Anchorage Loss Evaluation during Maxillary Molars Distalization Performed by Clear Aligners: A Retrospective Study on 3D Digital Casts
Abstract
1. Introduction
2. Materials and Methods
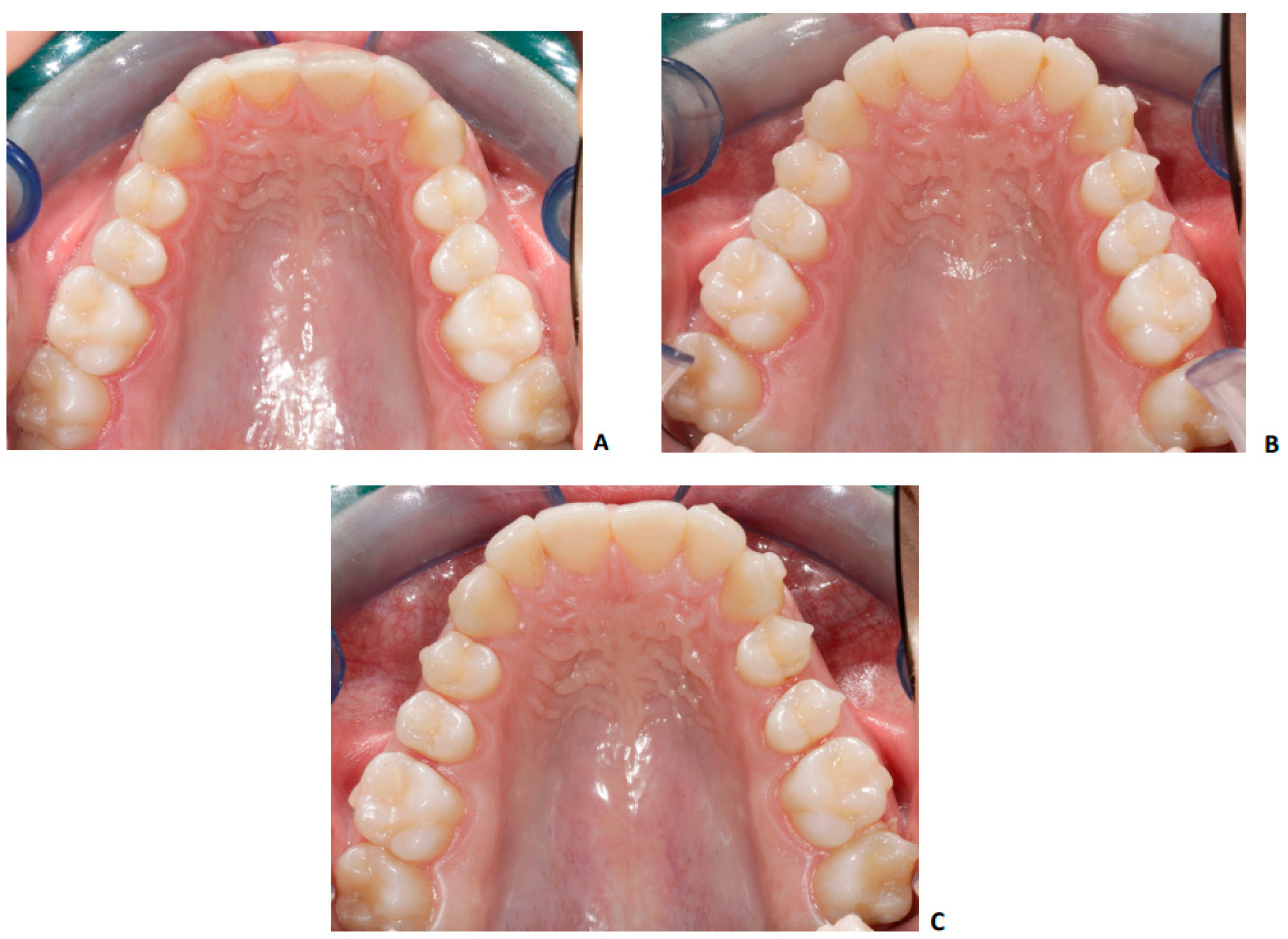
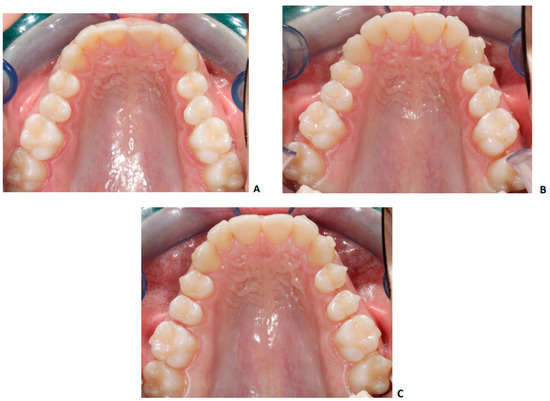
2.1. Measurement Protocol
- -
- First Molar Mesio Buccal Sagittal (1.6 MBS/2.6 MBS): the amount of space between the mid-point of the first palatal ruga and the projection of the mesiobuccal cusp of the first right and left permanent molars on the mid-palatal raphe;
- -
- First Molar Disto Buccal Sagittal (1.6 DBS/2.6 DBS): the amount of space between the mid-point of the first palatal ruga and the projection of the distobuccal cusp of the first right and left permanent molars on the mid-palatal raphe;
- -
- Second Premolar Buccal Sagittal (1.5 PBS/2.5 PBS): the amount of space between the mid-point of the first palatal ruga and the projection of the cusp of the second right and left premolars on the mid-palatal raphe;
- -
- First Premolar Buccal Sagittal (1.4 PBS/2.4 PBS): the amount of space between the mid-point of the first palatal ruga and the projection of the cusp of the first right and left premolars on the mid-palatal raphe;
- -
- Canine Sagittal (1.3 CS/2.3 CS): the amount of space between the mid-point of the first palatal ruga and the projection of the cusp of the right and left canines on the mid-palatal raphe (Figure 2).
2.2. Statistical Analysis
3. Results
4. Discussion
Limitation
5. Conclusions
Author Contributions
Funding
Institutional Review Board Statement
Informed Consent Statement
Data Availability Statement
Conflicts of Interest
Abbreviations
References
- Caruso, S.; Nota, A.; Ehsani, S.; Maddalone, E.; Ojima, K.; Tecco, S. Impact of molar teeth distalization with clear aligners on occlusal vertical dimension: A retrospective study. BMC Oral Health 2019, 19, 182. [Google Scholar] [CrossRef] [PubMed]
- Alogaibi, Y.A.; Al-Fraidi, A.A.; Alhajrasi, M.K.; Alkhathami, S.S.; Hatrom, A.; Afify, A.R. Distalization in Orthodontics: A Review and Case Series. Case Rep. Dent. 2021, 8843959. [Google Scholar] [CrossRef] [PubMed]
- Bolla, E.; Muratore, F.; Carano, A.; Bowman, S.J. Evaluation of maxillary molar distalization with the distal jet: A comparison with other contemporary methods. Angle Orthod. 2002, 72, 481–494. [Google Scholar] [PubMed]
- Lione, R.; Franchi, L.; Laganà, G.; Cozza, P. Effects of cervical headgear and pendulum appliance on vertical dimension in growing subjects: A retrospective controlled clinical trial. Eur. J. Orthod. 2015, 37, 338–344. [Google Scholar] [CrossRef]
- Carano, A.; Testa, M. The distal jet for upper molar distalization. J. Clin. Orthod. 1996, 30, 374–380. [Google Scholar]
