Innovative Flavoring of Rapeseed Honey with Selected Essential Oils—Chemical, Antioxidant and Organoleptic Evaluation
Abstract
1. Introduction
2. Materials and Methods
2.1. Material and Chemicals
2.2. Essential Oils Distillation
2.3. Preparation of Flavored Honeys
2.4. Total Phenolic Content
2.5. Antioxidant Capacity
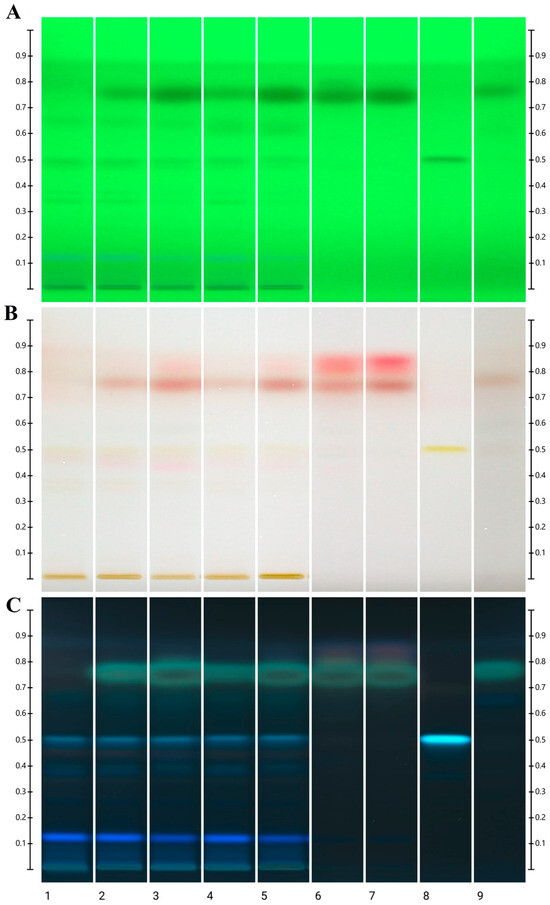
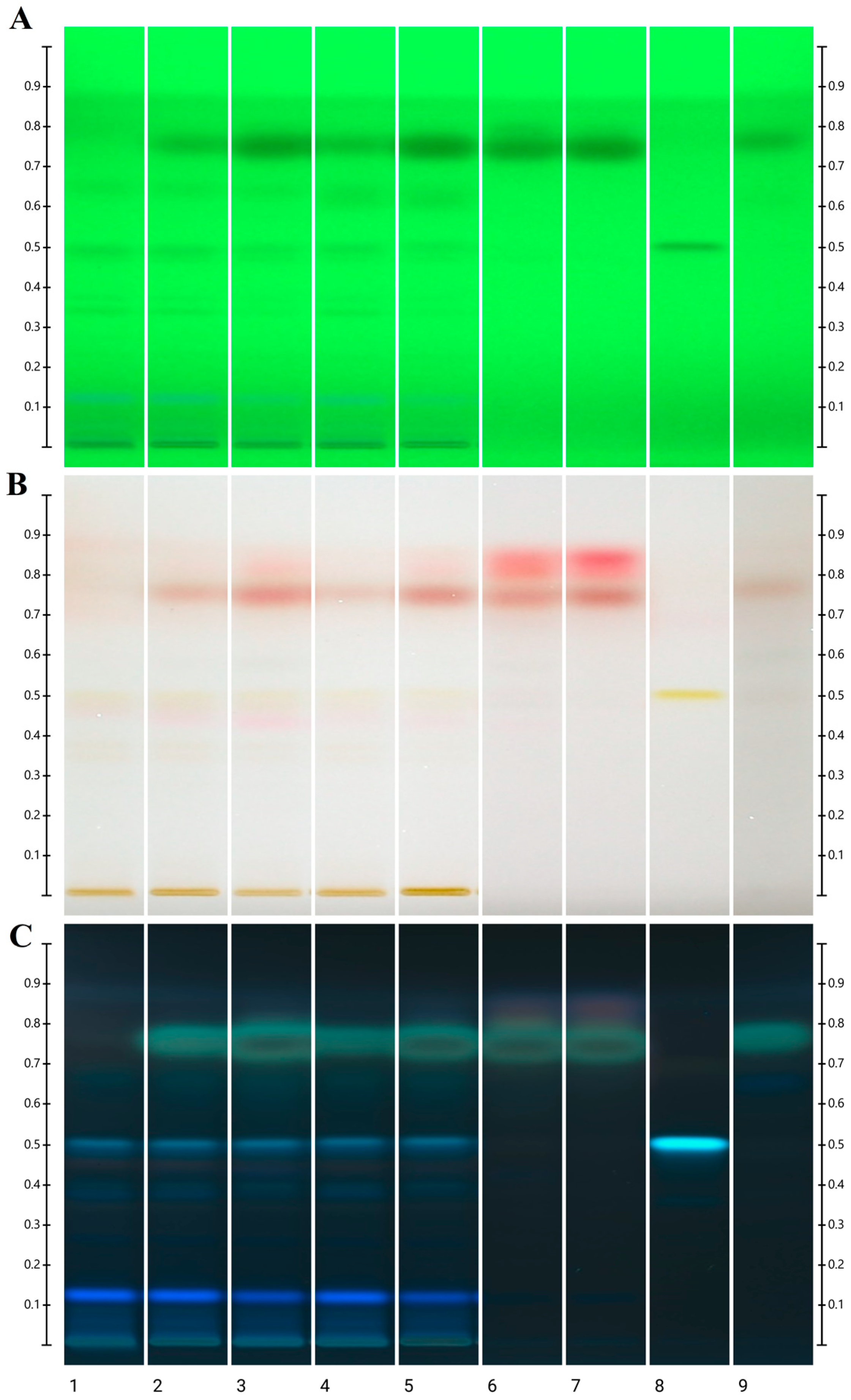
2.6. HPTLC Analysis
2.7. GC-MS Analysis
2.8. Organoleptic Evaluation
2.9. Statistical Analysis
3. Results and Discussion
3.1. Essential Oils Evaluation
3.2. Enriched Honeys Evaluation
4. Conclusions
Author Contributions
Funding
Institutional Review Board Statement
Informed Consent Statement
Data Availability Statement
Conflicts of Interest
Abbreviations
| GC-MS | Gas chromatography coupled with mass spectrometry |
| HPTLC | High performance thin layer chromatography |
| EO | Essential oil |
| DPPH | 2,2-Diphenyl-1-picrylhydrazyl |
| FRAP | Ferric reducing antioxidant power |
| VOCs | Volatile organic compounds |
| HS-SPME | Headspace solid-phase microextraction |
| TPC | Total phenolic content |
| GAE | Gallic acid equivalents |
| TE | Trolox equivalents |
| Rf | Retardation factor |
References
- Wilczyńska, A.; Newerli-Guz, J.; Szweda, P. Influence of the addition of selected spices on sensory quality and biological activity of honey. J. Food Qual. 2017, 2017, 6963904. [Google Scholar] [CrossRef]
- Tomczyk, M.; Miłek, M.; Sidor, E.; Kapusta, I.; Litwińczuk, W.; Puchalski, C.; Dżugan, M. The effect of adding the leaves and fruits of Morus alba to rape honey on its antioxidant properties, polyphenolic profile, and amylase activity. Molecules 2020, 25, 84. [Google Scholar] [CrossRef]
- Miłek, M.; Grabek-Lejko, D.; Stȩpień, K.; Sidor, E.; Mołoń, M.; Dżugan, M. The enrichment of honey with Aronia melanocarpa fruits enhances its in vitro and in vivo antioxidant potential and intensifies its antibacterial and antiviral properties. Food Funct. 2021, 12, 8920–8931. [Google Scholar] [CrossRef]
- Grabek-Lejko, D.; Miłek, M.; Sidor, E.; Puchalski, C.; Dżugan, M. Antiviral and antibacterial effect of honey enriched with Rubus spp. as a functional food with enhanced antioxidant properties. Molecules 2022, 27, 4859. [Google Scholar] [CrossRef]
- Miłek, M.; Ciszkowicz, E.; Sidor, E.; Hęclik, J.; Lecka-Szlachta, K.; Dżugan, M. The antioxidant, antibacterial and anti-biofilm properties of rapeseed creamed honey enriched with selected plant superfoods. Antibiotics 2023, 12, 235. [Google Scholar] [CrossRef] [PubMed]
- Štajner, D.; Popović, B.M.; Čanadanović-Brunet, J.; Dilas, S.; Ćetković, G. Nutritive composition and free radical scavenger activity of honey enriched with of Rosa spp. LWT-Food Sci. Technol. 2014, 55, 408–413. [Google Scholar] [CrossRef]
- Đorđević, S.; Nedić, N.; Pavlović, A.; Milojković-Opsenica, D.; Tešić, Ž.; Gašić, U. Honey with added value—Enriched with rutin and quercetin from Sophora flower. J. Herb. Med. 2022, 34, 100580. [Google Scholar] [CrossRef]
