Cortical Function in Acute Severe Traumatic Brain Injury and at Recovery: A Longitudinal fMRI Case Study
Abstract
1. Introduction
2. Materials and Methods
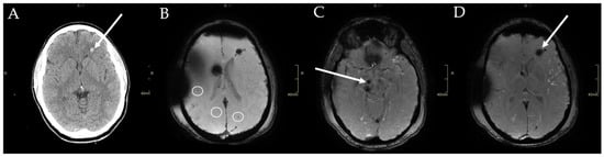
2.1. Patient Information
2.2. fMRI Paradigms
2.2.1. Auditory Perception
2.2.2. Command Following
2.2.3. Resting State Connectivity
2.3. Neuroimaging Parameters
2.4. Analysis
2.4.1. Pre-processing
2.4.2. Tasked-Based Paradigm Analysis
2.4.3. Auditory Perception
2.4.4. Command Following
2.4.5. Resting State Analysis
3. Results
3.1. Auditory Perception
3.2. Command Following
3.3. Resting State Scan
4. Discussion
5. Conclusions
Author Contributions
Funding
Conflicts of Interest
Appendix A
| Paradigm | Brain Region | Peak Voxel Coordinates (MNI: x, y, z,) | Cluster Size | T |
|---|---|---|---|---|
| Sound Perception | Left posterior superior temporal gyrus | −59, −26, 5 | 221 | 10.54 |
| Left Primary auditory cortex | −63, −14, 5 | 9.46 | ||
| Right primary auditory cortex | 64, −3, 5 | 119 | 10.79 | |
| Right posterior superior temporal gyrus | 61, 8, -5 | 10.23 | ||
| Speech Perception | Left middle temporal gyrus | −59, −41, 5 | 269 | 10.86 |
| Left superior temporal gyrus | −59, −30, 0 | 9.97 | ||
| Right primary auditory cortex | 64, −7, 5 | 160 | 10.95 | |
| Right Superior temporal gyrus | 57, 12, −10 | 10.49 |
| Paradigm | Brain Region | Peak Voxel Coordinates (MNI: x, y, z,) | Cluster Size | T |
|---|---|---|---|---|
| Sound Perception | Left posterior superior temporal gyrus | −59, −30, 5 | 70 | 5.69 |
| Left superior temporal gyrus | −56, −37, 5 | 5.35 | ||
| Right primary auditory cortex | 61, −11, 5 | 83 | 9.15 | |
| Speech Perception | Left superior temporal gyrus | −67, −48, 10 | 260 | 11.42 |
| Left primary auditory cortex | −56, −37, 5 | 10.17 | ||
| Right posterior superior temporal gyrus | −50, −33, 5 | 9.11 | ||
| Superior temporal gyrus | 61, −7, 0 | 186 | 9.58 | |
| Right posterior superior temporal gyrus | 57, −22, 0 | 8.72 |
| Paradigm | Brain Region | Peak Voxel Coordinates (MNI: x, y, z,) | Cluster Size | T |
|---|---|---|---|---|
| Speech Perception | Left superior temporal gyrus | −59, −37, 10 | 2 | 5.96 |
| Left superior temporal gyrus | −67, −37, 10 | 3 | 5.37 | |
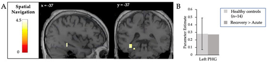
| Spatial Navigation | Left parahippocampal gyrus | −37, −37, −25 | 4 | 3.96 |
| Left parahippocampal gyrus | −27, −37, −15 | 2 | 3.68 |
References
- Cooksley, T.; Rose, S.; Holland, M. A systematic approach to the unconscious patient. Clin. Med. 2018, 18, 88–92. [Google Scholar] [CrossRef] [PubMed]
- Bateman, D. Neurological Assessment of Coma. J. Neurol. Neurosurg. Psychiatry 2001, 71, i13–i17. [Google Scholar] [CrossRef] [PubMed]
- Wijdicks, E.F.M. The Bare Essentials: Coma. Pract. Neurol. 2010, 10, 51–60. [Google Scholar] [CrossRef] [PubMed]
- Green, S.M. Cheerio, Laddie! Bidding Farewell to the Glasgow Coma Scale. Ann. Emerg. Med. 2011, 58, 427–430. [Google Scholar] [CrossRef]
- Stevens, R.D.; Sutter, R. Prognosis in Severe Brain Injury. Crit. Care Med. 2013, 41, 1104–1123. [Google Scholar] [CrossRef]
- Mayer, S.A.; Kossoff, S.B. Withdrawal of Life Support in the Neurological Intensive Care Unit. Neurology 1999, 52, 1602–1609. [Google Scholar] [CrossRef]
