Next Article in Journal
Virtual Reality Associated with Functional Electrical Stimulation for Upper Extremity in Post-Stroke Rehabilitation: A Systematic Review
Next Article in Special Issue
Effect of Pulsed Electromagnetic Field (PEMF) on Pressure Ulcer in BALB/c and C57BL/6 Mice
Previous Article in Journal
Bacterial Aerosol in Ambient Air—A Review Study
Previous Article in Special Issue
Effect of Pulsed Electromagnetic Field Stimulation on Splenomegaly and Immunoglobulin E Levels in 2,4-Dinitrochlorobenzene-Induced Atopic Dermatitis Mouse Model
 
 
Font Type:
Arial Georgia Verdana
Font Size:
Aa Aa Aa
Line Spacing:
Column Width:
Background:
Article

Characterization of Inductive Moderate Hyperthermia Effects on Intratumor Sarcoma-45 Heterogeneity Using Magnetic Resonance, Ultrasound and Histology Image Analysis

by
Valerii B. Orel
1,2,*,
Olga Yo. Dasyukevich
1,
Valerii E. Orel
1,2,
Oleksandr Yu. Rykhalskyi
1,
Larysa M. Kovalevska
3,
Olexander Yu. Galkin
2,
Karyna S. Matveichuk
2,
Anatolii G. Diedkov
1,
Vasyl V. Ostafiichuk
1 and
Oleksandr S. Shablii
2
1
National Cancer Institute, 33/43 Zdanovska Str., 03022 Kyiv, Ukraine
2
National Technical University of Ukraine “Igor Sikorsky Kyiv Polytechnic Institute”, 03056 Kyiv, Ukraine
3
R.E. Kavetsky Institute of Experimental Pathology, Oncology and Radiobiology, 03022 Kyiv, Ukraine
*
Author to whom correspondence should be addressed.
Appl. Sci. 2024, 14(18), 8251; https://doi.org/10.3390/app14188251
Submission received: 23 August 2024 / Revised: 9 September 2024 / Accepted: 11 September 2024 / Published: 13 September 2024

Abstract

Featured Application

Quantitative characterization of intratumor heterogeneity using medical imaging is valuable for guiding theranostic technology in inductive moderate hyperthermia for sarcoma patients.

Abstract

Evaluating intratumor heterogeneity with image texture analysis offers a more sophisticated understanding of sarcoma response to treatment. We examined the effects of inductive moderate hyperthermia (IMH) on sarcoma-45 growth and intratumor heterogeneity across tissue, cellular and molecular levels using magnetic resonance imaging (MRI), ultrasound and histology image analysis. IMH (42 MHz, 20 W) inhibited sarcoma-45 growth kinetics by 34% compared to the untreated control group. T2-weighted MRI brightness was increased by 42%, reflecting more extensive tumor necrosis, while Young’s modulus increased by 37% due to more pronounced connective tissue replacement in response to IMH. Whereas calculations of Moran’s spatial autocorrelation index revealed distinctions in heterogeneity between tumor core, periphery and capsule regions of interest (ROIs) on MRI, ultrasound and histological examination in the untreated tumor-bearing animals, there was no significant difference between core and periphery after IMH. Exposure to IMH increased overall tumor ROI heterogeneity by 22% on MRI but reduced heterogeneity in the core and periphery on ultrasound and histology images. Ki-67 protein distribution was 25% less heterogeneous on the tumor periphery after IMH. Therefore, this study provides a quantitative characterization of IMH effects on different manifestations of intratumor sarcoma-45 heterogeneity using experimental imaging data.

1. Introduction

Sarcomas are a heterogeneous group of mesenchymal tumors, accounting for ~1% of all newly diagnosed solid tumors in adults and ~21% in pediatric patients each year. Despite lower genetic complexity compared with most other cancers, they demonstrate high levels of intratumor heterogeneity and resistance to chemotherapy and radiotherapy that remains one of the critical barriers to improving the overall survival and quality of life in patients with sarcoma [1,2]. Results from previous clinical trials have indicated higher response and survival rates in sarcoma patients after chemotherapy combined with regional hyperthermia [3].
Inductive moderate hyperthermia (IMH), achieved through radiofrequency electromagnetic irradiation, is a practical method for selective treatment delivery to the tumor region. The magnetic component of an applied field penetrates through the body tissues with substantially lower attenuation than the electric component. Moreover, malignant tumors often have a higher water content than normal tissues, which causes more effective electromagnetic field energy absorption [4]. It is important to note that IMH exploits both thermal and nonthermal effects of nonionizing electromagnetic irradiation [5,6]. Electromagnetic fields within the MHz range produce heat by manipulating the ionic movement into conduction current flows and friction losses of oscillating polar molecules in biological media [7]. IMH aims to initiate a mild temperature increase (<42 °C) in the tumor and the surrounding tissues since employing higher temperatures is associated with thermoresistance due to heat-shock protein expression, decomposition of reactive oxygen species (ROS) and heat intolerance in patients [8,9]. At the same time, electromagnetic fields modulate ROS levels in cancer cells via the free radical pair mechanism [10] and even lead to soft tissue displacement by Lorentz force [11]. Excess ROS generation is one mechanism underlying tumor cell death through oxidative damage to lipids, proteins and DNA. Our earlier work showed that IMH increased the number of Saos-2 human osteosarcoma cells undergoing early apoptosis via altered membrane permeabilization, enhanced ROS generation and a lower level of spatial heterogeneity in the distribution of the proapoptotic Bax protein [12].
Intratumor heterogeneity has been found to exist across different levels of biological organization, including the molecular, cellular and tissue levels, which can be broadly classified into spatial and temporal manifestations. There are many sources of intratumor heterogeneity, such as variations in conformational states of biopolymers, gene expression profiles, extracellular matrix architecture, cell morphology, patterns of tumor vascular networks and blood flow [13]. Much current research is directed at understanding the mechanochemical heterogeneity since mechanical forces generated in the tumor and its microenvironment are capable of inducing and modulating cell signaling pathways through changes in electron transfer processes, which are central to protein interaction and ROS formation [14,15,16].
Texture parameters quantifying heterogeneity of pixel distributions in medical images offer the possibility of more objectively characterizing intratumor heterogeneity prior to surgical resection and evaluating treatment response [17]. Magnetic resonance imaging (MRI) has become the method of choice for examining soft tissue sarcomas at the macroscopic scale; furthermore, ultrasound (US) elastography is an imaging technique commonly adopted to characterize their biomechanical properties [18,19]. Likewise, texture analysis of histology and immunohistochemistry images can reveal additional quantitative information regarding intratumor heterogeneity at the microscopic level [20]. Combining texture features extracted from the same tumor in MRI, US and histology images is essential for a more sophisticated understanding of treatment effects on tumor heterogeneity.
Here we study the effects of IMH on tumor growth kinetics and intratumor heterogeneity across tissue, cellular and molecular levels in sarcoma-45 bearing animals using T2-weighted MRI, US elastography and histology image analysis. This work proposes a novel multimodal advance for the quantitative characterization of intratumor heterogeneity across distinct regions of interest (core, periphery and capsule) in response to IMH, providing further insights into the treatment effects of IMH on sarcoma-45.

2. Materials and Methods

2.1. Experimental Animals and Sarcoma-45 Growth Kinetics

Female noninbred rats (n = 12) housed at the vivarium of the National Cancer Institute (NCI, Ukraine) were randomly divided into two groups: (1) sarcoma-bearing animals receiving no treatment (control group) and (2) sarcoma-bearing animals subjected to IMH (IMH group). Animals were injected subcutaneously with sarcoma-45 cells (0.5 mL suspension of 1 × 106 cells) into the right hindlimb [21]. Experiments were designed in accordance with research recommendations from [22]. Our institution’s Committee for Animals and Medical Research Ethics approved all experimental procedures. The Law of Ukraine N 3447–IV and European Directive 2010/63/EU were followed, where applicable.
Tumor volumes were determined based on caliper measurements of length (L), width (W) and height (H) using the formula for an ellipsoid [23]:
V = L × W × H × π/6,
where L is the length, W is the width and H is the height of the tumor.
We calculated the growth factor φ and breaking ratio κ, which account for the role of free radicals in nonlinear tumor growth kinetics, to investigate how IMH influences the antitumor response in sarcoma-bearing animals [24].