- Fortini, A.; Lupoli, M.; Giuntoli, F.; Franchi, L. Dentoskeletal effects induced by rapid molar distalization with the first class appliance. Am. J. Orthod. Dentofac. Orthop. 2004, 125, 697–704. [Google Scholar] [CrossRef]
- Taner, T.U.; Yukay, F.; Pehlivanoglu, M.; Cakirer, B. A comparative analysis of maxillary tooth movement produced by cervical headgear and pend-x appliance. Angle Orthod. 2003, 73, 686–691. [Google Scholar]
- Locatelli, R.; Bednar, J.; Dietz, V.S.; Gianelly, A.A. Molar distalization with superelastic NiTi wire. J. Clin. Orthod. 1992, 26, 277–279. [Google Scholar]
- Jones, R.D.; White, J. Rapid Class II molar correction with an open-coil jig. J. Clin. Orthod. 1992, 26, 661–664. [Google Scholar]
- Hilgers, J.J. The pendulum appliance for Class II non-compliance therapy. J. Clin. Orthod. 1992, 26, 706–714. [Google Scholar]
- Kinzinger, G.S.; Gülden, N.; Yildizhan, F.; Diedrich, P.R. Efficiency of a skeletonized distal jet appliance supported by miniscrew anchorage for noncompliance maxillary molar distalization. Am. J. Orthod. Dentofac. Orthop. 2009, 136, 578–586. [Google Scholar] [CrossRef]
- Maino, B.G.; Gianelly, A.A.; Bednar, J.; Mura, P.; Maino, G. MGBM system: New protocol for Class II non-extraction treatment without cooperation. Prog. Orthod. 2007, 8, 130–143. [Google Scholar]
- Suzuki, E.Y.; Suzuki, B. Placement and removal torque values of orthodontic miniscrew implants. Am. J. Orthod. Dentofac. Orthop. 2011, 139, 669–678. [Google Scholar] [CrossRef] [PubMed]
- Soheilifar, S.; Mohebi, S.; Ameli, N. Maxillary molar distalization using conventional versus skeletal anchorage devices: A systematic review and meta-analysis. Int. Orthod. 2019, 17, 415–424. [Google Scholar] [CrossRef] [PubMed]
- Miller, D.B. Invisalign in TMD treatment. Int. J. Orthod. Milwaukee 2009, 20, 15–19. [Google Scholar] [PubMed]
- Kravitz, N.; Kusnoto, B.; BeGole, E.; Obrez, A.; Agran, B. How well does Invisalign work? A prospective clinical study evaluating the efficacy of tooth movement with Invisalign. Am. J. Orthod. Dentofac. Orthop. 2009, 135, 27–35. [Google Scholar] [CrossRef]
- Ravera, S.; Castroflorio, T.; Garino, F.; Daher, S.; Cugliari, G.; Deregibus, A. Maxillary molar distalization with aligners in adult patients: A multicenter retrospective study. Prog. Orthod. 2016, 17, 12. [Google Scholar] [CrossRef]
- Simon, M.; Keilig, L.; Schwarze, J.; Jung, B.A.; Bourauel, C. Treatment outcome and efficacy of an aligner technique--regarding incisor torque, premolar derotation and molar distalization. BMC Oral Health 2014, 14, 68. [Google Scholar] [CrossRef]
