Absence of Progressive Bone Loss Following Peri-Implantitis Surgical Therapy with Implantoplasty: A Case Series
Abstract
1. Introduction
2. Materials and Methods
Data Collection
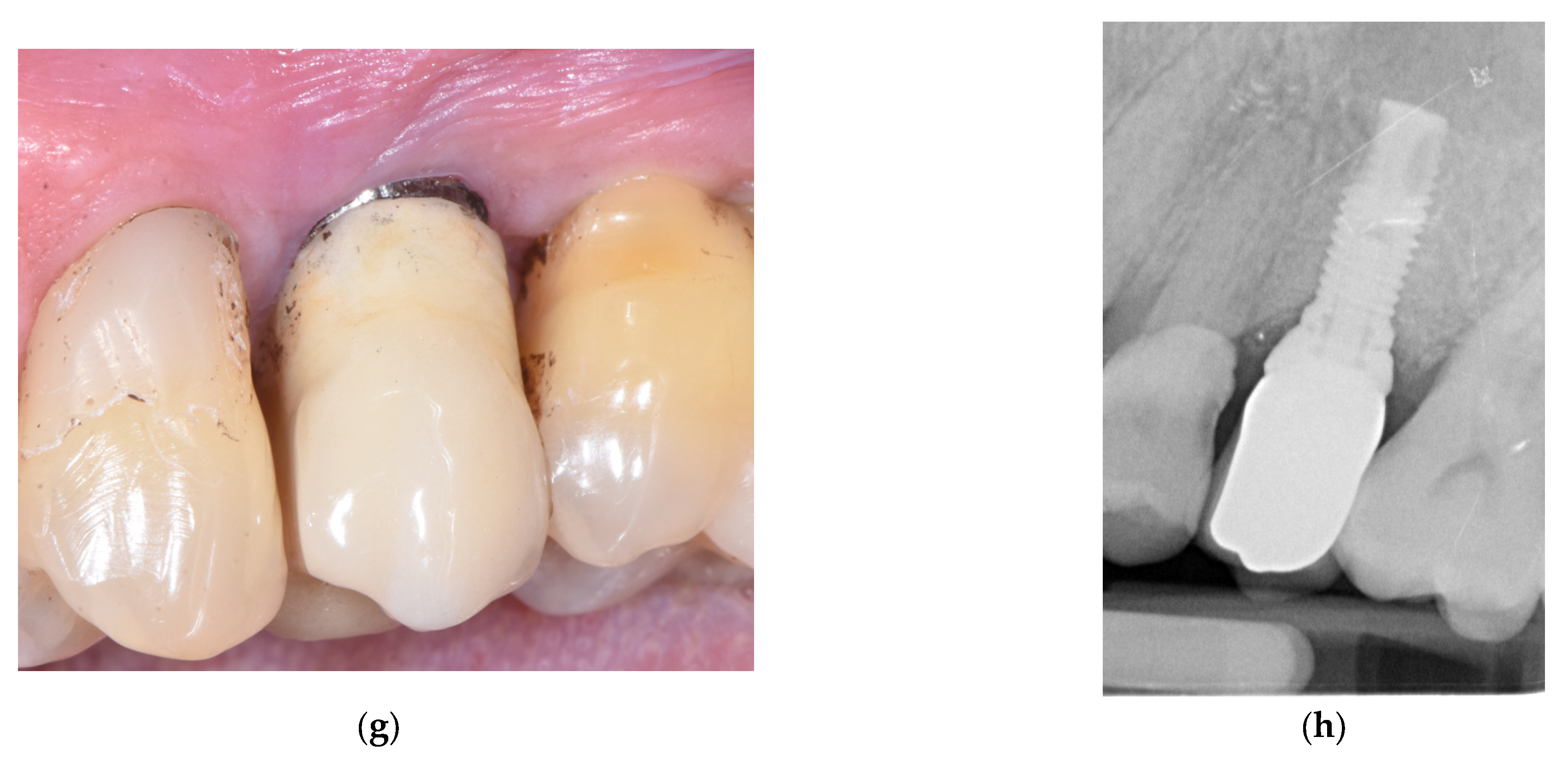
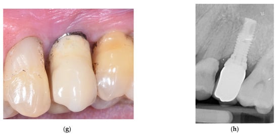
3. Results
3.1. Demographic Data
3.2. Absence of Progressive Marginal Bone Loss (MBL) at Implant Level
3.3. Absence of Progressive Marginal Bone Loss (MBL) at Patient Level
4. Discussion
5. Conclusions
Author Contributions
Funding
Institutional Review Board Statement
Informed Consent Statement
Data Availability Statement
Conflicts of Interest
References
- Berglundh, T.; Armitage, G.; Araujo, M.G.; Avila-Ortiz, G.; Blanco, J.; Camargo, P.M.; Chen, S.; Cochran, D.; Derks, J.; Figuero, E.; et al. Peri-implant disease and conditions: Consensus report of workgroup 4 of the 2017 world workshop on the classification of periodontal and peri-implant disease and conditions. J. Clin. Periodontol. 2018, 45, S286–S291. [Google Scholar] [CrossRef]
- Butera, A.; Pascadopoli, M.; Pellegrini, M.; Gallo, S.; Zampetti, P.; Scribante, A. Oral Microbiota in Patients with Peri-Implant Disease: A Narrative Review. Appl. Sci. 2022, 12, 3250. [Google Scholar] [CrossRef]
- Rakic, M.; Galindo-Moreno, P.; Monje, A.; Radovanovic, S.; Wang, H.L.; Cochran, D.; Sculean, A.; Canullo, L. How frequent does peri-implantitis occur? A systematic review and meta-analysis. Clin. Oral Investig. 2018, 22, 1805–1816. [Google Scholar] [CrossRef] [PubMed]
- Schwarz, F.; Derks, J.; Monje, A.; Wang, H.L. Peri-implantitis. J. Periodontol. 2018, 89 (Suppl. S1), S267–S290. [Google Scholar] [CrossRef] [PubMed]
- Khoury, F.; Keeve, P.L.; Ramanauskaite, A.; Schwarz, F.; Koo, K.T.; Sculean, A.; Romanos, G. Surgical treatment of peri-implantitis—Consensus report of working group 4. Int. Dent. J. 2019, 69 (Suppl. S2), 18–22. [Google Scholar] [CrossRef] [PubMed]
- Renvert, S.; Roos-Jansåker, A.M.; Claffey, N. Non-surgical treatment of peri-implant mucositis and peri-implantitis: A literature review. J. Clin. Periodontol. 2008, 35 (Suppl. S8), 305–315. [Google Scholar] [CrossRef]
- Monje, A.; Amerio, E.; Cha, J.K.; Kotsakis, G.; Pons, R.; Renvert, S.; Sanz-Martin, I.; Schwarz, F.; Sculean, A.; Stavropoulos, A.; et al. Strategies for implant surface decontamination in peri-implantitis therapy. Int. J. Oral Implantol. 2022, 15, 213–248. [Google Scholar]
- Esteves Lima, R.P.; Abreu, L.G.; Belém, F.V.; Pereira, G.H.M.; Brant, R.A.; Costa, F.O. Is Implantoplasty Efficacious at Treating Peri-Implantitis? A Systematic Review and Meta-Analysis. J. Oral Maxillofac. Surg. 2021, 79, 2270–2279. [Google Scholar] [CrossRef]
- Lin, C.Y.; Chen, Z.; Chiang, H.L.; Pan, W.L.; Wang, H.L. The Impact of Implantoplasty in Regenerated and Nonregenerated Treatment Modalities in Peri-implantitis: A Systematic Review and Meta-analysis. Int. J. Oral Maxillofac. Implant. 2022, 37, 859–868. [Google Scholar] [CrossRef]
