Leukoencephalopathy with Calcifications and Cysts—The First Polish Patient with Labrune Syndrome
Abstract
1. Introduction
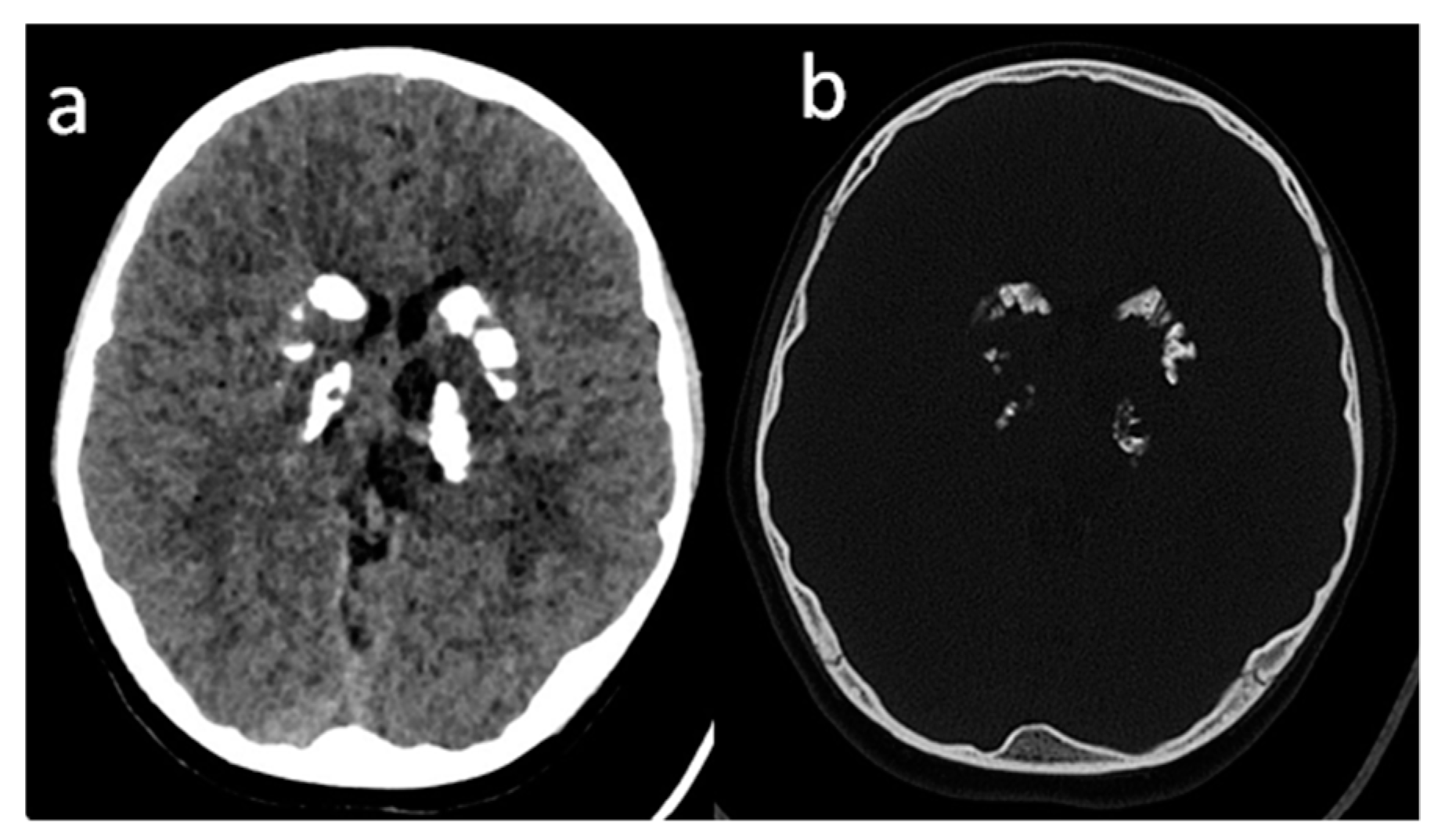
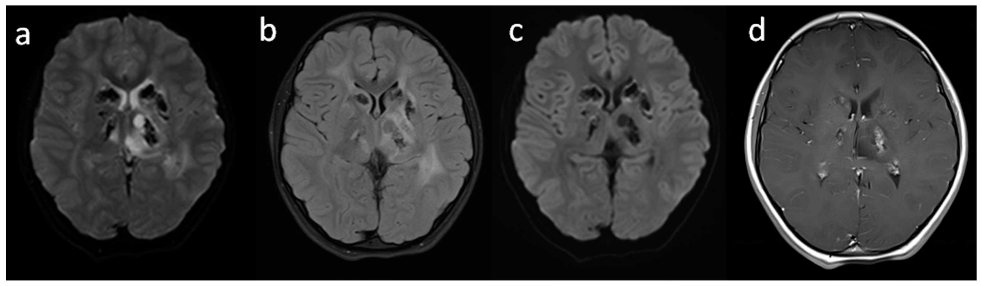
2. Case Report
3. Genetic Analysis
4. Discussion
5. Conclusions
Author Contributions
Funding
Acknowledgments
Conflicts of Interest
References
- Labrune, P.; Lacroix, C.; Goutieres, F.; de Laveaucoupet, J.; Chevalier, P.; Zerah, M.; Husson, B.; Landrieu, P. Extensive brain calcifications, leukodystrophy, and formation of parenchymal cysts: A new progressive disorder due to diffuse cerebral microangiopathy. Neurology 1996, 46, 1297–1301. [Google Scholar] [CrossRef] [PubMed]
- Jenkinson, E.M.; Rodero, M.P.; Kasher, P.R.; Uggenti, C.; Oojageer, A.; Goosey, L.C.; Rose, Y.; Kershaw, C.J.; Urquhart, J.E.; Williams, S.G.; et al. Mutations in SNORD118 cause the cerebral microangiopathy leukoencephalopathy with calcifications and cysts. Nat. Genet. 2016, 48, 1185–1192. [Google Scholar] [CrossRef] [PubMed]
- Rydzanicz, M.; Wachowska, M.; Cook, C.C.; Lisowski, P.; Kuźniewska, B.; Szymańska, K.; Diecke, S.; Prigione, A.; Szczałuba, K.; Szybińska, A.; et al. Novel calcineurin A (PPP3CA) variant associated with epilepsy, constitutive enzyme activation and downregulation of protein expression. Eur. J. Hum. Genet. 2019, 27, 61–69. [Google Scholar] [CrossRef] [PubMed]
- Iwama, K.; Mizuguchi, T.; Takanashi, J.I.; Shibayama, H.; Shichiji, M.; Ito, S.; Oguni, H.; Yamamoto, T.; Sekine, A.; Nagamine, S.; et al. Identification of novel SNORD118 mutations in seven patients with leukoencephalopathy with brain calcifications and cysts. Clin. Genet. 2017, 92, 180–187. [Google Scholar] [CrossRef] [PubMed]
- Sener, U.; Zorlu, Y.; Men, S.; Bayol, U.; Zanapalioglu, U. Leukoencephalopathy, cerebral calcifications and cysts. AJNR 2006, 27, 200–203. [Google Scholar] [PubMed]
- Crow, Y.J.; Marshall, H.; Rice, G.I.; Seabra, L.; Jenkinson, E.M.; Baranano, K.; Battini, R.; Berger, A.; Blair, E.; Blauwblomme, T.; et al. Leukoencephalopathy with calcifications and cysts: Genetic and phenotypic spectrum. Am. J. Med. Genet. A 2020. [Google Scholar] [CrossRef] [PubMed]
