Next Article in Journal
Self-Attentive Moving Average for Time Series Prediction
Next Article in Special Issue
Ergonomic Recommendations for Range of Control Panel Angle of Touchscreen Kitchen Appliances
Previous Article in Journal
Assessment of the Resource Potential of Baltic Sea Macroalgae
Previous Article in Special Issue
A Preliminary Experimental Study on the Workers’ Workload Assessment to Design Industrial Products and Processes
 
 
Font Type:
Arial Georgia Verdana
Font Size:
Aa Aa Aa
Line Spacing:
Column Width:
Background:
Article

Computer Aided Orthognathic Surgery: A General Method for Designing and Manufacturing Personalized Cutting/Repositioning Templates

1
STAR Engineering S.R.L., 41053 Maranello, MO, Italy
2
Department of Industrial Engineering, University of Salerno, Via Giovanni Paolo II, 132, 84084 Fisciano, SA, Italy
3
Ruggi d’Aragona Hospital, 84125 Salerno, SA, Italy
4
Department of Medicine, Surgery and Dentistry, University of Salerno, Via Salvador Allende, 84081 Baronissi, SA, Italy
*
Author to whom correspondence should be addressed.
Appl. Sci. 2022, 12(7), 3600; https://doi.org/10.3390/app12073600
Submission received: 11 January 2022 / Revised: 28 March 2022 / Accepted: 29 March 2022 / Published: 1 April 2022

Abstract

:
Orthognathic surgery allows broad-spectrum deformity correction involving both aesthetic and functional aspects on the TMJ (temporo-mandibular joint) and on the facial skull district. The combination of Reverse Engineering (RE), Virtual Surgery Planning (VSP), Computer Aided Design (CAD), Additive Manufacturing (AM), and 3D visualization allows surgeons to plan, virtually, manipulations and the translation of the human parts in the operating room. This work’s aim was to define a methodology, in the form of a workflow, for surgery planning and for designing and manufacturing templates for orthognathic surgery. Along the workflow, the error chain was checked and the maximum error in virtual planning was evaluated. The three-dimensional reconstruction of the mandibular shape and bone fragment movements after segmentation allow complete planning of the surgery and, following the proposed method, the introduction of both the innovative evaluation of the transversal intercondylar distance variation after mandibular arch advancement/set and the possibility of use of standard plates to plan and realize a customized surgery. The procedure was adopted in one clinical case on a patient affected by a class III malocclusion with an associated open bite and right deviation of the mandible with expected good results. Compared with the methods from most recent literature, the presented method introduces two elements of novelty and improves surgery results by optimizing costs and operating time. A new era of collaboration among surgeons and engineer has begun and is now bringing several benefits in personalized surgery.

1. Introduction

Orthognathic surgery allows broad-spectrum deformity correction involving both aesthetic and functional aspects on the TMJ (temporo-mandibular joint) and on the facial skull district.
The type of surgery to be performed depends on the patient’s pathology. In 1907, Blair was the first to perform a classification of the dentofacial deformity by dividing the deformity of the jaws into five classes: mandibular prognathism and retrognathism, alveolar mandibular and maxillary protrusion, and open bite [1]. An important aspect that characterized the evolution of the orthognathic surgery consists of the application of plates and screws in terms of rigid or semi-rigid fixation. The use of screws and plates, as a milestone in orthognathic surgery, is easy, rapid, and reliable, and it is demonstrated that it is useful for the patient because it does not imply the intermaxillary fixation that obliges the patients to not open the mouth for long periods with the consequent implications.
Orthognathic surgery sometimes appears to be the only way to correct dentofacial deformities; in fact, the orthodontic phase can only act on the mutual position of the teeth but not on the position and the shape of the bones that support them. To make it easier, a virtual assisted approach of the planning phase was demonstrated to have a higher level of accuracy that implies not only a precise analysis of dentofacial deformities but also an accurate preoperative planning [2]. In fact, the success of a surgical intervention is influenced not only by intraoperative techniques but also and above all by a correct and precise planning of the treatment to be implemented [3,4].
An important instrument to reach a high level of the maxillary position’s accuracy and the functional centric occlusion is the anatomical articulator with its face bow transfer [5]; furthermore, preoperative clinical and radiographic assessment is needed to define a correct treatment plan, and surgeons have to manage different types of data and information to model the surgical operations and to create physical mockups of the patients’ mouth.
The current surgery practice requires the use of an occlusal splint that records the desired position of the dental arches. The key element of the procedure necessary to the success of the surgery resides both in the dental splints recorded in the articulator and in the human surgeon dexterity that, during the surgery, drive the osteotomized segments into the desired position. Segments are fixed in the final position through the use of plates and screws.
The patient model surgery is carried on, with the simulated postoperative positioning, to create wafers, which are essential means of transferring the treatment plan into an accurate surgical procedure. The procedure starts with a jaw-print on a deformable model and the creation of the mouth model for recording the original mutual position (between mandible and maxilla) using the face bow. Surgeons are able to reposition the mouth models in the articulator in order to create the splint for recording the final wanted position. In this way, surgeons have a preview of the final occlusion and can define the best surgery strategy to reach the goal for the patient satisfaction.
Obviously, surgery has a key role, especially in the correction of deformities relative to the basic bone structures of facial mass; orthodontists usually intervene only on the mutual position of the teeth but not on the position of the bones with a lack of precision under a functional point of view; jaw functionality is also strictly related to facial aesthetic, being an important element for the individual’s social relationships.
Standard intervention procedures provide manual operations for splint positioning, mandibular dissection, condylar positioning, and plate screwing. Manual operations are intrinsically affected by human errors due to, for example, planning errors (having functional and aesthetic consequences), patient body behavior (position and unpredictable muscle tone), surgeon ability while screwing, cutting and plates handling, and, finally, low precision in splint manufacturing.
A lot of efforts and progress have been made in the direction of custom-made surgery through which it is possible to obtain plates that fit perfectly with the specific morphology of the patient’s bones. Custom-made surgery devices require high-precision measurements of human tissues/bones and needs non-standard design and manufacturing methods with higher costs than usual.
The purpose of this study was the definition of a proper methodology to perform a fully customized orthognathic surgery by designing and manufacturing personalized cutting/repositioning templates through computer-aided design and additive manufacturing technologies.

