3D Evaluation of Upper Airway Morphological Changes in Growing Patients with Class II Malocclusion Using Sander Bite Jumping Appliance
Abstract
1. Introduction
2. Materials and Methods
2.1. Sample Selection
2.2. Volume Calculation
- ○
- Retropalatal volume (RPV), limited superiorly by a plane passing through posterior nasal spine and inferiorly by a plane passing through the most postero-inferior point of the soft palate (Figure 1);
- ○
- Retroglossal volume (RGV), limited superiorly by a plane passing through the most postero-inferior point of the soft palate and inferiorly by a plane passing through the most postero-superior point of the epiglottis. This volume also included the volumetric portions facing the oral cavity between the soft palate and the lingual root and between the epiglottis and the lingual root (Figure 2).


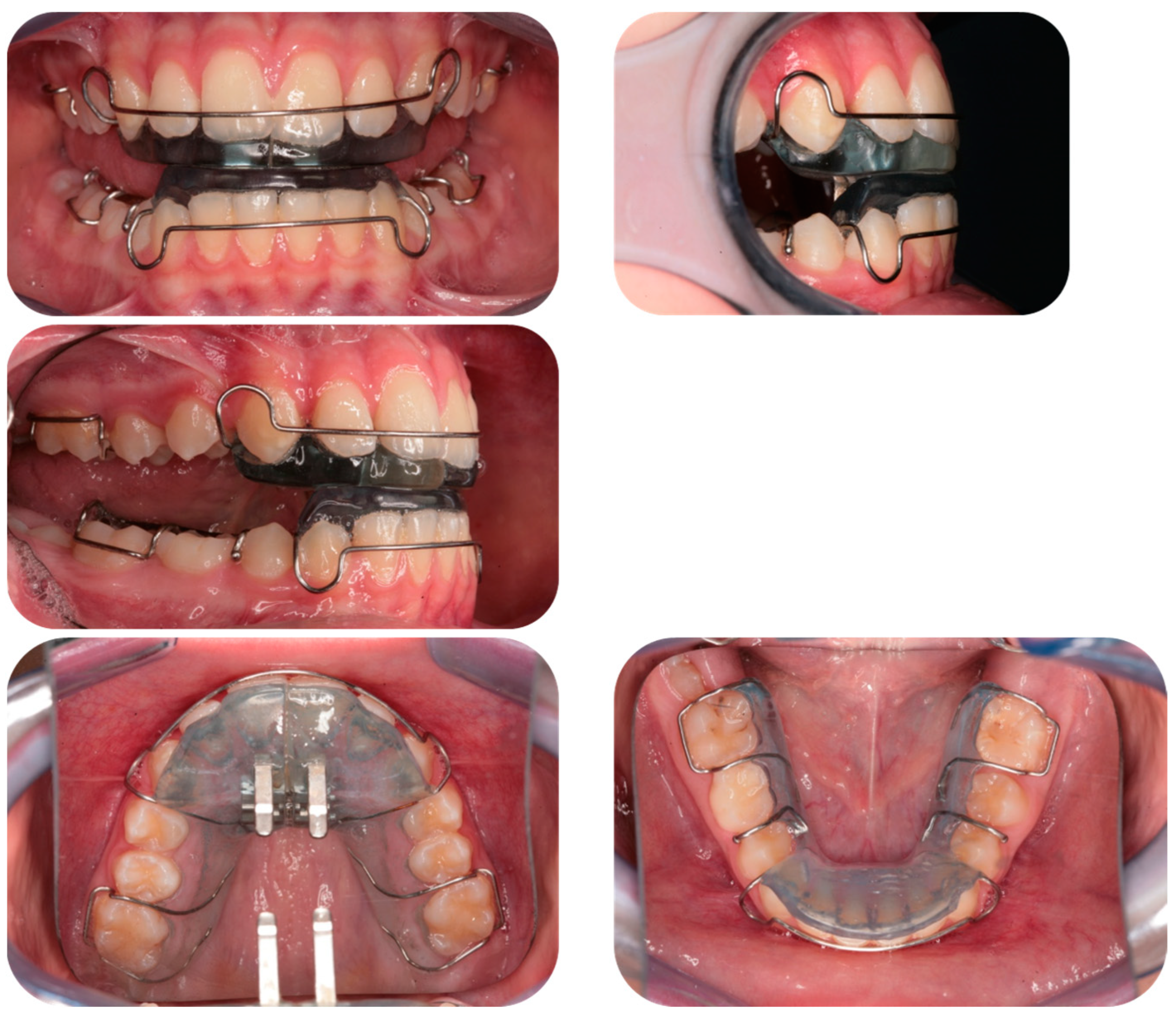
2.3. Sander Bite Jumping Appliance
- The bite was prepared using five layers of wax (three layers of hard wax with two layers of soft wax in between).
