Research on Performance Metrics and Augmentation Methods in Lung Nodule Classification
Abstract
1. Introduction
2. Related Work
2.1. Medical Image Processing
2.2. Classification in Medical Image Processing
2.3. Metrics for the Assessment of Models’ Performance
2.4. Augmentation Methods to Reduce Overfitting
3. Methodology
3.1. Preliminaries
3.2. Convolutional Neural Network for Classification
3.3. Performance Metrics for Classification
3.3.1. Accuracy
3.3.2. Recall and Precision
3.3.3. F-Score
3.3.4. Matthews Correlation Coefficient (MCC)
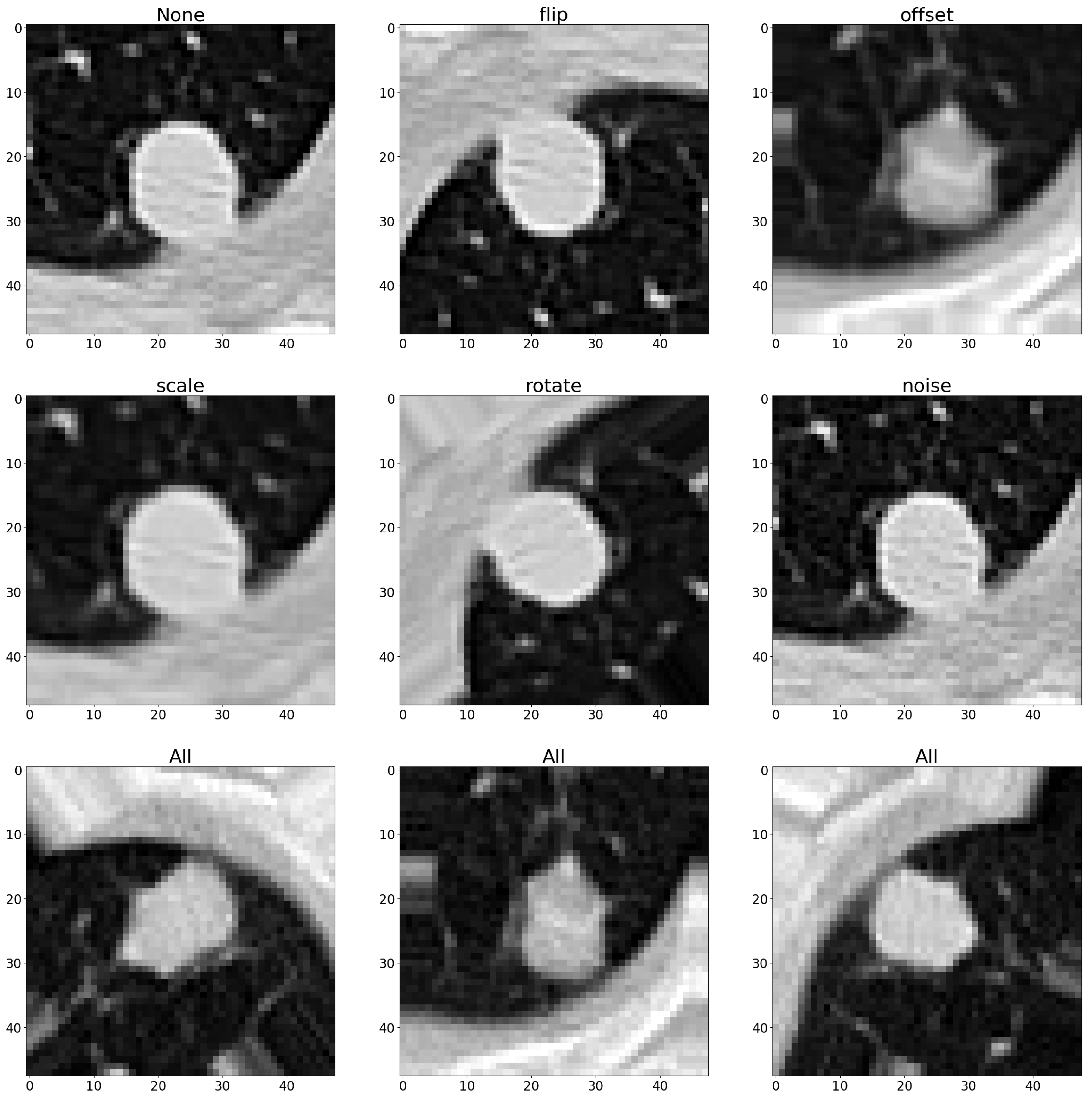
3.4. Augmentation Methods in Lung Nodule Detection
3.4.1. Flipping the Images
3.4.2. Shifting the Image Around
3.4.3. Scaling the Images
3.4.4. Rotating the Images
3.4.5. Injecting Noise into the Images
3.4.6. Modifying the Intensity of Pixels or Voxels
3.5. Blurring the Images
4. Experiments
4.1. Dataset
4.2. Model Architecture
4.3. Experiment Design
- Epochs: 20, to ensure adequate exposure to the training data without overfitting.