2. New Methodologies and Instruments

The use of Computer Aided Design and Manufacturing (CAD/CAM) techniques brings great results and progress both in orthognathic surgery and in aesthetic surgery. Ref. [6] underlined the advantages in the use of CAD/CAM techniques not only in surgery planning, but also in design and manufacturing of cutting guides, occlusal splints, and custom-made plates for assisting the surgeons in correct repositioning of bone segments. Ref. [7] showed how the CAD/CAM approach improves the surgeons’ capabilities through the virtual preoperative planning that allowed the reduction of operating time and surgical impact on patients.
The accuracy of the innovative methodologies for maxillary repositioning has been evaluated in a timely manner, comparing the new methods with the Conventional Model Surgery (CMS) [8,9] in scientific literature; research suggests that the most important limitation of traditional techniques lies in the transfer of quantitative information between plaster casts and the articulator and patient’s face skeleton.
A limitation of traditional techniques for craniofacial modeling is that they tend to focus on dental occlusions without taking into account the movement of the jaws [10]. As reported in ref. [11], the comparison between the traditional approach and the one that uses innovative technologies showed the relevance of the use of the third dimension for diagnostic purposes, for the planning of the treatment, and for the definition of the surgical operation in the History of orthognathic surgery. In ref. [8], for example, it was demonstrated how in VSP techniques the higher error (about 2 mm) in the maxillary position is better than the best outcome given by CMS, and the jaw repositioning and functionalities takes advantage of that.
An important factor that can determine the success or failure of an intervention lies in the perfect control of the movements; this aspect can be managed through today’s “computer aided” technologies [9]; through 3D planning techniques, the surgeon can more easily understand, thanks to the virtual prototyping of the intervention, which procedures should be addressed to correct deformities and to achieve perfect symmetry and harmony of the face. Furthermore, intraoperative manipulations are drastically reduced thanks to the preventive design of surgical guides that allow cutting and positioning of bones considering the personal patient’s bone morphology.
There has been a growing interest in the last 20 years for Computer Aided Surgery (CAS) techniques; this entailed a search for low-radiation diagnostic systems, better-performing commercial software, and rapid manufacturing techniques [12]. Even if CAS more easily entails errors because of the uneasiness complexity of use of Virtual Surgical Planning (VSP) instruments like Computer-Aided Design (CAD) programs and 3D visualization programs [8], the VSP is a powerful tool because it allows us to create and show, in a virtual environment, all the conditions that both the surgeon and the patient could face on and provides instruments to reach the surgery goal [13,14].
The surgery planning enhanced by the computer-aided techniques, nowadays, includes different types of approaches such as advanced imaging, analysis, software, and the creation of prototypes using additive manufacturing techniques [12]. The combination of VSP, CAD, Computer-Aided Manufacturing (CAM), and 3D visualization allows surgeons to plan, virtually, manipulations and the translation of the human parts in the operating room [15].
Computer-Aided (CA) techniques can be used for different types of surgery; in cranio-maxillofacial surgery, there are two main approaches: image guided and template guided. The first one uses images to drive the surgeons in their operations, while the second one, instead, uses physical templates and special devices to perform the surgery [12]. In both cases, CA techniques start with the collection of the data to plan the needed manipulations for positioning the bones [4]. This planning phase is not an operational phase and is highly time consuming (preparatory time), but is needed for the achievement of excellent results for the intervention [12,14].
The protocol developed by [4] represents a milestone for computer-assisted surgical simulation and ref. [16] stated that, in the near future, the VSP will completely replace the CMS approach for the bi-maxillary surgery.
Due to the need of high technical skill, a correct VSP procedure in orthognathic surgery can be planned only by surgeons and engineers working in teams. In ref. [4], the procedure was deployed in four main steps: collection of preoperative records, data processing, surgical planning, and preparation for the surgery. Other procedures can be found in the literature, but each of them starts with the acquisition of the information; in many articles this step is closely connected with the virtual reconstruction of the head and the definition of a reference system for referencing the final occlusion parameters in the virtual environment. Some authors [17] focus on the creation of a “composite skull model” and on its orientation according to the natural head position and also focus on the quantification and analysis of deformities. Other authors [18] itemized the first steps in terms of 3D image acquisition, creation of a skull-dental composite model, setting up of virtual facial references, and diagnosis. In some literature [19,20], the use of 3D cephalometry to quantify and qualify skull deformities is reported. Ref. [21] showed how the effectiveness of a 3D virtual treatment planning of orthognathic surgery was linked to a 3D creation of physical devices like splints, guides, or templates for managing the surgery.
Furthermore, other researchers [15] defined a general workflow for CAS application and distinguished four steps: data acquisition, planning, surgery, and assessment.
