Implant–Prosthetic Rehabilitation of Maxillary Lateral Incisor Agenesis with Narrow Diameter Implants and Metal–Ceramic vs. All-Ceramic Single Crowns: A 16-Year Prospective Clinical Study
Abstract
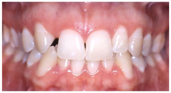
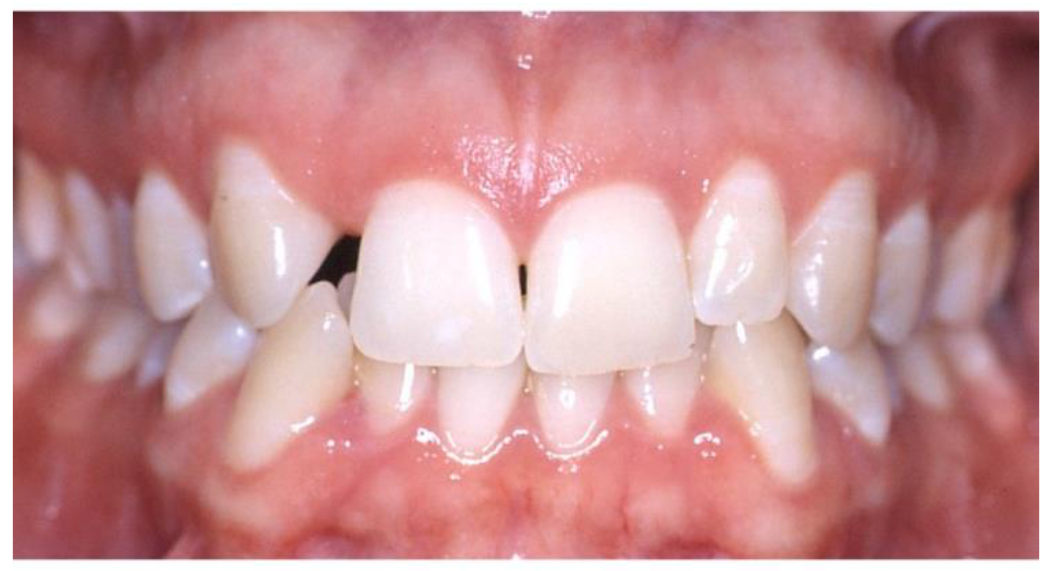
1. Introduction
- Conservative approach: this approach should be considered a short-term solution and consists only in an esthetic reshaping of the deciduous lateral incisor with composite resins [9].
- Orthodontic approach: intercepting or orthodontic treatment is used to move the canines into the place of the lateral incisors and the space of the missing tooth is closed by moving the adjacent premolars and molars mesially [10].
- Prosthetic approach: the missing maxillary lateral incisor is replaced by means of an inlay bridge (i.e., Maryland bridge) or a fixed partial denture (metal–ceramic or all-ceramic) sustained by the upper canine and central incisor [11,12]. The proper position of the canine is a paramount factor, since an adequate space in occlusion is indispensable to guarantee the correct thickness of an inlay bridge. Furthermore, a sufficient space between the upper central incisor and the upper canine is necessary to realize a prosthetic restoration of appropriate size.
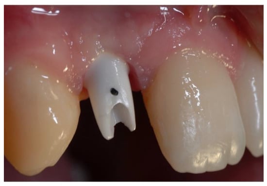
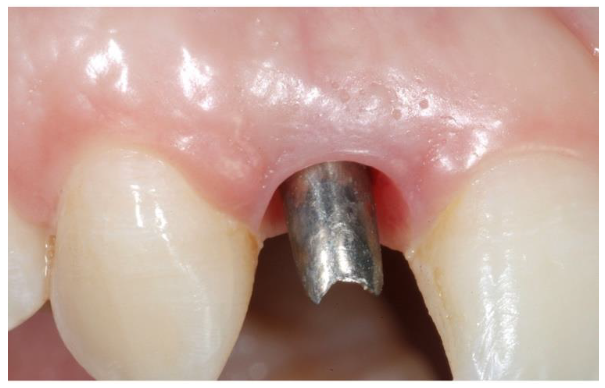
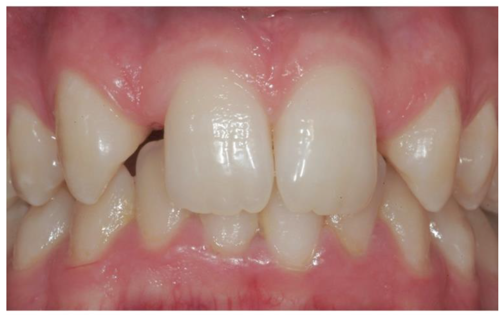
2. Materials and Methods
- single tooth space(s) with adjacent teeth intact or restored with functionally and aesthetically good restorations;
- the presence of prostheses precluding the addition of the missing tooth;
- patient reluctance of preparation of adjacent teeth;
- patient refusal to wear removable partial dentures.
