Featured Application
Additive manufacturing of dental casts.
Abstract
The study aimed to evaluate the time-related accuracy of additively manufactured dental casts and to compare it with scan data obtained with an intraoral scanner in vitro. Twenty-eight markers were attached to a set of dentiforms as reference model, and the distances between the markers were measured using a digital caliper. An intraoral scanner was used to obtain the virtual scan data of the reference model with a total of 30 scans per arch. The distances between markers were measured using a three-dimensional inspection software for all scans (group IOS). Scan data were additively manufactured using a 3D printer, and the distances between markers were measured as in the reference model immediately after post-polymerization (group PPIA), 1 day (group PP1D), 7 days (group PP7D), and 30 days after post-polymerization (group PP30D). The linear deviation in group IOS was 199.74 ± 11.14 μm, PPIA was 242.88 ± 49 μm, PP1D was 259.9 ± 42.59 μm, PP7D was 289.82 ± 39.74 μm, and PP30D was 315.8 ± 33.28 μm, in comparison with the reference model, with significant differences among all groups (all p < 0.05). When additively manufacturing casts from scan data to verify the quality of dental prostheses designed virtually, the prostheses should be adapted to casts manufactured within one week.
1. Introduction
Advances in digital technology have led to various changes in the field of prosthodontics [1,2]. As a result, current impression-making methods, whose accuracy significantly affects the adaptation and lifespan of dental prostheses, not only include the use of elastomeric impression materials, but also digital scanning using intraoral scanners [3]. Impression-making methods using rubber-base impression materials are a gold standard, yet various factors, including the choice of impression material, impression technique, disinfection protocol, transport, reset time, and type of gypsum, affect impression accuracy [4,5,6,7,8]. On the other hand, digital scanning using intraoral scanners reduces patient discomfort during impression making and shortens the working time, simplifying the clinical process and allowing the storage of patient information without requiring a separate space [9,10,11,12].
The implementation of computer-aided design/computer-aided manufacturing (CAD/CAM) technology and additive manufacturing has also benefited from the development of digital technology, enabling the fabrication of more sophisticated prostheses while offering shorter working time, convenience, and cost-effectiveness [13]. For fabricating precise dental prostheses, in addition to obtaining an accurate impression, dental casts should be highly accurate. Employing additive manufacturing processes in the fabrication of dental casts requires less equipment and fewer materials while reproducing complex structures with high precision [14,15,16,17,18,19].
A previous study reported clinically acceptable accuracy and reproducibility of the additively manufactured dental casts compared to dental plaster casts fabricated using the traditional method [20]. Another study reported the higher accuracy of additively manufactured dental casts than that of milled casts [17]. However, additively manufactured dental casts may experience shrinkage, distortion, and deformation, because a photopolymerizing resin is used as a substrate [21,22,23,24]. As various factors can affect the accuracy of additively manufactured dental casts, several studies have investigated them under diverse conditions, such as additive manufacturing methods, printing angulation, or printing time [25].
In clinical situations, a cast-free digital workflow for the fabrication of implant prostheses is becoming popular. However, concerns regarding the absence of a dental cast exist due to the difficulty in directly viewing, sensing, and evaluating the harmony of the implant prostheses with the adjacent teeth and soft tissues. It is therefore beneficial to not only evaluate the prostheses virtually on CAD software, but also to place the prostheses on additively manufactured dental casts [26,27]. However, studies comparing the accuracy of additively manufactured dental casts with that of virtual data from an intraoral scanner are lacking.
The aim of this study was to investigate the dimensional stability of additively manufactured dental casts over time in reference to a physical reference model, and to compare the additively manufactured dental casts with the scanned data of this reference model obtained with an intraoral scanner. The null hypotheses were that additively manufactured dental casts neither differ in terms of dimension over time nor do they differ from intraoral scan data.
