Which Effects on Neuroanatomy and Path-Integration Survive? Results of a Randomized Controlled Study on Intensive Balance Training
Abstract
1. Introduction
2. Experimental Section
2.1. Ethical Approval
2.2. Subjects
2.3. Study Design
2.4. Intervention
2.5. Behavioral Tests
2.5.1. Clinical Balance Test (CBT)
- 3 points—stable stance, absence of body movements;
- 2 points—stable stance, attempted to stabilize body using arm movements;
- 1 point—stable stance, attempted to stabilize body using arm and leg movements;
- 0 points—loss of stance.
2.5.2. Triangle Completion Test (TCT)
2.6. MRI
2.7. Outcome Variables and Data Analysis
3. Results
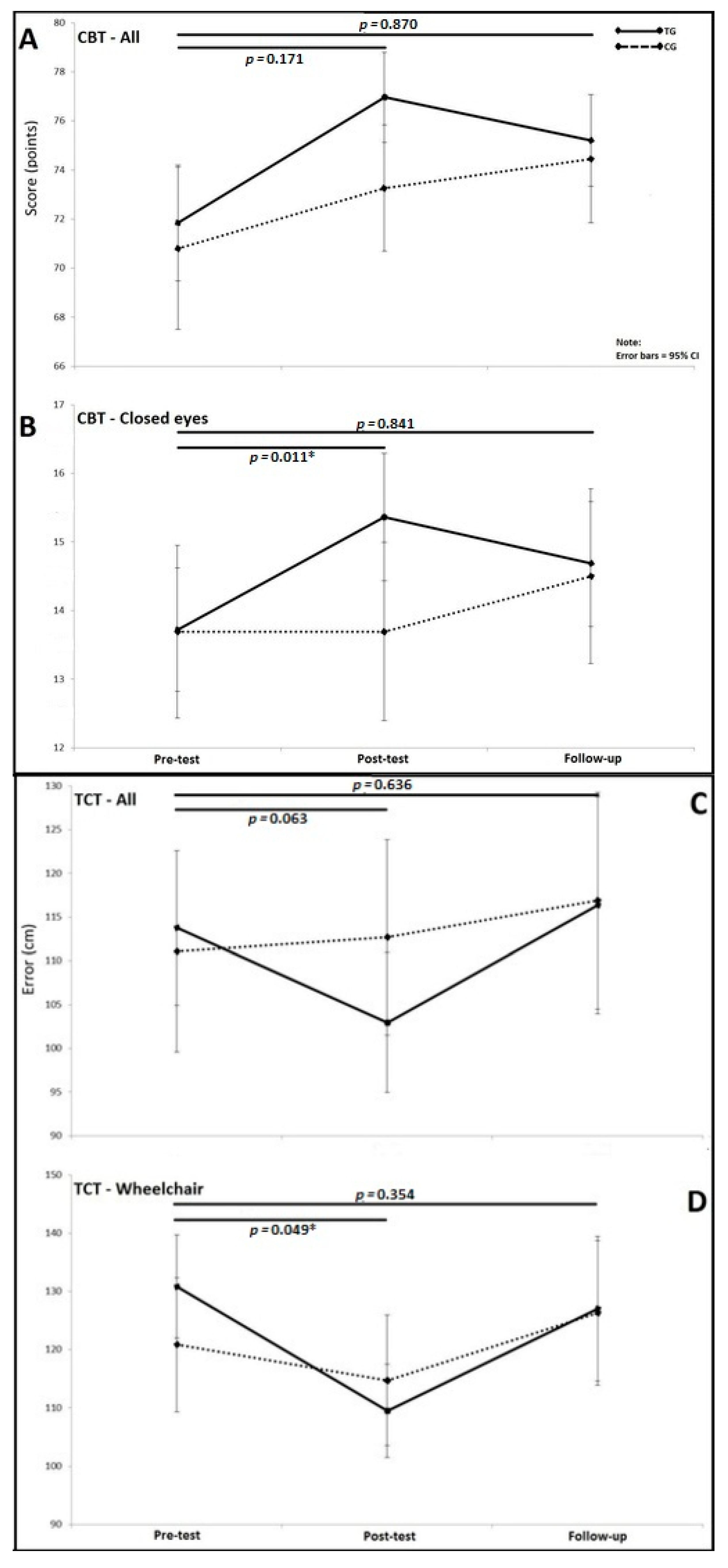
3.1. Training-Specific Skills
3.2. Triangle Completion Test (TCT)
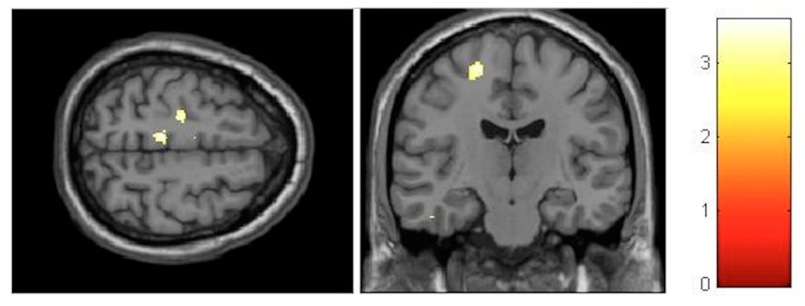
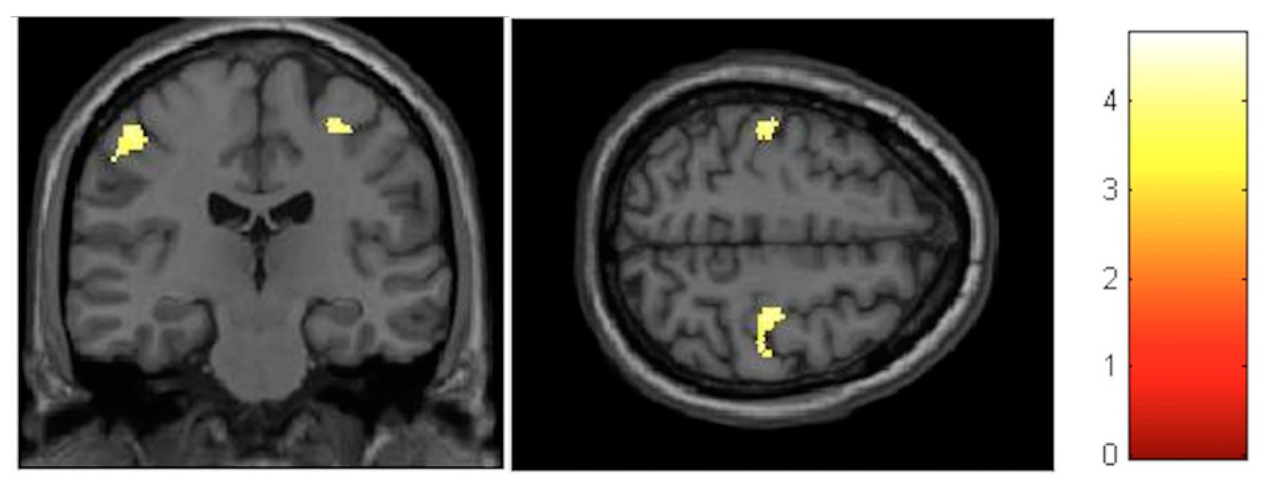
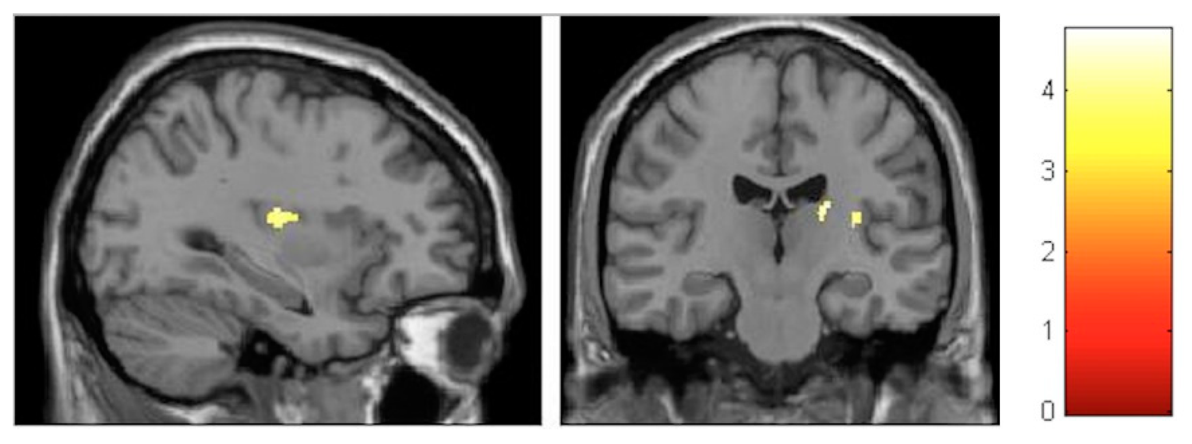
3.3. Voxel-Based Morphometry (VBM)
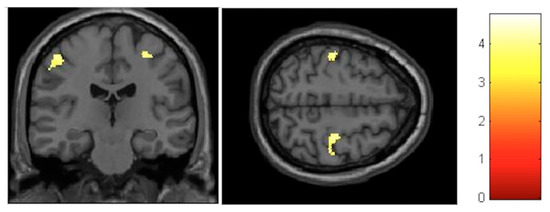
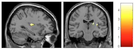
3.3.1. Interaction Effects
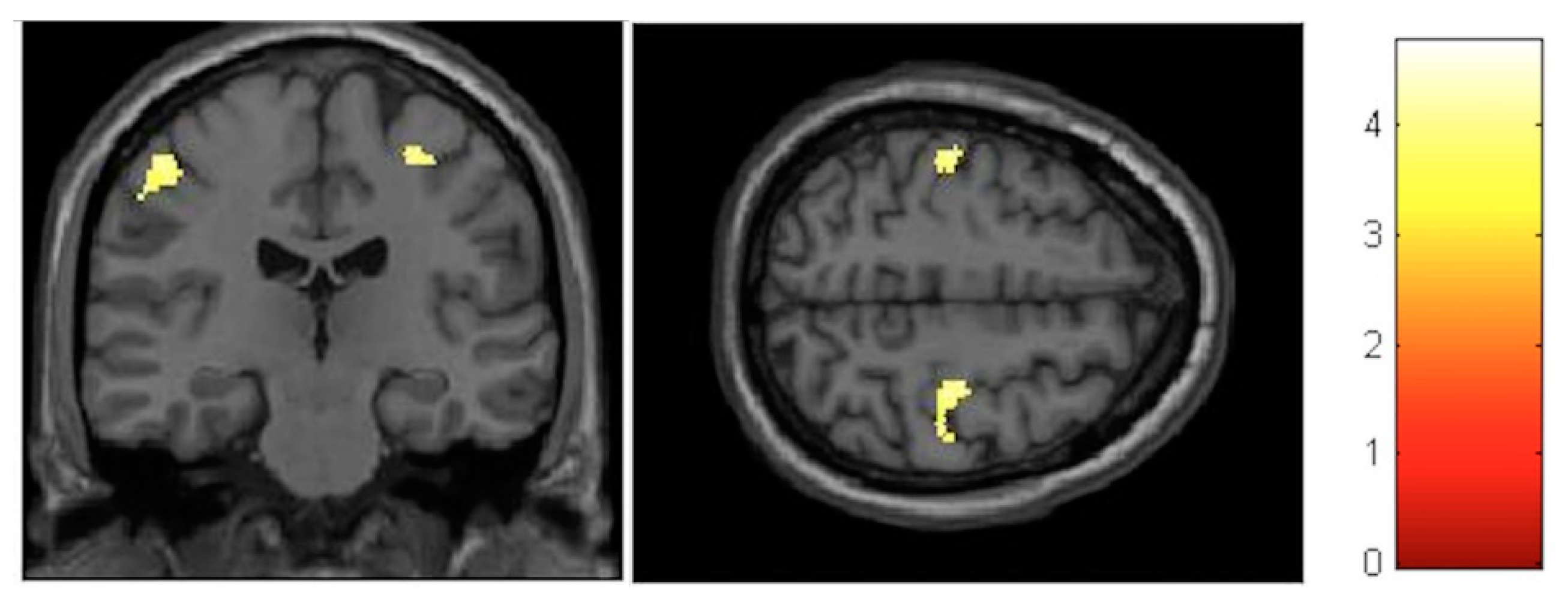
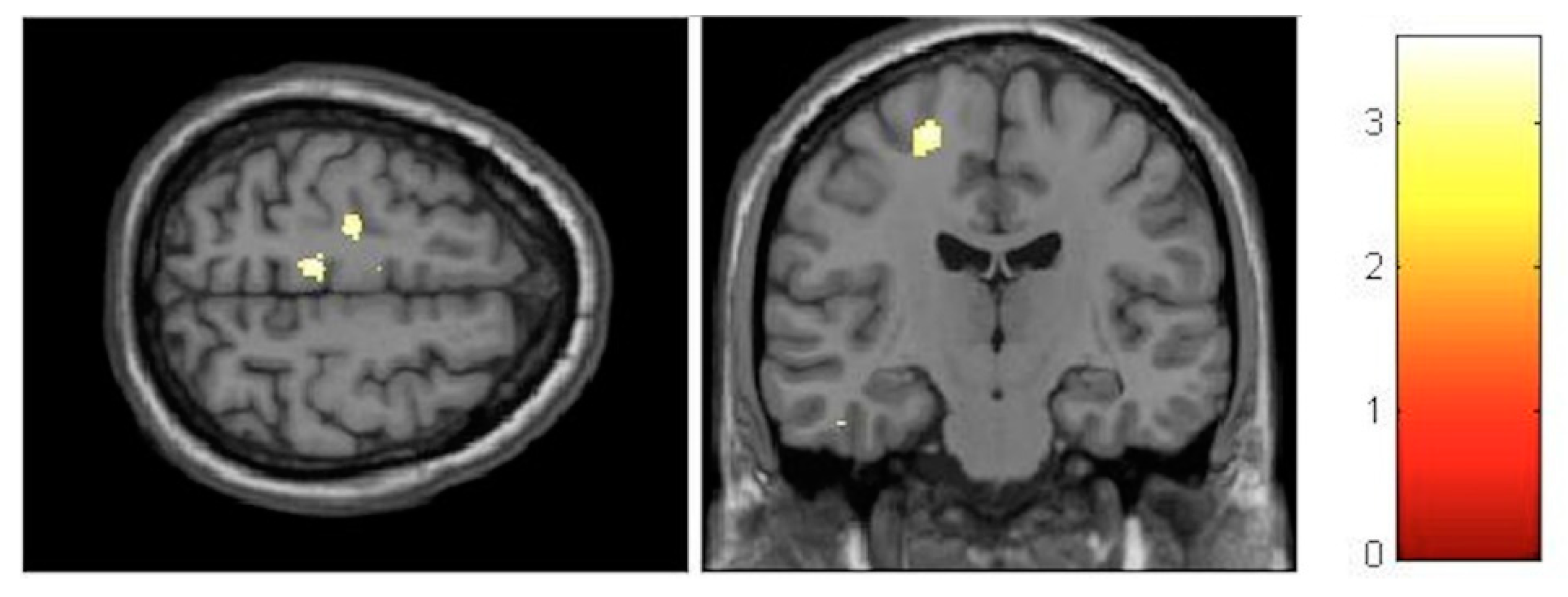
3.3.2. Within-Training-Group Effects
4. Discussion
5. Conclusions
Author Contributions
Funding
Conflicts of Interest
Data Availability
References
- Taubert, M.; Draganski, B.; Anwander, A.; Muller, K.; Horstmann, A.; Villringer, A.; Ragert, P. Dynamic Properties of Human Brain Structure: Learning-Related Changes in Cortical Areas and Associated Fiber Connections. J. Neurosci. 2010, 30, 11670–11677. [Google Scholar] [CrossRef]
- Taubert, M.; Mehnert, J.; Pleger, B.; Villringer, A. Rapid and specific gray matter changes in M1 induced by balance training. Neuroimage 2016, 133, 399–407. [Google Scholar] [CrossRef]
- Sehm, B.; Taubert, M.; Conde, V.; Weise, D.; Classen, J.; Dukart, J.; Draganski, B.; Villringer, A.; Ragert, P. Structural brain plasticity in parkinson’s disease induced by balance training. Neurobiol. Aging 2014, 35, 232–239. [Google Scholar] [CrossRef]
- Weber, B.; Koschutnig, K.; Schwerdtfeger, A.; Rominger, C.; Papousek, I.; Weiss, E.M.; Tilp, M.; Fink, A. Learning Unicycling Evokes Manifold Changes in Gray and White Matter Networks Related to Motor and Cognitive Functions. Sci. Rep. 2019, 9. [Google Scholar] [CrossRef]
- Driemeyer, J.; Boyke, J.; Gaser, C.; Büchel, C.; May, A. Changes in gray matter induced by learning—Revisited. PLoS ONE 2008, 3, e2669. [Google Scholar] [CrossRef]
- Sampaio-Baptista, C.; Scholz, J.; Jenkinson, M.; Thomas, A.G.; Filippini, N.; Smit, G.; Douaud, G.; Johansen-Berg, H. Gray matter volume is associated with rate of subsequent skill learning after a long term training intervention. Neuroimage 2014, 96, 158–166. [Google Scholar] [CrossRef]