- Gofton, T.E.; Chouinard, P.A.; Young, G.B.; Bihari, F.; Nicolle, M.W.; Lee, D.H.; Sharpe, M.D.; Yen, Y.-F.; Takahashi, A.M.; Mirsattari, S.M. Functional MRI Study of the Primary Somatosensory Cortex in Comatose Survivors of Cardiac Arrest. Exp. Neurol. 2009, 217, 320–327. [Google Scholar] [CrossRef]
- Norton, L.; Hutchison, R.M.; Young, G.B.; Lee, D.H.; Sharpe, M.D.; Mirsattari, S.M. Disruptions of Functional Connectivity in the Default Mode Network of Comatose Patients. Neurology 2012, 78, 175–181. [Google Scholar] [CrossRef]
- Koenig, M.A.; Holt, J.L.; Ernst, T.; Buchthal, S.D.; Nakagawa, K.; Stenger, V.A.; Chang, L. MRI Default Mode Network Connectivity is Associated with Functional Outcome after Cardiopulmonary Arrest. Neurocritical Care 2014, 20, 348–357. [Google Scholar] [CrossRef]
- Edlow, B.L.; Chatelle, C.; Spencer, C.A.; Chu, C.J.; Bodien, Y.G.; O’Connor, K.L.; Hirschberg, R.E.; Hochberg, L.R.; Giacino, J.T.; Rosenthal, E.S.; et al. Early Detection of Consciousness in Patients with Acute Severe Traumatic Brain Injury. Brain 2017, 140, 2399–2414. [Google Scholar] [CrossRef]
- Edlow, B.L.; Fins, J.J. Assessment of Covert Consciousness in the Intensive Care Unit: Clinical and Ethical Considerations. J. Head Trauma Rehabil. 2018, 33, 424–434. [Google Scholar] [CrossRef] [PubMed]
- Sair, H.I.; Hannawi, Y.; Li, S.; Kornbluth, J.; Demertzi, A.; Di Perri, C.; Chabanne, R.; Jean, B.; Benali, H.; Perlbarg, V.; et al. Early Functional Connectome Integrity and 1-Year Recovery in Comatose Survivors of Cardiac Arrest. Radiology 2018, 287, 247–255. [Google Scholar] [CrossRef] [PubMed]
- Norton, L.; Gofton, T.; Debicki, D.; Fernandez-Espejo, D.; Peelle, J.E.; Al Thenayan, E.; Young, G.B.; Owen, A.M. Functional Neuroimaging as a Prognostic and Diagnostic Tool in Coma. Submitted.
- Sanchez-Carrion, R.; Fernandez-Espejo, D.; Junque, C.; Falcon, C.; Bargallo, N.; Roig, T.; Bernabeu, M.; Tormos, J.M.; Vendrell, P. A Longitudinal fMRI Study of Working Memory in Severe TBI Patients with Diffuse Axonal Injury. Neuroimage 2008, 43, 421–429. [Google Scholar] [CrossRef]
- Leunissen, I.; Coxon, J.P.; Geurts, M.; Caeyenberghs, K.; Michiels, K.; Sunaert, S.; Swinnen, S.P. Disturbed Cortico-Subcortical Interactions during Motor Task Switching in Traumatic Brain Injury. Hum. Brain Mapp. 2013, 34, 1254–1271. [Google Scholar] [CrossRef]
- D’Arcy, R.C.N.; Lindsay, D.S.; Song, X.; Gawryluk, J.R.; Greene, D.; Mayo, C.; Ghosh Hajra, S.; Mandziuk, L.; Mathieson, J.; Greene, T. Long-Term Motor Recovery After Severe Traumatic Brain Injury: Beyond Established Limits. J. Head Trauma Rehabil. 2016, 31, E50–E58. [Google Scholar] [CrossRef]
- Rodd, J.M.; Davis, M.H.; Johnsrude, I.S. The Neural Mechanisms of Speech Comprehension: fMRI studies of Semantic Ambiguity. Cereb. Cortex 2005, 15, 1261–1269. [Google Scholar] [CrossRef]
- Owen, A.M.; Coleman, M.R.; Boly, M.; Davis, M.H.; Laureys, S.; Pickard, J.D. Detecting Awareness in the Vegetative State. Science 2006, 313, 1402. [Google Scholar] [CrossRef]
- Monti, M.M.; Vanhaudenhuyse, A.; Coleman, M.R.; Boly, M.; Pickard, J.D.; Tshibanda, L.; Owen, A.M.; Laureys, S. Willful Modulation of Brain Activity in Disorders of Consciousness. N. Engl. J. Med. 2010, 362, 579–589. [Google Scholar] [CrossRef]
