Featured Application
This pre-clinical study determines the relative accuracy of micro-focus X-ray imaging (MFXI) compared to handheld clinical ultrasound imaging for locating small glass foreign bodies (FBs) in soft tissue.
Abstract
Foreign bodies are found in as many as 15% of traumatic wounds. Point of Care ultrasound (POCUS) is now considered reliable for detecting FBs in wounds. Unfortunately, up to 38% of these FBs are initially missed, resulting in infections, delayed wound healing, and loss of function. Microfocus X-ray imaging (MFXI) has a significantly higher resolution (up to 100×) than conventional X-ray imaging. Therefore, it can potentially be used for Point of Care diagnostics. Up to seven glass fragments smaller than 2.5 mm were embedded in each of the 58 chicken wings and thighs. Two control samples were prepared with no glass fragments. Five emergency medicine physicians with ultrasound training imaged the samples with a Butterfly iQ+ at 1 to 10 MHz center frequencies and counted the glass pieces. This device is an example of handheld PCUS equipment that is particularly valuable in resource-limited areas and austere settings where portability is a significant factor. The same five physicians counted the number of foreign bodies in each X-ray image. The physicians were not trained to read micro-focus X-ray images but had read standard X-rays regularly as part of their medical practice and had at least 3 years of hands-on clinical practice using POCUS. Across physicians and samples, raters correctly identified an average of 97.6% of FBs using MFXI (96.5% interrater reliability) and 62.3% of FBs using POCUS (70.8% interrater reliability).
1. Introduction
In 2016 nearly 146 million patients sought treatment in emergency departments (ED’s) in the United States. More than 10.5 million (7.2%) of these patients presented with injuries to the extremities, and 4.6 million (3.2%) of these had open wounds of the extremities [1]. Broken glass-induced injuries account for 13% of patients with traumatic wounds [2]. While no published articles explicitly enumerated the total number of broken glass-induced injuries in the US, the authors estimated the prevalence of these injuries by applying the reported rates (4.6 × 106 × 13% ≈ 600,000 injuries per year). Of course, this represents an approximation because the authors employed rates derived from different sources. While this number only represents a small percentage of the total number of annual ED visits, it still is a significant number of cases fraught with potential liability and the possibility of attracting malpractice suits. Kaiser et al. [3] reviewed closed malpractice claims in Massachusetts from 1988 to 1994 and reported that of all cases involving retained FBs, 53% were glass fragments. Only 31% of patients underwent X-ray imaging as part of their wound evaluation: for those who were imaged, 5 of 6 glass FBs (83%) remained undiscovered and undiagnosed. Among physicians who were sued, 60% of those who failed to take initial radiographs lost their cases, either in court or by settlement; furthermore, indemnity payouts were significantly increased for cases in which the physician failed to image the patient [3]. When treating a patient with a wound that may contain FBs, such as broken glass, standard emergency medicine practice requires that the practitioner evaluate the patient by taking a detailed history, performing a physical examination, and obtaining imaging. Most practitioners and facilities will get conventional radiographs to screen for glass FBs. Radiopaque objects, such as metal pieces, are easier to detect than more radiolucent objects, such as glass, which can often be missed [4,5,6]. The accuracy of detection of glass FBs by standard X-ray is generally not dependent on the type or chemical composition of the glass. In a study of 430 patients by Montano et al. [7], window and bottle glass account for 30% and 25% of all cases, respectively. Although these glass types are relatively low density (in comparison to lead-oxide glasses), these glass FBs can be detected by conventional radiographs.
The probability of detection is more dependent on the size of the FBs. The likelihood of detecting glass FBs with a more than 2 mm diameter approaches 99% using conventional X-rays. For smaller glass FBs that are >1 mm and >0.5 mm, the likelihood of detection decreases to 84% and 61%, respectively [8]. Unfortunately, many glass FBs in wounds are smaller, resulting in a ‘missed foreign body’ rate of up to 50% after a physical examination and radiographs increasing the probability of wound infection, complications, poor clinical outcomes, and legal liability [3].
Most wounds treated in the ED that contain glass FBs are hand injuries, where infection, complication, and poor clinical outcomes have more significant consequences for the patient whose hands are vital to their occupational and personal functioning [9]. The complex bone structure of the hand further complicates accurate X-ray imaging of these very small pieces of glass.