- Seidel, O.; Carius, D.; Kenville, R.; Ragert, P. Motor learning in a complex balance task and associated neuroplasticity: A comparison between endurance athletes and non-athletes. J. Neurophysiol. 2017, 118, 1849–1860. [Google Scholar] [CrossRef]
- Müller, P.; Rehfeld, K.; Schmicker, M.; Hökelmann, A.; Dordevic, M.; Lessmann, V.; Brigadski, T.; Kaufmann, J.; Müller, N.G. Evolution of neuroplasticity in response to physical activity in old age: The case for dancing. Front. Aging Neurosci. 2017, 9. [Google Scholar] [CrossRef]
- Dordevic, M.; Hökelmann, A.; Müller, P.; Rehfeld, K.; Müller, N.G. Improvements in Orientation and Balancing Abilities in Response to One Month of Intensive Slackline-Training. A Randomized Controlled Feasibility Study. Front. Hum. Neurosci. 2017, 11, 1–12. [Google Scholar] [CrossRef]
- Granacher, U.; Iten, N.; Roth, R.; Gollhofer, A. Slackline training for balance and strength promotion. Int. J. Sports Med. 2010, 31, 717–723. [Google Scholar] [CrossRef]
- Donath, L.; Roth, R.; Zahner, L.; Faude, O. Slackline Training (Balancing Over Narrow Nylon Ribbons) and Balance Performance: A Meta-Analytical Review. Sports Med. 2016. [Google Scholar] [CrossRef] [PubMed]
- Mancini, M.; Horak, F.B. The relevance of clinical balance assessment tools to differentiate balance deficits. Eur. J. Phys. Rehabil. Med. 2010, 46, 239–248. [Google Scholar] [PubMed]
- Karlsson, M.K.; Vonschewelov, T.; Karlsson, C.; Cöster, M.; Rosengen, B.E. Prevention of falls in the elderly: A review. Scand. J. Public Health 2013, 41, 442–454. [Google Scholar] [CrossRef] [PubMed]
- Lopez, C.; Blanke, O. The thalamocortical vestibular system in animals and humans. Brain Res. Rev. 2011, 67, 119–146. [Google Scholar] [CrossRef] [PubMed]
- Barry, C.; Burgess, N. Neural mechanisms of self-location. Curr. Biol. 2014, 24. [Google Scholar] [CrossRef] [PubMed]
- Peeters, G.; Van Schoor, N.M.; Cooper, R.; Tooth, L.; Kenny, R.A. Should prevention of falls start earlier? Coordinated analyses of harmonised data on falls in middle-aged adults across four population-based cohort studies. PLoS ONE 2018, 13. [Google Scholar] [CrossRef]
- Hitier, M.; Besnard, S.; Smith, P.F. Vestibular pathways involved in cognition. Front. Integr. Neurosci. 2014, 8, 59. [Google Scholar] [CrossRef]
- Stackman, R.W.; Clark, A.S.; Taube, J.S. Hippocampal spatial representations require vestibular input. Hippocampus 2002, 12, 291–303. [Google Scholar] [CrossRef]
