Advances in Noninvasive Imaging for Hypertensive Kidney Disease: Ultrasound and Elastography Insights
Abstract
1. Introduction
2. Methods
3. Standard Ultrasound Examination
3.1. Two-Dimensional Renal Ultrasound
3.1.1. Examination Technique
3.1.2. Renal Length
3.1.3. Cortical and Parenchymal Thickness
3.1.4. Echogenicity
| Guidelines | RAR | PSV | RRI | Kidney Size Difference |
|---|---|---|---|---|
| The Japanese Society of Hypertension Guidelines for the Management of Hypertension, 2019 [29] | >3.5 | >180–200 | - | - |
| Hypertension Canada’s Comprehensive Guidelines for the Prevention, Diagnosis, Risk Assessment, and Treatment of Hypertension in Adults and Children, 2020 [30] | - | - | - | >1.5 |
| AHA/ACC Guideline for the Prevention, Detection, Evaluation and Management of High Blood Pressure in Adults, 2025 [31] | - | - | - | - |
| ESC Guidelines for the management of elevated blood pressure and hypertension, 2024 [32] | >3.5 | >200 | >0.05 difference between kidneys | >0.5 |
| ESH Guidelines for the Management of Arterial Hypertension, 2023 [33] | - | - | >0.7 | - |
| 2017 ESC Guidelines on the Diagnosis and Treatment of Peripheral Arterial Diseases [34] | - | - | <0.6 and >0.7 | - |
| ACC/AHA 2005 Practice Guidelines for the Management of Patients with Peripheral Arterial Disease [35] | >3.5 | >180–200 | >0.15 difference between kidneys | - |
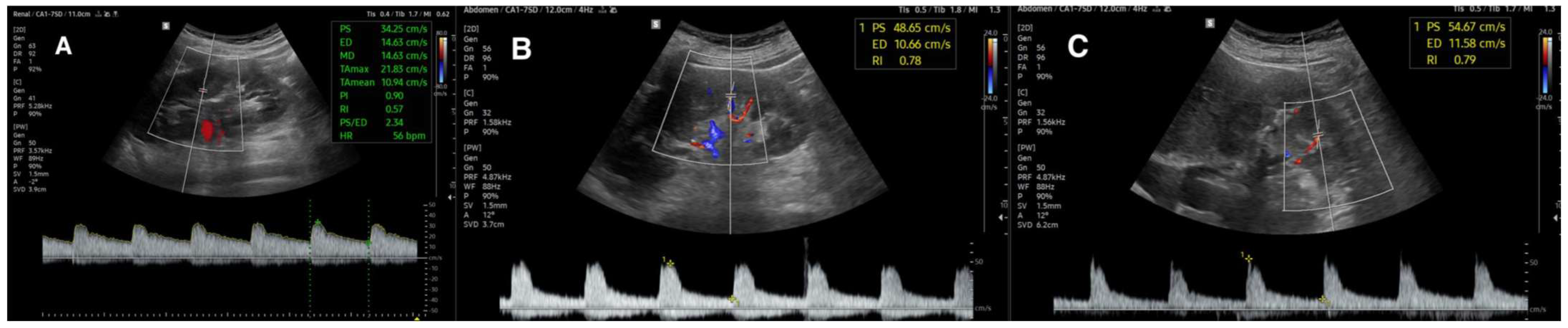
3.2. Renal Flow Parameters
3.2.1. Renal Resistive Index
| Author | Values | Associated Factor |
|---|---|---|
| Carollo C, 2025 [52] | >0.66 | Foveolar vascular density decrease in hypertensive patients |
| Geraci G, 2025 [51] | >0.67 and >0.65 | High risk score in Framingham risk scale and Atherosclerotic Cardiovascular Disease risk scale |
| Cianci R, 2023 [56] | > 0.75 | Renal function worsening after percutaneous transluminal renal angioplasty |
| Kotruchin P, 2019 [48] | >0.8 | Higher cardiovascular events rate in intensively hypotensive treated patients |
| Miyoshi K, 2017 [45] | >0.71 | Predictor of microalbuminuria |
| Gaipov A, 2016 [57] | - | RRI as independent predictor of decreased renal functional reserve |
| Berni A, 2012 [47] | >= 0.70 | Positive correlation with high-sensitive C-reactive protein in hypertensive patients |
3.2.2. Peak Systolic Velocity and Renal–Aortic Ratio
3.2.3. Acceleration Time and Acceleration Index
4. Shear-Wave Elastography
4.1. SWE in CKD
4.2. Limitations
4.2.1. Inter-Device Variability
4.2.2. Depth of Acquisition
4.2.3. Renal Structure
4.2.4. Operator Dependence and Standardization
4.2.5. Clinical Implications
5. Gaps in Evidence
5.1. Lack of Disease-Specific Diagnostic Criteria
5.2. Validation
5.3. Variability
5.4. Heterogeneity of Study Populations
5.5. Clinical Impact
6. Conclusions
Author Contributions
Funding
Institutional Review Board Statement
Informed Consent Statement
Data Availability Statement
Acknowledgments
Conflicts of Interest
Abbreviations
| AT | acceleration time |
| CEUS | contrast-enhanced ultrasound |
| CKD | chronic kidney disease |
| DUS | Doppler ultrasound |
| eGFR | estimated glomerular filtration rate |
| ESKD | end-stage kidney disease |
| HKD | hypertensive kidney disease |
| KRT | kidney replacement therapy |
| PSV | peak systolic velocity |
| RAR | renal–aortic ratio |
| RSR | renal–segmental ratio |
| RIR | renal–interlobar ratio |
| RRI | renal resistive index |
| RRR | renal to renal ratio |
| SWE | shear-wave elastography |
References
