Bee Honey Extract Attenuates Hyperglycemia in Induced Type 1 Diabetes: Impact of Antioxidant and Angiogenesis Activities on Diabetic Severity In Vivo
Abstract
1. Introduction
2. Materials and Methods
2.1. Honey Extract
2.2. Chemicals
2.3. Animals
2.4. Induction of Autoimmune Type 1 DM
2.5. Study Design
2.6. Determination of Glucose Levels
2.7. Determination of Glycogen Content in Liver Tissue
2.8. Determination of SOD, GSH, and Catalase Activity in Pancreatic Homogenate
2.9. Determination of the Serum Levels of Matrix Metalloproteinase (MMP-9) and Tissue Inhibitors of Metalloproteinase 1 (TIMP1)
Statistical Analysis
3. Results
3.1. Effect of Honey Extract on Body Weight
3.2. Effects of Honey Extract on Blood Glucose Level (BGLs (mg/dL) and Liver Glycogen (mg/gm Tissue)
3.3. Effects of Honey Extract on SOD (unit/min/mg Protein), Reduced GSH (µmol/gm Wet Tissue) and CAT (µmol/gm Wet Tissue) Activity of Pancreatic Tissue
3.4. Effects of Honey Extract on Serum MMP-9 and TIMP-1
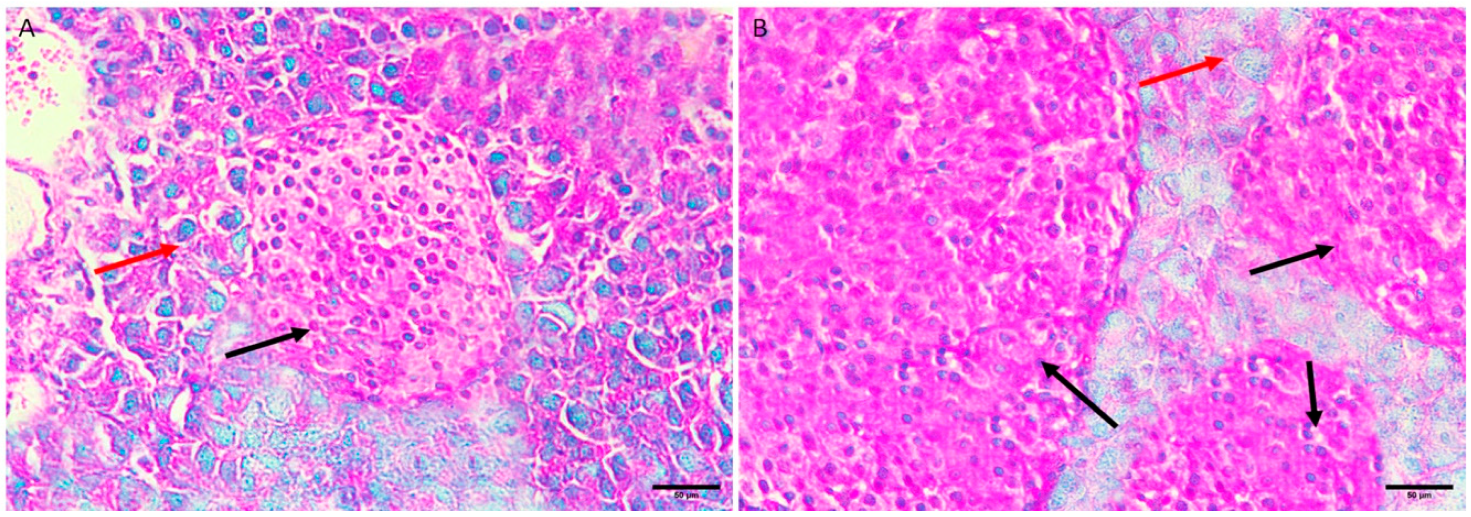
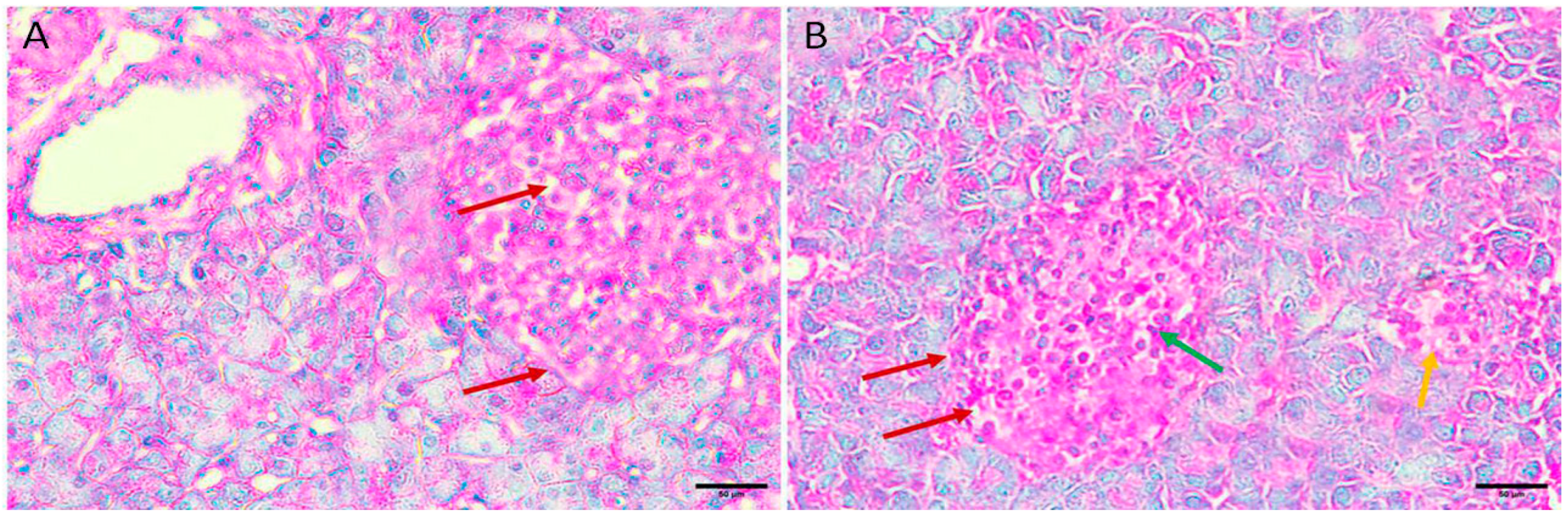
3.5. Histopathological Examination of the Pancreas
3.5.1. Normal Group I
3.5.2. Honey Extract Treated Group II
3.5.3. Diabetic Group III
3.5.4. Diabetic Mice Treated with Insulin 0.5 U/kg/b.wt in Group IV
3.5.5. Diabetic Mice Treated with the Honey Extract 2 mg/kg/b.wt in Group V
4. Discussion
5. Conclusions
Author Contributions
Funding
Institutional Review Board Statement
Data Availability Statement
Acknowledgments
Conflicts of Interest
References
- Rowley, W.R.; Bezold, C.; Arikan, Y.; Byrne, E.; Krohe, S. Diabetes 2030: Insights from Yesterday, Today, and Future Trends. Popul. Health Manag. 2017, 20, 6–12. [Google Scholar] [CrossRef] [PubMed]
- Fan, W. Epidemiology in diabetes mellitus and cardiovascular disease. Cardiovasc. Endocrinol. 2017, 6, 8–16. [Google Scholar] [CrossRef] [PubMed]
- Asif, M. The prevention and control the type-2 diabetes by changing lifestyle and dietary pattern. J. Educ. Health Promot. 2014, 3, 1. [Google Scholar] [CrossRef] [PubMed]
- Li, S.; Wang, J.; Zhang, B.; Li, X.; Li, Y. Diabetes Mellitus and Cause-Specific Mortality: A Population-Based Study Diabetes. Metab. J. 2019, 43, 319–341. [Google Scholar] [CrossRef]
- Zargar, A.H.; Wani, A.I.; Masoodi, S.R.; Laway, B.A.; Bashir, M.I. Mortality in diabetes mellitus—Data from a developing region of the world. Diabetes Res. Clin. Pract. 1999, 43, 67–74. [Google Scholar] [CrossRef]
- Pandey, A.; Tripathi, P.; Pandey, R.; Srivatava, R.; Goswami, S. Alternative therapies useful in the management of diabetes: A systematic review. J. Pharm. Bioallied Sci. 2011, 3, 504–512. [Google Scholar]
