Multilevel Cervical Corpectomy in a Female Patient with Massive Degenerative Disease Associated with Rheumatoid Arthritis: A Case Report
Abstract
1. Introduction
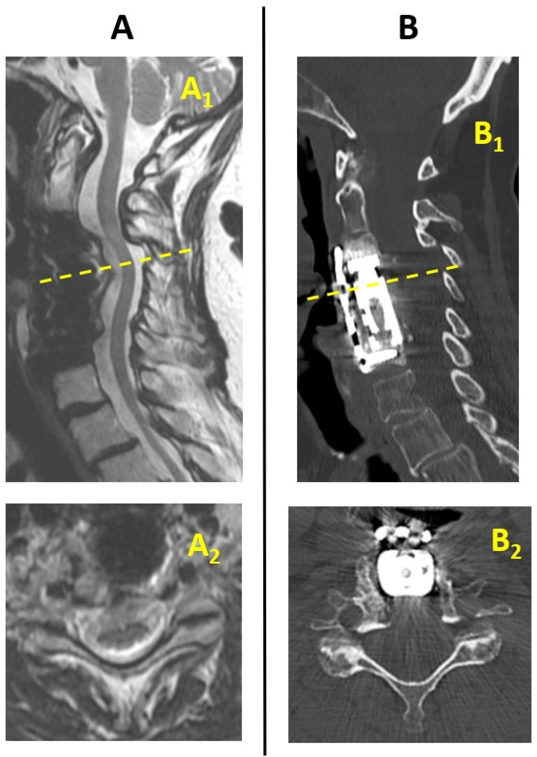
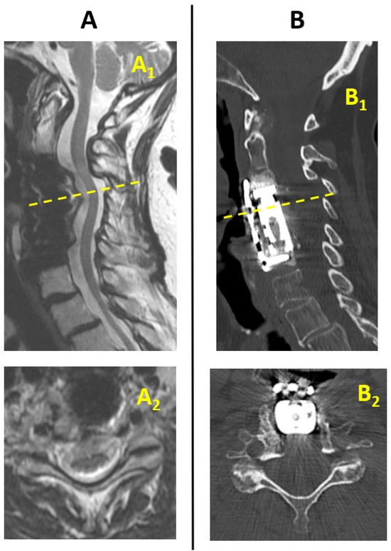
2. Case Report
3. Discussion
4. Conclusions
Author Contributions
Funding
Institutional Review Board Statement
Informed Consent Statement
Data Availability Statement
Conflicts of Interest
Abbreviations
| RA | rheumatoid arthritis |
| CT | Computed Tomography |
| MRI | Magnetic Resonance Imaging |
References
- Zhang, A.S.; Myers, C.; McDonald, C.L.; Alsoof, D.; Anderson, G.; Daniels, A.H. Cervical Myelopathy: Diagnosis, Contemporary Treatment, and Outcomes. Am. J. Med. 2022, 135, 435–443. [Google Scholar] [CrossRef] [PubMed]
- Foreman, M.; Foster, D.; Gillam, W.; Ciesla, C.; Lamprecht, C.; Lucke-Wold, B. Management Considerations for Cervical Corpectomy: Updated Indications and Future Directions. Life 2024, 14, 651. [Google Scholar] [CrossRef] [PubMed]
- Louie, P.K.; Nemani, V.M.; Leveque, J.A. Anterior Cervical Corpectomy and Fusion for Degenerative Cervical Spondylotic Myelopathy: Case Presentation with Surgical Technique Demonstration and Review of Literature. Clin. Spine Surg. 2022, 35, 440–446. [Google Scholar] [CrossRef] [PubMed]
- Tohamy, M.H.; Osterhoff, G.; Abdelgawaad, A.S.; Ezzati, A.; Heyde, C.E. Anterior Cervical Corpectomy and Fusion with Stand-Alone Cages in Patients with Multilevel Degenerative Cervical Spine Disease Is Safe. BMC Musculoskelet. Disord. 2022, 23, 20. [Google Scholar] [CrossRef]
- Tatter, C.; Persson, O.; Burström, G.; Edström, E.; Elmi-Terander, A. Anterior Cervical Corpectomy and Fusion for Degenerative and Traumatic Spine Disorders, Single-Center Experience of a Case Series of 119 Patients. Oper. Neurosurg. 2020, 20, 8–17. [Google Scholar] [CrossRef]
- Luo, J.; Cao, K.; Huang, S.; Li, L.; Yu, T.; Cao, C.; Zhong, R.; Gong, M.; Zhou, Z.; Zou, X. Comparison of Anterior Approach versus Posterior Approach for the Treatment of Multilevel Cervical Spondylotic Myelopathy. Eur. Spine J. 2015, 24, 1621–1630. [Google Scholar] [CrossRef]
- Al-Daoseri, H.A.; Mohammed Saeed, M.A.; Ahmed, R.A. Prevalence of Cervical Spine Instability among Rheumatoid Arthritis Patients in South Iraq. J. Clin. Orthop. Trauma 2020, 11, 876–882. [Google Scholar] [CrossRef]
- Kirkham-Wilson, F.; Dennison, E. Osteoporosis and Rheumatoid Arthritis: A Review of Current Understanding and Practice. Br. J. Hosp. Med. 2024, 85, 1–11. [Google Scholar] [CrossRef]
- Tanaka, Y. Managing Osteoporosis and Joint Damage in Patients with Rheumatoid Arthritis: An Overview. J. Clin. Med. 2021, 10, 1241. [Google Scholar] [CrossRef]
- Roux, C. Osteoporosis in Inflammatory Joint Diseases. Osteoporos. Int. 2011, 22, 421–433. [Google Scholar] [CrossRef]
- Filley, A.; Baldwin, A.; Ben-Natan, A.R.; Hansen, K.; Arora, A.; Xiao, A.; Hammond, D.; Chen, C.; Tweedt, I.; Rohde, J.; et al. The Influence of Osteoporosis on Mechanical Complications in Lumbar Fusion Surgery: A Systematic Review. N. Am. Spine Soc. J. 2024, 18, 100327. [Google Scholar] [CrossRef] [PubMed]
