Effects of Platelet-Rich Fibrin Treated with No-Ozone Cold Plasma on the Alkaline Phosphatase in Rat Bone Marrow Cells: An In Vitro Study
Abstract
1. Introduction
2. Materials and Methods
2.1. PRF Preparation
2.2. Treatment with NCP
2.3. Enzyme-Linked Immunosorbent Assay (ELISA)
2.4. Isolation and Culture of Rat Stem Cells
2.5. Stem Cell Marker
2.6. Cell Proliferation
2.7. ALP Staining
2.8. Real-Time Polymerase Chain Reaction
2.9. Statistical Analysis
3. Results
3.1. Elevated Levels of Growth Factors
3.2. Stem Cell Marker
3.3. Cell Proliferation
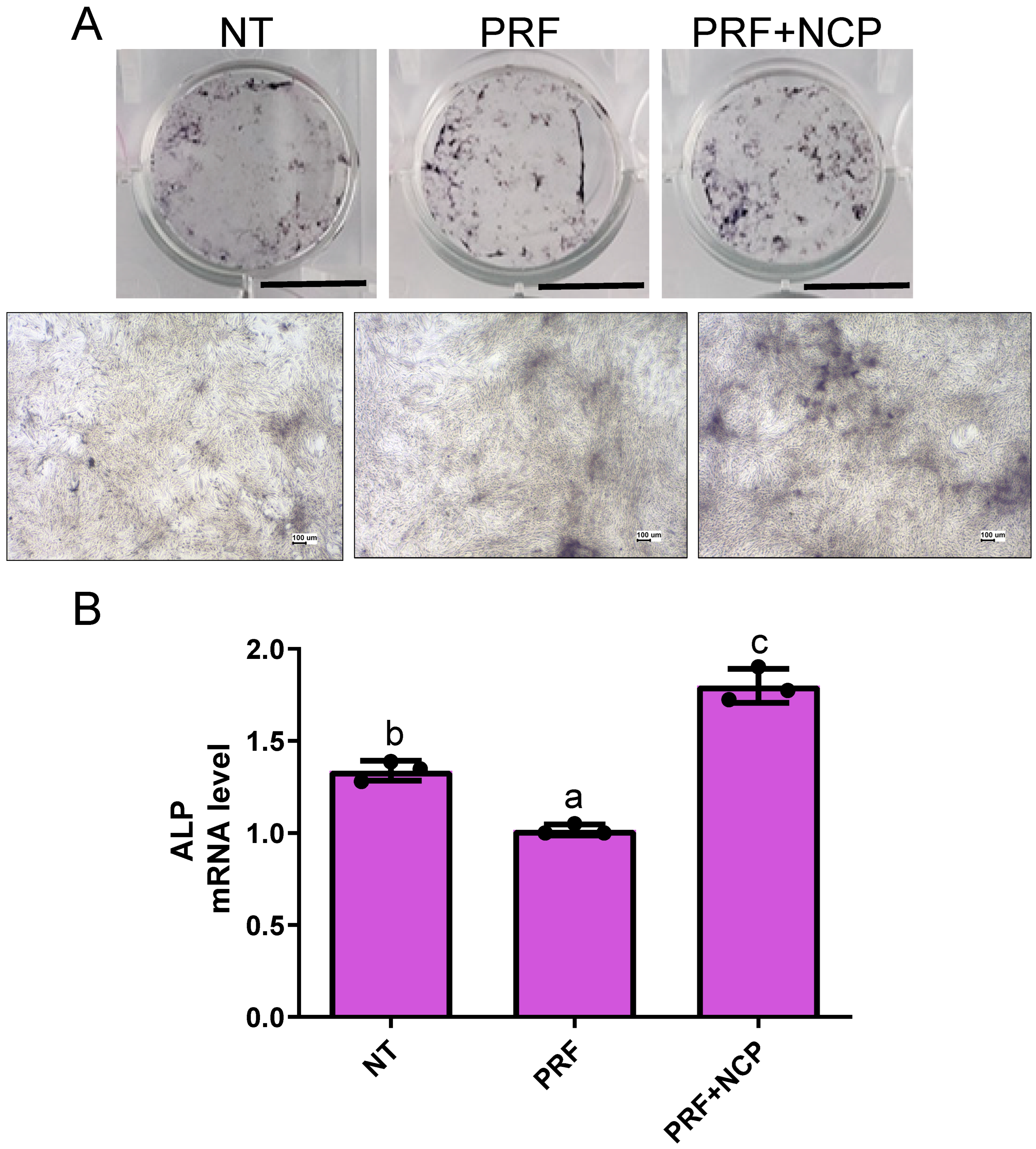
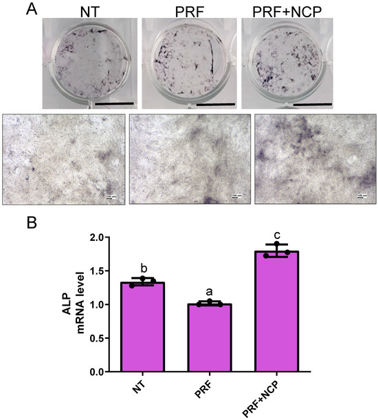
3.4. ALP Activity
4. Discussion
5. Conclusions
Author Contributions
Funding
Institutional Review Board Statement
Informed Consent Statement
Data Availability Statement
Conflicts of Interest
References
- Ferrer-Raventós, P.; Beyer, K. Alternative platelet activation pathways and their role in neurodegenerative diseases. Neurobiol. Dis. 2021, 159, 105512. [Google Scholar] [CrossRef]
- Leiter, O.; Walker, T.L. Platelets: The missing link between the blood and brain? Prog. Neurobiol. 2019, 183, 101695. [Google Scholar] [CrossRef]
- Kiran, N.K.; Mukunda, K.S.; Tilak Raj, T.N. Platelet concentrates: A promising innovation in dentistry. J. Dent. Sci. Res. 2011, 2, 50–61. [Google Scholar]
- Whitman, D.H.; Berry, R.L.; Green, D.M. Platelet gel: An autologous alternative to fibrin glue with applications in oral and maxillofacial surgery. J. Oral Maxillofac. Surg. 1997, 55, 1294–1299. [Google Scholar] [CrossRef]
- Arita, A.; Tobita, M. Adverse events related to platelet-rich plasma therapy and future issues to be resolved. Regen. Ther. 2024, 26, 496–501. [Google Scholar] [CrossRef] [PubMed]
- Choukroun, J.; Diss, A.; Simonpieri, A.; Girard, M.O.; Schoeffler, C.; Dohan, S.L.; Dohan, A.J.J.; Mouhyi, J.; Dohan, D.M. Platelet-rich fibrin (PRF): A second-generation platelet concentrate. Part IV: Clinical effects on tissue healing. Oral Surg. Oral Med. Oral Pathol. Oral Radiol. Endod. 2006, 101, e56–e60. [Google Scholar] [CrossRef]
- Dohan, D.M.; Choukroun, J.; Diss, A.; Dohan, S.L.; Dohan, A.J.J.; Mouhyi, J.; Gogly, B. Platelet-rich fibrin (PRF): A second-generation platelet concentrate. Part II: Platelet-related biologic features. Oral Surg. Oral Med. Oral Pathol. Oral Radiol. Endod. 2006, 101, e45–e50. [Google Scholar] [CrossRef] [PubMed]