2.2. Inductive Moderate Hyperthermia

IMH was delivered with an experimental prototype of the MagTherm medical device (Radmir, Kharkiv, Ukraine) at 42 MHz frequency and 20 W power. IMH was localized to the tumor region of sarcoma-bearing animals using an applicator composed of a loop and ferromagnetic dipoles (NCI, Kyiv, Ukraine) with adjustable size, allowing us to fit and irradiate the entire tumor in a more personalized manner [25]. Preliminary work showed that the intensity of the magnetic and electric components depended on the number and size of magnetic dipoles in the applicator and the distance between them. The choice of this set can be beneficial in acting on viable and proliferating cells predominantly located on the tumor periphery [26], as more pronounced heating is observed adjacent to the applicator rather than in the center of its loop [27]. Treatment consisted of 5 IMH sessions of 15 min each delivered every other day starting on day 2 post tumor cell implantation. Tumor-bearing animals were anesthetized with 1–2% isoflurane and immobilized in the prone position for all treatment procedures. The maximum temperatures in the tumor were ≤36.1 °C in the control group and ~39 °C during IMH sessions, as measured by TM-4 fiber optical thermometers (Radmir, Ukraine).
In order to find the optimal treatment plan, IMH was modeled in COMSOL Multiphysics v. 5.6 (COMSOL AB, Stockholm, Sweden) by coupling the AC/DC and heat transfer modules. Circular regions of interest (ROIs) encompassing the tumor core, periphery and capsule were generated based on the average size of intratumoral and peritumoral ROIs typically selected in radiation treatment planning [28,29]. The model integrated tissue properties (density, heat capacity, thermal and electrical conductivity and relative permittivity) taken from [30,31,32,33] using the finite element method. Figure 1 and Table 1 display the distribution of the specific absorption rate (SAR) and temperature as well as the maximum values for different tumor ROIs in response to IMH. While the maximum value of SAR is computed for the tumor core ROI, the capsule ROI has the highest temperature due to its proximity to the applicator [34]. Optimal SAR values are designed to balance effective tumor treatment while minimizing thermal damage to surrounding healthy tissues. The human basal metabolic rate is above 1 W/kg [35]. In general, temperatures ~42 °C in the tumor and surrounding tissues are close to the pain threshold induced by heat in human tissues [36]; therefore, a slightly lower temperature, around 39 °C, may produce better outcomes minimizing pain caused by heating.
The obtained simulations illustrate that SAR distribution was not uniform within the tumor. Several reasons may explain this: (1) the loop applicator itself forms a nonuniform field geometry with a strong electric component in the near field region; (2) the intratumor heterogeneity of tissue architecture; (3) the intertumor heterogeneity between individual animals [37]. Morphological changes, such as tumor necrosis, also influence SAR owing to increased tissue electrical conductivity [38]. For the same reasons, we did not find a direct relationship between the nonuniformity of SAR distribution and heterogeneity of tumor ROIs in MRI scans.

2.3. Magnetic Resonance Imaging

MRI scans were collected with a 1.5 T scanner (Intera Philips, Amsterdam, The Netherlands) equipped with an 8-channel knee coil array (Sense Knee Coil, Philips). Prior to imaging experiments, rats were anesthetized and immobilized as described above. We obtained T1-weighted (repetition time (TR)/echo time (TE) = 515/18 ms, slice thickness = 2 mm), T2-weighted (TR/TE) = 2500/100 ms, slice thickness = 2 mm) and proton density-weighted spectral attenuated inversion recovery (PDW SPAIR) (TR/TE = 3000/30 ms, slice thickness = 2 mm) images for each acquisition. MRI examinations were evaluated using Horos 4.0 software (Horos Project, Geneva, Switzerland). Characteristic MRI features of tumor necrosis and hemorrhage were assessed based on T1-weighted, T2-weighted and PDW SPAIR scans according to [18].

2.4. Ultrasound Imaging

Images of sarcoma-45 were collected from a Vinno G86 US scanner with a 6–12 MHz X4-12L linear array transducer (Vinno Technology, Suzhou, China) at the dynamic range of 86 dB, a mechanical index of 1.3 and a thermal index in soft tissues of 0.8. During image acquisition, animals were anesthetized as described above and immobilized in the prone position. B-mode, shear wave elastography scans were obtained for each acquisition to directly visualize the tumor and perform Young’s modulus measurements. Color and pulsed Doppler US provided information about blood flow characteristics (mean velocity and resistive index), wherein the most proximal vessel adjacent to the tumor capsule was chosen for analysis [39]. Continuous wavelet transform based on the Morlet wavelet and scale-based analysis were carried out to detect changes in Doppler blood velocity waveforms [40] using MATLAB Version 9.13.0 2022b (The MathWorks, Natick, MA, USA).

2.5. Histological Examination

Immediately after sacrifice, tumors were harvested and fixed in 10% neutral-buffered formalin for seven days. The tissues were then embedded in paraffin before being sectioned (5-μm sections) onto slides and stained using hematoxylin-eosin-orange (H&E) according to [41]. Histological images were acquired and examined based on [42], using a 40-1600X Trinocular Infinity-corrected LED Illumination Microscope (AmScope, Irvine, CA, USA) equipped with MU1000-3PL 10MP microscope camera (AmScope, USA). For immunohistochemistry studies, deparaffinized tissue sections were stained for Ki-67 expression following a standard methodology [43]. All samples were blocked in hydrogen peroxide to reduce nonspecific binding and then incubated in normal goat serum. An EnVision system (DAKO, Santa Clara, CA, USA) was used for a 30-min second-step incubation. After washing in phosphate-buffered saline, peroxidase activity was assayed using diaminobenzidine (DAB). Sections were counterstained with hematoxylin for 1–2 min and embedded in balm.

2.6. Image Heterogeneity Analysis

Image segmentation of collected MRI and US scans was performed based on [18,44] using Fiji (ImageJ2 v. 2.14, NIH, Bethesda, MD, USA) software. Three ROIs were drawn on each image: (1) tumor capsule defined as a rim consisting of an isointense to hypointense region on T2-weighted MRI or hyperechoic region on US scans surrounding the tumor; (2) tumor periphery placed within a 5 mm margin extending from the tumor capsule boundary into the isointense to hyperintense region on T2-weighted MRI or hypoechoic region on US scans and (3) tumor core, including ≥30% of the remaining tumor, to avoid the disappearance of the core ROI in small tumors. MRI scans were reviewed to match histological images that corresponded most closely to ROI placement according to [45]. K-means clustering plugin performed segmentation of H&E-stained images [46]. Immunohistochemistry images were first separated into hematoxylin and DAB staining channels for assessment of Ki-67 expression based on average image brightness [47] and then converted into HSB color space to distinguish differences in DAB stain heterogeneity based on hue, saturation and brightness [48]. We calculated Moran’s spatial autocorrelation index (Moran’s I) as a reciprocal measure of heterogeneity in all the collected images [49,50,51] using Autocorrelation v.1.0 (NCI) software.

2.7. Statistical Analysis

The data were assessed for normality using the Kolmogorov–Smirnov test. The Student’s two-tailed t-test or the Mann–Whitney U-test was used to evaluate the statistical significance of data between the two groups. One-way ANOVA followed by the Games–Howell post hoc test or the Kruskal–Wallis H test were performed to compare differences between ROIs within one group. The p-values < 0.05 were taken to be significant. All statistical analyses were carried out with SPSS Statistics v. 25.0 (IBM, Inc., Armonk, NY, USA, 2017).

3. Results and Discussion

3.1. Sarcoma-45 Growth Kinetics

Figure 2 and Table 2 show in vivo tumor growth kinetics of sarcoma-45 for 24 days following implantation. IMH starting on day 2 after tumor implantation led to a 34% lower value of the growth factor φ and a 32% higher value of the braking ratio κ than in the control group (p < 0.05). Early application of IMH allowed us to observe the direct effects of IMH while minimizing the role of complex factors associated with more advanced tumors and tumor-host interactions [52].

3.2. Magnetic Resonance Imaging Evaluation of Intratumor Sarcoma-45 Heterogeneity

Sarcoma-45 presented with intermediate to high T2-weighted signal intensity and a smooth rim with a clear distinction of the margin, as shown in Figure 3. MRI changes associated with the presence of tumor necrosis and hemorrhage were more pronounced in the IMH group than in the control group. IMH also induced more distinctive tumor capsules. T2-weighted MRI scans are generally considered sensitive to tissue fluid content. The heterogeneity of pixel distributions in tumor ROIs on T2-weighted images was previously linked with tumor heterogeneity in soft-tissue sarcomas [53].
As shown in Table 3, tumor core ROIs had the highest average brightness and lowest heterogeneity, as opposed to capsule ROIs appearing as regions with the lowest brightness and highest heterogeneity on T2-weighted images in the control group. IMH produced a 24%, 55% and 48% increase in brightness of core, periphery, and capsule ROIs when compared to the control group, respectively. This can be associated with higher water content and slower blood flow rates given more extensive necrosis [54,55]. Another possible reason for the difference between IMH and no-treatment includes the impact of ROS (superoxide radical, hydroxyl radical) and paramagnetic species (molecular oxygen) on T2 relaxation time and the resulting image brightness [56]. On average, there was a 22% increase in image heterogeneity of tumor ROIs in the IMH group, as measured by lower Moran’s index (p < 0.05). Moran’s index did not discriminate core from periphery after IMH treatment, which matched well with US findings in Table 4.

