Inflammatory Brain Lesions as Omen of Primary Central Nervous System Lymphoma: A Case Report and Literature Review
Abstract
1. Introduction
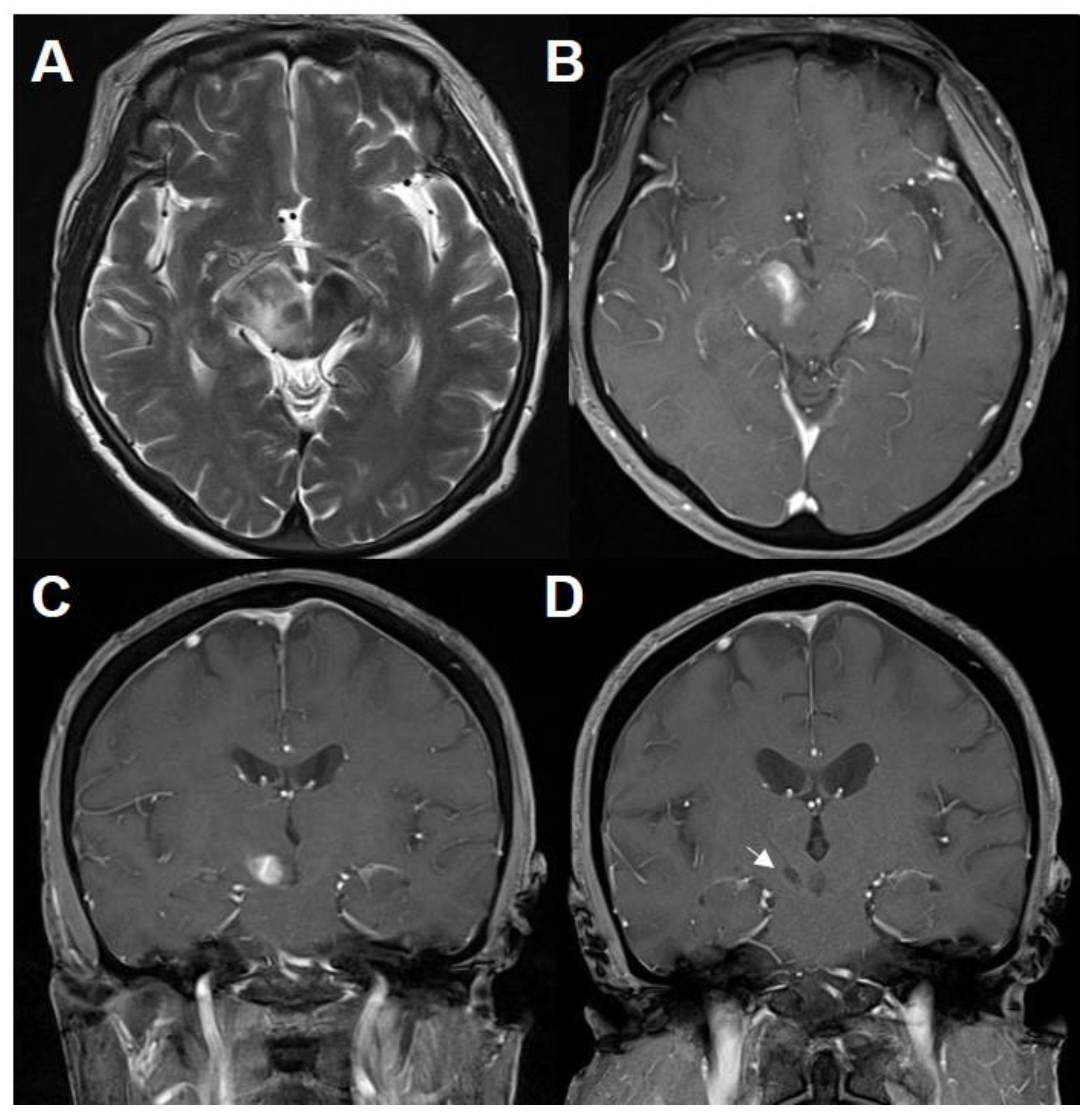
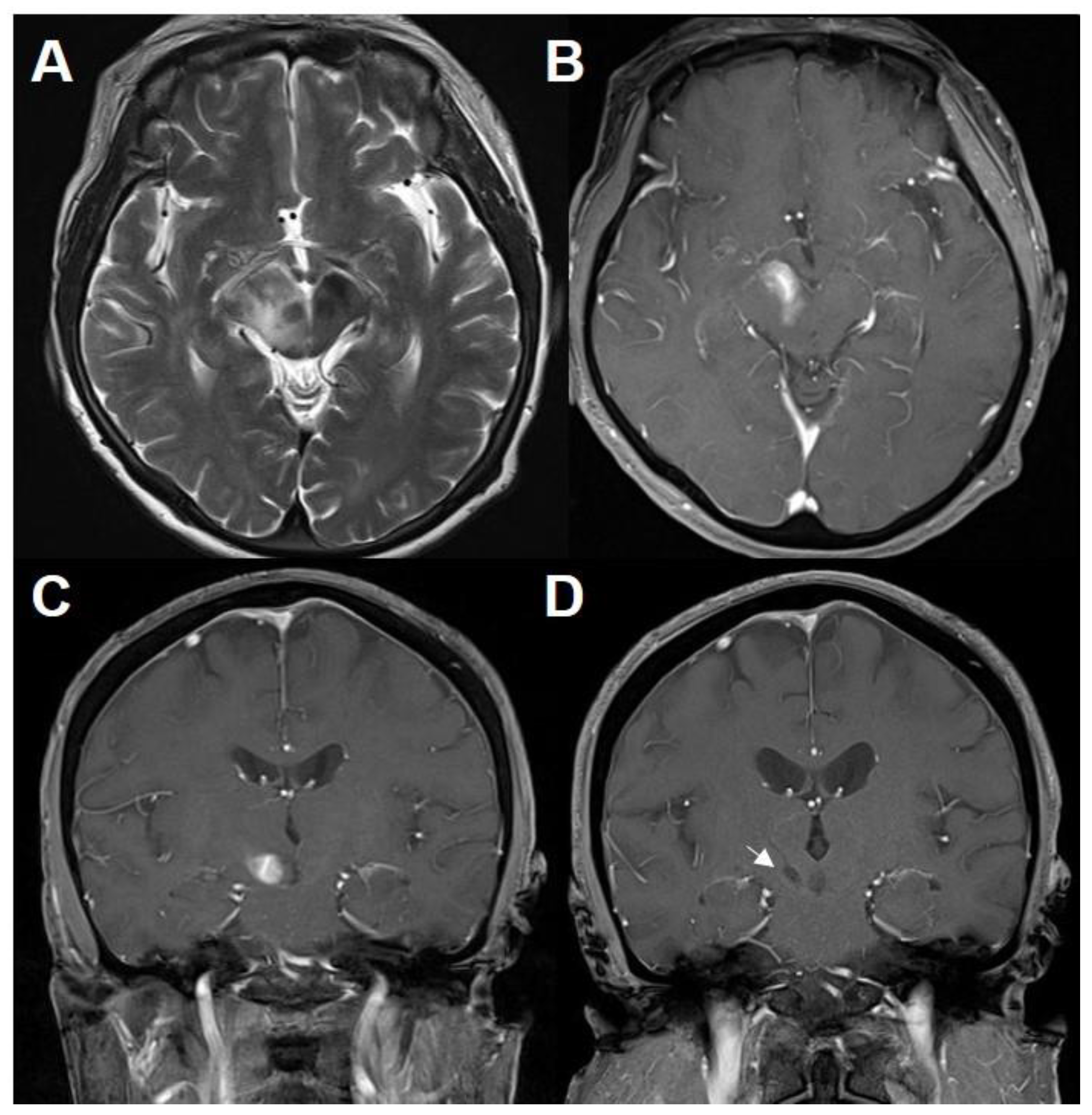
2. Case Presentation
3. Discussion
4. Conclusions
Author Contributions
Funding
Institutional Review Board Statement
Informed Consent Statement
Data Availability Statement
Acknowledgments
Conflicts of Interest
References
- Schlegel, U. Primary CNS lymphoma. Ther. Adv. Neurol. Disord. 2009, 2, 93–104. [Google Scholar] [CrossRef] [PubMed]
- Shiels, M.S.; Pfeiffer, R.M.; Besson, C.; Clarke, C.A.; Morton, L.M.; Nogueira, L.; Pawlish, K.; Yanik, E.L.; Suneja, G.; Engels, E.A. Trends in primary central nervous system lymphoma incidence and survival in the U.S. Br. J. Haematol. 2016, 174, 417–424. [Google Scholar] [CrossRef] [PubMed]
- Alderson, L.; Fetell, M.R.; Sisti, M.; Hochberg, F.; Cohen, M.; Louis, D.N. Sentinel lesions of primary CNS lymphoma. J. Neurol. Neurosurg. Psychiatry 1996, 60, 102–105. [Google Scholar] [CrossRef] [PubMed]
- Husseini, L.; Saleh, A.; Reifenberger, G.; Hartung, H.P.; Kieseier, B.C. Inflammatory demyelinating brain lesions heralding primary CNS lymphoma. Can. J. Neurol. Sci. 2012, 39, 6–10. [Google Scholar] [CrossRef] [PubMed]
- Lu, J.Q.; O’Kelly, C.; Girgis, S.; Emery, D.; Power, C.; Blevins, G. Neuroinflammation preceding and accompanying primary central nervous system lymphoma: Case study and literature review. World Neurosurg. 2016, 88, 692.e1–692.e8. [Google Scholar] [CrossRef] [PubMed]
- Grommes, C.; DeAngelis, L.M. Primary CNS lymphoma. J. Clin. Oncol. 2017, 35, 2410–2418. [Google Scholar] [CrossRef] [PubMed]
- Ng, S.; Butzkueven, H.; Kalnins, R.; Rowe, C. Prolonged interval between sentinel pseudotumoral demyelination and development of primary CNS lymphoma. J. Clin. Neurosci. 2007, 14, 1126–1129. [Google Scholar] [CrossRef] [PubMed]
- Kuhlmann, T.; Schröter, A.; Dechent, P.; Weber, F.; Rustenbeck, H.H.; Füzesi, L.; Brück, W.; Ehrenreich, H.; Frahm, J. Diagnosis of a multifocal B cell lymphoma with preceding demyelinating central nervous system lesions by single voxel proton MR spectroscopy. J. Neurol. Neurosurg. Psychiatry 2001, 70, 259–262. [Google Scholar] [CrossRef] [PubMed]