- Barbon, S.; Stocco, E.; Macchi, V.; Contran, M.; Grandi, F.; Borean, A.; Parnigotto, P.P.; Porzionato, A.; De Caro, R. Platelet-rich fibrin scaffolds for cartilage and tendon regenerative medicine: From bench to bedside. Int. J. Mol. Sci. 2019, 20, 1701. [Google Scholar] [CrossRef]
- Pavlovic, V.; Ciric, M.; Jovanovic, V.; Trandafilovic, M.; Stojanovic, P. Platelet-rich fibrin: Basics of biological actions and protocol modifications. Open Med. 2021, 16, 446–454. [Google Scholar] [CrossRef] [PubMed]
- Jameson, C.A. Autologous platelet concentrate for the production of platelet gel. Lab. Med. 2007, 38, 39–42. [Google Scholar] [CrossRef]
- Chang, Y.C.; Zhao, J.H. Effects of platelet-rich fibrin on human periodontal ligament fibroblasts and application for periodontal infrabony defects. Aust. Dent. J. 2011, 56, 365–371. [Google Scholar] [CrossRef]
- Naeimi Darestani, M.; Asl Roosta, H.; Mosaddad, S.A.; Yaghoubee, S. The effect of leukocyte- and platelet-rich fibrin on the bone loss and primary stability of implants placed in posterior maxilla: A randomized clinical trial. Int. J. Implant Dent. 2023, 9, 23. [Google Scholar] [CrossRef] [PubMed]
- Mise-Omata, S.; Alles, N.; Fukazawa, T.; Aoki, K.; Ohya, K.; Jimi, E.; Obata, Y.; Doi, T. NF-κB RELA-deficient bone marrow macrophages fail to support bone formation and to maintain the hematopoietic niche after lethal irradiation and stem cell transplantation. Int. Immunol. 2014, 26, 607–618. [Google Scholar] [CrossRef] [PubMed]
- Gassling, V.; Hedderich, J.; Açil, Y.; Purcz, N.; Wiltfang, J.; Douglas, T. Comparison of platelet rich fibrin and collagen as osteoblast-seeded scaffolds for bone tissue engineering applications. Clin. Oral Implant Res. 2013, 24, 320–328. [Google Scholar] [CrossRef]
- He, L.; Lin, Y.; Hu, X.; Zhang, Y.; Wu, H. A comparative study of platelet-rich fibrin (PRF) and platelet-rich plasma (PRP) on the effect of proliferation and differentiation of rat osteoblasts in vitro. Oral Surg. Oral Med. Oral Pathol. Oral Radiol. Endod. 2009, 108, 707–713. [Google Scholar] [CrossRef]
- Zhang, Y.; Tangl, S.; Huber, C.D.; Lin, Y.; Qiu, L.; Rausch-Fan, X. Effects of Choukroun’s platelet-rich fibrin on bone regeneration in combination with deproteinized bovine bone mineral in maxillary sinus augmentation: A histological and histomorphometric study. J. Craniomaxillofac. Surg. 2012, 40, 321–328. [Google Scholar] [CrossRef]
- Hirasawa, I.; Odagiri, H.; Park, G.; Sanghavi, R.; Oshita, T.; Togi, A.; Yoshikawa, K.; Mizutani, K.; Takeuchi, Y.; Kobayashi, H.; et al. Anti-inflammatory effects of cold atmospheric plasma irradiation on the THP-1 human acute monocytic leukemia cell line. PLoS ONE 2023, 18, e0292267. [Google Scholar] [CrossRef]