- Batch Size: 16, balancing the computational load and the granularity of the gradient updates.
- GPU: RTX 3060
- Learning Rate: 0.001, starting conservatively, to ensure comprehensive convergence over training epochs.
- Optimizer: SGD, chosen for its adaptive learning rate capabilities, helping to fine-tune the model’s weights effectively.
- Loss: Cross-entropy loss.
- Activation function: ReLU.
- Convolution kernal: .
- Pooling layer: Max pooling .
- Loss: Cross-entropy.
- Ratio of training/test: 0.8/0.2.
4.4. Experiment Outcomes
5. Results and Discussion
5.1. Metric Analysis and Selection
5.2. Augmentation Method Analysis
5.3. Comparison with Other Research and Future Research
6. Conclusions
Author Contributions
Funding
Data Availability Statement
Conflicts of Interest
Abbreviations
| MCC | Matthew’s Correlation Coefficients |
| CT | Computed Tomography |
| CNN | Convolutional Neural Network |
| CAD | Computer-Aided Diagnosis |
| FPR | False Positive Rate |
| TPR | True Positive Rate |
| SOTA | State-of-the-Art |
| TPs | True Positives |
| TNs | True Negatives |
| FPs | False Positives |
| FNs | False Negatives |
References
- Leiter, A.; Veluswamy, R.R.; Wisnivesky, J.P. The global burden of lung cancer: Current status and future trends. Nat. Rev. Clin. Oncol. 2023, 20, 624–639. [Google Scholar] [CrossRef] [PubMed]
- Del Ciello, A.; Franchi, P.; Contegiacomo, A.; Cicchetti, G.; Bonomo, L.; Larici, A.R. Missed lung cancer: When, where, and why? Diagn. Interv. Radiol. 2017, 23, 118. [Google Scholar] [CrossRef]
- Du, J.; Guan, K.; Zhou, Y.; Li, Y.; Wang, T. Parameter-free similarity-aware attention module for medical image classification and segmentation. IEEE Trans. Emerg. Top. Comput. Intell. 2022, 7, 845–857. [Google Scholar] [CrossRef]
- Chen, X.; Wang, X.; Zhang, K.; Fung, K.M.; Thai, T.C.; Moore, K.; Mannel, R.S.; Liu, H.; Zheng, B.; Qiu, Y. Recent advances and clinical applications of deep learning in medical image analysis. Med. Image Anal. 2022, 79, 102444. [Google Scholar] [CrossRef]
- Zhao, Z.; Zeng, Z.; Xu, K.; Chen, C.; Guan, C. Dsal: Deeply supervised active learning from strong and weak labelers for biomedical image segmentation. IEEE J. Biomed. Health Inform. 2021, 25, 3744–3751. [Google Scholar] [CrossRef]
- Kim, B.; Kim, J.; Lee, J.G.; Kim, D.H.; Park, S.H.; Ye, J.C. Unsupervised deformable image registration using cycle-consistent CNN. In Proceedings of the Medical Image Computing and Computer Assisted Intervention–MICCAI 2019: 22nd International Conference, Shenzhen, China, 13–17 October 2019; Proceedings, Part VI 22. Springer: Berlin/Heidelberg, Germany, 2019; pp. 166–174. [Google Scholar]
