Ligilactobacillus salivarius UMNPBX2 Cell-Free Extract Has Antiviral Effects on H4N6 Low-Pathogenic Avian Influenza Virus Subtype in Madin–Darby Canine Kidney Cell Line and Embryonated Chicken Eggs
Featured Application
Abstract
1. Introduction
2. Materials and Methods
2.1. Bacterial Culture and CFE Preparation
2.1.1. L. salivarius UMNPBX2
2.1.2. CFE Preparation
2.2. AIV Propagation in Madin–Darby Canine Kidney (MDCK) Cell Line
2.3. Determining the Cytotoxicity of CFE on MDCK Cells
2.4. Determining the Antiviral Effect of CFE on H4N6 in MDCK Cells
2.4.1. CFE and H4N6 Interactions In Vitro
2.4.2. Infection of MDCK Cells with Treatments
2.5. Determining the Growth of AI Virus in MDCK Cells
2.6. Determining the Immune Gene Expression in MDCK Cells Using Quantitative Reverse Transcription PCR (RT-qPCR)
2.6.1. Effect of CFE on Immune Genes in MDCK Cells
2.6.2. RNA Extraction and cDNA Synthesis
2.6.3. RT-qPCR
2.7. In Ovo Experiments
2.7.1. Virus Inoculation of Embryonated Chicken Eggs
2.7.2. Evaluation of the Growth of AI Virus in Embryonated Chicken Eggs
2.7.3. Determining the Antiviral Activity of CFE on H4N6 Virus in Embryonated Chicken Eggs
2.7.4. Effect of CFE on Embryo Survival in H4N6 Virus-Infected Eggs
2.8. Statistical Analysis
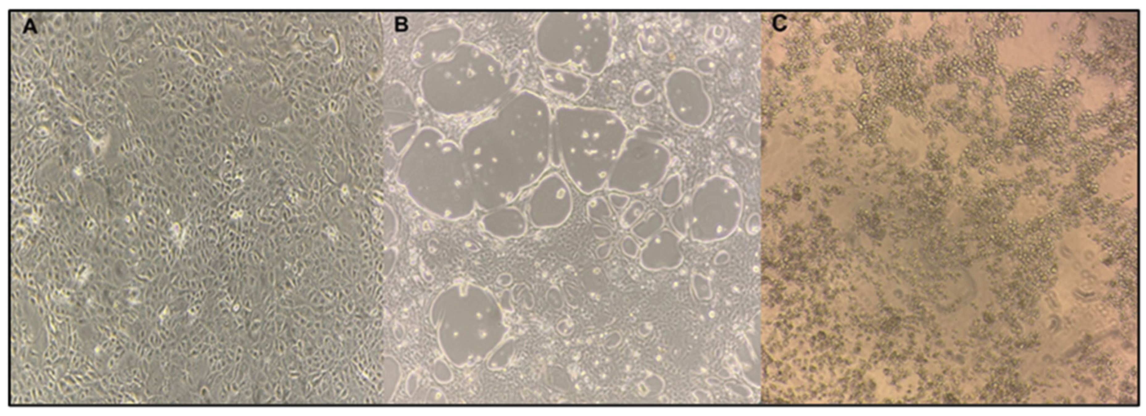
3. Results and Discussion
4. Conclusions
Supplementary Materials
Author Contributions
Funding
Institutional Review Board Statement
Informed Consent Statement
Data Availability Statement
Acknowledgments
Conflicts of Interest
Correction Statement
References
- CDC Bird Flu. Available online: https://www.cdc.gov/bird-flu/index.html (accessed on 13 September 2024).
- World Health Organization. Regional Office for the Western Pacific. 2024. Avian Influenza Weekly Update 2025. Available online: https://iris.who.int/handle/10665/380024 (accessed on 1 September 2025).
