Role of Endoscopic Ultrasound in Diagnosis and Management of Pancreas Divisum: A Case Study and Literature Review
Abstract
1. Introduction
2. Materials and Methods
- A.
- Diagnostic accuracy of pancreas divisum,
- B.
- Prospective studies for intermethod comparisons,
- C.
- Reviews, expert reviews, systematic reviews and meta-analyses,
- D.
- Retrospective studies for intermethod comparisons.
3. Results
- A.
- B.
- C.
- D.
- 1.
- PD is the most common congenital anatomic variant of the pancreas. It occurs in approximately 7–10% of individuals. It is often asymptomatic but is thought to be a cause of recurrent pancreatitis in some patients.
- 2.
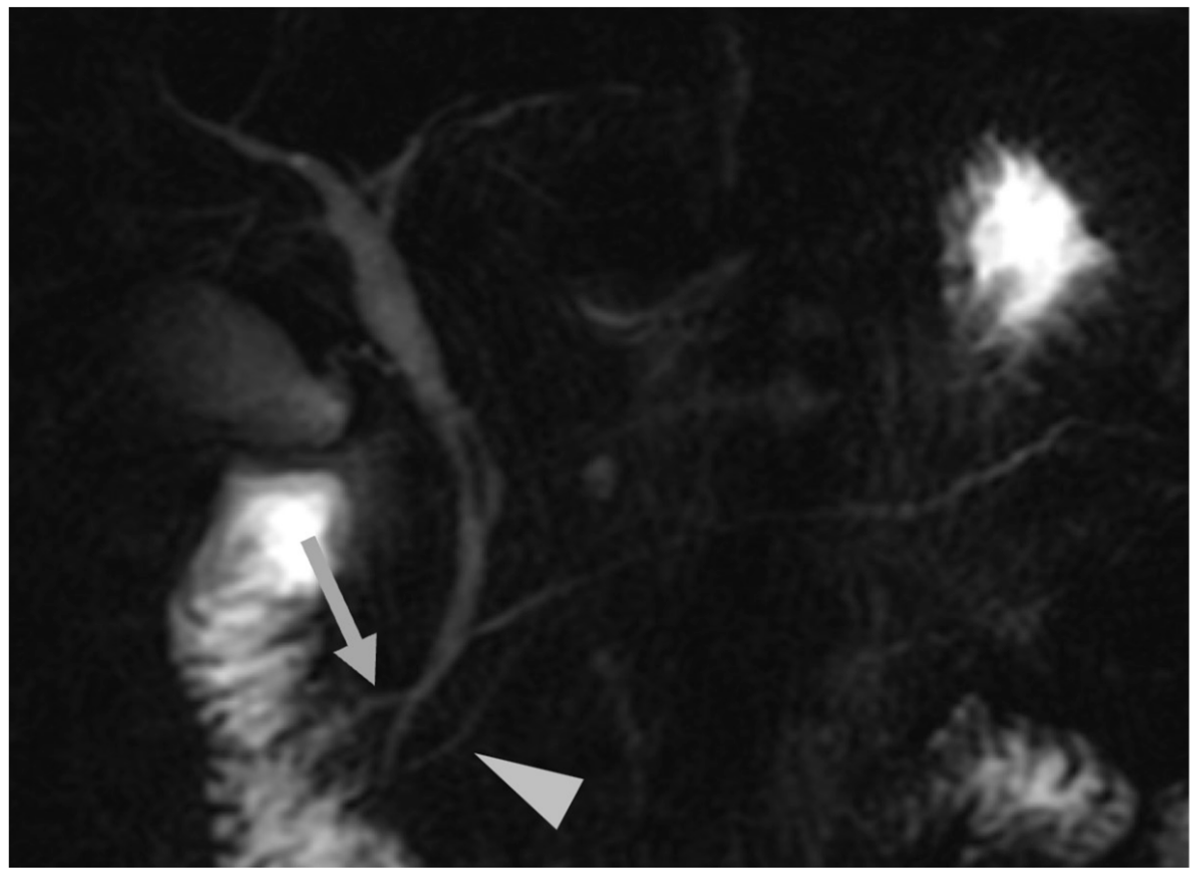
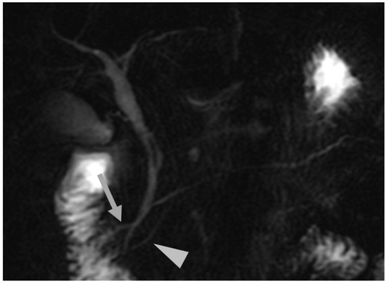
- EUS is a valuable tool for diagnosing pancreas divisum, a common congenital anomaly of the pancreatic duct. Several studies have evaluated its diagnostic yield, demonstrating a sensitivity ranging from 51% to 95% and a high diagnostic accuracy of 97% [40]. MRCP’s sensitivity for comparison with EUS in detecting PD has been reported between 44% and 60%. EUS is particularly effective in identifying pancreas divisum structural features, such as the dorsal pancreatic duct draining into the minor papilla without communication with Wirsung’s duct. This is when the ventral and dorsal ducts fail to fuse during embryogenesis and dominant drainage occurs via the minor papilla (Figure 1).