- Tseng, K.K.; Zhang, R.; Chen, C.M.; Hassan, M.M. DNetUnet: A semi-supervised CNN of medical image segmentation for super-computing AI service. J. Supercomput. 2021, 77, 3594–3615. [Google Scholar] [CrossRef]
- Lerousseau, M.; Vakalopoulou, M.; Classe, M.; Adam, J.; Battistella, E.; Carré, A.; Estienne, T.; Henry, T.; Deutsch, E.; Paragios, N. Weakly supervised multiple instance learning histopathological tumor segmentation. In Proceedings of the Medical Image Computing and Computer Assisted Intervention–MICCAI 2020: 23rd International Conference, Lima, Peru, 4–8 October 2020; Proceedings, Part V 23. Springer: Berlin/Heidelberg, Germany, 2020; pp. 470–479. [Google Scholar]
- Li, Y.; Chen, J.; Xie, X.; Ma, K.; Zheng, Y. Self-loop uncertainty: A novel pseudo-label for semi-supervised medical image segmentation. In Proceedings of the Medical Image Computing and Computer Assisted Intervention–MICCAI 2020: 23rd International Conference, Lima, Peru, 4–8 October 2020; Proceedings, Part I 23. Springer: Berlin/Heidelberg, Germany, 2020; pp. 614–623. [Google Scholar]
- Ma, J.; Song, Y.; Tian, X.; Hua, Y.; Zhang, R.; Wu, J. Survey on deep learning for pulmonary medical imaging. Front. Med. 2020, 14, 450–469. [Google Scholar] [CrossRef] [PubMed]
- Bhattacharya, S.; Maddikunta, P.K.R.; Pham, Q.V.; Gadekallu, T.R.; Chowdhary, C.L.; Alazab, M.; Piran, M.J. Deep learning and medical image processing for coronavirus pandemic: A survey. Sustain. Cities Soc. 2021, 65, 102589. [Google Scholar] [CrossRef] [PubMed]
- Bhatt, C.; Kumar, I.; Vijayakumar, V.; Singh, K.U.; Kumar, A. The state of the art of deep learning models in medical science and their challenges. Multimed. Syst. 2021, 27, 599–613. [Google Scholar] [CrossRef]
- Dourado, C.M.; da Silva, S.P.P.; da Nobrega, R.V.M.; Reboucas Filho, P.P.; Muhammad, K.; de Albuquerque, V.H.C. An open IoHT-based deep learning framework for online medical image recognition. IEEE J. Sel. Areas Commun. 2020, 39, 541–548. [Google Scholar] [CrossRef]
- Zhao, Z.; Alzubaidi, L.; Zhang, J.; Duan, Y.; Gu, Y. A comparison review of transfer learning and self-supervised learning: Definitions, applications, advantages and limitations. Expert Syst. Appl. 2023, 242, 122807. [Google Scholar] [CrossRef]
- Masud, M.; Sikder, N.; Nahid, A.A.; Bairagi, A.K.; AlZain, M.A. A machine learning approach to diagnosing lung and colon cancer using a deep learning-based classification framework. Sensors 2021, 21, 748. [Google Scholar] [CrossRef]