- Szanto, L.G.; Marc, R.A.; Mureşan, A.E.; Mureșan, C.C.; Puşacş, A.; Ranga, F.; Muste, S. Biofortification of acacia and polyflower honey with Pine sylvestris L. bud extracts: Exploring antioxidant variation across developmental stages for enhanced nutritional value. Plant Foods Hum. Nutr. 2025, 80, 47. [Google Scholar] [CrossRef]
- Wang, J.; Hao, J.; Wang, J.; Wang, S.; Fan, Z. Preparation of functional food with enhanced antioxidant properties by adding Aronia melanocarpa polyphenol honey. Foods 2024, 13, 3852. [Google Scholar] [CrossRef]
- Paduraru, E.; Jijie, R.; Simionov, I.A.; Gavrilescu, C.M.; Ilie, T.; Iacob, D.; Lupitu, A.; Moisa, C.; Muresan, C.; Copolovici, L.; et al. Honey Enriched with Additives Alleviates Behavioral, Oxidative Stress, and Brain Alterations Induced by Heavy Metals and Imidacloprid in Zebrafish. Int. J. Mol. Sci. 2024, 25, 11730. [Google Scholar] [CrossRef]
- Czipa, N.; Phillips, C.J.C.; Topa, E.; Kovács, B. Release of elements and phenolic and flavonoid compounds from herbs and spices into acacia honey during infusion. J. Food Sci. Technol. 2024, 1–10. [Google Scholar] [CrossRef] [PubMed]
- Żukowska, G.; Durczyńska, Z. Properties and applications of essential oils: A review. J. Ecol. Eng. 2024, 25, 333–340. [Google Scholar] [CrossRef] [PubMed]
- Paul, S.; Hmar, E.B.L.; Zothantluanga, J.H.; Sharma, H.K. Essential oils: A review on their salient biological activities and major delivery strategies. Sci. Vis. 2020, 20, 54–71. [Google Scholar] [CrossRef]
- Żebracka, A.; Winiarska-Mieczan, A.; Nowakowicz-Dębek, B.; Banach, M.; Drabik, A.; Pulit-Prociak, J.; Chmielowiec-Korzeniowska, A. Assessment of the microbiological quality and bactericidal properties of flavoured honey. Med. Weter. 2022, 78, 556–562. [Google Scholar] [CrossRef]
- Mateescu, C.; Duta, D.; Onisei, T.; Şerbancea, F.; Utoiu, C.; Manolache, F.A.; Dune, A. Flavored cream honey—A healthy food choice for consumers. In Proceedings of the ISB-INMA TEH 2020 International Symposium, Bucharest, Romania, 30 October 2020; pp. 236–245. [Google Scholar]
- Imtara, H.; Al-Waili, N.; Aboulghazi, A.; Abdellaoui, A.; Al-Waili, T.; Lyoussi, B. Chemical composition and antioxidant content of Thymus vulgaris honey and Origanum vulgare essential oil; their effect on carbon tetrachlorideinduced toxicity. Vet. World 2021, 14, 292–301. [Google Scholar] [CrossRef]
- Assaggaf, H.M.; Mrabti, H.N.; Rajab, B.S.; Attar, A.A.; Hamed, M.; Sheikh, R.A.; Bouyahya, A. Singular and combined effects of essential oil and honey of in vivo findings. Molecules 2022, 27, 5121. [Google Scholar] [CrossRef] [PubMed]
- Ángyán, V.D.; Balázs, V.L.; Kocsis, M.; Kocsis, B.; Horváth, G.; Farkas, Á.; Nagy-Radványi, L. Synergistic Antibiofilm Effects of Chestnut and Linden Honey with Lavender Essential Oil Against Multidrug-Resistant Otitis Media Pathogens. Antibiotics 2025, 14, 146. [Google Scholar] [CrossRef]