- 3.
- Comparative effectiveness: ERCP is the gold standard in the diagnosis of pancreas divisum, but it is more invasive than EUS since it is associated with a significant risk of pancreatitis. In comparison with other modalities like magnetic resonance cholangiopancreatography (MRCP) and secretin-enhanced MRCP, EUS has been shown to be more reliable than standard MRCP but slightly less accurate than secretin-MRCP.
- 4.
- Factors influencing EUS accuracy: The endosonographer’s expertise, anatomical variations, and pancreatic duct visualization techniques significantly affect diagnostic outcomes. Secretin administration during EUS may enhance duct visibility and improve sensitivity to detect pancreas divisum [26].
- 5.
- 6.
- EUS vs. MRCP/ERCP: a superior diagnostic yield of EUS in detecting pancreas divisum and biliary pathologies has been reported in a prospective study [19].
- 7.
- 8.
- 9.
- 10.
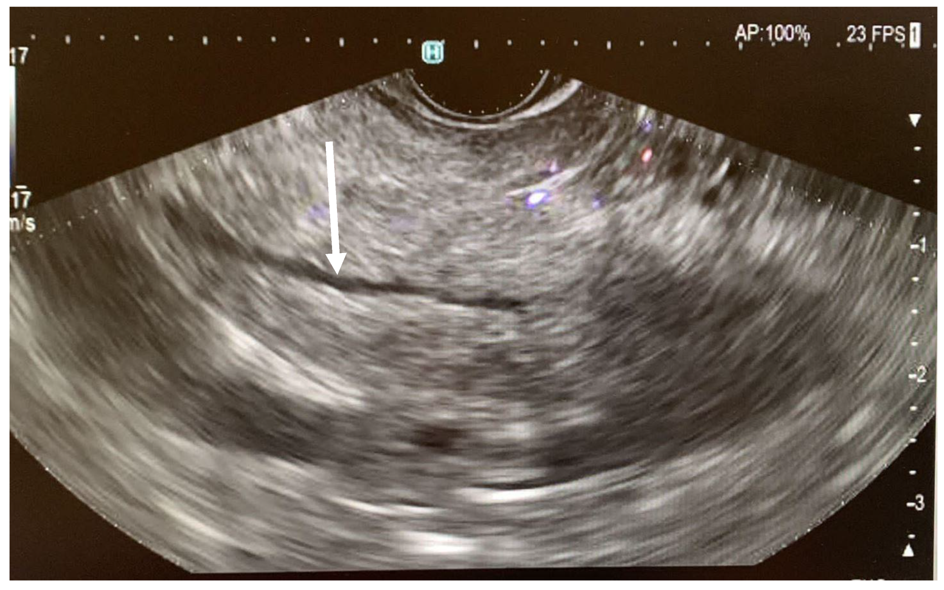
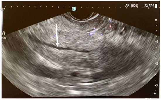
- Three endosonographic criteria have been suggested for the diagnosis of pancreas divisum with endoscopic ultrasound: (a) Inability to follow the main pancreatic duct from the major ampulla to the pancreas body; (b) Inability to follow the main PD from the hypoechoic ventral pancreas to the hyperechoic dorsal pancreas [40]; (c) The presence of the Stack sign as a possibility of pancreas divisum. The Stack sign is visualized better by positioning the radial echoendoscope (or by linear echoendoscope, reverse Stack sign) in the long scope position with the transducer in the duodenal bulb. When the balloon is inflated and advanced snugly into the apex of the bulb, the bile duct (closest to the transducer) and the pancreatic duct can be seen running in parallel through the pancreatic head [26,41]. Performing EUS, the Stack sign refers to the parallel alignment of three tubular structures seen in the region of the pancreatic head: common bile duct (CBD), ventral pancreatic duct (Wirsung’s duct), and dorsal pancreatic duct (Santorini’s duct). In pancreas divisum (positive Stack sign): the ventral and dorsal pancreatic ducts remain separate and on EUS, three parallel, stacked tubular structures are evident: (a) the CBD (most anterior); (b) the ventral pancreatic duct (Wirsung); (c) the dorsal pancreatic duct (Santorini) (most posterior). This triple-duct alignment is indicative of non-fusion and suggests pancreas divisum.