- The jaw of the patient, seated and in a relaxed position, was guided into the established position 3–4 times by manipulating the chin between the thumb and forefinger; the patient then repeated the same exercise while keeping the jaw in an advanced position for a few minutes.
- The wax, once softened, was then placed in the patient’s mouth, and the mandible was guided into the desired closed position by checking the butt-to-butt incisal ratio, the Class I or overcorrected Class I molar ratio, and the midline.
- The wax was removed, checked on the models, and the edges were trimmed, cooled, and checked again in the mouth.
2.4. Data Analysis
3. Results
4. Discussion
5. Conclusions
Author Contributions
Funding
Institutional Review Board Statement
Informed Consent Statement
Data Availability Statement
Conflicts of Interest
References
- McLain, J.B.; Proffit, W.R. Oral health status in the United States: Prevalence of malocclusion. J. Dent. Educ. 1985, 49, 386–397. [Google Scholar] [CrossRef]
- Muto, T.; Yamazaki, A.; Takeda, S. A cephalometric evaluation of the pharyngeal airway space in patients with mandibular retrognathia and prognathia, and normal subjects. Int. J. Oral Maxillofac. Surg. 2008, 37, 228–231. [Google Scholar] [CrossRef]
- Johnson, E.O.; Roth, T. An epidemiologic study of sleep-disordered breathing symptoms among adolescents. Sleep 2006, 29, 1135–1142. [Google Scholar] [CrossRef]
- Sharabi, Y.; Dagan, Y.; Grossman, E. Sleep apnea as a risk factor for hypertension. Curr. Opin. Nephrol. Hypertens. 2004, 13, 359–364. [Google Scholar] [CrossRef] [PubMed]
- Merlone, A.; Tetè, G.; Cantile, N.; Manacorda, M.; Cattoni, F. Minimally invasive digital implant-prosthetic procedure in “all on 4” rehabilitation in patients with special needs: A three-year follow-up. J. Biol. Regul. Homeost. Agents 2021, 35, 71–85. [Google Scholar] [PubMed]
- Martina, R.; Cioffi, I.; Galeotti, A.; Tagliaferri, R.; Cimino, R.; Michelotti, A.; Valletta, R.; Farella, M.; Paduano, S. The efficacy of the Sander bite-jumping appliance in growing patients with mandibular retrusion: A randomized controlled trial. Orthod. Craniofac. Res. 2013, 16, 116–126. [Google Scholar] [CrossRef] [PubMed]
- Martina, R.; D’Antò, V.; Galeotti, A. La Terapia Funzionale delle Classi II con la Bite Jumping Appliance; Edizioni Martina Publ.: Bologna, Italy, 2012. [Google Scholar]
- Teuscher, U. An appraisal of growth and reacttion to extraoral anchorage. Simulation of orthodontic-orthopedic results. Am. J. Orthod. 1986, 89, 113–121. [Google Scholar] [CrossRef]
- Sander, F.G. Mouth opening and its influencing through the SII appliance during the night. J. Orofac. Orthop. 2001, 62, 133–145. [Google Scholar] [CrossRef]
- Michelotti, A.; Farella, M.; Vollaro, S.; Martina, R. Mandibular rest position and electrical activity of the masticatory muscles. J. Phrostet. Dent. 1997, 78, 48–53. [Google Scholar] [CrossRef]
- Schütz, T.C.; Dominguez, G.C.; Hallinan, M.P.; Cunha, T.C.; Tufik, S. Class II correction improves noctural breathing in adolescencents. Angle Orthod. 2011, 81, 222–228. [Google Scholar] [CrossRef]