3.3. Ultrasound Imaging Evaluation of Intratumor Sarcoma-45 Heterogeneity

US examination of sarcoma-45 demonstrated well-defined heterogeneous hypoechoic masses in the subcutaneous tissues. While tumors in the control group tended to show a multinodular growth pattern with a thin capsule separating the lesion from the surrounding tissues (Figure 4a), IMH treatment mainly resulted in ovoid-shaped tumors with a thicker capsule (Figure 4c).
Figure 4. Ultrasound B-mode (a,c) and elastography (b,d) scans of sarcoma-45 on day 24 after tumor implantation ((a,b)—control group; (c,d)—IMH group): 1—tumor core ROI; 2—tumor periphery ROI; 3—tumor capsule ROI.
Figure 4. Ultrasound B-mode (a,c) and elastography (b,d) scans of sarcoma-45 on day 24 after tumor implantation ((a,b)—control group; (c,d)—IMH group): 1—tumor core ROI; 2—tumor periphery ROI; 3—tumor capsule ROI.
Applsci 14 08251 g004
Table 4. Sarcoma-45 stiffness and heterogeneity in US scans, M ± m.
Table 4. Sarcoma-45 stiffness and heterogeneity in US scans, M ± m.
Region of InterestControl GroupIMH Group
Young’s modulus, kPa
Tumor core35.1 ± 2.361.5 ± 2.5 a
Tumor periphery50.3 ± 2.4 *65.4 ± 4.0 b
Tumor capsule80.6 ± 7.3 *+148.8 ± 10.6 *+c
Moran’s I, a.u.
Tumor core0.34 ± 0.010.49 ± 0.01 a
Tumor periphery0.42 ± 0.01 *0.49 ± 0.01 b
Tumor capsule0.38 ± 0.01 *+0.29 ± 0.01 *+c
* Statistically significant difference from tumor core, p < 0.05; + statistically significant difference from tumor periphery, p < 0.05; a statistically significant difference from tumor core in the control group, p < 0.05; b statistically significant difference from tumor periphery in the control group, p < 0.05; c statistically significant difference from tumor capsule in the control group, p < 0.05.
As shown in Table 4, core ROIs had the lowest values of Young’s modulus, which occurs due to necrosis formation in the later stages of tumor growth [57]. On the other hand, tumor capsule ROIs displayed the highest values of Young’s modulus. The stiffness of core, periphery and capsule ROIs was 1.8-fold, 1.3-fold and 1.9-fold higher in the IMH group than in the control group, respectively. Also, IMH led to a 31% and 14% reduction in heterogeneity within tumor core and periphery ROIs as determined by higher Moran’s index (p < 0.05). Greater heterogeneity was noted in the capsule ROIs on both US and MRI scans. These results mirror previous findings, wherein high T2 values on MRI positively correlated with tissue stiffness on US shear wave elastography [58]. Nevertheless, the relationship between imaging features extracted from US and MRI scans cannot be unambiguously summarized owing to the different underlying physical and technical principles of image acquisition.
In agreement with previous observations [59], the mean blood flow velocity measured using Doppler US in the most proximal vessel adjacent to the tumor capsule (9.87 ± 0.18 cm/s) was nearly three times as much as that of the skeletal muscle vasculature in the intact hindlimb of a healthy rat (3.13 ± 0.03 cm/s). We found a 21% decrease in the flow velocity in response to IMH, given that the last treatment session was delivered 14 days earlier. Vessels surrounding the tumor in the IMH group possessed a 35% higher resistive index than those in the control group (p < 0.05, Table 5). This is likely to be explained by vascular damage, compression and increased resistance under the conditions of higher tumor stiffness (Table 4) [60]. In addition, a continuous wavelet transform analysis was applied to characterize changes in blood flow waveforms between the groups. Comparing Figure 5a,b note two higher energy bands around scales 70 and 200–225 as well as a lower energy band around scales 250–300 in the IMH group, which reflect changes in cardiac effects within the 2–6 Hz frequency range on vessel blood flow [61,62]. Wavelet energy distribution in the IMH group tended to have lower average energy (2.4 ± 1.3), skewness (0.3) and kurtosis (2.9) values than the control group (energy—2.7 ± 1.9, skewness—1.0; kurtosis—4.1). We cannot exclude the possibility that these results are related to the influence of radiofrequency electromagnetic fields on the cardiovascular system [63,64]. Similar to tumor capsule ROIs in US elastography images, Moran’s index of obtained wavelet transform scalograms decreased in animals exposed to IMH (0.87 ± 0.005 a.u.) in comparison to those undergoing no treatment (0.91 ± 0.003 a.u., p < 0.05), presumably indicating the relationship between spatial heterogeneity of tumor stiffness and vasculature.
Sarcomas are stiffer than normal muscle or adipose tissues, the biomechanical properties of which are routinely visualized using US elastography [65]. Activation of cancer-associated fibroblasts and tumor-associated macrophages in the local microenvironment during tumor progression stimulates collagen accumulation, overexpression and cross-linking, resulting in increased stiffness and heterogeneous patterns of the extracellular matrix organization [66,67,68]. As tumors grow, the cells are eventually exposed to a greater degree of mechanical compression, also referred to as solid stress. Importantly, the nonuniformity of solid stress distribution plays a role in mechanochemical transduction signals that regulate cell division and death.
In malignant tumors, chaotic and leaky blood vessels lead to inadequate blood flow and increased interstitial pressure [69,70]. Tumor blood vessels on the periphery tend to be better perfused than in core regions. One of the immediate responses to mild hyperthermia is an increase in tumor blood flow caused by elevated flow velocity, dilation or reperfusion of blood vessels [71]. The combination of IMH with chemotherapy is supported by these considerations in order to target and improve drug delivery to the tumor region. It appears that tumor blood flow increases only temporarily and returns to baseline levels shortly after the treatment session, when the flow distribution follows a less heterogeneous pattern [72]. Delayed response to radiofrequency-induced hyperthermia can be linked to its ability to damage endothelial cells, inhibit blood vessel formation and lead to impaired blood flow through the tumor after treatment [73]. In the context of tumor hypoxia, solid stress exerted on tumor vessel walls in the IMH group could not only affect flow rates and distribution of oxygen delivery but also alter the course of mechanochemical reactions that give rise to ROS formation [74].

