scholar] [CrossRef] [Green Version]
- Hon, S.K.; Siu, B.W.; Cheng, C.W.; Wong, W.C.; Foa, E.B. Validation of the Chinese Version of Obsessive-Compulsive Inventory-Revised. East Asian Arch. Psychiatry 2019, 29, 103–111. [Google Scholar] [CrossRef] [Green Version]
- Julian, L.J. Measures of anxiety: State-Trait Anxiety Inventory (STAI), Beck Anxiety Inventory (BAI), and Hospital Anxiety and Depression Scale-Anxiety (HADS-A). Arthritis Care Res. 2011, 63, S467–S472. [Google Scholar] [CrossRef] [Green Version]
- Smarr, K.L.; Keefer, A.L. Measures of depression and depressive symptoms: Beck Depression Inventory-II (BDI-II), Center for Epidemiologic Studies Depression Scale (CES-D), Geriatric Depression Scale (GDS), Hospital Anxiety and Depression Scale (HADS), and Patient Health Questionnaire-9 (PHQ-9). Arthritis Rheum. 2011, 63 (Suppl. S11), S454–S466. [Google Scholar] [CrossRef]
- Hirose, M.; Hirano, Y.; Nemoto, K.; Sutoh, C.; Asano, K.; Miyata, H.; Matsumoto, J.; Nakazato, M.; Matsumoto, K.; Masuda, Y.; et al. Relationship between symptom dimensions and brain morphology in obsessive-compulsive disorder. Brain Imaging Behav. 2016, 11, 1326–1333. [Google Scholar] [CrossRef]
- Zhao, Q.; Xu, T.; Wang, Y.; Chen, D.; Liu, Q.; Yang, Z.; Wang, Z. Limbic cortico-striato-thalamo-cortical functional connectivity in drug-naïve patients of obsessive-compulsive disorder. Psychol. Med. 2019, 51, 70–82. [Google Scholar] [CrossRef]
- Del Casale, A.; Rapinesi, C.; Kotzalidis, G.D.; De Rossi, P.; Curto, M.; Janiri, D.; Criscuolo, S.; Alessi, M.C.; Ferri, V.R.; De Giorgi, R.; et al. Executive functions in obsessive–compulsive disorder: An activation likelihood estimate meta-analysis of fMRI studies. World J. Biol. Psychiatry 2015, 17, 378–393. [Google Scholar] [CrossRef]
- Tang, H.; Lu, X.; Su, R.; Liang, Z.; Mai, X.; Liu, C. Washing away your sins in the brain: Physical cleaning and priming of cleaning recruit different brain networks after moral threat. Soc. Cogn. Affect. Neurosci. 2017, 12, 1149–1158. [Google Scholar] [CrossRef] [PubMed] [Green Version]
- Liu, W.; Liu, L.; Cheng, X.; Ge, H.; Hu, G.; Xue, C.; Qi, W.; Xu, W.; Chen, S.; Gao, R.; et al. Functional Integrity of Executive Control Network Contributed to Retained Executive Abilities in Mild Cognitive Impairment. Front. Aging Neurosci. 2021, 13, 710172. [Google Scholar] [CrossRef] [PubMed]
- Jiang, K.; Xu, Y.; Li, Y.; Li, L.; Yang, M.; Xue, P. How aerobic exercise improves executive function in ADHD children: A resting-state fMRI study. Int. J. Dev. Neurosci. 2022, 82, 295–302. [Google Scholar] [CrossRef]
- Stern, E.R.; Fitzgerald, K.D.; Welsh, R.C.; Abelson, J.L.; Taylor, S. Resting-State Functional Connectivity between Fronto-Parietal and Default Mode Networks in Obsessive-Compulsive Disorder. PLoS ONE 2012, 7, e36356. [Google Scholar] [CrossRef] [PubMed]