The procedure starts with a segmentation based on image pixel threshold; the segmentation is the preliminary step before the definition and manipulation of the 3D bone model, which is one of the aims of the surgical planning [22]. This segmentation can be performed in a 2D (simulated 3D) environment and in a 3D environment; the latter can be realized through an immersive responsive virtual reality (VR) workbench and can provide “real” feedback feelings for surgical planning and simulation, but requires extremely expensive VR devices and a high-end graphics workstation, which is not yet possible for hospital settings [22]. So, the most common devices used for performing the segmentation of images and the creation of 3D models are the 2D environment applications. Nevertheless, these, thanks to advances in digital technology, can reach a high level of precision and accuracy [10].
In the literature [23], a general methodology for a VSP/CAD/CAM system use was presented; it required the following steps: (1) data acquisition, (2) medical image analysis, (3) 3D anthropometric analysis, (4) surgical simulation, (5) implant/template design via CAD software, (6) implant/template fabrication via RP, (7) an on-line communication tool, and (8) a management system.
Following this procedure, the surgeon can compare and optimize surgical options and the patient has the opportunity to visualize the complexity of achieving the desired result.
Furthermore, the innovation brought in technologies for medical fields like CAD/CAM, Reverse Engineering, CT, MRI and Additive Manufacturing and allowed the availability models of parts of human anatomy and the production of personalized surgical equipment [24]. A new era of collaboration among surgeons and engineers has begun [25] and is now bringing several benefits in personalized surgery like the bi-maxilla-facial one.
References [26,27] showed how the CAD/CAM approach, supported by engineers, helps to introduce personalized devices to overcome the disadvantages in the use of standard plates, screws, and splints, especially in controlling the vertical position of the maxilla.
Reference [28] recently showed how Additive Manufacturing (CAD/AM) techniques are useful not only in surgery planning and in the realization of personalized devices in orthognathic surgery, but also in other fields of medicine like cranioplasty and spine surgery [29,30,31]; CAD/AM manufacturing seems to be the future of surgery and a standard procedure is needed for its use in standard operations in order for both surgeons and patients to face the surgery with greater confidence.
A problem that should not be underestimated in orthognathic surgery and which is still not fully investigated in the literature concerns the repositioning of the condyles within the glenoid fossa [14]; during orthognathic surgery, the surgeons’ skill and experience are mainly relied on the ensure that the positioning is the best possible for the patient (centric relation with the condyles well “seated” in the most upward position in the glenoid fossa). Centric occlusion is currently achieved by a traditional or digital custom-made occlusal splint, but centric relation is currently related to the surgeon’s sensibility and experience because the mandibular ramus with the condyle cannot be managed by occlusal splints.
To prevent unsatisfactory results related to condylar malposition after surgery, researchers recently proposed the use of different skeletal surgical guides to manage ramus and condyle positioning at the fixation time during surgery, each of them showing specific advantages and drawbacks.
One of the most used techniques in mandible treatment, as an example, is the Bilateral Sagittal Split Osteotomies (BSSO); the mandible BSSO is the surgical technique that is most widely used for the treatment of mandibular prognathism; this technique was firstly introduced by Schuchard and then modified by Dal Pont, Trauner, and Obwegeser [32]. BSSO is usually completed with a Z-like distal osteotomy line to prevent any risk for mandibular nerve injury. It involves a full thickness oblique bone cut at the inferior border of the mandible to achieve precise control of the lingual osteotomy and alveolar nerve preservation avoiding osteotome use for splitting maneuvers at the alveolar nerve area [14]. The Obwegeser/Dal Pont osteotomy is a sagittal osteotomy bilateral fractional of the jaw that can extend to the ramus, at the corner and even in the rear part. It divides the jaw into two smaller segments: posterior, carrying the condyle, and a large segment consisting of the mandibular body including the teeth and the chin. Sagittal and extended cutting tends to increase the areas of contact between the segments and therefore to better revascularization and osteogenesis, see Figure 1. However, it can be associated with a high risk of iatrogenic damage to the nervous structures through the splitting procedure.
On the basis of this wide scientific literature, in this paper, the authors proposed a new methodology for including the positive experiences of researchers and surgeons and to improve the aspects that bring errors and issues with them. The new idea is to develop a workflow that is able to take into account the problems and to minimize errors with a reduction in operating times and in costs. The workflow is based on massive use of CAD/AM technologies, virtual prototyping, reverse engineering, and new medical devices that allow personalization of the surgery by using standard screws and plates.
The proposed method allows us to consider, with high accuracy, the errors’ chain and to improve the surgery results thanks to the sequence of operations. Furthermore, the high novelty of the method is also in taking into account the telescopic mechanics of mandibula in case of BSSO, which causes the loss of the centric nature in condylar positioning, and to prevent this common error by a correct virtual surgery planning. The methodology core is based on the development of a special template that is able to drive the surgeon both in cutting and in re-positioning operation and to give them the right guideline for screw implanting. A test case is reported to show the results of methodology application.