- Chiavazza, C.; Pellerino, A.; Ferrio, F.; Cistaro, A.; Soffietti, R.; Ruda, R. Primary CNS lymphomas: Challenges in diagnosis and monitoring. BioMed Res. Int. 2018, 21, 3606970. [Google Scholar] [CrossRef] [PubMed]
- Kvarta, M.D.; Sharma, D.; Castellani, R.J.; Morales, R.E.; Reich, S.G.; Kimball, A.S.; Shin, R.K. Demyelination as a harbinger of lymphoma: A case report and review of primary central nervous system lymphoma preceded by multifocal sentinel demyelination. BMC Neurol. 2016, 16, 72. [Google Scholar] [CrossRef] [PubMed]
- Barrantes-Freer, A.; Engel, A.S.; Rodríguez-Villagra, O.A.; Winkler, A.; Bergmann, M.; Mawrin, C.; Kuempfel, T.; Pellkofer, H.; Metz, I.; Bleckmann, A.; et al. Diagnostic red flags: Steroid-treated malignant CNS lymphoma mimicking autoimmune inflammatory demyelination. Brain Pathol. 2018, 28, 225–233. [Google Scholar] [CrossRef] [PubMed]
- Nagano, M.; Ayaki, T.; Koita, N.; Kitano, T.; Nishikori, M.; Goda, N.; Minamiguchi, S.; Ikeda, A.; Takaori-Kondo, A.; Takahashi, R. Recurrent epstein-barr virus-positive (EBV+) primary central nervous system lymphoma (PCNSL) in a patient with clinical features of chronic lymphocytic inflammation with pontine perivascular enhancement responsive to steroids (CLIPPERS). Intern. Med. 2019, 58, 849–854. [Google Scholar] [CrossRef] [PubMed]
- Giannini, C.; Dogan, A.; Salomão, D.R. CNS lymphoma: A practical diagnostic approach. J. Neuropathol. Exp. Neurol. 2014, 73, 478–494. [Google Scholar] [CrossRef] [PubMed]
- Sugita, Y.; Masuoka, J.; Kameda, K.; Takahashi, K.; Kimura, Y.; Higaki, K.; Furuta, T.; Ohshima, K. Primary central nervous system lymphomas associated with chronic inflammation: Diagnostic pitfalls of central nervous system lymphomas. Brain Tumor Pathol. 2020, 37, 127–135. [Google Scholar] [CrossRef] [PubMed]
- Kuroda, Y.; Kawasaki, T.; Haraoka, S.; Fujiyama, F.; Kakigi, R.; Abe, M.; Tabuchi, K.; Kuroiwa, T.; Kishikawa, T.; Sugihara, H. Autopsy report of primary CNS B-cell lymphoma indistinguishable from multiple sclerosis: Diagnosis with the immunoglobulin gene rearrangements analysis. J. Neurol. Sci. 1992, 111, 173–179. [Google Scholar] [CrossRef]