- Honda, S.; Murata, K.; Sakamoto, M.; Shiroshita, A.; Saka, N.; Otsuki, B.; Shimizu, T.; Sono, T.; Masuda, S.; Shima, K.; et al. Effect of Rheumatoid Arthritis on Postoperative Outcomes in Patients with Lumbar Spinal Disorders: A Systematic Review and Meta-Analysis. Glob. Spine J. 2025; 21925682251318265 online ahead of print. [Google Scholar] [CrossRef]
- Song, Z.; Fan, L.; Wang, H.; Cao, J.; Wen, Z.; Tao, Y.; Zhang, X. Associated Factors of Osteoporosis in Chinese Patients with Rheumatoid Arthritis: A Systematic Review and Meta-Analysis. J. Chin. Med. Assoc. 2024, 87, 953–960. [Google Scholar] [CrossRef] [PubMed]
- Cheng, H.; Luo, G.; Xu, D.; Li, Y.; Wang, Z.; Yang, H.; Liu, Y.; Jia, Y.; Sun, T. Comparison of Radiological and Clinical Outcomes of 3D-Printed Artificial Vertebral Body with Titanium Mesh Cage in Single-Level Anterior Cervical Corpectomy and Fusion: A Meta-Analysis. Front. Surg. 2023, 9, 1077551. [Google Scholar] [CrossRef] [PubMed]
- Su, Y.H.; Wu, P.K.; Wu, M.H.; Wong, K.W.; Li, W.W.; Chou, S.H. Comparison of the Radiographic and Clinical Outcomes Between Expandable Cage and Static Cage for Transforaminal Lumbar Interbody Fusion: A Systematic Review and Meta-Analysis. World Neurosurg. 2023, 179, 133–142. [Google Scholar] [CrossRef]
- Bębenek, A.; Dominiak, M.; Karpiński, G.; Pawełczyk, T.; Godlewski, B. Impact of Implant Size and Position on Subsidence Degree after Anterior Cervical Discectomy and Fusion: Radiological and Clinical Analysis. J. Clin. Med. 2024, 13, 1151. [Google Scholar] [CrossRef]
- Pojskic, M.; Saß, B.; Nimsky, C.; Carl, B. Application of an Expandable Cage for Reconstruction of the Cervical Spine in a Consecutive Series of Eighty-Six Patients. Medicina 2020, 56, 642. [Google Scholar] [CrossRef]
- Godlewski, B.; Bebenek, A.; Dominiak, M.; Bochniak, M.; Cieslik, P.; Pawelczyk, T. Reliability and Utility of Various Methods for Evaluation of Bone Union after Anterior Cervical Discectomy and Fusion. J. Clin. Med. 2022, 11, 6066. [Google Scholar] [CrossRef]
- Myasoedova, E.; Davis, J.; Matteson, E.L.; Crowson, C.S. Is the Epidemiology of Rheumatoid Arthritis Changing? Results from a Population-Based Incidence Study, 1985–2014. Ann. Rheum. Dis. 2020, 79, 440–444. [Google Scholar] [CrossRef]
- Radu, A.F.; Bungau, S.G. Management of Rheumatoid Arthritis: An Overview. Cells 2021, 10, 2857. [Google Scholar] [CrossRef]
- Streufert, B.D.; Onyedimma, C.; Yolcu, Y.U.; Ghaith, A.K.; Elder, B.D.; Nassr, A.; Currier, B.; Sebastian, A.S.; Bydon, M. Rheumatoid Arthritis in Spine Surgery: A Systematic Review and Meta-Analysis. Glob. Spine J. 2022, 12, 1583–1595. [Google Scholar] [CrossRef]
- Towner, J.E.; Li, Y.I.; Pieters, T.A.; Li, Y.M. Descriptive Analysis of 1972 Cervical Corpectomy Patients and 30-Day Postoperative Outcomes. Int. J. Spine Surg. 2020, 14, 412–417. [Google Scholar] [CrossRef] [PubMed]
- Waschke, A.; Kaczor, S.; Walter, J.; Duenisch, P.; Kalff, R.; Ewald, C. Expandable Titanium Cages for Anterior Column Cervical Reconstruction and Their Effect on Sagittal Profile: A Review of 48 Cases. Acta Neurochir. 2013, 155, 801–807. [Google Scholar] [CrossRef] [PubMed]
- Graillon, T.; Farah, K.; Rakotozanany, P.; Blondel, B.; Adetchessi, T.; Dufour, H.; Fuentes, S. Anterior Approach with Expandable Cage Implantation in Management of Unstable Thoracolumbar Fractures: Results of a Series of 93 Patients. Neurochirurgie 2016, 62, 78–85. [Google Scholar] [CrossRef] [PubMed]