- ERA Registry. ERA Registry Annual Report 2022; European Renal Association: Amsterdam, The Netherlands, 2024. [Google Scholar]
- Burrows, N.R.; Koyama, A.; Pavkov, M.E. Reported Cases of End-Stage Kidney Disease—United States, 2000–2019. MMWR Morb. Mortal. Wkly. Rep. 2022, 71, 412–415. [Google Scholar] [CrossRef]
- Schlessinger, S.D.; Tankersley, M.R.; Curtis, J.J. Clinical documentation of end-stage renal disease due to hypertension. Am. J. Kidney Dis. 1994, 23, 655–660. [Google Scholar] [CrossRef] [PubMed]
- Tomasz Stompór, A.P.-P. Hypertensive kidney disease: A true epidemic or rare disease? Pol. Arch. Intern. Med. 2020, 130, 130–139. [Google Scholar] [CrossRef]
- Zarif, L.; Covic, A.; Iyengar, S.; Sehgal, A.R.; Sedor, J.R.; Schelling, J.R. Inaccuracy of clinical phenotyping parameters for hypertensive nephrosclerosis. Nephrol. Dial. Transplant. 2000, 15, 1801–1807. [Google Scholar] [CrossRef]
- Carriazo, S.; Perez-Gomez, M.V.; Ortiz, A. Hypertensive nephropathy: A major roadblock hindering the advance of precision nephrology. Clin. Kidney J. 2020, 13, 504–509. [Google Scholar] [CrossRef]
- Delure, C.; Speeckaert, M.M. Beyond Blood Pressure: Emerging Pathways and Precision Approaches in Hypertension-Induced Kidney Damage. Int. J. Mol. Sci. 2025, 26, 7606. [Google Scholar] [CrossRef] [PubMed]
- Janki, S.; Kimenai, H.J.A.N.; Dijkshoorn, M.L.; Looman, C.W.N.; Dwarkasing, R.S.; IJzermans, J.N.M. Validation of Ultrasonographic Kidney Volume Measurements: A Reliable Imaging Modality. Exp. Clin. Transplant. 2018, 16, 16–22. [Google Scholar]
- Hansen, K.L.; Nielsen, M.B.; Ewertsen, C. Ultrasonography of the Kidney: A Pictorial Review. Diagnostics 2015, 6, 2. [Google Scholar] [CrossRef]
- Emamian, S.A.; Nielsen, M.B.; Pedersen, J.F.; Ytte, L. Kidney dimensions at sonography: Correlation with age, sex, and habitus in 665 adult volunteers. AJR Am. J. Roentgenol. 1993, 160, 83–86. [Google Scholar] [CrossRef]
- Terreros, P.; Alberton, V.; Heguilen, R.; Lococo, B.; Martinez, J.; Sanchez, M.; Flores, A.; Chidid, I.; Loor, A.; Burna, L.; et al. WCN24-1079 Kidneys Sizen by Ultrasound: Correlation Between Anthropometric, Renal Sclerosis and Glomerular Filtration Rate. Kidney Int. Rep. 2024, 9, S257–S258. [Google Scholar] [CrossRef]
- Tiryaki, S.; Aksu, Y. Ultrasonographic Evaluation of Normal Liver, Spleen, and Kidney Dimensions in a Healthy Turkish Community of over 18 Years Old. Curr. Med. Imaging 2023, 20, e220523217203. [Google Scholar] [CrossRef]
- Bhardwaj, S.; Singh, A.; Kaur, R.; D’cRuz, S. Kidney Dimensions and its Correlation with Anthropometric Parameters in Healthy North Indian Adults. Indian J. Nephrol. 2024, 34, 636–642. [Google Scholar] [CrossRef] [PubMed]
- El-Reshaid, W.; Abdul-Fattah, H. Sonographic assessment of renal size in healthy adults. Med. Princ. Pract. 2014, 23, 432–436. [Google Scholar] [CrossRef]
- McLachlan, M.; Wasserman, P. Changes in sizes and distensibility of the aging kidney. Br. J. Radiol. 1981, 54, 488–491. [Google Scholar] [CrossRef]
- Buchholz, N.P.; Abbas, F.; Biyabani, S.R.; Afzal, M.; Javed, Q.; Rizvi, I.; Talati, J. Ultrasonographic renal size in individuals without known renal disease. J. Pak. Med. Assoc. 2000, 50, 12–16. [Google Scholar]
- Gigante, A.; Perrotta, A.M.; De Marco, O.; Rosato, E.; Lai, S.; Cianci, R. Sonographic evaluation of hypertension: Role of atrophic index and renal resistive index. J. Clin. Hypertens. 2022, 24, 955–957. [Google Scholar] [CrossRef]