- Rossini, G.; Parrini, S.; Castroflorio, T.; Deregibus, A.; Debernardi, C.L. Efficacy of clear aligners in controlling orthodontic tooth movement: A systematic review. Angle Orthod. 2015, 85, 881–889. [Google Scholar] [CrossRef]
- Joseph, A.A.; Butchart, J.C. An evaluation of the pendulum distalizing appliance. Semin. Orthod. 2000, 6, 129–135. [Google Scholar] [CrossRef]
- Ghosh, J.; Nanda, R.S. Evaluation of an intraoral maxillary molar distalization technique. Am. J. Orthod. Dentofac. Orthop. 1996, 110, 639–646. [Google Scholar] [CrossRef] [PubMed]
- Fontana, M.; Cozzani, M.; Caprioglio, A. Non-compliance maxillary molar distalizing appliances: An overview of the last decade. Prog. Orthod. 2012, 13, 173–184. [Google Scholar] [CrossRef] [PubMed]
- Liu, X.; Cheng, Y.; Qin, W.; Fang, S.; Wang, W.; Ma, Y.; Jin, Z. Effects of upper-molar distalization using clear aligners in combination with Class II elastics: A three-dimensional finite element analysis. BMC Oral Health 2022, 22, 546. [Google Scholar] [CrossRef]
- Saif, B.S.; Pan, F.; Mou, Q.; Han, M.; Bu, W.; Zhao, J.; Guan, L.; Wang, F.; Zou, R.; Zhou, H.; et al. Efficiency evaluation of maxillary molar distalization using Invisalign based on palatal rugae registration. Am. J. Orthod. Dentofac. Orthop. 2022, 161, e372–e379. [Google Scholar] [CrossRef]
- Arnold, W.E.; McCroskey, J.C.; Prichard, S.V.O. The Likert-type scale. Todays Speech 1967, 15, 31–33. [Google Scholar] [CrossRef]
- Lione, R.; Paoloni, V.; De Razza, F.C.; Pavoni, C.; Cozza, P. The Efficacy and Predictability of Maxillary First Molar Derotation with Invisalign: A Prospective Clinical Study in Growing Subjects. Appl. Sci. 2022, 12, 2670. [Google Scholar] [CrossRef]
- Bondemark, L.; Kurol, J. Distalization of maxillary first and second molars simultaneously with repelling magnets. Eur. J. Orthod. 1992, 14, 264–272. [Google Scholar] [CrossRef]
- Byloff, F.K.; Darendeliler, M.A. Distal molar movement using the pendulum appliance. Part 1: Clinical and radiological evaluation. Angle Orthod. 1997, 67, 249–260. [Google Scholar]
- Caprioglio, A.; Beretta, M.; Lanteri, C. Maxillary molar distalization: Pendulum and Fast-Back, comparison between two approaches for Class II malocclusion. Prog. Orthod. 2011, 12, 8–16. [Google Scholar] [CrossRef]
- Fuziy, A.; Rodrigues de Almeida, R.; Janson, G.; Angelieri, F.; Pinzan, A. Sagittal, vertical, and transverse changes consequent to maxillary molar distalization with the pendulum appliance. Am. J. Orthod. Dentofac. Orthop. 2006, 130, 502–510. [Google Scholar] [CrossRef]
- Bussick, T.J.; McNamara, J.A., Jr. Dentoalveolar and skeletal changes associated with the pendulum appliance. Am. J. Orthod. Dentofac. Orthop. 2000, 117, 333–343. [Google Scholar] [CrossRef] [PubMed]