3.4. Histological Image Evaluation of Intratumor Sarcoma-45 Heterogeneity

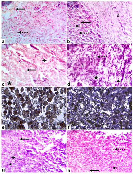
Morphological features observed in sarcoma-45 are summarized in Table 6. In the control group, tumor core tissue mainly contained eosinophilic cells, numerous apoptotic bodies and necrotic foci (<20% of the section area), while connective tissue fibers were rare (Figure 6a). In contrast, the tumor core was composed of broad bands of connective tissue fibers in nearly 70% of the section area, large cells with hypochromic nuclei, eosinophilic nonnucleated cells and necrotic foci (<20%) after IMH (Figure 6b). On the tumor periphery, tissue consisted of large cells with hypochromic nuclei, occasionally observed mitotic figures, large masses of eosinophilic nonnucleated cells and minimal ongoing necrosis (<10%) following no treatment (Figure 6c). However, in response to IMH, there were extensive masses of necrosis (<50%) infiltrated with eosinophilic nonnucleated cells and commonly observed connective tissue fibers (Figure 6d). As shown in Figure 6e,f, the cells also had a 42% lower Ki-67 protein expression in the periphery of the tumor after IMH (53.5 ± 0.1 a.u.) than no-treatment (92.4 ± 0.2 a.u.), p < 0.05. Histological findings in the capsule of untreated tumors (Figure 6g) were similar to those on the periphery. The IMH group presented abundant connective tissue fibers observed alone and surrounding necrotic foci (Figure 6h). These results demonstrate more extensive tumor necrosis, reduced cell proliferation and more pronounced connective tissue replacement in animals subjected to IMH compared to the control group.
Figure 6. Histological findings observed in sarcoma-45. H&E, ×400. Control group ((a)—tumor core; (c)—tumor periphery; (e)—Ki-67 expression in tumor periphery; (g)—tumor capsule) and IMH group ((b)—tumor core; (d)—tumor periphery; (f)—Ki-67 expression in tumor periphery; (h)—tumor capsule): short arrows—nucleated cells; long arrows—nonnucleated cells and karyorrhexis; arrowhead—mitotic figure; dotted arrows—apoptotic bodies; asterisks—necrotic foci; triangles—connective tissue replacement.
Figure 6. Histological findings observed in sarcoma-45. H&E, ×400. Control group ((a)—tumor core; (c)—tumor periphery; (e)—Ki-67 expression in tumor periphery; (g)—tumor capsule) and IMH group ((b)—tumor core; (d)—tumor periphery; (f)—Ki-67 expression in tumor periphery; (h)—tumor capsule): short arrows—nucleated cells; long arrows—nonnucleated cells and karyorrhexis; arrowhead—mitotic figure; dotted arrows—apoptotic bodies; asterisks—necrotic foci; triangles—connective tissue replacement.
Applsci 14 08251 g006
Table 6. Histological analysis of sarcoma-45.
Table 6. Histological analysis of sarcoma-45.
FeatureControl GroupIMH Group
CorePeripheryCapsuleCorePeripheryCapsule
necrosis111121
apoptosis220110
connective tissue replacement100332
Total431563
Scores: 0—not observed; 1—mild; 2—moderate; 3—severe.
With regard to spatial heterogeneity, connective tissue fibers are oriented more uniformly in the normal tissue and treatment-induced fibrosis than in the tumor stroma [75]. These findings are supported by prior work in which radiation-induced fibrosis had higher stiffness than soft-tissue sarcoma [76]. In addition, an earlier study reported a two-fold increase in collagen expression and enhanced connective tissue replacement in animals exposed to a 27 MHz electromagnetic field [77]. Several clinical trials have demonstrated that connective tissue replacement in sarcomas in response to neoadjuvant treatment is associated with a more favorable prognosis [78].
As shown in Table 7, IMH treatment reduced image heterogeneity in the tumor core, periphery and capsule, on average, by 21% in comparison with the control group. Furthermore, there was a 25% decrease in heterogeneity of Ki-67 protein distribution measured by higher values of Moran’s index in immunohistochemistry images (p < 0.05). Consistent with MRI findings (Table 3) and US elastography (Table 4), Moran’s index of core and periphery images after IMH did not significantly differ.
Ki-67 is a cell proliferation marker that exhibits a distinct nuclear localization with maximal levels in mitosis and minimal levels in the late G1 phase of the cell cycle. During mitosis, Ki-67 is enriched on the surface of chromosomes, where it serves as a positively charged electrostatic coating against aggregation of chromosome arms and ensures symmetric distribution of nucleolar components in daughter cells. After mitosis, the protein moves to the nucleolar periphery to assist heterochromatin compaction [79]. The transition from symmetrical to asymmetrical charge distributions on the macroion surface in complex colloidal systems can considerably modify the electrostatic interactions from repulsion to attraction [80]. It is not without interest to note that the amplitude of an electrostatic field around protein filaments was calculated to exert forces on the order of pN [81] and, even more, protein–protein (1–10 pN) and antigen–antibody (10–100 pN) interactions typically require mechanical forces of the same order of magnitude [82]. Both of these interactions are related to the structural complementarity of one protein molecule with another as a result of numerous conformational state transitions occurring through the direct transformation of chemical energy into mechanical work in such mechanochemical systems [83]. The electrostatic interactions thus play an important role in mechanochemical effects underlying the formation and heterogeneity of collagen fibrils and Ki-67 domains [84,85].
When exposed to radiofrequency electromagnetic fields in the MHz range (i.e., the polarization contribution to dielectric constant is higher than dielectric loss), the rotation of polar and charged side groups in a protein, as well as the orientation of the surrounding water molecules and ions along the applied field direction, can initiate changes in electrostatic interactions and the cross-linking of proteins [86]. For instance, applying a 300 MHz electromagnetic field initiated stronger electrostatic interactions in proteins by nearly 9% and, at the same time, limited their interactions with the surrounding water by 31% on average, leading to a more compact conformational state [87].
Therefore, we propose that the observed effects of IMH on sarcoma-45 can be interpreted in terms of changes in the symmetry of charge distribution and electrostatic interactions in biopolymers and the surrounding media under the influence of the applied field, which translate into patterns of intratumor heterogeneity at the molecular, cellular and tissue levels. Such quantitative characterization of intratumor heterogeneity is valuable for guiding theranostic technology in regional hyperthermia for sarcoma patients [88].
Further research should assess the role of intratumor heterogeneity in image-guided IMH for sarcoma patients in a clinical setting. This will require developing software algorithms and computer models that extract descriptors of intratumor heterogeneity, for example, image histogram characteristics, gray level co-occurrence, run length and size zone matrices, fractal dimension and lacunarity, and tailor IMH parameters, such as the strength of the electric and magnetic fields, SAR, temperature and duration, to extend personalized treatment planning. In addition, by adopting hybrid imaging methods, which combine magnetic resonance imaging, elastography and thermometry, positron emission tomography and computed tomography, it is possible to identify changes in several biophysical parameters, including MRI signal relaxation rate, mechanical stiffness, temperature, metabolite uptake and Hounsfield units, in response to IMH at the same time and thus provide a more comprehensive characterization of intratumor heterogeneity. The major limitation of the present study is the small sample size. We also suggest that future studies should focus on other models, such as sarcoma-180 or Walker-256 carcinosarcoma, as well as different texture features to evaluate image heterogeneity. A natural progression of this work is to investigate the combined effects of IMH with chemotherapy, radiotherapy and immunotherapy, utilizing imaging heterogeneity to initiate a more pronounced antitumor effect in the late phase of tumor growth for patients with advanced sarcomas. It is recommended that more quantitative information be collected to determine the relationship between different manifestations of intratumor heterogeneity at the molecular, cellular and tissue levels by correlating imaging biomarkers, personalized treatment plans and patient outcomes.

4. Conclusions

This study investigated changes in sarcoma-45 growth kinetics and intratumor heterogeneity evaluated using MRI, US and histology images that occur following IMH treatment.
IMH resulted in a 34% inhibition of sarcoma-45 growth kinetics and changes in intratumor heterogeneity across tissue, cellular and molecular levels, as compared with tumor-bearing animals receiving no treatment in the control group (p < 0.05). We found that tumor core, periphery and capsule ROIs displayed an average of a 42% increase in image brightness on T2-weighted MRI scans and a 37% increase in Young’s modulus measured by US elastography in response to IMH. Due to the inherent differences in physical and technical principles underlying acquisition, the observed changes in Moran’s index values did not follow one particular direction from the control group in all the imaging techniques. On average, the calculations of Moran’s index indicated a 22% increase in image heterogeneity of all tumor ROIs on MRI in the IMH group, while there was a 31% and 14% decrease in heterogeneity of core and periphery ROIs on US elastography. This indicates a complex interplay between spatial heterogeneity patterns of tissue fluid content and biomechanical properties in response to IMH. The results of histological examination demonstrated more extensive areas of necrosis, lower expression of Ki-67 protein in the tumor periphery and more pronounced connective tissue replacement across all tumor regions after IMH than in the control group. Comparison of Moran’s index values in histology and immunohistochemistry images showed a 21% and 25% decrease in image heterogeneity of all tumor regions and Ki-67 protein distribution, respectively. Whereas heterogeneity analysis revealed distinctions between all tumor ROIs on MRI, US and histology images in the untreated animals, there was no significant difference between core and periphery after treatment with IMH. In principle, we propose that the obtained results can be explained in terms of changes in electrostatic interactions of biopolymers and the surrounding media under the influence of the applied radiofrequency electromagnetic field, which translate into different patterns of intratumor heterogeneity at the molecular, cellular and tissue levels. This quantitative characterization contributes to a further understanding of IMH effects on different manifestations of intratumor heterogeneity using experimental imaging data. Future work should address the clinical application of image heterogeneity analysis to guide theranostic technology in IMH for sarcoma patients.

Author Contributions

Conceptualization, V.E.O. and V.B.O.; methodology, O.Y.D., O.Y.R., V.B.O. and L.M.K.; software, V.B.O., O.Y.R., K.S.M. and O.S.S.; validation, V.E.O., O.Y.G., A.G.D. and V.V.O.; formal analysis, V.B.O., K.S.M. and O.S.S.; investigation, V.B.O., O.Y.D., V.E.O. and L.M.K.; resources, V.E.O., A.G.D. and V.V.O.; data curation, V.B.O.; writing—original draft preparation, V.B.O. and V.E.O.; writing—review and editing, V.E.O. and V.B.O.; visualization, V.B.O. and L.M.K.; supervision, V.E.O. and O.Y.G.; project administration, V.E.O., A.G.D. and V.V.O.; funding acquisition, V.E.O., A.G.D. and V.V.O. All authors have read and agreed to the published version of the manuscript.

Funding

This research was partially funded by the Ministry of Health of Ukraine to develop a method of antitumor therapy of primary malignant bone tumors based on magnetochemical technology using nanocomplexes (code BH.14.01.07.204-23, registration number 0123U100711).