- Fernández-Espejo, D.; Norton, L.; Owen, A.M. The Clinical Utility of fMRI for Identifying Covert Awareness in the Vegetative State: A Comparison of Sensitivity between 3T and 1.5T. PLoS ONE 2014, 9, e95082. [Google Scholar] [CrossRef]
- Coleman, M.R.; Davis, M.H.; Rodd, J.M.; Robson, T.; Ali, A.; Owen, A.M.; Pickard, J.D. Towards the Routine Use of Brain Imaging to Aid the Clinical Diagnosis of Disorders of Consciousness. Brain 2009, 132, 2541–2552. [Google Scholar] [CrossRef] [PubMed]
- Smith, S.M.; Fox, P.T.; Miller, K.L.; Glahn, D.C.; Fox, P.M.; Mackay, C.E.; Filippini, N.; Watkins, K.E.; Toro, R.; Laird, A.R.; et al. Correspondence of the Brain’s Functional Architecture During Activation and Rest. Proc. Natl. Acad. Sci. USA 2009, 106, 13040–13045. [Google Scholar] [CrossRef]
- Binder, J.R.; Frost, J.A.; Hammeke, T.A.; Bellgowan, P.S.F.; Springer, J.A.; Kaufman, J.N.; Possing, E.T. Human Temporal Lobe Activation by Speech and Nonspeech Sounds. Cereb. Cortex 2000, 10, 512–528. [Google Scholar] [CrossRef] [PubMed]
- Davis, M.H.; Johnsrude, I.S. Hierarchical Processing in Spoken Language Comprehension. J. Neurosci. 2003, 23, 3423–3431. [Google Scholar] [CrossRef] [PubMed]
- Price, C.J. A Review and Synthesis of the First 20 Years of PET and fMRI Studies of Heard Speech, Spoken Language and Reading. Neuroimage 2012, 62, 816–847. [Google Scholar] [CrossRef]
- Schiff, N.D.; Ribary, U.; Moreno, D.R.; Beattie, B.; Kronberg, E.; Blasberg, R.; Giacino, J.; McCagg, C.; Fins, J.J.; Llinás, R.; et al. Residual Cerebral Activity and Behavioural Fragments Can Remain in the Persistently Vegetative Brain. Brain 2002, 125, 1210–1234. [Google Scholar] [CrossRef]
- Demertzi, A.; Tagliazucchi, E.; Dehaene, S.; Deco, G.; Barttfeld, P.; Raimondo, F.; Martial, C.; Fernández-Espejo, D.; Rohaut, B.; Voss, H.U.; et al. Human Consciousness Is Supported by Dynamic Complex Patterns of Brain Signal Coordination. Sci. Adv. 2019, 5, eaat7603. [Google Scholar] [CrossRef]
- Baars, B.J. Global Workspace Theory of Consciousness: Toward A Cognitive Neuroscience of Human Experience. Prog. Brain Res. 2005, 150, 45–53. [Google Scholar] [CrossRef]
- Soddu, A.; Vanhaudenhuyse, A.; Demertzi, A.; Bruno, M.-A.; Tshibanda, L.; Di, H.; Boly, M.; Papa, M.; Laureys, S.; Noirhomme, Q. Resting State Activity in Patients with Disorders of Consciousness. Funct. Neurol. 2011, 26, 37–43. [Google Scholar]
- Tomaiuolo, F.; Cecchetti, L.; Gibson, R.M.; Logi, F.; Owen, A.M.; Malasoma, F.; Cozza, S.; Pietrini, P.; Ricciardi, E. Progression from Vegetative to Minimally Conscious State Is Associated with Changes in Brain Neural Response to Passive Tasks: A Longitudinal Single-Case Functional MRI Study. J. Int. Neuropsychol. Soc. 2016, 22, 620–630. [Google Scholar] [CrossRef]
- Madhavan, R.; Joel, S.E.; Mullick, R.; Cogsil, T.; Niogi, S.N.; Tsiouris, A.J.; Mukherjee, P.; Masdeu, J.C.; Marinelli, L.; Shetty, T. Longitudinal Resting State Functional Connectivity Predicts Clinical Outcome in Mild Traumatic Brain Injury. J. Neurotrauma 2018, 36, 650–660. [Google Scholar] [CrossRef]
- Palacios, E.M.; Yuh, E.L.; Chang, Y.-S.; Yue, J.K.; Schnyer, D.M.; Okonkwo, D.O.; Valadka, A.B.; Gordon, W.A.; Maas, A.I.R.; Vassar, M.; et al. Resting-State Functional Connectivity Alterations Associated with Six-Month Outcomes in Mild Traumatic Brain Injury. J. Neurotrauma 2017, 34, 1546–1557. [Google Scholar] [CrossRef] [PubMed]