- Sixty-one Narrow-Neck implants 3.3 mm × 10 mm;
- Twenty-one Narrow-Neck implants 3.3 mm × 12 mm;
- Twenty-three Narrow-Neck implants 3.3 mm × 14 mm.
- standardized periapical radiographs;
- four-point peri-implant probing (i.e., mesial, buccal, distal, and palatal), determined after removing the crowns;
- peri-implant soft tissues conditions;
- mobility and pain of osseointegrated implants.
- PIS 0: no papilla;
- PIS 1: less than half papilla in the vertical direction compared with the other teeth;
- PIS 2: half or more than half papilla in the vertical direction compared with the other teeth but not in harmony with the contiguous papillae;
- PIS 3: papilla filling the interdental space and in harmony with the contiguous papillae;
- PIS 4: hyperplasic papilla covering the restoration.
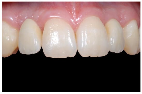
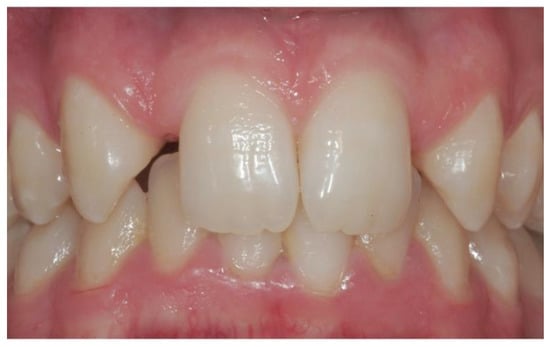
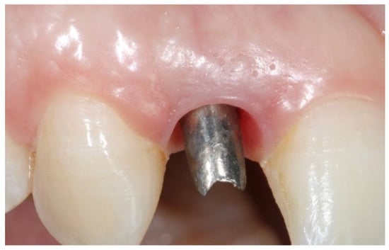
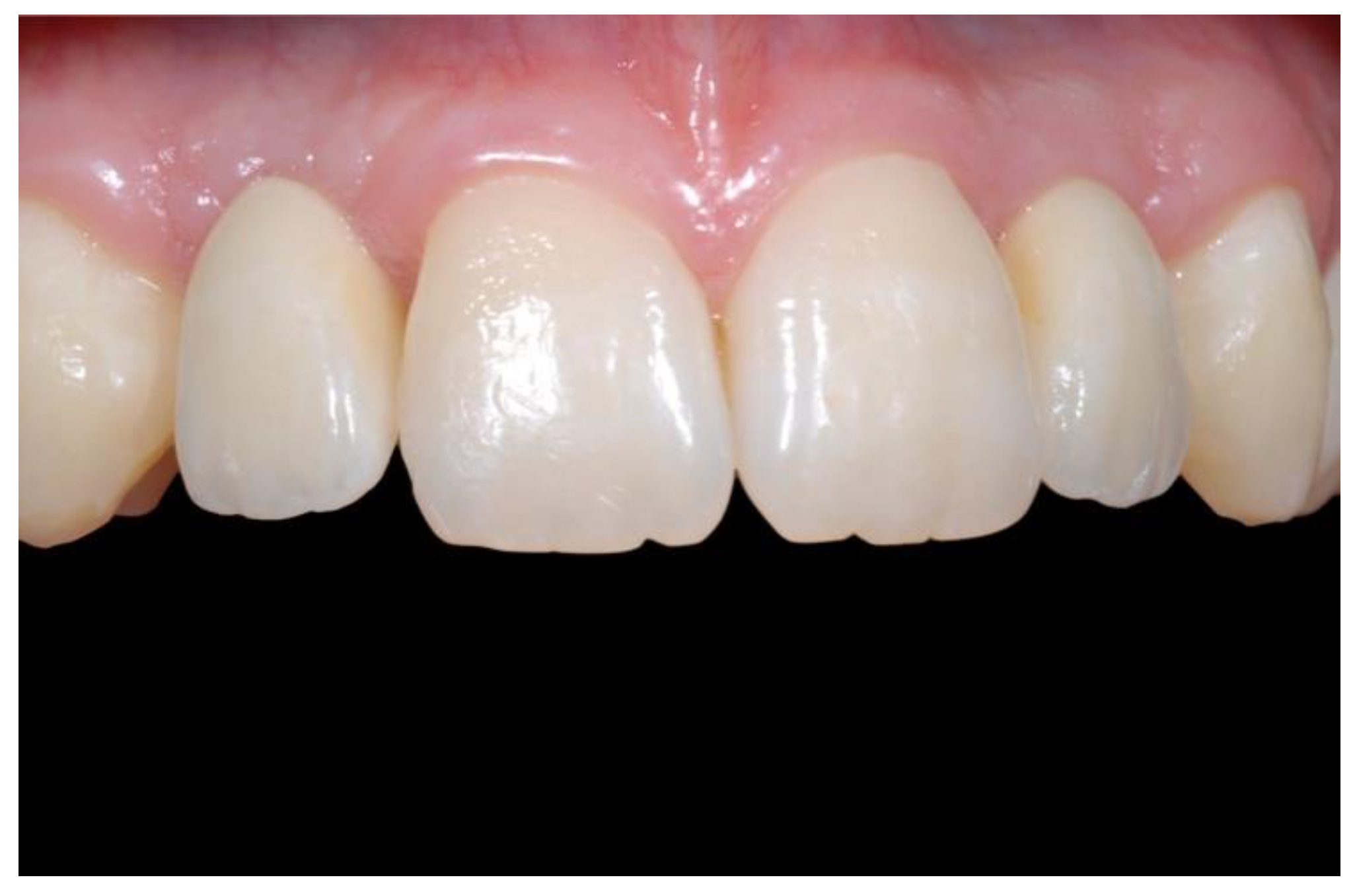
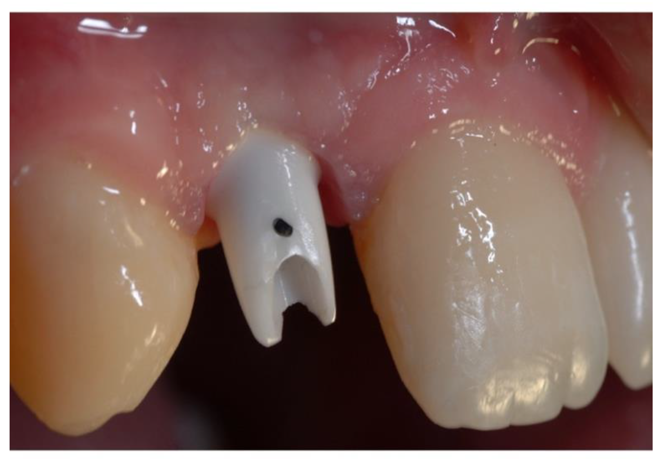
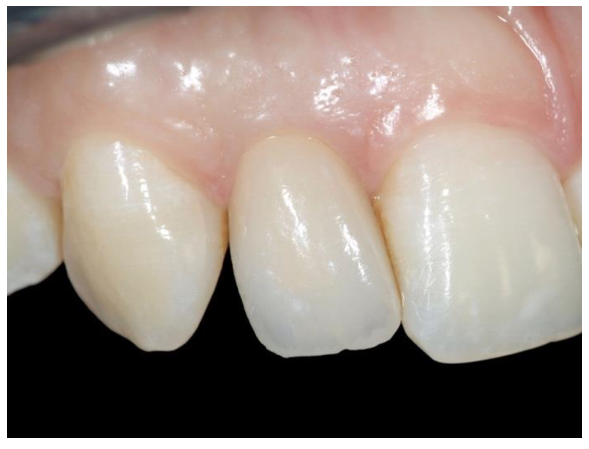
3. Results
- a mean mesial probing 3.4 ± 0.2 mm;
- a mean buccal probing of 2.6 ± 0.1 mm;
- a mean distal probing of 3.2 ± 0.1 mm;
- a mean palatal probing of 2.3 ± 0.2 mm.
