Fractal Dimension of the Condylar Bone Structure in Patients with Unilateral Condylar Hyperplasia: Cross-Sectional Retrospective Study
Abstract
Featured Application
Abstract
1. Introduction
2. Materials and Methods
2.1. Study Population
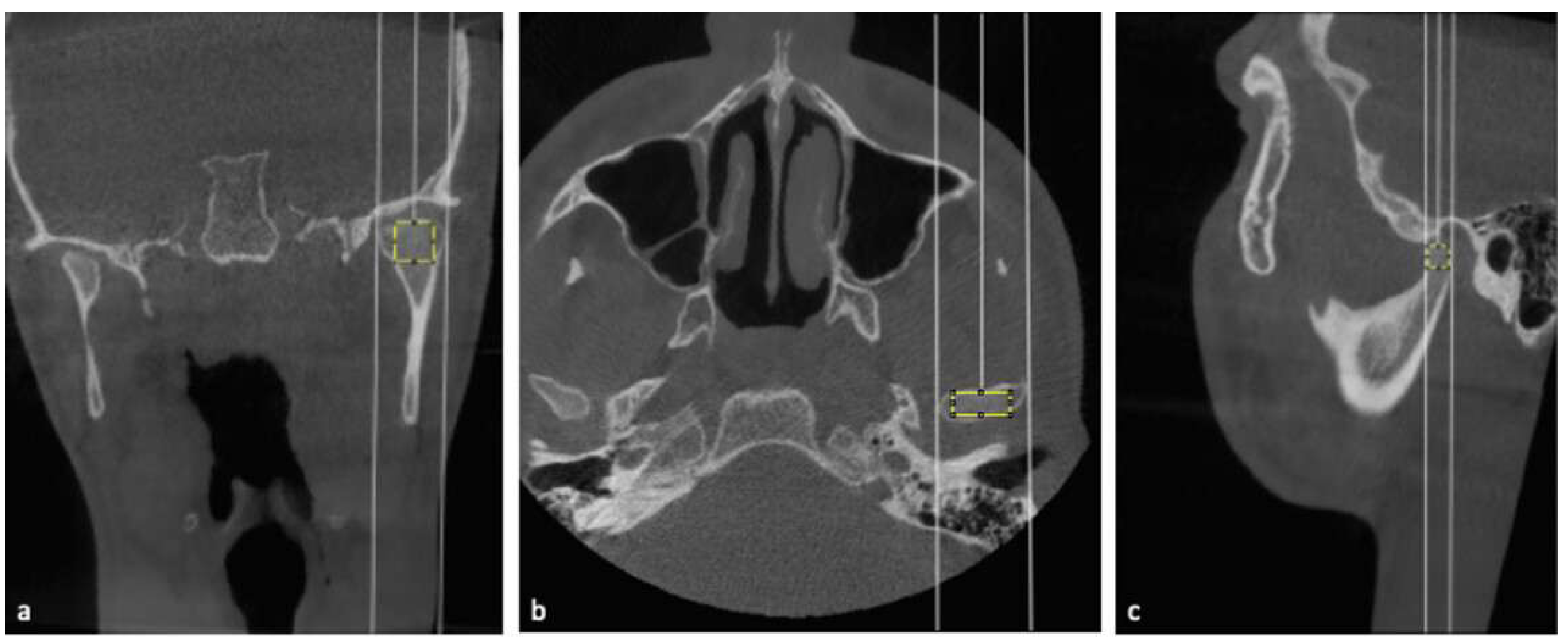
2.2. Fractal Dimension Analysis
2.3. Statistical Analysis
3. Results
4. Discussion
5. Conclusions
Author Contributions
Funding
Institutional Review Board Statement
Informed Consent Statement
Data Availability Statement
Conflicts of Interest
References
- Cheong, Y.W.; Lo, L.J.L. Facial asymmetry: Etiology, evaluation, and management. Chang Gung Med. J. 2011, 34, 341–351. [Google Scholar] [PubMed]
- Marques, F.B.C.; de Lima, L.S.; Oliveira, P.L.E.; Magno, M.B.; Ferreira, D.M.T.P.; de Castro, A.C.R.; Maciel, J.V.B.; de Oliveira Ruellas, A.C.; Maia, L.C. Are temporomandibular disorders associated with facial asymmetry? A systematic review and meta-analysis. Orthod. Craniofacial Res. 2020, 24, 1–16. [Google Scholar]
- Kim, J.Y.; Kim, B.J.; Park, K.H.; Huh, J.K. Comparison of volume and position of the temporomandibular joint structures in patients with mandibular asymmetry. Oral Surg. Oral Med. Oral Pathol. Oral Radiol. 2016, 122, 772–780. [Google Scholar]
- Srivastava, D.; Singh, H.; Mishra, S.; Sharma, P.; Kapoor, P.; Chandra, L. Facial asymmetry revisited: Part I—Diagnosis and treatment planning. J. Oral Biol. Craniofacial Res. 2018, 8, 7–14. [Google Scholar] [CrossRef]
- da Silva, N.C.F.; de Aquino, É.R.B.; Mello, K.C.F.R.; Mattos, J.N.R.; Normando, D. Orthodontists’ and laypersons’ perception of mandibular asymmetries. Dent. Press J. Orthod. 2011, 16, 38.e1–38.e8. [Google Scholar]
- Vernucci, R.A.; Aghazada, H.; Gardini, K.; Fegatelli, D.A.; Barbato, E.; Galluccio, G.; Silvestri, A. Use of an anatomical mid-sagittal plane for 3-dimensional cephalometry: A preliminary study. Imaging Sci. Dent. 2019, 49, 159–169. [Google Scholar]
- Guercio-Monaco, E.; De Stefano, A.; Impellizzeri, A.; Galluccio, G. Association between the temporomandibular joint disc position on magnetic resonance imaging and the mandibular deviation on posteroanterior cephalogram: A cross-sectional study in adolescents. Clin. Ther. 2020, 171, e509–e516. [Google Scholar]
- Boboc, A.M.; De Stefano, A.; Impellizzeri, A.; Barbato, E.; Galluccio, G. Correlation between generalized joint hypermobility and temporomandibular joint disc displacement in adolescent patients: Magnetic ResonanceImaging study. Eur. J. Paediatr. Dent. 2022, 23, 106–110. [Google Scholar]
- De Stefano, A.A.; Boboc, A.M.; Horodynski, M.; Impellizzeri, A.; Serritella, E.; Galluccio, G. Severity of Temporomandibular Joint Disc Displacement and Generalized Joint Hypermobility in Growing Patients: A Cross-Sectional Magnetic Resonance Image Study. Appl. Sci. 2023, 13, 12495. [Google Scholar] [CrossRef]