- Zhang, H.; Zhang, C.; Han, Q. Mechanisms of bacterial inhibition and tolerance around cold atmospheric plasma. Appl. Microbiol. Biotechnol. 2023, 107, 5301–5316. [Google Scholar] [CrossRef]
- Yang, X.; Sun, K.; Zhu, W.; Li, Y.; Pan, J. Time-dependent efficacy and safety of tooth bleaching with cold plasma and H2O2 gel. BMC Oral Health 2022, 22, 535. [Google Scholar] [CrossRef]
- Bolgeo, T.; Maconi, A.; Gardalini, M.; Gatti, D.; Di Matteo, R.; Lapidari, M.; Longhitano, Y.; Savioli, G.; Piccioni, A.; Zanza, C. The Role of cold atmospheric plasma in wound healing processes in critically ill patients. J. Pers. Med. 2023, 13, 736. [Google Scholar] [CrossRef] [PubMed]
- Choi, J.H.; Gu, H.J.; Park, K.H.; Hwang, D.S.; Kim, G.C. Anti-cancer activity of the combinational treatment of noozone cold plasma with p-FAK antibody-conjugated gold nanoparticles in OSCC xenograft mice. Biomedicines 2022, 10, 2259. [Google Scholar] [CrossRef]
- Lee, S.T.; Jang, Y.S.; Kim, U.K.; Kim, H.J.; Ryu, M.H.; Kim, G.C.; Hwang, D.S. Non-thermal plasma application enhances the recovery of transected sciatic nerves in rats. Exp. Biol. Med. 2021, 246, 1287–1296. [Google Scholar] [CrossRef] [PubMed]
- Ling, L.; Jiafeng, J.; Jiangang, L.; Minchong, S.; Xin, H.; Hanliang, S.; Yuanhua, D. Effects of cold plasma treatment on seed germination and seedling growth of soybean. Sci. Rep. 2014, 4, 5859. [Google Scholar] [CrossRef]
- Wu, Y.; Yu, S.; Zhang, X.; Wang, X.; Zhang, J. The regulatory mechanism of cold plasma in relation to cell activity and its application in biomedical and animal husbandry practices. Int. J. Mol. Sci. 2023, 24, 7160. [Google Scholar] [CrossRef]
- Park, N.S.; Yun, S.E.; Lee, H.Y.; Lee, H.J.; Choi, J.H.; Kim, G.C. No-ozone cold plasma can kill oral pathogenic microbes in H2O2-dependent and independent manner. Sci. Rep. 2022, 12, 7597. [Google Scholar] [CrossRef]
- Park, K.-H.; Jang, Y.-S.; Joo, J.-Y.; Kim, G.-C.; Choi, J.-H. Anti-Inflammatory Activity of No-Ozone Cold Plasma in Porphyromonas gingivalis Lipopolysaccharide-Induced Periodontitis Rats. Int. J. Mol. Sci. 2024, 25, 6161. [Google Scholar] [CrossRef]
- Choi, B.-B.; Park, S.-A.; Choi, J.-H.; Park, S.-R.; Kim, G.-C. Evaluation of Dentin Tubule Occlusion Using Pre-Treatment with No-Ozone Cold Plasma: An In Vitro Study. Appl. Sci. 2023, 13, 11728. [Google Scholar] [CrossRef]