Point of Care testing (POCT) is increasingly becoming desirable and trenchant in multiple clinical settings, including EDs, Urgent Care Centers, and various austere medical settings. POCT increases the efficiency of patient care in these settings, decreasing patient waiting times and increasing patient satisfaction while improving clinicians’ ability to make diagnoses and provide treatment without requiring the input of off-site specialists. The quality of standard ultrasound machines used in most emergency departments (non-hand-held devices) is generally superior to available hand-held devices. However, the study focused on resource-limited areas and austere settings where portability is a significant factor. For example, hand-held u/s devices today are used in rural Africa, up on Mt. Everest, and this summer, launching into space with NASA; these places would not be as readily feasible with a traditional bulkier and more costly machine. Thus, the study looked at two portable imaging modalities. An MXFI device is small, light, and can easily be taken to the patient’s bedside for POCT. Portable ultrasound equipment like the Butterfly iQ used for this research is much less expensive than standard X-ray devices. It allows the clinician to examine the patient at the bedside instead of requiring that the sick or injured patient be transported to the radiology suite.
The cost for the latest model of the Butterfly iQ+ is less than $3000 plus the cost of a smartphone or tablet. In contrast, the cost for non-hand-held ultrasound machines is between $40,000 and $100,000. The cost for hand-held X-ray imagers is similar.
POCT can involve blood and urine testing as well as imaging. As more Emergency Medicine clinicians gain skills in using POCUS, and as ultrasound devices become smaller, more portable, and less expensive, POCUS is increasingly perceived as a powerful and clinically useful modality for diagnosing and initiating patient treatment at the bedside. For instance, the value of POCUS has been highlighted during the current SARS-CoV-2 pandemic; POCUS has been shown to be able to identify patients with significant and concerning pulmonary involvement at the first point of clinical evaluation, thus permitting rapid triage and initiation of appropriate treatment.
In some clinical circumstances, POCUS is now considered the Standard of Care. One of these is in the identification of FBs in wounds [6,10]. POCUS has demonstrated significant efficacy and accuracy in detecting radioopaque and radiolucent FBs in wounds. Several studies have reported that radiolucent objects are poorly visualized by X-ray with sensitivities of less than 10%; some glass and almost all wooden FBs are radiolucent [11,12]. POCUS, employing high-resolution devices, successfully detected wood and thorns with great accuracy. In an analysis of 120 patients with wood and thorn FBs in their wounds, trained practitioners using high-resolution POCUS devices identified wood FBs and thorns with a 94.5% sensitivity and a 53.8% specificity [13]. However, size remained an issue, as larger wooden objects were more easily detected with POCUS; objects smaller than 2.5 mm were often missed [14].
Furthermore, several ultrasound-guided soft tissue foreign body removal techniques have been developed [15,16,17,18].
POCUS continues to evolve with lighter probes offering increased resolution at decreasing prices, thus bringing radiological imaging to remote and extreme environments, such as rural Africa, on top of Mount Everest, Antarctica, and this summer in space with NASA [19,20,21]. In 2020, the WHO published several guidelines and handbooks on using portable medical imaging in the context of the COVID-19 pandemic, TB, and pneumonia [22].
Traditional mainstream portable X-ray devices are cumbersome, weighing hundreds to thousands of pounds. In the past few years, the market has seen new innovative, lightweight X-ray devices, including Micro C (Oxos; Atlanta, GA, USA), Maven Handheld (Maven Imaging; Aliso Viejo, CA, USA), and Smart-C (Turner Imaging Systems; Orem, UT, USA). To date, there has not been published peer-reviewed data on these systems. New studies have looked at improving the resolution of traditional X-rays by using dark-field radiography, increasing the detection of FB by a factor of 6 [23]. MFXI has a higher resolution (about 60 μm) than newer lightweight devices (100–150 μm).
