Unusual Presentation of Juvenile Rhabdomyosarcoma in the Temporomandibular Area: A Case Report
Abstract
1. Introduction
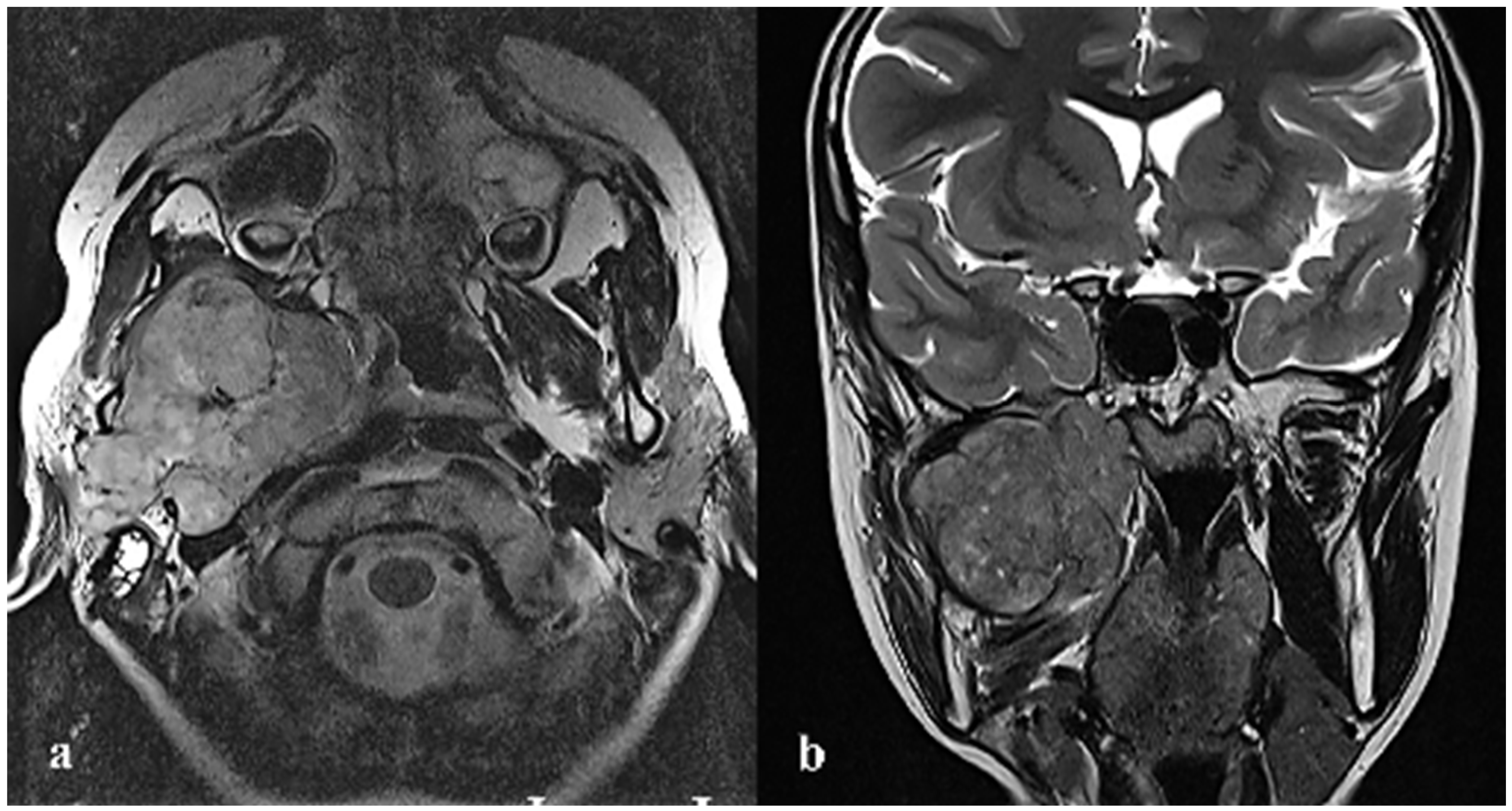
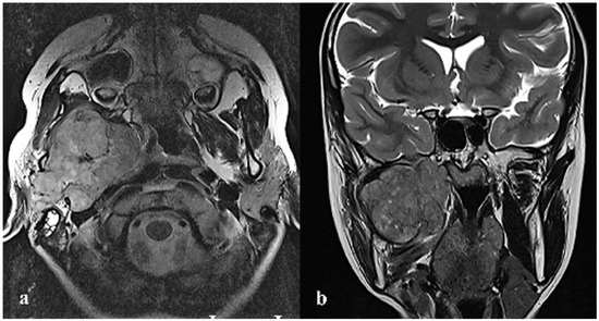
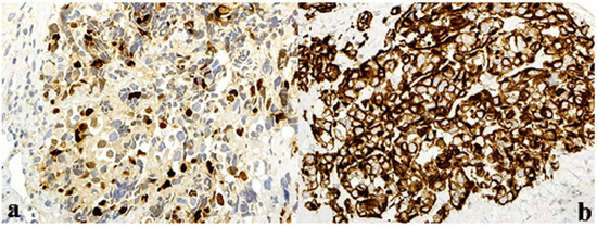
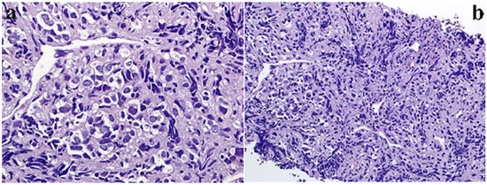
2. Case Report
3. Discussion
4. Conclusions
Author Contributions
Funding
Institutional Review Board Statement
Informed Consent Statement
Data Availability Statement
Conflicts of Interest
References
- Gluth, M.B. Rhabdomyosarcoma and other pediatric temporal bone malignancies. Otolaryngol. Clin. N. Am. 2015, 48, 375–390. [Google Scholar] [CrossRef] [PubMed]
- World Health Organization (WHO). WHO Classification of Tumours. World Health Organization Classification of Tumours: Soft Tissue and Bone Tumours, 5th ed.; IARC: Lyon, France, 2020; Volume 3. [Google Scholar]
- Agaram, N.P. Evolving Classification of Rhabdomyosarcoma. Histopathology 2022, 80, 98–108. [Google Scholar] [CrossRef]
- Fletcher, C.; Bridge, J.A.; Hogendoorn, P.C.; Mertens, F. WHO Classification of Tumours of Soft Tissue and Bone; IARC: Lyon, France, 2013. [Google Scholar]
- Newton, W.A.; Soule, E.H.; Hamoudi, A.B.; Reiman, H.M.; Shimada, H.; Beltangady, M.; Maurer, H. Histopathology of childhood sarcomas, Intergroup Rhabdomyosarcoma Studies I and II: Clinicopathologic correlation. J. Clin. Oncol. 1988, 6, 67–75. [Google Scholar] [CrossRef] [PubMed]
- Furlong, M.A.; Mentzel, T.; Fanburg-Smith, J.C. Pleomorphic rhabdomyosarcoma in adults: A clinicopathologic study of 38 cases with emphasis on morphologic variants and recent skeletal muscle-specific markers. Mod. Pathol. 2001, 14, 595–603. [Google Scholar] [CrossRef] [PubMed]
- Schürch, W.; Bégin, L.; Seemayer, T.; Lagacé, R.; Boivin, J.-C.; Lamoureux, C.; Bluteau, P.; Piché, J.; Gabbiani, G. Pleomorphic soft tissue myogenic sarcomas of adulthood. A reappraisal in the mid-1990s. Am. J. Surg. Pathol. 1996, 20, 131–147. [Google Scholar] [CrossRef]
- Stock, N.; Chibon, F.; Nguyen, B.; Matthieu, B.; Terrier, P.; Michels, J.J.; Valo, I.; Robin, Y.M.; Guillou, L.; Ranchère-Vince, D.; et al. Adult-type rhabdomyosarcoma: Analysis of 57 cases with clinicopathologic description, identification of 3 morphologic patterns and prognosis. Am. J. Surg. Pathol. 2009, 33, 1850–1859. [Google Scholar] [CrossRef]
- Rudzinski, E.R.; Kelsey, A.; Vokuhl, C.; Linardic, C.M.; Shipley, J.; Hettmer, S.; Koscielniak, E.; Hawkins, D.S.; Bisogno, G. Pathology of childhood rhabdomyosarcoma: A consensus opinion document from Children’s oncology group, European Paediatric soft Tissue Sarcoma Study Group, and the Cooperative Weichteilsarkom Studiengruppe. Pediatr. Blood Cancer 2021, 68, e28798. [Google Scholar] [CrossRef]