- Li, T.; Li, X.; Feng, Y.; Dong, G.; Wang, Y.; Yang, J. The Role of Matrix Metalloproteinase-9 in Atherosclerotic Plaque Instability. Mediat. Inflamm. 2020, 2020, 3872367. [Google Scholar] [CrossRef]
- Uemura, S.; Matsushita, H.; Li, W.; Glassford, A.J.; Asagami, T.; Lee, K.H.; Harrison, D.G.; Tsao, P.S. Diabetes Mellitus Enhances Vascular Matrix Metalloproteinase Activity: Role of Oxidative Stress. Circ. Res. 2001, 88, 1291–1298. [Google Scholar] [CrossRef]
- Cabral-Pacheco, G.A.; Garza-Veloz, I. The Roles of Matrix Metalloproteinases and Their Inhibitors in Human Diseases. Int. J. Mol. Sci. 2020, 21, 9739. [Google Scholar] [CrossRef]
- Papazafiropoulou, A.K.; Tentolouris, N. Matrix metalloproteinases and cardiovascular diseases. Hippokratia 2009, 13, 76–82. [Google Scholar]
- Ayuk, S.M.; Abrahamse, H.; Houreld, N.N. The Role of Matrix Metalloproteinases in Diabetic Wound Healing in relation to Photobiomodulation. J. Diabetes Res. 2016, 2016, 2897656. [Google Scholar] [CrossRef] [PubMed]
- Samarghandian, S.; Farkhondeh, T.; Samini, F. Honey and Health: A Review of Recent Clinical Research. Pharmacogn. Res. 2017, 9, 121–127. [Google Scholar]
- Owen, R.E. Geographical, Entomological and Botanical Origins of Honey. In Honey—Composition and Properties; Intech: London, UK, 2022; p. 106414. [Google Scholar]
- Mureșan, C.I.; Cipcigan, M.C.; Suharoschi, R.; Erler, S.; Mărgăoan, R. Honey botanical origin and honey-specific protein pattern: Characterization of some European honeys. LWT 2022, 154, 112883. [Google Scholar] [CrossRef]
- Omotayo, E.O.; Gurtu, S.; Sulaiman, S.A.; Wahab, M.S.; Sirajudeen, K.N.S.; Salleh, S. Hypoglycemic and Antioxidant Effects of Honey Supplementation in Streptozotocin-induced Diabetic Rats. Int. J. Vitam. Nutr. Res. 2013, 80, 1. [Google Scholar] [CrossRef] [PubMed]
- Bobiş, O.; Dezmirean, D.S.; Moise, A.R. Honey and Diabetes: The Importance of Natural Simple Sugars in Diet for Preventing and Treating Different Type of Diabetes. Oxid. Med. Cell. Longev. 2018, 2018, 4757893. [Google Scholar] [CrossRef]
- Erejuwa, O.O.; Sulaiman, S.A.; Wahab, M.S. Honey—A Novel Antidiabetic Agent. Int. J. Biol. Sci. 2012, 8, 913–934. [Google Scholar] [CrossRef]
- Turski, M.P.; Turska-Kozłowska, M.; Zgrajka, W.; Turski, W.A. Presence of kynurenic acid in food and honeybee products Amino Acids. Amino Acids 2008, 36, 75–80. [Google Scholar] [CrossRef]
- Sahin, H.; Kolayli, S.; Beykaya, M. Investigation of Variations of Invertase and Glucose Oxidase Degrees against Heating and Timing Options in Raw Honeys. J. Chem. 2020, 2020, 5398062. [Google Scholar] [CrossRef]