- Fan, J.; Zhong, M.; Gan, J.; Liu, W.; Niu, C.; Liao, H.; Zhang, H.; Tan, C.; Yi, J.; Zhu, X. Spontaneous neural activity in the right superior temporal gyrus and left middle temporal gyrus is associated with insight level in obsessive-compulsive disorder. J. Affect. Disord. 2017, 207, 203–211. [Google Scholar] [CrossRef] [PubMed]
- Ljungberg, M.; Nilsson, M.K.L.; Melin, K.; Jönsson, L.; Carlsson, A.; Carlsson, A.; Forssell-Aronsson, E.; Ivarsson, T.; Carlsson, M.; Starck, G. 1H magnetic resonance spectroscopy evidence for occipital involvement in treatment-naive paediatric obsessive–compulsive disorder. Acta Neuropsychiatr. 2016, 29, 179–190. [Google Scholar] [CrossRef]
- Stern, E.R.; Muratore, A.F.; Taylor, S.F.; Abelson, J.L.; Hof, P.R.; Goodman, W.K. Switching between internally and externally focused attention in obsessive-compulsive disorder: Abnormal visual cortex activation and connectivity. Psychiatry Res. Neuroimaging 2016, 265, 87–97. [Google Scholar] [CrossRef]
- Lee, T.Y.; Jung, W.H.; Bin Kwak, Y.; Yoon, Y.B.; Lee, J.; Kim, M.; Kim, E.; Kwon, J.S. Distinct neural networks associated with obsession and delusion: A connectome-wide association study. Psychol. Med. 2020, 51, 1320–1328. [Google Scholar] [CrossRef]
- Shaw, P.; Sharp, W.; Sudre, G.; Wharton, A.; Greenstein, D.; Raznahan, A.; Evans, A.; Chakravarty, M.M.; Lerch, J.P.; Rapoport, J. Subcortical and cortical morphological anomalies as an endophenotype in obsessive-compulsive disorder. Mol. Psychiatry 2014, 20, 224–231. [Google Scholar] [CrossRef] [PubMed] [Green Version]
- Cavanna, A.E.; Trimble, M.R. The precuneus: A review of its functional anatomy and behavioural correlates. Brain 2006, 129, 564–583. [Google Scholar] [CrossRef] [PubMed] [Green Version]
- Northoff, G.; Heinzel, A.; de Greck, M.; Bermpohl, F.; Dobrowolny, H.; Panksepp, J. Self-referential processing in our brain—A meta-analysis of imaging studies on the self. NeuroImage 2006, 31, 440–457. [Google Scholar] [CrossRef]
- Watanabe, T.; Takezawa, M.; Nakawake, Y.; Kunimatsu, A.; Yamasue, H.; Nakamura, M.; Miyashita, Y.; Masuda, N. Two distinct neural mechanisms underlying indirect reciprocity. Proc. Natl. Acad. Sci. USA 2014, 111, 3990–3995. [Google Scholar] [CrossRef] [Green Version]
- Beucke, J.C.; Sepulcre, J.; Eldaief, M.C.; Sebold, M.; Kathmann, N.; Kaufmann, C. Default mode network subsystem alterations in obsessive–compulsive disorder. Br. J. Psychiatry 2014, 205, 376–382. [Google Scholar] [CrossRef] [Green Version]
- Lieberman, M.D.; Straccia, M.A.; Meyer, M.L.; Du, M.; Tan, K.M. Social, self, (situational), and affective processes in medial prefrontal cortex (MPFC): Causal, multivariate, and reverse inference evidence. Neurosci. Biobehav. Rev. 2019, 99, 311–328. [Google Scholar] [CrossRef] [PubMed]
- Cho, J.-H.; Deisseroth, K.; Bolshakov, V.Y. Synaptic Encoding of Fear Extinction in mPFC-amygdala Circuits. Neuron 2013, 80, 1491–1507. [Google Scholar] [CrossRef] [PubMed] [Green Version]