- Artyszuk, Ł.; Symonides, B.; Gaciong, Z.; Cienszkowska, K.; Ludwiczak, M.; Wrzaszczyk, M.; Szmigielski, C.A. A new threshold for kidney asymmetry improves association with abnormal renal-aortic ratio for diagnosis of renal artery stenosis. Vasc. Med. 2022, 27, 551–556. [Google Scholar] [CrossRef]
- Safian, R.D.; Textor, S.C. Renal-artery stenosis. N. Engl. J. Med. 2001, 344, 431–442. [Google Scholar] [CrossRef] [PubMed]
- Bommart, S.; Cliche, A.; Therasse, E.; Giroux, M.-F.; Vidal, V.; Oliva, V.L.; Soulez, G. Renal artery revascularization: Predictive value of kidney length and volume weighted by resistive index. AJR Am. J. Roentgenol. 2010, 194, 1365–1372. [Google Scholar] [CrossRef]
- O’Neill, W.C. Renal relevant radiology: Use of ultrasound in kidney disease and nephrology procedures. Clin. J. Am. Soc. Nephrol. 2014, 9, 373–381. [Google Scholar] [CrossRef] [PubMed]
- Mythreesha, S.K.; Divya, G.A.; Panchami, P. Correlation of Chronic Kidney Disease with USG Features like Cortical Echogenicity and Echotexture in Patients with Hypertension. Eur. J. Cardiovasc. Med. 2025, 15, 153–156. [Google Scholar]
- Mounier-Vehier, C.; Lions, C.; Devos, P.; Jaboureck, O.; Willoteaux, S.; Carre, A.; Beregi, J.-P. Cortical thickness: An early morphological marker of atherosclerotic renal disease. Kidney Int. 2002, 61, 591–598. [Google Scholar] [CrossRef] [PubMed]
- Siddappa, J.K.; Singla, S.; Al Ameen, M.; Rakshith, S.; Kumar, N. Correlation of ultrasonographic parameters with serum creatinine in chronic kidney disease. J. Clin. Imaging Sci. 2013, 3, 28. [Google Scholar] [CrossRef] [PubMed]
- Ahmed, S.; Bughio, S.; Hassan, M.; Lal, S.; Ali, M. Role of Ultrasound in the Diagnosis of Chronic Kidney Disease and its Correlation with Serum Creatinine Level. Cureus 2019, 11, e4241. [Google Scholar] [CrossRef]
- Gupta, P.K.; Kunwar, L.; Bc, B.; Gupta, A. Correlation of Ultrasonographic Parameters with Serum Creatinine and Estimated Glomerular Filtration Rate in Patients with Echogenic Kidneys. J. Nepal Health Res. Counc. 2020, 18, 495–499. [Google Scholar] [CrossRef]
- Nwafor, N.; Adeyekun, A.; Adenike, O. Sonographic evaluation of renal parameters in individuals with essential hypertension and correlation with normotensives. Niger. J. Clin. Pract. 2018, 21, 578–584. [Google Scholar] [CrossRef]
- Njoku, G.; Shem, L.; Abba, M.; Bature, S.; Sidi, M.; Emmanuel, R.I.; Umar, M.; Joseph, D.; Yusuf, A.; Ohagwu, C.; et al. Sonographic Renal Dimension in Patients with Essential Hypertension in Abubakar Tafawa Balewa University Teaching Hospital, Bauchi, Nigeria. J. Appl. Health Sci. 2020, 6, 41–48. [Google Scholar] [CrossRef]
- Umemura, S.; Arima, H.; Arima, S.; Asayama, K.; Dohi, Y.; Hirooka, Y.; Horio, T.; Hoshide, S.; Ikeda, S.; Ishimitsu, T.; et al. The Japanese Society of Hypertension Guidelines for the Management of Hypertension (JSH 2019). Hypertens. Res. 2019, 42, 1235–1481. [Google Scholar] [CrossRef]
- Rabi, D.M.; McBrien, K.A.; Sapir-Pichhadze, R.; Nakhla, M.; Ahmed, S.B.; Dumanski, S.M.; Butalia, S.; Leung, A.A.; Harris, K.C.; Cloutier, L.; et al. Hypertension Canada’s 2020 Comprehensive Guidelines for the Prevention, Diagnosis, Risk Assessment, and Treatment of Hypertension in Adults and Children. Can. J. Cardiol. 2020, 36, 596–624. [Google Scholar] [CrossRef]
- Writing Committee Members; Jones, D.W.; Ferdinand, K.C.; Taler, S.J.; Johnson, H.M.; Shimbo, D.; Abdalla, M.; Altieri, M.M.; Bansal, N.; Bello, N.A.; et al. 2025 AHA/ACC/AANP/AAPA/ABC/ACCP/ACPM/AGS/AMA/ASPC/NMA/PCNA/SGIM Guideline for the Prevention, Detection, Evaluation and Management of High Blood Pressure in Adults: A Report of the American College of Cardiology/American Heart Association Joint Committee on Clinical Practice Guidelines. Hypertension 2025, 82, e212–e316. [Google Scholar]