- Choi, B.B.; Choi, J.H.; Kang, T.H.; Lee, S.J.; Kim, G.C. Enhancement of osteoblast differentiation using no-ozone cold plasma on human periodontal ligament cells. Biomedicines 2021, 9, 1542. [Google Scholar] [CrossRef]
- Akkaya, S.; Toptaş, O. Evaluation of the effects of platelet-rich fibrin and diode laser on gingival blood perfusion and early bone healing of the extraction socket: A randomized controlled clinical trial. Lasers Med. Sci. 2023, 39, 2. [Google Scholar] [CrossRef]
- Wang, Z.S.; Feng, Z.H.; Wu, G.F.; Bai, S.Z.; Dong, Y.; Chen, F.M.; Zhao, Y.M. The use of platelet-rich fibrin combined with periodontal ligament and jaw bone mesenchymal stem cell sheets for periodontal tissue engineering. Sci. Rep. 2016, 6, 28126. [Google Scholar] [CrossRef] [PubMed]
- Choi, B.B.R.; Song, K.W.; Lee, H.J.; Park, S.R.; Kim, G.C. Effects of no-ozone cold plasma and mouse mesenchymal stem cell treatments on wound healing in a mouse skin model. Biochem. Biophys. Res. Commun. 2024, 738, 150562. [Google Scholar] [CrossRef]
- Fujii, Y.; Yoshida, T.; Sato, A.; Ikehata, M.; Hatori, A.; Chikazu, D.; Ghanaati, S.; Kawase-Koga, Y. Platelet-rich fibrin-conditioned medium promotes osteogenesis of dental pulp stem cells through TGF-β and PDGF signaling. Regen. Ther. 2025, 30, 100–106. [Google Scholar] [CrossRef]
- Wachtel, N.; Weber, L.; Moellhoff, N.; Kuhlmann, C.; Giunta, R.E.; Alberton, P.; Ehrl, D.; Wiggenhauser, S. Platelet-rich fibrin mediates beneficial effects on adipose-derived stem cells via increased levels of key cytokines. Wound Repair Regen. 2025, 33, e70040. [Google Scholar] [CrossRef] [PubMed]
- Zhang, L.; Chan, C. Isolation and enrichment of rat mesenchymal stem cells (MSCs) and separation of single-colony derived MSCs. J. Vis. Exp. 2010, 22, 1852. [Google Scholar] [CrossRef]
- Song, J.L.; Zheng, W.; Chen, W.; Qian, Y.; Ouyang, Y.M.; Fan, C.Y. Lentivirus-mediated microRNA-124 gene-modified bone marrow mesenchymal stem cell transplantation promotes the repair of spinal cord injury in rats. Exp. Mol. Med. 2017, 49, e332. [Google Scholar] [CrossRef]
- Kim, J.M.; Lin, C.; Stavre, Z.; Greenblatt, M.B.; Shim, J.H. Osteoblast-osteoclast communication and bone homeostasis. Cells 2020, 9, 2073. [Google Scholar] [CrossRef]
- ElHawary, H.; Baradaran, A.; Abi-Rafeh, J.; Vorstenbosch, J.; Xu, L.; Efanov, J.I. Bone healing and inflammation: Principles of fracture and Repair. Semin. Plast. Surg. 2021, 35, 198–203. [Google Scholar] [CrossRef] [PubMed]
- Huang, W.; Yang, S.; Shao, J.; Li, Y.P. Signaling and transcriptional regulation in osteoblast commitment and differentiation. Front. Biosci. 2007, 12, 3068–3092. [Google Scholar] [CrossRef] [PubMed]
