Natural Eggshell Membrane Attenuates Chondrocyte Inflammation and Surgically Induced Osteoarthritis in Rats
Abstract
1. Introduction
2. Materials and Methods
2.1. Preparation of NEM
2.2. Animals and Housing
2.3. Preparation and Treatment of Normal Rat Articular Chondrocytes for In Vitro Study
2.4. Assessment of Cell Viability
2.5. Osteoarthritis Rodent Animal Model and Treatment for In Vivo Study
2.6. Assessment of 5-LPO and MMP Activities, PGE2 Level Using Assay Kits
2.7. Real-Time Reverse Transcription–Polymerase Chain Reaction (RT-PCR)
2.8. Measurement of Knee Thickness and Maximum Extension
2.9. Assessment of Focal Bone Mineral Density (BMD) and Cartilage Stiffness in OA Models
2.10. Histopathological Analysis
2.11. Immunohistochemistry Analysis
2.12. Statistical Analyses
3. Results
3.1. Chondroprotective Effect of NEM In Vitro
3.2. Effect of NEM on Knee Thickness Changes In Vivo
3.3. Effect of NEM on Knee Thickness and Maximum Extension Angle after Capsule Exposure
3.4. Effect of NEM on Bone Mineral Deposition and Compressive Strength of AC
3.5. Effect of NEM on Inflammation and Extracellular Matrix Degradation of Joint Tissue In Vivo
3.6. Effect of NEM on Cartilage Composition-Related Gene Expression in Joint Tissue In Vivo
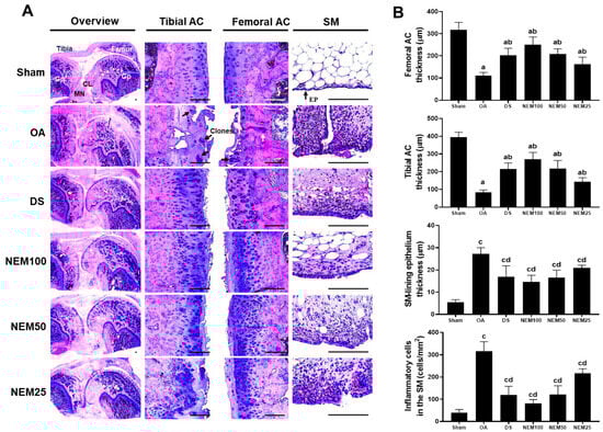
3.7. Effect of NEM on Histopathological Changes and Infiltrated Inflammatory Cells in Femoral and Tibial Articular Cartilage and Sinovial Membrane In Vivo
3.8. Effects of NEM on Inflammation, Apoptosis, and Cell Proliferation In Vivo
4. Discussion
5. Conclusions
Author Contributions
Funding
Institutional Review Board Statement
Informed Consent Statement
Data Availability Statement
Conflicts of Interest
References
- Dougados, M.; Nguyen, M.; Berdah, L.; Maziéres, B.; Vignon, E.; Lequesne, M.; ECHODIAH Investigators Study Group. Evaluation of the structure-modifying effects of diacerein in hip osteoarthritis: ECHODIAH, a three-year, placebo-controlled trial. Arthritis Rheum. 2001, 44, 2539–2547. [Google Scholar] [CrossRef] [PubMed]
- Pavelká, K.; Gatterová, J.; Olejarová, M.; Machacek, S.; Giacovelli, G.; Rovati, L.C. Glucosamine sulfate use and delay of progression of knee osteoarthritis: A 3-year, randomized, placebo-controlled, double-blind study. Arch. Intern. Med. 2002, 162, 2113–2123. [Google Scholar] [CrossRef] [PubMed]
- Fiorito, S.; Magrini, L.; Adrey, J.; Mailhe, D.; Brouty-Boye, D. Inflammatory status and cartilage regenerative potential of synovial fibroblasts from patients with osteoarthritis and chondropathy. Rheumatology 2005, 44, 164–171. [Google Scholar] [CrossRef] [PubMed]
- Badley, E. The effect of osteoarthritis on disability and health care use in Canada. J. Rheumatol. Suppl. 1995, 43, 19–22. [Google Scholar] [PubMed]
- Felson, D.T.; Lawrence, R.C.; Dieppe, P.A.; Hirsch, R.; Helmick, C.G.; Jordan, J.M.; Kington, R.S.; Lane, N.E.; Nevitt, M.C.; Zhang, Y. Osteoarthritis: New insights. Part 1: The disease and its risk factors. Ann. Intern. Med. 2000, 133, 635–646. [Google Scholar] [CrossRef]