- Matłok, N.; Gorzelany, J.; Piechowiak, T.; Balawejder, M. Influence of drying temperature on the content of bioactive compounds in Scots pine (Pinus sylvestris L.) shoots as well as yield and composition of essential oils. Acta Univ. Cibiniensis Ser. E Food Technol. 2020, 24, 15–24. [Google Scholar] [CrossRef]
- Sarrami, S.; Mohajeri, F.A.; Sadeghizadeh-Yazdi, J.; Jambarsang, S.; Sadrabad, E.K. Chemical composition and antioxidant activity of clove essential oil and its effect on stability of sesame oil under accelerated condition. J. Nutr. Food Secur. 2023, 8, 343–352. [Google Scholar] [CrossRef]
- Zengin, H.; Baysal, A.H. Antioxidant and antimicrobial activities of thyme and clove essential oils and application in minced beef. J. Food Process. Preserv. 2015, 39, 1261–1271. [Google Scholar] [CrossRef]
- Caroko, N.; Hartati, I. Assessment of production rate and quality analysis of essential oil of clove oil obtained from hydro-distillation of clove leaves. E3S Web Conf. 2023, 425, 04007. [Google Scholar] [CrossRef]
- Alfikri, F.N.; Pujiarti, R.; Wibisono, M.G.; Hardiyanto, E.B. Yield, quality, and antioxidant activity of clove (Syzygium aromaticum L.) bud oil at the different phenological stages in young and mature trees. Scientifica 2020, 2020, 9701701. [Google Scholar] [CrossRef] [PubMed]
- Barbosa, R.F.S.; Yudice, E.D.C.; Mitra, S.K.; Rosa, D.S. Characterization of rosewood and cinnamon cassia essential oil polymeric capsules: Stability, loading efficiency, release rate and antimicrobial properties. Food Control 2021, 121, 107605. [Google Scholar] [CrossRef]
- Hasibuan, R.; Hidayati, J.; Iqbal, M.; Pratama, M.F.D.; Fazillah, R.; Pramananda, V. Extraction of essential oil from cinnamon (Cinnamomum burmannii) bark using microwave assisted extraction method. IOP Conf. Ser. Earth Environ. Sci. 2024, 1352, 012003. [Google Scholar] [CrossRef]
- Abeysekera, W.P.K.M.; Premakumara, G.A.S.; Ratnasooriya, W.D. In vitro antioxidant properties of leaf and bark extracts of Ceylon cinnamon (Cinnamomum zeylanicum Blume). Trop. Agric. Res. 2013, 24, 128–138. [Google Scholar]
- Dev, M.; Ghosh, M.; Bhattacharyya, D.K. Effects of temperature and time of roasting on the physicochemical and antimicrobial characteristics of cinnamon bark oil. Int. J. Pharm. Sci. Res. 2021, 12, 6692–6695. [Google Scholar] [CrossRef]
- Kamaliroosta, L. Extraction of cinnamon essential oil and identification of its chemical compounds. J. Med. Plants Res. 2012, 6, 609–614. [Google Scholar] [CrossRef]
- Aydin, S. The investigation of total phenolic content and antioxidant properties of some essential oils in Turkey. Biol. Nyssana 2024, 15, 23–27. [Google Scholar] [CrossRef]
- Brodowska, M.K.; Brodowska, J.A.; Śmigielski, K.; Łodyga-Chruścińska, E. Antioxidant profile of essential oils and extracts of cinnamon bark (Cinnamomum cassia). Eur. J. Biol. Res. 2016, 6, 310–316. [Google Scholar] [CrossRef]