4. Case Presentation
5. Discussion
5.1. Comparison of EUS in Diagnosis of Pancreas Divisum with Other Diagnostic Approaches
5.2. Endoscopic Retrograde Cholangiopancreatography (ERCP) and EUS
5.3. Accuracy of EUS Visualization of Ductal Anatomy in Pancreas Divisum
5.4. Specific Advantages of EUS in Diagnosis of Pancreas Divisum
5.5. The Question About Pancreas Divisum and Pancreatitis
5.6. Current Research in EUS Development
6. Conclusions
Author Contributions
Funding
Institutional Review Board Statement
Informed Consent Statement
Data Availability Statement
Acknowledgments
Conflicts of Interest
References
- Smanio, T. Proposed Nomenclature and Classification of the Human Pancreatic Ducts and Duodenal Papillae: Study Based on 200 Post Mortems. Int. Surg. 1969, 52, 125–141. [Google Scholar] [PubMed]
- Lee, J.E.; Shin, S.S.; Kim, S.J.; Heo, S.H.; Lim, H.S.; Kim, J.W.; Jeong, Y.Y. A Pictorial Review of Diagnostic Pitfalls of Developmental Anomalies and Variants in Pancreatic Imaging. Clin. Imaging 2018, 48, 32–39. [Google Scholar] [CrossRef]
- Stern, C.D. A Historical Perspective on the Discovery of the Accessory Duct of the Pancreas, the Ampulla ‘of Vater’ and Pancreas Divisum. Gut 1986, 27, 203–212. [Google Scholar] [CrossRef][Green Version]
- Kumar, S.; Sangu, P.; Kolandasamy, C.; Prabhakaran, R.; Chidambaranathan, S.; Lakshmanamoorthy, N.B.O. Congenital anomalies of the pancreas: Various clinical manifestations and their impact on pancreatic diseases and outcomes. Cureus 2022, 14, e27915. [Google Scholar] [CrossRef]
- Kozu, T.; Suda, K.; Toki, F. Pancreatic Development and Anatomical Variation. Gastrointest. Endosc. Clin. N. Am. 1995, 5, 1–30. [Google Scholar] [CrossRef]
- Asghar, A.; Narayan, R.K.; Pushpa, N.B.; Patra, A.; Ravi, K.S.; Tubbs, R.S. Exploring the Variations of the Pancreatic Ductal System: A Systematic Review and Meta-Analysis of Observational Studies. Anat. Cell Biol. 2024, 57, 31–44. [Google Scholar] [CrossRef] [PubMed]
- Bülow, R.; Simon, P.; Thiel, R.; Thamm, P.; Messner, P.; Lerch, M.M.; Mayerle, J.; Völzke, H.; Hosten, N.; Kühn, J.P. Anatomic Variants of the Pancreatic Duct and Their Clinical Relevance: An MR/Guided Study in the General Population. Eur. Radiol. 2014, 24, 3142–3149. [Google Scholar] [CrossRef]
- Kwak, S.W.; Kim, S.; Lee, J.W.; Lee, N.K.; Kim, C.W.; Yi, M.S.; Kim, G.H.; Kang, D.H. Evaluation of Unusual Causes of Pancreatitis: Role of Cross-Sectional Imaging. Eur. J. Radiol. 2009, 71, 296–302. [Google Scholar] [CrossRef]
- Kim, D.B.; Paik, C.N.; Song, D.S.; Kim, H.A.; Kim, Y.J.; Lee, J.M.; Hwang, S.S. The Role of Endoscopic Ultrasonography and Magnetic Resonance Cholangiopancreatography in Patients with Acute Pancreatitis After Negative Computed Tomography Findings of the Etiology. Pancreas 2018, 47, 1165–1171. [Google Scholar] [CrossRef]
- Amini, N.; Rezaee, N.; Habib, J.R.; Blair, A.; Beckman, R.M.; Manos, L.; Cameron, J.L.; Hruban, R.H.; Weiss, M.J.; Fishman, E.K.; et al. Minimal Main Pancreatic Duct Dilatation in Small Branch Duct Intraductal Papillary Mucinous Neoplasms Associated with High-Grade Dysplasia or Invasive Carcinoma. HPB 2021, 23, 468–474. [Google Scholar] [CrossRef]