- Alqazlan, N.; Astill, J.; Raj, S.; Sharif, S. Strategies for Enhancing Immunity against Avian Influenza Virus in Chickens: A Review. Avian Pathol. 2022, 51, 211–235. [Google Scholar] [CrossRef]
- Ladman, B.S.; Gelb, J.; Sauble, L.A.; Murphy, M.V.; Spackman, E. Protection Afforded by Avian Influenza Vaccination Programmes Consisting of a Novel RNA Particle and an Inactivated Avian Influenza Vaccine against a Highly Pathogenic Avian Influenza Virus Challenge in Layer Chickens up to 18 Weeks Post-Vaccination. Avian Pathol. 2019, 48, 371–381. [Google Scholar] [CrossRef]
- Shojadoost, B.; Kulkarni, R.R.; Brisbin, J.T.; Quinteiro-Filho, W.; Alkie, T.N.; Sharif, S. Interactions between Lactobacilli and Chicken Macrophages Induce Antiviral Responses against Avian Influenza Virus. Res. Vet. Sci. 2019, 125, 441–450. [Google Scholar] [CrossRef]
- Majumder, R.; Alam, M.B.; Paudel, K.R.; Ahmed, K.A.; Devkota, H.P.; Lee, S.-H.; Hansbro, P.M.; Park, Y.-H. Anti-Influenza Virus Potential of Probiotic Strain Lactoplantibacillus plantarum YML015 Isolated from Korean Fermented Vegetable. Fermentation 2022, 8, 572. [Google Scholar] [CrossRef]
- Alqazlan, N.; Alizadeh, M.; Boodhoo, N.; Taha-Abdelaziz, K.; Nagy, E.; Bridle, B.; Sharif, S. Probiotic Lactobacilli Limit Avian Influenza Virus Subtype H9N2 Replication in Chicken Cecal Tonsil Mononuclear Cells. Vaccines 2020, 8, 605. [Google Scholar] [CrossRef] [PubMed]
- Talebi, A.; Amani, A.; Pourmahmod, M.; Saghaei, P.; Rezaie, R. Synbiotic Enhances Immune Responses against Infectious Bronchitis, Infectious Bursal Disease, Newcastle Disease and Avian Influenza in Broiler Chickens. Vet. Res. Forum 2015, 6, 191–197. [Google Scholar]
- Akhtar, T.; Ara, G.; Ali, N.; ud Din Mufti, F.; Imran Khan, M. Effects of Dietary Supplementation of Mannan-Oligosaccharide on Virus Shedding in Avian Influenza (H9N2) Challenged Broilers. Iran. J. Vet. Res. 2016, 17, 268–272. [Google Scholar] [PubMed]
- Barbour, E.K.; Yaghi, R.H.; Jaber, L.S.; Shaib, H.A.; Harakeh, S. Safety and Antiviral Activity of Essential Oil Against Avian Influenza and NewCastle Disease Viruses. Int. J. Appl. Res. Vet. Med. 2010, 8, 60–64. [Google Scholar]
- Abou Baker, D.H.; Amarowicz, R.; Kandeil, A.; Ali, M.A.; Ibrahim, E.A. Antiviral Activity of Lavandula angustifolia L. and Salvia officinalis L. Essential Oils against Avian Influenza H5N1 Virus. J. Agric. Food Res. 2021, 4, 100135. [Google Scholar] [CrossRef]
- Raj, S.; Matsuyama-Kato, A.; Alizadeh, M.; Boodhoo, N.; Nagy, E.; Mubareka, S.; Karimi, K.; Behboudi, S.; Sharif, S. Treatment with Toll-like Receptor (TLR) Ligands 3 and 21 Prevents Fecal Contact Transmission of Low Pathogenic H9N2 Avian Influenza Virus (AIV) in Chickens. Viruses 2023, 15, 977. [Google Scholar] [CrossRef]
- Farrukee, R.; Hurt, A.C. Antiviral Drugs for the Treatment and Prevention of Influenza. Curr. Treat. Options Infect. Dis. 2017, 9, 318–332. [Google Scholar] [CrossRef]
- Hussain, M.; Galvin, H.D.; Haw, T.Y.; Nutsford, A.N.; Husain, M. Drug Resistance in Influenza A Virus: The Epidemiology and Management. Infect. Drug Resist. 2017, 10, 121–134. [Google Scholar] [CrossRef]