- Martiniaková, S.; Ácsová, A.; Hojerová, J.; Krepsová, Z.; Kreps, F. Ceylon cinnamon and clove essential oils as promising free radical scavengers for skin care products. Acta Chim. Slovaca 2022, 15, 1–11. [Google Scholar] [CrossRef]
- Shahina, Z.; Molaeitabari, A.; Sultana, T.; Dahms, T.E.S. Cinnamon leaf and clove essential oils are potent inhibitors of Candida albicans virulence traits. Microorganisms 2022, 10, 1989. [Google Scholar] [CrossRef] [PubMed]
- Gotmare, S.; Tambe, E. Identification of chemical constituents of cinnamon bark oil by GCMS and comparative study garnered from five different countries. Front. Res. C Biol. Sci. 2019, 19, 33–42. [Google Scholar]
- Alizadeh Behbahani, B.; Falah, F.; Lavi Arab, F.; Vasiee, M.; Tabatabaee Yazdi, F. Chemical composition and antioxidant, antimicrobial, and antiproliferative activities of Cinnamomum zeylanicum bark essential oil. Evid.-Based Complement. Altern. Med. 2020, 5190603. [Google Scholar] [CrossRef]
- Sowa, P.; Tarapatskyy, M.; Puchalski, C.; Dżugan, M. Quality evaluation of cinnamon marketed in Poland on the basis of determining ratio of cinnamaldehyde-to-coumarin content. Zywnosc. Nauka. Technol. Jakosc 2019, 26, 113–125. [Google Scholar] [CrossRef]
- Nurzyńska-Wierdak, R. Terapeutyczne właściwości olejków eterycznych. Ann. Univ. Mariae Curie-Sklodowska Sectio EEE Hortic. 2015, 25, 1–19. (In Polish) [Google Scholar]
- Kędzierska-Matysek, M.; Stryjecka, M.; Teter, A.; Skałecki, P.; Domaradzki, P.; Florek, M. Relationships between the content of phenolic compounds and the antioxidant activity of Polish honey varieties as a tool for botanical discrimination. Molecules 2021, 26, 1810. [Google Scholar] [CrossRef]
- Ruisinger, B.; Schieberle, P. Characterization of the key aroma compounds in rape honey by means of the molecular sensory science concept. J. Agric. Food Chem. 2012, 60, 4186–4194. [Google Scholar] [CrossRef] [PubMed]
- Predanócyová, K.; Šedík, P. Honey market challenges: Flavored honey as healthy food choice for consumers. J. Microbiol. Biotechnol. Food Sci. 2024, 13, 1–7. [Google Scholar] [CrossRef]



| Essential Oil | Total Phenolic Content [mg GAE/mL] | DPPH [μmol TE/mL] | |
|---|---|---|---|
| Cinnamon | commercial | 409.03 ± 2.98 | 538.00 ± 4.03 |
| distilled | 1.98 ± 0.26 *** | 0.61 ± 0.22 *** | |
| Clove | commercial | 591.15 ± 4.09 | 1195.16 ± 43.51 |
| distilled | 698.66 ± 1.49 *** | 1350.42 ± 17.91 ** | |
| R.T. [min] | Compound | CAS No | R.I. (Calc.) | R.I. (Ref.) | Essential Oil | |||
|---|---|---|---|---|---|---|---|---|
| % of Total Peak Area | ||||||||
| Cinnamon C | Cinnamon D | Clove C | Clove D | |||||
| 6.564 | styrene | 100-42-5 | 890 | 890–891 | tr | nd | nd | nd |
| 7.697 | 3-carene | 13466-78-9 | 938 | 1004–1011 | tr | 0.140 | nd | nd |
| 8.045 | camphene | 79-92-5 | 953 | 952–953 | nd | 0.083 | nd | nd |