- White, J.J.; Roberts, Z.N.; Gest, T.R.; Beale, E.G. Pancreas Divisum: A Common Developmental Variant That Deserves Attention in Preclinical Medical Education. Clin. Anat. 2014, 27, 1038–1045. [Google Scholar] [CrossRef] [PubMed]
- Adike, A.; El Kurdi, B.I.; Gaddam, S.; Kosiorek, H.E.; Fukami, N.; Faigel, D.O.; Collins, J.M.; Ramirez, F.C. Pancreatitis in Patients with Pancreas Divisum. Pancreas 2017, 46, e80–e81. [Google Scholar] [CrossRef]
- Chatterjee, A.; Rana, S.S. Endoscopic Ultrasound in Pancreatic Duct Anomalies. Diagnostics 2023, 13, 3129. [Google Scholar] [CrossRef] [PubMed]
- Singh, S.K.; Srivastava, A.; Rai, P.; Yachha, S.K.; Poddar, U. Yield of Endoscopic Ultrasound in Children and Adolescent With Acute Recurrent Pancreatitis. J. Pediatr. Gastroenterol. Nutr. 2018, 66, 461–465. [Google Scholar] [CrossRef]
- Strand, D.S.; Law, R.J.; Yang, D.; Elmunzer, B.J. AGA Clinical Practice Update on the Endoscopic Approach to Recurrent Acute and Chronic Pancreatitis: Expert Review. Gastroenterology 2022, 163, 1107–1114. [Google Scholar] [CrossRef] [PubMed]
- Rana, S.S.; Gonen, C.; Vilmann, P. Endoscopic Ultrasound and Pancreas Divisum. J. Pancreas 2012, 13, 252–257. [Google Scholar] [CrossRef]
- Mariani, A.; Di Leo, M.; Petrone, M.C.; Arcidiacono, P.G.; Giussani, A.; Zuppardo, R.A.; Cavestro, G.M.; Testoni, P.A. Outcome of Endotherapy for Pancreas Divisum in Patients with Acute Recurrent Pancreatitis. World J. Gastroenterol. 2014, 20, 17468–17475. [Google Scholar] [CrossRef]
- Kolodziejczyk, E.; Jurkiewicz, E.; Dadalski, M.; Oracz, G. MRCP in Children with Chronic Pancreatitis-can It replace ERCP as the gold Standard? Pancreatology 2021, 21, S32. [Google Scholar] [CrossRef]
- Mitra, T.; Dixit, V.K.; Yadav, D.P.; Shukla, S.K.; Verma, A.; Thakur, P.; Thakur, R. Idiopathic acute pancreatitis—A myth or reality? Role of endoscopic ultrasonography and magnetic resonance cholangiopancreatography in its diagnosis. Indian J. Gastroenterol. 2021, 40, 22–29. [Google Scholar] [CrossRef]
- Vila, J.J.; Mendioroz, F.J.J.; Yeaton, P.; Fernández-Urien, I.; Sanchotena, J.L.G.; Goñi, S.; Alonso, M.G.; Carrascosa, J.; Borda, A.; Prieto, C.; et al. EUS Is Superior to Secretin-Enhanced Cholangio-MRI to Establish the Etiology of Idiopathic Acute Pancreatitis. Endosc. Int. Open 2020, 8, E1441–E1447. [Google Scholar] [CrossRef]
- Shil, B.C.; Saha, M.; Banik, R.K.; Saha, S.K.; Saifullah, A.N.; Uddin, R.; Faruq, O.; Rahman, H. Idiopathic Acute Pancreatitis (IAP): The Value of Endoscopic Ultrasound. J. Gastroenterol. Hepatol. 2018, 33 (Suppl. 4), 275. [Google Scholar] [CrossRef]
- Franco, M.C.; Bhattacharya, A.; Bhatt, A.; Chahal, P. Compilation of curvilinear-array EUS imaging demonstrating variant pancreatic ductal anatomy with radiologic corroboration and motion animation. VideoGIE 2017, 2, 268–269. [Google Scholar] [CrossRef] [PubMed][Green Version]
- Smith, I.; Ramesh, J.; Kabir Baig, K.R.K.; Mönkemüller, K.; Wilcox, C.M. Emerging Role of Endoscopic Ultrasound in the Diagnostic Evaluation of Idiopathic Pancreatitis. Am. J. Med. Sci. 2015, 350, 229–234. [Google Scholar] [CrossRef]
- Ashkar, M.; Gardner, T.B. Role of Endoscopic Ultrasound in Pancreatic Diseases: A Systematic Review. Minerva Gastroenterol. Dietol. 2014, 60, 227–245. [Google Scholar] [PubMed]