- Russell, N.A.; Horii, A.; Smith, P.F.; Darlington, C.L.; Bilkey, D.K. Long-term effects of permanent vestibular lesions on hippocampal spatial firing. J. Neurosci. 2003, 23, 6490–6498. [Google Scholar] [CrossRef]
- Brandt, T.; Schautzer, F.; Hamilton, D.A.; Br??ning, R.; Markowitsch, H.J.; Kalla, R.; Darlington, C.; Smith, P.; Strupp, M. Vestibular loss causes hippocampal atrophy and impaired spatial memory in humans. Brain 2005, 128, 2732–2741. [Google Scholar] [CrossRef]
- Hüfner, K.; Binetti, C.; Hamilton, D.A.; Stephan, T.; Flanagin, V.L.; Linn, J.; Labudda, K.; Markowitsch, H.; Glasauer, S.; Jahn, K.; et al. Structural and functional plasticity of the hippocampal formation in professional dancers and slackliners. Hippocampus 2011, 21, 855–865. [Google Scholar] [CrossRef] [PubMed]
- Dordevic, M.; Schrader, R.; Taubert, M.; Müller, P.; Hökelmann, A.; Müller, N.G. Vestibulo-Hippocampal Function Is Enhanced and Brain Structure Altered in Professional Ballet Dancers. Front. Integr. Neurosci. 2018. [Google Scholar] [CrossRef] [PubMed]
- DiStefano, L.J.; Clark, M.A.; Padua, D.A. Evidence supporting balance training in healthy individuals: A systemic review. J. Strength Cond. Res. 2009, 23, 2718–2731. [Google Scholar] [CrossRef]
- Lesinski, M.; Hortobágyi, T.; Muehlbauer, T.; Gollhofer, A.; Granacher, U. Dose-Response Relationships of Balance Training in Healthy Young Adults: A Systematic Review and Meta-Analysis. Sport. Med. 2015, 45, 557–576. [Google Scholar] [CrossRef] [PubMed]
- Erickson, K.I.; Leckie, R.L.; Weinstein, A.M. Physical activity, fitness, and gray matter volume. Neurobiol. Aging 2014, 35. [Google Scholar] [CrossRef]
- Lopez, C.; Blanke, O.; Mast, F.W. The human vestibular cortex revealed by coordinate-based activation likelihood estimation meta-analysis. Neuroscience 2012, 212, 159–179. [Google Scholar] [CrossRef]
- Rogge, A.K.; Röder, B.; Zech, A.; Hötting, K. Exercise-induced neuroplasticity: Balance training increases cortical thickness in visual and vestibular cortical regions. Neuroimage 2018, 179, 471–479. [Google Scholar] [CrossRef]
- Hänggi, J.; Koeneke, S.; Bezzola, L.; Jäncke, L. Structural neuroplasticity in the sensorimotor network of professional female ballet dancers. Hum. Brain Mapp. 2010, 31, 1196–1206. [Google Scholar] [CrossRef]
- Makin, T.R.; Bensmaia, S.J. Stability of Sensory Topographies in Adult Cortex. Trends Cogn. Sci. 2017, 21, 195–204. [Google Scholar] [CrossRef]
- Georgopoulos, A.P.; Carpenter, A.F. Coding of movements in the motor cortex. Curr. Opin. Neurobiol. 2015, 33, 34–39. [Google Scholar] [CrossRef]
