Protective Effect of Juglone (5-Hydroxy-1,4-naphthoquinone) against Iron- and Zinc-Induced Liver and Kidney Damage
Abstract
1. Introduction
2. Materials and Methods
2.1. Experimental Design and Animals
2.2. Surgical Procedure
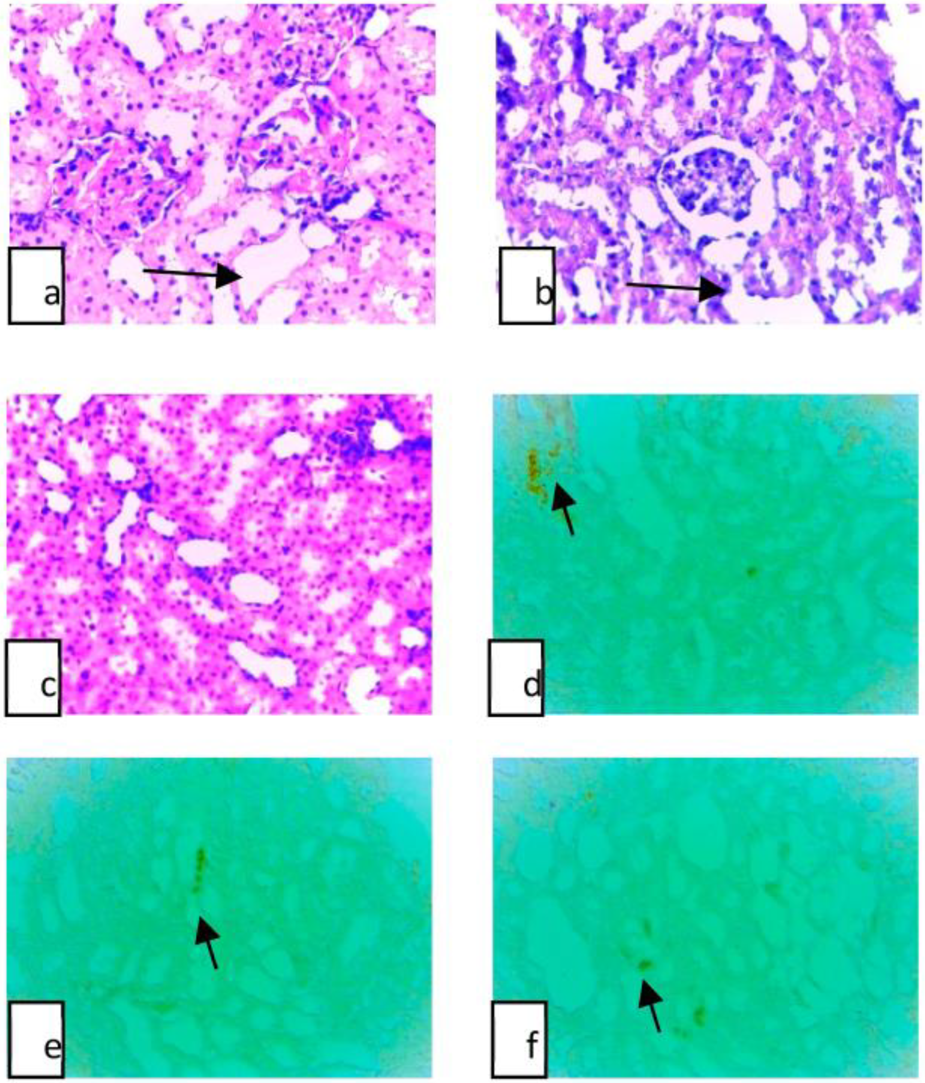
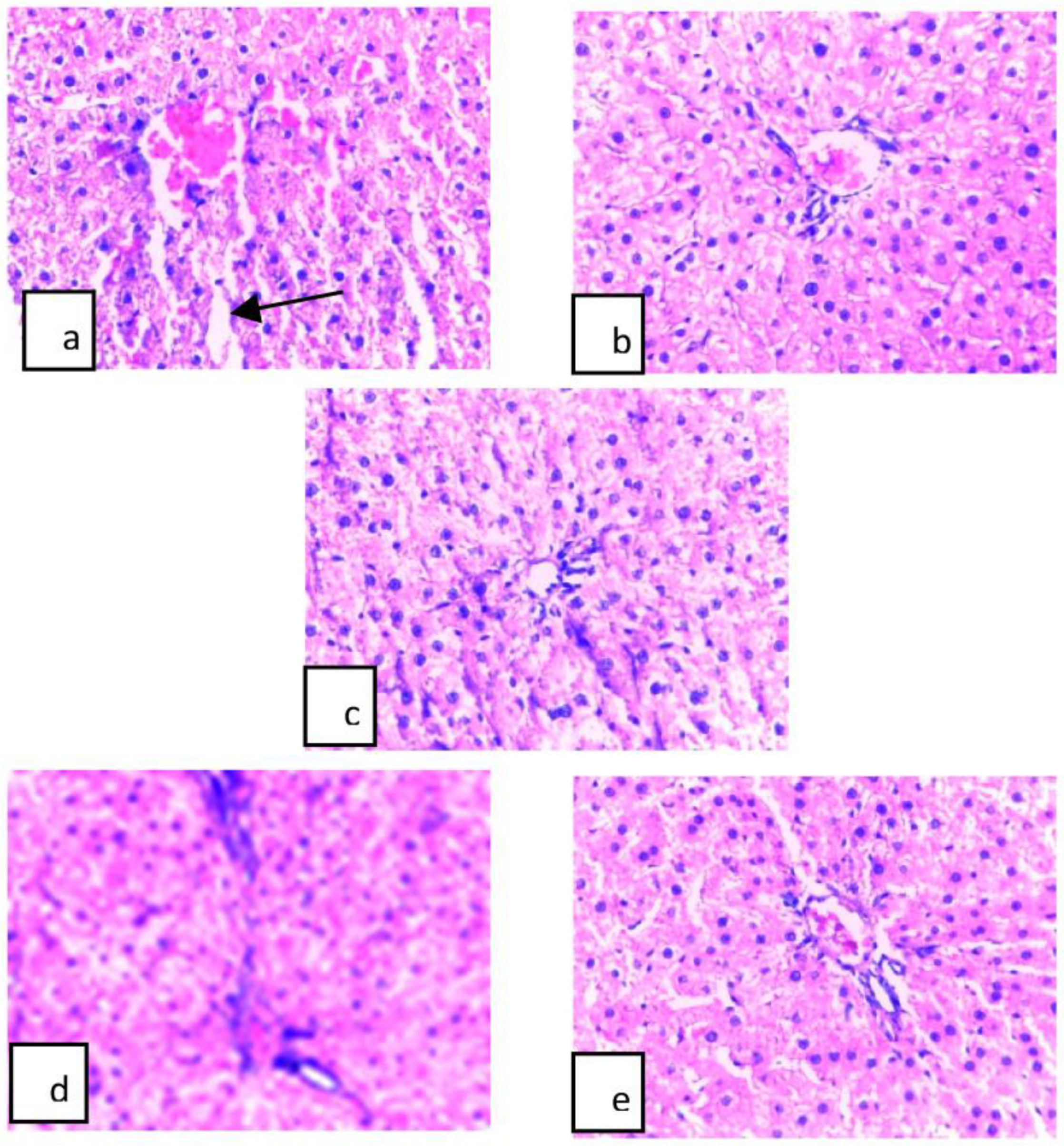
2.3. Histological Analysis
2.4. Immunohistochemical Analysis
3. Results
4. Discussion
5. Conclusions
Author Contributions
Funding
Institutional Review Board Statement
Informed Consent Statement
Data Availability Statement
Conflicts of Interest
References
- Sharfalddin, A.A.; Al-Younis, I.M.; Mohammed, H.A.; Dhahri, M.; Mouffouk, F.; Abu Ali, H.; Anwar, M.J.; Qureshi, K.A.; Hussien, M.A.; Alghably, M.; et al. Therapeutic properties of vanadium complexes. Inorganics 2022, 10, 244. [Google Scholar] [CrossRef]
- Savassi, L.A.; Arantes, F.P.; Gomes, M.V.T.; Bazzoli, N. Heavy metals and histopathological alterations in Salminus franciscanus (Lima & Britski, 2007) (Pisces: Characiformes) in the paraopeba river, minas gerais, brazil. Bull. Environ. Contam. Toxicol. 2016, 96, 478–483. [Google Scholar] [CrossRef] [PubMed]
- Vymazal, J. Concentration is not enough to evaluate accumulation of heavy metals and nutrients in plants. Sci. Total Environ. 2016, 544, 495–498. [Google Scholar] [CrossRef] [PubMed]
- Adrees, M.; Ali, S.; Rizwan, M.; Zia-ur-Rehman, M.; Ibrahim, M.; Abbas, F.; Farid, M.; Qayyum, M.F.; Irshad, M.K. Mechanisms of silicon-mediated alleviation of heavy metal toxicity in plants: A review. Ecotoxicol. Environ. Saf. 2015, 119, 186–197. [Google Scholar] [CrossRef]
- Abbas, S.H.; Ismail, I.M.; Mostafa, T.M.; Sulaymon, A.H. Biosorption of heavy metals: A review. J. Chem. Sci. Technol. 2014, 3, 74–102. [Google Scholar]
- Kapahi, M.; Sachdeva, S. Bioremediation options for heavy metal pollution. J. Health Pollut. 2019, 9, 191203. [Google Scholar] [CrossRef]
- Ayangbenro, A.S.; Babalola, O.O. A new strategy for heavy metal polluted environments: A review of microbial biosorbents. Int. J. Environ. Res. Public Health 2017, 14, 94. [Google Scholar] [CrossRef]
- Mohammed, H.A.; Ali, H.M.; Qureshi, K.A.; Alsharidah, M.; Kandil, Y.I.; Said, R.; Mohammed, S.A.A.; Al-Omar, M.S.; Al-Rugaie, O.; Abdellatif, A.A.H.; et al. Comparative phytochemical profile and biological activity of four major medicinal halophytes from Qassim flora. Plants 2021, 10, 2208. [Google Scholar] [CrossRef]