- McEvoy, J.W.; McCarthy, C.P.; Bruno, R.M.; Brouwers, S.; Canavan, M.D.; Ceconi, C.; Christodorescu, R.M.; Daskalopoulou, S.S.; Ferro, C.J.; Gerdts, E.; et al. 2024 ESC Guidelines for the management of elevated blood pressure and hypertension. Eur. Heart J. 2024, 45, 3912–4018. [Google Scholar] [CrossRef]
- Mancia, G.; Kreutz, R.; Brunström, M.; Burnier, M.; Grassi, G.; Januszewicz, A.; Muiesan, M.L.; Tsioufis, K.; Agabiti-Rosei, E.; Algharably, E.A.E.; et al. 2023 ESH Guidelines for the management of arterial hypertension the Task Force for the management of arterial hypertension of the European Society of Hypertension: Endorsed by the International Society of Hypertension (ISH) and the European Renal Association (ERA). J. Hypertens. 2023, 41, 1874–2071. [Google Scholar]
- Aboyans, V.; Ricco, J.B.; Bartelink, M.E.L.; Bjorck, M.; Brodmann, M.; Cohnert, T.; Collet, J.-P.; Czerny, M.; De Carlo, M.; Debus, S.; et al. 2017 ESC Guidelines on the Diagnosis and Treatment of Peripheral Arterial Diseases, in collaboration with the European Society for Vascular Surgery (ESVS): Document covering atherosclerotic disease of extracranial carotid and vertebral, mesenteric, renal, upper and lower extremity arteriesEndorsed by: The European Stroke Organization (ESO)The Task Force for the Diagnosis and Treatment of Peripheral Arterial Diseases of the European Society of Cardiology (ESC) and of the European Society for Vascular Surgery (ESVS). Eur. Heart J. 2018, 39, 763–816. [Google Scholar]
- Hirsch, A.T.; Haskal, Z.J.; Hertzer, N.R.; Bakal, C.W.; Creager, M.A.; Halperin, J.L.; Hiratzka, L.F.; Murphy, W.R.C.; Olin, J.W.; Puschett, J.B.; et al. ACC/AHA 2005 Practice Guidelines for the management of patients with peripheral arterial disease (lower extremity, renal, mesenteric, and abdominal aortic): A collaborative report from the American Association for Vascular Surgery/Society for Vascular Surgery, Society for Cardiovascular Angiography and Interventions, Society for Vascular Medicine and Biology, Society of Interventional Radiology, and the ACC/AHA Task Force on Practice Guidelines (Writing Committee to Develop Guidelines for the Management of Patients with Peripheral Arterial Disease): Endorsed by the American Association of Cardiovascular and Pulmonary Rehabilitation; National Heart, Lung, and Blood Institute; Society for Vascular Nursing; TransAtlantic Inter-Society Consensus; and Vascular Disease Foundation. Circulation 2006, 113, e463–e654. [Google Scholar] [PubMed]
- Darabont, R.; Mihalcea, D.; Vinereanu, D. Current Insights into the Significance of the Renal Resistive Index in Kidney and Cardiovascular Disease. Diagnostics 2023, 13, 1687. [Google Scholar] [CrossRef] [PubMed]
- Zeller, T.; Bonvini, R.F.; Sixt, S. Color-coded duplex ultrasound for diagnosis of renal artery stenosis and as follow-up examination after revascularization. Catheter. Cardiovasc. Interv. 2008, 71, 995–999. [Google Scholar] [CrossRef] [PubMed]
- Gao, J.; Hentel, K.; Zhu, Q.; Ma, T.; Shih, G.; Mennitt, K.; Min, R. Doppler angle correction in the measurement of intrarenal parameters. Int. J. Nephrol. Renov. Dis. 2011, 4, 49–55. [Google Scholar] [CrossRef]