- Zu Eulenburg, P.; Caspers, S.; Roski, C.; Eickhoff, S.B. Meta-analytical definition and functional connectivity of the human vestibular cortex. Neuroimage 2012, 60, 162–169. [Google Scholar] [CrossRef] [PubMed]
- Ferrè, E.R.; Day, B.L.; Bottini, G.; Haggard, P. How the vestibular system interacts with somatosensory perception: A sham-controlled study with galvanic vestibular stimulation. Neurosci. Lett. 2013, 550, 35–40. [Google Scholar] [CrossRef] [PubMed]
- Ferrè, E.R.; Kaliuzhna, M.; Herbelin, B.; Haggard, P.; Blanke, O. Vestibular-somatosensory interactions: Effects of passive whole-body rotation on somatosensory detection. PLoS ONE 2014, 9. [Google Scholar] [CrossRef]
- Ferrè, E.R.; Walther, L.E.; Haggard, P. Multisensory interactions between vestibular, visual and somatosensory signals. PLoS ONE 2015, 10. [Google Scholar] [CrossRef] [PubMed]
- Hong, S.K.; Kim, H.J.; Lee, H.J. Changes in the gray matter volume during compensation after vestibular neuritis: A longitudinal VBM study. Restor. Neurol. Neurosci. 2014, 32, 663–673. [Google Scholar] [CrossRef]
- Helmchen, C.; Klinkenstein, J.; MacHner, B.; Rambold, H.; Mohr, C.; Sander, T. Structural changes in the human brain following vestibular neuritis indicate central vestibular compensation. Ann. N. Y. Acad. Sci. 2009, 1164, 104–115. [Google Scholar]
- Guldin, W.O.; Akbarian, S.; Grüsser, O.-J. Cortico-cortical connections and cytoarchitectonics of the primate vestibular cortex: A study in squirrel monkeys (Saimiri sciureus). J. Comp. Neurol. 1992, 326, 375–401. [Google Scholar] [CrossRef]
- Takakusaki, K. Functional Neuroanatomy for Posture and Gait Control. J. Mov. Disord. 2017, 10, 1–17. [Google Scholar] [CrossRef]
- Caligiore, D.; Pezzulo, G.; Baldassarre, G.; Bostan, A.C.; Strick, P.L.; Doya, K.; Helmich, R.C.; Dirkx, M.; Houk, J.; Jörntell, H.; et al. Consensus Paper: Towards a Systems-Level View of Cerebellar Function: The Interplay Between Cerebellum, Basal Ganglia, and Cortex. Cerebellum 2017, 16, 203–229. [Google Scholar] [CrossRef]
- Blanke, O.; Perrig, S.; Thut, G.; Landis, T.; Seeck, M. Simple and complex vestibular responses induced by electrical cortical stimulation of the parietal cortex in humans. J. Neurol. Neurosurg. Psychiatry 2000, 69, 553–556. [Google Scholar] [CrossRef]
- Frank, S.M.; Greenlee, M.W. The parieto-insular vestibular cortex in humans: More than a single area? J. Neurophysiol. 2018. [Google Scholar] [CrossRef]