- Quirk, G.J.; Garcia, R.; González-Lima, F. Prefrontal Mechanisms in Extinction of Conditioned Fear. Biol. Psychiatry 2006, 60, 337–343. [Google Scholar] [CrossRef] [PubMed]
- Kalenzaga, S.; Clarys, D.; Jaafari, N. The memory deficit hypothesis of compulsive checking in OCD: What are we really talking about? A narrative review. Memory 2020, 28, 1–15. [Google Scholar] [CrossRef] [PubMed]
- Alcolado, G.; Radomsky, A.S. Believe in yourself: Manipulating beliefs about memory causes checking. Behav. Res. Ther. 2011, 49, 42–49. [Google Scholar] [CrossRef] [Green Version]
- Tallis, F. The neuropsychology of obsessive-compulsive disorder: A review and consideration of clinical implications. Br. J. Clin. Psychol. 1997, 36, 3–20. [Google Scholar] [CrossRef] [PubMed]
- Moritz, S.; Jaeger, A. Decreased memory confidence in obsessive–compulsive disorder for scenarios high and low on responsibility: Is low still too high? Eur. Arch. Psychiatry Clin. Neurosci. 2017, 268, 291–299. [Google Scholar] [CrossRef] [PubMed]
- Radomsky, A.S.; Alcolado, G.M.; Dugas, M.J.; Lavoie, S.L. Responsibility, probability, and severity of harm: An experimental investigation of cognitive factors associated with checking-related OCD. Behav. Res. Ther. 2022, 150, 104034. [Google Scholar] [CrossRef] [PubMed]
- Starcevic, V.; Brakoulias, V. Symptom Subtypes of Obsessive–Compulsive Disorder: Are they Relevant for Treatment? Aust. N. Z. J. Psychiatry 2008, 42, 651–661. [Google Scholar] [CrossRef]
- Cervin, M.; Miguel, E.C.; Güler, A.S.; Ferrão, Y.A.; Erdoğdu, A.B.; Lazaro, L.; Gökçe, S.; Geller, D.A.; Yulaf, Y.; Başgül, S.; et al. Towards a definitive symptom structure of obsessive−compulsive disorder: A factor and network analysis of 87 distinct symptoms in 1366 individuals. Psychol. Med. 2021, 1–13. [Google Scholar] [CrossRef]
- Bruin, W.B.; Taylor, L.; Thomas, R.M.; Shock, J.P.; Zhutovsky, P.; Abe, Y.; Alonso, P.; Ameis, S.H.; Anticevic, A.; Arnold, P.D.; et al. Structural neuroimaging biomarkers for obsessive-compulsive disorder in the ENIGMA-OCD consortium: Medication matters. Transl. Psychiatry 2020, 10, 1–12. [Google Scholar] [CrossRef]
- Yuan, N.; Chen, Y.; Xia, Y.; Dai, J.; Liu, C. Inflammation-related biomarkers in major psychiatric disorders: A cross-disorder assessment of reproducibility and specificity in 43 meta-analyses. Transl. Psychiatry 2019, 9, 1–13. [Google Scholar] [CrossRef]
- Bellia, F.; Vismara, M.; Annunzi, E.; Cifani, C.; Benatti, B.; Dell’Osso, B.; D’Addario, C. Genetic and epigenetic architecture of Obsessive-Compulsive Disorder: In search of possible diagnostic and prognostic biomarkers. J. Psychiatr. Res. 2020, 137, 554–571. [Google Scholar] [CrossRef] [PubMed]
- Bey, K.; Campos-Martin, R.; Klawohn, J.; Reuter, B.; Grützmann, R.; Riesel, A.; Wagner, M.; Ramirez, A.; Kathmann, N. Hypermethylation of the oxytocin receptor gene (OXTR) in obsessive-compulsive disorder: Further evidence for a biomarker of disease and treatment response. Epigenetics 2021, 17, 642–652. [Google Scholar] [CrossRef] [PubMed]