3. Materials and Methods

The proposed template is an instrument that intends to help the surgeon during the intervention both to carry out the osteotomies and to guide the repositioning of the osteotomized segments following a path previously defined in the virtual environment. The proposed approach requires a close collaboration between the medical team and the engineers/designer as CAD/AM experts for defining, modelling, and manufacturing a special template for orthognathic surgery and to preventively analyze and correct the possible errors and to evaluate, prior to the real intervention, the future jaw’s movements.
The proposed approach is based on the literature review and on the direct experience of orthognathic surgeons that were interviewed and whose knowledge was codified in the proposed methodology. The method is deployed in four main steps: anatomy reconstruction, CA surgery planning, template design, and manufacturing, by AM techniques, of bones and templates to check and verify the results.

3.1. 3D Reconstruction of the Jaws

The CT (Computerized Tomography) is the starting point of this procedure. The DICOM (Digital Imaging and Communications in Medicine) images from the CT scan of the involved zones, in this case the jaws, were imported in the open-source software 3D Slicer (3D Slicer, Open source software—https://www.slicer.org, Harvard Medical School, Boston, USA) and used to realize the segmentation.
3D Slicer allows one to return to information regarding CT; in particular, the CT concerning the patient who was the subject of the study for the elaboration of the methodology had the following characteristics:
Scan option: spiral CT;
  • distance source to detector (distance in mm between source and detector) is equal to 949.075;
  • distance source to patient (distance in mm from the source to the isocenter (center of the FOV) equal to 541;
  • reconstruction diameter (diameter in mm of the region in which the data was used to create the image reconstruction) equal to 250;
  • slice thickness: 1.25 mm;
  • spiral pitch factor: 0.5625.
The segmentation allows the definition of the 3D model of the jaws in order to design the template afterwards. Teeth 3D reconstruction is carried out using a laser surface scanner; this step is required because the CT/CBCT imaging data do not provide enough details of the dentition [33], and thus a high-resolution scan is required. The best practice asks for high-resolution scans (to create 3D models) of the facial skeleton, teeth, and soft tissues; a facial model created by aligning and merging digital dental models into a maxillofacial CT is called a ‘composite model’ [4] This step, although extremely important for a correct reconstruction of the anatomical elements of interest, was not carried out in this phase as one of the primary purposes of this work was in the definition of the methodology for the design of the aid templates for the surgeon.
Coronal, sagittal, and transverse planes, that are the characteristic planes of the human body, are considered coincident with those of the CT scans [31]. Following this kind of operations, 3D models are primarily converted, using the same software, into STL (Solid To Layer) ones and then, using Geomagic software (Design X rel., 3D Systems, Rock Hill, SC, USA) into IGES (Initial Graphics Exchange Specification) models that are modelled by surfaces. Furthermore, is possible to reconstruct in detail the structure of the condyles. Mandibular’s structure processing, through Geomagic, at this step, has allowed to evaluate the peculiarities of the three-dimensional model defined on Computed Tomography. In particular, for the case in exam, the mandibular structure presents 846 faces, 1692 corners and 400,000 mesh triangles. After that, the models are imported into Rhinoceros (Robert McNeel & Associates, Seattle, WA, USA) for preparing the data for template design.
Reported errors among the real tissues/bones geometries and the reconstructed-by-CT ones are less than 0.06 mm while segmentation errors are less than 0.05 mm [34].

3.2. Computer Aided Surgery Planning

This step needs the supervision, jointly, of the surgeon and of an expert of CAD/CAM technologies like a designer or an engineer. As already mentioned, the case test was a BSSO case. In fact, as first task, the osteotomies that the surgeon will to realize during the real surgery have to be defined and planned.
The first referral approach has been given by [35], in which a splint-less approach for double-jaw orthognathic surgery was described and validated. This approach utilized a personalized orthognathic surgical guide (POSG) system in which the cutting guides (Figure 2) were first used to predrill screw holes and guide osteotomies.
The second referral approach was inspired by [36], in which a Orthognathic Positioning System was presented and consists of intraoperative occlusal-based devices that transfer virtual surgical planning to the operating field for repositioning of the osteotomized dentoskeletal segments. The system used detachable guides connected to an occlusal splint and in-bone drilled landmarks and was verified through virtual surgery planning.
Following these recent approaches, our methodology was developed.
Regardless of the osteotomies’ type, the approach to design and to model the template for osteotomies is not dependent on the kind of surgery and of the final wanted results; the procedure to realize a cutting template is the same for each kind of surgery and only the final position of the osteotomized segments and the osteotomies’ path could change. In the virtual environment, the osteotomies are modelled by using solid with constant thickness (the same thickness of the drill used during the real surgery) that are subtracted (by a Boolean operation) to the CAD model of the mandible. Due to the simplicity of modelling, it is easy to define, in the virtual environment, as many models as the jaws’ configurations could be; in fact, a template that allows the cutting and repositioning of the osteotomized jaws must be able to identify and even more to fit the different configurations of the jaws: the first model for the untouched mandible, the second one for the configuration after the osteotomies’ realization, and the last one for the final position of the repositioned jaw. The telescopic effect to which the jaw is subjected after repositioning (the purple one) is shown in Figure 3.
The final position will be reached following the instruction and the decision of the surgeon through the virtual roto-translation (usually in 3DOF: i.e., Z and Y translation and rotation around the X axis) of the model of the osteotomized section of the mandible in the CAD environment; for this reason, the collaboration between the medical team (for repositioning decision) and designers/engineers (for actuating the instructions in the virtual environment) is important. After that, in the same virtual environment, the screws and the plate are imported. First of all, the plate is laid near the external surface of the mandible; the plates must have at least four holes, for the screws, and it is placed among the two mobilized segments with two holes on one side and the other ones on the other side of the osteotomy. After that, the screws are imported in the virtual environment and placed in the holes with the mandible in its final configuration. The key point of the whole procedure is the recording of the screws position in the mandible in its last configuration. After that, the mandible, with the screws fixed, will be replaced in its second configuration with the only mandible represented. The error in CAD modelling, when working on a mesh for creating surfaces, is always lower than 0.055 mm in X-Y plane (the slicing plane) and lower than 0.29 mm in the Z-direction [34].

3.3. Template Design

The next step of the proposed procedure is the modeling of the template considering the skeletonized sites along the mandible and the presence of the teeth in the anterior part. The template is modeled according to the external, internal, and upper surfaces of the mandible. The footprint of the mandible into the template is realized using a Boolean subtraction between a massive solid and the external surface of the solid representing the mandible. Boolean operation among solids in Cad Modelling systems is the easiest way to create solids’ footprints because they act as a plaster cast. After that, another Boolean subtraction is performed between the template and the screws but only after positioning the mandible in its second configuration. In this way, the template needs to be prepared with four holes in which the screws will be placed during the surgery. In fact, the half-open buttonholes are realized as an open cut along the extraction direction from the hole’s center to the lower bound of the template.
For an optimal modeling of the template in order that it performs the function which it was designed for, the steps of the actual operation must be considered. The screws’ positioning and therefore their template accommodation has to be thought by considering both the mandible’s final position and therefore the mutual position between the upper and lower dental arch and the fixation plate’s placing. In the modeling phase, it is critical to consider the plate’s size and the distances between its holes because it affects the screws’ placement on the template. On the template there are four placements because during the replacement, it must be fixed by three screws that provide stability to the mandible and disallow unwanted rotations or translations.