- Renberg, M.; Kilhamn, N.; Lund, K.; Hertzberg, D.; Rimes-Stigare, C.; Bell, M. Feasibility of renal resistive index measurements performed by an intermediate and novice sonographer in a volunteer population. Ultrasound J. 2020, 12, 28. [Google Scholar] [CrossRef]
- Ponte, B.; Pruijm, M.; Ackermann, D.; Vuistiner, P.; Eisenberger, U.; Guessous, I.; Rousson, V.; Mohaupt, M.G.; Alwan, H.; Ehret, G.; et al. Reference values and factors associated with renal resistive index in a family-based population study. Hypertension 2014, 63, 136–142. [Google Scholar] [CrossRef]
- Jaques, D.A.; Pruijm, M.; Ackermann, D.; Vogt, B.; Guessous, I.; Burnier, M.; Pechere-Bertschi, A.; Bochud, M.; Ponte, B. Sodium Intake Is Associated with Renal Resistive Index in an Adult Population-Based Study. Hypertension 2020, 76, 1898–1905. [Google Scholar] [CrossRef]
- Andrikou, I.; Tsioufis, C.; Konstantinidis, D.; Kasiakogias, A.; Dimitriadis, K.; Leontsinis, I.; Andrikou, E.; Sanidas, E.; Kallikazaros, I.; Tousoulis, D. Renal resistive index in hypertensive patients. J. Clin. Hypertens. 2018, 20, 1739–1744. [Google Scholar] [CrossRef]
- Ghafori, M.; Rashedi, A.; Montazeri, M.; Amirkhanlou, S. The Relationship Between Renal Arterial Resistive Index (RRI) and Renal Outcomes in Patients with Resistant Hypertension. Iran. J. Kidney Dis. 2020, 14, 448–453. [Google Scholar] [PubMed]
- Toledo, C.; Thomas, G.; Schold, J.D.; Arrigain, S.; Gornik, H.L.; Nally, J.V.; Navaneethan, S.D. Renal resistive index and mortality in chronic kidney disease. Hypertension 2015, 66, 382–388. [Google Scholar] [CrossRef]
- Miyoshi, K.; Okura, T.; Tanino, A.; Kukida, M.; Nagao, T.; Higaki, J. Usefulness of the renal resistive index to predict an increase in urinary albumin excretion in patients with essential hypertension. J. Hum. Hypertens. 2017, 31, 66–69. [Google Scholar] [CrossRef] [PubMed]
- Hitsumoto, T. Correlation Between the Cardio-Ankle Vascular Index and Renal Resistive Index in Patients with Essential Hypertension. Cardiol. Res. 2020, 11, 106–112. [Google Scholar] [CrossRef]
- Berni, A.; Ciani, E.; Bernetti, M.; Cecioni, I.; Berardino, S.; Poggesi, L.; Abbate, R.; Boddi, M. Renal resistive index and low-grade inflammation in patients with essential hypertension. J. Hum. Hypertens. 2012, 26, 723–730. [Google Scholar] [CrossRef]
- Kotruchin, P.; Hoshide, S.; Ueno, H.; Komori, T.; Kario, K. Lower Systolic Blood Pressure and Cardiovascular Event Risk Stratified by Renal Resistive Index in Hospitalized Cardiovascular Patients: J-VAS Study. Am. J. Hypertens. 2019, 32, 365–374. [Google Scholar] [CrossRef]
- Radermacher, J.; Chavan, A.; Bleck, J.; Vitzthum, A.; Stoess, B.; Gebel, M.J.; Galanski, M.; Koch, K.M.; Haller, H. Use of Doppler ultrasonography to predict the outcome of therapy for renal-artery stenosis. N. Engl. J. Med. 2001, 344, 410–417. [Google Scholar] [CrossRef]
- Sveceny, J.; Charvat, J.; Hrach, K.; Horackova, M.; Schuck, O. In essential hypertension, a change in the renal resistive index is associated with a change in the ratio of 24-hour diastolic to systolic blood pressure. Physiol. Res. 2022, 71, 341–348. [Google Scholar] [CrossRef]
- Geraci, G.; Sorce, A.; Zanoli, L.; Calabrese, V.; Cuttone, G.; Mattina, A.; Ferrara, P.; Dominguez, L.J.; Polosa, R.; Mulè, G.; et al. Renal Resistive Index and 10-Year Risk of Cardiovascular Disease Predicted by Framingham Risk Score and Pooled Cohort Equations: An Observational Study in Hypertensive Individuals Without Cardiovascular Disease. High Blood Press. Cardiovasc. Prev. 2025, 32, 311–322. [Google Scholar] [CrossRef] [PubMed]