- Stevens, T. Role of Endoscopic Ultrasonography in the Diagnosis of Acute and Chronic Pancreatitis. Gastrointest. Endosc. Clin. N. Am. 2013, 23, 735–747. [Google Scholar] [CrossRef] [PubMed]
- Rana, S.S.; Bhasin, D.K.; Sharma, V.; Rao, C.; Singh, K. Role of Endoscopic Ultrasound in the Diagnosis of Pancreas Divisum. Endosc. Ultrasound. 2013, 2, 7–10. [Google Scholar] [CrossRef]
- Kadyada, S.P.; Thapa, B.R.; Dhaka, N.; Bhatia, A.; Menon, J. Role of Diagnostic Endoscopic Ultrasound in Idiopathic Acute Pancreatitis and Acute Recurrent Pancreatitis in Children. Pancreas 2019, 48, 350–355. [Google Scholar] [CrossRef]
- Somani, P.; Sunkara, T.; Sharma, M. Role of endoscopic ultrasound in idiopathic pancreatitis. World J. Gastroenterol. 2017, 23, 6952–6961. [Google Scholar] [CrossRef]
- Burdick, J.S.; Horvath, E. Management of pancreas divisum. Curr. Treat Options Gastroenterol. 2006, 9, 391–396. [Google Scholar] [CrossRef]
- Guda, N.M.; Muddana, V.; Whitcomb, D.C.; Levy, P.; Garg, P.; Cote, G.; Uc, A.; Varadarajulu, S.; Vege, S.S.; Chari, S.T.; et al. Recurrent acute pancreatitis: International state-of-the-science conference with recommendations. Pancreas 2018, 47, 653–666. [Google Scholar] [CrossRef]
- Khurana, V.; Ganguly, I. Recurrent acute pancreatitis. J. Pancreas 2014, 15, 413–426. [Google Scholar] [CrossRef]
- Tandan, M.; Nageshwar Reddy, D. Endotherapy in chronic pancreatitis. World J. Gastroenterol. 2013, 19, 6156–6164. [Google Scholar] [CrossRef]
- Freeman, M.L. Effective Endoscopic Management of Pancreatic Diseases. Gastrointest. Endosc. Clin. N. Am. 2013, 23, xi–xiii. [Google Scholar] [CrossRef] [PubMed]
- Klein, S.D.; Affronti, J.P. Pancreas divisum, an evidence-based review: Part I, pathophysiology. Gastrointest. Endoscop. 2004, 60, 419–425. [Google Scholar] [CrossRef]
- Türkvatan, A.; Erden, A.; Türkoğlu, M.A.; Yener, Ö. Congenital variants and anomalies of the pancreas and pancreatic duct: Imaging by magnetic resonance cholangiopancreaticography and multidetector computed tomography. Korean J. Radiol. 2013, 14, 905–913. [Google Scholar] [CrossRef] [PubMed] [PubMed Central]
- Zhao, X.; Wan, X.; Luo, M.; Du, M.; Xie, Q.; Zou, Q.; Mei, Y.; Liu, Y. Value of Magnetic Resonance Cholangiopancreatography in Santorinicele and Wirsungocele. Curr. Med. Imaging 2021, 17, 1451–1459. [Google Scholar] [CrossRef] [PubMed]
- Heyries, L.; Barthet, M.; Delvasto, C.; Zamora, C.; Bernard, J.P.; Sahel, J. Long-term results of endoscopic management of pancreas divisum with recurrent acute pancreatitis. Gastrointest. Endosc. 2002, 55, 376–381. [Google Scholar] [CrossRef]
- Gutta, A.; Fogel, E.; Sherman, S. Identification and management of pancreas divisum. Expert Rev. Gastroenterol. Hepatol. 2019, 13, 1089–1105. [Google Scholar] [CrossRef]
- Mao, Y.; Ni, J.; Peng, K.; Yu, Z.; Luo, S.; Xia, Y.; Fu, S.; Qu, Y.; Xu, K.; Lu, L.; et al. Superiority of Linear-Array EUS over MRCP in Diagnosing Pancreas Divisum: Evidence from a Multicenter Retrospective Study in Oriental Cohorts. Gastrointest Endosc. 2024, in press. [CrossRef]
- Lai, R.; Freeman, M.L.; Cass, O.W.; Mallery, S. Accurate diagnosis of pancreas divisum by linear-array endoscopic ultrasonography. Endoscopy 2004, 36, 705–709. [Google Scholar] [CrossRef]