- Vellone, V.; Costantini, A.M.; Ramieri, V.; Alunni Fegatelli, D.; Galluccio, G.; Cascone, P. Unilateral Condylar Hyperplasia: A Comparison with Two Open-Source Softwares. J. Craniofacial Surg. 2020, 31, 475–479. [Google Scholar]
- Vernucci, R.A.; Mazzoli, V.; Galluccio, G.; Silvestri, A.; Barbato, E. Unilateral hemimandibular hyperactivity: Clinical features of a population of 128 patients. J. Cranio-Maxillofac. Surg. 2018, 46, 1105–1110. [Google Scholar] [CrossRef] [PubMed]
- De-Stefano, A.A.; Di-Chicco, A.; Impellizzeri, A.; Serritella, E.; Guercio-Mónaco, E.; Galluccio, G. Unilateral Condylar Hyperplasia: A Thee-Dimensional CBCT Morphometric and Volumetric Evaluation of Mandibular Condyle by Open-Source Softwares. Int. J. Morphol. 2021, 39, 1164–1170. [Google Scholar] [CrossRef]
- Elbaz, J.; Wiss, A.; Raoul, G.; Leroy, X.; Hossein-Foucher, C.; Ferri, J. Condylar Hyperplasia: Correlation Between Clinical, Radiological, Scintigraphic, and Histologic Features. J. Craniofacial Surg. 2014, 25, 1085–1090. [Google Scholar] [CrossRef] [PubMed]
- Toh, A.Q.J.; Becking, A.G.; Leung, Y.Y. Mirror-image unilateral condylar hyperplasia in monozygotic twins. Int. J. Oral Maxillofac. Surg. 2021, 50, 1177–1181. [Google Scholar] [CrossRef]
- Perriman, A.; Uthman, A. Unilateral condylar hyperplasia. Br. J. Oral Surg. 1970, 8, 273–280. [Google Scholar] [CrossRef]
- López, D.F.; Ríos Borrás, V.; Muñoz, J.M.; Cardenas-Perilla, R.; Almeida, L.E. Spect/ct correlation in the diagnosis of unilateral condilar hyperplasia. Diagnostics 2021, 11, 477. [Google Scholar] [CrossRef]
- Anastasi, M.R.; Centofanti, A.; Favaloro, A.; Freni, J.; Nicita, F.; Vermiglio, G.; Anastasi, G.P.; Cascone, P. Unilateral “Inactive” Condylar Hyperplasia: New Histological Data. J. Funct. Morphol. Kinesiol. 2024, 9, 217. [Google Scholar] [CrossRef]
- Saridin, C.P.; Raijmakers, P.G.H.M.; Tuinzing, D.B.; Becking, A.G. Bone scintigraphy as a diagnostic method in unilateral hyperactivity of the mandibular condyles: A review and meta-analysis of the literature. Int. J. Oral Maxillofac. Surg. 2011, 40, 11–17. [Google Scholar] [CrossRef]
- Ghawsi, S.; Aagaard, E.; Thygesen, T.H. High condylectomy for the treatment of mandibular condylar hyperplasia: A systematic review of the literature. Int. J. Oral Maxillofac. Surg. 2016, 45, 60–71. [Google Scholar] [CrossRef]
- Karssemakers, L.H.E.; Nolte, J.W.; Tuinzing, D.B.; Langenbach, G.E.J.; Raijmakers, P.G.; Becking, A.G. Microcomputed tomographic analysis of human condyles in unilateral condylar hyperplasia: Increased cortical porosity and trabecular bone volume fraction with reduced mineralisation. Br. J. Oral Maxillofac. Surg. 2014, 52, 940–944. [Google Scholar] [CrossRef]
- Chan, B.H.; Leung, Y.Y. SPECT bone scintigraphy for the assessment of condylar growth activity in mandibular asymmetry: Is it accurate? Int. J. Oral Maxillofac. Surg. 2018, 47, 470–479. [Google Scholar]