- Binczyk, F.; Prazuch, W.; Bozek, P.; Polanska, J. Radiomics and artificial intelligence in lung cancer screening. Transl. Lung Cancer Res. 2021, 10, 1186–1199. [Google Scholar] [CrossRef]
- Niu, S.; Liu, M.; Liu, Y.; Wang, J.; Song, H. Distant domain transfer learning for medical imaging. IEEE J. Biomed. Health Inform. 2021, 25, 3784–3793. [Google Scholar] [CrossRef]
- Liao, W.; Xiong, H.; Wang, Q.; Mo, Y.; Li, X.; Liu, Y.; Chen, Z.; Huang, S.; Dou, D. Muscle: Multi-task self-supervised continual learning to pre-train deep models for x-ray images of multiple body parts. In Proceedings of the International Conference on Medical Image Computing and Computer-Assisted Intervention, Singapore, 18–22 September 2022; Springer: Berlin/Heidelberg, Germany, 2022; pp. 151–161. [Google Scholar]
- Lipton, Z.C.; Elkan, C.; Narayanaswamy, B. Thresholding classifiers to maximize F1 score. arXiv 2014, arXiv:1402.1892. [Google Scholar]
- Chicco, D.; Jurman, G. The advantages of the Matthews correlation coefficient (MCC) over F1 score and accuracy in binary classification evaluation. BMC Genom. 2020, 21, 6. [Google Scholar] [CrossRef]
- Luque, A.; Carrasco, A.; Martín, A.; de Las Heras, A. The impact of class imbalance in classification performance metrics based on the binary confusion matrix. Pattern Recognit. 2019, 91, 216–231. [Google Scholar] [CrossRef]
- Chlap, P.; Min, H.; Vandenberg, N.; Dowling, J.; Holloway, L.; Haworth, A. A review of medical image data augmentation techniques for deep learning applications. J. Med. Imaging Radiat. Oncol. 2021, 65, 545–563. [Google Scholar] [CrossRef]
- Fang, T. A novel computer-aided lung cancer detection method based on transfer learning from GoogLeNet and median intensity projections. In Proceedings of the 2018 IEEE International Conference on Computer and Communication Engineering Technology (CCET), Beijing, China, 18–20 August 2018; IEEE: Piscataway, NJ, USA, 2018; pp. 286–290. [Google Scholar]
- Gsaxner, C.; Roth, P.M.; Wallner, J.; Egger, J. Exploit fully automatic low-level segmented PET data for training high-level deep learning algorithms for the corresponding CT data. PLoS ONE 2019, 14, e0212550. [Google Scholar] [CrossRef]
- Stevens, E.; Antiga, L.; Viehmann, T. Deep Learning with PyTorch; Manning Publications: Shelter Island, NY, USA, 2020. [Google Scholar]
- Boughorbel, S.; Jarray, F.; El-Anbari, M. Optimal classifier for imbalanced data using Matthews Correlation Coefficient metric. PLoS ONE 2017, 12, e0177678. [Google Scholar] [CrossRef]