2. Materials and Methods
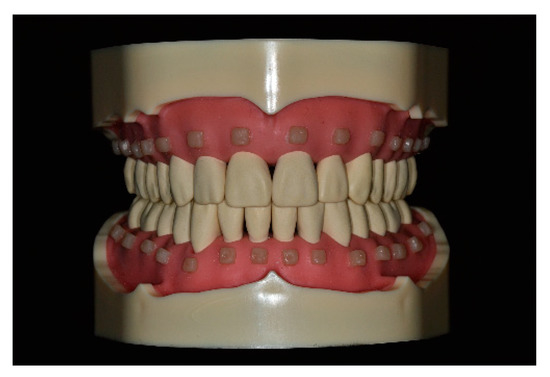
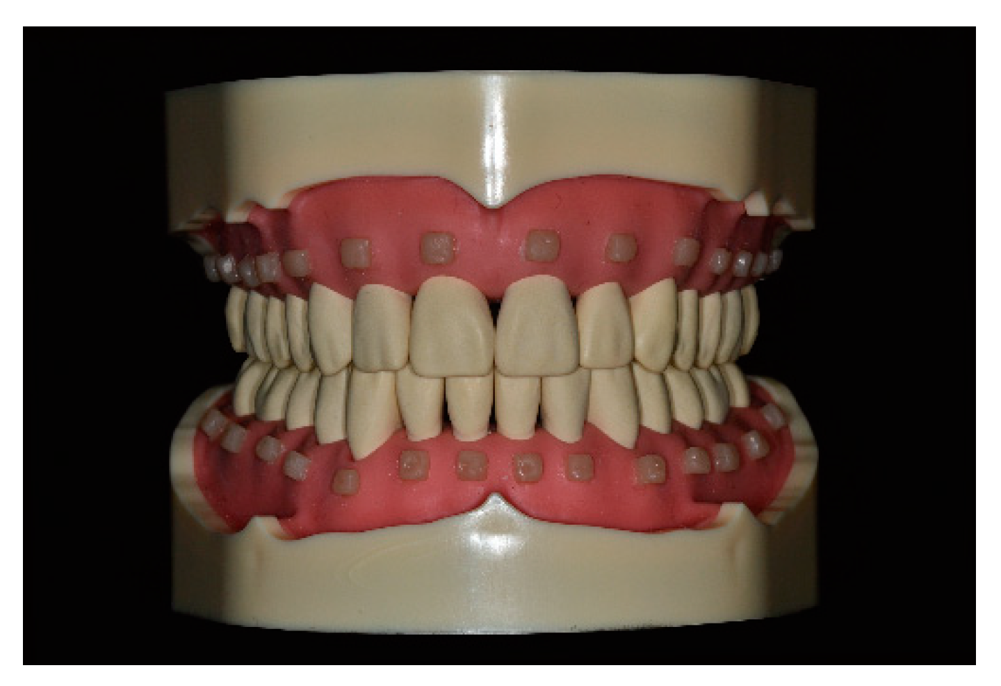
A schematic diagram of the overall experimental workflow is presented in Figure 1. A set of dentiforms (AG-3 DA; Frasaco, Tettnang, Germany) was used as reference model. Markers were attached to the buccal gingiva, 3 mm beneath each of the 28 teeth, using a flowable resin (Tetric N-Flow; Ivoclar Vivadent, Schaan, Liechtenstein) (Figure 2). For standardized measurement of the distances between these markers, a digital caliper (CD-6” ASX; Mitutoyo, Kawasaki-shi, Japan) was used [28,29,30].
Figure 1.
Experimental workflow.
Figure 2.
Modified dentiform (reference model) used in the study.