- Lo, B. The requirement of iron transport for lymphocyte function. Nat. Genet. 2016, 48, 10–11. [Google Scholar] [CrossRef]
- Pietrangelo, A. Iron and the liver. Liver Int. 2016, 36, 116–123. [Google Scholar] [CrossRef]
- Aalikhani, M.; Aalikhani, M.; Jahanshahi, M.; Elyasi, L.; Khalili, M. Berberine Is a Promising Alkaloid to Attenuate Iron Toxicity Efficiently in Iron-Overloaded Mice. Nat. Prod. Commun. 2022, 17, 1934578X211029522. [Google Scholar] [CrossRef]
- Gonzalez-Estrella, J.; Gallagher, S.; Sierra-Alvarez, R.S.; Field, J.A. Iron sulfide attenuates the methanogenic toxicity of elemental copper and zinc oxide nanoparticles and their soluble metal ion analogs. Sci. Total Environ. 2016, 548, 380–389. [Google Scholar] [CrossRef] [PubMed]
- Ziemińska, E.; Strużyńska, L. Zinc modulates nanosilver-induced toxicity in primary neuronal cultures. Neurotox. Res. 2016, 29, 325–343. [Google Scholar] [CrossRef] [PubMed]
- Paulsen, M.T.; Ljugman, M. The natural toxin junglone causes degradation of p53 and induces rapid H2AX phosphorylation and cell death in human fibroblasts. Toxicol. Appl. Pharmacol. 2005, 209, 1–9. [Google Scholar] [CrossRef]
- Oliveira, I.; Sousa, A.; Ferreira, I.C.; Bento, A.; Estevinho, L.; Pereira, J.A. Total phenols, antioxidant potential and antimicrobial activity of walnut (Juglans regia L.) green husks. Food Chem. Toxicol. 2008, 46, 2326–2331. [Google Scholar] [CrossRef]
- Xu, H.L.; Yu, X.F.; Qu, S.C.; Zhang, R.; Qu, X.R.; Chen, Y.P.; Ma, X.Y.; Sui, D.Y. Anti-proliferative effect of Juglone from Juglans mandshurica Maxim on human leukemia cell HL-60 by inducing apoptosis through the mitochondria-dependent pathway. Eur. J. Pharmacol. 2010, 645, 14–22. [Google Scholar] [CrossRef] [PubMed]
- Ji, Y.B.; Qu, Z.Y.; Zou, X. Juglone-induced apoptosis in human gastric cancer SGC-7901 cells via the mitochondrial pathway. Exp. Toxicol. Pathol. 2011, 63, 69–78. [Google Scholar] [CrossRef]
- Kviencinski, M.R.; Pedrose, J.A.; Felipe, K.B.; Farias, M.S.; Glorieux, C.; Valenzuela, M.; Sid, B.; Benites, J.; Valderramade, J.A.; Verrax, J.; et al. Inhibition of cell proliferation and migration by oxidative stress from ascorbate-driven juglone redox cycling in human bladder-derived T24 cells. Biochem. Bioph. Res. Commun. 2012, 421, 268–273. [Google Scholar] [CrossRef] [PubMed]