- Way, T.W.; Sahiner, B.; Chan, H.P.; Hadjiiski, L.; Cascade, P.N.; Chughtai, A.; Bogot, N.; Kazerooni, E. Computer-aided diagnosis of pulmonary nodules on CT scans: Improvement of classification performance with nodule surface features. Med. Phys. 2009, 36, 3086–3098. [Google Scholar] [CrossRef]
- Liu, Y.; Balagurunathan, Y.; Atwater, T.; Antic, S.; Li, Q.; Walker, R.C.; Smith, G.T.; Massion, P.P.; Schabath, M.B.; Gillies, R.J. Radiological image traits predictive of cancer status in pulmonary nodules. Clin. Cancer Res. 2017, 23, 1442–1449. [Google Scholar] [CrossRef]
- Jacobs, C.; Van Rikxoort, E.M.; Twellmann, T.; Scholten, E.T.; De Jong, P.A.; Kuhnigk, J.M.; Oudkerk, M.; De Koning, H.J.; Prokop, M.; Schaefer-Prokop, C.; et al. Automatic detection of subsolid pulmonary nodules in thoracic computed tomography images. Med. Image Anal. 2014, 18, 374–384. [Google Scholar] [CrossRef]
- Setio, A.A.A.; Traverso, A.; De Bel, T.; Berens, M.S.; Van Den Bogaard, C.; Cerello, P.; Chen, H.; Dou, Q.; Fantacci, M.E.; Geurts, B.; et al. Validation, comparison, and combination of algorithms for automatic detection of pulmonary nodules in computed tomography images: The LUNA16 challenge. Med. Image Anal. 2017, 42, 1–13. [Google Scholar] [CrossRef]






| Idx | Flip | Shift | Scale | Rot. | Noise | Idx | Flip | Shift | Scale | Rot. | Noise |
|---|---|---|---|---|---|---|---|---|---|---|---|
| 1 | √ | 17 | √ | √ | √ | ||||||
| 2 | √ | 18 | √ | √ | √ | ||||||
| 3 | √ | 19 | √ | √ | √ | ||||||
| 4 | √ | 20 | √ | √ | √ | √ | |||||
| 5 | √ | 21 | √ | √ | √ | ||||||
| 6 | √ | √ | 22 | √ | √ | √ | |||||
| 7 | √ | √ | 23 | √ | √ | √ | |||||
| 8 | √ | √ | 24 | √ | √ | √ | |||||
| 9 | √ | √ | 25 | √ | √ | √ | |||||
| 10 | √ | √ | 26 | √ | √ | √ | √ | ||||
| 11 | √ | √ | 27 | √ | √ | √ | √ | ||||
| 12 | √ | √ | 28 | √ | √ | √ | √ | ||||
| 13 | √ | √ | 29 | √ | √ | √ | √ | ||||
| 14 | √ | √ | 30 | √ | √ | √ | √ | ||||
| 15 | √ | √ | 31 | √ | √ | √ | √ | √ | |||
| 16 | √ | √ | √ |
| Idx | Brt. | Conts. | Noise | Blur | Idx | Brt. | Conts. | Noise | Blur |
|---|---|---|---|---|---|---|---|---|---|
| 32 | √ | 40 | √ | √ | |||||
| 33 | √ | 41 | √ | √ | |||||
| 34 | √ | 42 | √ | √ | √ | ||||
| 35 | √ | 43 | √ | √ | √ | ||||
| 36 | √ | √ | 44 | √ | √ | √ | |||
| 37 | √ | √ | 45 | √ | √ | √ | |||
| 38 | √ | √ | 46 | √ | √ | √ | √ | ||
| 39 | √ | √ |
| Idx | Accu. | Score | Score | Score | MCC | TPR | TNR | Precision | Recall |
|---|---|---|---|---|---|---|---|---|---|
| 1 | 0.9954 | 0.4753 | 0.6429 | 0.7947 | 0.5265 | 0.8424 | 0.9958 | 0.331 | 0.8424 |
| 2 | 0.9968 | 0.5376 | 0.6541 | 0.7370 | 0.5616 | 0.7611 | 0.9973 | 0.4156 | 0.7611 |