- Miyamoto, K.; Ishizuka, Y.; Ueda, H.M.; Saifuddin, M.; Shikata, N.; Tanne, K. Masseter muscle activity during the whole day in children and young adults. J. Oral Rehalbil. 1999, 26, 858–864. [Google Scholar] [CrossRef]
- Yamada, S.; Saeki, S.; Takahashi, I.; Igarashi, K.; Shinoda, H.; Mitani, H. Diurnal variation in the response of the mandible to orthopedic force. J. Dent. Res. 2002, 81, 711–715. [Google Scholar] [CrossRef] [PubMed]
- Oudet, C.; Petrovic, A.; Stutzmann, J. Time-dependent effects of a functional’-type orthopedic appliance on the rat mandible growth. Chronobiol. Int. 1984, 1, 51–57. [Google Scholar] [CrossRef]
- Proffit, W.R. Prevalence of malocclusion and orthodontic treatment need in the United States: Estimates from the NHANCES III survey. Int. J. Adult Orthod. Orthognath. Surg. 1998, 13, 97–106. [Google Scholar]
- Kelly, J.E.; Sanchez, M.; Van Kirk, L.E. An Assessment of the Occlusion of the Teeth of Children: 6–11 Years, United States. Vital Health Stat. 1973, 1–60. [Google Scholar]
- Kelly, J.E.; Harvey, C.R. An Assessment of the Occlusion of the Teeth of Youths: 12–17 Years. Vital Health Stat. 1977, 1–65. [Google Scholar]
- Dimberg, L.; Lennartsson, B.; Arnrup, K.; Bondemark, L. Prevalence and change of malocclusions from primary to early permanent dentition: A longitudinal study. Angle Orthod. 2015, 85, 728–734. [Google Scholar] [CrossRef]
- Kuroe, K.; Rosas, A.; Molleson, T. Variation in the cranial base orientation and facial skeleton in dry skulls sampled from three major populations. Eur. J. Orthod. 2004, 26, 201–207. [Google Scholar] [CrossRef]
- Proffit, W.R.; Fields, H.W. Malocclusioni e Anomalie Dentofacciali Nella Società Contemporanea; Moderna, O., Cocconi, R., Bernini, S., Eds.; Masson Publ.: Milano, Italy, 2001; p. 13. [Google Scholar]
- Kim, Y.J.; Hong, J.S.; Hwang, Y.I.; Park, Y.H. Three-dimensional analysis of pharyngeal airway in preadolescent children with different anteroposterior skeletal patterns. Am. J. Orthod. Dentofac. Orthop. 2010, 137, 306.e1–306.e11. [Google Scholar] [CrossRef]
- Kerr, W.J. The nasopharynx, face height and overbite. Angle Orthod. 1985, 55, 31–36. [Google Scholar] [PubMed]
- El, H.; Palomo, J.M. Airway volume for different dentofacial skeletal patterns. Am. J. Orthod. Dentofac. Orthop. 2011, 139, e511–e521. [Google Scholar] [CrossRef]
- Grauer, D.; Cevidanes, L.S.; Styner, M.A.; Ackerman, J.L.; Proffit, W.R. Pharyngeal airway volume and shape from cone-beam computed tomography: Relationship to facial morphology. Am. J. Orthod. Dentofac. Orthop. 2009, 136, 805–814. [Google Scholar] [CrossRef]
- Ozbek, M.M.; Memikoglu, T.U.; Gögen, H.; Lowe, A.A.; Baspinar, E. Oropharyngeal airway dimensions and functional-orthopedic treatment in skeletal Class II cases. Angle Orthod. 1998, 68, 327–336. [Google Scholar] [PubMed]
- Uslu-Akcam, O. Pharyngeal airway dimensions in skeletal class II: A cephalometric growth study. Imaging Sci. Dent. 2017, 47, 1–9. [Google Scholar] [CrossRef] [PubMed]
- Bucchieri, A.; Mastrangelo, C.; Stella, R.; Poladas, E.G. Valutazione cefalometrica della posizione dell’osso ioide in soggetti affetti da apnea ostruttiva notturna. Minerva Stomatol. 2004, 53, 33–40. [Google Scholar] [PubMed]