- Yamamoto, J.; Shimajiri, S.; Nakano, Y.; Nishizawa, S. Primary central nervous system lymphoma with preceding spontaneous pseudotumoral demyelination in an immunocompetent adult patient: A case report and literature review. Oncol. Lett. 2014, 7, 1835–1838. [Google Scholar] [CrossRef] [PubMed]
- Taieb, G.; Uro-Coste, E.; Clanet, M.; Lassmann, H.; Benouaich-Amiel, A.; Laurent, C.; Delisle, M.B.; Labauge, P.; Brassat, D. A central nervous system B-cell lymphoma arising two years after initial diagnosis of CLIPPERS. J. Neurol. Sci. 2014, 344, 224–246. [Google Scholar] [CrossRef] [PubMed]
- Lister, A.; Abrey, L.E.; Sandlund, J.T. Central nervous system lymphoma. Hematol. ASH Educ. Program 2002, 283–296. [Google Scholar] [CrossRef] [PubMed]




| Case No */Ref. | Age/Sex | First Lesions | Interval # (mos) | Relapsed Lesions | |||||||
|---|---|---|---|---|---|---|---|---|---|---|---|
| Symptom | MRI | Pathology | Tx | Symptom | MRI | Pathology | Tx | Px ! | |||
| 1/[15] | 56/F | Fatigue | Small multifocal T2-hyperintense lesion | Demyelination with lymphocyte infiltration, reactive astrocytosis | Corticosteroid | 5 | Dementia Quadriplegia | Widespread T2-hyperintense white matter lesion | PCNSL (B-cell) with severe T-cell in filtration | None (autopsy) | 13 mos survival |
| 2/[3] | 49/F | Ataxia Deafness | Enhancing lesion | Normal tissue with minimal inflammation | Corticosteroid | 11 | Confusion Dysarthria | Enhancing lesion | PCNSL (B-cell) | Unknown | Unknown |
| 3/[4] | 59/F | Facial paralysis Hemihypesthesia | T2-hyperintense, mild enhancing lesion | T-cell dominant inflammatory lesion with partial demyelination | Corticosteroid | 28 | Dysmetria Ataxia | Enhancing lesions | PCNSL (B-cell) | MTX-chemotherapy; Stem cell apheresis; WBRT | 34 mos survival |
| 4/[17] | 58/M | Ataxia Diplopia | Punctate, curvilinear enhancing lesions | T-cell dominant inflammatory lesion without demyelination | Corticosteroid & Azathioprine | 14 | Ataxia Diplopia | Punctate, curvilinear enhancing lesions | PCNSL (B-cell) | None | 37 mos survival |