- Schindler, A.; Bartels, A. Integration of visual and non-visual self-motion cues during voluntary head movements in the human brain. Neuroimage 2018. [Google Scholar] [CrossRef] [PubMed]
- Uesaki, M.; Takemura, H.; Ashida, H. Computational neuroanatomy of human stratum proprium of interparietal sulcus. Brain Struct. Funct. 2018. [Google Scholar] [CrossRef] [PubMed]
- Billington, J.; Billington, J. Neural mechanisms for discounting head-roll-induced retinal motion. J. Neurosci. 2015. [Google Scholar] [CrossRef] [PubMed]
- Frank, S.M.; Pawellek, M.; Forster, L.; Langguth, B.; Schecklmann, M.; Greenlee, M.W. Attention networks in the parietooccipital cortex modulate activity of the human vestibular cortex during attentive visual processing. J. Neurosci. 2020. [Google Scholar] [CrossRef]
- Roberts, R.E.; Ahmad, H.; Arshad, Q.; Patel, M.; Dima, D.; Leech, R.; Seemungal, B.M.; Sharp, D.J.; Bronstein, A.M. Functional neuroimaging of visuo-vestibular interaction. Brain Struct. Funct. 2017. [Google Scholar] [CrossRef]
- Nigmatullina, Y.; Hellyer, P.J.; Nachev, P.; Sharp, D.J.; Seemungal, B.M. The neuroanatomical correlates of training-related perceptuo-reflex uncoupling in dancers. Cereb. Cortex 2015, 25, 554–562. [Google Scholar] [CrossRef]
- Stoodley, C.J.; Limperopoulos, C. Structure–function relationships in the developing cerebellum: Evidence from early-life cerebellar injury and neurodevelopmental disorders. Semin. Fetal Neonatal Med. 2016, 21, 356–364. [Google Scholar] [CrossRef]
- Khan, S.; Chang, R. Anatomy of the vestibular system: A review. NeuroRehabilitation 2013, 32, 437–443. [Google Scholar] [CrossRef]
- Dieterich, M.; Bense, S.; Lutz, S.; Drzezga, A.; Stephan, T.; Bartenstein, P.; Brandt, T. Dominance for vestibular cortical function in the non-dominant hemisphere. Cereb. Cortex 2003, 13, 994–1007. [Google Scholar] [CrossRef]
- Grahn, J.A.; Parkinson, J.A.; Owen, A.M. The role of the basal ganglia in learning and memory: Neuropsychological studies. Behav. Brain Res. 2009, 199, 53–60. [Google Scholar] [CrossRef]
- Vitte, E.; Derosier, C.; Caritu, Y.; Berthoz, A.; Hasboun, D.; Soulié, D. Activation of the hippocampal formation by vestibular stimulation: A functional magnetic resonance imaging study. Exp. Brain Res. 1996, 112, 523–526. [Google Scholar] [CrossRef] [PubMed]
- Smith, P.F.; Zheng, Y. From ear to uncertainty: Vestibular contributions to cognitive function. Front. Integr. Neurosci. 2013, 7, 84. [Google Scholar] [CrossRef]
- Berthoz, A.; Israël, I.; Georges-François, P.; Grasso, R.; Tsuzuku, T. Spatial memory of body linear displacement: What is being stored? Science 1995, 269, 95–98. [Google Scholar] [CrossRef] [PubMed]