3.4. Template Manufacturing by AM Technologies

Once the model of the surface at interface of the template is completed, the solid is created, leaving a sufficient thickness to assure the right rigidity and strength of the template for its cutting, guiding, and repositioning use. The CAD model of the template is transformed in an STL model.
The choice of material for the realization of the element depends on the printing technology that one decides to use; in any case, the choice falls on a biocompatible material.
With an STL technology, one needs a resin, with an FDM technology; PEEK is required instead with an SLS technology, and it is appropriate to use titanium. Orientation is also a factor that depends on the type of machinery one decides to use; some machines prefer a vertical orientation of the piece, and others instead prefer a 45° orientation to compensate for the precision on the different planes. Another factor to take into consideration on which the yield of the piece depends is the size of the object under examination. Small pieces suffer less from precision but instead suffer from resolution; thin pieces suffer thermal deformations. The final model of the template can be used in the operating room after its physical realization through rapid manufacturing; because the template is an object that comes into contact with the tissues of the body, the material used in the rapid (additive) manufacturing process must be bio-compatible. Following the approach of ref. [31], the template has to be created using, for example, the stereolithography process with a biocompatible resin like the Dental (Prolab Materials, Volpiano, Italy). The needed supports have to not be placed in the contact zone between the bone and the template in order to preserve, as much as possible, the right geometry (precise one) of the interface between template and bone, without altering it with the operation of removing the prototyped model‘s supports. The post-manufacturing phase for this type of instrument is the same as the ones presented by ref. [31] (removing residues by IPA and UV-drying).
The rapid manufacturing process intrinsically brings with it an error in the X-Y plane that depends on technologies (lower than 0.3 mm for FDM and lower than 0.14 mm for SLS) and in the Z-direction (lower than 0.8 for FDM and lower than 0.025 for SLS) [34].
Once realized through a rapid manufacturing technique and after a sterilization process, the template for ramous and condyle positioning can be used in the operating room. First of all, the template is fixed on the mandible, taking as references the last tooth available and the skeletonized site on the posterior ascending branch of the mandible. As soon as the template is placed, the screws must be fixed and after that their heads have to be cut by rongeur. The replacement of the mandible is carried out thanks to the plate that automatically leads it to the final correct position. The only information that the surgeon must know is about which holes, if the plate has more than four holes, are involved in the fixation of the plates on the mandible. After that, the screws, one at a time, are replaced with screws with the head that ensure the final fixation. This cutting screw heads procedure is needed to place the personalized CAD/AM fixation plates at the pre-drilled sites in the posterior area of the mandible not visible at the intraoral access but which are more suitable for proper fixation. Because of the triangular shape of the mandible and the rigid telescopic mechanic of the BSSO, any elongation or shortening of the mandibular body will result respectively in an increasing or decreasing of the inter-condylar distance. Positioning the osteotomy site at a posterior aspect of the mandible will decrease the rigidity of the fixation by shortening the overlapping of the bone fragments at the telescopic BSSO sites. In this way, discrepancies at the osteotomy sites during fixation will be improved or, in the best cases, eliminated. A minor gap after mandibular set-back and less pre-contact will result at the osteotomy sites during fixation.
The overall error, in the worst case of SLS 3D-printing of devices (template), can be considered as equal to the sum of the maximum errors that could happen. The sum is 0.62 mm. It is clear that this value of precision, which can be reached thanks to the proposed procedure, is definitively higher than the most precise surgeon that operates manually or using some manually handled and manually manufactured devices (like splints).
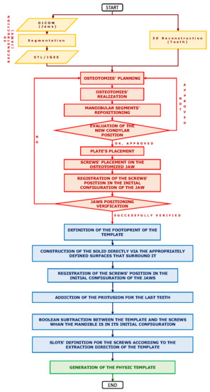
The whole procedure follows the macro-phases shown in Figure 4; the detailed procedure is represented in the workflow in Figure 5.

4. Results

The procedure was adopted in one clinical case on a patient affected by a class III malocclusion with an associated open bite and right deviation of the mandible. The patient was a 27-year-old male already operated on 5 years prior for multiple fractures of the jaw after a car accident. Screws and plates from the previous operation were removed before new orthognathic surgery. Following our procedure, a high-definition skull CT scan was acquired and digital planning was performed. Evaluation of proper maxillary and mandibular segmentation and movements was performed considering class III, open bite, and asymmetry correction. Additionally, evaluation of gap or overlapping of the bone fragments at the osteotomy sites was acquired up to a final bone fragments positioning feasible in relation to anatomic and surgical technique limits. CAD/AM (Computer-Aided Design/Computer-Aided Manufacturing) surgical guides and custom-made fixation plates were acquired before surgery. In this special case, the standard plates were unable to be used for the particular conformation of the bones.
The surgery to which the patient was subjected required a BSSO and a Le Fort I osteotomy.
Digital personalized procedures with CAD/AM surgical guides and plates were particularly useful in this patient because of the poor dental conditions and difficulties for the patient to access dental care.
Final jaw position was precisely planned and achieved even in this difficult situation.
In the following figures, the medical images, orthopanoramic images (Figure 6 and Figure 7) before and after an orthognathic surgery, the implanting screws (Figure 8), and a digital reconstruction (Figure 9) are shown.
Operation was conducted without particular difficulties with the aid of the surgical guides and custom-made plates and screws fixation system. Surgical guides precisely fitted in the planned facial skeleton areas and pre-drilling holes precisely combined with custom-made plates holes resulting in proper jaw positioning and dental class I occlusion. Additionally, the amount of bone gap and overlapping at the osteotomy sites was restrained to an acceptable degree in relation to anatomic and surgical limits by proper planning combining main skeletal advancement for the upper jaw (5 mm) with a limited amount for mandibular set-back (3 mm) combined with left rotation of the lower midline up to precise fitting with the upper midline.
In this way, we had a small gap between the two mandibular segments at the BSSO sites easily managed at the fixation time during surgery, also preserving a correct condylar position in centric relation.
After cephalometric and occlusal evaluation, the result was considered fully satisfactory for the clinicians and for the patient.
Additionally, masticatory function was evaluated as absolutely satisfactory 6 months after surgery with good stability at one year after x-ray cephalometric and occlusal control. The post-operative TC and the one-year-after control TC showed that the hypothesized errors in applying the proposed methodology were lower than the maximum one (0.65 mm) and acceptable for the BSSO approach.