| 3 | 0.9971 | 0.5432 | 0.6179 | 0.6688 | 0.5542 | 0.6824 | 0.9979 | 0.4512 | 0.6824 |
| 4 | 0.9955 | 0.4989 | 0.6762 | 0.8383 | 0.5539 | 0.8895 | 0.9958 | 0.3467 | 0.8895 |
| 5 | 0.9981 | 0.5855 | 0.5516 | 0.536 | 0.59 | 0.5325 | 0.9993 | 0.6502 | 0.5325 |
| 6 | 0.9919 | 0.3749 | 0.5823 | 0.8325 | 0.4647 | 0.9284 | 0.992 | 0.2349 | 0.9284 |
| 7 | 0.9934 | 0.409 | 0.6098 | 0.8329 | 0.4885 | 0.9135 | 0.9936 | 0.2635 | 0.9135 |
| 8 | 0.992 | 0.3621 | 0.5682 | 0.8197 | 0.4526 | 0.9164 | 0.9922 | 0.2256 | 0.9164 |
| 9 | 0.9953 | 0.46 | 0.6171 | 0.7572 | 0.5067 | 0.8008 | 0.9959 | 0.3227 | 0.8008 |
| 10 | 0.9963 | 0.5265 | 0.6722 | 0.7909 | 0.5636 | 0.8258 | 0.9967 | 0.3864 | 0.8258 |
| 11 | 0.9921 | 0.3728 | 0.5837 | 0.841 | 0.4653 | 0.9401 | 0.9923 | 0.2325 | 0.9401 |
| 12 | 0.997 | 0.5468 | 0.6427 | 0.7108 | 0.5639 | 0.7294 | 0.9979 | 0.4373 | 0.7294 |
| 13 | 0.9929 | 0.3939 | 0.5989 | 0.8357 | 0.4787 | 0.9237 | 0.993 | 0.2503 | 0.9237 |
| 14 | 0.9974 | 0.5796 | 0.6634 | 0.7198 | 0.592 | 0.7348 | 0.998 | 0.4785 | 0.7348 |
| 15 | 0.9948 | 0.4589 | 0.6494 | 0.8366 | 0.5245 | 0.8984 | 0.9949 | 0.3082 | 0.8984 |
| 16 | 0.9901 | 0.3233 | 0.5364 | 0.8321 | 0.4239 | 0.9582 | 0.9901 | 0.1945 | 0.9582 |
| 17 | 0.9894 | 0.3089 | 0.5187 | 0.817 | 0.4156 | 0.9486 | 0.9895 | 0.1845 | 0.9486 |
| 18 | 0.9915 | 0.3495 | 0.5548 | 0.8131 | 0.4422 | 0.9152 | 0.9917 | 0.216 | 0.9152 |
| 19 | 0.9898 | 0.3161 | 0.5265 | 0.822 | 0.4218 | 0.9494 | 0.9899 | 0.1896 | 0.9494 |
| 20 | 0.9929 | 0.392 | 0.5981 | 0.8357 | 0.4773 | 0.9234 | 0.9931 | 0.2488 | 0.9234 |
| 21 | 0.9927 | 0.3824 | 0.5831 | 0.8159 | 0.4657 | 0.9026 | 0.9929 | 0.2426 | 0.9026 |
| 22 | 0.996 | 0.5138 | 0.6746 | 0.8123 | 0.5588 | 0.854 | 0.9963 | 0.3674 | 0.854 |
| 23 | 0.99 | 0.3186 | 0.5273 | 0.8162 | 0.4219 | 0.9394 | 0.9901 | 0.1918 | 0.9394 |
| 24 | 0.9923 | 0.3729 | 0.5796 | 0.8278 | 0.4621 | 0.9225 | 0.9924 | 0.2337 | 0.9225 |
| 25 | 0.9934 | 0.407 | 0.6038 | 0.8207 | 0.4841 | 0.8988 | 0.9936 | 0.2631 | 0.8988 |
| 26 | 0.987 | 0.2817 | 0.483 | 0.8002 | 0.3933 | 0.9566 | 0.9871 | 0.1652 | 0.9566 |
| 27 | 0.9903 | 0.3217 | 0.5286 | 0.8101 | 0.4224 | 0.9283 | 0.9904 | 0.1946 | 0.9283 |
| 28 | 0.9902 | 0.3322 | 0.5468 | 0.8428 | 0.4381 | 0.9693 | 0.9902 | 0.2004 | 0.9693 |
| 29 | 0.9895 | 0.3067 | 0.5155 | 0.8101 | 0.4123 | 0.9388 | 0.9896 | 0.1833 | 0.9388 |
| 30 | 0.9913 | 0.35 | 0.5614 | 0.8339 | 0.4479 | 0.9436 | 0.9914 | 0.2148 | 0.9436 |
| 31 | 0.9888 | 0.2998 | 0.5096 | 0.8205 | 0.4105 | 0.9888 | 0.9615 | 0.1767 | 0.9888 |
| 32 | 0.9979 | 0.5334 | 0.5028 | 0.4896 | 0.5388 | 0.4869 | 0.9991 | 0.5897 | 0.4869 |