4. Discussion
5. Conclusions
Author Contributions
Funding
Institutional Review Board Statement
Informed Consent Statement
Data Availability Statement
Conflicts of Interest
References
- The Glossary of Prosthodontic Terms: Ninth Edition. J. Prosthet. Dent. 2017, 117, e1–e105. [CrossRef]
- Yemitan, T.A.; Adediran, V.E.; Ogunbanjo, B.O. Pattern of agenesis and morphologic variation of the maxillary lateral incisors in nigerian orthodontic patients. J. West Afr. Coll. Surg. 2017, 7, 71–91. [Google Scholar] [PubMed]
- Stamatiou, J.; Symons, A.L. Agenesis of the permanent lateral incisor: Distribution, number and sites. J. Clin. Pediatr. Dent. 1991, 15, 244–246. [Google Scholar] [PubMed]
- Pandey, P.; Ansari, A.A.; Choudhary, K.; Saxena, A. Familial aggregation of maxillary lateral incisor agenesis (MLIA). BMJ Case Rep. 2013, 2013, bcr2012007846. [Google Scholar] [CrossRef] [PubMed]
- Robertsson, S.; Mohlin, B. The congenitally missing upper lateral incisor. A retrospective study of orthodontic space closure versus restorative treatment. Eur. J. Orthod. 2000, 22, 697–710. [Google Scholar] [CrossRef]
- Hua, F.; He, H.; Ngan, P.; Bouzid, W. Prevalence of peg-shaped maxillary permanent lateral incisors: A meta-analysis. Am. J. Orthod. Dentofac. Orthop. 2013, 144, 97–109. [Google Scholar] [CrossRef]
- Lo Muzio, L.; Bucci, P.; Carile, F.; Riccitiello, F.; Scotti, C.; Coccia, E.; Rappelli, G. Prosthetic rehabilitation of a child affected from anhydrotic ectodermal dysplasia: A case report. J. Contemp. Dent. Pract. 2005, 6, 120–126. [Google Scholar] [CrossRef] [PubMed]
- Rosa, M.; Olimpo, A.; Fastuca, R.; Caprioglio, A. Perceptions of dental professionals and laypeople to altered dental esthetics in cases with congenitally missing maxillary lateral incisors. Prog. Orthod. 2013, 14, 34. [Google Scholar] [CrossRef]
- Laverty, D.P.; Thomas, M.B. The restorative management of microdontia. Br. Dent. J. 2016, 221, 160–166. [Google Scholar] [CrossRef]
- Pithon, M.M.; Vargas, E.O.A.; da Silva Coqueiro, R.; Lacerda-Santos, R.; Tanaka, O.M.; Maia, L.C. Impact of oral-health-related quality of life and self-esteem on patients with missing maxillary lateral incisor after orthodontic space closure: A single-blinded, randomized, controlled trial. Eur. J. Orthod. 2021, 43, 208–214. [Google Scholar] [CrossRef]
- Hebel, K.; Gajjar, R.; Hofstede, T. Single-tooth replacement: Bridge vs. implant-supported restoration. J. Can. Dent. Assoc. 2000, 66, 435–438. [Google Scholar] [PubMed]
- Kinzer, G.A.; Kokich, V.O., Jr. Managing congenitally missing lateral incisors. Part II: Tooth-supported restorations. J. Esthet. Restor. Dent. 2005, 17, 76–84. [Google Scholar] [CrossRef] [PubMed]
- Kinzer, G.A.; Kokich, V.O., Jr. Managing congenitally missing lateral incisors. Part III: Single-tooth implants. J. Esthet. Restor. Dent. 2005, 17, 202–210. [Google Scholar] [CrossRef] [PubMed]
- Priest, G. The treatment dilemma of missing maxillary lateral incisors-Part II: Implant restoration. J. Esthet. Restor. Dent. 2019, 31, 319–326. [Google Scholar] [CrossRef]
- Šikšnelytė, J.; Guntulytė, R.; Lopatienė, K. Orthodontic canine substitution vs. implant-supported prosthetic replacement for maxillary permanent lateral incisor agenesis: A systematic review. Stomatologija 2021, 23, 106–113. [Google Scholar]
- Kiliaridis, S.; Sidira, M.; Kirmanidou, Y.; Michalakis, K. Treatment options for congenitally missing lateral incisors. Eur. J. Oral Implantol. 2016, 9 (Suppl. S1), S5–S24. [Google Scholar]