- de Cássia Almeida Vieira, V.; Paiva, W.S.; de Oliveira, D.V.; Teixeira, M.J.; de Andrade, A.F.; de Sousa, R.M.C. Diffuse Axonal Injury: Epidemiology, Outcome and Associated Risk Factors. Front. Neurol. 2016, 7, 178. [Google Scholar] [CrossRef]
- Moritz, C.H.; Rowley, H.A.; Haughton, V.M.; Swartz, K.R.; Jones, J.; Badie, B. Functional MR Imaging Assessment of A Non-Responsive Brain Injured Patient. Magn. Reson. Imaging 2001, 19, 1129–1132. [Google Scholar] [CrossRef]
- Rohaut, B.; Eliseyev, A.; Claassen, J. Uncovering Consciousness in Unresponsive ICU Patients: Technical, Medical and Ethical Considerations. Crit. Care 2019, 23, 78. [Google Scholar] [CrossRef]
- Weijer, C.; Bruni, T.; Gofton, T.; Young, G.B.; Norton, L.; Peterson, A.; Owen, A.M. Ethical Considerations in Functional Magnetic Resonance Imaging Research in Acutely Comatose Patients. Brain 2016, 139, 292–299. [Google Scholar] [CrossRef]
- Johnstone, T.; Walsh, K.S.O.; Greischar, L.L.; Alexander, A.L.; Fox, A.S.; Davidson, R.J.; Oakes, T.R. Motion Correction and the Use of Motion Covariates in Multiple-Subject fMRI Analysis. Hum. Brain Mapp. 2006, 27, 779–788. [Google Scholar] [CrossRef]
- Kirsch, M.; Guldenmund, P.; Ali Bahri, M.; Demertzi, A.; Baquero, K.; Heine, L.; Charland-Verville, V.; Vanhaudenhuyse, A.; Bruno, M.-A.; Gosseries, O.; et al. Sedation of Patients With Disorders of Consciousness During Neuroimaging: Effects on Resting State Functional Brain Connectivity. Anesth. Analg. 2017, 124, 588–598. [Google Scholar] [CrossRef]
- Teasdale, G.; Maas, A.; Lecky, F.; Manley, G.; Stocchetti, N.; Murray, G. The Glasgow Coma Scale at 40 Years: Standing the Test of Time. Lancet Neurol. 2014, 13, 844–854. [Google Scholar] [CrossRef]
- Bodien, Y.G.; Carlowicz, C.A.; Chatelle, C.; Giacino, J.T. Sensitivity and Specificity of the Coma Recovery Scale-Revised Total Score in Detection of Conscious Awareness. Arch. Phys. Med. Rehabil. 2016, 97, 490–492.e1. [Google Scholar] [CrossRef]






© 2020 by the authors. Licensee MDPI, Basel, Switzerland. This article is an open access article distributed under the terms and conditions of the Creative Commons Attribution (CC BY) license (http://creativecommons.org/licenses/by/4.0/).
Share and Cite
Kazazian, K.; Norton, L.; Gofton, T.E.; Debicki, D.; Owen, A.M. Cortical Function in Acute Severe Traumatic Brain Injury and at Recovery: A Longitudinal fMRI Case Study. Brain Sci. 2020, 10, 604. https://doi.org/10.3390/brainsci10090604
Kazazian K, Norton L, Gofton TE, Debicki D, Owen AM. Cortical Function in Acute Severe Traumatic Brain Injury and at Recovery: A Longitudinal fMRI Case Study. Brain Sciences. 2020; 10(9):604. https://doi.org/10.3390/brainsci10090604
Chicago/Turabian StyleKazazian, Karnig, Loretta Norton, Teneille E. Gofton, Derek Debicki, and Adrian M. Owen. 2020. "Cortical Function in Acute Severe Traumatic Brain Injury and at Recovery: A Longitudinal fMRI Case Study" Brain Sciences 10, no. 9: 604. https://doi.org/10.3390/brainsci10090604
APA StyleKazazian, K., Norton, L., Gofton, T. E., Debicki, D., & Owen, A. M. (2020). Cortical Function in Acute Severe Traumatic Brain Injury and at Recovery: A Longitudinal fMRI Case Study. Brain Sciences, 10(9), 604. https://doi.org/10.3390/brainsci10090604