The investigators employed a home-built micro-focus X-ray imaging device with a 10 μm focus size with an up to 100-fold increased resolution compared to conventional X-ray systems. This MFXI has the potential to be incorporated into an imaging device that could easily be employed at the patient’s bedside in the ED, Urgent Care setting, and austere medical settings. The MXFI device is small, light, and can easily be taken to the patient’s bedside for POCT. As a first step in investigating the clinical potential of the MFXI for POCT in the emergency and urgent care setting, the investigators created a glass foreign body/chicken wing model to compare the relative accuracy of MFXI to POCUS in detecting small glass FBs in wounds. The hypothesis was that MFXI images allow non-radiologist, emergency medicine clinicians to more accurately identify small and very small FBs than POCUS utilized by these same Emergency Medicine clinicians. The clinicians regularly read plain X-rays as part of their clinical practice but did not have specific radiology training. They had been trained and certified as POCUS operators and had significant Emergency Medicine experience using POCUS in their practice.
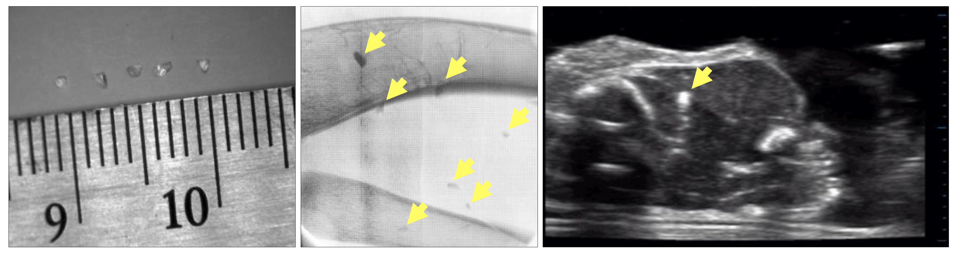
MFXI provides sufficient resolution for the detection of small glass fragments. It is particularly advantageous in comparison to ultrasound imaging. This is illustrated in Figure 1. These images were taken during the early phase of our study. Examples of glass fragments are shown. The MFXI image clearly shows seven glass fragments. The ultrasound image of the same sample only shows one fragment.
Figure 1.
(Left) Image of glass fragments as small as 1 mm; (Middle) X-ray image of sample with embedded glass fragments; Multiple fragments are visible (yellow arrows). (Right) Ultrasound image of same sample; one fragment is visible (yellow arrow). This image was taken with a linear-array (15–4 MHz) transducer using a uSmart® Terason 3200T US (Burlington, MA, USA).
2. Materials and Methods
2.1. Study Design and Setting
Small glass fragments ranging from 1 mm to 5 mm were embedded in 58 chicken wings and thighs. The technicians inserting the glass pieces carefully mapped the insertion sites on diagrams with location and count. Each sample contained between 0 and 7 FBs. On average, 5.3 glass bodies were implanted in each positive sample (58 samples). Two control samples were prepared with no FBs. The total number of samples was 60. Each sample was placed in a closed polystyrene container with 1 mm thick walls. All X-ray images were taken through the closed boxes. Formalin solution was added to each container to preserve the samples for the duration of the study. A trained laboratory technician acquired the X-ray images. Next, the samples were transferred to five emergency medicine physicians with POCUS training and certification and up to three years of POCUS hands-on clinical practice. These clinicians regularly read X-ray images as part of their clinical practice but had no specific training as radiologists. The clinicians performed POCUS on the chicken wings and thighs and recorded the number of glass FBs detected. The clinicians were then given the X-ray images of the wings and thighs randomly with no correlation to the chicken pieces that they had previously ultra-sounded. The clinicians then recorded the number of FBs found in each image. These clinicians did not participate in preparing the chicken legs or thighs and were blinded to the number and location of FBs in each sample.
Although the operators could have moved the objects during ultrasound scanning, they did not touch the chicken wings/thighs. Formalin solution was added to each container to preserve the samples, thus unintentionally deterring manipulation. Minimal rotation of the polystyrene container with the sample contained did occur.
In real patients, the clinician could and would manipulate the body part in question to obtain the best views for both u/s and X-rays. For example, hands and feet are often placed in a water bath for u/s. Areas of interest are moved and scanned on multiple planes. Additionally, traditional X-rays involve multiple views and manipulation to achieve those views. Only one view was obtained with MFXI.