- Seo, B.J.; Rather, I.A.; Kumar, V.J.R.; Choi, U.H.; Moon, M.R.; Lim, J.H.; Park, Y.H. Evaluation of Leuconostoc mesenteroides YML003 as a Probiotic against Low-Pathogenic Avian Influenza (H9N2) Virus in Chickens: Probiotic against H9N2 Virus in Chickens. J. Appl. Microbiol. 2012, 113, 163–171. [Google Scholar] [CrossRef]
- Tharmaraj, N.; Shah, N.P. Selective Enumeration of Lactobacillus Delbrueckii Ssp. Bulgaricus, Streptococcus Thermophilus, Lactobacillus Acidophilus, Bifidobacteria, Lactobacillus Casei, Lactobacillus Rhamnosus, and Propionibacteria. J. Dairy. Sci. 2003, 86, 2288–2296. [Google Scholar] [CrossRef] [PubMed]
- Nair, D.V.T.; Kollanoor-Johny, A. Effect of Propionibacterium Freudenreichii on Salmonella Multiplication, Motility, and Association with Avian Epithelial Cells1. Poult. Sci. 2017, 96, 1376–1386. [Google Scholar] [CrossRef]
- Youil, R.; Su, Q.; Toner, T.J.; Szymkowiak, C.; Kwan, W.-S.; Rubin, B.; Petrukhin, L.; Kiseleva, I.; Shaw, A.R.; DiStefano, D. Comparative Study of Influenza Virus Replication in Vero and MDCK Cell Lines. J. Virol. Methods 2004, 120, 23–31. [Google Scholar] [CrossRef]
- Balish, A.L.; Katz, J.M.; Klimov, A.I. Influenza: Propagation, Quantification, and Storage. Curr. Protoc. Microbiol. 2013, 29, 15G.1.1–15G.1.24. [Google Scholar] [CrossRef]
- Lugovtsev, V.Y.; Melnyk, D.; Weir, J.P. Heterogeneity of the MDCK Cell Line and Its Applicability for Influenza Virus Research. PLoS ONE 2013, 8, e75014. [Google Scholar] [CrossRef] [PubMed]
- Xue, J.; Chambers, B.S.; Hensley, S.E.; López, C.B. Propagation and Characterization of Influenza Virus Stocks That Lack High Levels of Defective Viral Genomes and Hemagglutinin Mutations. Front. Microbiol. 2016, 7, 326. [Google Scholar] [CrossRef]
- Rather, I.A.; Kamli, M.R.; Sabir, J.S.M.; Ali, S. Evaluation of Lactiplantibacillus plantarum KAU007 against Low-Pathogenic Avian Influenza Virus (H9N2). Pathogens 2022, 11, 1246. [Google Scholar] [CrossRef] [PubMed]
- Spackman, E. (Ed.) Animal Influenza Virus: Methods and Protocols; Methods in Molecular Biology; Springer: New York, NY, USA, 2020; Volume 2123, ISBN 978-1-07-160345-1. [Google Scholar]
- Frias-De-Diego, A.; Crisci, E. Use of Crystal Violet to Improve Visual Cytopathic Effect-Based Reading for Viral Titration Using TCID50 Assays. J. Vis. Exp. 2022, 180, e63063. [Google Scholar] [CrossRef]
- Krishna, V.D.; Roach, E.; Zaidman, N.A.; Panoskaltsis-Mortari, A.; Rotschafer, J.H.; O’Grady, S.M.; Cheeran, M.C.-J. Differential Induction of Type I and Type III Interferons by Swine and Human Origin H1N1 Influenza A Viruses in Porcine Airway Epithelial Cells. PLoS ONE 2015, 10, e0138704. [Google Scholar] [CrossRef] [PubMed]
- Capellini, F.M.; Vencia, W.; Amadori, M.; Mignone, G.; Parisi, E.; Masiello, L.; Vivaldi, B.; Ferrari, A.; Razzuoli, E. Characterization of MDCK Cells and Evaluation of Their Ability to Respond to Infectious and Non-Infectious Stressors. Cytotechnology 2020, 72, 97. [Google Scholar] [CrossRef]