- Sugie, S.; Okamoto, K.; Rahman, K.W.; Tanaka, T.; Kawai, K.; Yamahare, J.; Mori, H. Inhibitory effects of plumbagin and juglone on azoxymethane-induced intestinal carcinogenesis in rats. Cancer Lett. 1998, 127, 177–183. [Google Scholar] [CrossRef]
- Omidi, A.; Riahinia, N.; Torbati, M.B.; Behdani, M.A. Evaluation of protective effect of hydroalcoholic extract of saffron petals in prevention of acetaminophen-induced renal damages in rats. Vet. Sci. Dev. 2015, 5, 5821. [Google Scholar] [CrossRef]
- Bancroft, J.D.; Stevens, A.; Turner, D.R. Theory and Practice of Histological Techniques; Churchill Livingstone: London, UK, 1996; 129p. [Google Scholar]
- Mahurpawar, M. Effects of heavy metals on human health. Int. J. Res. Granthaalayah 2015, 530, 1–7. [Google Scholar] [CrossRef]
- Fu, Z.; Xi, S. The effects of heavy metals on human metabolism. Toxicol. Mech. Methods 2020, 30, 167–176. [Google Scholar] [CrossRef] [PubMed]
- Kim, J.J.; Kim, Y.S.; Kumar, V. Heavy metal toxicity: An update of chelating therapeutic strategies. J. Trace Elem. Med. Biol. 2019, 54, 226–231. [Google Scholar] [CrossRef] [PubMed]
- Yousef, M.I.; Mutar, T.F.; Kamel, M.A.E.N. Hepato-renal toxicity of oral sub-chronic exposure to aluminum oxide and/or zinc oxide nanoparticles in rats. Toxicol. Rep. 2019, 6, 336–346. [Google Scholar] [CrossRef] [PubMed]
- Sankhla, M.S.; Kumar, R.; Prasad, L. Zinc impurity in drinking water and its toxic effect on human health. Indian Internet J. Forensic Med. Toxicol. 2019, 17, 84–87. [Google Scholar] [CrossRef]
- Eaton, J.W.; Qian, M. Molecular bases of cellular iron toxicity. Free. Radic. Biol. Med. 2002, 32, 833–840. [Google Scholar] [CrossRef]
- Elgebaly, H.A.; Mosa, N.M.; Allach, M.; El-Massry, K.F.; El-Ghorab, A.H.; Al Hroob, A.M.; Mahmoud, A.M. Olive oil and leaf extract prevent fluoxetine-induced hepatotoxicity by attenuating oxidative stress, inflammation and apoptosis. Biomed. Pharmacother. 2018, 98, 446–453. [Google Scholar] [CrossRef]
- Aydoğdu, N.; Kanter, M.; Erbaş, H.; Kaymak, K. The effects of taurine, melatonin and acetylcysteine on nitric oxide, lipid peroxidation and some antioxidants in cadmium induced liver injury. Erciyes. Med. J. 2007, 29, 89–096. [Google Scholar]