Institutional Review Board Statement

The animal study protocol was approved by the Institutional Ethics Committee of the National Cancer Institute of Ukraine (protocol code No. 211/6, approved on 21 June 2022).

Informed Consent Statement

Not applicable.

Data Availability Statement

The data presented in this study are available on request from the corresponding author.

Acknowledgments

The authors thank H. Kuznietsova and N. Dzubenko for providing excellent technical assistance for this study.

Conflicts of Interest

The authors declare no conflicts of interest.

References

  1. Burningham, Z.; Hashibe, M.; Spector, L.; Schiffman, J.D. The epidemiology of sarcoma. Clin. Sarcoma Res. 2012, 2, 14. [Google Scholar] [CrossRef] [PubMed]
  2. Potter, J.W.; Jones, K.B.; Barrott, J.J. Sarcoma-The standard-bearer in cancer discovery. Crit. Rev. Oncol. Hematol. 2018, 126, 1–5. [Google Scholar] [CrossRef]
  3. Gronchi, A.; Miah, A.B.; Dei Tos, A.P.; Abecassis, N.; Bajpai, J.; Bauer, S.; Biagini, R.; Bielack, S.; Blay, J.Y.; Bolle, S.; et al. ESMO Guidelines Committee, EURACAN and GENTURIS. Soft tissue and visceral sarcomas: ESMO-EURACAN-GENTURIS Clinical Practice Guidelines for diagnosis, treatment and follow-up. Ann. Oncol. 2021, 32, 1348–1365. [Google Scholar] [CrossRef] [PubMed]
  4. Vaupel, P.; Piazena, H. Strong correlation between specific heat capacity and water content in human tissues suggests preferred heat deposition in malignant tumors upon electromagnetic irradiation. Int. J. Hyperth. 2022, 39, 987–997. [Google Scholar] [CrossRef]
  5. Wust, P.; Kortüm, B.; Strauss, U.; Nadobny, J.; Zschaeck, S.; Beck, M.; Stein, U.; Ghadjar, P. Non-thermal effects of radiofrequency electromagnetic fields. Sci. Rep. 2020, 10, 13488. [Google Scholar] [CrossRef]
  6. Nizhelska, O.I.; Marynchenko, L.V.; Piasetskyi, V.I. Biological risks of using non-thermal non-ionizing electromagnetic fields. Innov. Biosyst. Bioeng. 2020, 4, 95–109. [Google Scholar] [CrossRef]
  7. Ferdous, M.S.; Koupaie, E.H.; Eskicioglu, C.; Johnson, T. An experimental 13.56 MHz radio frequency heating system for efficient thermal pretreatment of wastewater sludge. Prog. Electromagn. Res. B 2017, 79, 83–101. [Google Scholar] [CrossRef]
  8. Griffin, R.J.; Dings, R.P.; Jamshidi-Parsian, A.; Song, C.W. Mild temperature hyperthermia and radiation therapy: Role of tumour vascular thermotolerance and relevant physiological factors. Int. J. Hyperth. 2010, 26, 256–263. [Google Scholar] [CrossRef]
  9. Wydra, R.J.; Rychahou, P.G.; Evers, B.M.; Anderson, K.W.; Dziubla, T.D.; Hilt, J.Z. The role of ROS generation from magnetic nanoparticles in an alternating magnetic field on cytotoxicity. Acta Biomater. 2015, 25, 284–290. [Google Scholar] [CrossRef]
  10. Barnes, F.; Greenebaum, B. Role of radical pairs and feedback in weak radio frequency field effects on biological systems. Environ. Res. 2018, 163, 165–170. [Google Scholar] [CrossRef]
  11. Grasland-Mongrain, P.; Souchon, R.; Cartellier, F.; Zorgani, A.; Chapelon, J.Y.; Lafon, C.; Catheline, S. Imaging of shear waves induced by Lorentz force in soft tissues. Phys. Rev. Lett. 2014, 113, 038101. [Google Scholar] [CrossRef] [PubMed]
  12. Orel, V.E.; Diedkov, A.G.; Ostafiichuk, V.V.; Lykhova, O.O.; Kolesnyk, D.L.; Orel, V.B.; Dasyukevich, O.Y.; Rykhalskyi, O.Y.; Diedkov, S.A.; Prosvietova, A.B. Combination treatment with liposomal doxorubicin and inductive moderate hyperthermia for sarcoma Saos-2 cells. Pharmaceuticals 2024, 17, 133. [Google Scholar] [CrossRef] [PubMed]
  13. McQuerry, J.A.; Chang, J.T.; Bowtell, D.D.L.; Cohen, A.; Bild, A.H. Mechanisms and clinical implications of tumor heterogeneity and convergence on recurrent phenotypes. J. Mol. Med. 2017, 95, 1167–1178. [Google Scholar] [CrossRef] [PubMed]
  14. Edelman, G.M. Topobiology. Sci. Am. 1989, 260, 76–88. [Google Scholar] [CrossRef] [PubMed]
  15. Orel, V.E.; Dzyatkovskaya, N.N.; Danko, M.I.; Romanov, A.V.; Mel’nik, Y.I.; Grinevich, Y.A.; Martynenko, S.A. Spatial and mechanoemission chaos of mechanically deformed tumor cells. J. Mech. Med. Biol. 2004, 4, 31–45. [Google Scholar] [CrossRef]
  16. Schiffhauer, E.S.; Robinson, D.N. Mechanochemical signaling directs cell-shape change. Biophys. J. 2017, 112, 207–214. [Google Scholar] [CrossRef]
  17. Alic, L.; Niessen, W.J.; Veenland, J.F. Quantification of heterogeneity as a biomarker in tumor imaging: A systematic review. PLoS ONE 2014, 9, e110300. [Google Scholar] [CrossRef]
  18. Crombé, A.; Marcellin, P.J.; Buy, X.; Stoeckle, E.; Brouste, V.; Italiano, A.; Le Loarer, F.; Kind, M. Soft-tissue sarcomas: Assessment of MRI features correlating with histologic grade and patient outcome. Radiology 2019, 291, 710–721. [Google Scholar] [CrossRef]
  19. Jacobson, J.A.; Middleton, W.D.; Allison, S.J.; Dahiya, N.; Lee, K.S.; Levine, B.D.; Lucas, D.R.; Murphey, M.D.; Nazarian, L.N.; Siegel, G.W.; et al. Ultrasonography of superficial soft-tissue masses: Society of radiologists in ultrasound consensus conference statement. Radiology 2022, 304, 18–30. [Google Scholar] [CrossRef]
  20. Potts, S.J.; Krueger, J.S.; Landis, N.D.; Eberhard, D.A.; Young, G.D.; Schmechel, S.C.; Lange, H. Evaluating tumor heterogeneity in immunohistochemistry-stained breast cancer tissue. Lab. Investig. 2012, 92, 1342–1357. [Google Scholar] [CrossRef]
  21. Potapnev, M.P.; Istomin, Y.P.; Ismail-zade, R.S.; Zhavrid, E.A. Enhancement of antitumor response to sarcoma 45 in rats by combination of whole-body hyperthermia and interleukin-2. Eksp. Onkol. 2004, 26, 67–70. [Google Scholar]
  22. Shaw, R.; Miller, S.; Curwen, J.; Dymond, M. Design, analysis and reporting of tumor models. Lab. Animal 2017, 46, 207–211. [Google Scholar] [CrossRef] [PubMed]
  23. Tayek, J.A.; Istfan, N.W.; Jones, C.T.; Hamawy, K.J.; Bistrian, B.R.; Blackburn, G.L. Influence of the Walker 256 carcinosarcoma of muscle, tumor, and whole-body protein synthesis and growth rate in the cancer-bearing rat. Cancer. Res. 1986, 46, 5649–5654. [Google Scholar] [PubMed]
  24. Emanuel, N. Kinetics of Experimental Tumor Processes, 1st ed.; Pergamon Press: Oxford, UK, 1982; pp. 1–348. [Google Scholar]
  25. Orel, V.E.; Tselepi, M.; Mitrelias, T.; Zabolotny, M.; Krotevich, M.; Shevchenko, A.; Rykhalskyi, A.; Romanov, A.; Orel, V.B.; Burlaka, A.; et al. Nonlinear magnetochemical effects in nanotherapy of Walker-256 Carcinosarcoma. ACS Appl. Bio Mater. 2019, 2, 3954–3963. [Google Scholar] [CrossRef] [PubMed]
  26. Hamilton, G. Multicellular spheroids as an in vitro tumor model. Cancer Lett. 1998, 131, 29–34. [Google Scholar] [CrossRef] [PubMed]
  27. Wessapan, T.; Rattanadecho, R. Flow and heat transfer in biological tissue due to electromagnetic near-field exposure effects. Int. J. Heat Mass Transf. 2016, 97, 174–184. [Google Scholar] [CrossRef]
  28. Leger, S.; Zwanenburg, A.; Leger, K.; Lohaus, F.; Linge, A.; Schreiber, A.; Kalinauskaite, G.; Tinhofer, I.; Guberina, N.; Guberina, M.; et al. Comprehensive analysis of tumour sub-volumes for radiomic risk modelling in locally advanced HNSCC. Cancers 2020, 12, 3047. [Google Scholar] [CrossRef]
  29. Zhou, T.; Yang, M.; Xiong, W.; Zhu, F.; Li, Q.; Zhao, L.; Zhao, Z. The value of intratumoral and peritumoral radiomics features in differentiating early-stage lung invasive adenocarcinoma (≤3 cm) subtypes. Transl. Cancer Res. 2024, 13, 202–216. [Google Scholar] [CrossRef]
  30. Cano, M.E.; Gil-Villegas, A.; Sosa, M.A.; Villagómez, J.C.; Baffa, O. Computer simulation of magnetic properties of human blood. Chem. Phys. Lett. 2006, 432, 548–552. [Google Scholar] [CrossRef]
  31. Popovic, M.E.; Minceva, M. Thermodynamic properties of human tissues. Therm. Sci. 2020, 24, 4115–4133. [Google Scholar] [CrossRef]
  32. Bronzino, J.D. Biomedical Engineering Fundamental, 3rd ed.; CRC Press: Boca Raton, FL, USA, 2006; pp. 1–1569. [Google Scholar]
  33. Lee, J.H.; Yoon, Y.C.; Kim, H.S.; Lee, J.; Kim, E.; Findeklee, C.; Katscher, U. In vivo electrical conductivity measurement of muscle, cartilage, and peripheral nerve around knee joint using MR-electrical properties tomography. Sci. Rep. 2022, 12, 73. [Google Scholar] [CrossRef] [PubMed]
  34. Lok, E.; Clark, M.; Liang, O.; Malik, T.; Koo, S.; Wong, E.T. Modulation of tumor-treating fields by cerebral edema from brain tumors. Adv. Radiat. Oncol. 2022, 8, 101046. [Google Scholar] [CrossRef] [PubMed]
  35. Wust, P.; Hildebrandt, B.; Sreenivasa, G.; Rau, B.; Gellermann, J.; Riess, H.; Felix, R.; Schlag, P.M. Hyperthermia in combined treatment of cancer. Lancet Oncol. 2002, 3, 487–497. [Google Scholar] [CrossRef] [PubMed]