- Skapek, S.X.; Ferrari, A.; Gupta, A.A.; Lupo, P.J.; Butler, E.; Shipley, J.; Barr, F.G.; Hawkins, D.S. Rhabdomyosarcoma. Nat. Rev. Dis. Prim. 2019, 5, 1. [Google Scholar] [CrossRef]
- Ognjanovic, S.; Linabery, A.M.; Charbonneau, B.; Ross, J.A. Trends in Childhood Rhabdomyosarcoma Incidence and Survival in the United States (1975–2005). Cancer 2009, 115, 4218–4226. [Google Scholar] [CrossRef]
- Haduong, J.H.; Heske, C.M.; Allen-Rhoades, W.; Xue, W.; Teot, L.A.; Rodeberg, D.A.; Donaldson, S.S.; Weiss, A.; Hawkins, D.S.; Venkatramani, R. An update on rhabdomyosarcoma risk stratification and the rationale for current and future Children’s Oncology Group clinical trials. Pediatr. Blood Cancer 2022, 69, e29511. [Google Scholar] [CrossRef]
- Schiffman, E.; Ohrbach, R.; Truelove, E.; Look, J.; Anderson, G.; Goulet, J.-P.; List, T.; Svensson, P.; Gonzalez, Y.; Lobbezoo, F.; et al. Diagnostic criteria for temporomandibular disorders (DC/TMD) for clinical and research applications: Recommendations of the international RDC/TMD consortium network* and orofacial pain special interest group. J. Oral Facial Pain Headache 2014, 28, 6–27. [Google Scholar] [CrossRef] [PubMed]
- Tandon, A.; Sethi, K.; Pratap Singh, A.J. Oral rhabdomyosarcoma: A review. J. Clin. Exp. Dent. 2012, 4, e302–e308. [Google Scholar] [CrossRef] [PubMed]
- Durve, D.V.; Kanegaonkar, R.G.; Albert, D.; Levitt, G. Paediatric rhabdomyosarcoma of the ear and temporal bone. Clin. Otolaryngol. Allied Sci. 2004, 29, 32–37. [Google Scholar] [CrossRef] [PubMed]
- Ekici, A.; Yakut, A.; Incesulu, A.; Ymenicioglu, S.; Kocak, O.; Carman, K.B. Trigeminal neuralgia: A rare cause of facial pain in a child. Int. J. Clin. Pediatr. 2013, 2, 74–75. [Google Scholar] [CrossRef]
- Sekhar, M.S.; Desai, S.; Kumar, G.S. Alveolar Rhabdomyosarcoma involving the Jaws: A Case Report. J. Oral. Maxillofac. Surg. 2000, 58, 1062–1065. [Google Scholar] [CrossRef]
- Cirocco, A.; Gonzalez, F.; Sáenz, A.M.; Jiménez, C.; Sardi, J.R.; Oscar, R.F. Embryonal Rhabdomyosarcoma of the Tongue. Pediatr. Dermatol. 2005, 22, 218–221. [Google Scholar] [CrossRef]
- Dohar, J.E.; Marentette, L.J.; Adams, G.L. Rhabdomyosarcoma of the infratemporal fossa: Diagnostic dilemmas and surgical management. Am. J. Otolaryngol. 1991, 12, 146–149. [Google Scholar] [CrossRef]
- Weiser, D.A.; Kaste, S.C.; Siegel, M.J.; Adamson, P. Imaging in Childhood Cancer: A Society for Pediatric Radiology and Children’s Oncology Group Joint Task Force Report. Pediatr. Blood Cancer 2013, 60, 1253–1260. [Google Scholar] [CrossRef]