Measurements were categorized into two groups: within-arch and inter-arch (Figure 3). The within-arch measurements were further subdivided into mesiodistal and transverse measurements. For the mesiodistal measurements, anterior and posterior teeth were measured separately. The distances between the distal surface of the distal markers and the mesial surface of the mesial markers of the posterior teeth were individually measured on each side, yielding 12 measurements per arch. The same procedures were repeated for the anterior teeth, yielding six measurements per arch. For the transverse measurements, distances between the midpoint of the markers of the corresponding each contralateral tooth were measured, yielding seven measurements per arch. In total, 50 measurements per arch pair (25 measurements per arch) were performed for the within-arch measurements. The inter-arch measurements were obtained with the teeth in occlusion; distances between the upper border of the markers in the maxillary arch and lower border of the corresponding markers in the mandibular arch were measured, yielding 14 measurements in total.

Figure 3.
Measurement sites. (a) Mesiodistal within-arch measurements in the maxillary arch. (b) Mesiodistal within-arch measurements in the mandibular arch. (c) Transverse within-arch measurements. (d) Inter-arch measurements.
An intraoral scanner (TRIOS 3; 3Shape A/S, Copenhagen, Denmark) was used to scan the reference dentiform models. Scanning was performed under room light by a single experienced operator, and the scanner was calibrated every 10th time [31,32]. A total of 30 scans were obtained per arch from left to right. The scanned datasets were saved in the standard tessellation language (STL) file format. Each set of maxillary and mandibular scan datasets was imported into a three-dimensional inspection software program (Geomagic Control X version 2018.0.0; 3D Systems, Rock Hill, SC, USA), and the distances between the markers were measured using the same protocol as in the measurement of the reference dentiform models.
A total of 60 scan datasets were additively manufactured with a 3D-printing resin material (NextDent Model 2.0; NextDent B.V., Soesterberg, The Netherlands) and a digital light processing-based 3D printer (NextDent 5100; NextDent B.V., Soesterberg, The Netherlands). Three sets of vertical bars were attached to each pair of maxillary and mandibular scan datasets using the model builder module in the CAD software program (3Shape Dental System; version 1.7.17.0, 3Shape A/S, Copenhagen, Denmark). A supportive bar was attached to the posterior part of the cast. The cast was set at a 45° angle to the built platform, and the layer thickness was set to 50 µm [33,34,35]. The 3D-printing resin material was shaken for 5 min and mixed for 2.5 h using a resin mixer (LC-3DMixer; NextDent B.V., Soesterberg, The Netherlands) prior to use. Immediately after additive manufacturing, the casts were washed for 10 min in 99% isopropyl alcohol solution and dried for 5 min. Subsequently, the casts were additionally post-polymerized for 10 min in a polymerizing machine (LC-3DPrint Box UV; NextDent B.V., Soesterberg, The Netherlands), according to the manufacturer’s protocol. The same digital caliper was used to measure the distance between the markers of the additively manufactured casts with the same method as the measurements of the reference dentiform models. The distances between markers were additionally measured with the same method after 1, 7, and 30 days. All dental casts were stored at room temperature.
All measurements were conducted by a single, experienced, calibrated researcher, and the statistical software program SPSS v25 (IBM, Armonk, NY, USA) was used to analyze the results. The values measured on the scan data obtained using the intraoral scanner with the 3D inspection software program (Geomagic Control X version 2018.0.0; 3D Systems, Rock Hill, SC, USA) and those measured on the additively manufactured dental casts were individually subtracted from the corresponding values obtained from the reference dentiform models, and the absolute values of these deviations were used for the analyses. Group IOS was defined as the absolute values of the deviations of the distances between the scan data obtained with the intraoral scanner and the corresponding values directly measured on the reference dentiform. Group PPIA was defined as the absolute values of the deviations measured as differences in the distances between the additively manufactured dental casts immediately after post-polymerization and the corresponding values directly measured on the reference dentiform model; in group PP1D it was measured 1 day after post-polymerization, in group PP7D after 7 days, and in group PP30D after 30 days.
The mean values of 64 measurements in the arch pair were selected as representative values of overall measurements. The Shapiro–Wilk test was conducted to evaluate the assumption of normal distribution of the obtained values. Subsequently, a one-way repeated-measures analysis of variance (RMANOVA), followed by post hoc Bonferroni test, were applied for the analysis of dimensional stability among the groups IOS, PPIA, PP1D, PP7D, and PP30D. The significance level was set to α = 0.05.