- Jotanovic, Z.; Mihelic, R.; Sestan, B.; Dembic, Z. Role of interleukin-1 inhibitors in osteoarthritis: An evidence-based review. Drugs Aging 2012, 29, 343–358. [Google Scholar] [CrossRef] [PubMed]
- Martel-Pelletier, J.; Barr, A.J.; Cicuttini, F.M.; Conaghan, P.G.; Cooper, C.; Goldring, M.B.; Goldring, S.R.; Jones, G.; Teichtahl, A.J.; Pelletier, J.P. Osteoarthritis. Nat. Rev. Dis. Primers 2016, 2, 16072. [Google Scholar] [CrossRef] [PubMed]
- Qin, J.; Liu, Y.-S.; Liu, J.; Li, J.; Tan, Y.; Li, X.-J.; Magdalou, J.; Mei, Q.-B.; Wang, H.; Chen, L.-B. Effect of Angelica sinensis polysaccharides on osteoarthritis in vivo and in vitro: A possible mechanism to promote proteoglycans synthesis. Evid. Based Complement. Alternat. Med. 2013, 2013, 794761. [Google Scholar] [CrossRef] [PubMed]
- Na, J.Y.; Song, K.B.; Kim, S.H.; Kwon, Y.B.; Kim, D.G.; Lee, J.K.; Jo, H.K.; Kwon, J.K. Effects of HPL-04 on degenerative osteoarthritis. J. Korean Soc. Food Sci. Nutr. 2014, 43, 30–39. [Google Scholar] [CrossRef]
- Choi, B.R.; Ku, S.K.; Kang, S.J.; Park, H.R.; Sung, M.S.; Lee, Y.J.; Park, K.M. Anti-osteoarthritis effects of Pomegranate, Eucommiae cortex and Achyranthis radix extracts on the primary cultured rat articular chondrocytes. Soc. Prev. Korean Med. 2017, 21, 87–98. [Google Scholar] [CrossRef]
- Choi, B.R.; Ku, S.K.; Kang, S.J.; Park, H.R.; Sung, M.S.; Lee, Y.J.; Park, K.M. Concentration-dependent in vitro anti-osteoarthritis effects of mixed formula-pomegranate concentrate powder: Eucommiae Cortex: Achyranthis Radix 5: 4: 1 (g/g) on the primary cultured rat articular chondrocytes. J. Physiol. Pathol. Korean Med. 2019, 33, 131–140. [Google Scholar] [CrossRef]
- Felson, D.T.; Zhang, Y. An update on the epidemiology of knee and hip osteoarthritis with a view to prevention. Arthritis Rheum. 1998, 41, 1343–1355. [Google Scholar] [CrossRef] [PubMed]
- Loo, F.A.V.D.; Joosten, L.A.; Van Lent, P.L.; Arntz, O.J.; Van Den Berg, W.B. Role of interleukin-1, tumor necrosis factor α, and interleukin-6 in cartilage proteoglycan metabolism and destruction effect of in situ blocking in murine antigen-and zymosan-induced arthritis. Arthritis Rheum. 1995, 38, 164–172. [Google Scholar] [CrossRef]
- Berenbaum, F.; Jacques, C.; Thomas, G.; Corvol, M.T.; Béréziat, G.; Masliah, J. Synergistic effect of interleukin-1β and tumor necrosis factor α on PGE2 Production by articular chondrocytes does not involve PLA2 Stimulation. Exp. Cell Res. 1996, 222, 379–384. [Google Scholar] [CrossRef] [PubMed]
- Grabowski, P.; Macpherson, H.; Ralston, S. Nitric oxide production in cells derived from the human joint. Rheumatology 1996, 35, 207–212. [Google Scholar] [CrossRef]