- Iglói, K.; Doeller, C.F.; Berthoz, A.; Rondi-Reig, L.; Burgess, N. Lateralized human hippocampal activity predicts navigation based on sequence or place memory. Proc. Natl. Acad. Sci. USA 2010, 107, 14466–14471. [Google Scholar] [CrossRef] [PubMed]
- Smith, M.L.; Milner, B. The role of the right hippocampus in the recall of spatial location. Neuropsychologia 1981, 19, 781–793. [Google Scholar] [CrossRef]
- Healy, A.F.; Wohldmann, E.L.; Bourne, L.E. The Procedural Reinstatement Principle: Studies on Training, Retention, and Transfer. In Experimental Cognitive Psychology and Its Applications; APA: Washington, DC, USA, 2006; pp. 59–71. [Google Scholar]
- Dieterich, M.; Bense, S.; Stephan, T.; Yousry, T.A.; Brandt, T. FMRI signal increases and decreases in cortical areas during small-field optokinetic stimulation and central fixation. Exp. Brain Res. 2003, 148, 117–127. [Google Scholar] [CrossRef]
- Deutschländer, A.; Bense, S.; Stephan, T.; Schwaiger, M.; Brandt, T.; Dieterich, M. Sensory system interactions during simultaneous vestibular and visual stimulation in PET. Hum. Brain Mapp. 2002, 16, 92–103. [Google Scholar] [CrossRef]
- Kikuchi, M.; Naito, Y.; Senda, M.; Okada, T.; Shinohara, S.; Fujiwara, K.; Hori, S.-Y.; Tona, Y.; Yamazaki, H. Cortical activation during optokinetic stimulation—An fMRI study. Acta Otolaryngol. 2009, 129, 440–443. [Google Scholar] [CrossRef]
- Brandt, T.; Bartenstein, P.; Janek, A.; Dieterich, M. Reciprocal inhibitory visual-vestibular interaction. Visual motion stimulation deactivates the parieto-insular vestibular cortex. Brain 1998, 121, 1749–1758. [Google Scholar] [CrossRef]
- Lacour, M.; Helmchen, C.; Vidal, P.P. Vestibular compensation: The neuro-otologist’s best friend. J. Neurol. 2016, 263, 54–64. [Google Scholar] [CrossRef]
- Ekstrom, A.D. Why vision is important to how we navigate. Hippocampus 2015, 25, 731–735. [Google Scholar] [CrossRef] [PubMed]
- Shine, J.P.; Valdes-Herrera, J.P.; Hegarty, M.; Wolbers, T. The Human Retrosplenial Cortex and Thalamus Code Head Direction in a Global Reference Frame. J. Neurosci. 2016, 36, 6371–6381. [Google Scholar] [CrossRef] [PubMed]
- Callaert, D.V.; Ribbens, A.; Maes, F.; Swinnen, S.P.; Wenderoth, N. Assessing age-related gray matter decline with voxel-based morphometry depends significantly on segmentation and normalization procedures. Front. Aging Neurosci. 2014, 6. [Google Scholar] [CrossRef] [PubMed]
- Hopkins, W.G.; Marshall, S.W.; Batterham, A.M.; Hanin, J. Progressive statistics for studies in sports medicine and exercise science. Med. Sci. Sports Exerc. 2009. [Google Scholar] [CrossRef]