- Ansari, S.; Ito, K.; Hofmann, S. Alkaline phosphatase activity of serum affects osteogenic differentiation cultures. ACS Omega 2022, 7, 12724–12733. [Google Scholar] [CrossRef]
- Wrobel, E.; Leszczynska, J.; Brzoska, E. The characteristics of human bone-derived cells (HBDCS) during osteogenesis in vitro. Cell. Mol. Biol. Lett. 2016, 21, 26. [Google Scholar] [CrossRef]
- Karsdal, M.A.; Fjording, M.S.; Foged, N.T.; Delaissé, J.M.; Lochter, A. Transforming growth factor-beta-induced osteoblast elongation regulates osteoclastic bone resorption through a p38 mitogen-activated protein kinase- and matrix metalloproteinase-dependent pathway. J. Biol. Chem. 2001, 276, 39350–39358. [Google Scholar] [CrossRef]
- Geiser, A.G.; Zeng, Q.Q.; Sato, M.; Helvering, L.M.; Hirano, T.; Turner, C.H. Decreased bone mass and bone elasticity in mice lacking the transforming growth factor-beta1 gene. Bone 1998, 23, 87–93. [Google Scholar] [CrossRef]
- Wei, E.; Hu, M.; Wu, L.; Pan, X.; Zhu, Q.; Liu, H.; Liu, Y. TGF-β signaling regulates differentiation of MSCs in bone metabolism: Disputes among viewpoints. Stem Cell Res. Ther. 2024, 15, 156. [Google Scholar] [CrossRef]
- Heldin, C.H.; Westermark, B. Mechanism of action and in vivo role of platelet-derived growth factor. Physiol. Rev. 1999, 79, 1283–1316. [Google Scholar] [CrossRef]
- Lepistö, J.; Kujari, H.; Niinikoski, J.; Laato, M. Effects of heterodimeric isoform of platelet-derived growth factor PDGF-AB on wound healing in the rat. Eur. Surg. Res. 1994, 26, 267–272. [Google Scholar] [CrossRef]
- Mitlak, B.H.; Finkelman, R.D.; Hill, E.L.; Li, J.; Martin, B.; Smith, T.; D’Andrea, M.; Antoniades, H.N.; Lynch, S.E. The effect of systemically administered PDGF-BB on the rodent skeleton. J. Bone Miner. Res. 1996, 11, 238–247. [Google Scholar] [CrossRef] [PubMed]
- Mao, L.; Wang, X.; Sun, Y.; Yang, M.; Chen, X.; Cui, L.; Bai, W. Platelet-rich fibrin improves repair and regeneration of damaged endometrium in rats. Front. Endocrinol. 2023, 14, 1154958. [Google Scholar] [CrossRef]
- He, Q.; Qin, R.; Glowacki, J.; Zhou, S.; Shi, J.; Wang, S.; Gao, Y.; Cheng, L. Synergistic stimulation of osteoblast differentiation of rat mesenchymal stem cells by leptin and 25(OH)D3 is mediated by inhibition of chaperone-mediated autophagy. Stem Cell Res. Ther. 2021, 12, 557. [Google Scholar] [CrossRef] [PubMed]