3. Results
The data in each group did not violate the assumption of normal distribution (p > 0.05 for all groups). Hence, an RMANOVA test was performed. The Mauchly’s test of sphericity results showed that the assumption of sphericity was violated (W = 0.071, x2[9] = 72.65, p < 0.05); therefore, the analysis was performed by applying the Greenhouse–Geisser correction. The results showed significant differences among groups (F [2.06,59.587] = 99.15, p < 0.001, η2 = 0.514). The deviation in group IOS was 199.74 ± 11.14 μm, PPIA was 242.88 ± 49 μm, PP1D was 259.9 ± 42.59 μm, PP7D was 289.82 ± 39.74 μm, and PP30D was 315.8 ± 33.28 μm, with significant differences among all groups, showing increased deviation with time (Figure 4).
Figure 4.
Linear deviation values of all groups. Data expressed as mean ± standard deviations. Differences among groups with p < 0.05 expressed in different capital letters.
4. Discussion
The null hypotheses were rejected as all groups showed significant differences. The present study digitized a set of actual dentiform models with an intraoral scanner to assess the accuracy of its subsequent additively manufactured casts over time and their comparisons with digitized intraoral scan data. It is difficult to find clear reference points for the measurement of the tooth and gingival surfaces. Accordingly, resin markers were designed and attached to gingival surfaces and used as reference points for measurement; these reference points allowed consistent results to be derived through repeated measures.
In contrast to intraoral scan data and additively manufactured casts, in which 30 measured values were obtained individually for each set of intraoral scan data and each set of additively manufactured casts per each predetermined measurement distance, only a single true value can exist for each predetermined measurement distance. Therefore, deviations between the intraoral scan data and additively manufactured predetermined measurement distance were compared to a reference dentiform model set. Moreover, to eliminate the possibility of misinterpretation due to the presence of positive and negative values, we compared absolute deviation values.
Several studies have reported the acceptable range of deviations in additively manufactured casts as 20–100 μm [13,20,36,37,38,39]. Accordingly, the deviations of groups PPIA, PP1D, and PP7D can be regarded as within the clinically acceptable range if intraoral scan data are to be used for the fabrication of dental prostheses and further additively manufactured for the verification process, because the difference between groups IOS and PP7D was 90.08 μm. This result is partially in line with a previous study evaluating the aging of additively manufactured casts over a 4-week period, which concluded that 3D-printed additively manufactured casts should not be used in the fabrication of the definitive prosthesis after 3–4 weeks since their fabrication [40].
Shrinkage over time is an indication that additively manufactured dental casts lack stability, and thus, it may not be advisable to use them after long-term storage. The present study verified this with a sufficient number of samples and from linear measurement aspects. The accuracy of dental casts can be measured with various approaches, among which 3D deviation measurements and linear measurements are the most popular [41,42,43,44]. While 3D analysis offers overall insights and can be expressed as color-coded maps for easy visualization, linear measurements enable direct evaluation with reference to specific points and provide an intuitive understanding of the amount of deviation by facilitating sub-analyses in different orientations [45,46,47,48,49].
The present study has a few limitations. In addition to the in vitro nature of the study design, only a single type of intraoral scanner and 3D printer were used. Further studies employing various intraoral scanners and 3D printers are necessary. The timepoints of measurements were not at equal intervals; therefore, it was impossible to detect the critical timepoints for significant changes. Furthermore, complete arches were scanned, which may be less clinically relevant when fabricating short-span prostheses. A comparison of the outcomes in scans of partial-arches will be crucial to draw case-sensitive conclusions useful in clinical settings.
5. Conclusions
Within the limitations of the present study, the following conclusions were drawn:
- The absolute linear deviations of additively manufactured dental casts significantly differ from those of intraoral scan data.