2.2. US Imaging
US-imaging of the samples was done using a Butterfly iQ (Butterfly; Guilford, CT, USA) connected to an iPad. The chicken pieces with glass FBs were scanned using a water bath technique; the polystyrene container with the samples was placed in another water-filled basin, Figure 2. The transducer was held approximately 0.5–1 cm from the skin surface; thus, the scans were performed without any probe–skin contact to avoid potential bias from contact between the probe and subcutaneous glass pieces (tactile clues). Scans were performed under “soft tissue” presets. The center frequencies were between 1 and 10 MHz. Scanners could change depth, gain, and other presets deemed necessary. The clinicians counted and recorded the number of FBs visualized in each chicken wing and thigh.
Figure 2.
Photos of the ultrasound scanning procedure using the Butterfly iQ. The chicken pieces were scanned in a water bath.
2.3. X-ray Imaging
A trained laboratory technician used a micro-focus X-ray tube to acquire images of the chicken wings and thighs into which small glass FBs had been embedded. The samples were placed 1.2 m below a 12-bit remote RadEye 200 CMOS detector in a vertical imaging arrangement with a 1.6 m source-to-detector distance. The X-ray source was a True Focus X-ray tube, model TFX-3110EW with a Tungsten anode and a 10 μm focus size. The tube operated at 80 kV and 0.2 mA. For image processing, three different image types must be acquired the background (BG), the flatfield (FF), and the sample (SA) images. The background is taken by reading out the detector without X-ray exposure. The flatfield is generated by exposing the detector to X-rays without any sample in the viewing field. These two images were taken once and used for the workup of all sample images. The clinicians were given the X-ray images and asked to record the number of glass FBs seen in each image.
2.4. Analysis
X-ray image analysis: all measured sample images were corrected for the detector and electronic noise and any inhomogeneity of the X-ray imaging system resulting in a corrected image (CI) using the formula CI = (SA – BG)/(FF – BG). All image processing was done in ImageJ ver.1.53 [24]. The corrected images were read by the physicians who counted the number of FBs. The raters only analyzed one X-ray image per sample.
2.5. Statistical Analysis
The statistical analysis was carried out separately on the level of the FBs and the level of the sample. For instance, since each sample had multiple glass bodies, the number of true positive glass bodies (P = 307) was well-known, but the number of true negatives was ill-defined. In contrast, the number of positive samples (P = 58) and the number of true negative samples (N = 2) was well known at the sample level. Consequently, metrics such as accuracy were calculated on the sample but not on the foreign-body level.
2.6. Statistical Analysis, Detailed Foreign Body Ratings
Any distribution that is symmetrical around a true value will have an average close to the true value because false positives (FPs) will cancel out false negatives (FNs). A more detailed statistical analysis was carried out to better characterize both imaging modalities. The cancellation of FPs and FNs was largely avoided by calculating the numbers of found minus real FBs in each sample and for each reviewer. The results were categorized as FN for negative numbers, FP for positive numbers, and true positive (TP) for zero deviation from the real numbers. The total number in each category was summed and normalized, yielding the corresponding rates as follows: true positive rate (TPR, sensitivity) = TP/P, and the positive predictive value (PPV, precision) = TP/(TP + FP).
2.7. Statistical Analysis, Detailed Sample Ratings
Many patients present in the emergency departments with multiple suspected FBs in open wounds. For this reason, not just the probability of finding the FBs was analyzed but also how accurately an entire sample with multiple FBs was evaluated. The statistical procedures are largely identical to that for the foreign body, but now the total real number of objects (sample) to be evaluated was P + N = 60; 58 (=P) had on average 5.3 FBs implanted and 2 (=N) samples had no FBs implanted. The total number in each category was summed and normalized, yielding the corresponding rates as follows: true positive rate (TPR, sensitivity) = TP/P, and true negative rate (TNR, specificity) = TN/N. Additionally, we calculated the positive predictive value (PPV, precision) = TP/(TP + FP), the negative predictive value (NPV) = TN/(TN + FN), and the accuracy = (TP + TN)/(P + N).
3. Results
A typical X-ray image is shown in Figure 3. The smallest glass foreign body (3) has a size of 1 × 2 mm while the largest foreign body (2) is 2 × 8 mm. For this sample, POCUS found an average of 3.5 FBs, while the raters observed in the X-ray image were on average 7.5 FBs. The true number of FBs is 6. This example illustrates that POCUS likely misses all but the largest FBs. The untrained X-ray raters, however, arrived at false positives. For instance, some counted object “a” as a glass particle although it is an artifact and counted foreign body 4 as two glass particles. These errors can likely be avoided by reading multiple projections of the same sample, as is customary in a clinical setting.