| 33 | 0.9975 | 0.5202 | 0.532 | 0.5389 | 0.5197 | 0.5406 | 0.9987 | 0.5013 | 0.5406 |
| 34 | 0.9981 | 0.5855 | 0.5516 | 0.536 | 0.59 | 0.5325 | 0.9993 | 0.6502 | 0.5325 |
| 35 | 0.9971 | 0.423 | 0.4245 | 0.4262 | 0.4228 | 0.4267 | 0.9985 | 0.4194 | 0.4267 |
| 36 | 0.9978 | 0.5571 | 0.5617 | 0.5657 | 0.5586 | 0.5668 | 0.9988 | 0.5477 | 0.5668 |
| 37 | 0.9979 | 0.5489 | 0.5219 | 0.51 | 0.5533 | 0.5074 | 0.9992 | 0.5978 | 0.5074 |
| 38 | 0.9974 | 0.4223 | 0.3944 | 0.3819 | 0.4267 | 0.3792 | 0.999 | 0.4765 | 0.3792 |
| 39 | 0.9978 | 0.514 | 0.4829 | 0.4694 | 0.5192 | 0.4265 | 0.9991 | 0.6467 | 0.4265 |
| 40 | 0.9971 | 0.423 | 0.4245 | 0.4262 | 0.4228 | 0.4267 | 0.9985 | 0.4194 | 0.4267 |
| 41 | 0.9965 | 0.3617 | 0.3807 | 0.3927 | 0.3623 | 0.3957 | 0.998 | 0.3331 | 0.3957 |
| 42 | 0.9979 | 0.5436 | 0.5247 | 0.5163 | 0.5457 | 0.5144 | 0.9991 | 0.5763 | 0.5144 |
| 43 | 0.9974 | 0.3898 | 0.3577 | 0.3434 | 0.3949 | 0.3403 | 0.999 | 0.4562 | 0.3403 |
| 44 | 0.9967 | 0.3412 | 0.3458 | 0.349 | 0.3406 | 0.3499 | 0.9983 | 0.3329 | 0.3499 |
| 45 | 0.9972 | 0.4205 | 0.4149 | 0.4138 | 0.422 | 0.4137 | 0.9986 | 0.4275 | 0.4137 |
| 46 | 0.9965 | 0.3756 | 0.4029 | 0.4212 | 0.3752 | 0.4259 | 0.9979 | 0.3359 | 0.4259 |
| Index | Accuracy | Score | Score | Score | MCC | Recall | Precision |
|---|---|---|---|---|---|---|---|
| 5 | 0.9981 | 0.5855 | 0.5516 | 0.536 | 0.59 | 0.5325 | 0.6502 |
| 32 | 0.9979 | 0.5334 | 0.5028 | 0.4896 | 0.5388 | 0.4869 | 0.5897 |
| 37 | 0.9979 | 0.5489 | 0.5219 | 0.51 | 0.5533 | 0.5074 | 0.5978 |
| 42 | 0.9979 | 0.5436 | 0.5247 | 0.5163 | 0.5457 | 0.5144 | 0.5763 |
| 36 | 0.9978 | 0.5571 | 0.5617 | 0.5657 | 0.5586 | 0.5868 | 0.5477 |
| Index | Accuracy | Score | Score | Score | MCC | Recall | Precision |
|---|---|---|---|---|---|---|---|
| 5 | 0.9981 | 0.5855 | 0.5516 | 0.536 | 0.59 | 0.5325 | 0.6502 |
| 14 | 0.9974 | 0.5796 | 0.6634 | 0.7198 | 0.592 | 0.7348 | 0.4785 |
| 36 | 0.9978 | 0.5571 | 0.5617 | 0.5657 | 0.5586 | 0.5668 | 0.5477 |
| 37 | 0.9979 | 0.5489 | 0.5219 | 0.51 | 0.5533 | 0.5074 | 0.5978 |
| 12 | 0.997 | 0.5468 | 0.6427 | 0.7108 | 0.5639 | 0.7294 | 0.4373 |
| Index | Accuracy | Score | Score | Score | MCC | Recall | Precision |
|---|---|---|---|---|---|---|---|
| 4 | 0.9955 | 0.4989 | 0.6762 | 0.8383 | 0.5539 | 0.8895 | 0.3467 |
| 22 | 0.996 | 0.5138 | 0.6746 | 0.8123 | 0.5588 | 0.854 | 0.2488 |
| 10 | 0.9963 | 0.5265 | 0.6722 | 0.7909 | 0.5636 | 0.8258 | 0.3864 |
| 14 | 0.9974 | 0.5796 | 0.6634 | 0.7198 | 0.592 | 0.7348 | 0.4785 |
| 2 | 0.9968 | 0.5376 | 0.6541 | 0.737 | 0.5616 | 0.7611 | 0.4156 |