- When evaluating cast-free, digital workflow-derived prostheses on additively manufactured casts, the casts should be manufactured immediately after post-polymerization or within one week from a clinical perspective to achieve the best accuracy. This would help the use of additively manufactured dental casts for a digital workflow, and allow for a direct view and ascertain the harmony between the prosthesis and the adjacent teeth and soft tissues.
Author Contributions
Conceptualization, H.S.M. and K.C.O.; methodology, H.S.M. and K.C.O.; software, G.Y.K.; validation, J.L., H.S.M. and K.C.O.; formal analysis, J.L.; investigation, G.Y.K.; resources, K.C.O.; data curation, G.Y.K. and J.L.; writing—original draft preparation, G.Y.K. and J.L.; writing—review and editing, H.S.M. and K.C.O.; visualization, G.Y.K.; supervision, H.S.M.; project administration, K.C.O.; funding acquisition, K.C.O. All authors have read and agreed to the published version of the manuscript.
Funding
This research was supported by Basic Science Research Program through the National Research Foundation of Korea funded by the Ministry of Education (No. 2021R1I1A1A01048233).
Institutional Review Board Statement
Not applicable.
Informed Consent Statement
Not applicable.
Data Availability Statement
Data are available upon request.
Conflicts of Interest
The authors declare no conflict of interest. The funders had no role in the design of the study; in the collection, analyses, or interpretation of data; in the writing of the manuscript, or in the decision to publish the results.
References
- Rekow, E.D. Digital dentistry: The new state of the art—Is it disruptive or destructive? Dent. Mater. 2020, 36, 9–24. [Google Scholar] [CrossRef] [PubMed]
- Cruz, J.E.D.L.; Funkenbusch, P.D.; Ercoli, C.; Moss, M.E.; Graser, G.N.; Tallents, R.H. Verification jig for implant-supported prostheses: A comparison of standard impressions with verification jigs made of different materials. J. Prosthet. Dent. 2002, 88, 329–336. [Google Scholar] [CrossRef] [PubMed]
- Perakis, N.; Belser, U.C.; Magne, P. Final impressions: A review of material properties and description of a current technique. Int. J. Periodontics Restor. Dent. 2004, 24, 109–117. [Google Scholar]
- Kulkarni, P.R.; Kulkarni, R.S.; Shah, R.J.; Chhajlani, R.; Saklecha, B.; Maru, K. A comparative evaluation of accuracy of the dies affected by tray type, material viscosity, and pouring sequence of dual and single arch impressions-an in vitro study. J. Clin. Diagn. Res. 2017, 11, ZC128. [Google Scholar] [CrossRef]
- Runkel, C.; Güth, J.-F.; Erdelt, K.; Keul, C. Digital impressions in dentistry—Accuracy of impression digitalisation by desktop scanners. Clin. Oral Investig. 2020, 24, 1249–1257. [Google Scholar] [CrossRef]
- Naumovski, B.; Kapushevska, B. Dimensional stability and accuracy of silicone–based impression materials using different impression techniques–a literature review. Prilozi 2017, 38, 131–138. [Google Scholar] [CrossRef] [Green Version]
- Basapogu, S.; Pilla, A.; Pathipaka, S. Dimensional accuracy of hydrophilic and hydrophobic VPS impression materials using different impression techniques-an invitro study. J. Clin. Diagn. Res. 2016, 10, ZC56. [Google Scholar] [CrossRef]