- Sauter, S.N.; Allenspach, K.; Gaschen, F.; Gröne, A.; Ontsouka, E.; Blum, J.W. Cytokine Expression in an Ex Vivo Culture System of Duodenal Samples from Dogs with Chronic Enteropathies: Modulation by Probiotic Bacteria. Domest. Anim. Endocrinol. 2005, 29, 605–622. [Google Scholar] [CrossRef] [PubMed]
- Menezes-Souza, D.; Corrêa-Oliveira, R.; Guerra-Sá, R.; Giunchetti, R.C.; Teixeira-Carvalho, A.; Martins-Filho, O.A.; Oliveira, G.C.; Reis, A.B. Cytokine and Transcription Factor Profiles in the Skin of Dogs Naturally Infected by Leishmania (Leishmania) Chagasi Presenting Distinct Cutaneous Parasite Density and Clinical Status. Vet. Parasitol. 2011, 177, 39–49. [Google Scholar] [CrossRef] [PubMed]
- Jalilian, I.; Peranec, M.; Curtis, B.L.; Seavers, A.; Spildrejorde, M.; Sluyter, V.; Sluyter, R. Activation of the Damage-Associated Molecular Pattern Receptor P2X7 Induces Interleukin-1β Release from Canine Monocytes. Vet. Immunol. Immunopathol. 2012, 149, 86–91. [Google Scholar] [CrossRef]
- Cavalcanti, A.S.; Ribeiro-Alves, M.; de Pereira, L.O.R.; Mestre, G.L.; Ferreira, A.B.R.; Morgado, F.N.; Boité, M.C.; Cupolillo, E.; Moraes, M.O.; Porrozzi, R. Parasite Load Induces Progressive Spleen Architecture Breakage and Impairs Cytokine mRNA Expression in Leishmania infantum-Naturally Infected Dogs. PLoS ONE 2015, 10, e0123009. [Google Scholar] [CrossRef]
- Wickham, H. Ggplot2. WIREs Comput. Stat. 2011, 3, 180–185. [Google Scholar] [CrossRef]
- Parvin, R.; Shehata, A.A.; Heenemann, K.; Gac, M.; Rueckner, A.; Halami, M.Y.; Vahlenkamp, T.W. Differential Replication Properties among H9N2 Avian Influenza Viruses of Eurasian Origin. Vet. Res. 2015, 46, 75. [Google Scholar] [CrossRef]
- Ito, T.; Suzuki, Y.; Takada, A.; Kawamoto, A.; Otsuki, K.; Masuda, H.; Yamada, M.; Suzuki, T.; Kida, H.; Kawaoka, Y. Differences in Sialic Acid-Galactose Linkages in the Chicken Egg Amnion and Allantois Influence Human Influenza Virus Receptor Specificity and Variant Selection. J. Virol. 1997, 71, 3357–3362. [Google Scholar] [CrossRef]
- Matrosovich, M.; Matrosovich, T.; Uhlendorff, J.; Garten, W.; Klenk, H.-D. Avian-Virus-like Receptor Specificity of the Hemagglutinin Impedes Influenza Virus Replication in Cultures of Human Airway Epithelium. Virology 2007, 361, 384–390. [Google Scholar] [CrossRef]
- Eisfeld, A.J.; Neumann, G.; Kawaoka, Y. Influenza A Virus Isolation, Culture and Identification. Nat. Protoc. 2014, 9, 2663–2681. [Google Scholar] [CrossRef]
- Li, T.; Zhao, C.; Guo, Y.; Dong, J.; Du, F.; Zhou, Y.; Shu, S.; Liu, Y.; Cheng, Y.; Cao, Z.; et al. Genetic and Biological Characteristics of Duck-Origin H4N6 Avian Influenza Virus Isolated in China in 2022. Viruses 2024, 16, 207. [Google Scholar] [CrossRef] [PubMed]
- Song, X.; Tian, J.; Li, M.; Bai, X.; Zhao, Z.; Shi, J.; Zeng, X.; Tian, G.; Guan, Y.; Cui, P.; et al. Genetics and Pathogenicity of Influenza A (H4N6) Virus Isolated from Wild Birds in Jiangsu Province, China, 2023. Transbound. Emerg. Dis. 2024, 2024, 7421277. [Google Scholar] [CrossRef]
- Ilyushina, N.A.; Ikizler, M.R.; Kawaoka, Y.; Rudenko, L.G.; Treanor, J.J.; Subbarao, K.; Wright, P.F. Comparative Study of Influenza Virus Replication in MDCK Cells and in Primary Cells Derived from Adenoids and Airway Epithelium. J. Virol. 2012, 86, 11725–11734. [Google Scholar] [CrossRef]