| 8.288 | 4-benzoyl-3-phenyl-5-isoxazoline | 41836-94-6 | 963 | N/A | nd | 0.235 | nd | nd |
| 8.704 | pseudolimonene | 499-97-8 | 980 | 996–1005 | tr | tr | nd | nd |
| 9.718 | p-cymene | 99-87-6 | 1028 | 1026–1033 | tr | tr | nd | nd |
| 9.811 | D-limonene | 138-86-3 | 1033 | 1031–1039 | tr | 0.107 | nd | nd |
| 9.861 | eucalyptol | 470-82-6 | 1035 | 1030–1039 | nd | 0.415 | nd | nd |
| 11.146 | linalool | 78-70-6 | 1102 | 1098–1112 | 1.872 | tr | nd | nd |
| 11.425 | fenchol | 1195-79-5 | 1119 | 1094 | nd | tr | nd | nd |
| 11.956 | benzofuran, 2-methyl- | 4265-25-2 | 1151 | 1109 | nd | 0.095 | nd | nd |
| 12.047 | 4-isopropyl-1-phenyl-hexa-1,5-dien-3-ol | N/A | 1156 | N/A | nd | tr | nd | nd |
| 12.239 | isobornyl methyl ether | 5331-32-8 | 1168 | N/A | nd | 0.196 | nd | nd |
| 12.248 | benzenepropanal | 104-53-0 | 1169 | N/A | nd | 0.728 | nd | nd |
| 12.702 | terpinen-4-ol | 562-74-3 | 1178 | 1177–1179 | nd | 0.187 | nd | nd |
| 12.713 | L-alpha-terpineol | 98-55-5 | 1196 | 1185–1207 | 0.153 | 0.393 | nd | nd |
| 12.762 | methyl salicylate | 119-36-8 | 1199 | 1190–1206 | nd | nd | 0.064 | 0.147 |
| 13.152 | (Z)-cinnamaldehyde | 57194-69-1 | 1226 | 1214–1215 | 0.192 | 0.768 | nd | nd |
| 13.455 | trans-verbenol | 1820-09-3 | 1246 | 1144–1150 | 0.280 | nd | nd | nd |
| 13.606 | phenol, 4-(2-propenyl) | 501-92-8 | 1256 | 1253–1254 | nd | nd | 0.139 | 0.835 |
| 13.906 | (E)-cinammaldehyde | 14371-10-9 | 1277 | 1266–1287 | 34.615 | 89.615 | nd | 0.912 |
| 14.148 | bornyl actetate | 76-49-3 | 1293 | 1285–1302 | nd | nd | 0.132 | nd |
| 14.473 | 2-propen-1-ol, 3-phenyl | 104-54-1 | 1316 | 1259–1312 | nd | 0.099 | nd | nd |
| 15.194 | eugenol | 97-53-0 | 1356 | 1351–1356 | 59.584 | 0.085 | 78.551 | 78.826 |
| 15.464 | copaene | 18252-44-3 | 1389 | 1416 | tr | 0.541 | 0.183 | 0.834 |
| 15.713 | cinnamaldehyde dimethyl acetal | 4364-06-1 | 1408 | N/A | nd | 0.362 | nd | nd |
| 16.074 | caryophyllene | 87-44-5 | 1437 | 1428–1467 | 0.709 | 0.102 | 7.125 | 8.965 |
| 16.254 | cinnamyl acetate | 21040-45-9 | 1451 | 1433 | 0.671 | nd | nd | 0.051 |
| 16.308 | 1,6-diphenyl-1,5-hexadiene | 4439-45-6 | 1455 | N/A | nd | 4.446 | nd | nd |
| 16.504 | alpha-humulene | 6753-98-6 | 1471 | 1444–1454 | tr | nd | 0.759 | 1.244 |
| 16.717 | isoledene | 95910-36-4 | 1488 | 1373–1723 | nd | nd | 0.025 | nd |
| 16.760 | alpha-muurolene | 10208-80-7 | 1491 | 1480–1499 | nd | 0.356 | nd | nd |
| 16.838 | germacrene d | 23986-74-5 | 1497 | N/A | nd | nd | nd | 0.171 |
| 17.265 | eugenol acetate | 93-28-7 | 1533 | 1524 | 1.283 | nd | 12.186 | 6.345 |
| 17.315 | cadina-1(6),4-diene | 16729-00-3 | 1537 | N/A | nd | 0.557 | nd | 1.098 |
| 17.443 | alpha-cubebene | 17699-14-8 | 1548 | 1345–1351 | nd | nd | nd | 0.198 |
| 17.638 | (Z)-2-methoxycinnamaldehyde | 76760-43-5 | 1565 | N/A | nd | 0.490 | nd | nd |
| 17.725 | 1H-indene, 1-ethylideneoctahydro-7a-methyl-, cis- | 56362-87-9 | 1572 | N/A | nd | nd | 0.121 | nd |