- Kim, J.H.; Kim, Y.K.; Kim, S.G.; Yun, P.Y.; Kim, J.D.; Min, J.H. Effectiveness of bone scans in the diagnosis of osteoarthritis of the temporomandibular joint. Dentomaxillofac. Radiol. 2012, 41, 224–229. [Google Scholar] [CrossRef]
- Ahn, B.C.; Kim, H.J.; Lee, S.W.; Yoo, J.; Choi, J.K.; Lee, J. New quantitative method for bone tracer uptake of temporomandibular joint using Tc-99m MDP skull SPECT. Ann. Nucl. Med. 2009, 23, 651–656. [Google Scholar]
- Irie, M.S.; Rabelo, G.D.; Spin-Neto, R.; Dechichi, P.; Borges, J.S.; Soares, P.B.F. Use of Micro-Computed Tomography for Bone Evaluation in Dentistry. Braz. Dent. J. 2018, 29, 227–238. [Google Scholar]
- Perrotti, V.; Iezzi, G.; De Sanctis, A.; Pasculli, A.; Piattelli, A.; Aprile, G. Correlation between bone density and fractal dimension: A pilot study. Nonlinear Phenom. Complex Syst. 2020, 23, 130–132. [Google Scholar]
- Kato, C.N.A.O.; Barra, S.G.; Tavares, N.P.K.; Amaral, T.M.P.; Brasileiro, C.B.; Mesquita, R.A.; Abreu, L.G. Use of fractal analysis in dental images: A systematic review. Dentomaxillofac. Radiol. 2020, 49, 20180457. [Google Scholar]
- Chen, J.; Zheng, B.; Chang, Y.H.; Shaw, C.C.; Towers, J.D.; Gur, D. Fractal analysis of trabecular patterns in projection radiographs: An assessment. Investig. Radiol. 1994, 29, 624–629. [Google Scholar]
- Kasimoglu, Y.; Tuna, E.B.; Rahimi, B.; Marsan, G.; Gencay, K. Condylar asymmetry in different occlusion types. Cranio—J. Craniomandib. Pract. 2015, 33, 10–14. [Google Scholar] [CrossRef] [PubMed]
- White, S.C.; Rudolph, D.J. Alterations of the trabecular pattern of the jaws in patients with osteoporosis. Oral Surg. Oral Med. Oral Pathol. Oral Radiol. Endodontology 1999, 88, 628–635. [Google Scholar]
- Ince Yusufoglu, S.; Ugur Aydin, Z.; Tulumbaci, F.; Bayrak, S. Evaluation of different Apexification treatments of teeth with immature apices and apical periodontitis on the fractal dimensions of trabecular bone. Aust. Endod. J. 2021, 47, 163–169. [Google Scholar] [PubMed]
- Kavitha, M.S.; An, S.Y.; An, C.H.; Huh, K.H.; Yi, W.J.; Heo, M.S.; Lee, S.S.; Choi, S.C. Texture analysis of mandibular cortical bone on digital dental panoramic radiographs for the diagnosis of osteoporosis in Korean women. Oral Surg. Oral Med. Oral Pathol. Oral Radiol. 2015, 119, 346–356. [Google Scholar] [PubMed]
- Servais, J.A.; Gaalaas, L.; Lunos, S.; Beiraghi, S.; Larson, B.E.; Leon-Salazar, V. Alternative cone-beam computed tomography method for the analysis of bone density around impacted maxillary canines. Am. J. Orthod. Dentofac. Orthop. 2018, 154, 442–449. [Google Scholar] [CrossRef]
- Rothe, L.E.; Bollen, A.M.; Little, R.M.; Herring, S.W.; Chaison, J.B.; Chen, C.S.K.; Hollender, L.G. Trabecular and cortical bone as risk factors for orthodontic relapse. Am. J. Orthod. Dentofac. Orthop. 2006, 130, 476–484. [Google Scholar] [CrossRef]