5. Discussion

The use of virtual CAD/AM techniques allows achieving an accurate and realistic vision of the surgical plan in orthognathic surgery and helps the surgeon to evaluate in a precise and accurate way how to perform the surgery itself. The added value of the VE (virtual environment) as an environment in which CAD/AM techniques have to be used provides the capability to create a new orthognathic surgery methodology by integrating and/or modifying the conventional surgical procedures with a useful reduction of probability of error.
Thanks to the proposed interactive methodology, the surgeon can carry on the surgery without using dental splints that need to be managed and manually held in the correct place during all segments’ repositioning. The virtual environment is able to provide the surgeon an easy way to set their operative field and to plan the best way to conduct the surgery; on the other hand, the easy way of interaction allows engineers to design and realize the best template for performing the surgery, avoiding the errors of manual surgery procedures.
This implies a lighter procedure with less probability of errors and, at the same time, requires even the integration of high-resolution scans with the computer tomography of the bones.
As demonstrated, the errors that can be committed while using correctly the procedure were always less than one millimeter, thus being better than the most precise manual surgery that can be performed by an expert surgeon.
On one hand, modeling software, like Rhinoceros, presents some limitations regarding the solid modeling of complex structures because it cannot manage the Boolean operations, like mathematical/logical intersection with solids having complex shapes. This is one of the biggest limitations of this procedure and is closely linked to the dichotomy between a performing (in terms of graphics and of time of elaboration) use of CAD systems (light mathematics, few geometries, good representation) and a very good representation of complex shapes (high ranked mathematics, very high number of geometrical entities, high resolution in representation). Additionally, the right setup for AM systems could be a “noise factor” that can cause errors and cost increase; this aspect has to be taken into account when following the whole proposed workflow.
Another limitation has to be highlighted in the use of a special kind of plate: despite some authors [37] considering that the best configuration for the stability of the plate and screws is the one having an inverted L configuration, our methodology proposes only the use of linear (with aligned holes) plates. However, this can be easily improved.
Another advantage related to this procedure is the exact evaluation of the transversal intercondylar distance variation after mandibular arch advancement/set back because of the triangular shape of the mandibular arch and the telescopic mechanic of the sagittal split osteotomy. By three-dimensional reconstruction of the mandibular shape and bone fragment movements after segmentation, a precise amount of bone fragments overlapping, in the case of mandibular arch advancement, or diastema in case of set-back, can be calculated. Following this three-dimensional evaluation, proper surgical planning can be developed, selecting bone segment movements compatible with surgical and anatomical limits.

6. Conclusions

This methodology, thanks to the use of computer-aided techniques and additive (rapid) manufacturing systems, provides not only more precision but at the same time provides low costs solutions.
Nowadays, orthognathic surgery’s customization refers to plates that are designed and realized specially on the morphology of the patient’s bones. “Custom-made” solutions that have been developed ensure high precision in repositioning but require very high costs of realization and a long manufacturing time. The cost of the “custom-made” titanium plates, adapted for internal fixing, is expected at thousands of euros (almost 10 times more than the standard plates) [38]. These solutions are very expensive because they require the sintering of metallic powder according to rapid (additive) manufacturing techniques. Thanks to the proposed methodology, it is possible to realize a customized surgery by using standard plates and to know the correct final position of the segments beforehand with lower costs and lower surgery time, as declared by the surgeon.
The proposed procedure is able to give to surgeon a powerful splint-less instrument to plan their surgery in less time than the one required for the multi-step splint technique (commonly adopted up to nowadays) that usually requires a long time to be performed and higher costs.
Precise jaw positioning in orthognathic surgery is paramount to prevent dysfunctional drawbacks and unsatisfactory aesthetic results with heavy impacts for the future life of the patients, and the test case demonstrated that both the surgery and the follow up results were good for the patient.
It has been demonstrated that, using standard devices (usually, cheaper than the personalized ones) and saving surgery time, a precise planning and a more satisfactory surgery, in terms of functional and aesthetic results, can be achieved with the proposed methodology and the presented technologies.
Finally, the workflow allows one to face the “hidden” problems due to the increase/decrease of intercondylar distance (that may cause more than a dysfunction in jaw positioning) and the misalignment of teeth due to abnormal rotation of the mandible. This result is the real added value of the proposed workflow and contributes to increase the precision of surgery and to guarantee the functionality of chewing movements.

Author Contributions

Conceptualization, A.N. and A.C.; methodology, N.C. and L.D.B.; software, L.D.B.; validation, A.C. and A.B.; formal analysis, L.D.B.; investigation, A.N. and A.C.; resources, A.C. and N.C.; data curation, L.D.B.; writing—original draft preparation, L.D.B.; writing—review and editing, L.D.B., A.C. and A.N.; visualization, L.D.B.; supervision, A.N.; project administration, A.N.; funding acquisition, A.N. All authors have read and agreed to the published version of the manuscript.

Funding

This research received no external funding.

Institutional Review Board Statement

The study was conducted in accordance with the Declaration of Helsinki, and approved by the Ethics Committee ASL Napoli Sud, Board document protocol n.40, 4 April 2019, responsible: Todisco Celestino.

Informed Consent Statement

Given for experimental design. In Additional files.

Data Availability Statement

4 April 2019.

Acknowledgments

We would like to thank the staff of the Maxillo-Facial surgery clinic of the Salerno University Hospital in Salerno (Italy). We would like also to thank Emilio Cataldo, Francesco Naddeo and the staff of the Startup company H-Opera s.r.l (www.hoperahealthcare.com) for their support in developing the clinical activities.

Conflicts of Interest

The authors declare no conflict of interest.

Ethics Approval

Granted by Etichal Committee of the Salerno University Hospital in Salerno (Italy) by ASL Napoli 3 Sud.