- Galvao, C. Hyoid bone’s cephalometric positional study in normal occlusion and in malocclusion patients. Rev. Odont. UNESP 1983, 12, 143–152. [Google Scholar]
- Sloan, R.F.; Bench, R.W.; Mulick, J.F.; Ricketts, R.M.; Brummett, S.W.; Westover, J.L. The application of cephalometrics to cinefluorography: Comparative analysis of hyoid movement patterns during deglutition in Class I and Class II orthodontic patients. Angle Orthod. 1967, 37, 26–34. [Google Scholar] [PubMed]
- Martin, S.E.; Mathur, R.; Marshall, I.; Douglas, N.J. The effect of age, sex, obesity and posture on upper airway size. Eur. Respir. J. 1997, 10, 2087–2090. [Google Scholar] [CrossRef]
- Späth-Schwalbe, E.; Hundenborn, C.; Kern, W.; Fehm, H.L.; Born, J. Nocturnal wakefulness inhibits growth hormone (GH)-releasing hormone-induced GH secretion. J. Clin. Endocrinol. Metab. 1995, 80, 214–219. [Google Scholar] [PubMed]
- Born, J.; Muth, S.; Fehm, H.L. The significance of sleep onset and slow wave sleep for nocturnal release of growth hormone (GH) and cortisol. Psychoneuroendocrinology 1988, 13, 233–243. [Google Scholar] [CrossRef] [PubMed]
- Bollhalder, J.; Hanggi, M.P.; Schatzle, M.; Markic, G. Dentofacial and upper airway characteristics of mild and severe class II division 1 subjects. Eur. J. Orthod. 2013, 35, 447–453. [Google Scholar] [CrossRef] [PubMed]
- Battagel, J.M.; Johal, A.; Kotecha, B. A cephalometric comparison of subjects with snoring and obstructive sleep apnoea. Eur. J. Orthod. 2000, 22, 353–365. [Google Scholar] [CrossRef] [PubMed]
- Lowe, A.A.; Fleetham, J.A.; Adachi, S.; Ryan, C.F. Cephalometric and computed tomographic predictors of obstructive sleep apnoea severity. Am. J. Orthod. Dentofac. Orthop. 1995, 107, 589–595. [Google Scholar] [CrossRef] [PubMed]
- Agren, K.; Nordlander, B.; Linder-Aronsson, S.; Zettergren-Wijk, L.; Svanborg, E. Children with nocturnal upper airway obstruction: Postoperative orthodontic and respiratory improvement. Acta Otolaryngol. 1998, 118, 581–587. [Google Scholar]
- Pirilä-Parkkinen, K.; Pirttiniemi, P.; Nieminen, P.; Tolonen, U.; Pelttari, U.; Löppönen, H. Dental arch morphology in children with sleep-disordered breathing. Eur. J. Orthod. 2009, 31, 160–167. [Google Scholar] [CrossRef]
- Johnston, L.E. If wishes were horses: Functional appliances and growth modification. Prog. Orthod. 2005, 6, 36–47. [Google Scholar]
- Standring, S. Anatomia del Gray; Edra-Masson Publ.: Occhiobello, Italy, 2017. [Google Scholar]
- Tulloch, J.F.; Proffitt, W.R.; Philips, C. Outcomes in a 2-phase randomized clinical trial of early Class II treatment. Am. J. Orthod. Dentofac. Orthop. 2004, 125, 657–667. [Google Scholar] [CrossRef]
- Dolce, C.; McGorray, S.P.; Brazeau, L.; King, G.J.; Wheeler, T.T. Timing of Class II treatment: Skeletal changes comparing 1-phase and 2 phase treatment. Am. J. Orthod. Dentofac. Orthop. 2007, 132, 481–489. [Google Scholar] [CrossRef] [PubMed]
- McNamara, J.A., Jr.; Bryan, F.A. Long-term mandibular adaptations to protrusive function: An experimental study in Macaca mulatta. Am. J. Orthod. Dentofac. Orthop. 1987, 92, 98–108. [Google Scholar] [CrossRef]