- Bhutani, M.S.; Hoffman, B.J.; Hawes, R.H. Diagnosis of pancreas divisum by endoscopic ultrasonography. Endoscopy 1999, 31, 167–169. [Google Scholar] [CrossRef]
- Shen, Z.; Munker, S.; Zhou, B.; Zhang, H.; Liu, J. The accuracies of diagnosing pancreas divisum by magnetic resonance cholangiopancreatography and endoscopic ultrasound: A systematic review and meta-analysis. Sci. Rep. 2016, 6, 35389. [Google Scholar] [CrossRef]
- Nagahama, M.; Takano, Y.; Niiya, F.; Tamai, N.; Noda, J.; Yamawaki, M.; Azami, T. Early chronic pancreatitis findings by endoscopic ultrasonography (EUS) in asymptomatic patients with pancreas divisum. Diagnostics 2025, 15, 253. [Google Scholar] [CrossRef] [PubMed]
- Sharma, M.; Pathak, A.; Rameshbabu, C.S.; Rai, P.; Kirnake, V.; Shoukat, A. Imaging of pancreas divisum by linear-array endoscopic ultrasonography. Endosc Ultrasound. 2016, 5, 21–29. [Google Scholar] [CrossRef] [PubMed] [PubMed Central]
- Kochhar, S.; Prasad, A.; Singh, B.; Shaik, T.; Garg, N.; Cheriyath, P. The Epidemiology and Clinical Presentation of Pancreatic Divisum: A Case Series of 57 Case Reports. S. Med. J. 2024, 117, 159–164. [Google Scholar] [CrossRef]
- Bertin, C.; Pelletier, A.L.; Vullierme, M.P.; Bienvenu, T.; Rebours, V.; Hentic, O.; Maire, F.; Hammel, P.; Vilgrain, V.; Ruszniewski, P.; et al. Pancreas divisum is not a cause of pancreatitis by itself but acts as a partner of genetic mutations. Am. J. Gastroenterol. 2012, 107, 311–317. [Google Scholar] [CrossRef] [PubMed]
- de Jong, D.M.; Stassen, P.M.; Poley, J.W.; Fockens, P.; Timmer, R.; Voermans, R.P.; Verdonk, R.C.; Bruno, M.J.; de Jonge, P.J.F. Clinical outcome of endoscopic therapy in patients with symptomatic pancreas divisum: A Dutch cohort study. Endosc. Int. Open 2021, 9, E1164–E1170. [Google Scholar] [CrossRef]
- Lin, T.K.; Abu-El-Haija, M.; Nathan, J.D.; Palermo, J.P.; Barth, B.; Bellin, M.; Fishman, D.S.; Freedman, S.D.; Gariepy, C.E.; Giefer, M.J.; et al. Pancreas Divisum in Pediatric Acute Recurrent and Chronic Pancreatitis: Report From INSPPIRE. J. Clin. Gastroenterol. 2019, 53, e232–e238. [Google Scholar] [CrossRef]
- Neblett, W.W., III; O’Neill, J.A., Jr. Surgical management of recurrent pancreatitis in children with pancreas divisum. Ann. Surg. 2000, 231, 899–908. [Google Scholar] [CrossRef]







| Author | Study Type | No. of Patients | Age (Mean) | Key Points (Outcome/Conclusion) |
|---|---|---|---|---|
| White, J.J. 2014 [11] | Anatomy report | 8 | _ | |
| Adike, A. 2017 [12] | Review | _ | _ | The risk of acute and chronic pancreatitis is higher in patients with PD. |
| Chatterjee, A. 2023 [13] | Review | _ | _ | EUS provides high-resolution imaging of the pancreatic parenchyma and duct, making it ideal for diagnosing pancreatic duct anomalies |
| Singh, S.K. 2018 [14] | 32 | 14 | EUS is safe, sensitive, and effective for early CP diagnosis in children with ARP. | |
| Strand, D.S. 2022 [15] | Expert review from AGA | _ | _ | EUS is preferred for acute pancreatitis; minor papilla endotherapy may help PD with duct dilation or santorinicele. |
| Rana, S.S. 2012 [16] | Review | _ | _ | EUS is a minimally invasive tool for diagnosing PD and aiding dorsal duct drainage when minor papilla cannulation fails. |