- Gigerenzer, G. Mindless statistics. J. Socio. Econ. 2004. [Google Scholar] [CrossRef]











| No. | Condition | Task | Points (Min = 0, Max = 3) | ||||
|---|---|---|---|---|---|---|---|
| 0 | 1 | 2 | 3 | ||||
| 1. | Static—stable surface (floor) | Stand with feet together—open eyes | |||||
| 2. | Stand with feet together—closed eyes | ||||||
| 3. | One leg stance—left—open eyes | ||||||
| 4. | One leg stance—right—open eyes | ||||||
| 5. | One leg stance—left—closed eyes | ||||||
| 6. | One leg stance—right—closed eyes | ||||||
| 7. | Static—unstable surface (pad) | Stand normally (hip width stance)—open eyes | |||||
| 8. | Stand with feet together—open eyes | ||||||
| 9. | Stand normally (hip width stance)—closed eyes | ||||||
| 10. | Stand with feet together—closed eyes | ||||||
| 11. | One leg stance—left—open eyes | ||||||
| 12. | One leg stance—right—open eyes | ||||||
| 13. | One leg stance—left—closed eyes | ||||||
| 14. | One leg stance—right—closed eyes | ||||||
| 15. | Dynamic | Walk inside the zone (4 m × 30 cm) | Forward | ||||
| 16. | Turn (90°) | ||||||
| 17. | Backward | ||||||
| 18. | Walk on the line (4 m × 5 cm) | Forward | |||||
| 19. | Turn (90°) | ||||||
| 20. | Backward | ||||||
| 21. | Walk on the line with feet one after the other (4 m × 5 cm) | Forward | |||||
| 22. | Turn (90°) | ||||||
| 23. | Backward | ||||||
| 24. | Walk on the beam (4 m × 10 cm) | Forward | |||||
| 25. | Turn (90°) | ||||||
| 26. | Backward | ||||||
| 27. | Walk on the beam sideways (4 m × 10 cm) | Rightward | |||||
| 28. | Turn (90°) | ||||||
| 29. | Leftward | ||||||
| 30. | Walk on the line with closed eyes (4 m × 5 cm) | Forward | |||||
| Characteristic | Training (n = 25) | Control (n = 25) |
|---|---|---|
| Age (years) | 24.5 ± 2.7 | 23.2 ± 2.6 |
| Sex (females) | 11 (44%) | 12 (48%) |
| Weight (kg) | 69.1 ± 12.5 | 65.0 ± 10.0 |
| Height (cm) | 173.4 ± 9.2 | 170.3 ± 8.4 |
| Hours of activity (per week) | 3.0 ± 1.8 | 3.2 ± 2.5 |
| Handedness (right) | 24 (96%) | 23 (92%) |
| Profession (student) | 22 (88%) | 23 (92%) |
| Suffered a small injury (e.g., ankle sprain) | 5 (20%) | 5 (20%) |
| Ethnic origin | ||
| European | 20 (80%) | 19 (76%) |
| Asian (Indian) | 5 (20%) | 5 (20%) |
| Arabic | 0 (0%) | 1 (4%) |
| Effect | Brain Region | Left Hemisphere MNI Coordinates (Cluster Size in Voxels) | T | d | Right Hemisphere MNI Coordinates (Cluster Size in Voxels) | T | d |
|---|---|---|---|---|---|---|---|