- Chiu, P.P.; McNamara, J.A., Jr.; Franchi, L. A comparison of two intraoral molar distalization appliances: Distal jet versus pendulum. Am. J. Orthod. Dentofac. Orthop. 2005, 128, 353–365. [Google Scholar] [CrossRef]
- Janson, G.; Sathler, R.; Fernandes, T.M.; Branco, N.C.; Freitas, M.R. Correction of class II malocclusion with class II elastics: A systematic review. Am. J. Orthod. Dentofac. 2013, 143, 383–392. [Google Scholar] [CrossRef]
- Verma, P.; George, A.M. Efficacy of clear aligners in producing molar distalization: Systematic review. APOS Trends Orthod. 2021, 11, 317–324. [Google Scholar] [CrossRef]
- Garino, F.; Castroflorio, T.; Daher, S.; Ravera, S.; Rossini, G.; Cugliari, G.; Deregibus, A. Effectiveness of composite attachments in controlling upper-molar movement with aligners. J. Clin. Orthod. 2016, 50, 341–347. [Google Scholar] [PubMed]
- Gomez, J.P.; Peña, F.M.; Martínez, V.; Giraldo, D.C.; Cardona, C.I. Initial force systems during bodily tooth movement with plastic aligners and composite attachments: A three-dimensional finite element analysis. Angle Orthod. 2015, 85, 454–460. [Google Scholar] [CrossRef]
- Staderini, E.; Ventura, V.; Meuli, S.; Maltagliati, L.A.; Gallenzi, P. Analysis of the changes in occlusal plane inclination in a Class II deep bite “teen” patient treated with clear aligners: A case report. Int. J. Environ. Res. Public Health 2022, 19, 651. [Google Scholar] [CrossRef]
- Van der Linden, F.P. Changes in the position of posterior teeth in relation to ruga points. Am. J. Orthod. 1978, 74, 142–161. [Google Scholar] [CrossRef]
- Lanteri, V.; Cossellu, G.; Farronato, M.; Ugolini, A.; Leonardi, R.; Rusconi, F. Assessment of the Stability of the palatal rugae in a 3D-3D superimposition technique following Slow Maxillary expansion (SMe). Sci. Rep. 2020, 10, 2676. [Google Scholar] [CrossRef]
- Lione, R.; Balboni, A.; Di Fazio, V.; Pavoni, C.; Cozza, P. Effects of pendulum appliance versus clear aligners in the vertical dimension during Class II malocclusion treatment: A randomized prospective clinical trial. BMC Oral Health 2022, 22, 441. [Google Scholar] [CrossRef]
- Lione, R.; Paoloni, V.; De Razza, F.C.; Pavoni, C.; Cozza, P. Analysis of Maxillary First Molar Derotation with Invisalign Clear Aligners in Permanent Dentition. Life 2022, 12, 1495. [Google Scholar] [CrossRef] [PubMed]
- Bichu, Y.M.; Alwafi, A.; Liu, X.; Andrews, J.; Ludwig, B.; Bichu, A.Y.; Zou, B. Advances in orthodontic clear aligner materials. Bioact. Mater. 2022, 22, 384–403. [Google Scholar] [CrossRef] [PubMed]