| Variable | Checkers | Washers | HCs | F/χ2/t | p |
|---|---|---|---|---|---|
| (n = 30) | (n = 15) | (n = 45) | |||
| Gender (male/female) | 19/11 | 7/8 | 22/23 | 1.830 | 0.400 a |
| Age (years) | 28.57 ± 8.007 | 27.80 ± 7.702 | 25.91 ± 3.854 | 1.763 | 0.178 b |
| Education (years) | 15.67 ± 2.454 | 14.87 ± 2.924 | 15.89 ± 1.526 | 1.291 | 0.280 b |
| Duration of illness > 5 years, n (%) | 13 (43.3) | 6 (40.0) | - | 5.698 | 0.337 a |
| Y-BOCS total | 21.43 ± 5.876 | 25.40 ± 5.124 | - | −2.223 | 0.032 c |
| Y-BOCS obsessions | 11.27 ± 2.935 | 12.87 ± 2.875 | - | −1.735 | 0.090 c |
| Y-BOCS compulsions | 10.17 ± 3.649 | 12.53 ± 2.416 | - | −2.269 | 0.028 c |
| OCI-R total | 23.47 ± 11.001 | 28.33 ± 8.304 | - | −1.509 | 0.139 c |
| OCI-R washing | 2.57 ± 2.622 | 9.80 ± 2.111 | - | −9.271 | 0.000 c |
| OCI-R hoarding | 2.57 ± 3.081 | 2.27 ± 2.344 | - | 0.331 | 0.742 c |
| OCI-R ordering | 3.37 ± 3.102 | 3.07 ± 2.738 | - | 0.318 | 0.752 c |
| OCI-R checking | 5.50 ± 3.170 | 3.00 ± 2.619 | - | 2.634 | 0.012 c |
| BAI | 13.70 ± 7.525 | 15.47 ± 11.728 | - | −0.613 | 0.543 c |
| BDI | 14.53 ± 8.025 | 19.47 ± 12.065 | - | −1.433 | 0.176 c |
| Variable | Checkers | Washers | ||
|---|---|---|---|---|
| Distribution of Symptom | Present (n = 21) | Past (n = 7) | Present (n = 6) | Past (n = 3) |
| washing | - | 5 | - | - |
| checking | - | - | - | 3 |
| ordering | 19 | 4 | 6 | - |
| sexual/religious | 8 | 1 | 1 | - |
| hoarding | 2 | - | - | - |
| Medication | n = 12 | n = 13 | n = 3 | n = 6 |
| SSRIs (n = 11) | SSRIs (n = 15) | SSRIs (n = 3) | SSRIs (n = 6) | |
| SNRIs (n = 1) | SNRIs (n = 1) | |||
| Psychotherapy | n = 16 | n = 0 | ||
| Comorbidity | BP = 2, MDD = 4, GAD = 4, SAD = 4 | MDD = 3 | ||
| MNI x, y, z | Voxels | F | Side | Brain Region | |
|---|---|---|---|---|---|
| CL1 | −48, 15, 18 | 12 | 17.3371 | L | inferior frontal gyrus |
| CL2 | −36, −69, 24 | 14 | 19.83114 | L | middle occipital gyrus |
| CL3 | 60, −6, 21 | 11 | 10.8797 | R | postcentral gyrus |
| CL4 | 36, 12, 39 | 10 | 14.4576 | R | middle frontal gyrus |
| CL5 | 18, −63, 48 | 17 | 16.4027 | R | precuneus |
| CL6 | −9, 36, 39 | 22 | 12.6563 | L | medial superior frontal gyrus |
| CL7 | −12, −60, 39 | 24 | 18.7764 | L | precuneus |
| CL8 | 21, 18, 42 | 11 | 13.9385 | R | superior frontal gyrus |
| CL9 | −27, −45, 48 | 12 | 13.076 | L | inferior parietal gyrus |
| CL10 | −30, 3, 51 | 11 | 16.1396 | L | middle frontal gyrus |
| CL11 | −9, 6, 51 | 13 | 14.7148 | L | supplementary motor area |
| CL12 | 39, −12, 57 | 11 | 11.5019 | R | precentral gyrus |
| MNI x, y, z | Voxels | T Values | Side | Brain Region | |
|---|---|---|---|---|---|
| Checker > Washers | |||||
| CL1 | 36, 12, 39 | 20 | 5.1965 | R | middle frontal gyrus |
| Checker < Washers | |||||
| CL1 | 48, −81, −9 | 12 | −4.1982 | R | inferior occipital gyrus |
| CL2 | 54, −39, 27 | 13 | −4.5237 | R | supramarginal gyrus |
| CL3 | 24, −60, 45 | 11 | −5.0666 | R | angular gyrus |