- Uğuzalp-Kaldır, M.; Yürüt-Çaloğlu, V.; Coşar-Alas, R.; Çermik, T.F.; Altaner, Ş.; Eskiocak Saynak, M.; İbiş, K.; Çaloğlu, M.; Tokatlı, F.; Koçak, Z.; et al. Prevention of radiation-induced liver and kiney toxicity: A role for amifostine. Turk. J. Oncol. 2007, 22, 105–117. [Google Scholar]
- Yang, Z.; He, Y.; Wang, H.; Zhang, Q. Protective effect of melatonin against chronic cadmium-induced hepatotoxicity by suppressing oxidative stress, inflammation, and apoptosis in mice. Ecotoxicol. Environ. Saf. 2021, 228, 112947. [Google Scholar] [CrossRef]
- Kaplan, M.; Atakan, İ.H.; Aydoğdu, N.; Aktoz, T.; Puyan, F.Ö.; Şeren, G.; Tokuç, B.; İnci, O. The effect of melotonin on cadmium-induced renal injury in chronically exposed rats. Turk. J. Urol. 2009, 35, 139–147. [Google Scholar]
- Koc, E.; Reis, K.A.; Ebinc, F.A.; Pasaoglu, H.; Demirtas, C.; Omeroglu, S.; Boztepe Derici, U.; GUz, G.; Erten, Y.; Bali, M.; et al. Protective effect of beta-glucan on contrast induced-nephropathy and a comparison of beta-glucan with nebivolol and N-acetylcysteine in rats. Clin. Nephrol. 2011, 15, 658–665. [Google Scholar] [CrossRef] [PubMed]
- Kanbak, M.; Erdem, N.; Ayhan, B.; Ozkaya, O.; Bayındı, E.; Sarıcaoğlu, F. Sevoflurane elimination and histopathological changes in lung, liver, kidney and brain tissues. Turk. Clin. J. Med. Sci. 2010, 30, 94. [Google Scholar]
- Goksu Erol, A.Y.; Avcı, G.; Sevimli, A.; Ulutas, E.; Ozdemir, M. The protective effects of omega 3 fatty acids and sesame oil against cyclosporine A-induced nephrotoxicity. Drug Chem. Toxicol. 2013, 36, 241–248. [Google Scholar] [CrossRef]
- Yegin, S.Ç.; Yur, F. The effect of lycopene application on the antioxidant activity in liver and kidney tissues of diabetic rats. Atatürk Univ. J. Vet. Sci. 2019, 14, 119–128. [Google Scholar] [CrossRef]
- Song, J.; Liu, D.; Feng, L.; Zhang, Z.; Jia, X.; Xiao, W. Protective effect of standardized extract of Ginkgo biloba against cisplatin-induced nephrotoxicity. Evid.-Based Complement. Altern. Med. 2013, 11, 846126. [Google Scholar] [CrossRef]
- Raj, J.; Ray, R.; Dogra, T.D.; Raina, A. Acute oral toxicity and histopathological study of combination of endosulfan and cypermethrin in wistar rats. Toxicol. Int. 2013, 20, 61–67. [Google Scholar] [CrossRef]
