3D Assessment of Mandibular Buccal Shelf Geometry for Optimal Micro-Implant Placement Site in Portuguese Individuals: A Retrospective Cone-Beam Computed Tomography Study
Abstract
1. Introduction
- There is no significant difference in the mean MBS lateral steepness, width, or cortical bone thickness along the MBS configuration.
- There are no significant differences between paired MBS lateral steepness, width and cortical bone thickness measurements.
- There are no significant differences or significant correlations between MBS lateral steepness, width and cortical bone thickness measurements and age.
- There is no significant sexual dimorphism in the MBS lateral steepness, width and cortical bone thickness measurements.
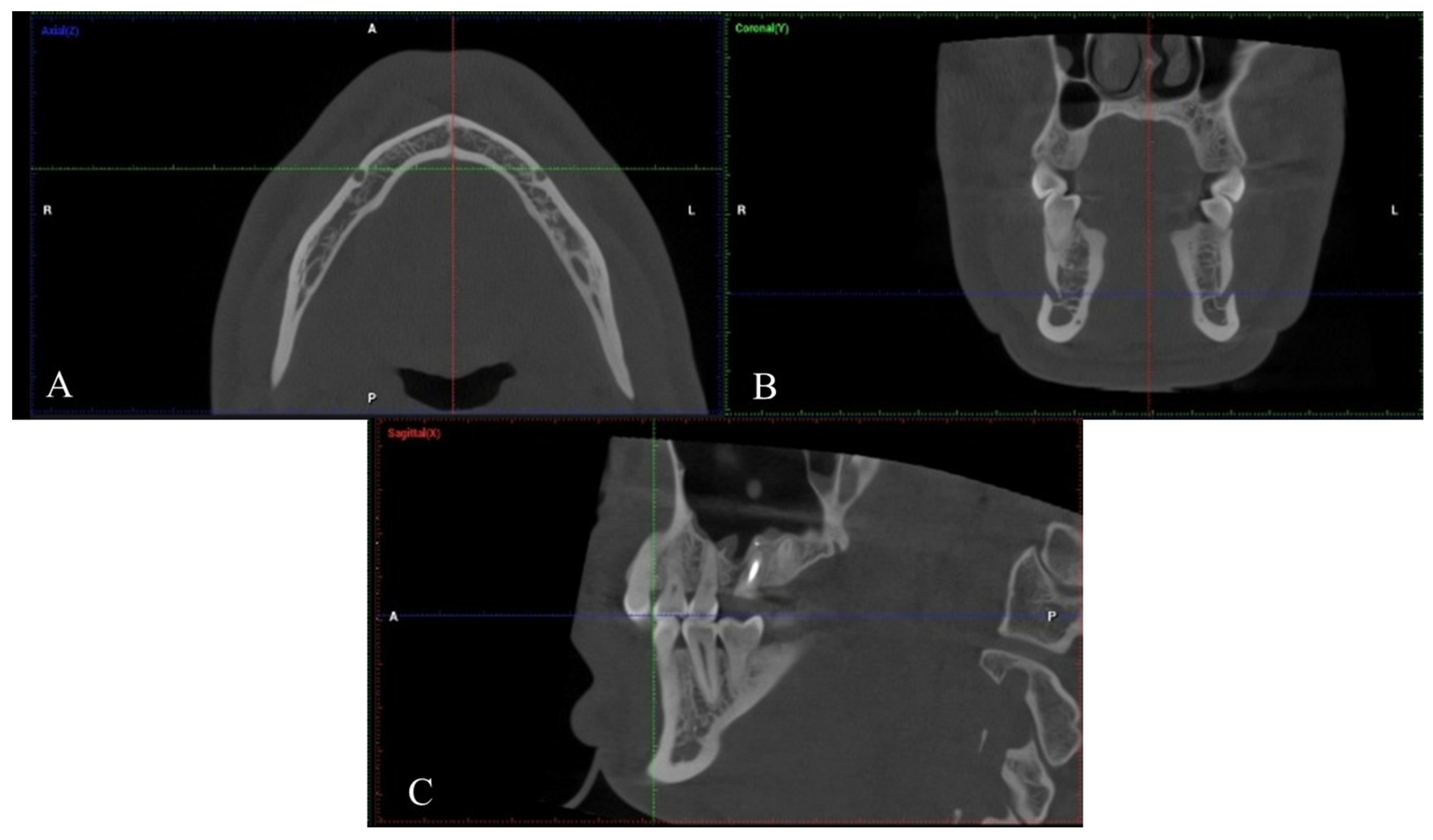
2. Materials and Methods
2.1. Statistical Analysis
2.2. Reproducibility Study
3. Results
4. Discussion
- The first null hypothesis was rejected due to significant differences in mean lateral steepness, width, and cortical bone thickness were observed across the MBS parameters.