- Stefanovic-Racic, M.; Morales, T.; Taskiran, D.; McIntyre, L.; Evans, C. The role of nitric oxide in proteoglycan turnover by bovine articular cartilage organ cultures. J. Immunol. 1996, 156, 1213–1220. [Google Scholar] [CrossRef]
- Koolpe, M.; Pearson, D.; Benton, H.P. Expression of both P1 and P2 purine receptor genes by human articular chondrocytes and profile of ligand-mediated prostaglandin E2 release. Arthritis Rheum. 1999, 42, 258–267. [Google Scholar] [CrossRef] [PubMed]
- Appleton, C.T.G.; McErlain, D.D.; Pitelka, V.; Schwartz, N.; Bernier, S.M.; Henry, J.L.; Holdsworth, D.W.; Beier, F. Forced mobilization accelerates pathogenesis: Characterization of a preclinical surgical model of osteoarthritis. Arthritis Res. Ther. 2007, 9, R13. [Google Scholar] [CrossRef] [PubMed]
- Tamura, T.; Ohmori, K. Rhein, an active metabolite of diacerein, suppresses the interleukin-1α-induced proteoglycan degradation in cultured rabbit articular chondrocytes. Jpn. J. Pharmacol. 2001, 85, 101–104. [Google Scholar] [CrossRef]
- Furukawa, K.; Kono, M.; Kataoka, T.; Hasebe, Y.; Jia, H.; Kato, H. Effects of eggshell membrane on keratinocyte differentiation and skin aging in vitro and in vivo. Nutrients 2021, 13, 2144. [Google Scholar] [CrossRef]
- Ruff, K.J.; DeVore, D.P.; Leu, M.D.; Robinson, M.A. Eggshell membrane: A possible new natural therapeutic for joint and connective tissue disorders. Results from two open-label human clinical studies. Clin. Interv. Aging 2009, 4, 235–240. [Google Scholar] [CrossRef] [PubMed]
- Jia, H.; Hanate, M.; Aw, W.; Itoh, H.; Saito, K.; Kobayashi, S.; Hachimura, S.; Fukuda, S.; Tomita, M.; Hasebe, Y. Eggshell membrane powder ameliorates intestinal inflammation by facilitating the restitution of epithelial injury and alleviating microbial dysbiosis. Sci. Rep. 2017, 7, 43993. [Google Scholar] [CrossRef] [PubMed]
- Ramli, N.S.; Jia, H.; Sekine, A.; Lyu, W.; Furukawa, K.; Saito, K.; Hasebe, Y.; Kato, H. Eggshell membrane powder lowers plasma triglyceride and liver total cholesterol by modulating gut microbiota and accelerating lipid metabolism in high-fat diet-fed mice. Food Sci. Nutr. 2020, 8, 2512–2523. [Google Scholar] [CrossRef] [PubMed]
- Kiers, J.L.; Bult, J.H.F. Mildly processed natural eggshell membrane alleviates joint pain associated with osteoarthritis of the knee: A randomized double-blind placebo-controlled study. J. Med. Food 2021, 24, 292–298. [Google Scholar] [CrossRef] [PubMed]
- Muller, C.; Enomoto, M.; Buono, A.; Steiner, J.; Lascelles, B. Placebo-controlled pilot study of the effects of an eggshell membrane-based supplement on mobility and serum biomarkers in dogs with osteoarthritis. Vet. J. 2019, 253, 105379. [Google Scholar] [CrossRef] [PubMed]
- Gupta, R.; Ramnani, P. Microbial keratinases and their prospective applications: An overview. Appl. Microbiol. Biotechnol. 2006, 70, 21–33. [Google Scholar] [CrossRef] [PubMed]