Figure 3.
Typical X-ray image showing glass foreign bodies. The glass particles are numbered. Object “a” is an unidentified feature but not a glass particle.
3.1. Statistical Analysis, Average Foreign Body-Ratings
Across physicians and samples, raters correctly identified an average of 97.6% FBs using MFXI (96.5% interrater reliability) and 62.3% FBs using POCUS (70.8% interrater reliability). Raters were significantly more likely to correctly identify or overestimate the number of FBs using X-ray compared to US for which raters were more likely to underestimate the number of FBs (p < 0.01). Specifically, the difference in the proportion of samples for which the number of FBs was overestimated/correctly identified for X-ray vs. US was 0.53 (95%-CI: 0.39–0.67). The difference in the proportion of samples for which FBs were underestimated for US vs. X-ray was 0.52 (95%-CI: 0.37–0.66). Raters 1 through 4 using POCUS report rather consistent results of finding 53% (95%-CI: 0.29–0.76), i.e., they report about 50% false negatives, see Table 1. In contrast, Rater 5 reports about 25% false positives and therefore shifts the average higher. Table 2 shows that for MXFI the deviation between individual raters is small and 100% (95%-CI: 0.91–1.09) of the FBs are found.
Table 1.
Percentage and confidence intervals of foreign bodies found by POCUS.
Table 2.
Percentage and confidence intervals of foreign bodies found by MFXI.
3.2. Statistical Analysis, Detailed Foreign Body Ratings
Following the procedures introduced in the previous section, the data were statistically analyzed and are presented in the upper halves of Table 3 and Table 4 for POCUS and MFXI, respectively. The sensitivity POCUS was 49.2% and for MFXI, 82.3%.
Table 3.
Summaries of performance data for MFXI; all absolute numbers are reported as per rater.
Table 4.
Summaries of performance data for POCUS; all absolute numbers are reported as per rater. Rater 5 was excluded from this table (see text).
3.3. Statistical Analysis, Detailed Sample Ratings
Many patients in the emergency department have multiple suspected FBs in open wounds. For this reason, the probability of accurately finding FBs in each sample was analyzed. Figure 4 shows the probability distribution of finding FBs in each sample as a function of deviation from the true number of FBs. Thus, zero represents an accurate rating of the sample, i.e., the number of FBs found is equal to the true number of FBs. The results for POCUS and MFXI are shown. Additionally, the POCUS -results, excluding Rater 5 are shown. The distribution for MFXI is relatively symmetric around the maximum at zero. The distribution for POCUS demonstrates a large number of false negatives. The extension of the distribution into the range of false positives is primarily caused by Rater 5 as evidenced by the difference between the distributions for “POCUS, all raters” and “POCUS, raters 1–4”. The deviating performance of Rater 5 was already apparent in Table 1. Because this rater appears to be an outlier for POCUS, he/she was excluded from the summary data in Table 4 but remained in Table 3. Given the sensitivity of POCUS for finding a glass particle, the sensitivity for finding multiple particles (5.3 on average) in a sample is, of course, very low; here only 7.8%. MFXI’s sensitivity for a sample is 40%.
Figure 4.
Probability of finding multiple foreign bodies in each sample as a function of deviation from an accurate number of foreign bodies in each sample for POCUS and MFXI.
In summary, across physicians and samples, EM clinicians correctly identified 97.6% of the glass FBs using MFXI with 96.5% interrater reliability and 62.3% of the glass FBs using POCUS with 70.8% interrater reliability. In addition, clinicians were significantly more likely to correctly identify or overestimate the number of glass FBs using MFXI and significantly more likely to underestimate the number of glass FBs using POCUS (p < 0.01). The difference in the proportion of the samples for which glass FBs were underestimated using POCUS as opposed to MFXI was 0.52 with 95% confidence intervals of 0.37–0.66.
Although most [8] glass FBs are found with X-ray imaging up to 50% of FBs are still missed [3] after physical examination and radiographs. This is approximately consistent with our findings. Table 3 shows that MXFI using only one X-ray projection has an 82.4% probability of finding glass objects. Given an average number of 5.3 FBs per sample, the accuracy for finding all glass pieces in a sample should be approximately 82.4% to the power of 5.3, which is about 36%, and is in good agreement with our statistical sensitivity of 40%. We note that acquiring several sample projections would likely improve the accuracy as artifacts can be better identified and FBs imperceptible in a particular projection might be visible in another. Thus, our results represent a lower limit of the performance of MFXI.