- The second null hypothesis was rejected for the steepness and cortical bone thickness parameters, as significant differences were found between the right and left sides at the mesiobuccal cusp, buccal groove, and distobuccal cusp. However, it could not be rejected for MBS width, as no significant side-related differences were observed.
- Significant differences were noted between age groups specifically an increase in cortical bone thickness in the older group and a weak negative correlation at the distobuccal cusp and distal tangent of the mandibular second molars. However, these findings were site-specific and did not demonstrate a consistent pattern across all locations and parameters. Therefore, the third null hypothesis was partially rejected.
- The fourth null hypothesis was accepted for the MBS width, as no consistent sex-related differences were found. However, it was rejected for the MBS steepness and cortical bone thickness, which showed a trend toward higher values in males.
Limitations
5. Conclusions
Author Contributions
Funding
Institutional Review Board Statement
Informed Consent Statement
Data Availability Statement
Conflicts of Interest
Abbreviations
References
- Aleluia, R.B.; Duplat, C.B.; Crusoé-Rebello, I.; Neves, F.S. Assessment of the mandibular buccal shelf for orthodontic anchorage: Influence of side, gender and skeletal patterns. Orthod. Craniofac. Res. 2021, 24, 83–91. [Google Scholar] [CrossRef] [PubMed]
- Gandhi, V.; Upadhyay, M.; Tadinada, A.; Yadav, S. Variability associated with mandibular buccal shelf area width and height in subjects with different growth pattern, sex, and growth status. Am. J. Orthod. Dentofac. Orthop. 2021, 159, 59–70. [Google Scholar] [CrossRef] [PubMed]
- Nucera, R.; Giudice, A.L.; Bellocchio, A.M.; Spinuzza, P.; Caprioglio, A.; Perillo, L.; Matarese, G.; Cordasco, G. Bone and cortical bone thickness of mandibular buccal shelf for mini-screw insertion in adults. Angle Orthod. 2017, 87, 745–751. [Google Scholar] [CrossRef]
- Escobar-Correa, N.; Ramírez-Bustamante, M.A.; Sánchez-Uribe, L.A.; Upegui-Zea, J.C.; Vergara-Villarreal, P.; Ramírez-Ossa, D.M. Evaluation of mandibular buccal shelf characteristics in the colombian population: A cone-beam computed tomography study. Korean J. Orthod. 2021, 51, 23–31. [Google Scholar] [CrossRef]
- Liu, H.; Wu, X.; Tan, J.; Li, X. Safe regions of miniscrew implantation for distalization of mandibular dentition with CBCT. Prog. Orthod. 2019, 20, 45. [Google Scholar] [CrossRef]
- Sreenivasagan, S.; Sivakumar, A. CBCT comparison of buccal shelf bone thickness in adult Dravidian population at various sites, depths and angulation—A retrospective study. Int. Orthod. 2021, 19, 471–479. [Google Scholar] [CrossRef]