- Al Amri, M.D. Crestal bone loss around submerged and nonsubmerged dental implants: A systematic review. J. Prosthet. Dent. 2016, 115, 564–570.e1. [Google Scholar] [CrossRef]
- Momberger, N.; Mukaddam, K.; Zitzmann, N.U.; Bornstein, M.A.; Filippi, A.; Kühl, S. Esthetic and functional outcomes of narrow-diameter implants compared in a cohort study to standard diameter implants in the anterior zone of the maxilla. Quintessence Int. 2022, 53, 502–509. [Google Scholar] [CrossRef]
- Telles, L.H.; Portella, F.F.; Rivaldo, E.G. Longevity and marginal bone loss of narrow-diameter implants supporting single crowns: A systematic review. PLoS ONE 2019, 14, e0225046. [Google Scholar] [CrossRef]
- Parize, H.N.; Bohner, L.O.L.; Gama, L.T.; Porporatti, A.L.; Mezzomo, L.A.M.; Martin, W.C.; Gonçalves, T.M.S.V. Narrow-diameter implants in the anterior region: A meta-analysis. Int. J. Oral Maxillofac. Implant. 2019, 34, 1347–1358. [Google Scholar] [CrossRef]
- Priest, G. Single-tooth implants and their role in preserving remaining teeth: A 10-year survival study. Int. J. Oral Maxillofac. Implant. 1999, 14, 181–188. [Google Scholar]
- Schmitt, A.; Zarb, G.A. The longitudinal clinical effectiveness of osseointegrated dental implants for single-tooth replacement. Int. J. Prosthodont. 1993, 6, 197–202. [Google Scholar] [PubMed]
- Avivi-Arber, L.; Zarb, G.A. Clinical effectiveness of implant-supported single-tooth replacement: The Toronto Study. Int. J. Oral Maxillofac. Implant. 1996, 11, 311–321. [Google Scholar]
- Löe, H. The Gingival Index, the Plaque Index and the Retention Index Systems. J. Periodontol. 1967, 38, S610–S616. [Google Scholar] [CrossRef]
- Jemt, T. Regeneration of gingival papillae after single-implant treatment. Int. J. Periodontics Restor. Dent. 1997, 17, 326–333. [Google Scholar]
- Krassnig, M.; Fickl, S. Congenitally missing lateral incisors—A comparison between restorative, implant, and orthodontic approaches. Dent. Clin. N. Am. 2011, 55, 283–299, viii. [Google Scholar] [CrossRef] [PubMed]
- Lacarbonara, M.; Cazzolla, A.P.; Lacarbonara, V.; Lo Muzio, L.; Ciavarella, D.; Testa, N.F.; Crincoli, V.; Di Venere, D.; De Franco, A.; Tripodi, D.; et al. Prosthetic rehabilitation of maxillary lateral incisors agenesis using dental mini-implants: A multicenter 10-year follow-up. Clin. Oral Investig. 2022, 26, 1963–1974. [Google Scholar] [CrossRef] [PubMed]
- Linkevicius, T.; Vaitelis, J. The effect of zirconia or titanium as abutment material on soft peri-implant tissues: A systematic review and meta-analysis. Clin. Oral Implant. Res. 2015, 26 (Suppl. S11), 139–147. [Google Scholar] [CrossRef] [PubMed]
- King, P.; Maiorana, C.; Luthardt, R.G.; Sondell, K.; Øland, J.; Galindo-Moreno, P.; Nilsson, P. Clinical and radiographic evaluation of a small-diameter dental implant used for the restoration of patients with permanent tooth agenesis (hypodontia) in the maxillary lateral incisor and mandibular incisor regions: A 36-month follow-up. Int. J. Prosthodont. 2016, 29, 147–153. [Google Scholar] [CrossRef]
- Zarone, F.; Sorrentino, R.; Vaccaro, F.; Russo, S. Prosthetic treatment of maxillary lateral incisor agenesis with osseointegrated implants: A 24–39-month prospective clinical study. Clin. Oral Implant. Res. 2006, 17, 94–101. [Google Scholar] [CrossRef]