  36. Defrin, R.; Shachal-Shiffer, M.; Hadgadg, M.; Peretz, C. Quantitative somatosensory testing of warm and heat-pain thresholds: The effect of body region and testing method. Clin. J. Pain 2006, 22, 130–136. [Google Scholar] [CrossRef] [PubMed]
  37. Kouloulias, V.; Karanasiou, I.; Giamalaki, M.; Matsopoulos, G.; Kouvaris, J.; Kelekis, N.; Uzunoglu, N. Theoretical analysis, design and development of a 27-MHz folded loop antenna as a potential applicator in hyperthermia treatment. Int. J. Hyperth. 2015, 31, 23–32. [Google Scholar] [CrossRef]
  38. Haemmerich, D.; Staelin, S.T.; Tsai, J.Z.; Tungjitkusolmun, S.; Mahvi, D.M.; Webster, J.G. In vivo electrical conductivity of hepatic tumours. Physiol. Meas. 2003, 24, 251–260. [Google Scholar] [CrossRef][Green Version]
  39. Spinnato, P.; Papalexis, N.; Colangeli, M.; Miceli, M.; Crombé, A.; Parmeggiani, A.; Palmerini, E.; Righi, A.; Bianchi, G. Imaging features of alveolar soft part sarcoma: Single institution experience and literature review. Clin. Pract. 2023, 13, 1369–1382. [Google Scholar] [CrossRef]
  40. Addison, P.S. Introduction to redundancy rules: The continuous wavelet transform comes of age. Philos. Trans. Math. Phys. Eng. Sci. 2018, 376, 2126. [Google Scholar] [CrossRef]
  41. Kiernan, J. Histological and Histochemical Methods: Theory and Practice, 4th ed.; Cold Spring Harbor Laboratory Press: New York, NY, USA, 2008; pp. 1–606. [Google Scholar]
  42. Boroday, N.V.; Chekhun, V.F. Morphological features of doxorubicin-resistant Walker 256 carcinosarcoma and response of mast cells. Exp. Oncol. 2018, 40, 42–47. [Google Scholar] [CrossRef]
  43. Maxwell, P.; McCluggage, W.G. Audit and internal quality control in immunohistochemistry. J. Clin. Pathol. 2000, 53, 929–932. [Google Scholar] [CrossRef]
  44. Muhtadi, S.; Razzaque, R.R.; Chowdhury, A.; Garra, B.S.; Kaisar Alam, S. Texture quantified from ultrasound Nakagami parametric images is diagnostically relevant for breast tumor characterization. J. Med. Imaging 2023, 10 (Suppl. 2), S22410. [Google Scholar] [CrossRef] [PubMed]
  45. Yee, P.P.; Wang, J.; Chih, S.Y.; Aregawi, D.G.; Glantz, M.J.; Zacharia, B.E.; Thamburaj, K.; Li, W. Temporal radiographic and histological study of necrosis development in a mouse glioblastoma model. Front. Oncol. 2022, 12, 993649. [Google Scholar] [CrossRef] [PubMed]
  46. Mittal, S.; Stoean, C.; Kajdacsy-Balla, A.; Bhargava, R. Digital assessment of stained breast tissue images for comprehensive tumor and microenvironment analysis. Front. Bioeng. Biotechnol. 2019, 7, 246. [Google Scholar] [CrossRef] [PubMed]
  47. Lanng, M.B.; Møller, C.B.; Andersen, A.H.; Pálsdóttir, Á.A.; Røge, R.; Østergaard, L.R.; Jørgensen, A.S. Quality assessment of Ki67 staining using cell line proliferation index and stain intensity features. Cytometry Part A 2019, 95, 381–388. [Google Scholar] [CrossRef] [PubMed]
  48. Hildyard, J.C.W.; Riddell, D.O.; Harron, R.C.M.; Rawson, F.; Foster, E.M.A.; Massey, C.; Taylor-Brown, F.; Wells, D.J.; Piercy, R.J. The skeletal muscle phenotype of the DE50-MD dog model of Duchenne muscular dystrophy. Wellcome Open Res. 2022, 7, 238. [Google Scholar] [CrossRef] [PubMed]
  49. Thompson, E.S.; Saveyn, P.; Declercq, M.; Meert, J.; Guida, V.; Eads, C.D.; Robles, E.S.J.; Britton, M.M. Characterisation of heterogeneity and spatial autocorrelation in phase separating mixtures using Moran’s I. J. Colloid. Interface Sci. 2018, 513, 180–187. [Google Scholar] [CrossRef]
  50. Orel, V.E.; Ashykhmin, A.; Golovko, T.; Rykhalskyi, O.; Orel, V.B. Texture analysis of tumor and peritumoral tissues based on 18F-Fluorodeoxyglucose positron emission tomography/computed tomography hybrid imaging in patients with rectal cancer. J. Comput. Assist. Tomogr. 2021, 45, 820–828. [Google Scholar] [CrossRef]
  51. Xu, M.; Kumar, A.; LeBeau, J.M. Correlating local chemical and structural order using geographic information systems-based spatial statistics. Ultramicroscopy 2023, 243, 113642. [Google Scholar] [CrossRef]
  52. Besedovsky, H.O.; Normann, S.; Schardt, M.; Del Rey, A. Endocrine host responses during early and late phases of tumor development. Int. J. Cancer. 2000, 86, 457–461. [Google Scholar] [CrossRef]
  53. Chung, W.J.; Chung, H.W.; Shin, M.J.; Lee, S.H.; Lee, M.H.; Lee, J.S.; Kim, M.J.; Lee, W.K. MRI to differentiate benign from malignant soft-tissue tumours of the extremities: A simplified systematic imaging approach using depth, size and heterogeneity of signal intensity. Br. J. Radiol. 2012, 85, e831–e836. [Google Scholar] [CrossRef]
  54. Walker, E.A.; Fenton, M.E.; Salesky, J.S.; Murphey, M.D. Magnetic resonance imaging of benign soft tissue neoplasms in adults. Radiol. Clin. N. Am. 2011, 49, 1197–1217. [Google Scholar] [CrossRef] [PubMed]
  55. Hughes, P.; Miranda, R.; Doyle, A.J. MRI imaging of soft tissue tumours of the foot and ankle. Insights Imaging 2019, 10, 60. [Google Scholar] [CrossRef] [PubMed]
  56. Wancura, J.; Egan, J.M.; Sajo, E.; Sudhyadhom, A. MRI of radiation chemistry: First images and investigation of potential mechanisms. Med. Phys. 2022, 50, 495–505. [Google Scholar] [CrossRef] [PubMed]
  57. Elyas, E.; Papaevangelou, E.; Alles, E.J.; Erler, J.T.; Cox, T.R.; Robinson, S.P.; Bamber, J.C. Correlation of ultrasound shear wave elastography with pathological analysis in a xenografic tumour model. Sci. Rep. 2017, 7, 165. [Google Scholar] [CrossRef] [PubMed]
  58. Fu, C.; Xia, Y.; Wang, B.; Zeng, Q.; Pan, S. MRI T2 mapping and shear wave elastography for identifying main pain generator in delayed-onset muscle soreness: Muscle or fascia? Insights Imaging 2024, 15, 67. [Google Scholar] [CrossRef]
  59. Song, C.W.; Rhee, J.G.; Levitt, S.H. Blood flow in normal tissues and tumors during hyperthermia. J. Natl. Cancer. Inst. 1980, 64, 119–124. [Google Scholar] [CrossRef]
  60. Jain, R.K.; Martin, J.D.; Stylianopoulos, T. The role of mechanical forces in tumor growth and therapy. Annu. Rev. Biomed. Eng. 2014, 16, 321–346. [Google Scholar] [CrossRef]
  61. Neganova, A.Y.; Postnov, D.D.; Sosnovtseva, O.; Jacobsen, J.C. Rat retinal vasomotion assessed by laser speckle imaging. PLoS ONE 2017, 12, e0173805. [Google Scholar] [CrossRef]
  62. Aleksandrin, V.V.; Ivanov, A.V.; Virus, E.D.; Bulgakova, P.O.; Kubatiev, A.A. Application of wavelet analysis to detect dysfunction in cerebral blood flow autoregulation during experimental hyperhomocysteinaemia. Lasers Med. Sci. 2018, 33, 1327–1333. [Google Scholar] [CrossRef]
  63. Bortkiewicz, A.; Zmyslony, M.; Palczynski, C.; Gadzicka, E.; Szmigielski, S. Dysregulation of autonomic control of cardiac function in workers at am broadcasting stations (0.738–1.503 MHz). Electro-Magnetobiol. 1995, 14, 177–191. [Google Scholar] [CrossRef]
  64. Vangelova, K.; Deyanov, C.; Israel, M. Cardiovascular risk in operators under radiofrequency electromagnetic radiation. Int. J. Hyg. Environ. Health 2006, 209, 133–138. [Google Scholar] [CrossRef] [PubMed]
  65. Wu, M.; Ren, A.; Xu, D.; Peng, X.; Ye, X.; Li, A. Diagnostic performance of elastography in malignant soft tissue tumors: A systematic review and meta-analysis. Ultrasound Med. Biol. 2021, 47, 855–868. [Google Scholar] [CrossRef] [PubMed]
  66. Mak, M. Impact of crosslink heterogeneity on extracellular matrix mechanics and remodeling. Comput. Struct. Biotechnol. J. 2020, 18, 3969–3976. [Google Scholar] [CrossRef] [PubMed]
  67. Maller, O.; Drain, A.P.; Barrett, A.S.; Borgquist, S.; Ruffell, B.; Zakharevich, I.; Pham, T.T.; Gruosso, T.; Kuasne, H.; Lakins, J.N.; et al. Tumour-associated macrophages drive stromal cell-dependent collagen crosslinking and stiffening to promote breast cancer aggression. Nat. Mater. 2021, 20, 548–559. [Google Scholar] [CrossRef]
  68. Deng, B.; Zhao, Z.; Kong, W.; Han, C.; Shen, X.; Zhou, C. Biological role of matrix stiffness in tumor growth and treatment. J. Transl. Med. 2022, 20, 540. [Google Scholar] [CrossRef]
  69. Helmlinger, G.; Netti, P.A.; Lichtenbeld, H.C.; Melder, R.J.; Jain, R.K. Solid stress inhibits the growth of multicellular tumor spheroids. Nat. Biotechnol. 1997, 15, 778–783. [Google Scholar] [CrossRef]
  70. Broders-Bondon, F.; Nguyen Ho-Bouldoires, T.H.; Fernandez-Sanchez, M.E.; Farge, E. Mechanotransduction in tumor progression: The dark side of the force. J. Cell. Biol. 2018, 217, 1571–1587. [Google Scholar] [CrossRef]