| 5/[16] | 70/M | Dementia Hemiparesis | Homogenous and ring enhancing lesions | Demyelinating changes with reactive astrocytes | Corticosteroid | 3 | Dementia Hemiparesis | Homogenous enhancing lesion | PCNSL (B-cell) | WBRT | 8 mos survival |
| 6/[5] | 44/F | Hand numbness Ataxia Vertigo | Irregular enhancing lesion | Both myelin and axonal loss with focal demyelination | Corticosteroid & MTX | 10 | Dementia Seizure Mental change | Enhancing lesions | PCNSL (B-cell) | None (autopsy) | 10 mos survival |
| 7 (current case) | 70/F | Facial numbness Hemiparesthesia | Homogenous enhancing lesion | Inflammatory lesion with mixed T/B-cell infiltration without demyelination | Corticosteroid | 26 | Quadriparesis Mental change | Homogenous enhancing lesions | PCNSL (B-cell) | MTX-chemotherapy | 38 mos survival |
Publisher’s Note: MDPI stays neutral with regard to jurisdictional claims in published maps and institutional affiliations. |
© 2021 by the authors. Licensee MDPI, Basel, Switzerland. This article is an open access article distributed under the terms and conditions of the Creative Commons Attribution (CC BY) license (http://creativecommons.org/licenses/by/4.0/).
Share and Cite
Kim, Y.J.; Kim, S.K.; Jung, T.-Y.; Kim, I.-Y.; Lee, K.-H.; Moon, K.-S. Inflammatory Brain Lesions as Omen of Primary Central Nervous System Lymphoma: A Case Report and Literature Review. Brain Sci. 2021, 11, 191. https://doi.org/10.3390/brainsci11020191
Kim YJ, Kim SK, Jung T-Y, Kim I-Y, Lee K-H, Moon K-S. Inflammatory Brain Lesions as Omen of Primary Central Nervous System Lymphoma: A Case Report and Literature Review. Brain Sciences. 2021; 11(2):191. https://doi.org/10.3390/brainsci11020191
Chicago/Turabian StyleKim, Yeong Jin, Seul Kee Kim, Tae-Young Jung, In-Young Kim, Kyung-Hwa Lee, and Kyung-Sub Moon. 2021. "Inflammatory Brain Lesions as Omen of Primary Central Nervous System Lymphoma: A Case Report and Literature Review" Brain Sciences 11, no. 2: 191. https://doi.org/10.3390/brainsci11020191
APA StyleKim, Y. J., Kim, S. K., Jung, T.-Y., Kim, I.-Y., Lee, K.-H., & Moon, K.-S. (2021). Inflammatory Brain Lesions as Omen of Primary Central Nervous System Lymphoma: A Case Report and Literature Review. Brain Sciences, 11(2), 191. https://doi.org/10.3390/brainsci11020191