- Carollo, C.; Vadalà, M.; Sorce, A.; Sinatra, N.; Orlando, E.; Cirafici, E.; Bennici, M.; Polosa, R.; Bonfiglio, V.M.E.; Mulè, G.; et al. Relationship Between Renal Resistive Index and Retinal Vascular Density in Individuals with Hypertension. Biomedicines 2025, 13, 312. [Google Scholar] [CrossRef] [PubMed]
- Mazzolai, L.; Teixido-Tura, G.; Lanzi, S.; Boc, V.; Bossone, E.; Brodmann, M.; Bura-Rivière, A.; De Backer, J.; Deglise, S.; Corte, A.D.; et al. 2024 ESC Guidelines for the management of peripheral arterial and aortic diseases. Eur. Heart J. 2024, 45, 3538–3700. [Google Scholar] [CrossRef]
- Chang, Y.; Li, Y.; Duan, X.; Lv, N.; Meng, Y.; Zhou, F.; Chen, L.; Zhang, H.; Zhang, Y.; Li, J. Assessment of renal artery stenosis using renal fractional flow reserve and correlation with angiography and color Doppler ultrasonography: Data from FAIR-pilot trial. Hypertens. Res. 2025, 48, 702–709. [Google Scholar] [CrossRef]
- Kadziela, J.; Witkowski, A.; Januszewicz, A.; Cedro, K.; Michałowska, I.; Januszewicz, M.; Kabat, M.; Prejbisz, A.; Kalińczuk, Ł.; Zieleń, P.; et al. Assessment of renal artery stenosis using both resting pressures ratio and fractional flow reserve: Relationship to angiography and ultrasonography. Blood Press. 2011, 20, 211–217. [Google Scholar] [CrossRef]
- Simeoni, M.; Cianci, R.; Gigante, A.; Perrotta, A.M.; Ronchey, S.; Mangialardi, N.; Schioppa, A.; De Marco, O.; Cianci, E.; Barbati, C.; et al. Renal Stem Cells, Renal Resistive Index, and Neutrophil Gelatinase Associated Lipocalin Changes After Revascularization in Patients with Renovascular Hypertension and Ischemic Nephropathy. Curr. Pharm. Des. 2023, 29, 133–138. [Google Scholar] [CrossRef]
- Gaipov, A.; Solak, Y.; Zhampeissov, N.; Dzholdasbekova, A.; Popova, N.; Molnar, M.Z.; Tuganbekova, S.; Iskandirova, E. Renal functional reserve and renal hemodynamics in hypertensive patients. Ren. Fail. 2016, 38, 1391–1397. [Google Scholar] [CrossRef]
- Hoffmann, U.; Edwards, J.M.; Carter, S.; Goldman, M.L.; Harley, J.D.; Zaccardi, M.J.; Strandness, D.E. Role of duplex scanning for the detection of atherosclerotic renal artery disease. Kidney Int. 1991, 39, 1232–1239. [Google Scholar] [CrossRef] [PubMed]
- Granata, A.; Fiorini, F.; Andrulli, S.; Logias, F.; Gallieni, M.; Romano, G.; Sicurezza, E.; Fiore, C. Doppler ultrasound and renal artery stenosis: An overview. J. Ultrasound 2009, 12, 133–143. [Google Scholar] [CrossRef] [PubMed]
- Li, J.C.; Jiang, Y.X.; Zhang, S.Y.; Wang, L.; Ouyang, Y.S.; Qi, Z.H. Evaluation of renal artery stenosis with hemodynamic parameters of Doppler sonography. J. Vasc. Surg. 2008, 48, 323–328. [Google Scholar] [CrossRef]
- Zhang, Y.; Wang, Y.; Ma, N.; Li, Y.; Li, Y.; Ren, J. Application of simple ultrasound Doppler hemodynamic parameters in the diagnosis of severe renal artery stenosis in routine clinical practice. Quant. Imaging Med. Surg. 2023, 13, 8042–8052. [Google Scholar] [CrossRef]
- Shivgulam, M.E.; Liu, H.; Kivell, M.J.; MacLeod, J.R.; O’BRien, M.W. Effectiveness of contrast-enhanced duplex ultrasound for detecting renal artery stenosis: A systematic review. J. Clin. Ultrasound 2024, 52, 763–772. [Google Scholar] [CrossRef] [PubMed]
- Burdick, L.; Airoldi, F.; Marana, I.; Giussani, M.; Alberti, C.; Cianci, M.; Lovaria, A.; Saccheri, S.; Gazzano, G.; Morganti, A. Superiority of acceleration and acceleration time over pulsatility and resistance indices as screening tests for renal artery stenosis. J. Hypertens. 1996, 14, 1229–1235. [Google Scholar] [CrossRef]