- Ahmad, T.; Suzuki, Y.J. Juglone in oxidative stress and cell signaling. Antioxidants 2019, 8, 91. [Google Scholar] [CrossRef]
- Cintesun, S.; Ozman, Z.; Kocyigit, A.; Mansuroglu, B.; Kocacalıskan, I. Effects of walnut (Juglans regia L.) kernel extract and juglone on dopamine levels and oxidative stress in rats. Food Biosci. 2022, 51, 102327. [Google Scholar] [CrossRef]



| Groups | Fe Group | Zn Group | Fe–Juglone Group | Zn–Juglone Group | Control Group |
|---|---|---|---|---|---|
| apoptotic cell count | 69.50 ± 4.20 * | 41.25 ± 2.75 ** | 43.0 ± 3.55 * | 26.25 ± 3.55 ** | 14.75 ± 2.55 */** |
| Groups | Fe Group | Zn Group | Fe–Juglone Group | Zn–Juglone Group | Control Group |
|---|---|---|---|---|---|
| apoptotic cell count | 51.66 ± 2.91 * | 50.60 ± 2.40 ** | 14.00 ± 3.80 * | 13.60 ± 3.049 ** | 12.60 ± 1.81 */** |
Disclaimer/Publisher’s Note: The statements, opinions and data contained in all publications are solely those of the individual author(s) and contributor(s) and not of MDPI and/or the editor(s). MDPI and/or the editor(s) disclaim responsibility for any injury to people or property resulting from any ideas, methods, instructions or products referred to in the content. |
© 2023 by the authors. Licensee MDPI, Basel, Switzerland. This article is an open access article distributed under the terms and conditions of the Creative Commons Attribution (CC BY) license (https://creativecommons.org/licenses/by/4.0/).
Share and Cite
Şenol, N.; Şahin, M. Protective Effect of Juglone (5-Hydroxy-1,4-naphthoquinone) against Iron- and Zinc-Induced Liver and Kidney Damage. Appl. Sci. 2023, 13, 2203. https://doi.org/10.3390/app13042203
Şenol N, Şahin M. Protective Effect of Juglone (5-Hydroxy-1,4-naphthoquinone) against Iron- and Zinc-Induced Liver and Kidney Damage. Applied Sciences. 2023; 13(4):2203. https://doi.org/10.3390/app13042203
Chicago/Turabian StyleŞenol, Nurgül, and Melda Şahin. 2023. "Protective Effect of Juglone (5-Hydroxy-1,4-naphthoquinone) against Iron- and Zinc-Induced Liver and Kidney Damage" Applied Sciences 13, no. 4: 2203. https://doi.org/10.3390/app13042203
APA StyleŞenol, N., & Şahin, M. (2023). Protective Effect of Juglone (5-Hydroxy-1,4-naphthoquinone) against Iron- and Zinc-Induced Liver and Kidney Damage. Applied Sciences, 13(4), 2203. https://doi.org/10.3390/app13042203