- Calvert, G.; May, L.A.; Theiss, S. Use of Permanently Placed Metal Expandable Cages for Vertebral Body Reconstruction in the Surgical Treatment of Spondylodiscitis. Orthopedics 2014, 37, e536–e542. [Google Scholar] [CrossRef]
- Alfieri, A.; Gazzeri, R.; Neroni, M.; Fiore, C.; Galarza, M.; Esposito, S. Anterior Expandable Cylindrical Cage Reconstruction after Cervical Spinal Metastasis Resection. Clin. Neurol. Neurosurg. 2011, 113, 914–917. [Google Scholar] [CrossRef]
- Reig, A.; Parker, S.L.; McGirt, M.J. Five-Level Sub-Axial Cervical Vertebrectomy and Reconstruction: Technical Report. Eur. Spine J. 2014, 23, 172–180. [Google Scholar] [CrossRef]
- Kinoshita, H.; Orita, S.; Yonemoto, T.; Ishii, T.; Iwata, S.; Kamoda, H.; Tsukanishi, T.; Inage, K.; Abe, K.; Inoue, M.; et al. Successful Total En Bloc Spondylectomy of the L3 Vertebra with a Paravertebral Giant Cell Tumor Following Preoperative Treatment with Denosumab: A Case Report. J. Med. Case Rep. 2019, 13, 116. [Google Scholar] [CrossRef]
- Al-Shamary, E.; Al-Dhafeeri, W.; Al-Sharydah, A.; Al-Suhibani, S.; Kussaibi, H.; Al-Issawi, W. Total Spondylectomy for Upper Thoracic Spine Giant Cell Tumor: A Case Report. Case Rep. Oncol. 2019, 12, 131–138. [Google Scholar] [CrossRef]
- Saekhu, M.; Ashari, S.; Tandian, D.; Nugroho, S.W. Anterior Cervical Corpectomy and Fusion in a 7-Year-Old Boy: A Case Report. Med. J. Indones. 2019, 28, 183–187. [Google Scholar] [CrossRef]


Disclaimer/Publisher’s Note: The statements, opinions and data contained in all publications are solely those of the individual author(s) and contributor(s) and not of MDPI and/or the editor(s). MDPI and/or the editor(s) disclaim responsibility for any injury to people or property resulting from any ideas, methods, instructions or products referred to in the content. |
© 2025 by the authors. Licensee MDPI, Basel, Switzerland. This article is an open access article distributed under the terms and conditions of the Creative Commons Attribution (CC BY) license (https://creativecommons.org/licenses/by/4.0/).
Share and Cite
Mikolajczyk, J.; Joniec, A.; Godlewski, B. Multilevel Cervical Corpectomy in a Female Patient with Massive Degenerative Disease Associated with Rheumatoid Arthritis: A Case Report. Appl. Sci. 2025, 15, 3183. https://doi.org/10.3390/app15063183
Mikolajczyk J, Joniec A, Godlewski B. Multilevel Cervical Corpectomy in a Female Patient with Massive Degenerative Disease Associated with Rheumatoid Arthritis: A Case Report. Applied Sciences. 2025; 15(6):3183. https://doi.org/10.3390/app15063183
Chicago/Turabian StyleMikolajczyk, Jedrzej, Aleksander Joniec, and Bartosz Godlewski. 2025. "Multilevel Cervical Corpectomy in a Female Patient with Massive Degenerative Disease Associated with Rheumatoid Arthritis: A Case Report" Applied Sciences 15, no. 6: 3183. https://doi.org/10.3390/app15063183
APA StyleMikolajczyk, J., Joniec, A., & Godlewski, B. (2025). Multilevel Cervical Corpectomy in a Female Patient with Massive Degenerative Disease Associated with Rheumatoid Arthritis: A Case Report. Applied Sciences, 15(6), 3183. https://doi.org/10.3390/app15063183