| Increment | Paracentral | −9, −32, 59 (1298) | 5.93 | 0.41 | 14, −36, 63 (1589) | 5.47 | 0.40 |
| Increment | Hippocampus | 34, −16, −11.5 (20) | 3.85 | 0.36 | |||
| Decrement | Insula | −32, −10, 12 (60) | 3.91 | 0.36 | 35, −20, 18 (261) | 4.36 | 0.38 |
| Decrement | Putamen | −20, 14, 0 (1879) | 5.45 | 0.40 | 24, 11, 2 (137) | 4.13 | 0.37 |
| Decrement | Cerebellum | −12, −47, −21 (511) | 5.33 | 0.40 | 11, −47, −23 (262) | 4.06 | 0.37 |
| Effect | Brain Region | Left Hemisphere MNI Coordinates (Cluster Size in Voxels) | T | d | Right Hemisphere MNI Coordinates (Cluster Size in Voxels) | T | d |
|---|---|---|---|---|---|---|---|
| Increment | Sensory-motor | −8, −32, 60 (314) | 5.17 | 0.39 | 11, −29, 60 (1087) | 6.09 | 0.41 |
| Decrement | Hippocampus | 27, −30, −6 (133) 23, −2, −17 (119) | 4.06 4.74 | 0.37 0.38 | |||
| Decrement | Insula | −33, −12, 18 (586) | 5.57 | 0.40 | 33, −17, 17 (797) | 6.17 | 0.41 |
| Decrement | Putamen | −26, 8, 6 (631) | 4.72 | 0.38 | 21, 11, 2 (134) | 4.22 | 0.38 |
| Decrement | Cerebellum | −11, −45, −23 (245) | 3.84 | 0.36 | 11, −65, −23 (224) | 3.99 | 0.37 |
© 2020 by the authors. Licensee MDPI, Basel, Switzerland. This article is an open access article distributed under the terms and conditions of the Creative Commons Attribution (CC BY) license (http://creativecommons.org/licenses/by/4.0/).
Share and Cite
Dordevic, M.; Taubert, M.; Müller, P.; Riemer, M.; Kaufmann, J.; Hökelmann, A.; Müller, N.G. Which Effects on Neuroanatomy and Path-Integration Survive? Results of a Randomized Controlled Study on Intensive Balance Training. Brain Sci. 2020, 10, 210. https://doi.org/10.3390/brainsci10040210
Dordevic M, Taubert M, Müller P, Riemer M, Kaufmann J, Hökelmann A, Müller NG. Which Effects on Neuroanatomy and Path-Integration Survive? Results of a Randomized Controlled Study on Intensive Balance Training. Brain Sciences. 2020; 10(4):210. https://doi.org/10.3390/brainsci10040210
Chicago/Turabian StyleDordevic, Milos, Marco Taubert, Patrick Müller, Martin Riemer, Jörn Kaufmann, Anita Hökelmann, and Notger G. Müller. 2020. "Which Effects on Neuroanatomy and Path-Integration Survive? Results of a Randomized Controlled Study on Intensive Balance Training" Brain Sciences 10, no. 4: 210. https://doi.org/10.3390/brainsci10040210
APA StyleDordevic, M., Taubert, M., Müller, P., Riemer, M., Kaufmann, J., Hökelmann, A., & Müller, N. G. (2020). Which Effects on Neuroanatomy and Path-Integration Survive? Results of a Randomized Controlled Study on Intensive Balance Training. Brain Sciences, 10(4), 210. https://doi.org/10.3390/brainsci10040210