| 18.109 | caryophyllene oxide | 1139-30-6 | 1604 | 1573–1606 | tr | nd | 0.394 | 0.374 |
| 19.229 | 2′,3′,4′ trimethoxyacetophenone | 13909-73-4 | 1702 | N/A | nd | nd | 0.321 | nd |
| 20.058 | benzyl benzoate | 120-51-4 | 1742 | 1762 | 0.641 | nd | nd | nd |
| TPC [mg GAE/100 g] | FRAP [μmol TE/100 g] | DPPH [μmol TE/100 g] | ||||
|---|---|---|---|---|---|---|
| 1 Month | 6 Months | 1 Month | 6 Months | 1 Month | 6 Months | |
| Control | 19.44 ± 1.01 a | 20.85 ± 2.25 a | 29.65 ± 0.89 a | 37.34 ± 6.81 a | 18.29 ± 3.85 a | 22.01 ± 2.34 a |
| Cinnamon C 0.1 | 112.35 ± 12.89 b | 109.00 ± 7.43 b | 453.13 ± 14.80 b* | 431.74 ± 14.56 b* | 245.63 ± 79.94 b* | 189.55 ± 25.52 b* |
| Cinnamon C 0.3 | 261.53 ± 20.13 c* | 239.58 ± 41.70 c* | 1379.11 ± 51.62 c | 1393.91 ± 79.28 c | 564.24 ± 70.92 c* | 428.03 ± 34.04 c* |
| Cinnamon D 0.1 | 20.80 ± 0.56 a | 22.30 ± 0.36 a | 31.62 ± 0.68 d | 36.64 ± 6.19 a | 19.80 ± 1.45 a | 20.35 ± 1.38 a |
| Cinnamon D 0.3 | 19.74 ± 1.54 a | 22.23 ± 1.64 a | 29.81 ± 1.27 a,d | 40.95 ± 10.05 a | 21.09 ± 3.24 a | 20.22 ± 1.25 a |
| Clove C 0.1 | 115.56 ± 2.88 b | 125.65 ± 4.89 b | 601.18 ± 27.21 b* | 767.27 ± 7.26 b* | 249.16 ± 29.06 b | 265.39 ± 66.67 b |
| Clove C 0.3 | 235.40 ± 13.32 c | 246.09 ± 6.18 c | 1735.79 ± 14.30 c* | 2082.85 ± 141.53 c* | 683.88 ± 30.33 c* | 539.21 ± 44.86 c* |
| Clove D 0.1 | 142.97 ± 30.63 b* | 124,72 ± 4.92 b* | 699.12 ± 136.70 b | 764.80 ± 21.03 b | 294.06 ± 25.44 d* | 236.54 ± 8.85 b* |
| Clove D 0.3 | 243.67 ± 15.21 c | 248.42 ± 10.11 c | 1717.93 ± 80.73 c* | 2190.17 ± 127.23 d* | 650.96 ± 22.79 e* | 513.69 ± 6.65 c* |
| R.T. [min] | Compound | CAS No | R.I. (Calc.) | R.I. (Ref.) | Honey | ||||
|---|---|---|---|---|---|---|---|---|---|
| % of Total Peak Area | |||||||||
| Control | +Cinnamon C 0.3% | +Cinnamon D 0.3% | +Clove C 0.3% | +Clove D 0.3% | |||||
| 6.56 | styrene | 100-42-5 | 772 | 890–895 | nd | nd | tr | nd | nd |
| 7.701 | 3-carene | 13466-78-9 | 938 | 1004–1011 | nd | nd | 0.162 | nd | nd |
| 8.055 | camphene | 79-92-5 | 953 | 952–953 | nd | nd | tr | nd | nd |
| 8.285 | 4-benzoyl-3-phenyl-5-isoxazoline | 41836-94-6 | 963 | N/A | nd | nd | tr | nd | nd |
| 8.316 | benzaldehyde | 100-52-7 | 964 | 961–996 | nd | 0.212 | 1.311 | nd | nd |
| 8.754 | pseudolimonene | 499-97-8 | 982 | 996–1005 | nd | nd | tr | nd | nd |
| 9.012 | tert-butylbenzene | 98-06-6 | 993 | 991 | nd | nd | tr | nd | nd |
| 9.132 | benzofuran | 271-89-6 | 998 | 986 | nd | nd | tr | nd | nd |
| 9.813 | D-limonene | 138-86-3 | 1033 | 1031–1039 | nd | nd | 0.179 | nd | nd |
| 9.871 | eucalyptol | 470-82-6 | 1036 | 1030–1039 | nd | nd | 2.588 | nd | nd |
| 10.525 | ethanone, 2-(formyloxy)-1-phenyl | 55153-12-3 | 1070 | N/A | nd | nd | tr | nd | nd |
| 10.717 | 2,5-furandicarboxaldehyde | 823-82-5 | 1080 | 1034 | 3.184 | nd | nd | nd | nd |
| 10.865 | alpha-campholenal | 4501-58-0 | 1087 | 1127–1130 | nd | nd | tr | nd | nd |