- Elshebiny, T.; Palomo, J.M.; Baumgaertel, S. Anatomic assessment of the mandibular buccal shelf for miniscrew insertion in white patients. Am. J. Orthod. Dentofac. Orthop. 2018, 153, 505–511. [Google Scholar] [CrossRef]
- Chang, C.; Liu, S.S.Y.; Roberts, W.E. Primary failure rate for 1680 extra-alveolar mandibular buccal shelf mini-screws placed in movable mucosa or attached gingiva. Angle Orthod. 2015, 85, 905–910. [Google Scholar] [CrossRef] [PubMed]
- Alharbi, F.; Almuzian, M.; Bearn, D. Miniscrews failure rate in orthodontics: Systematic review and meta-analysis. Eur. J. Orthod. 2018, 40, 519–530. [Google Scholar] [CrossRef]
- Nookala, H.; Sreenivasagan, S.; Sivakumar, A.; Kumar, A. Computed Tomographic Evaluation of Buccal Shelf Dimensions in South Indian Patients With Sagittal Skeletal Class III Malocclusion: A Retrospective Study. Cureus 2023, 15, e43883. [Google Scholar] [CrossRef]
- Matias, M.; Flores-Mir, C.; de Almeida, M.R.; da Silva Vieira, B.; de Freitas, K.M.S.; Nunes, D.C.; Ferreira, M.C.; Ursi, W. Miniscrew insertion sites of infrazygomatic crest and mandibular buccal shelf in different vertical craniofacial patterns: A cone-beam computed tomography study. Korean J. Orthod. 2021, 51, 387–396. [Google Scholar] [CrossRef]
- Bruggesser, S.; Stöckli, S.; Seehra, J.; Pandis, N. The reporting adherence of observational studies published in orthodontic journals in relation to STROBE guidelines: A meta-epidemiological assessment. Eur. J. Orthod. 2023, 45, 39–44. [Google Scholar]
- Oenning, A.C.; Jacobs, R.; Pauwels, R.; Stratis, A.; Hedesiu, M.; Salmon, B. Cone-beam CT in paediatric dentistry: DIMITRA project position statement. Pediatr. Radiol. 2018, 48, 308–316. [Google Scholar] [CrossRef]
- Fang, X.; Ding, H.; Fan, C.; Pang, L.; Xu, T.; Liu, J.; Jiang, C. Comparison of mandibular buccal shelf morphology between adolescents and adults with different vertical patterns using CBCT. Oral Radiol. 2024, 40, 58–68. [Google Scholar]
- Graham, J.; Özener, B. Fluctuating Asymmetry of Human Populations: A Review. Symmetry 2016, 8, 154. [Google Scholar] [CrossRef]
- Wang, Y.; Metoki, A.; Smith, D.V.; Medaglia, J.D.; Zang, Y.; Benear, S.; Popal, H.; Lin, Y.; Olson, I.R. Multimodal mapping of the face connectome. Nat. Hum. Behav. 2020, 4, 397–411. [Google Scholar] [CrossRef]
- Farnsworth, D.; Rossouw, P.E.; Ceen, R.F.; Buschang, P.H. Cortical bone thickness at common miniscrew implant placement sites. Am. J. Orthod Dentofac. Orthop. 2011, 139, 495–503. [Google Scholar]
- Koç, N.; Çağırankaya, L.B. Investigation of the determinants of the mandibular cortical morphology. Dent. Med. Probl. 2019, 56, 21–25. [Google Scholar] [CrossRef]