- Darawsheh, A.F.; Kolarovszki, B.; Hong, D.H.; Farkas, N.; Taheri, S.; Frank, D. Applicability of Fractal Analysis for Quantitative Evaluation of Midpalatal Suture Maturation. J. Clin. Med. 2023, 12, 4189. [Google Scholar] [CrossRef]
- Alpaydin, M.T.; Buyuk, S.K.; Abay, F.; Korkmaz, Y.N. Evaluation of mandibular osseous structure in patients with mandibular asymmetry: A fractal analysis study. Oral Surg. Oral Med. Oral Pathol. Oral Radiol. 2023, 136, 656–662. [Google Scholar] [PubMed]
- Kang, D.; Kwak, K.H.; Kim, S.S.; Park, S.B.; Son, W.S.; Kim, Y.I. Application of fractal analysis of the midpalatal suture for estimation of pubertal growth spurts. Oral Radiol. 2017, 33, 199–203. [Google Scholar] [CrossRef]
- Arsan, B.; Köse, T.E.; Çene, E.; Özcan, İ. Assessment of the trabecular structure of mandibular condyles in patients with temporomandibular disorders using fractal analysis. Oral Surg. Oral Med. Oral Pathol. Oral Radiol. 2017, 123, 382–391. [Google Scholar] [CrossRef]
- Türkmenoğlu, A.; Yüksel, H.T.; Karahan, A.Y. Evaluation of mandibular condyle trabecular structure in patients with rheumatoid arthritis using fractal analysis. Oral Surg. Oral Med. Oral Pathol. Oral Radiol. 2022, 133, 229–237. [Google Scholar] [CrossRef]
- Yeşiltepe, S.; Yılmaz, A.B.; Kurtuldu, E.; Sarıca, İ. Fractal Analysis of Temporomandibular Joint Trabecular Bone Structure in Patients with Rheumatoid Arthritis on Cone Beam Computed Tomography Images. Meandros Med. Dent. J. 2018, 19, 345–351. [Google Scholar] [CrossRef]
- Günaçar, D.N.; Yemenoǧlu, H.; Ustaoǧlu, G.; Ariöz, Ö. Effects of hyperlipidemia on trabecular and cortical structures of the mandible. Dentomaxillofac. Radiol. 2022, 51, 20210214. [Google Scholar]
- Pantoja, L.L.Q.; Lustosa, M.; Yamaguti, P.M.; Rosa, L.S.; Leite, A.F.; Figueiredo, P.T.S.; Castro, L.C.; Acevedo, A.C. Pamidronate Therapy Increases Trabecular Bone Complexity of Mandibular Condyles in Individuals with Osteogenesis Imperfecta. Calcif. Tissue Int. 2022, 110, 303–312. [Google Scholar] [CrossRef] [PubMed]
- Amuk, M.; Gul Amuk, N.; Yllmaz, S. Treatment and posttreatment effects of Herbst appliance therapy on trabecular structure of the mandible using fractal dimension analysis. Eur. J. Orthod. 2022, 44, 125–133. [Google Scholar] [CrossRef] [PubMed]
- Bolat Gümüş, E.; Yavuz, E.; Tufekci, C. Effects of functional orthopedic treatment on mandibular trabecular bone in class II patients using fractal analysis. J. Orofac. Orthop. 2023, 84, 155–164. [Google Scholar] [CrossRef]
- Ertugrul, B.Y.; Veli, İ. Evaluating the effects of orthodontic treatment with clear aligners and conventional brackets on mandibular condyle bone quality using fractal dimension analysis of panoramic radiographs. J. Stomatol. Oral Maxillofac. Surg. 2022, 123, 538–545. [Google Scholar]