- Galarraga-Vinueza, M.E.; Obreja, K.; Magini, R.; Sculean, A.; Sader, R.; Schwarz, F. Volumetric assessment of tissue changes following combined surgical therapy of peri-implantitis: A pilot study. J. Clin. Periodontol. 2020, 47, 1159–1168. [Google Scholar] [CrossRef]
- Rimondini, L.; Farè, S.; Brambilla, E.; Felloni, A.; Consonni, C.; Brossa, F.; Carrassi, A. The effect of surface roughness on early in vivo plaque colonization on titanium. J. Periodontol. 1997, 68, 556–562. [Google Scholar] [CrossRef]
- Azzola, F.; Ionescu, A.C.; Ottobelli, M.; Cavalli, N.; Brambilla, E.; Corbella, S.; Francetti, L. Biofilm Formation on Dental Implant Surface Treated by Implantoplasty: An In Situ Study. Dent. J. 2020, 8, 40. [Google Scholar] [CrossRef]
- Toma, S.; Behets, C.; Brecx, M.C.; Lasserre, J.F. In Vitro Comparison of the Efficacy of Peri-Implantitis Treatments on the Removal and Recolonization of Streptococcus gordonii Biofilm on Titanium Disks. Materials 2018, 11, 2484. [Google Scholar] [CrossRef]
- Albrektsson, T.; Wennerberg, A. Oral implant surfaces: Part 1--review focusing on topographic and chemical properties of different surfaces and in vivo responses to them. Int. J. Prosthodont. 2004, 17, 536–543. [Google Scholar]
- Wennerberg, A.; Albrektsson, T. Suggested guidelines for the topographic evaluation of implant surfaces. Int. J. Oral Maxillofac. Implant. 2000, 15, 331–344. [Google Scholar]
- Ramel, C.F.; Lüssi, A.; Özcan, M.; Jung, R.E.; Hämmerle, C.H.; Thoma, D.S. Surface roughness of dental implants and treatment time using six different implantoplasty procedures. Clin. Oral Implant. Res. 2016, 27, 776–781. [Google Scholar] [CrossRef]
- Toma, S.; Lasserre, J.; Brecx, M.C.; Nyssen-Behets, C. In vitro evaluation of peri-implantitis treatment modalities on Saos-2osteoblasts. Clin. Oral Implant. Res. 2016, 27, 1085–1092. [Google Scholar] [CrossRef]
- Carcuac, O.; Derks, J.; Abrahamsson, I.; Wennström, J.L.; Berglundh, T. Risk for recurrence of disease following surgical therapy of peri-implantitis-A prospective longitudinal study. Clin. Oral Implant. Res. 2020, 31, 1072–1077. [Google Scholar] [CrossRef]
- Persson, L.G.; Berglundh, T.; Lindhe, J.; Sennerby, L. Re-osseointegration after treatment of peri-implantitis at different implant surfaces. An experimental study in the dog. Clin. Oral Implant. Res. 2001, 12, 595–603. [Google Scholar] [CrossRef]
- Almohandes, A.; Carcuac, O.; Abrahamsson, I.; Lund, H.; Berglundh, T. Re-osseointegration following reconstructive surgical therapy of experimental peri-implantitis. A pre-clinical in vivo study. Clin. Oral Implant. Res. 2019, 30, 447–456. [Google Scholar] [CrossRef]
- Namgoong, H.; Kim, M.D.; Ku, Y.; Rhyu, I.C.; Lee, Y.M.; Seol, Y.J.; Gu, H.J.; Susin, C.; Wikesjö, U.M.; Koo, K.T. Bone reconstruction after surgical treatment of experimental peri-implantitis defects at a sandblasted/acid-etched hydroxyapatite-coated implant: An experimental study in the dog. J. Clin. Periodontol. 2015, 42, 960–966. [Google Scholar] [CrossRef] [PubMed]