| CL4 | −30, 3, 51 | 15 | −5.0536 | L | middle frontal gyrus |
| Checkers > HCs | |||||
| CL1 | 0, −75, −24 | 16 | 4.7627 | R | vermis |
| CL2 | 9, 66, −12 | 10 | 4.4357 | R | medial orbital frontal gyrus |
| CL3 | 15, −48, 15 | 13 | 5.0067 | R | precuneus |
| CL4 | −39, −69, 24 | 19 | 5.8556 | L | middle occipital gyrus |
| CL5 | −9, 36, 39 | 41 | 4.9037 | L | medial superior frontal gyrus |
| CL6 | −42, −60, 36 | 13 | 4.2971 | L | angular gyrus |
| CL7 | −12, −60, 42 | 13 | 4.9284 | L | precuneus |
| CL8 | 21, 18, 42 | 18 | 5.2585 | R | superior frontal gyrus |
| CL9 | −27, −45, 48 | 11 | 4.9786 | L | inferior parietal gyrus |
| CL10 | −9, 6, 51 | 33 | 5.1527 | L | supplementary motor area |
| Checkers < HCs | |||||
| CL1 | −48, −27, −3 | 12 | −4.885 | L | middle temporal gyrus |
| CL2 | −48, −75, −6 | 19 | −4.1681 | L | middle occipital gyrus |
| CL3 | 45, −69, 6 | 15 | −4.0421 | R | middle temporal gyrus |
| CL4 | 51, −21, 54 | 17 | −4.7041 | R | postcentral gyrus |
| CL5 | 39, −12, 57 | 16 | −4.4824 | R | precentral gyrus |
| Washers > HCs | |||||
| CL1 | −45, 15, 18 | 14 | 5.8462 | L | inferior frontal gyrus |
| CL2 | 51, −30, 33 | 10 | 4.1435 | R | supramarginal gyrus |
| CL3 | −27, −51, 39 | 10 | 4.6492 | L | inferior parietal gyrus |
| CL4 | −12, −60, 39 | 39 | 5.1497 | L | precuneus |
| CL5 | 6, −45, 42 | 25 | 4.1893 | R | precuneus |
| CL6 | 18, −63, 48 | 23 | 5.6277 | R | precuneus |
| CL7 | −30, 3, 51 | 19 | 5.3576 | L | middle frontal gyrus |
| Washers < HCs | |||||
| CL1 | 57, −6, 24 | 21 | −4.2078 | R | postcentral gyrus |
| CL2 | −51, −6, 24 | 10 | −4.2393 | L | postcentral gyrus |
| Group | Brain Region | AUC | Demarcation | Sensitivity | Specificity |
|---|---|---|---|---|---|
| Checkers | Frontal-Mid-R | 0.904 | 0.9140 | 90% (27/30) | 80% (12/15) |
| Vs. | SupraMarginal-R | 0.187 | - | - | - |
| Washers | Occipital-Inf-R | 0.153 | - | - | - |
| Frontal-Mid-L | 0.147 | - | - | - | |
| Angular-R | 0.116 | - | - | - | |
| Checkers vs. HCs | Frontal_Sup_Medial_L | 0.829 | 0.9768 | 80% (24/30) | 80% (36/45) |
| Precuneus_L | 0.764 | 1.1370 | 73.3% (22/30) | 68.9% (31/45) | |
| Washers vs. HCs | Precuneus_L | 0.849 | 1.1973 | 80% (24/30) | 86.7% (39/45) |
| Seeds | Group | MNI x, y, z | Voxels | T Values | Side | Brain Region |
|---|---|---|---|---|---|---|
| Frontal_Sup_Medial_L | Checkers > HCs | 12, 15, 15 | 14 | 13.1601 | R | caudate |
| Precuneus_L | - | - | - | - | - | - |
| Frontal_Mid_R | Checkers > Washers | 48, −66, −48 | 4 | 3.9659 | R | cerebelum_crus2 |
| −51, −36, −18 | 4 | 4.7955 | L | inferior temporal gyrus | ||
| 2 | L | middle temporal gyrus | ||||
| 12, 66, −18 | 3 | 4.5508 | R | superior orbital frontal gyrus | ||
| −63, −48, −15 | 1 | 3.6373 | L | inferior temporal gyrus | ||
| −48, −3, 21 | 1 | 3.5563 | L | precentral gyrus | ||
| 36, 12, 39 | 4 | 4.7987 | R | middle frontal gyrus | ||
| −12, 27, 42 | 1 | 3.5606 | L | superior frontal gyrus | ||