- Tashkand, H. Honey in wound healing: An updated review. Open Life Sci. 2021, 16, 1091–1100. [Google Scholar] [CrossRef]
- Azman, K.F.; Zakaria, R. Honey as an antioxidant therapy to reduce cognitive ageing. Iran. J. Basic Med. Sci. 2019, 22, 1368–1377. [Google Scholar]
- Mohapatra, D.P.; Thakur, V.; Brar, S.K. Antibacterial Efficacy of Raw and Processed Honey. Biotechnol. Res. Int. 2011, 2011, 917505. [Google Scholar] [CrossRef]
- Helmy, M.H.; Helmy, M.M.; El-Mas, M.M. Enhanced lipoxygenase/LTD4 signaling accounts for the exaggerated hypertensive and nephrotoxic effects of cyclosporine plus indomethacin in rats. Biomed. Pharmacother. 2018, 102, 309–316. [Google Scholar] [CrossRef]
- Mathews, C.E.; Xue, S.; Posgai, A.; Lightfoot, Y.L.; Li, X.; Lin, A.; Wasserfall, C.; Haller, M.J.; Schatz, D.; Atkinson, M.A. Acute Versus Progressive Onset of Diabetes in NOD Mice: Potential Implications for Therapeutic Interventions in Type 1. Diabetes 2015, 64, 3885–3890. [Google Scholar] [CrossRef]
- Almilaibary, A.; Abdallah, E.A.A.; El-Refaei, M.F. Fagonia indica attenuates chromium-induced nephrotoxicity via antioxidant and anti-inflammatory activities in mice. Heliyon 2022, 27, e10373. [Google Scholar] [CrossRef]
- Singleton, J.R.; Smith, A.G.; Bromberg, M.B. Increased prevalence of impaired glucose tolerance in patients with painful sensory neuropathy. Diabetes Care 2001, 24, 1448–1453. [Google Scholar] [CrossRef]
- Xirouchaki, C.E.; Mangiafico, S.P.; Bate, K.; Ruan, Z.; Huang, A.M.; Tedjosiswoyo, B.W.; Lamont, B.; Pong, W.; Favaloro, J.; Blair, A.R.; et al. Impaired glucose metabolism and exercise capacity with muscle-specific glycogen synthase 1 (gys1) deletion in adult mice. Mol. Metab. 2016, 5, 221–232. [Google Scholar] [CrossRef] [PubMed]
- Nishikimi, M.; Rao, N.A.; Yagi, K. The occurrence of superoxide anion in the reaction ofreduced phenazinemethosulfate and molecular oxygen. Biochembiophys. Res. Commun. 1972, 46, 849–854. [Google Scholar] [CrossRef] [PubMed]
- Prins, G.; Loose, J. Glutathione. In Biochemical Methods in Red Cell Genetics; Yunis, J.J., Ed.; Academic Press: New York, NY, USA, 1969; pp. 126–129. [Google Scholar]
- Walton, P.A.; Pizzitelli, M. Effects of peroxisomal catalase inhibition on mitochondrial function. Front. Physiol. 2012, 3, 108. [Google Scholar] [CrossRef] [PubMed]
- El-Refaei, M.F.; El-Naa, M.M. Inhibitory effect of caffeic acid phenethyl ester on mice bearing tumor involving angiostatic and apoptotic activities. Chemico-Biol. Interact. 2010, 186, 152–156. [Google Scholar] [CrossRef] [PubMed]
- Alhomayani, F.K.H.; Alotibi, Y.Z.M.; NasserAlharbi, A.A.; Alsuwat, H.A.M.; Altowairqi, M.H.A.; Alotaibi, H.A.A. Knowledge and attitude toward diabetes mellitus complications in Saudi Arabia; a systematic review. Int. J. Med. Dev. Ctries. 2020, 4, 498–503. [Google Scholar] [CrossRef]