3.4. Inter-Rater Reliability
Inter-rate reliability was measured by calculating the Fleiss’ kappa.
3.5. Results for MFXI
Across 5 Physicians and 60 samples, raters correctly identified an average of 97.6% FBs using MFXI (96.5% interrater reliability, average kappa 0.64, suggesting moderate-high inter-rater reliability).
3.6. Results for POCUS
Across 5 Physicians and 60 samples, raters correctly identified an average of 62.3% FBs using POC US (70.8% interrater reliability, average kappa 0.09, suggesting low inter-rater reliability).
4. Discussion
4.1. Clinical Significance
EM physicians trained in the use of POCUS, who regularly use this modality in their clinical practice, and who had not received any additional radiology training, were able to identify accurately a significantly greater number of glass FBs in chicken pieces using MFXI than using POCUS and with much greater inter-rater reliability. An MFXI device is lightweight, portable, and can be brought to the patient’s bedside. There is virtually no radiation scatter, thus no need for lead screening of patient or clinician. We did not measure the X-ray dose absorbed in the samples. However, the absorbed dose for hand imaging is typically less than 10 µGy. This dose corresponds to 3 h of equivalent dose by natural background radiation in the USA for hand imaging. Images were read accurately by clinicians not trained as radiologists. The images may be read accurately by artificial intelligence software. Thus, MFXI has the potential to serve as a Point of Care diagnostic modality in a variety of hospital and outpatient clinical settings as well as a more austere milieu including but not limited to emergency departments, urgent care clinics, so-called “minute clinics,” rural health centers, disaster intervention sites, and military casualty clearing sites.
4.2. Weakness of the Design
Ultrasound has several limitations, including detection depth. This study uses chicken wings and legs. These models are significantly smaller than their human counterparts, thus improving the resolution. Using a water bath adds some simulated distance between the ultrasound probe and the sample. However, water is an excellent acoustic medium for ultrasound transmission. In the clinical setting, a water bath may not be feasible, depending on injury and location.
FBs were inserted with a scalpel, potentially creating a very small tract. Although the chicken wings and legs were imaged in a water bath, it is possible that tiny air bubbles had been placed inadvertently along the track, and the sonographer was seeing the track leading up to the foreign body and not the actual foreign body. Although this concern is theoretical, with FBs < 1 mm, it may be difficult to distinguish air bubbles from actual FBs.
For MFXI, only one projection was used. Thus, the results are likely to show lower accuracy than in a clinical setting where multiple projections are routinely done, which helps to eliminate false readings. Thus, MFXI in future clinical practice may be even more accurate than demonstrated here.
4.3. Limitations
Only five clinicians were involved in the study. Although they had identical training and similar clinical experience in using POCUS, there was variation in their ability to identify glass FBs using POCUS. A larger number of clinician operators/readers with a more varied experience level may be useful in future research. Furthermore, the investigators must include more true negative samples in subsequent investigations to calculate a more reliable and robust sensitivity and specificity for MFXI.
4.4. Future Directions
The investigators will repeat this research with more operators/readers representing a broader emergency medicine clinical experience sample. The investigators will also correlate the experience and background of each operator/reader with their performance and define overall group performance as a function of clinical experience. The investigators will likely include several clinicians trained in radiology as well. The investigators will also likely expand their investigation to include small fractures in the bones of the chicken wings and thighs, as POCUS is also used to define bony fractures. The investigators are currently working with AI developers to incorporate this modality in the reading of the images created by the MFXI. They will compare AI readings of the MFXI images with those provided by clinicians.
5. Conclusions
EM physicians with training and certification in the use of POCUS, who regularly use this modality in their clinical practice, and who read X-ray images as part of their clinical practice but had not received any additional radiology training, were able to identify accurately a significantly greater number of glass FBs in chicken wings and thighs using MFXI than using POCUS. The inter-rater reliability using MFXI was much greater than using POCUS. Thus, MFXI has the potential to be used in the emergency and urgent care setting at the patient’s bedside to identify and locate small glass FBs and to improve the diagnostic accuracy of clinicians. This would lead to more effective care and fewer missed glass FBs in wounds with a concomitant improvement in patient outcome, decreased short and long-term morbidity for the injured patient, and liability for the clinician.