- Motoyoshi, M.; Yoshida, T.; Ono, A.; Shimizu, N. Effect of cortical bone thickness and implant placement torque on stability of orthodontic mini-implants. Int. J. Oral Maxillofac. Implants 2007, 22, 779–784. [Google Scholar]
- Baumgaertel, S.; Hans, M.G. Buccal cortical bone thickness for mini-implant placement. Am. J. Orthod. Dentofacial. Orthop. 2009, 136, 230–235. [Google Scholar]
- Baumgaertel, S. Predrilling of the implant site: Is it necessary for orthodontic mini-implants? Am. J. Orthod. Dentofac. Orthop. 2010, 137, 825–829. [Google Scholar] [CrossRef]
- Rossi, M.; Bruno, G.; De Stefani, A.; Perri, A.; Gracco, A. Quantitative CBCT evaluation of maxillary and mandibular cortical bone thickness and density variability for orthodontic miniplate placement. Int. Orthod. 2017, 15, 610–624. [Google Scholar] [CrossRef]
- Deguchi, T.; Nasu, M.; Murakami, K.; Yabuuchi, T.; Kamioka, H.; Takano-Yamamoto, T. Quantitative evaluation of cortical bone thickness with computed tomographic scanning for orthodontic implants. Am. J. Orthod. Dentofac. Orthop. 2006, 129, 721.e7–721.e12. [Google Scholar] [CrossRef]
- Greiser, A.; Christensen, J.; Fuglsig, J.M.; Johannsen, K.M.; Nixdorf, D.R.; Burzan, K.; Lauer, L.; Krueger, G.; Hayes, C.; Kettless, K.; et al. Dental-dedicated MRI, a novel approach for dentomaxillofacial diagnostic imaging: Technical specifications and feasibility. Dentomaxillofac. Radiol. 2024, 53, 74–85. [Google Scholar] [CrossRef] [PubMed]
- Ingle, N.A.; Alabsi, N.F.; Al-Hashimi, H.; Albuolayan, N.A.; Alburidy, F.; Alanazi, F.; Alhammad, A.T. The Use of Artificial Intelligence in Orthodontic Treatment Planning: A Systematic Review and Meta-analysis. Adv. Hum. Biol. 2025, 15, 158–166. [Google Scholar] [CrossRef]



| Tooth | N | Steepness (°) | N | Width (mm) | N | Cortical Bone Thickness (mm) | ||||||
|---|---|---|---|---|---|---|---|---|---|---|---|---|
| Mean (SD) | Max | Min | Mean (SD) | Max | Min | Mean (SD) | Max | Min | ||||
| 37MB | 90 | 44.6 (12.9) | 79.9 | 11.3 | 90 | 5.1 (2.3) | 2.4 | 1.8 | 90 | 6.1 (2.3) | 12.2 | 2.7 |
| 37BG | 90 | 35.6 (15.5) | 76.2 | −9.1 | 90 | 5.4 (1.3) | 8.7 | 2.4 | 90 | 5.8 (2.2) | 13.1 | 2.6 |
| 37DB | 84 | 23.5 (17.5) | 59.5 | −32.5 | 84 | 6.1 (1.1) | 8.7 | 3.5 | 84 | 5.2 (1.8) | 10.8 | 2.4 |
| 37DT | 66 | 14.9 (20.5) | 58 | −42.3 | 66 | 6.7 (1.3) | 10.2 | 4.1 | 66 | 5.1 (2.2) | 10.8 | 1.8 |
| 47MB | 90 | 47.9 (11) | 69.1 | 20 | 90 | 5.1 (1.2) | 7.7 | 1.8 | 90 | 7.1 (3.3) | 14.8 | 2.6 |
| 47BG | 90 | 39.1 (11.9) | 68.6 | 9.9 | 90 | 5.6 (1.2) | 8.1 | 2.7 | 90 | 6.4 (2.8) | 11.5 | 2.7 |
| 47DB | 85 | 28.4 (16.4) | 67.4 | −19 | 85 | 6.5 (2.6) | 9.3 | 3.6 | 85 | 5.6 (2.4) | 11.8 | 2.2 |
| 47DT | 70 | 16.2 (21.5) | 59.4 | −32.5 | 70 | 6.9 (1.2) | 10.5 | 4.2 | 70 | 5.3 (2.4) | 10.5 | 1.8 |
| Site | Steepness (°) | Width (mm) | Cortical Bone Thickness (mm) | |||