- Ghadimipour, R.; Ghadimipour, I.; Ameghi, A.; Masoudi, S.; Sedigh-Eteghad, S.; Ebrahimi, M.M. Monitoring Virus Harvesting Time in Embryonated Chicken Eggs Inoculated with Avian Influenza H9N2 Vaccine Strain. Arch. Razi Inst. 2014, 69, 35–39. [Google Scholar] [CrossRef]
- Wanasawaeng, W.; Bunpapong, N.; Leelamanit, W.; Thanawongnuwech, R. Growth Characteristics of the H5N1 Avian Influenza Virus in Chicken Embryonic Eggs and MDCK Cells. Thai J. Vet. Med. 2009, 39, 281–286. [Google Scholar] [CrossRef]
- Freymann, M.W.; Tamm, I.; Green, R.H. Growth Curves of Influenza Virus Based on Hemagglutination Titers in Individual Embryonated Eggs. Yale J. Biol. Med. 1951, 23, 269–276. [Google Scholar] [PubMed]
- Lang, V.; Marjuki, H.; Krauss, S.L.; Webby, R.J.; Webster, R.G. Different Incubation Temperatures Affect Viral Polymerase Activity and Yields of Low-Pathogenic Avian Influenza Viruses in Embryonated Chicken Eggs. Arch. Virol. 2011, 156, 987–994. [Google Scholar] [CrossRef] [PubMed]
- Kandeil, A.; Bagato, O.; Zaraket, H.; Debeauchamp, J.; Krauss, S.; El-Shesheny, R.; Webby, R.J.; Ali, M.A.; Kayali, G. Proteolytic Enzymes in Embryonated Chicken Eggs Sustain the Replication of Egg-Grown Low-Pathogenicity Avian Influenza Viruses in Cells in the Absence of Exogenous Proteases. J. Virol. Methods 2014, 202, 28–33. [Google Scholar] [CrossRef]
- Moresco, K.A.; Stallknecht, D.E.; Swayne, D.E. Evaluation of Different Embryonating Bird Eggs and Cell Cultures for Isolation Efficiency of Avian Influenza A Virus and Avian Paramyxovirus Serotype 1 from Real-Time Reverse Transcription Polymerase Chain Reaction–Positive Wild Bird Surveillance Samples. J. VET Diagn. Investig. 2012, 24, 563–567. [Google Scholar] [CrossRef]
- Tsai, H.-C.; Lehman, C.W.; Lin, C.-C.; Tsai, S.-W.; Chen, C.-M. Functional Evaluation for Adequacy of MDCK-Lineage Cells in Influenza Research. BMC Res. Notes 2019, 12, 101. [Google Scholar] [CrossRef]
- van Meerloo, J.; Kaspers, G.J.L.; Cloos, J. Cell Sensitivity Assays: The MTT Assay. In Cancer Cell Culture: Methods and Protocols; Cree, I.A., Ed.; Humana Press: Totowa, NJ, USA, 2011; pp. 237–245. ISBN 978-1-61779-080-5. [Google Scholar]
- Franco-Robles, E. (Ed.) Prebiotics and Probiotics: From Food to Health; IntechOpen: London, UK, 2022. [Google Scholar] [CrossRef]
- Tindjau, R.; Chua, J.-Y.; Liu, S.-Q. Co-Culturing Propionibacterium Freudenreichii and Bifidobacterium Animalis Subsp. Lactis Improves Short-Chain Fatty Acids and Vitamin B12 Contents in Soy Whey. Food Microbiol. 2024, 121, 104525. [Google Scholar] [CrossRef]
- Niamah, A.K.; Al-Sahlany, S.T.G.; Verma, D.K.; Shukla, R.M.; Patel, A.R.; Tripathy, S.; Singh, S.; Baranwal, D.; Singh, A.K.; Utama, G.L.; et al. Emerging Lactic Acid Bacteria Bacteriocins as Anti-Cancer and Anti-Tumor Agents for Human Health. Heliyon 2024, 10, e37054. [Google Scholar] [CrossRef] [PubMed]
- Starosila, D.; Rybalko, S.; Varbanetz, L.; Ivanskaya, N.; Sorokulova, I. Anti-Influenza Activity of a Bacillus subtilis Probiotic Strain. Antimicrob. Agents Chemother. 2017, 61, e00539-17. [Google Scholar] [CrossRef]