Author Contributions
Conceptualization and methodology, S.W., B.B. and C.R.-P.; formal analysis, S.D. and C.R.-P.; writing—review and editing and project administration, C.R.-P.; investigation, T.P., F.R.-P., A.A., E.L., J.F., W.G. and S.W.; Resources, D.D. All authors have read and agreed to the published version of the manuscript.
Funding
This research was funded by Research Instruments Corporation, Brown University, and Lifespan, Rhode Island Hospital.
Conflicts of Interest
The authors declare no conflict of interest. The funders had no role in the study’s design; in the collection, analyses, or interpretation of data; in the writing of the manuscript; or in the decision to publish the results.
References
- Rui, P.; Kang, K.; Ashman, J. National Hospital Ambulatory Medical Care Survey: 2016 Emergency Department Summary Tables; U.S. Department of Health and Human Services, Centers for Disease Control and Prevention, National Center for Health Statistics: Hyattsville, MD, USA, 2016.
- Hollander, J.E.; Singer, A.J.; Valentine, S.; Henry, M.C. Wound Registry: Development and Validation. Ann. Emerg. Med. 1995, 25, 675–684. [Google Scholar] [CrossRef] [PubMed]
- Kaiser, C.W.; Slowick, T.; Spurling, K.P.; Friedman, S. Retained Foreign Bodies. J. Trauma Acute Care Surg. 1997, 43, 107–111. [Google Scholar] [CrossRef]
- Jarraya, M.; Hayashi, D.; de Villiers, R.V.; Roemer, F.W.; Murakami, A.M.; Cossi, A.; Guermazi, A. Multimodality Imaging of Foreign Bodies of the Musculoskeletal System. Am. J. Roentgenol. 2014, 203, W92–W102. [Google Scholar] [CrossRef] [PubMed]
- Ingraham, C.R.; Mannelli, L.; Robinson, J.D.; Linnau, K.F. Radiology of foreign bodies: How do we image them? Emerg. Radiol. 2015, 22, 425–430. [Google Scholar] [CrossRef]
- Carneiro, B.C.; Cruz, I.A.N.; Chemin, R.N.; Rizzetto, T.A.; Guimarães, J.B.; Silva, F.D.; Junior, C.Y.; Pastore, D.; Filho, A.G.O.; Nico, M.A.C. Multimodality Imaging of Foreign Bodies: New Insights into Old Challenges. RadioGraphics 2020, 40, 1965–1986. [Google Scholar] [CrossRef] [PubMed]
- Montano, J.B.; Steele, M.T.; Watson, W.A. Foreign body retention in glass-caused wounds. Ann. Emerg. Med. 1992, 21, 1360–1363. [Google Scholar] [CrossRef]
- Courter, B.J. Radiographic screening for glass foreign bodies—What does a “negative” foreign body series really mean? Ann. Emerg. Med. 1990, 19, 997–1000. [Google Scholar] [CrossRef] [PubMed]
- Tuncer, S.; Ozcelik, I.B.; Mersa, B.; Kabakas, F.; Ozkan, T. Evaluation of Patients Undergoing Removal of Glass Fragments From Injured Hands: A Retrospective Study. Ann. Plast. Surg. 2011, 67, 114–118. [Google Scholar] [CrossRef]
- Davis, J.; Czerniski, B.; Au, A.K.; Adhikari, S.; Farrell, I.; Fields, J.M. Diagnostic Accuracy of Ultrasonography in Retained Soft Tissue Foreign Bodies: A Systematic Review and Meta-analysis. Acad. Emerg. Med. 2015, 22, 777–787. [Google Scholar] [CrossRef]
- Levine, M.R.; Gorman, S.M.; Young, C.F.; Courtney, D.M. Clinical characteristics and management of wound foreign bodies in the ED. Am. J. Emerg. Med. 2008, 26, 918–922. [Google Scholar] [CrossRef]
- Tahmasebi, M.; Zareizadeh, H.; Motamedfar, A. Accuracy of ultrasonography in detecting radiolucent soft-tissue foreign bodies. Indian J. Radiol. Imaging 2014, 24, 196–200. [Google Scholar] [CrossRef] [PubMed]