- Pavathuparambil Abdul Manaph, N.; Sivanathan, K.N.; Nitschke, J.; Zhou, X.F.; Coates, P.T.; Drogemuller, C.J. An overview on small molecule-induced differentiation of mesenchymal stem cells into beta cells for diabetic therapy. Stem Cell Res. Ther. 2019, 10, 293. [Google Scholar] [CrossRef] [PubMed]
- Pittenger, M.F.; Mackay, A.M.; Beck, S.C.; Jaiswal, R.K.; Douglas, R.; Mosca, J.D.; Moorman, M.A.; Simonetti, D.W.; Craig, S.; Marshak, D.R. Multilineage potential of adult human mesenchymal stem cells. Science 1999, 284, 143–147. [Google Scholar] [CrossRef]
- Kang, Y.H.; Jeon, S.H.; Park, J.Y.; Chung, J.H.; Choung, Y.H.; Choung, H.W.; Kim, E.S.; Choung, P.H. Platelet-rich fibrin is a Bioscaffold and reservoir of growth factors for tissue regeneration. Tissue Eng. Part A 2011, 17, 349–359. [Google Scholar] [CrossRef] [PubMed]
- Kim, J.; Ha, Y.; Kang, N.H. Effects of growth factors from platelet-rich fibrin on the bone regeneration. J. Craniofac. Surg. 2017, 28, 860–865. [Google Scholar] [CrossRef] [PubMed]





Disclaimer/Publisher’s Note: The statements, opinions and data contained in all publications are solely those of the individual author(s) and contributor(s) and not of MDPI and/or the editor(s). MDPI and/or the editor(s) disclaim responsibility for any injury to people or property resulting from any ideas, methods, instructions or products referred to in the content. |
© 2025 by the authors. Licensee MDPI, Basel, Switzerland. This article is an open access article distributed under the terms and conditions of the Creative Commons Attribution (CC BY) license (https://creativecommons.org/licenses/by/4.0/).
Share and Cite
Choi, B.B.R.; Kim, G.C. Effects of Platelet-Rich Fibrin Treated with No-Ozone Cold Plasma on the Alkaline Phosphatase in Rat Bone Marrow Cells: An In Vitro Study. Appl. Sci. 2025, 15, 9229. https://doi.org/10.3390/app15179229
Choi BBR, Kim GC. Effects of Platelet-Rich Fibrin Treated with No-Ozone Cold Plasma on the Alkaline Phosphatase in Rat Bone Marrow Cells: An In Vitro Study. Applied Sciences. 2025; 15(17):9229. https://doi.org/10.3390/app15179229
Chicago/Turabian StyleChoi, Byul Bo Ra, and Gyoo Cheon Kim. 2025. "Effects of Platelet-Rich Fibrin Treated with No-Ozone Cold Plasma on the Alkaline Phosphatase in Rat Bone Marrow Cells: An In Vitro Study" Applied Sciences 15, no. 17: 9229. https://doi.org/10.3390/app15179229
APA StyleChoi, B. B. R., & Kim, G. C. (2025). Effects of Platelet-Rich Fibrin Treated with No-Ozone Cold Plasma on the Alkaline Phosphatase in Rat Bone Marrow Cells: An In Vitro Study. Applied Sciences, 15(17), 9229. https://doi.org/10.3390/app15179229