- Iwasaki, T.; Takemoto, Y.; Inada, E.; Sato, H.; Saitoh, I.; Kakuno, E.; Kanomi, R.; Yamasaki, Y. Three-dimensional cone-beam computed tomography analysis of enlargement of the pharyngeal airway by the Herbst appliance. Am. J. Orthod. Dentofac. Orthop. 2014, 146, 776–785. [Google Scholar] [CrossRef]
- Rizk, S.; Kulbersh, V.P.; Al-Qawasmi, R. Changes in the oropharyngeal airway of Class II patients treated with the mandibular anterior repositioning appliance. Angle Orthod. 2016, 86, 955–961. [Google Scholar] [CrossRef] [PubMed]
- Li, L.; Liu, H.; Cheng, H.; Han, Y.; Wang, C.; Chen, Y.; Song, J.; Liu, D. CBCT Evaluation of the Upper Airway Morphological Changes in Growing Patients of Class II Division 1 Malocclusion with Mandibular Retrusion Using Twin Block Appliance: A Comparative Research. PLoS ONE 2014, 9, e94378. [Google Scholar] [CrossRef] [PubMed]
- Maspero, C.; Giannini, L.; Galbiati, G.; Rosso, G.; Farronato, G. Obstructive sleep apnea syndrome: A literature review. Minerva Stomatol. 2015, 64, 97–109. [Google Scholar] [PubMed]
- Bidjan, D.; Sallmann, R.; Eliades, T.; Papageorgiou, S.N. Orthopedic Treatment for Class II Malocclusion with Functional Appliances and Its Effect on Upper Airways: A Systematic Review with Meta-Analysis. J. Clin. Med. 2020, 9, 3806. [Google Scholar] [CrossRef]
- Ganesh, G.; Tripathi, T. Effect of fixed functional appliances on pharyngeal airway dimensions in Skeletal Class II individuals—A scoping review. J. Oral Biol. Craniofac. Res. 2021, 11, 511–523. [Google Scholar] [CrossRef]
- Bariani, R.; Bigliazzi, R.; Cappellette, M.; Moreira, G.; Fujita, R. Effectiveness of functional orthodontic appliances in obstructive sleep apnea treatment in children: Literature review. Braz. J. Otorhinolaryngol. 2022, 88, 263–278. [Google Scholar] [CrossRef]
- Rongo, R.; Martina, S.; Bucci, R.; Festa, P.; Galeotti, A.; Alessandri Bonetti, G.; Michelotti, A.; D’Antò, V. Short-term effects of the Sander bite-jumping appliance on the pharyngeal airways in subjects with skeletal Class II malocclusion: A retrospective case-control study. J. Oral Rehabil. 2020, 47, 1337–1345. [Google Scholar] [CrossRef] [PubMed]
- Mann, L.M.; Angus, S.A.; Doherty, C.J.; Dominelli, P.B. Evaluation of sex-based differences in airway size and the physiological implications. Eur. J. Appl. Physiol. 2021, 121, 2957–2966. [Google Scholar] [CrossRef]
- Abramson, Z.; Susarla, S.; Troulis, M.; Kaban, L. Age-related changes of the upper airway assessed by 3-dimensional computed tomography. J. Craniofac. Surg. 2009, 20 (Suppl. 1), 657–663. [Google Scholar] [CrossRef]
- Tan, R.; Pangrazio, V.; Kulbersh, R.; Al-Qawasmi, R. CBCT evaluation of changes in the total pharyngeal airway in subjects from seven to eighteen years. In Computed Tomography: New Research; Park, J., Ed.; Nova Science: New York, NY, USA, 2013; pp. 393–400. [Google Scholar]




| Patient | RPV | RGV | VTOT |
|---|---|---|---|
| 1 | 4738 | 5947 | 10,685 |
| 2 | 4693 | 4835 | 9528 |
| 3 | 3595 | 1070 | 4665 |
| 4 | 4018 | 2255 | 6273 |
| 5 | 4005 | 2356 | 6361 |
| 6 | 2395 | 890 | 3285 |
| 7 | 1074 | 3670 | 4744 |
| 8 | 6488 | 3271 | 9759 |