- Rather, I.A.; Kamli, M.R.; Sabir, J.S.M.; Paray, B.A. Potential Antiviral Activity of Lactiplantibacillus plantarum KAU007 against Influenza Virus H1N1. Vaccines 2022, 10, 456. [Google Scholar] [CrossRef]
- Ermolenko, E.I.; Desheva, Y.A.; Kolobov, A.A.; Kotyleva, M.P.; Sychev, I.A.; Suvorov, A.N. Anti–Influenza Activity of Enterocin B In Vitro and Protective Effect of Bacteriocinogenic Enterococcal Probiotic Strain on Influenza Infection in Mouse Model. Probiotics Antimicro Prot. 2019, 11, 705–712. [Google Scholar] [CrossRef] [PubMed]
- Choi, H.-J.; Song, J.-H.; Ahn, Y.-J.; Baek, S.-H.; Kwon, D.-H. Antiviral Activities of Cell-Free Supernatants of Yogurts Metabolites against Some RNA Viruses. Eur. Food Res. Technol. 2009, 228, 945–950. [Google Scholar] [CrossRef]
- Newton, A.H.; Cardani, A.; Braciale, T.J. The Host Immune Response in Respiratory Virus Infection: Balancing Virus Clearance and Immunopathology. Semin Immunopathol 2016, 38, 471–482. [Google Scholar] [CrossRef]
- Abd El-Hack, M.E.; El-Saadony, M.T.; Alqhtani, A.H.; Swelum, A.A.; Salem, H.M.; Elbestawy, A.R.; Noreldin, A.E.; Babalghith, A.O.; Khafaga, A.F.; Hassan, M.I.; et al. The Relationship among Avian Influenza, Gut Microbiota and Chicken Immunity: An Updated Overview. Poult. Sci. 2022, 101, 102021. [Google Scholar] [CrossRef]
- Manjankattil, S.; Dewi, G.; Peichel, C.; Creek, M.; Bina, P.; Lerohl, K.; Deniz, K.; Akhtar, L.; Porter, R., Jr.; Johnson, T.J.; et al. Dairy-origin Propionibacterium freudenreichii, Turkey-Origin Lactobacillus salivarius, and a Salmonella Typhimurium Vaccine Elicit Comparable Colonization Resistance on Drug-Resistant Salmonella serotypes (S. Reading, S. Agona, and S. Saintpaul) in Growing Turkeys After Oral Challenge. J. Appl. Poult. Res. 2024, 33, 100428. [Google Scholar] [CrossRef]
- Muringattu Prabhakaran, D.; Kollanoor Johny, A.; Nair, D.V.T.; Manjankattil, S.; Johnson, T.J.; Noll, S.; Reed, K.M. Beneficial Cecal Microbiome Modulation in Turkeys Exposed to Probiotics and Vaccine After Multidrug-Resistant Salmonella Heidelberg Challenge. Microbiol. Res. 2025, 16, 136. [Google Scholar] [CrossRef]
- Dewi, G.; Ramanathan, R.; Kollanoor Johny, A. Cecal Metabolome Profiles of Turkey Poults in Response to Salmonella Heidelberg Challenge with or Without Turkey-Derived Lactobacillus Probiotic and Trans-Cinnamaldehyde. Animals 2025, 15, 2016. [Google Scholar] [CrossRef]
- Gosmann, C.; Anahtar, M.N.; Handley, S.A.; Farcasanu, M.; Abu-Ali, G.; Bowman, B.A.; Padavattan, N.; Desai, C.; Droit, L.; Moodley, A.; et al. Lactobacillus-Deficient Cervicovaginal Bacterial Communities Are Associated with Increased HIV Acquisition in Young South African Women. Immunity 2017, 46, 29–37. [Google Scholar] [CrossRef] [PubMed]
- Wang, Y.; Moon, A.; Huang, J.; Sun, Y.; Qiu, H.-J. Antiviral Effects and Underlying Mechanisms of Probiotics as Promising Antivirals. Front. Cell Infect. Microbiol. 2022, 12, 928050. [Google Scholar] [CrossRef]
- Lu, W.; Fang, Z.; Liu, X.; Li, L.; Zhang, P.; Zhao, J.; Zhang, H.; Chen, W. The Potential Role of Probiotics in Protection against Influenza a Virus Infection in Mice. Foods 2021, 10, 902. [Google Scholar] [CrossRef]