- Brincat, A.; Dumas, C.; Melloul, S.; Monnet-Corti, V. Péri-implantites: Protocoles de traitements. Implantaire 2020, 26, 1–14. [Google Scholar]
- de Tapia, B.; Valles, C.; Ribeiro-Amaral, T.; Mor, C.; Herrera, D.; Sanz, M.; Nart, J. The adjunctive effect of a titanium brush in implant surface decontamination at peri-implantitis surgical regenerative interventions: A randomized controlled clinical trial. J. Clin. Periodontol. 2019, 46, 586–596. [Google Scholar] [CrossRef] [PubMed]
- González, F.J.; Requena, E.; Miralles, L.; Sanz, J.L.; Barberá, J.; Enciso, J.J.; Larrazábal, C.; Gómez, M.D. Adjuvant Effect of Titanium Brushes in Peri-Implant Surgical Treatment: A Systematic Review. Dent. J. 2021, 9, 84. [Google Scholar] [CrossRef] [PubMed]
- Monje, A.; Pons, R.; Insua, A.; Nart, J.; Wang, H.L.; Schwarz, F. Morphology and severity of peri-implantitis bone defects. Clin. Implant Dent. Relat. Res. 2019, 21, 635–643. [Google Scholar] [CrossRef] [PubMed]
- Tastepe, C.S.; van Waas, R.; Liu, Y.; Wismeijer, D. Air powder abrasive treatment as an implant surface cleaning method: A literature review. Int. J. Oral Maxillofac. Implant. 2012, 27, 1461–1473. [Google Scholar]
- Matsubara, V.H.; Leong, B.W.; Leong, M.J.L.; Lawrence, Z.; Becker, T.; Quaranta, A. Cleaning potential of different air abrasive powders and their impact on implant surface roughness. Clin. Implant Dent. Relat. Res. 2020, 22, 96–104. [Google Scholar] [CrossRef]
- Valderrama, P.; Wilson, T.G. Detoxification of implant surfaces affected by peri-implant disease: An overview of surgical methods. Int. J. Dent. 2013, 2013, 740680. [Google Scholar] [CrossRef]
- Barrak, I.; Baráth, Z.; Tián, T.; Venkei, A.; Gajdács, M.; Urbán, E.; Stájer, A. Effects of different decontaminating solutions used for the treatment of peri-implantitis on the growth of Porphyromonas gingivalis-an in vitro study. Acta Microbiol. Immunol. Hung. 2020; online ahead of print. [Google Scholar] [CrossRef]
- Soler, M.D.; Hsu, S.-M.; Fares, C.; Ren, F.; Jenkins, R.J.; Gonzaga, L.; Clark, A.E.; O’Neill, E.; Neal, D.; Esquivel-Upshaw, J.F. Titanium Corrosion in Peri-Implantitis. Materials 2020, 13, 5488. [Google Scholar] [CrossRef]
- Mombelli, A.; Hashim, D.; Cionca, N. What is the impact of titanium particles and biocorrosion on implant survival and complications? A critical review. Clin. Oral Implant. Res. 2018, 29 (Suppl. S18), 37–53. [Google Scholar] [CrossRef]
- Monje, A.; Pons, R.; Amerio, E.; Wang, H.L.; Nart, J. Resolution of peri-implantitis by means of implantoplasty as adjunct to surgical therapy: A retrospective study. J. Periodontol. 2022, 93, 110–122. [Google Scholar] [CrossRef]
- Lasserre, J.F.; Brecx, M.C.; Toma, S. Implantoplasty Versus Glycine Air Abrasion for the Surgical Treatment of Peri-implantitis: A Randomized Clinical Trial. Int. J. Oral Maxillofac. Implant. 2020, 35, 197–206. [Google Scholar] [CrossRef]