- Azar, W.S.; Njeim, R.; Fares, A.H.; Azar, N.S.; Azar, S.T.; El-Sayed; Eid, A.A. COVID-19 and diabetes mellitus: How one pandemic worsens the other. Rev. Endocr. Metab. Disord. 2020, 21, 451–463. [Google Scholar] [CrossRef] [PubMed]
- Meo, S.A.; Al-Asiri, S.A.; Mahesar, A.; Ansari, M.J. Honey and diabetes mellitus: Obstacles and challenges—Road to be repaired. Saudi J. Biol. Sci. 2017, 24, 1030–1033. [Google Scholar] [CrossRef]
- Reddy, S.H.; Alhabsi, F.S.; Aldohli, H.M.; Almusallami, S.T.; Al Sharji, W.H. A comparative study on the role of Omani honey with various food supplements on diabetes and wound healing. J. King Saud Univ. Sci. 2020, 32, 2122–2128. [Google Scholar]
- Syarifuddin, S.; Hadju, H.; Inriasari, R. Effect of Honey Variation on Blood Glucose Level in Pregnant Wistar Rats (Rattus norvegicus). Maced. J. Med. Sci. 2020, 25, 98–103. [Google Scholar] [CrossRef]
- Somoza, N.; Vargas, F.; Roura-Mir, C.; Vives-Pi, M.; Fernández-Figueras, M.T.; Ariza, A.; Gomis, R.; Bragado, R.; Marti, M.; Jaraquemada, D. Pancreas in recent onset insulin-dependent diabetes mellitus. J. Immunol. 1994, 15, 1360–1377. [Google Scholar] [CrossRef]
- Serreze, D.V.; Gaskins, H.R.; Leiter, E.H. Defects in the differ- entiation and function of antigen presenting cells in NOD/Lt mice. J. Immunol. 1993, 150, 2534–2543. [Google Scholar] [CrossRef]
- Zhang, J.; Cao, W.; Zhao, H.; Guo, S.; Wang, Q.; Cheng, N.; Bai, N. Protective Mechanism of Fagopyrum esculentum Moench. Bee Pollen EtOH Extract Against Type II Diabetes in a High-Fat Diet/Streptozocin-Induced C57BL/6J Mice. Front. Nutr. 2022, 9, 925351. [Google Scholar] [CrossRef] [PubMed]
- Papachristoforou, E.; Lambadiari, V.; Maratou, E.; Makrilakis, K. Association of Glycemic Indices (Hyperglycemia, Glucose Variability, and Hypoglycemia) with Oxidative Stress and Diabetic Complications. J. Diabetes Res. 2020, 2020, 7489795. [Google Scholar] [CrossRef] [PubMed]
- Rumpagaporn, P.; Reuhs, B.L.; Kaur, A.; Patterson, J.A.; Keshavarzian, A.; Hamaker, B.R. Structural features of soluble cereal arabinoxylan fibers associated with a slow rate of in vitro fermentation by human fecal microbiota. Carbohydr. Polym. 2015, 130, 191–197. [Google Scholar] [CrossRef]
- Galal, R.M.; Zaki, H.F.; Seif El-Nasr, M.M.; Agha, A.M. Potential protective effect of honey against paracetamol-induced hepatotoxicity. Arch. Iran. Med. 2012, 15, 674–680. [Google Scholar]
- Kaya, E.; Yılmaz, S.; Ceribasi, S. Protective role of propolis on low and high dose furan-induced hepatotoxicity and oxidative stress in rats. J. Vet. Res. 2019, 63, 423–431. [Google Scholar] [CrossRef]