- Schaefer, O.; Schmidt, M.; Goebel, R.; Kuepper, H. Qualitative and quantitative three-dimensional accuracy of a single tooth captured by elastomeric impression materials: An in vitro study. J. Prosthet. Dent. 2012, 108, 165–172. [Google Scholar] [CrossRef]
- Keul, C.; Stawarczyk, B.; Erdelt, K.-J.; Beuer, F.; Edelhoff, D.; Güth, J.-F. Fit of 4-unit FDPs made of zirconia and CoCr-alloy after chairside and labside digitalization—A laboratory study. Dent. Mater. 2014, 30, 400–407. [Google Scholar] [CrossRef]
- Ender, A.; Zimmermann, M.; Attin, T.; Mehl, A. In vivo precision of conventional and digital methods for obtaining quadrant dental impressions. Clin. Oral Investig. 2016, 20, 1495–1504. [Google Scholar] [CrossRef] [Green Version]
- Güth, J.-F.; Keul, C.; Stimmelmayr, M.; Beuer, F.; Edelhoff, D. Accuracy of digital models obtained by direct and indirect data capturing. Clin. Oral Investig. 2013, 17, 1201–1208. [Google Scholar] [CrossRef] [PubMed]
- Mangano, A.; Beretta, M.; Luongo, G.; Mangano, C.; Mangano, F. Conventional vs digital impressions: Acceptability, treatment comfort and stress among young orthodontic patients. Open Dent. J 2018, 12, 118–124. [Google Scholar] [CrossRef] [PubMed] [Green Version]
- Hassan, W.N.W.; Yusoff, Y.; Mardi, N.A. Comparison of reconstructed rapid prototyping models produced by 3-dimensional printing and conventional stone models with different degrees of crowding. Am. J. Orthod. Dentofac. Orthop. 2017, 151, 209–218. [Google Scholar] [CrossRef] [Green Version]
- Camardella, L.T.; de Vasconcellos Vilella, O.; Breuning, H. Accuracy of printed dental models made with 2 prototype technologies and different designs of model bases. Am. J. Orthod. Dentofac. Orthop. 2017, 151, 1178–1187. [Google Scholar] [CrossRef] [Green Version]
- Osman, R.B.; Alharbi, N.; Wismeijer, D. Build angle: Does it influence the accuracy of 3D-printed dental restorations using digital light-processing technology? Int. J. Prosthodont. 2017, 30, 182–188. [Google Scholar] [CrossRef] [PubMed]
- Barazanchi, A.; Li, K.C.; Al-Amleh, B.; Lyons, K.; Waddell, J.N. Additive technology: Update on current materials and applications in dentistry. J. Prosthodont. 2017, 26, 156–163. [Google Scholar] [CrossRef]
- Jeong, Y.-G.; Lee, W.-S.; Lee, K.-B. Accuracy evaluation of dental models manufactured by CAD/CAM milling method and 3D printing method. J. Adv. Prosthodont. 2018, 10, 245–251. [Google Scholar] [CrossRef] [PubMed] [Green Version]
- Persson, A.S.; Andersson, M.; Odén, A.; Sandborgh-Englund, G. Computer aided analysis of digitized dental stone replicas by dental CAD/CAM technology. Dent. Mater. 2008, 24, 1123–1130. [Google Scholar] [CrossRef]
- Dawood, A.; Marti, B.M.; Sauret-Jackson, V.; Darwood, A. 3D printing in dentistry. Br. Dent. J. 2015, 219, 521–529. [Google Scholar] [CrossRef]
- Hazeveld, A.; Slater, J.J.H.; Ren, Y. Accuracy and reproducibility of dental replica models reconstructed by different rapid prototyping techniques. Am. J. Orthod. Dentofac. Orthop. 2014, 145, 108–115. [Google Scholar] [CrossRef]
- Young, H.M.; Smith, C.T.; Morton, D. Comparative in vitro evaluation of two provisional restorative materials. J. Prosthet. Dent. 2001, 85, 129–132. [Google Scholar] [CrossRef] [PubMed]
- Chaturvedi, S.; Alqahtani, N.M.; Addas, M.K.; Alfarsi, M.A. Marginal and internal fit of provisional crowns fabricated using 3D printing technology. Technol. Health Care 2020, 28, 635–642. [Google Scholar] [CrossRef]