- Osman, O.; Labrune, P.; Reiner, P.; Sarov, M.; Nasser, G.; Riant, F.; Tournier-Lasserve, E.; Chabriat, H.; Denier, C. Leukoencephalopathy with calcifications and cysts (LCC): 5 cases and literature review. Rev. Neurol. 2020, 176, 170–179. [Google Scholar] [CrossRef] [PubMed]
- Kameli, R.; Amanat, M.; Rezaei, Z.; Hosseionpour, S.; Nikbakht, S.; Alizadeh, H.; Ashrafi, M.R.; Omrani, A.; Garshasbi, M.; Tavasoli, A.R. RNASET2-deficient leukoencephalopathy mimicking congenital CMV infection and Aicardi-Goutieres syndrome: A case report with a novel pathogenic variant. Orphanet. J. Rare Dis. 2019, 14, 184. [Google Scholar] [CrossRef] [PubMed]
- Gulati, A.; Singh, P.; Ramanathan, S.; Khandelwal, N. A case of leukoencephalopathy, cerebral calcifications and cysts. Ann. Indian Acad. Neurol. 2011, 14, 310–312. [Google Scholar] [CrossRef] [PubMed]
- Wang, Y.; Cheng, G.; Dong, C.; Zhang, J.; Meng, Y. Adult-onset leukoencephalopathy, brain calcifications and cysts: A case report. J. Med. Case Rep. 2013, 7, 151. [Google Scholar] [CrossRef]
- Livingston, J.H.; Mayer, J.; Jenkinson, E.; Kasher, P.; Stivaros, S.; Berger, A.; Cordelli, D.M.; Ferreira, P.; Jefferson, R.; Kutschke, D.; et al. Leukoencephalopathy with Calcifications and Cysts: A Purely Neurological Disorder Distinct from Coats Plus. Neuropediatrics 2014, 45, 175–182. [Google Scholar] [CrossRef]
- Xu, W.; Zhao, J.; Zhu, Y.; Zhang, W. Cerebroretinalmicroangiopathy with calcifications and cysts: A case report. Medicine 2017, 96, e5545. [Google Scholar] [CrossRef] [PubMed]
- Cullinane, P.W.; Lynch, S.A.; Marnane, M. Phenotypic Variability in Leukoencephalopathy with Brain Calcifications and Cysts: Case Report of Siblings from an Irish Traveller Family with a Homozygous SNORD118 Mutation. J. Mol. Neurosci. 2020, 70, 1354–1356. [Google Scholar] [CrossRef] [PubMed]
- Pahuja, L.; Patras, E.; Sureshbabu, S.; Parkhe, N.; Khanna, L. Labrune syndrome: A unique leukoencephalopathy. Ann. Indian Acad. Neurol. 2017, 20, 59–61. [Google Scholar] [CrossRef] [PubMed]
- Berry-Candelario, J.; Kasper, E.; Eskandar, E.; Chen, C.C. Neurosurgical management of leukoencephalopathy, cerebral calcifications, and cysts: A case report and review of literature. Surg. Neurol. Int. 2011, 2, 160. [Google Scholar] [CrossRef] [PubMed][Green Version]