| Variables | T1 (n = 49 27F; 22M) | T2 (n = 49 27F; 22M) | T2–T1 | ||||
|---|---|---|---|---|---|---|---|
| Measurements (mm) | Mean T1 | SD | Mean T2 | SD | Diff | 95% CI | p Value |
| 1.3 CS | 3.0 | 1.02 | 1.5 | 1.03 | −1.5 | 0.932 to 2.068 | *** (0.0001) |
| 2.3 CS | 2.05 | 1.4 | 0.9 | 1.1 | −1.15 | 0.366 to 1.934 | ** (0.008) |
| 1.4 PBS | 7.7 | 3.3 | 8.0 | 2.7 | 0.3 | −1.358 to 0.758 | NS (0.5454) |
| 2.4 PBS | 7.9 | 2.7 | 7.8 | 2.4 | −0.1 | −1.317 to 1.483 | NS (0.8981) |
| 1.5 PBS | 14.2 | 3.7 | 14.7 | 3.0 | 0.5 | −1.396 to 0.329 | NS (0.20) |
| 2.5 PBS | 14.7 | 2.7 | 15.0 | 3.0 | 0.3 | −1.046 to 0.513 | NS (0.47) |
| 1.6 DBS | 25.2 | 3.7 | 28.2 | 3.2 | 3.0 | −3.938 to −2.029 | *** (0.0001) |
| 1.6 MBS | 20.6 | 3.6 | 23.0 | 3.0 | 2.4 | −3.341 to −1.492 | *** (0.0001) |
| 2.6 DBS | 25.2 | 3.3 | 27.4 | 3.7 | 2.2 | −3.258 to −1.142 | *** (0.0008) |
| 2.6 MBS | 20.5 | 3.2 | 22.9 | 3.2 | 2.4 | −3.440 to −1.260 | *** (0.0006) |
Disclaimer/Publisher’s Note: The statements, opinions and data contained in all publications are solely those of the individual author(s) and contributor(s) and not of MDPI and/or the editor(s). MDPI and/or the editor(s) disclaim responsibility for any injury to people or property resulting from any ideas, methods, instructions or products referred to in the content. |
© 2023 by the authors. Licensee MDPI, Basel, Switzerland. This article is an open access article distributed under the terms and conditions of the Creative Commons Attribution (CC BY) license (https://creativecommons.org/licenses/by/4.0/).
Share and Cite
Loberto, S.; Paoloni, V.; Pavoni, C.; Cozza, P.; Lione, R. Anchorage Loss Evaluation during Maxillary Molars Distalization Performed by Clear Aligners: A Retrospective Study on 3D Digital Casts. Appl. Sci. 2023, 13, 3646. https://doi.org/10.3390/app13063646
Loberto S, Paoloni V, Pavoni C, Cozza P, Lione R. Anchorage Loss Evaluation during Maxillary Molars Distalization Performed by Clear Aligners: A Retrospective Study on 3D Digital Casts. Applied Sciences. 2023; 13(6):3646. https://doi.org/10.3390/app13063646
Chicago/Turabian StyleLoberto, Saveria, Valeria Paoloni, Chiara Pavoni, Paola Cozza, and Roberta Lione. 2023. "Anchorage Loss Evaluation during Maxillary Molars Distalization Performed by Clear Aligners: A Retrospective Study on 3D Digital Casts" Applied Sciences 13, no. 6: 3646. https://doi.org/10.3390/app13063646
APA StyleLoberto, S., Paoloni, V., Pavoni, C., Cozza, P., & Lione, R. (2023). Anchorage Loss Evaluation during Maxillary Molars Distalization Performed by Clear Aligners: A Retrospective Study on 3D Digital Casts. Applied Sciences, 13(6), 3646. https://doi.org/10.3390/app13063646