- Saboo, S.S.; Saboo, S.H.; Soni, S.S.; Adhane, V. High-Resolution Sonography Is Effective in Detection of Soft Tissue Foreign Bodies. J. Ultrasound Med. 2009, 28, 1245–1249. [Google Scholar] [CrossRef] [PubMed]
- Jacobson, J.A.; Powell, A.; Craig, J.G.; Bouffard, J.A.; Holsbeeck, M.T.V. Wooden foreign bodies in soft tissue: Detection at US. Radiology 1998, 206, 45–48. [Google Scholar] [CrossRef]
- Cura, J.L.D.; Aza, I.; Zabala, R.M.; Sarabia, M.; Korta, I. US-guided Localization and Removal of Soft-Tissue Foreign Bodies. RadioGraphics 2020, 40, 1188–1195. [Google Scholar] [CrossRef] [PubMed]
- Paziana, K.; Fields, J.M.; Rotte, M.; Au, A.; Ku, B. Soft Tissue Foreign Body Removal Technique Using Portable Ultrasonography. Wilderness Environ. Med. 2012, 23, 343–348. [Google Scholar] [CrossRef]
- Rooks, V.J.; Shiels, W.E., III; Murakami, J.W. Soft tissue foreign bodies: A training manual for sonographic diagnosis and guided removal. J. Clin. Ultrasound 2020, 48, 330–336. [Google Scholar] [CrossRef]
- Gliadkovskaya, Anastassia. Butterfly Takes Flight: Hand-Held Ultrasound Pushed to the Limits to Test Its Use for Space Missions. Fierce Healthcare, Health Tech. Available online: https://www.fiercehealthcare.com/health-tech/butterfly-networks-iq-handheld-scanner-goes-space-nasa-spacex (accessed on 18 May 2023).
- Burleson, S.; Swanson, J.; Shufflebarger, E.; Wallace, D.; Heimann, M.; Crosby, J.; Pigott, D.; Gullett, J.; Thompson, M.; Greene, C. Evaluation of a novel handheld point-of-care ultrasound device in an African emergency department. Ultrasound J. 2020, 12, 53. [Google Scholar] [CrossRef]
- Nowadly, C.D.; Kelley, K.M.; Crane, D.H.; Rose, J.S. Evaluation of High Altitude Interstitial Pulmonary Edema in Healthy Participants Using Rapid 4-View Lung Ultrasound Protocol during Staged Ascent to Everest Base Camp. Wilderness Environ. Med. 2021, 32, 278–283. [Google Scholar] [CrossRef]
- Otto, C.; Shemenski, R.; Scott, J.; Hartshorn, J.; Bishop, S.; Viegas, S. Evaluation of Tele-ultrasound as a Tool in Remote Diagnosis and Clinical Management at the Amundsen-Scott South Pole Station and the McMurdo Research Station. Telemed. J. e-Health 2013, 19, 186–191. [Google Scholar] [CrossRef]
- Portable Digital Radiography System: Technical Specifications; World Health Organization: Geneva, Switzerland, 2021.
- Braig, E.-M.; Birnbacher, L.; Schaff, F.; Gromann, L.; Fingerle, A.; Herzen, J.; Rummeny, E.; Noël, P.; Pfeiffer, F.; Muenzel, D. Simultaneous wood and metal particle detection on dark-field radiography. Eur. Radiol. Exp. 2018, 2, 1. [Google Scholar] [CrossRef]
- Schneider, C.A.; Rasband, W.S.; Eliceiri, K.W. NIH Image to ImageJ: 25 years of image analysis. Nat. Methods 2012, 9, 671–675. [Google Scholar] [CrossRef] [PubMed]
Disclaimer/Publisher’s Note: The statements, opinions and data contained in all publications are solely those of the individual author(s) and contributor(s) and not of MDPI and/or the editor(s). MDPI and/or the editor(s) disclaim responsibility for any injury to people or property resulting from any ideas, methods, instructions or products referred to in the content. |
© 2023 by the authors. Licensee MDPI, Basel, Switzerland. This article is an open access article distributed under the terms and conditions of the Creative Commons Attribution (CC BY) license (https://creativecommons.org/licenses/by/4.0/).