|---|---|---|---|---|---|---|
| Mean (SD) | p | Mean (SD) | p | Mean (SD) | p | |
| 37MB | 44.6 (12.9) | 0.016 | 5.1 (2.3) | 0.918 | 6.1 (2.3) | 0.001 |
| 47MB | 46.9 (11.0) | 5.1 (1.0) | 7.1 (3.3) | |||
| 37BG | 35.6 (15.5) | <0.001 | 5.4 (1.3) | 0.155 | 5.8 (2.2) | 0.012 |
| 47BG | 39.1 (11.9) | 5.6 (1.2) | 6.4 (2.8) | |||
| 37DB | 23.1 (17.6) | <0.001 | 6.1 (1.1) | 0.195 | 5.2 (1.7) | 0.004 |
| 47DB | 28.6 (16.7) | 6.5 (2.7) | 5.7 (2.4) | |||
| 37DT | 13.9 (20.5) | 0.052 | 6.8 (1.3) | 0.440 | 5.1 (2.3) | 0.261 |
| 47DT | 17.5 (21.3) | 6.9 (1.2) | 5.3 (2.5) | |||
| Tooth | Age Group | Steepness (°) | Width (mm) | Cortical Bone Thickness (mm) | |||
|---|---|---|---|---|---|---|---|
| Mean (SD) | p | Mean (SD) | p | Mean (SD) | p | ||
| 37MB | ≤22 | 42.3 (13.2) | 0.102 | 4.8 (1.1) | 0.086 | 6.1 (2.0) | 0.643 |
| >22 | 48.2 (12.7) | 4.7 (1.2) | 6.2 (2.3) | ||||
| 37BG | ≤22 | 36.7 (15.0) | 0.190 | 5.0 (1.0) | 0.690 | 6.3 (2.3) | 0.375 |
| >22 | 40.0 (15.1) | 5.3 (1.3) | 5.7 (2.0) | ||||
| 37DB | ≤22 | 25.1 (16.9) | 0.568 | 5.8 (1.1) | 0.166 | 6.0 (1.8) | 0.002 |
| >22 | 24.6 (18.1) | 6.1 (1.2) | 4.7 (1.7) | ||||
| 37DT | ≤22 | 16.2 (18.3) | 0.334 | 6.3 (1.1) | 0.014 | 6.0 (2.6) | 0.003 |
| >22 | 13.1 (21.6) | 7.0 (1.4) | 4.4 (1.8) | ||||
| 47MB | ≤22 | 46.2 (10.2) | 0.051 | 5.1 (1.1) | 0.444 | 7.8 (2.9) | 0.777 |
| >22 | 50.5 (11.4) | 4.9 (1.3) | 7.3 (3.8) | ||||
| 47BG | ≤22 | 39.3 (11.4) | 0.286 | 5.4 (1.1) | 0.927 | 7.5 (3.1) | 0.246 |
| >22 | 42.5 (13.2) | 5.4 (1.3) | 6.2 (2.8) | ||||
| 47DB | ≤22 | 29.5 (16.0) | 0.858 | 6.0 (0.9) | 0.286 | 6.9 (3.0) | 0.007 |
| >22 | 30.3 (17.6) | 6.7 (3.7) | 5.0 (1.8) | ||||
| 47DT | ≤22 | 19.2 (19.5) | 0.326 | 6.8 (1.0) | 0.665 | 6.3 (3.1) | 0.007 |
| >22 | 16.9 (22.4) | 6.8 (1.3) | 4.6 (1.6) | ||||
| Tooth | Steepness (°) | Width (mm) | Cortical Bone Thickness (mm) | |||
|---|---|---|---|---|---|---|
| Rho | p | Rho | p | Rho | p | |
| 37MB | 0.047 | 0.662 | −0.109 | 0.305 | −0.72 | 0.503 |
| 37BG | 0.053 | 0.618 | 0.078 | 0.468 | −0.101 | 0.343 |
| 37DB | −0.131 | 0.234 | 0.178 | 0.104 | −0.281 | 0.009 |
| 37DT | −0.152 | 0.223 | 0.279 | 0.023 | −0.373 | 0.002 |
| 47MB | 0.129 | 0.224 | −0.044 | 0.680 | −0.097 | 0.364 |
| 47BG | 0.075 | 0.484 | 0.062 | 0.564 | −0.129 | 0.226 |
| 47DB | −0.052 | 0.635 | 0.034 | 0.758 | −0.243 | 0.025 |
| 47DT | −0.159 | 0.186 | −0.010 | 0.934 | 0.219 | 0.066 |
| Tooth | Sex | Steepness (°) | Width (mm) | Cortical Thickness (mm) | |||
|---|---|---|---|---|---|---|---|
| Mean (SD) | p | Mean (SD) | p | Mean (SD) | p | ||
| 37MB | F | 42.1 (12.9) | 0.012 | 5.3 (2.7) | 0.302 | 5.5 (2.0) | <0.001 |
| M | 49.1 (11.7) | 4.7 (1.3) | 7.2 (2.4) | ||||
| 37BG | F | 33.2 (15.7) | 0.042 | 5.5 (1.2) | 0.724 | 5.3 (2.0) | 0.005 |