| Mariani, A. 2014 [17] | Prospective Study | 36 | 55.6 | Over six years, 60% of PD patients with pancreatitis developed EUS findings of CP. |
| Kolodziejczyk, E. 2021 [18] | 83 | _ | MRCP should be first choice imaging method, before ERCP or EUS. | |
| Mitra, T. 2022 [19] | Prospective study of EUS vs. MRCP | 31 | _ | MRCP is the first-line imaging method, but EUS is superior in identifying biliary causes of acute pancreatitis, while MRCP is better for ductal anatomical assessment. |
| Vila, J.J. 2020 [20] | Prospective study of EUS vs. S-MRCP in IAP | 34 | 66.4 | EUS has higher diagnostic yield than S-MRCP for idiopathic acute pancreatitis (IAP) and detecting PD in three patients. |
| Shil, B.C. 2018 [21] | Prospective study of EUS for IAP etiologies | 109 | _ | EUS revealed a cause of acute pancreatitis in 56.79% of all patients. |
| Franco, M.C. 2017 [22] | Retrospective case series | 3 | 58 | EUS is a safe, reliable alternative to MRI for diagnosing pancreatic ductal anatomy variants. |
| Smith, I. 2015 [23] | Systematic review (13 studies) | _ | _ | EUS offers additional insights in 61% of idiopathic pancreatitis cases and should be used when conventional imaging fails. |
| Ashkar, M. 2014 [24] | Systematic review (9 studies on PD) | _ | _ | EUS is superior to MRCP and multiple detector CT in evaluating pancreas divisum. |
| Stevens, T. 2013 [25] | Review | _ | _ | EUS plays a key role in diagnosing pancreatitis and detecting PD. |
| Rana, S.S. 2013 [26] | Retrospective study | 20 | Radial EUS accurately detects PD in most chronic pancreatitis patients. | |
| Kadyada, S.P. 2019 [27] | Prospective Observational study | 45 | _ | EUS outperformed transabdominal ultrasound in detecting chronic pancreatitis. |
| Somani 2017 [28] | Review | _ | _ | EUS is accurate, safe, and effective for managing idiopathic pancreatitis. |
| Burdick, J.S. 2006 [29] | Review | _ | _ | Endoscopic intervention with prophylactic temporary stenting is advised as initial therapy of symptomatic pancreas divisum. |
| Guda, N.M. 2018 [30] | Expert review of the APA | _ | _ | EUS is a valuable diagnostic test for acute and recurrent pancreatitis. |
| Khurana, V. 2014 [31] | Review | EUS and MRCP reduce undiagnosed causes of IAP, with a focus on pancreas divisum as a potential cause. | ||
| Tandan, M. 2013 [32] | Review | _ | _ | Pancreatic sphincterotomy aids CP patients with minimal ductal changes, while minor papilla sphincterotomy helps PD and chronic pancreatitis patients. |
| Freeman, M.L. 2018 [33] | Review | _ | _ | EUS is preferred for acute pancreatitis; minor papilla endotherapy may help PD with outflow obstruction. |
| Klein, S.D. 2004 [34] | Evidence-based review | _ | _ | Pancreas divisum occurs in 10% of individuals, but its association with pancreatic disease is not significant. |
| Erden A. 2013 [35] | Retrospective study | _ | _ | Congenital anomalies of the pancreas and pancreatic duct are relatively uncommon and often discovered as an incidental finding in asymptomatic patients; however, some of these anomalies may lead to recurrent abdominal pain. |
| Zhao, X. 2021 [36] | Retrospective study | 65 | 55.68 | MRCP sensitivity for detecting santorinicele and wirsungocele was 68.8% and 76.5%, with pancreas divisum found in 77.1% and 11.8% of cases, respectively. |