- Korkmaz, Y.N.; Arslan, S. Evaluation of the trabecular structure of the mandibular condyles by fractal analysis in patients with different dentofacial skeletal patterns. Australas. Orthod. J. 2021, 37, 93–99. [Google Scholar]
- Gulec, M.; Tassoker, M.; Ozcan, S.; Orhan, K. Evaluation of the mandibular trabecular bone in patients with bruxism using fractal analysis. Oral Radiol. 2021, 37, 36–45. [Google Scholar] [CrossRef]
- Cesur, E.; Bayrak, S.; Kursun-Çakmak, E.S.; Arslan, C.; Köklü, A.; Orhan, K. Evaluating the effects of functional orthodontic treatment on mandibular osseous structure using fractal dimension analysis of dental panoramic radiographs. Angle Orthod. 2020, 90, 783–793. [Google Scholar] [CrossRef]
- Baksi, B.G.; Fidler, A. Fractal analysis of periapical bone from lossy compressed radiographs: A comparison of two lossy compression methods. J. Digit. Imaging 2011, 24, 993–998. [Google Scholar] [CrossRef]
- Shrout, M.K.; Farley, B.A.; Patt, S.M.; Potter, B.J.; Hildebolt, C.F.; Pilgram, T.K.; Yokoyama-Crothers, N.; Dotson, M.; Hauser, J.; Cohen, S.; et al. The Effect of Region of Interest Variations on Morphologic Operations Data and Gray-Level Values Extracted from Digitized Dental Radiographs. Oral Surg. Oral Med. Oral Pathol. Oral Radiol. Endodontology 1999, 88, 636–639. [Google Scholar] [CrossRef]
- Pauwels, R.; Faruangsaeng, T.; Charoenkarn, T.; Ngonphloy, N.; Panmekiate, S. Effect of exposure parameters and voxel size on bone structure analysis in CBCT. Dentomaxillofac. Radiol. 2015, 44, 20150078. [Google Scholar] [CrossRef]
- Koyuncuoglu, G.; Bayrak, S.; Ugur-Aydin, Z.; Aren, G. Evaluation of the Effects of MTA Apexification and Regenerative Endodontic Therapy on Lesion Healing using Fractal Analysis: A Retrospective Study. Eur. J. Paediatr. Dent. 2024, 1–6. [Google Scholar] [CrossRef]
- Toghyani, S.; Nasseh, I.; Aoun, G.; Noujeim, M. Effect of image resolution and compression on fractal analysis of the periapical bone. Acta Inform. Medica 2019, 27, 167–170. [Google Scholar]
- Kün-Darbois, J.D.; Bertin, H.; Mouallem, G.; Corre, P.; Delabarde, T.; Chappard, D. Bone characteristics in condylar hyperplasia of the temporomandibular joint: A microcomputed tomography, histology, and Raman microspectrometry study. Int. J. Oral Maxillofac. Surg. 2023, 52, 543–552. [Google Scholar] [CrossRef] [PubMed]
- Vásquez, B.; Olate, S.; Cantín, M.; Sandoval, C.; del Sol, M.; de Moraes, M. Histomorphometric analysis of unilateral condylar hyperplasia in the temporomandibular joint: The value of the condylar layer and cartilage island. Int. J. Oral Maxillofac. Surg. 2017, 46, 861–866. [Google Scholar] [CrossRef]
- Eslami, B.; Behnia, H.; Javadi, H.; Khiabani, K.S.; Saffar, A.S. Histopathologic comparison of normal and hyperplastic condyles. Oral Surg. Oral Med. Oral Pathol. Oral Radiol. Endodontology 2003, 96, 711–717. [Google Scholar]