- Pachaiappan, R.; Tamboli, E.; Acharya, A.; Su, C.H.; Gopinath, S.C.B.; Chen, Y.; Velusamy, P. Separation and identification of bioactive peptides from stem of Tinospora cordifolia (Willd.) Miers. PLoS ONE 2018, 13, e0193717. [Google Scholar] [CrossRef]
- Nam, D.E.; Kim, O.K.; Shim, T.J.; Kim, J.H.; Lee, J. Effect of Boswellia Serrata Extracts on Degenerative Osteoarthritis in vitro and in vivo model. J. Korean Soc. Food Sci. Nutr. 2014, 43, 347. [Google Scholar] [CrossRef]
- Moon, C.H.; Kwon, O.; Woo, C.H.; Ahn, H.D.; Kwon, Y.S.; Park, S.J.; Song, C.H.; Ku, S.K. Therapeutic effect of irradiation of magnetic infrared laser on osteoarthritis rat model. Photochem. Photobiol. 2014, 90, 1150–1159. [Google Scholar] [CrossRef]
- Choi, J.S.; Shin, H.S.; Kim, K.Y.; Ku, S.K.; Choi, I.S.; Kim, J.W. Effect of Polycalcium, a mixture of Polycan and calcium lactate-gluconate in a 1: 9 weight ratio, on rats with surgery-induced osteoarthritis. Exp. Ther. Med. 2015, 9, 1780–1790. [Google Scholar] [CrossRef]
- Kim, C.G.; Lee, D.G.; Oh, J.; Lee, Y.H.; Lee, Y.J.; Song, P.H.; Song, C.H.; Ku, S.K. Effects of balneotherapy in Jeju magma-seawater on knee Osteoarthritis model. Sci. Rep. 2020, 10, 6620. [Google Scholar] [CrossRef]
- Goldberg, V.; Buckwalter, J. Hyaluronans in the treatment of osteoarthritis of the knee: Evidence for disease-modifying activity. Osteoarthr. Cartil. 2005, 13, 216–224. [Google Scholar] [CrossRef]
- Wei, L.; Hjerpe, A.; Brismar, B.; Svensson, O. Effect of load on articular cartilage matrix and the development of guinea-pig osteoarthritis. Osteoarthr. Cartil. 2001, 9, 447–453. [Google Scholar] [CrossRef] [PubMed]
- Ghosh, J.; Myers, C.E. Arachidonic acid stimulates prostate cancer cell growth: Critical role of 5-lipoxygenase. Biochem. Biophys. Res. Commun. 1997, 235, 418–423. [Google Scholar] [CrossRef]
- Sailer, E.R.; Schweizer, S.; Boden, S.E.; Ammon, H.P.; Safayhi, H. Characterization of an acetyl-11-keto-β-boswellic acid and arachidonate-binding regulatory site of 5-lipoxygenase using photoaffinity labeling. Eur. J. Biochem. 1998, 256, 364–368. [Google Scholar] [CrossRef] [PubMed]
- Vane, J.; Bakhle, Y.; Botting, R. Cyclooxygenases 1 and 2. Annu. Rev. Pharmacol. Toxicol. 1998, 38, 97–120. [Google Scholar] [CrossRef] [PubMed]
- Bensen, W.G.; Fiechtner, J.J.; McMillen, J.I.; Zhao, W.W.; Yu, S.S.; Woods, E.M.; Hubbard, R.C.; Isakson, P.C.; Verburg, K.M.; Geis, G.S. Treatment of osteoarthritis with celecoxib, a cyclooxygenase-2 inhibitor: A randomized controlled trial. Mayo Clin. Proc. 1999, 74, 1095–1105. [Google Scholar] [CrossRef] [PubMed]
- Hardy, M.M.; Seibert, K.; Manning, P.T.; Currie, M.G.; Woerner, B.M.; Edwards, D.; Koki, A.; Tripp, C.S. Cyclooxygenase 2-dependent prostaglandin E2 modulates cartilage proteoglycan degradation in human osteoarthritis explants. Arthritis Rheum. 2002, 46, 1789–1803. [Google Scholar] [CrossRef]
- Guo, J.S.; Ou, L.; Zhou, J.; Wang, X.J.; Guo, X. Impact on the model of rat osteoarthritis of jingu tablet. China J. Chin. Mater. Medica 2006, 31, 232–235. [Google Scholar]