References

  1. Steinhäuser, E.W. Historical development of orthognathic surgery. J. Cranio-Maxillo-Facial Surg. 1996, 24, 195–204. [Google Scholar] [CrossRef]
  2. Khechoyan, D.Y. Orthognathic Surgery: General Considerations. Semin. Plast. Surg. 2013, 27, 133–136. [Google Scholar] [CrossRef] [PubMed] [Green Version]
  3. Farrell, B.B.; Franco, P.B.; Tucker, M.R. Oral and Maxillofacial Surgery Clinics of North America. Oral Maxillofac. Surg. Clin. NA 2014, 26, 459–473. [Google Scholar] [CrossRef] [PubMed]
  4. Xia, J.J.; Gateno, J.; Teichgraeber, J.F.; Yuan, P.; Chen, K.; Li, J.; Zhang, X. Algorithm for planning a double- jaw orthognathic surgery using a computer-aided surgical simulation (CASS) protocol. Part 1: Planning sequence. Int. J. Oral Maxillofac. Surg. 2015, 44, 1431–1440. [Google Scholar] [CrossRef] [PubMed] [Green Version]
  5. Chowdhary, R.; Walker, F.; Mankani, N.H. Model Surgery: A Presurgical Procedure for Orthognathic Surgeries—Revisited. Int. J. Prosthodont. Restor. Dent. 2011, 1, 71–76. [Google Scholar] [CrossRef]
  6. Sergio, D.; Romano, M.; Hassan, A.; Baj, A.; Anna, G. Use of CAD-CAM technology to improve orthognathic surgery outcomes in patients with severe obstructive sleep apnoea syndrome. J. Cranio-Maxillofacial. Surg. 2019, 47, 1331–1337. [Google Scholar] [CrossRef]
  7. Tarsitano, A.; Battaglia, S.; Ricotta, F.; Bortolani, B.; Cercenelli, L.; Marcelli, E.; Cipriani, R.; Marchetti, C. Accuracy of CAD/CAM mandibular reconstruction: A three-dimensional, fully virtual outcome evaluation method. J. Cranio-Maxillofacial Surg. 2018, 46, 1121–1125. [Google Scholar] [CrossRef]
  8. Ritto, F.G.; Schmitt, A.R.M.; Pimentel, T.; Canellas, J.V.; Comparison, P.J.M. Comparison of the accuracy of maxillary position between conventional model surgery and virtual surgical planning. Int. J. Oral Maxillofac. Surg. 2018, 47, 160–166. [Google Scholar] [CrossRef]
  9. Scolozzi, P. Computer-aided design and computer-aided modeling (CAD/CAM) generated surgical splints, cutting guides and custom-made implants: Which indications in orthognathic surgery? Rev. Stomatol. Chir. Maxillofac. 2015, 116, 343–349. [Google Scholar] [CrossRef]
  10. Wang, M.; Li, H.; Si, J.; Wang, X.; Shen, S.G.; Yu, H. The application of digital model surgery in the treatment of dento-maxillofacial deformities. Int. J. Oral Maxillofac. Surg. 2016, 9, 1808–1814. [Google Scholar] [CrossRef]
  11. Zinser, M.J.; Sailer, H.F.; Ritter, L.; Braumann, B.; Maegele, M. A Paradigm Shift in Orthognathic Surgery ? A Comparison of Navigation, Computer-Aided Designed/Computer-Aided Manufactured Splints, and ‘Classic’ Intermaxillary Splints to Surgical Transfer of Vir. J. Oral Maxillofac. Surg. 2013, 71, 2151.E1–2151.E21. [Google Scholar] [CrossRef]
  12. Edwards, S.P. Computer-Assisted Craniomaxillofacial Surgery. Oral Maxillofac. Surg. Clin. North Am. 2010, 22, 117–134. [Google Scholar] [CrossRef]
  13. Levine, J.P.; Patel, A.; Saadeh, P.B.; Hirsch, D.L. Computer-Aided Design and Manufacturing in Craniomaxillofacial Surgery: The New State of the Art. J. Cranio-Maxillo-Facial Surg. 2012, 23, 288–293. [Google Scholar] [CrossRef]
  14. Cortese, A.; Chandran, R.; Borri, A.; Cataldo, E. A Modified Novel Technique for Condylar Positioning in Mandibular Bilateral Sagittal Split Osteotomy Using Computer-Assisted Designed and Computer-Assisted Manufactured Surgical Guides. J. Oral Maxillofac. Surg. 2019, 77, 1069.e1–1069.e9. [Google Scholar] [CrossRef]
  15. Gelesko, S.; Markiewicz, M.R.; Weimer, K.; Bell, R.B. Computer-Aided Orthognathic Surgery. Atlas Oral Maxillofac. Surg. Clin. NA 2012, 20, 107–118. [Google Scholar] [CrossRef]
  16. Hammoudeh, J.A.; Howell, L.K.; Boutros, S.; Scott, M.A.; Mark, M. Urata Current Status of Surgical Planning for Orthognathic Surgery: Traditional Methods versus 3D Surgical Planning. Plast. Reconstr. Surg. Glob. Open 2015, 3, e307. [Google Scholar] [CrossRef]
  17. Xia, J.J.; Gateno, J.; Teichgraeber, J.F. New Clinical Protocol to Evaluate Craniomaxillofacial Deformity and Plan. YJOMS 2009, 67, 2093–2106. [Google Scholar] [CrossRef] [Green Version]
  18. Lin, H.; Lo, L. ScienceDirect surgical simulation and intraoperative navigation in orthognathic surgery: A literature review. J. Formos. Med. Assoc. 2015, 114, 300–307. [Google Scholar] [CrossRef] [Green Version]
  19. Popat, H.; Richmond, S. New developments in: Three-dimensional planning for orthognathic surgery. J. Orthod. 2010, 37, 62–71. [Google Scholar] [CrossRef]
  20. Yuan, P.; Mai, H.; Li, J.; Ho, D.C.; Lai, Y.; Liu, S.; Kim, D.; Xiong, Z.; Alfi, D.M.; Teichgraeber, J.F.; et al. Design, development and clinical validation of computer-aided surgical simulation system for streamlined orthognathic surgical planning. Int. J. Comput. Assist. Radiol. Surg. 2017, 12, 2129–2143. [Google Scholar] [CrossRef] [Green Version]