- Tachedjian, G.; Aldunate, M.; Bradshaw, C.S.; Cone, R.A. The Role of Lactic Acid Production by Probiotic Lactobacillus Species in Vaginal Health. Res. Microbiol. 2017, 168, 782–792. [Google Scholar] [CrossRef] [PubMed]
- Ashraf, R.; Shah, N.P. Immune System Stimulation by Probiotic Microorganisms. Crit. Rev. Food Sci. Nutr. 2014, 54, 938–956. [Google Scholar] [CrossRef] [PubMed]
- Karst, S.M. The Influence of Commensal Bacteria on Infection with Enteric Viruses. Nat. Rev. Microbiol. 2016, 14, 197–204. [Google Scholar] [CrossRef]







| Gene | Primer Sequence (5′-3′) | References | |
|---|---|---|---|
| ACTB | Forward Reverse | ACGGAGCGTGGCTACAGC TCCTGATGTCACGCACGA | [26,27] |
| GAPDH | Forward Reverse | TTCCACGGCACAGTCAAG ACTCAGCACCAGCATCAC | [26,28] |
| IL-1β | Forward Reverse | TGCAAAACAGATGCGGATAA GTAACTTGCAGTCCACCGATT | [29] |
| IL-6 | Forward Reverse | TCCAGAACAACTATGAGGGTGA TCCTGATTCTTTACCTTGCTCTT | [30] |
Disclaimer/Publisher’s Note: The statements, opinions and data contained in all publications are solely those of the individual author(s) and contributor(s) and not of MDPI and/or the editor(s). MDPI and/or the editor(s) disclaim responsibility for any injury to people or property resulting from any ideas, methods, instructions or products referred to in the content. |
© 2025 by the authors. Licensee MDPI, Basel, Switzerland. This article is an open access article distributed under the terms and conditions of the Creative Commons Attribution (CC BY) license (https://creativecommons.org/licenses/by/4.0/).
Share and Cite
Ajayan, A.; Muringattu Prabhakaran, D.; Krishna, V.D.; Cheeran, M.C.-J.; Kollanoor Johny, A. Ligilactobacillus salivarius UMNPBX2 Cell-Free Extract Has Antiviral Effects on H4N6 Low-Pathogenic Avian Influenza Virus Subtype in Madin–Darby Canine Kidney Cell Line and Embryonated Chicken Eggs. Appl. Sci. 2025, 15, 10075. https://doi.org/10.3390/app151810075
Ajayan A, Muringattu Prabhakaran D, Krishna VD, Cheeran MC-J, Kollanoor Johny A. Ligilactobacillus salivarius UMNPBX2 Cell-Free Extract Has Antiviral Effects on H4N6 Low-Pathogenic Avian Influenza Virus Subtype in Madin–Darby Canine Kidney Cell Line and Embryonated Chicken Eggs. Applied Sciences. 2025; 15(18):10075. https://doi.org/10.3390/app151810075
Chicago/Turabian StyleAjayan, Amritha, Dhananjai Muringattu Prabhakaran, Venkatramana Divana Krishna, Maxim C.-J. Cheeran, and Anup Kollanoor Johny. 2025. "Ligilactobacillus salivarius UMNPBX2 Cell-Free Extract Has Antiviral Effects on H4N6 Low-Pathogenic Avian Influenza Virus Subtype in Madin–Darby Canine Kidney Cell Line and Embryonated Chicken Eggs" Applied Sciences 15, no. 18: 10075. https://doi.org/10.3390/app151810075
APA StyleAjayan, A., Muringattu Prabhakaran, D., Krishna, V. D., Cheeran, M. C.-J., & Kollanoor Johny, A. (2025). Ligilactobacillus salivarius UMNPBX2 Cell-Free Extract Has Antiviral Effects on H4N6 Low-Pathogenic Avian Influenza Virus Subtype in Madin–Darby Canine Kidney Cell Line and Embryonated Chicken Eggs. Applied Sciences, 15(18), 10075. https://doi.org/10.3390/app151810075