  71. Dunne, M.; Regenold, M.; Allen, C. Hyperthermia can alter tumor physiology and improve chemo- and radiotherapy efficacy. Adv. Drug Deliv. Rev. 2020, 163–164, 98–124. [Google Scholar] [CrossRef]
  72. Vaupel, P.W.; Kelleher, D.K. Pathophysiological and vascular characteristics of tumours and their importance for hyperthermia: Heterogeneity is the key issue. Int. J. Hyperth. 2010, 26, 211–223. [Google Scholar] [CrossRef]
  73. Fajardo, L.F.; Prionas, S.D.; Kowalski, J.; Kwan, H.H. Hyperthermia inhibits angiogenesis. Radiat. Res. 1988, 114, 297–306. [Google Scholar] [CrossRef]
  74. Orel, V.B.; Zabolotny, M.A.; Orel, V.E. Heterogeneity of hypoxia in solid tumours and mechanochemical reactions with oxygen nanobubbles. Med. Hypotheses 2017, 102, 82–86. [Google Scholar] [CrossRef]
  75. Piersma, B.; Hayward, M.K.; Weaver, V.M. Fibrosis and cancer: A strained relationship. Biochim. Biophys. Acta Rev. Cancer 2020, 1873, 188356. [Google Scholar] [CrossRef]
  76. Willey, J.S.; Bracey, D.N.; Gallagher, P.E.; Tallant, E.A.; Wiggins, W.F.; Callahan, M.F.; Smith, T.L.; Emory, C.L. Angiotensin-(1-7) attenuates skeletal muscle fibrosis and stiffening in a mouse model of extremity sarcoma radiation therapy. J. Bone Joint Surg. Am. 2016, 98, 48–55. [Google Scholar] [CrossRef]
  77. Asci, H.; Savran, M.; Comlekci, S.; Sofu, M.M.; Erzurumlu, Y.; Ozmen, O.; Kaynak, M.; Sahin, M.E.; Taner, R.; Gecin, M. Combined pulsed magnetic field and radiofrequency electromagnetic field enhances MMP-9, Collagen-4, VEGF synthesis to improve wound healing via Hif-1α/eNOS pathway. Aesthetic Plast. Surg. 2023, 47, 2841–2852. [Google Scholar] [CrossRef]
  78. Rao, S.R.; Lazarides, A.L.; Leckey, B.L.; Lane, W.O.; Visgauss, J.D.; Somarelli, J.A.; Kirsch, D.G.; Larrier, N.A.; Brigman, B.E.; Blazer, D.G.; et al. Extent of tumor fibrosis/hyalinization and infarction following neoadjuvant radiation therapy is associated with improved survival in patients with soft-tissue sarcoma. Cancer Med. 2022, 11, 194–206. [Google Scholar] [CrossRef]
  79. Sun, X.; Kaufman, P.D. Ki-67: More than a proliferation marker. Chromosoma 2018, 127, 175–186. [Google Scholar] [CrossRef]
  80. Ruixuan, H.; Majee, A.; Dobnikar, J.; Podgornik, R. Electrostatic interactions between charge regulated spherical macroions. Eur. Phys. J. E Soft Matter Biol. Phys. 2023, 46, 115. [Google Scholar] [CrossRef]
  81. Nakamura, H. Roles of electrostatic interaction in proteins. Q. Rev. Biophys. 1996, 29, 1–90. [Google Scholar] [CrossRef]
  82. Golovin, Y.I.; Golovin, D.Y.; Vlasova, K.Y.; Veselov, M.M.; Usvaliev, A.D.; Kabanov, A.V.; Klyachko, N.L. Non-heating alternating magnetic field nanomechanical stimulation of biomolecule structures via magnetic nanoparticles as the basis for future low-toxic biomedical applications. Nanomaterials 2021, 11, 2255. [Google Scholar] [CrossRef]
  83. Vol’kenshtein, M.V. Molecules and Life, 1st ed.; Plenum Press: New York, NY, USA, 1970; pp. 1–513. [Google Scholar]
  84. Morozova, S.; Muthukumar, M. Electrostatic effects in collagen fibril formation. J. Chem. Phys. 2018, 149, 163333. [Google Scholar] [CrossRef]
  85. Remnant, L.; Kochanova, N.Y.; Reid, C.; Cisneros-Soberanis, F.; Earnshaw, W.C. The intrinsically disorderly story of Ki-67. Open Biol. 2021, 11, 210120. [Google Scholar] [CrossRef] [PubMed]
  86. Bibi, F.; Villain, M.; Guillaume, C.; Sorli, B.; Gontard, N. A review: Origins of the dielectric properties of proteins and potential development as bio-sensors. Sensors 2016, 16, 1232. [Google Scholar] [CrossRef] [PubMed]
  87. Broz, M.; Oostenbrink, C.; Bren, U. The Effect of microwaves on protein structure: Molecular dynamics approach. J. Chem. Inf. Model. 2024, 64, 2077–2083. [Google Scholar] [CrossRef] [PubMed]
  88. Liu, M.; Yuan, J.; Wang, G.; Ni, N.; Lv, Q.; Liu, S.; Gong, Y.; Zhao, X.; Wang, X.; Sun, X. Shape programmable T1-T2 dual-mode MRI nanoprobes for cancer theranostics. Nanoscale 2023, 15, 4694–4724. [Google Scholar] [CrossRef]
Figure 1. Computer modeling of specific absorption rate (a) and temperature distribution (b) in sarcoma-45 in response to IMH: 1—loop applicator; 2—magnetic dipoles; 3—tumor core; 4—tumor periphery; 5—tumor capsule.
Figure 1. Computer modeling of specific absorption rate (a) and temperature distribution (b) in sarcoma-45 in response to IMH: 1—loop applicator; 2—magnetic dipoles; 3—tumor core; 4—tumor periphery; 5—tumor capsule.
Applsci 14 08251 g001
Figure 2. Tumor growth kinetics of sarcoma-45: 1—control group (no treatment); 2—IMH group. Insets: (a)—tumor; (b)—tumor capsule.
Figure 2. Tumor growth kinetics of sarcoma-45: 1—control group (no treatment); 2—IMH group. Insets: (a)—tumor; (b)—tumor capsule.
Applsci 14 08251 g002
Figure 3. T2-weighted coronal MRI scans of sarcoma-bearing animals on day 24 after tumor implantation ((a)—control group; (b)—treatment group): 1—tumor core ROI; 2—tumor periphery ROI; 3—tumor capsule ROI.
Figure 3. T2-weighted coronal MRI scans of sarcoma-bearing animals on day 24 after tumor implantation ((a)—control group; (b)—treatment group): 1—tumor core ROI; 2—tumor periphery ROI; 3—tumor capsule ROI.
Applsci 14 08251 g003
Figure 5. Wavelet transform scalogram of sarcoma-45 blood flow signals in control (a) and IMH (b) groups. Color bars represent the magnitude of continuous wavelet transform coefficients.
Figure 5. Wavelet transform scalogram of sarcoma-45 blood flow signals in control (a) and IMH (b) groups. Color bars represent the magnitude of continuous wavelet transform coefficients.
Applsci 14 08251 g005
Table 1. Maximum values of IMH parameters in sarcoma-45.
Table 1. Maximum values of IMH parameters in sarcoma-45.
ParameterTumor CoreTumor PeripheryTumor Capsule
Specific absorption rate, W/kg4.54.12.9
Temperature, °C38.939.039.1
Maximum tumor temperature in the control group did not exceed 36.1 °C.
Table 2. Treatment effect on sarcoma-45 growth kinetics 24 days after implantation, M ± m.
Table 2. Treatment effect on sarcoma-45 growth kinetics 24 days after implantation, M ± m.
GroupTreatmentGrowth Factor φ, Day−1Breaking Ratio κ, r.u.
1Control (no treatment)0.44 ± 0.011.00
2IMH0.29 ± 0.01 *1.48
* Significant difference from control group, p < 0.05.
Table 3. Sarcoma-45 brightness and heterogeneity in T2-weighted MRI scans, M ± m.
Table 3. Sarcoma-45 brightness and heterogeneity in T2-weighted MRI scans, M ± m.
Region of InterestControl GroupIMH Group
Average image brightness, a.u.
Tumor core59.2 ± 0.177.4 ± 0.4 a
Tumor periphery24.7 ± 0.1 *54.8 ± 0.2 *b
Tumor capsule14.5 ± 0.1 *+28.0 ± 0.1 *+c
Moran’s I, a.u.
Tumor core0.78 ± 0.010.52 ± 0.01 a
Tumor periphery0.67 ± 0.01 *0.53 ± 0.01 b
Tumor capsule0.55 ± 0.01 *+0.48 ± 0.01 *+c
* Statistically significant difference from tumor core, p < 0.05; + statistically significant difference from tumor periphery, p < 0.05; a statistically significant difference from tumor core in the control group, p < 0.05; b statistically significant difference from tumor periphery in the control group, p < 0.05; c statistically significant difference from tumor capsule in the control group, p < 0.05.
Table 5. Sarcoma-45 blood flow characteristics, M ± m.
Table 5. Sarcoma-45 blood flow characteristics, M ± m.
GroupTreatmentMean Blood Flow Velocity, cm/sResistive Index
1Control (no treatment)9.87 ± 0.180.51 ± 0.03
2IMH7.78 ± 0.17 *0.78 ± 0.01 *
* Significant difference from control group, p < 0.05.
Table 7. Sarcoma-45 heterogeneity (Moran’s I, a.u.) in histological images, M ± m.
Table 7. Sarcoma-45 heterogeneity (Moran’s I, a.u.) in histological images, M ± m.
Region of InterestControl GroupIMH Group
Cellular level
Tumor core0.49 ± 0.010.73 ± 0.01 a
Tumor periphery0.61 ± 0.01 *0.76 ± 0.01 b
Tumor capsule0.51 ± 0.01 +0.56 ± 0.01 *+c
Molecular level Ki-67 expression
Tumor periphery0.21 ± 0.010.28 ± 0.01 b
* Statistically significant difference from tumor core, p < 0.05; + statistically significant difference from tumor periphery, p < 0.05; a statistically significant difference from tumor core in the control group, p < 0.05; b statistically significant difference from tumor periphery in the control group, p < 0.05; c statistically significant difference from tumor capsule in the control group, p < 0.05.
Disclaimer/Publisher’s Note: The statements, opinions and data contained in all publications are solely those of the individual author(s) and contributor(s) and not of MDPI and/or the editor(s). MDPI and/or the editor(s) disclaim responsibility for any injury to people or property resulting from any ideas, methods, instructions or products referred to in the content.