- Romeo, E.; Ghisolfi, M.; Murgolo, N.; Chiapasco, M.; Lops, D.; Vogel, G. Therapy of peri-implantitis with resective surgery. A 3-year clinical trial on rough screw-shaped oral implants. Part I: Clinical outcome. Clin. Oral Implant. Res. 2005, 16, 9–18. [Google Scholar] [CrossRef]
- Romeo, E.; Lops, D.; Chiapasco, M.; Ghisolfi, M.; Vogel, G. Therapy of peri-implantitis with resective surgery. A 3-year clinical trial on rough screw-shaped oral implants. Part II: Radiographic outcome. Clin. Oral Implant. Res. 2007, 18, 179–187. [Google Scholar] [CrossRef]
- Dalago, H.R.; Perrotti, V.; Torres de Freitas, S.F.; Ferreira, C.F.; Piattelli, A.; Iaculli, F.; Bianchini, M.A. Prospective longitudinal comparison study of surgical therapies for peri-implantitis: 3-year follow-up. Aust. Dent. J. 2019, 64, 237–245. [Google Scholar] [CrossRef]
- Ravidà, A.; Siqueira, R.; Saleh, I.; Saleh, M.H.A.; Giannobile, A.; Wang, H.L. Lack of Clinical Benefit of Implantoplasty to Improve Implant Survival Rate. J. Dent. Res. 2020, 99, 1348–1355. [Google Scholar] [CrossRef]
- Englezos, E.; Cosyn, J.; Koole, S.; Jacquet, W.; De Bruyn, H. Resective Treatment of Peri-implantitis: Clinical and Radiographic Outcomes After 2 Years. Int. J. Periodontics Restor. Dent. 2018, 38, 729–735. [Google Scholar] [CrossRef]
- Matarasso, S.; Iorio Siciliano, V.; Aglietta, M.; Andreuccetti, G.; Salvi, G.E. Clinical and radiographic outcomes of a combined resective and regenerative approach in the treatment of peri-implantitis: A prospective case series. Clin. Oral Implant. Res. 2014, 25, 761–767. [Google Scholar] [CrossRef]
- Bianchini, M.A.; Galarraga-Vinueza, M.E.; Bedoya, K.A.; Correa, B.B.; de Souza Magini, R.; Schwarz, F. Implantoplasty Enhancing Peri-implant Bone Stability Over a 3-Year Follow-up: A Case Series. Int. J. Periodontics Restor. Dent. 2020, 40, e1–e8. [Google Scholar] [CrossRef]
- Bianchini, M.A.; Galarraga-Vinueza, M.E.; Apaza-Bedoya, K.; De Souza, J.M.; Magini, R.; Schwarz, F. Two to six-year disease resolution and marginal bone stability rates of a modified resective-implantoplasty therapy in 32 peri-implantitis cases. Clin. Implant. Dent. Relat. Res. 2019, 21, 758–765. [Google Scholar] [CrossRef] [PubMed]
- Nart, J.; de Tapia, B.; Pujol, À.; Pascual, A.; Valles, C. Vancomycin and tobramycin impregnated mineralized allograft for the surgical regenerative treatment of peri-implantitis: A 1-year follow-up case series. Clin. Oral Investig. 2018, 22, 2199–2207. [Google Scholar] [CrossRef] [PubMed]
- Suh, J.J.; Simon, Z.; Jeon, Y.S.; Choi, B.G.; Kim, C.K. The use of implantoplasty and guided bone regeneration in the treatment of peri-implantitis: Two case reports. Implant Dent. 2003, 12, 277–282. [Google Scholar] [CrossRef] [PubMed]
- Austoni, C.; Azzola, F.; Cavalli, N.; Morandi, P.; Francetti, L. Implantoplasty associated with the regenerative treatment of peri-implantitis. Dent. Cadmos 2019, 87, 262–269. [Google Scholar] [CrossRef]