- House, M.K.; Dowling, R.J.; King, P.; Gibson, R.N. Using Doppler sonography to reveal renal artery stenosis: An evaluation of optimal imaging parameters. AJR Am. J. Roentgenol. 1999, 173, 761–765. [Google Scholar] [CrossRef]
- Williams, G.J.; Macaskill, P.; Chan, S.F.; Karplus, T.E.; Yung, W.; Hodson, E.M.; Craig, J.C. Comparative accuracy of renal duplex sonographic parameters in the diagnosis of renal artery stenosis: Paired and unpaired analysis. AJR Am. J. Roentgenol. 2007, 188, 798–811. [Google Scholar] [CrossRef]
- Palatresi, S.; Longari, V.; Airoldi, F.; Benti, R.; Nador, B.; Bencini, C.; Lovaria, A.; Del Vecchio, C.; Nicolini, A.; Voltini, F.; et al. Usefulness and limits of distal echo-Doppler velocimetric indices for assessing renal hemodynamics in stenotic and non-stenotic kidneys. J. Hypertens. 2001, 19, 1489–1496. [Google Scholar] [CrossRef]
- Sigrist, R.M.S.; Liau, J.; Kaffas, A.E.; Chammas, M.C.; Willmann, J.K. Ultrasound Elastography: Review of Techniques and Clinical Applications. Theranostics 2017, 7, 1303–1329. [Google Scholar] [CrossRef]
- Ng, K.H.; Wong, J.H.D.; Leong, S.S. Shear wave elastography in chronic kidney disease—The physics and clinical application. Phys. Eng. Sci. Med. 2024, 47, 17–29. [Google Scholar] [CrossRef]
- Leong, S.S.; Wong, J.H.D.; Shah, M.N.M.; Vijayananthan, A.; Jalalonmuhali, M.; Ng, K.H. Shear wave elastography in the evaluation of renal parenchymal stiffness in patients with chronic kidney disease. Br. J. Radiol. 2018, 91, 20180235. [Google Scholar] [CrossRef]
- Hu, Q.; Wang, X.Y.; He, H.G.; Wei, H.M.; Kang, L.K.; Qin, G.C. Acoustic radiation force impulse imaging for non-invasive assessment of renal histopathology in chronic kidney disease. PLoS ONE 2014, 9, e115051. [Google Scholar] [CrossRef] [PubMed]
- Kula, S.; Haliloglu, N. Comparison of Shear Wave Elastography Measurements in Chronic Kidney Disease Patients and Healthy Volunteers. J. Clin. Ultrasound 2025, 53, 778–784. [Google Scholar] [CrossRef] [PubMed]
- Wang, J.; Zhang, F.; Ma, Y.; Ju, H.; Zhang, Y.; Wang, Y. The application of shear wave quantitative ultrasound elastography in chronic kidney disease. Technol. Health Care 2024, 32, 2951–2964. [Google Scholar] [CrossRef]
- Singh, H.; Panta, O.B.; Khanal, U.; Ghimire, R.K. Renal Cortical Elastography: Normal Values and Variations. J. Med. Ultrasound 2017, 25, 215–220. [Google Scholar] [CrossRef]
- Guo, L.H.; Xu, H.X.; Fu, H.J.; Peng, A.; Zhang, Y.F.; Liu, L.N. Acoustic radiation force impulse imaging for noninvasive evaluation of renal parenchyma elasticity: Preliminary findings. PLoS ONE 2013, 8, e68925. [Google Scholar] [CrossRef]
- Dai, M.; Wang, L.; Luo, J. Application of shear wave elastography in the assessment of renal cortical elasticity in patients with hypertension. Front. Med. 2025, 12, 1624558. [Google Scholar] [CrossRef]
- Hassan, K.; Loberant, N.; Abbas, N.; Fadi, H.; Shadia, H.; Khazim, K. Shear wave elastography imaging for assessing the chronic pathologic changes in advanced diabetic kidney disease. Ther. Clin. Risk Manag. 2016, 12, 1615–1622. [Google Scholar] [CrossRef]
- Jiang, C.; Zang, S.; Gao, Q.; Zhao, M.; Chen, S. Shear-Wave Elastography Improves Diagnostic Accuracy in Chronic Kidney Disease Compared to Conventional Ultrasound. J. Clin. Ultrasound 2025, 53, 413–420. [Google Scholar] [CrossRef] [PubMed]
- Mo, X.L.; Meng, H.Y.; Wu, Y.Y.; Wei, X.Y.; Li, Z.K.; Yang, S.Q. Shear Wave Elastography in the Evaluation of Renal Parenchymal Stiffness in Patients with Chronic Kidney Disease: A Meta-Analysis. J. Clin. Med. Res. 2022, 14, 95–105. [Google Scholar] [CrossRef]