- Karalekas, D.; Aggelopoulos, A. Study of shrinkage strains in a stereolithography cured acrylic photopolymer resin. J. Mater. Processing Technol. 2003, 136, 146–150. [Google Scholar] [CrossRef]
- Wu, D.; Zhao, Z.; Zhang, Q.; Qi, H.J.; Fang, D. Mechanics of shape distortion of DLP 3D printed structures during UV post-curing. Soft Matter 2019, 15, 6151–6159. [Google Scholar] [CrossRef] [PubMed]
- Kim, S.-Y.; Shin, Y.-S.; Jung, H.-D.; Hwang, C.-J.; Baik, H.-S.; Cha, J.-Y. Precision and trueness of dental models manufactured with different 3-dimensional printing techniques. Am. J. Orthod. Dentofac. Orthop. 2018, 153, 144–153. [Google Scholar] [CrossRef] [PubMed] [Green Version]
- Jiang, X.; Lin, Y.; Cui, H.Y.; Di, P. Immediate loading of multiple splinted implants via complete digital workflow: A pilot clinical study with 1-year follow-up. Clin. Implant Dent. Relat. Res. 2019, 21, 446–453. [Google Scholar] [CrossRef] [PubMed]
- Alsharbaty, M.H.M.; Alikhasi, M.; Zarrati, S.; Shamshiri, A.R. A clinical comparative study of 3-dimensional accuracy between digital and conventional implant impression techniques. J. Prosthodont. 2019, 28, e902–e908. [Google Scholar] [CrossRef]
- Saleh, W.K.; Ariffin, E.; Sherriff, M.; Bister, D. Accuracy and reproducibility of linear measurements of resin, plaster, digital and printed study-models. J. Orthod. 2015, 42, 301–306. [Google Scholar] [CrossRef]
- Sherman, S.L.; Kadioglu, O.; Currier, G.F.; Kierl, J.P.; Li, J. Accuracy of digital light processing printing of 3-dimensional dental models. Am. J. Orthod. Dentofac. Orthop. 2020, 157, 422–428. [Google Scholar] [CrossRef]
- Rebong, R.E.; Stewart, K.T.; Utreja, A.; Ghoneima, A.A. Accuracy of three-dimensional dental resin models created by fused deposition modeling, stereolithography, and Polyjet prototype technologies: A comparative study. Angle Orthod. 2018, 88, 363–369. [Google Scholar] [CrossRef] [Green Version]
- Koseoglu, M.; Kahramanoglu, E.; Akin, H. Evaluating the effect of ambient and scanning lights on the trueness of the intraoral scanner. J. Prosthodont. 2021, 30, 811–816. [Google Scholar] [CrossRef]
- Revilla-León, M.; Subramanian, S.G.; Özcan, M.; Krishnamurthy, V.R. Clinical study of the influence of ambient light scanning conditions on the accuracy (trueness and precision) of an intraoral scanner. J. Prosthodont. 2020, 29, 107–113. [Google Scholar] [CrossRef]
- Park, G.-S.; Kim, S.-K.; Heo, S.-J.; Koak, J.-Y.; Seo, D.-G. Effects of printing parameters on the fit of implant-supported 3D printing resin prosthetics. Materials 2019, 12, 2533. [Google Scholar] [CrossRef] [PubMed] [Green Version]
- Rubayo, D.D.; Phasuk, K.; Vickery, J.M.; Morton, D.; Lin, W.-S. Influences of build angle on the accuracy, printing time, and material consumption of additively manufactured surgical templates. J. Prosthet. Dent. 2021, 126, 658–663. [Google Scholar] [CrossRef] [PubMed]
- Marcel, R.; Reinhard, H.; Andreas, K. Accuracy of cad/cam-fabricated bite splints: Milling vs 3D printing. Clin. Oral Investig. 2020, 24, 4607–4615. [Google Scholar] [CrossRef] [PubMed]
- Schirmer, U.R.; Wiltshire, W.A. Manual and computer-aided space analysis: A comparative study. Am. J. Orthod. Dentofac. Orthop. 1997, 112, 676–680. [Google Scholar] [CrossRef]