| Heyries, L. 2002 [37] | Retrospective comparative study | 175 | _ | Dorsal duct stenting and minor papilla sphincterotomy reduce recurrent acute pancreatitis in PD, but have less impact on chronic pain. |
| Gutta, A. 2019 [38] | Review | _ | _ | Management of pancreatic disease with pancreas divisum requires individualized discussion to set expectations before treatment. |
| Mao, Y. 2024 [39] | Retrospective comparative study | 120 | _ | Linear EUS outperforms MRCP in diagnosing pancreas divisum, though its accuracy decreases with duct stones or severe pancreatitis. |
| Lai, R. 2004 [40] | Retrospective study | 162 | _ | Pancreas divisum prevalence was 13.6%. EUS had 97% accuracy, with 95% sensitivity, 97% specificity, and 99% negative predictive value. |
| Bhutani 1999 [41] | Retrospective comparative study | 6/30 | Absence of a stack sign on EUS may indicate pancreas divisum. | |
| Shen, Z. 2016 [42] | Systematic review | _ | _ | S-MRCP has the highest diagnostic accuracy, followed by EUS and MRCP. |
| Nagahama, M. 2025 [43] | Retrospective study | 17 | _ | A considerable proportion of asymptomatic patients with pancreas divisum exhibited EUS findings indicative of early chronic pancreatitis. |
| Sharma, M. 2016 [44] | Retrospective multicenter study | _ | _ | This article summarizes the different techniques of imaging of pancreatic duct in a suspected case of PD and gives a technical explanation of various signs. |
Disclaimer/Publisher’s Note: The statements, opinions and data contained in all publications are solely those of the individual author(s) and contributor(s) and not of MDPI and/or the editor(s). MDPI and/or the editor(s) disclaim responsibility for any injury to people or property resulting from any ideas, methods, instructions or products referred to in the content. |
© 2025 by the authors. Licensee MDPI, Basel, Switzerland. This article is an open access article distributed under the terms and conditions of the Creative Commons Attribution (CC BY) license (https://creativecommons.org/licenses/by/4.0/).
Share and Cite
Aseni, P.; Fanetti, I.; Ganguzza, E.; Bosco, S.; Fontana, P.; Armellino, A.; Gambitta, P. Role of Endoscopic Ultrasound in Diagnosis and Management of Pancreas Divisum: A Case Study and Literature Review. Appl. Sci. 2025, 15, 2948. https://doi.org/10.3390/app15062948
Aseni P, Fanetti I, Ganguzza E, Bosco S, Fontana P, Armellino A, Gambitta P. Role of Endoscopic Ultrasound in Diagnosis and Management of Pancreas Divisum: A Case Study and Literature Review. Applied Sciences. 2025; 15(6):2948. https://doi.org/10.3390/app15062948
Chicago/Turabian StyleAseni, Paolo, Ilaria Fanetti, Enrico Ganguzza, Sofia Bosco, Paola Fontana, Antonio Armellino, and Pietro Gambitta. 2025. "Role of Endoscopic Ultrasound in Diagnosis and Management of Pancreas Divisum: A Case Study and Literature Review" Applied Sciences 15, no. 6: 2948. https://doi.org/10.3390/app15062948
APA StyleAseni, P., Fanetti, I., Ganguzza, E., Bosco, S., Fontana, P., Armellino, A., & Gambitta, P. (2025). Role of Endoscopic Ultrasound in Diagnosis and Management of Pancreas Divisum: A Case Study and Literature Review. Applied Sciences, 15(6), 2948. https://doi.org/10.3390/app15062948