- Smeets, R.; Henningsen, A.; Jung, O.; Heiland, M.; Hammächer, C.; Stein, J.M. Definition, etiology, prevention and treatment of peri-implantitis—A review. Head Face Med. 2014, 10, 34. [Google Scholar] [CrossRef]
- Kormas, I.; Pedercini, C.; Pedercini, A.; Raptopoulos, M.; Alassy, H.; Wolff, L.F. Peri-implant diseases: Diagnosis, clinical, histological, microbiological characteristics and treatment strategies. A narrative review. Antibiotics 2020, 9, 835. [Google Scholar] [CrossRef] [PubMed]
- Degidi, M.; Nardi, D.; Piattelli, A. Immediate versus one-stage restoration of small-diameter implants for a single missing maxillary lateral incisor: A 3-year randomized clinical trial. J. Periodontol. 2009, 80, 1393–1398. [Google Scholar] [CrossRef] [PubMed]
- Scarano, A.; Conte, E.; Mastrangelo, F.; Greco Lucchina, A.; Lorusso, F. Narrow single tooth implants for congenitally missing maxillary lateral incisors: A 5-year follow-up. J. Biol. Regul. Homeost. Agents 2019, 33 (Suppl. S2), 69–76. [Google Scholar] [PubMed]










| Time | Aspect | Mean Difference (mm) | p-Value |
|---|---|---|---|
| 16-year follow up | B vs. P B vs. M B vs. D P vs. M P vs. D M vs. D | 0.31 1.2 1.08 1.07 1.08 0.38 | >0.05 <0.05 <0.05 <0.05 <0.05 >0.05 |
| Periodontal Parameters | 16-Year Follow-Up n = 100 |
|---|---|
| GI 0 | 95 |
| GI 1 | 2 |
| GI 2 | 3 |
| GI 3 | 0 |
| PI 0 | 94 |
| PI 1 | 6 |
| PI 2 | 0 |
| PI 3 | 0 |
| PIS 0 | 3 |
| PIS 1 | 5 |
| PIS 2 | 6 |
| PIS 3 | 86 |
| PIS 4 | 0 |
Disclaimer/Publisher’s Note: The statements, opinions and data contained in all publications are solely those of the individual author(s) and contributor(s) and not of MDPI and/or the editor(s). MDPI and/or the editor(s) disclaim responsibility for any injury to people or property resulting from any ideas, methods, instructions or products referred to in the content. |
© 2023 by the authors. Licensee MDPI, Basel, Switzerland. This article is an open access article distributed under the terms and conditions of the Creative Commons Attribution (CC BY) license (https://creativecommons.org/licenses/by/4.0/).
Share and Cite
Sorrentino, R.; Di Mauro, M.I.; Leone, R.; Ruggiero, G.; Annunziata, M.; Zarone, F. Implant–Prosthetic Rehabilitation of Maxillary Lateral Incisor Agenesis with Narrow Diameter Implants and Metal–Ceramic vs. All-Ceramic Single Crowns: A 16-Year Prospective Clinical Study. Appl. Sci. 2023, 13, 964. https://doi.org/10.3390/app13020964
Sorrentino R, Di Mauro MI, Leone R, Ruggiero G, Annunziata M, Zarone F. Implant–Prosthetic Rehabilitation of Maxillary Lateral Incisor Agenesis with Narrow Diameter Implants and Metal–Ceramic vs. All-Ceramic Single Crowns: A 16-Year Prospective Clinical Study. Applied Sciences. 2023; 13(2):964. https://doi.org/10.3390/app13020964
Chicago/Turabian StyleSorrentino, Roberto, Maria I. Di Mauro, Renato Leone, Gennaro Ruggiero, Marco Annunziata, and Fernando Zarone. 2023. "Implant–Prosthetic Rehabilitation of Maxillary Lateral Incisor Agenesis with Narrow Diameter Implants and Metal–Ceramic vs. All-Ceramic Single Crowns: A 16-Year Prospective Clinical Study" Applied Sciences 13, no. 2: 964. https://doi.org/10.3390/app13020964
APA StyleSorrentino, R., Di Mauro, M. I., Leone, R., Ruggiero, G., Annunziata, M., & Zarone, F. (2023). Implant–Prosthetic Rehabilitation of Maxillary Lateral Incisor Agenesis with Narrow Diameter Implants and Metal–Ceramic vs. All-Ceramic Single Crowns: A 16-Year Prospective Clinical Study. Applied Sciences, 13(2), 964. https://doi.org/10.3390/app13020964