- Bresnihan, B. Pathogenesis of joint damage in rheumatoid arthritis. J. Rheumatol. 1999, 26, 717–719. [Google Scholar]
- Nagase, H.; Woessner, J.F., Jr. Matrix metalloproteinases. J. Biol. Chem. 1999, 274, 21491–21494. [Google Scholar] [CrossRef] [PubMed]
- Halliwell, B. Oral inflammation and reactive species: A missed opportunity? Oral Dis. 2000, 6, 136–137. [Google Scholar] [CrossRef] [PubMed]
- Rezende, M.U.D.; Gurgel, H.M.D.C.; Vilaça Junior, P.R.; Kuroba, R.K.; Lopes, A.S.S.; Phillipi, R.Z.; Hernandez, A.J. Diacerhein versus glucosamine in a rat model of osteoarthritis. Clinics 2006, 61, 461–466. [Google Scholar] [CrossRef] [PubMed]
- Permuy, M.; Guede, D.; López-Peña, M.; Muñoz, F.; Caeiro, J.-R.; González-Cantalapiedra, A. Effects of diacerein on cartilage and subchondral bone in early stages of osteoarthritis in a rabbit model. BMC Vet. Res. 2015, 11, 143. [Google Scholar] [CrossRef] [PubMed]
- Permuy, M.; Guede, D.; López-Peña, M.; Muñoz, F.; Caeiro, J.-R.; González-Cantalapiedra, A. Comparison of various SYSADOA for the osteoarthritis treatment: An experimental study in rabbits. BMC Musculoskelet. Disord. 2015, 16, 120. [Google Scholar] [CrossRef] [PubMed]
- Sakano, Y.; Terada, N.; Ueda, H.; Fujii, Y.; Hamada, Y.; Akamatsu, N.; Ohno, S. Histological study of articular cartilage in experimental rat knee arthritis induced by intracapsular injection of cationic polyethyleneimine. Med. Electron Microsc. 2000, 33, 246–257. [Google Scholar] [CrossRef]
- Jiang, D.; Zou, J.; Huang, L.; Shi, Q.; Zhu, X.; Wang, G.; Yang, H. Efficacy of intra-articular injection of celecoxib in a rabbit model of osteoarthritis. Int. J. Mol. Sci. 2010, 11, 4106–4113. [Google Scholar] [CrossRef] [PubMed]
- Syed, Z.; Khan, A. Bone densitometry: Applications and limitations. J. Obstet. Gynaecol. Can. 2002, 24, 476–484. [Google Scholar] [CrossRef] [PubMed]
- Karystinou, A.; Roelofs, A.J.; Neve, A.; Cantatore, F.P.; Wackerhage, H.; De Bari, C. Yes-associated protein (YAP) is a negative regulator of chondrogenesis in mesenchymal stem cells. Arthritis Res. Ther. 2015, 17, 147. [Google Scholar] [CrossRef] [PubMed]
- Tsouknidas, A.; Anagnostidis, K.; Panagiotidou, S.; Michailidis, N. The effect of osteoarthritis on the regional anatomical variation of subchondral trabecular bone in the femoral head. Clin. Biomech. 2015, 30, 418–423. [Google Scholar] [CrossRef]
- Horcajada-Molteni, M.N.; Crespy, V.; Coxam, V.; Davicco, M.J.; Rémésy, C.; Barlet, J.P. Rutin inhibits ovariectomy-induced osteopenia in rats. J. Bone Miner. Res. 2000, 15, 2251–2258. [Google Scholar] [CrossRef] [PubMed]
- Bilston, L.; Little, D.; Smith, N.; Williams, P.; Briody, J. Zoledronic acid improves the mechanical properties of normal and healing bone. Clin. Biomech. 2002, 17, 716–718. [Google Scholar] [CrossRef] [PubMed]