- Wang, L.; Xia, P.; Lv, K.; Han, J.; Dai, Q.; Li, X.M.; Chen, L.M.; Jiang, Y.X. Assessment of renal tissue elasticity by acoustic radiation force impulse quantification with histopathological correlation: Preliminary experience in chronic kidney disease. Eur. Radiol. 2014, 24, 1694–1699. [Google Scholar] [CrossRef] [PubMed]
- Filipov, T.; Teutsch, B.; Szabó, A.; Forintos, A.; Ács, J.; Váradi, A.; Hegyi, P.; Szarvas, T.; Ács, N.; Nyirády, P.; et al. Investigating the role of ultrasound-based shear wave elastography in kidney transplanted patients: Correlation between non-invasive fibrosis detection, kidney dysfunction and biopsy results-a systematic review and meta-analysis. J. Nephrol. 2024, 37, 1509–1522. [Google Scholar] [CrossRef]
- Asano, K.; Ogata, A.; Tanaka, K.; Ide, Y.; Sankoda, A.; Kawakita, C.; Nishikawa, M.; Ohmori, K.; Kinomura, M.; Shimada, N.; et al. Acoustic radiation force impulse elastography of the kidneys: Is shear wave velocity affected by tissue fibrosis or renal blood flow? J. Ultrasound Med. 2014, 33, 793–801. [Google Scholar] [CrossRef] [PubMed]
- Liu, X.; Li, N.; Xu, T.; Sun, F.; Li, R.; Gao, Q.; Chen, L.; Wen, C. Effect of renal perfusion and structural heterogeneity on shear wave elastography of the kidney: An in vivo and ex vivo study. BMC Nephrol. 2017, 18, 265. [Google Scholar] [CrossRef] [PubMed]
- Sohn, B.; Kim, M.J.; Han, S.W.; Im, Y.J.; Lee, M.J. Shear wave velocity measurements using acoustic radiation force impulse in young children with normal kidneys versus hydronephrotic kidneys. Ultrasonography 2014, 33, 116–121. [Google Scholar] [CrossRef] [PubMed]
- Sandhya; Bansal, L.; Prasad, A.; Mehra, S. Role of 2D shear wave elastography in assessing chronic kidney disease and its correlation with point shear wave elastography and eGFR. Int. Urol. Nephrol. 2025, 57, 2697–2704. [Google Scholar] [CrossRef] [PubMed]




Disclaimer/Publisher’s Note: The statements, opinions and data contained in all publications are solely those of the individual author(s) and contributor(s) and not of MDPI and/or the editor(s). MDPI and/or the editor(s) disclaim responsibility for any injury to people or property resulting from any ideas, methods, instructions or products referred to in the content. |
© 2025 by the authors. Licensee MDPI, Basel, Switzerland. This article is an open access article distributed under the terms and conditions of the Creative Commons Attribution (CC BY) license.
Share and Cite
Leśnowolski, Ł.; Lewandowski, J.; Artyszuk, Ł.; Szydło, K. Advances in Noninvasive Imaging for Hypertensive Kidney Disease: Ultrasound and Elastography Insights. Appl. Sci. 2026, 16, 255. https://doi.org/10.3390/app16010255
Leśnowolski Ł, Lewandowski J, Artyszuk Ł, Szydło K. Advances in Noninvasive Imaging for Hypertensive Kidney Disease: Ultrasound and Elastography Insights. Applied Sciences. 2026; 16(1):255. https://doi.org/10.3390/app16010255
Chicago/Turabian StyleLeśnowolski, Łukasz, Jacek Lewandowski, Łukasz Artyszuk, and Kornelia Szydło. 2026. "Advances in Noninvasive Imaging for Hypertensive Kidney Disease: Ultrasound and Elastography Insights" Applied Sciences 16, no. 1: 255. https://doi.org/10.3390/app16010255
APA StyleLeśnowolski, Ł., Lewandowski, J., Artyszuk, Ł., & Szydło, K. (2026). Advances in Noninvasive Imaging for Hypertensive Kidney Disease: Ultrasound and Elastography Insights. Applied Sciences, 16(1), 255. https://doi.org/10.3390/app16010255