- Yildirim, N.; Sahin, A.; Erol, N.; Kara, S.; Uslu, S.; Topbas, S. The relationship between plasma MMP-9 and TIMP-2 levels and intraocular pressure elevation in diabetic patients after intravitreal triamcinolone injection. J. Glaucoma 2008, 17, 253–256. [Google Scholar] [CrossRef] [PubMed]
- Brew, K.; Dinakarpandian, D.; Nagase, H. Tissue inhibitors of metalloproteinases: Evolution, structure and function. Biochim. Biophys. Acta 2000, 1477, 267–283. [Google Scholar] [CrossRef]
- Papadopoulou-Marketou, N.; Whiss, P.A.; Eriksson, A.C.; Hyllienmark, L.; Papassotiriou, I.; Wahlberg, J. Plasma levels of tissue inhibitor of metalloproteinase-1 in patients with type 1 diabetes mellitus associate with early diabetic neuropathy and nephropathy. Diab. Vasc. Dis. Res. 2021, 18, 14791641211002470. [Google Scholar] [CrossRef]
- Kowluru, R.A. Role of matrix metalloproteinase-9 in the development of diabetic retinopathy and its regulation by H-Ras. Investig. Ophthalmol. Vis. Sci. 2010, 51, 4320–4326. [Google Scholar] [CrossRef] [PubMed]
- Maxwell, P.R.; Timms, P.M.; Chandran, S.; Gordon, D. Peripheral blood level alterations of TIMP-1, MMP-2 and MMP-9 in patients with Type 1 diabetes. Diabet. Med. 2001, 18, 777–780. [Google Scholar] [CrossRef] [PubMed]
- EL-Kordy, E.; Alshahrani, A.M. Effect of genistein, a natural soy isoflavone, on pancreatic β-cells of streptozotocin-induced diabetic rats: Histological and immunohistochemical study. J. Microsc. Ultrastruct. 2015, 3, 108–119. [Google Scholar] [CrossRef]





| Groups | Group I Normal Control | Group II Normal and Extract Treated | Group III Diabetic | Group IV Diabetic and Insulin Treated | Group V Diabetic and Extract Treated |
|---|---|---|---|---|---|
| Initial Weight (gm) Day 1 | 24.1 ± 0.54 | 24.3 ± 0.34 | 24.8 ± 0.55 | 24.2 ± 0.42 | 24.6 ± 0.52 |
| 7 days after STZ injection (gm) Day 22 | 25.7 ± 0.56 | 24.9 ± 0.21 | 19.9 ± 0.46 ab | 18.7 ± 0.96 ab | 19.6 ± 0.43 ab |
| Weight after 24 days of treatment (gm) Day 46 | 26.4 ± 0.55 | 26.2 ± 0.19 | 17.6 ± 0.42 ab | 23.4 ± 0.57 abc | 22.8 ± 0.48 abc |
| Groups | Group I Normal Control | Group II Normal and Extract Treated | Group III Diabetic | Group IV Diabetic and Insulin Treated | Group V Diabetic and Extract Treated |
|---|---|---|---|---|---|
| Glucose mg/dL | 94 ± 3.42 | 96 ± 5.27 | 233 ± 6.72 ab | 132 ± 6.45 abc | 149 ± 4.63 abc |
| Glycogen mg/gm tissue | 7.13 ± 0.16 | 6.92 ± 0.11 | 4.6 ± 0.18 ab | 7.06 ± 0.29 c | 6.86 ± 0.13 c |
| Groups | Group I Normal Control | Group II Normal and Extract Treated | Group III Diabetic | Group IV Diabetic and Insulin Treated | Group V Diabetic and Extract Treated |