- Sapata, V.M.; de Souza, A.B.; Sukekava, F.; Villar, C.C.; César Neto, J.B. Multidisciplinary Treatment for Peri-Implantitis: A 24-Month Follow-Up Case Report. Clin. Adv. Periodontics 2016, 6, 76–82. [Google Scholar] [CrossRef]
- Pommer, B.; Haas, R.; Mailath-Pokorny, G.; Fürhauser, R.; Watzek, G.; Busenlechner, D.; Müller-Kern, M.; Kloodt, C. Periimplantitis Treatment: Long-Term Comparison of Laser Decontamination and Implantoplasty Surgery. Implant Dent. 2016, 25, 646–649. [Google Scholar] [CrossRef]
- Monje, A.; Pons, R.; Vilarrasa, J.; Nart, J.; Wang, H.L. Significance of barrier membrane on the reconstructive therapy of peri-implantitis: A randomized controlled trial. J. Periodontol. 2022, 94, 323–335. [Google Scholar] [CrossRef]










| Class I | Class II | Class III | |
|---|---|---|---|
| N (implants) = 91 | 13 | 50 | 28 |
| % | 14 | 55 | 31 |
| Procedure | Reconstructive | Apically repositioned flap | Combined |
| Reconstructive | Apically Repositioned Flap | Combined | Total | |
|---|---|---|---|---|
| Failure (implant) | 0 | 2 | 1 | 3 |
| Failure (patient) | 0 | 1 | 1 | 2 |
| Absence of marginal bone loss rate (implant level) | 100% | 92.9% | 98% | 96.7% |
| Absence of marginal bone loss rate (patient level-) | 100% | 98.2% | 98.2% | 96.5% |
Disclaimer/Publisher’s Note: The statements, opinions and data contained in all publications are solely those of the individual author(s) and contributor(s) and not of MDPI and/or the editor(s). MDPI and/or the editor(s) disclaim responsibility for any injury to people or property resulting from any ideas, methods, instructions or products referred to in the content. |
© 2023 by the authors. Licensee MDPI, Basel, Switzerland. This article is an open access article distributed under the terms and conditions of the Creative Commons Attribution (CC BY) license (https://creativecommons.org/licenses/by/4.0/).
Share and Cite
Brincat, A.; Antezack, A.; Sadowski, C.; Faure-Brac, M.; Ohanessian, R.; Monnet-Corti, V. Absence of Progressive Bone Loss Following Peri-Implantitis Surgical Therapy with Implantoplasty: A Case Series. Appl. Sci. 2023, 13, 7224. https://doi.org/10.3390/app13127224
Brincat A, Antezack A, Sadowski C, Faure-Brac M, Ohanessian R, Monnet-Corti V. Absence of Progressive Bone Loss Following Peri-Implantitis Surgical Therapy with Implantoplasty: A Case Series. Applied Sciences. 2023; 13(12):7224. https://doi.org/10.3390/app13127224
Chicago/Turabian StyleBrincat, Arthur, Angéline Antezack, Camille Sadowski, Mathias Faure-Brac, Romain Ohanessian, and Virginie Monnet-Corti. 2023. "Absence of Progressive Bone Loss Following Peri-Implantitis Surgical Therapy with Implantoplasty: A Case Series" Applied Sciences 13, no. 12: 7224. https://doi.org/10.3390/app13127224
APA StyleBrincat, A., Antezack, A., Sadowski, C., Faure-Brac, M., Ohanessian, R., & Monnet-Corti, V. (2023). Absence of Progressive Bone Loss Following Peri-Implantitis Surgical Therapy with Implantoplasty: A Case Series. Applied Sciences, 13(12), 7224. https://doi.org/10.3390/app13127224