| 10.962 | cyclohexene, 1-methyl-4-(1-methyletylidene) | 586-62-9 | 1092 | 1084–1096 | nd | nd | tr | nd | nd |
| 11.392 | 2-phenylethanol | 60-12-8 | 1117 | 1110–1122 | 6.149 | nd | nd | 0.021 | 0.022 |
| 11.405 | linalool | 78-70-6 | 1118 | 1098–1112 | nd | 1.868 | 0.167 | nd | nd |
| 11.952 | benzofuran, 2-methyl- | 4265-25-2 | 1151 | 1109 | nd | nd | 0.641 | nd | nd |
| 12.245 | benzenepropanal | 104-53-0 | 1168 | 1160–1178 | nd | nd | 1.042 | nd | nd |
| 12.272 | benzoic acid | 65-85-0 | 1170 | 1171–1310 | 9.857 | nd | nd | 0.034 | nd |
| 12.387 | isobornyl methyl ether | 5331-32-8 | 1177 | N/A | nd | nd | 0.207 | nd | nd |
| 12.623 | 3,7-octadiene-2,6-diol, 2,6-dimethyl | 13741-21-4 | 1191 | 1189–1204 | 4.532 | nd | nd | nd | nd |
| 12.701 | L-alpha-terpineol | 98-55-5 | 1196 | 1185–1207 | nd | 0.153 | 1.089 | nd | nd |
| 12.765 | methyl salicylate | 119-36-8 | 1204 | 1190–1206 | nd | nd | nd | 0.046 | 0.129 |
| 13.156 | (Z)-cinnamaldehyde | 57194-69-1 | 1229 | 1214–1215 | nd | 0.193 | 0.661 | nd | nd |
| 13.449 | trans-verbenol | 1820-09-3 | 1248 | 1144–1150 | nd | 0.279 | nd | nd | nd |
| 13.600 | phenol, 4-(2-propenyl) | 501-92-8 | 1258 | 1253–1254 | nd | nd | nd | 0.308 | 0.572 |
| 13.910 | (E)-cinnamaldehyde | 14371-10-9 | 1278 | 1266–1287 | nd | 34.541 | 90.288 | nd | 0.896 |
| 14.150 | bornyl acetate | 76-49-3 | 1293 | 1285–1302 | nd | nd | tr | 0.042 | nd |
| 15.187 | eugenol | 97-53-0 | 1356 | 1351–1356 | nd | 59.457 | 0.87 | 96.447 | 94.379 |
| 15.478 | copaene | 18252-44-3 | 1390 | 1416 | nd | nd | 0.33 | nd | nd |
| 15.711 | cinnamaldehyde dimethyl acetal | 4364-06-1 | 1408 | N/A | nd | nd | tr | nd | nd |
| 16.072 | caryophyllene | 87-44-5 | 1436 | 1428–1467 | nd | 0.707 | tr | 0.246 | 1.901 |
| 16.180 | 3,5-dimethoxybenzaldehyde | 7311-34-4 | 1445 | N/A | 2.935 | nd | nd | nd | nd |
| 16.250 | cinnamyl acetate | 21040-45-9 | 1451 | 1433 | nd | 0.67 | nd | nd | 0.026 |
| 16.264 | methoxyacetic acid, 3-phenyl-2-propenyl ester | 7492-65-1 | 1452 | N/A | nd | nd | tr | nd | nd |
| 16.300 | 1,6-diphenyl-1,5-hexadiene | 4439-45-6 | 1455 | N/A | nd | nd | tr | nd | nd |
| 16.323 | shyobunol | 69350-61-4 | 1456 | 1505–1517 | 2.17 | nd | nd | nd | nd |
| 16.504 | alpha-humulene | 6753-98-6 | 1471 | 1444–1454 | nd | nd | nd | 0.028 | 0.28 |
| 16.588 | 2,5-di-tert-butyl-1,4-benzoquinone | 2460-77-7 | 1477 | N/A | 6.609 | nd | nd | nd | nd |
| 16.830 | germacrene D | 23986-74-5 | 1497 | N/A | nd | nd | nd | nd | 0.089 |
| 17.048 | alpha-muurolene | 10208-80-7 | 1515 | 1480–1499 | nd | nd | 0.174 | nd | nd |
| 17.071 | 2,4-di-tert-butylphenol | 96-76-4 | 1517 | 1502 | 31.366 | nd | nd | 0.033 | 0.063 |
| 17.133 | butylated hydroxytoluene | 128-37-0 | 1522 | 1504–1512 | 2.2 | nd | nd | nd | nd |
| 17.254 | eugenol acetate | 93-28-7 | 1532 | 1524 | nd | 1.281 | nd | 2.556 | 1.317 |
| 17.315 | cadina-1(6),4-diene | 16729-00-3 | 1537 | N/A | nd | nd | 0.291 | nd | 0.21 |