| 9 | 3349 | 1818 | 5167 |
| 10 | 3315 | 3235 | 6550 |
| 11 | 4199 | 2243 | 6442 |
| 12 | 3582 | 1074 | 4656 |
| 13 | 5265 | 3860 | 9125 |
| Patient | RPV | RGV | VTOT |
|---|---|---|---|
| 1 | 9430 | 9136 | 18,566 |
| 2 | 5303 | 6659 | 11,962 |
| 3 | 4526 | 1593 | 6119 |
| 4 | 4101 | 3268 | 7369 |
| 5 | 5580 | 4789 | 10,369 |
| 6 | 2817 | 2069 | 4886 |
| 7 | 3828 | 5757 | 9585 |
| 8 | 8779 | 4660 | 13,439 |
| 9 | 8289 | 7240 | 15,493 |
| 10 | 7991 | 5077 | 13,068 |
| 11 | 5632 | 3639 | 9271 |
| 12 | 5254 | 1995 | 7249 |
| 13 | 11,990 | 10,030 | 22,020 |
| Patient | RPV | RGV | VTOT |
|---|---|---|---|
| 1 | 4692 | 3189 | 7881 |
| 2 | 610 | 1824 | 2434 |
| 3 | 931 | 523 | 1454 |
| 4 | 83 | 1013 | 1096 |
| 5 | 1575 | 2433 | 4008 |
| 6 | 422 | 1179 | 1601 |
| 7 | 2754 | 2087 | 4841 |
| 8 | 2291 | 1389 | 3680 |
| 9 | 4940 | 5386 | 10,326 |
| 10 | 4676 | 1842 | 6518 |
| 11 | 1433 | 1396 | 2829 |
| 12 | 1672 | 921 | 2593 |
| 13 | 6725 | 6170 | 12,895 |
| Mean Values (mm3) | T0 | T1 | T1–T0 | p-Value |
|---|---|---|---|---|
| RPV | 3901 ± 1326 | 6425 ± 2649 | 2523 ± 2088 | 0.0009 * |
| RGV | 2810 ± 1520 | 5067 ± 2658 | 2258 ± 1717 | 0.0005 * |
| VTOT | 6711 ± 2339 | 11,492 ± 5006 | 4781 ± 3650 | 0.0005 * |
Disclaimer/Publisher’s Note: The statements, opinions and data contained in all publications are solely those of the individual author(s) and contributor(s) and not of MDPI and/or the editor(s). MDPI and/or the editor(s) disclaim responsibility for any injury to people or property resulting from any ideas, methods, instructions or products referred to in the content. |
© 2023 by the authors. Licensee MDPI, Basel, Switzerland. This article is an open access article distributed under the terms and conditions of the Creative Commons Attribution (CC BY) license (https://creativecommons.org/licenses/by/4.0/).
Share and Cite
Faccioni, P.; Butera, A.; Bazzanella, S.; Albanese, M.; Gallo, S.; Pascadopoli, M.; Scribante, A.; Pardo, A. 3D Evaluation of Upper Airway Morphological Changes in Growing Patients with Class II Malocclusion Using Sander Bite Jumping Appliance. Appl. Sci. 2023, 13, 3908. https://doi.org/10.3390/app13063908
Faccioni P, Butera A, Bazzanella S, Albanese M, Gallo S, Pascadopoli M, Scribante A, Pardo A. 3D Evaluation of Upper Airway Morphological Changes in Growing Patients with Class II Malocclusion Using Sander Bite Jumping Appliance. Applied Sciences. 2023; 13(6):3908. https://doi.org/10.3390/app13063908
Chicago/Turabian StyleFaccioni, Paolo, Andrea Butera, Silvia Bazzanella, Massimo Albanese, Simone Gallo, Maurizio Pascadopoli, Andrea Scribante, and Alessia Pardo. 2023. "3D Evaluation of Upper Airway Morphological Changes in Growing Patients with Class II Malocclusion Using Sander Bite Jumping Appliance" Applied Sciences 13, no. 6: 3908. https://doi.org/10.3390/app13063908
APA StyleFaccioni, P., Butera, A., Bazzanella, S., Albanese, M., Gallo, S., Pascadopoli, M., Scribante, A., & Pardo, A. (2023). 3D Evaluation of Upper Airway Morphological Changes in Growing Patients with Class II Malocclusion Using Sander Bite Jumping Appliance. Applied Sciences, 13(6), 3908. https://doi.org/10.3390/app13063908