- Innes, J.; Gordon, C.; Vaughan-Thomas, A.; Rhodes, N.; Clegg, P. Evaluation of cartilage, synovium and adipose tissue as cellular sources for osteochondral repair. Vet. J. 2013, 197, 619–624. [Google Scholar] [CrossRef] [PubMed]
- Guzman, R.E.; Evans, M.G.; Bove, S.; Morenko, B.; Kilgore, K. Mono-iodoacetate-induced histologic changes in subchondral bone and articular cartilage of rat femorotibial joints: An animal model of osteoarthritis. Toxicol. Pathol. 2003, 31, 619–624. [Google Scholar] [CrossRef] [PubMed]
- Rai, M.F.; Graeve, T.; Twardziok, S.; Schmidt, M.F. Evidence for regulated interleukin-4 expression in chondrocyte-scaffolds under in vitro inflammatory conditions. PLoS ONE 2011, 6, e25749. [Google Scholar] [CrossRef] [PubMed]
- Warnock, J.J.; Spina, J.; Bobe, G.; Duesterdieck-Zellmer, K.F.; Ott, J.; Baltzer, W.I.; Bay, B.K. Culture of canine synoviocytes on porcine intestinal submucosa scaffolds as a strategy for meniscal tissue engineering for treatment of meniscal injury in dogs. Vet. J. 2014, 199, 49–56. [Google Scholar] [CrossRef]
- Armstrong, S.; Read, R.; Ghosh, P. The effects of intraarticular hyaluronan on cartilage and subchondral bone changes in an ovine model of early osteoarthritis. J. Rheumatol. 1994, 21, 680–688. [Google Scholar] [PubMed]
- Cole, K.K.; Perez-Polo, J.R. Poly (ADP-ribose) polymerase inhibition prevents both apoptotic-like delayed neuronal death and necrosis after H2O2 injury. J. Neurochem. 2002, 82, 19–29. [Google Scholar] [CrossRef] [PubMed]
- Ganey, T.; Libera, J.; Moos, V.; Alasevic, O.; Fritsch, K.G.; Meisel, H.J.; Hutton, W.C. Disc chondrocyte transplantation in a canine model: A treatment for degenerated or damaged intervertebral disc. Spine 2003, 28, 2609–2620. [Google Scholar] [CrossRef] [PubMed]
- Moore, E.; Bendele, A.; Thompson, D.; Littau, A.; Waggie, K.; Reardon, B.; Ellsworth, J. Fibroblast growth factor-18 stimulates chondrogenesis and cartilage repair in a rat model of injury-induced osteoarthritis. Osteoarthr. Cartil. 2005, 13, 623–631. [Google Scholar] [CrossRef]
- Hwang, Y.I.; Yoo, Y.B.; Baik, S.H. Comparative study of rat thyroid regeneration using PCNA and BrdU immunohistochemistry. Korean J. Anat. 2000, 33, 247–254. [Google Scholar]










| Target | Sequences |
|---|---|
| Collagen type II | F: 5′-GAGTGGAAGAGCGGAGACTACTG-3′ R: 5′-CTCCATGTTGCAGAAGACTTTCA-3′ |
| SOX9 | F: 5′-AGAGCGTTGCTCGGAACTGT-3′ R: 5′-TCCTGGACCGAAACTGGTAAA-3′ |
| Aggrecan | F: 5′-GATGTCCCCTGCAATTACCA-3′ R: 5′-TCTGTGCAAGTGATTCGAGG-3′ |
| β-actin | F: 5′-ATCGTGGGCCGCCCTAGGCA-3′ R: 5′-TGGCCTTAGGGTTCAGAGGGG-3′ |
| Items | Mankin Scores | ||||
|---|---|---|---|---|---|
| Groups | Surface | Cellularity | Clone | Stain intensity | Total * |
| Controls | |||||
| Sham | 0.20 ± 0.42 | 0.40 ± 0.52 | 0.00 ± 0.00 | 0.50 ± 0.52 | 1.10 ± 1.10 |
| OA | 2.80 ± 0.42 a | 2.70 ± 0.48 c | 2.70 ± 0.48 c | 2.80 ± 0.42 a | 11.00 ± 0.94 a |