| Checkers < Washers | 33, 33, −9 | 1 | −3.6343 | R | inferior orbital frontal gyrus |
| Y-BOCS ** | OCI-R * | ||||||||||
|---|---|---|---|---|---|---|---|---|---|---|---|
| ReHo | Brain Region | Total | Obsessions | Compulsions | Total | Washing | Hoarding | Ordering | Checking | BAI * | BDI * |
| Checkers | Left medial superior frontal gyrus | −0.172 (0.364) | 0.035 (0.856) | −0.284 (0.128) | −0.059 (0.770) | −0.072 (0.720) | −0.267 (0.179) | 0.023 (0.908) | −0.026 (0.898) | 0.276 (0.163) | 0.250 (0.208) |
| Left precuneus | 0.267 (0.154) | 0.299 (0.108) | 0.152 (0.423) | 0.263 (0.185) | 0.255 (0.199) | 0.461 (0.016) | 0.140 (0.486) | −0.106 (0.598) | 0.449 (0.019) | 0.176 (0.380) | |
| Washers | Left medial superior frontal gyrus | −0.353 (0.197) | −0.161 (0.568) | −0.450 (0.092) | −0.006 (0.986) | −0.051 (0.876) | 0.299 (0.344) | 0.195 (0.544) | −0.287 (0.367) | 0.200 (0.533) | 0.312 (0.324) |
| Left precuneus | −0.337 (0.220) | −0.220 (0.431) | −0.441 (0.100) | 0.113 (0.727) | 0.086 (0.791) | 0.365 (0.244) | 0.304 (0.337) | −0.229 (0.475) | 0.200 (0.533) | −0.043 (0.894) | |
| FC | |||||||||||
| Checkers | |||||||||||
| ROI 1- | Right caudate | −0.038 (0.842) | 0.095 (0.616) | −0.051 (0.790) | −0.138 (0.492) | −0.206 (0.303) | −0.100 (0.621) | 0.025 (0.900) | −0.092 (0.648) | −0.263 (0.184) | −0.028 (0.888) |
Publisher’s Note: MDPI stays neutral with regard to jurisdictional claims in published maps and institutional affiliations. |
© 2022 by the authors. Licensee MDPI, Basel, Switzerland. This article is an open access article distributed under the terms and conditions of the Creative Commons Attribution (CC BY) license (https://creativecommons.org/licenses/by/4.0/).
Share and Cite
Yu, J.; Xie, M.; Song, S.; Zhou, P.; Yuan, F.; Ouyang, M.; Wang, C.; Liu, N.; Zhang, N. Functional Connectivity within the Frontal–Striatal Network Differentiates Checkers from Washers of Obsessive-Compulsive Disorder. Brain Sci. 2022, 12, 998. https://doi.org/10.3390/brainsci12080998
Yu J, Xie M, Song S, Zhou P, Yuan F, Ouyang M, Wang C, Liu N, Zhang N. Functional Connectivity within the Frontal–Striatal Network Differentiates Checkers from Washers of Obsessive-Compulsive Disorder. Brain Sciences. 2022; 12(8):998. https://doi.org/10.3390/brainsci12080998
Chicago/Turabian StyleYu, Jianping, Minyao Xie, Shasha Song, Ping Zhou, Fangzheng Yuan, Mengyuan Ouyang, Chun Wang, Na Liu, and Ning Zhang. 2022. "Functional Connectivity within the Frontal–Striatal Network Differentiates Checkers from Washers of Obsessive-Compulsive Disorder" Brain Sciences 12, no. 8: 998. https://doi.org/10.3390/brainsci12080998
APA StyleYu, J., Xie, M., Song, S., Zhou, P., Yuan, F., Ouyang, M., Wang, C., Liu, N., & Zhang, N. (2022). Functional Connectivity within the Frontal–Striatal Network Differentiates Checkers from Washers of Obsessive-Compulsive Disorder. Brain Sciences, 12(8), 998. https://doi.org/10.3390/brainsci12080998