|---|---|---|---|---|---|
| SOD unit/min/mg protein | 265 ± 2.38 | 246 ± 4.31 a | 198 ± 2.18 ab | 242 ± 3.16 ac | 238 ± 2.26 ac |
| GSH µmol/gm wet tissue | 494 ± 12.9 | 479 ± 17.1 | 404 ± 15.2 ab | 483 ± 13.4 c | 471 ± 13.4 c |
| CAT µmol/gm wet tissue | 273 ± 5.41 | 266 ± 3.11 | 146 ± 7.74 ab | 253 ± 8.1 c | 249 ± 6.3 c |
| Groups | Group I Normal Control | Group II Normal and Extract Treated | Group III Diabetic | Group IV Diabetic and Insulin Treated | Group V Diabetic and Extract Treated |
|---|---|---|---|---|---|
| MMP-9 ng/mL | 45.36 ± 1.85 | 43.56 ± 2.1 | 99.52 ± 2.88 a | 52.39 ± 1.36 c | 57.46 ± 2.34 abc |
| TMP-1 ng/mL | 3.76 ± 0.07 | 4.1 ± 0.03 | 1.89 ± 0.09 ab | 3.23 ± 0.12 ac | 3.33 ± 0.11 ac |
Disclaimer/Publisher’s Note: The statements, opinions and data contained in all publications are solely those of the individual author(s) and contributor(s) and not of MDPI and/or the editor(s). MDPI and/or the editor(s) disclaim responsibility for any injury to people or property resulting from any ideas, methods, instructions or products referred to in the content. |
© 2023 by the authors. Licensee MDPI, Basel, Switzerland. This article is an open access article distributed under the terms and conditions of the Creative Commons Attribution (CC BY) license (https://creativecommons.org/licenses/by/4.0/).
Share and Cite
Alghamdi, A.H.; Shatla, I.M.; Shreed, S.; Khirelsied, A.H.; El-Refaei, M.F. Bee Honey Extract Attenuates Hyperglycemia in Induced Type 1 Diabetes: Impact of Antioxidant and Angiogenesis Activities on Diabetic Severity In Vivo. Appl. Sci. 2023, 13, 8045. https://doi.org/10.3390/app13148045
Alghamdi AH, Shatla IM, Shreed S, Khirelsied AH, El-Refaei MF. Bee Honey Extract Attenuates Hyperglycemia in Induced Type 1 Diabetes: Impact of Antioxidant and Angiogenesis Activities on Diabetic Severity In Vivo. Applied Sciences. 2023; 13(14):8045. https://doi.org/10.3390/app13148045
Chicago/Turabian StyleAlghamdi, Ahmed H., Ibrahim M. Shatla, Soliman Shreed, Atif H. Khirelsied, and Mohamed F. El-Refaei. 2023. "Bee Honey Extract Attenuates Hyperglycemia in Induced Type 1 Diabetes: Impact of Antioxidant and Angiogenesis Activities on Diabetic Severity In Vivo" Applied Sciences 13, no. 14: 8045. https://doi.org/10.3390/app13148045
APA StyleAlghamdi, A. H., Shatla, I. M., Shreed, S., Khirelsied, A. H., & El-Refaei, M. F. (2023). Bee Honey Extract Attenuates Hyperglycemia in Induced Type 1 Diabetes: Impact of Antioxidant and Angiogenesis Activities on Diabetic Severity In Vivo. Applied Sciences, 13(14), 8045. https://doi.org/10.3390/app13148045