| 17.442 | alpha-cubebene | 17699-14-8 | 1548 | 1345–1351 | nd | nd | nd | nd | 0.051 |
| 17.521 | 2-hexadecanol | 14852-31-4 | 1555 | N/A | 4.556 | nd | nd | nd | nd |
| 17.640 | (Z)-2-methoxycinnamaldehyde | 76760-43-5 | 1565 | N/A | nd | nd | tr | nd | nd |
| 18.115 | caryophyllene oxide | 1139-30-6 | 1605 | 1573–1606 | nd | nd | tr | 0.057 | 0.049 |
| 18.850 | 1,3,5,6,7-pentamethylbicyclo [3.2.0]hepta-2,6-diene | 2422-86-8 | 1670 | N/A | 15.126 | nd | nd | 0.022 | 0.016 |
| 18.592 | phenol, 2.6-bis(1,1-dimethylethyl)-4-(1-methylpropyl)- | 34624-81-2 | 1647 | N/A | nd | nd | tr | nd | nd |
| 19.226 | 2′,3′,4′ trimethoxyacetophenone | 13909-73-4 | 1702 | N/A | nd | nd | nd | 0.16 | nd |
| 19.505 | benzoic acid, 3,4,5-trimethoxy-, methyl ester | 1916-07-0 | 1715 | N/A | 3.309 | nd | nd | nd | nd |
| 20.092 | benzyl benzoate | 120-51-4 | 1744 | 1762 | nd | 0.639 | tr | nd | nd |
| 21.558 | 7,9-di-tert-butyl-1-oxaspiro(4,5)deca-6,9-diene-2,8-dione | 82304-66-3 | 1829 | N/A | 4.576 | nd | nd | nd | nd |
| 21.968 | phthalic acid, butyl 2-pentyl ester | 3461-29-8 | 1871 | N/A | 3.431 | nd | nd | nd | nd |
Disclaimer/Publisher’s Note: The statements, opinions and data contained in all publications are solely those of the individual author(s) and contributor(s) and not of MDPI and/or the editor(s). MDPI and/or the editor(s) disclaim responsibility for any injury to people or property resulting from any ideas, methods, instructions or products referred to in the content. |
© 2025 by the authors. Licensee MDPI, Basel, Switzerland. This article is an open access article distributed under the terms and conditions of the Creative Commons Attribution (CC BY) license (https://creativecommons.org/licenses/by/4.0/).
Share and Cite
Miłek, M.; Dżugan, M.; Strzałka, A.; Tumidajewicz, P.; Piechowiak, T.; Tomczyk, M. Innovative Flavoring of Rapeseed Honey with Selected Essential Oils—Chemical, Antioxidant and Organoleptic Evaluation. Appl. Sci. 2025, 15, 11036. https://doi.org/10.3390/app152011036
Miłek M, Dżugan M, Strzałka A, Tumidajewicz P, Piechowiak T, Tomczyk M. Innovative Flavoring of Rapeseed Honey with Selected Essential Oils—Chemical, Antioxidant and Organoleptic Evaluation. Applied Sciences. 2025; 15(20):11036. https://doi.org/10.3390/app152011036
Chicago/Turabian StyleMiłek, Michał, Małgorzata Dżugan, Alicja Strzałka, Patrycja Tumidajewicz, Tomasz Piechowiak, and Monika Tomczyk. 2025. "Innovative Flavoring of Rapeseed Honey with Selected Essential Oils—Chemical, Antioxidant and Organoleptic Evaluation" Applied Sciences 15, no. 20: 11036. https://doi.org/10.3390/app152011036
APA StyleMiłek, M., Dżugan, M., Strzałka, A., Tumidajewicz, P., Piechowiak, T., & Tomczyk, M. (2025). Innovative Flavoring of Rapeseed Honey with Selected Essential Oils—Chemical, Antioxidant and Organoleptic Evaluation. Applied Sciences, 15(20), 11036. https://doi.org/10.3390/app152011036