- Goto, T.K.; Yoshiura, K.; Tanaka, T.; Kanda, S.; Ozeki, S.; Ohishi, M.; Kobayashi, I.; Matsuo, K. A follow-up of rhabdomyosarcoma of the infratemporal fossa region in adults based on the magnetic resonance imaging findings: Case reports. Oral Surg. Oral Med. Oral Pathol. Oral Radiol. Endod. 1998, 86, 616–625. [Google Scholar] [CrossRef]
- Lazzaro, B.; Schwartz, D.; Lewis, J.; Weiss, W., Jr. Rhabdomyosarcoma involving the oral cavity, mandible and roots of the third molar: A clinical-pathologic correlation and review of the literature. J. Oral Maxillofac. Surg. 1990, 48, 72–77. [Google Scholar] [CrossRef]
- Loducca, S.V.; Mantesso, A.; de Oliveira, E.M.; de Araújo, V.C. Intraosseous rhabdomyosarcoma of the mandible: A case report. Int. J. Surg. Pathol. 2003, 11, 57–60. [Google Scholar] [CrossRef] [PubMed]



| Disclaimer/Publisher’s Note: The statements, opinions and data contained in all publications are solely those of the individual author(s) and contributor(s) and not of MDPI and/or the editor(s). MDPI and/or the editor(s) disclaim responsibility for any injury to people or property resulting from any ideas, methods, instructions or products referred to in the content. | 
© 2023 by the authors. Licensee MDPI, Basel, Switzerland. This article is an open access article distributed under the terms and conditions of the Creative Commons Attribution (CC BY) license (https://creativecommons.org/licenses/by/4.0/).
Share and Cite
Bartolucci, M.L.; Incerti Parenti, S.; Alessandri-Bonetti, G.; Marini, I. Unusual Presentation of Juvenile Rhabdomyosarcoma in the Temporomandibular Area: A Case Report. Appl. Sci. 2023, 13, 5926. https://doi.org/10.3390/app13105926
Bartolucci ML, Incerti Parenti S, Alessandri-Bonetti G, Marini I. Unusual Presentation of Juvenile Rhabdomyosarcoma in the Temporomandibular Area: A Case Report. Applied Sciences. 2023; 13(10):5926. https://doi.org/10.3390/app13105926
Chicago/Turabian StyleBartolucci, Maria Lavinia, Serena Incerti Parenti, Giulio Alessandri-Bonetti, and Ida Marini. 2023. "Unusual Presentation of Juvenile Rhabdomyosarcoma in the Temporomandibular Area: A Case Report" Applied Sciences 13, no. 10: 5926. https://doi.org/10.3390/app13105926
APA StyleBartolucci, M. L., Incerti Parenti, S., Alessandri-Bonetti, G., & Marini, I. (2023). Unusual Presentation of Juvenile Rhabdomyosarcoma in the Temporomandibular Area: A Case Report. Applied Sciences, 13(10), 5926. https://doi.org/10.3390/app13105926
 
        