- Hirogaki, Y.; Sohmura, T.; Satoh, H.; Takahashi, J.; Takada, K. Complete 3-D reconstruction of dental cast shape using perceptual grouping. IEEE Trans. Med. Imaging 2001, 20, 1093–1101. [Google Scholar] [CrossRef]
- Halazonetis, D.J. Acquisition of 3-dimensional shapes from images. Am. J. Orthod. Dentofac. Orthop. 2001, 119, 556–560. [Google Scholar] [CrossRef]
- Bell, A.; Ayoub, A.; Siebert, P. Assessment of the accuracy of a three-dimensional imaging system for archiving dental study models. J. Orthod. 2003, 30, 219–223. [Google Scholar] [CrossRef]
- Joda, T.; Matthisson, L.; Zitzmann, N.U. Impact of aging on the accuracy of 3D-printed dental models: An in vitro investigation. J. Clin. Med. 2020, 9, 1436. [Google Scholar] [CrossRef]
- Caputi, S.; Varvara, G. Dimensional accuracy of resultant casts made by a monophase, one-step and two-step, and a novel two-step putty/light-body impression technique: An in vitro study. J. Prosthet. Dent. 2008, 99, 274–281. [Google Scholar] [CrossRef]
- Martorelli, M.; Gerbino, S.; Giudice, M.; Ausiello, P. A comparison between customized clear and removable orthodontic appliances manufactured using RP and CNC techniques. Dent. Mater. 2013, 29, e1–e10. [Google Scholar] [CrossRef] [PubMed]
- Kim, R.J.-Y.; Park, J.-M.; Shim, J.-S. Accuracy of 9 intraoral scanners for complete-arch image acquisition: A qualitative and quantitative evaluation. J. Prosthet. Dent. 2018, 120, 895–903.e891. [Google Scholar] [CrossRef] [PubMed]
- Jeong, I.-D.; Lee, J.-J.; Jeon, J.-H.; Kim, J.-H.; Kim, H.-Y.; Kim, W.-C. Accuracy of complete-arch model using an intraoral video scanner: An in vitro study. J. Prosthet. Dent. 2016, 115, 755–759. [Google Scholar] [CrossRef] [PubMed]
- Gan, N.; Xiong, Y.; Jiao, T. Accuracy of intraoral digital impressions for whole upper jaws, including full dentitions and palatal soft tissues. PLoS ONE 2016, 11, e0158800. [Google Scholar] [CrossRef] [PubMed] [Green Version]
- Malik, J.; Rodriguez, J.; Weisbloom, M.; Petridis, H. Comparison of accuracy between a conventional and two digital intraoral impression techniques. Int. J. Prosthodont. 2018, 31, 107–113. [Google Scholar] [CrossRef]
- Aragón, M.L.; Pontes, L.F.; Bichara, L.M.; Flores-Mir, C.; Normando, D. Validity and reliability of intraoral scanners compared to conventional gypsum models measurements: A systematic review. Eur. J. Orthod. 2016, 38, 429–434. [Google Scholar] [CrossRef]
- Wesemann, C.; Muallah, J.; Mah, J.; Bumann, A. Accuracy and efficiency of full-arch digitalization and 3D printing: A comparison between desktop model scanners, an intraoral scanner, a CBCT model scan, and stereolithographic 3D printing. Quintessence Int. 2017, 48, 41–50. [Google Scholar]
- Vecsei, B.; Joós-Kovács, G.; Borbély, J.; Hermann, P. Comparison of the accuracy of direct and indirect three-dimensional digitizing processes for CAD/CAM systems—An in vitro study. J. Prosthodont. Res. 2017, 61, 177–184. [Google Scholar] [CrossRef]
Publisher’s Note: MDPI stays neutral with regard to jurisdictional claims in published maps and institutional affiliations. |
© 2022 by the authors. Licensee MDPI, Basel, Switzerland. This article is an open access article distributed under the terms and conditions of the Creative Commons Attribution (CC BY) license (https://creativecommons.org/licenses/by/4.0/).