| Group | Plane | Condyle | Fractal Dimension | Paired Differences | p-Value | ||||
|---|---|---|---|---|---|---|---|---|---|
| Mean | S.D. | 95% Confidence Interval of Difference | |||||||
| Mean | S.D. | Lower | Upper | ||||||
| Asymmetrical patients (n = 15) | Axial | Hyperplastic | 1.215 | 0.036 | 0.065 | 0.061 | 0.032 | 0.099 | 0.001 * |
| Contralateral | 1.150 | 0.069 | |||||||
| Coronal | Hyperplastic | 1.413 | 0.058 | 0.065 | 0.063 | 0.030 | 0.099 | 0.001 * | |
| Contralateral | 1.348 | 0.089 | |||||||
| Sagittal | Hyperplastic | 1.127 | 0.074 | 0.051 | 0.115 | −0.013 | 0.115 | 0.110 | |
| Contralateral | 1.077 | 0.086 | |||||||
| Symmetrical patients (n = 15) | Axial | Right | 1.190 | 0.093 | 0.014 | 0.106 | −0.045 | 0.073 | 0.626 |
| Left | 1.177 | 0.063 | |||||||
| Coronal | Right | 1.373 | 0.115 | 0.009 | 0.134 | −0.065 | 0.083 | 0.793 | |
| Left | 1.364 | 0.121 | |||||||
| Sagittal | Right | 1.177 | 0.181 | 0.037 | 0.155 | −0.049 | 0.022 | 0.735 | |
| Left | 1.140 | 0.089 | |||||||
Disclaimer/Publisher’s Note: The statements, opinions and data contained in all publications are solely those of the individual author(s) and contributor(s) and not of MDPI and/or the editor(s). MDPI and/or the editor(s) disclaim responsibility for any injury to people or property resulting from any ideas, methods, instructions or products referred to in the content. |
© 2025 by the authors. Licensee MDPI, Basel, Switzerland. This article is an open access article distributed under the terms and conditions of the Creative Commons Attribution (CC BY) license (https://creativecommons.org/licenses/by/4.0/).
Share and Cite
De Stefano, A.A.; Musone, L.; Horodynski, M.; Vernucci, R.A.; Galluccio, G. Fractal Dimension of the Condylar Bone Structure in Patients with Unilateral Condylar Hyperplasia: Cross-Sectional Retrospective Study. Appl. Sci. 2025, 15, 4063. https://doi.org/10.3390/app15074063
De Stefano AA, Musone L, Horodynski M, Vernucci RA, Galluccio G. Fractal Dimension of the Condylar Bone Structure in Patients with Unilateral Condylar Hyperplasia: Cross-Sectional Retrospective Study. Applied Sciences. 2025; 15(7):4063. https://doi.org/10.3390/app15074063
Chicago/Turabian StyleDe Stefano, Adriana Assunta, Ludovica Musone, Martina Horodynski, Roberto Antonio Vernucci, and Gabriella Galluccio. 2025. "Fractal Dimension of the Condylar Bone Structure in Patients with Unilateral Condylar Hyperplasia: Cross-Sectional Retrospective Study" Applied Sciences 15, no. 7: 4063. https://doi.org/10.3390/app15074063
APA StyleDe Stefano, A. A., Musone, L., Horodynski, M., Vernucci, R. A., & Galluccio, G. (2025). Fractal Dimension of the Condylar Bone Structure in Patients with Unilateral Condylar Hyperplasia: Cross-Sectional Retrospective Study. Applied Sciences, 15(7), 4063. https://doi.org/10.3390/app15074063