Share and Cite

MDPI and ACS Style

Orel, V.B.; Dasyukevich, O.Y.; Orel, V.E.; Rykhalskyi, O.Y.; Kovalevska, L.M.; Galkin, O.Y.; Matveichuk, K.S.; Diedkov, A.G.; Ostafiichuk, V.V.; Shablii, O.S. Characterization of Inductive Moderate Hyperthermia Effects on Intratumor Sarcoma-45 Heterogeneity Using Magnetic Resonance, Ultrasound and Histology Image Analysis. Appl. Sci. 2024, 14, 8251. https://doi.org/10.3390/app14188251

AMA Style

Orel VB, Dasyukevich OY, Orel VE, Rykhalskyi OY, Kovalevska LM, Galkin OY, Matveichuk KS, Diedkov AG, Ostafiichuk VV, Shablii OS. Characterization of Inductive Moderate Hyperthermia Effects on Intratumor Sarcoma-45 Heterogeneity Using Magnetic Resonance, Ultrasound and Histology Image Analysis. Applied Sciences. 2024; 14(18):8251. https://doi.org/10.3390/app14188251

Chicago/Turabian Style

Orel, Valerii B., Olga Yo. Dasyukevich, Valerii E. Orel, Oleksandr Yu. Rykhalskyi, Larysa M. Kovalevska, Olexander Yu. Galkin, Karyna S. Matveichuk, Anatolii G. Diedkov, Vasyl V. Ostafiichuk, and Oleksandr S. Shablii. 2024. "Characterization of Inductive Moderate Hyperthermia Effects on Intratumor Sarcoma-45 Heterogeneity Using Magnetic Resonance, Ultrasound and Histology Image Analysis" Applied Sciences 14, no. 18: 8251. https://doi.org/10.3390/app14188251

APA Style

Orel, V. B., Dasyukevich, O. Y., Orel, V. E., Rykhalskyi, O. Y., Kovalevska, L. M., Galkin, O. Y., Matveichuk, K. S., Diedkov, A. G., Ostafiichuk, V. V., & Shablii, O. S. (2024). Characterization of Inductive Moderate Hyperthermia Effects on Intratumor Sarcoma-45 Heterogeneity Using Magnetic Resonance, Ultrasound and Histology Image Analysis. Applied Sciences, 14(18), 8251. https://doi.org/10.3390/app14188251

Note that from the first issue of 2016, this journal uses article numbers instead of page numbers. See further details here.

Article Metrics

Back to TopTop