| Index | Accuracy | Score | Score | Score | MCC | Recall | Precision |
|---|---|---|---|---|---|---|---|
| 28 | 0.9902 | 0.3322 | 0.5468 | 0.8428 | 0.4381 | 0.9693 | 0.2004 |
| 11 | 0.9921 | 0.3728 | 0.5837 | 0.841 | 0.4653 | 0.9401 | 0.2325 |
| 4 | 0.9955 | 0.4989 | 0.6762 | 0.8383 | 0.5539 | 0.8895 | 0.3467 |
| 15 | 0.9948 | 0.4589 | 0.6494 | 0.8366 | 0.5245 | 0.8984 | 0.3082 |
| 13 | 0.9929 | 0.3939 | 0.5989 | 0.8357 | 0.4787 | 0.9237 | 0.2503 |
| Index | Accuracy | Score | Score | Score | MCC | Recall | Precision |
|---|---|---|---|---|---|---|---|
| 14 | 0.9974 | 0.5796 | 0.6634 | 0.7198 | 0.592 | 73.48 | 0.4785 |
| 5 | 0.9981 | 0.5855 | 0.5516 | 0.536 | 0.59 | 53.25 | 0.6502 |
| 12 | 0.997 | 0.5468 | 0.6427 | 0.7108 | 0.5639 | 72.94 | 0.4373 |
| 10 | 0.9963 | 0.5265 | 0.6722 | 0.7909 | 0.5636 | 82.58 | 0.3864 |
| 2 | 0.9968 | 0.5376 | 0.6541 | 0.737 | 0.5616 | 76.11 | 0.4156 |
| Idx | Flip | Shift | Scale | Rotate | Noise | |
|---|---|---|---|---|---|---|
| 1 | 0.8428 | √ | √ | √ | √ | |
| 2 | 0.841 | √ | √ | |||
| 3 | 0.8383 | √ | ||||
| 4 | 0.8366 | √ | √ | |||
| 5 | 0.8357 | √ | √ |
Disclaimer/Publisher’s Note: The statements, opinions and data contained in all publications are solely those of the individual author(s) and contributor(s) and not of MDPI and/or the editor(s). MDPI and/or the editor(s) disclaim responsibility for any injury to people or property resulting from any ideas, methods, instructions or products referred to in the content. |
© 2024 by the authors. Licensee MDPI, Basel, Switzerland. This article is an open access article distributed under the terms and conditions of the Creative Commons Attribution (CC BY) license (https://creativecommons.org/licenses/by/4.0/).
Share and Cite
Luo, D.; Yang, I.; Bae, J.; Woo, Y. Research on Performance Metrics and Augmentation Methods in Lung Nodule Classification. Appl. Sci. 2024, 14, 5726. https://doi.org/10.3390/app14135726
Luo D, Yang I, Bae J, Woo Y. Research on Performance Metrics and Augmentation Methods in Lung Nodule Classification. Applied Sciences. 2024; 14(13):5726. https://doi.org/10.3390/app14135726
Chicago/Turabian StyleLuo, Dawei, Ilhwan Yang, Joonsoo Bae, and Yoonhyuck Woo. 2024. "Research on Performance Metrics and Augmentation Methods in Lung Nodule Classification" Applied Sciences 14, no. 13: 5726. https://doi.org/10.3390/app14135726
APA StyleLuo, D., Yang, I., Bae, J., & Woo, Y. (2024). Research on Performance Metrics and Augmentation Methods in Lung Nodule Classification. Applied Sciences, 14(13), 5726. https://doi.org/10.3390/app14135726