| Diclofenac sodium | |||||
| 2 mg/kg | 1.60 ± 0.52 ab | 1.50 ± 0.53 cd | 1.70 ± 0.48 cd | 1.80 ± 0.42 ab | 6.60 ± 1.07 ab |
| NEM | |||||
| 100 mg/kg | 1.30 ± 0.48 ab | 1.00 ± 0.00 d | 1.10 ± 0.32 cd | 1.00 ± 0.67 b | 4.40 ± 0.84 ab |
| 50 mg/kg | 1.50 ± 0.53 ab | 1.60 ± 0.52 cd | 1.70 ± 0.48 cd | 1.70 ± 0.48 ab | 6.50 ± 0.97 ab |
| 25 mg/kg | 1.90 ± 0.74 ab | 2.10 ± 0.57 c | 2.10 ± 0.57 c | 1.90 ± 0.74 ab | 8.00 ± 1.25 ab |
| Items | Mankin Scores | ||||
|---|---|---|---|---|---|
| Groups | Surface | Cellularity | Clone | Stain intensity | Total * |
| Controls | |||||
| Sham | 0.30 ± 0.48 | 0.40 ± 0.52 | 0.00 ± 0.00 | 0.50 ± 0.53 | 1.20 ± 1.03 |
| OA | 2.60 ± 0.52 a | 2.60 ± 0.52 e | 2.80 ± 0.42 e | 2.70 ± 0.48 a | 10.70 ± 0.82 a |
| Diclofenac sodium | |||||
| 2 mg/kg | 1.70 ± 0.48 ac | 1.70 ± 0.48 eg | 1.70 ± 0.48 ef | 1.70 ± 0.48 ac | 6.80 ± 1.14 ac |
| NEM | |||||
| 100 mg/kg | 1.20 ± 0.42 ac | 1.00 ± 0.00 f | 0.90 ± 0.32 ef | 1.30 ± 0.67 bc | 4.40 ± 0.52 ac |
| 50 mg/kg | 1.70 ± 0.48 ac | 1.60 ± 0.52 ef | 1.80 ± 0.42 ef | 1.60 ± 0.52 ac | 6.70 ± 0.67 ac |
| 25 mg/kg | 2.10 ± 0.57 a | 2.20 ± 0.63 e | 2.20 ± 0.63 e | 1.90 ± 0.57 ad | 8.40 ± 1.07 ac |
Disclaimer/Publisher’s Note: The statements, opinions and data contained in all publications are solely those of the individual author(s) and contributor(s) and not of MDPI and/or the editor(s). MDPI and/or the editor(s) disclaim responsibility for any injury to people or property resulting from any ideas, methods, instructions or products referred to in the content. |
© 2024 by the authors. Licensee MDPI, Basel, Switzerland. This article is an open access article distributed under the terms and conditions of the Creative Commons Attribution (CC BY) license (https://creativecommons.org/licenses/by/4.0/).
Share and Cite
Kim, J.-I.; Choi, J.-H.; Seo, M.-S.; Kim, J.-K.; Chun, Y.-S.; Kwon, Y.-S.; Ku, S.-K. Natural Eggshell Membrane Attenuates Chondrocyte Inflammation and Surgically Induced Osteoarthritis in Rats. Appl. Sci. 2024, 14, 5176. https://doi.org/10.3390/app14125176
Kim J-I, Choi J-H, Seo M-S, Kim J-K, Chun Y-S, Kwon Y-S, Ku S-K. Natural Eggshell Membrane Attenuates Chondrocyte Inflammation and Surgically Induced Osteoarthritis in Rats. Applied Sciences. 2024; 14(12):5176. https://doi.org/10.3390/app14125176
Chicago/Turabian StyleKim, Jun-Il, Joo-Hee Choi, Min-Soo Seo, Jong-Kyu Kim, Yoon-Seok Chun, Young-Sam Kwon, and Sae-Kwang Ku. 2024. "Natural Eggshell Membrane Attenuates Chondrocyte Inflammation and Surgically Induced Osteoarthritis in Rats" Applied Sciences 14, no. 12: 5176. https://doi.org/10.3390/app14125176
APA StyleKim, J.-I., Choi, J.-H., Seo, M.-S., Kim, J.-K., Chun, Y.-S., Kwon, Y.-S., & Ku, S.-K. (2024). Natural Eggshell Membrane Attenuates Chondrocyte Inflammation and Surgically Induced Osteoarthritis in Rats. Applied Sciences, 14(12), 5176. https://doi.org/10.3390/app14125176