| M | 40.1 (13.8) | 5.4 (1.4) | 6.6 (2.2) | ||||
| 37DB | F | 21.0 (18.9) | 0.080 | 6.0 (1.2) | 0.417 | 4.9 (1.7) | 0.004 |
| M | 28.0 (13.7) | 6.2 (1.1) | 6.0 (1.6) | ||||
| 37DT | F | 13.6 (20.4) | 0.648 | 6.6 (1.0) | 0.250 | 4.8 (2.2) | 0.079 |
| M | 16.1 (21.3) | 7.0 (1.7) | 5.8 (2.1) | ||||
| 47MB | F | 45.6 (11.1) | 0.120 | 5.0 (1.1) | 0.180 | 6.7 (3.4) | 0.090 |
| M | 49.3 (10.6) | 5.3 (1.3) | 7.9 (2.9) | ||||
| 47BG | F | 37.7 (12.4) | 0.130 | 5.4 (1.2) | 0.061 | 6.1 (2.9) | 0.201 |
| M | 41.7 (10.5) | 5.9 (1.2) | 6.9 (2.5) | ||||
| 47DB | F | 26.1 (16.8) | 0.391 | 6.5 (3.1) | 0.631 | 5.3 (2.5) | 0.477 |
| M | 33.0 (14.7) | 6.5 (1.3) | 6.3 (2.0) | ||||
| 47DT | F | 14.8 (21.5) | 0.391 | 6.9 (1.2) | 0.631 | 5.1 (2.6) | 0.477 |
| M | 29.5 (21.4) | 7.0 (1.4) | 5.76 (2.0) | ||||
Disclaimer/Publisher’s Note: The statements, opinions and data contained in all publications are solely those of the individual author(s) and contributor(s) and not of MDPI and/or the editor(s). MDPI and/or the editor(s) disclaim responsibility for any injury to people or property resulting from any ideas, methods, instructions or products referred to in the content. |
© 2026 by the authors. Licensee MDPI, Basel, Switzerland. This article is an open access article distributed under the terms and conditions of the Creative Commons Attribution (CC BY) license.
Share and Cite
Borga, J.; Bugaighis, I.; Proença, L.; Pereira, F.D.; Costa, H.N.; Pereira, P.M. 3D Assessment of Mandibular Buccal Shelf Geometry for Optimal Micro-Implant Placement Site in Portuguese Individuals: A Retrospective Cone-Beam Computed Tomography Study. Appl. Sci. 2026, 16, 2631. https://doi.org/10.3390/app16062631
Borga J, Bugaighis I, Proença L, Pereira FD, Costa HN, Pereira PM. 3D Assessment of Mandibular Buccal Shelf Geometry for Optimal Micro-Implant Placement Site in Portuguese Individuals: A Retrospective Cone-Beam Computed Tomography Study. Applied Sciences. 2026; 16(6):2631. https://doi.org/10.3390/app16062631
Chicago/Turabian StyleBorga, Joana, Iman Bugaighis, Luis Proença, François Durand Pereira, Helder Nunes Costa, and Pedro Mariano Pereira. 2026. "3D Assessment of Mandibular Buccal Shelf Geometry for Optimal Micro-Implant Placement Site in Portuguese Individuals: A Retrospective Cone-Beam Computed Tomography Study" Applied Sciences 16, no. 6: 2631. https://doi.org/10.3390/app16062631
APA StyleBorga, J., Bugaighis, I., Proença, L., Pereira, F. D., Costa, H. N., & Pereira, P. M. (2026). 3D Assessment of Mandibular Buccal Shelf Geometry for Optimal Micro-Implant Placement Site in Portuguese Individuals: A Retrospective Cone-Beam Computed Tomography Study. Applied Sciences, 16(6), 2631. https://doi.org/10.3390/app16062631