- Gupta, M.M.; Prabhakar, A.; Joseph, L.; Garg, A.; Gaikwad, S. Labrune syndrome: A rare cause of reversible hemiparesis. Neurol. India 2019, 67, 934–935. [Google Scholar] [PubMed]
- Fay, A.J.; King, A.A.; Shimony, J.S.; Crow, Y.J.; Jan, E. Brunstrom-Hernandez, J.E. Treatment of Leukoencephalopathy with Calcifications and Cysts with Bevacizumab. Pediatr. Neurol. 2017, 71, 56–59. [Google Scholar] [CrossRef] [PubMed]





Publisher’s Note: MDPI stays neutral with regard to jurisdictional claims in published maps and institutional affiliations. |
© 2020 by the authors. Licensee MDPI, Basel, Switzerland. This article is an open access article distributed under the terms and conditions of the Creative Commons Attribution (CC BY) license (http://creativecommons.org/licenses/by/4.0/).
Share and Cite
Machnikowska-Sokołowska, M.; Pilch, J.; Paprocka, J.; Rydzanicz, M.; Pollak, A.; Kosińska, J.; Gasperowicz, P.; Gruszczyńska, K.; Emich-Widera, E.; Płoski, R. Leukoencephalopathy with Calcifications and Cysts—The First Polish Patient with Labrune Syndrome. Brain Sci. 2020, 10, 869. https://doi.org/10.3390/brainsci10110869
Machnikowska-Sokołowska M, Pilch J, Paprocka J, Rydzanicz M, Pollak A, Kosińska J, Gasperowicz P, Gruszczyńska K, Emich-Widera E, Płoski R. Leukoencephalopathy with Calcifications and Cysts—The First Polish Patient with Labrune Syndrome. Brain Sciences. 2020; 10(11):869. https://doi.org/10.3390/brainsci10110869
Chicago/Turabian StyleMachnikowska-Sokołowska, Magdalena, Jacek Pilch, Justyna Paprocka, Małgorzata Rydzanicz, Agnieszka Pollak, Joanna Kosińska, Piotr Gasperowicz, Katarzyna Gruszczyńska, Ewa Emich-Widera, and Rafał Płoski. 2020. "Leukoencephalopathy with Calcifications and Cysts—The First Polish Patient with Labrune Syndrome" Brain Sciences 10, no. 11: 869. https://doi.org/10.3390/brainsci10110869
APA StyleMachnikowska-Sokołowska, M., Pilch, J., Paprocka, J., Rydzanicz, M., Pollak, A., Kosińska, J., Gasperowicz, P., Gruszczyńska, K., Emich-Widera, E., & Płoski, R. (2020). Leukoencephalopathy with Calcifications and Cysts—The First Polish Patient with Labrune Syndrome. Brain Sciences, 10(11), 869. https://doi.org/10.3390/brainsci10110869