  21. Swennen, G.R.J. Three-Dimensional Treatment Planning of Orthognathic Surgery in the Era of. YJOMS 2009, 67, 2080–2092. [Google Scholar] [CrossRef]
  22. Xia, J.; Ip, H.H.; Samman, N.; Wang, D.; Kot, C.S.; Yeung, R.W.; Tideman, H. Computer-assisted three-dimensional surgical planning and simulation: 3D virtual osteotomy. Int. J. Oral Maxillofac. Surg. 2000, 29, 11–17. [Google Scholar] [CrossRef]
  23. Zhao, L.; Patel, P.K.; Cohen, M. Application of Virtual Surgical Planning with Computer Assisted Design and Manufacturing Technology to Cranio-Maxillofacial Surgery. Arch. Plast. Surg. 2012, 39, 309–316. [Google Scholar] [CrossRef] [Green Version]
  24. Hosni, Y.A. Contribution of CAD-CAM and Reverse engineering technology to the biomedical field. In Current Advances in Mechanical design and Production VII, Proceedings of the Seventh Cairo University International MDP Conference, Cairo, Egypt, 15–17 February 2000; Elsevier Science Ltd.: Amsterdam, The Netherlands, 2000; pp. 491–499. [Google Scholar]
  25. Ciocca, L.; De Crescenzio, F.; Fantini, M.; Scotti, R.; Cam, C.A.D. Computerized Medical Imaging and Graphics CAD/CAM and rapid prototyped scaffold construction for bone regenerative medicine and surgical transfer of virtual planning: A pilot study. Comput. Med. Imaging Graph. 2009, 33, 58–62. [Google Scholar] [CrossRef]
  26. Mazzoni, S.; Bianchi, A.; Schiariti, G.; Badiali, G.; Marchetti, C. Computer-Aided Design and Computer-Aided Manufacturing Cutting Guides and Customized Titanium Plates Are Useful in Upper Maxilla Waferless Repositioning. J. Oral Maxillofac. Surg. 2015, 73, 701–707. [Google Scholar] [CrossRef]
  27. Abbas, A.T. Reconstruction skeleton for the lower human jaw using CAD/CAM/CAE. J. King Saud Univ. Eng. Sci. 2012, 24, 159–164. [Google Scholar] [CrossRef] [Green Version]
  28. Tel, A.; Costa, F.; Sembronio, S.; Lazzarotto, A.; Robiony, M. All-in-one surgical guide: A new method for cranial vault resection and reconstruction. J. Cranio-Maxillofacial Surg. 2018, 46, 967–973. [Google Scholar] [CrossRef]
  29. Naddeo, F.; Cataldo, E.; Naddeo, A.; Cappetti, N.; Narciso, N. An automatic and patient-specific algorithm to design the optimal insertion direction of pedicle screws for spine surgery templates. Med. Biol. Eng. Comput. 2017, 55, 1549–1562. [Google Scholar] [CrossRef]
  30. Naddeo, F.; Fontana, C.; Naddeo, A.; Cataldo, E.; Cappetti, N.; Narciso, N. Novel design for a customized, 3D-printed surgical template for thoracic spinal arthrodesis. Int. J. Med. Robot. Comput. Assist. Surg. 2019, 15, e2005. [Google Scholar] [CrossRef]
  31. Naddeo, F.; Naddeo, A.; Cappetti, N.; Cataldo, E.; Militio, R. Novel procedure for designing and 3D printing a customized surgical template for arthrodesis surgery on the sacrum. Symmetry 2018, 10, 334. [Google Scholar] [CrossRef] [Green Version]
  32. Ayoub, M.; Arkan, A.; Alsagban, R.; Taha, F.; Ahmad, A.; Tumouh, F.; Virdee, A.P. The Direction of Double-Jaw Surgery Relapse for Correction of Skeletal Class III Deformity: Bilateral Sagittal Split Versus Intraoral Vertical Ramus Setback Osteotomies. J. Maxillofac. Oral Surg. 2018, 18, 280–287. [Google Scholar] [CrossRef]
  33. McCormick, S.U.; Drew, S.J. Virtual model surgery for efficient planning and surgical performance. J. Oral Maxillofac. Surg. 2011, 69, 638–644. [Google Scholar] [CrossRef] [PubMed]
  34. Cataldo, E. La Confidenza Dimensionale Nella Ricostruzione Biofedele per la Progettazione di Dispositivi Chirurgici Custom Made Innovativi. Ph.D. Thesis, University of Salerno, Fisciano, Italy, 2020. [Google Scholar]
  35. Li, B.; Shen, S.; Jiang, W.; Li, J.; Jiang, T.; Xia, J.J.; Shen, S.G.; Wang, X. A new approach of splint-less orthognathic surgery using a personalized orthognathic surgical guide system: A preliminary study. Int. J. Oral Maxillofac. Surg. 2017, 46, 1298–1305. [Google Scholar] [CrossRef] [PubMed] [Green Version]
  36. Polley, J.W.; Figueroa, A.A. Orthognathic positioning system: Intraoperative system to transfer virtual surgical plan to operating field during orthognathic surgery. J. Oral Maxillofac. Surg. 2013, 71, 911–920. [Google Scholar] [CrossRef] [PubMed]
  37. Zizelmann, C.; Hammer, B.; Gellrich, N.C.; Kokemüller, H.; Bormann, K.H.; Rohner, D. In Vitro Biomechanical Comparison of the Effect of Pattern, Inclination, and Size of Positional Screws on Load Resistance for Bilateral Sagittal Split Osteotomy. YJOMS 2011, 69, 1458–1463. [Google Scholar] [CrossRef]
  38. Pucci, R.; Priore, P.; Manganiello, L.; Cassoni, A.; Valentini, V. Accuracy Evaluation of Virtual Surgical Planning (VSP) in Orthognathic Surgery: Comparison Between CAD/CAM Fabricated Surgical Splint and CAD/CAM Cutting Guides with PSI. J. Oral Maxillofac. Surg. 2019, 77, e4–e5. [Google Scholar] [CrossRef]
Figure 1. Bilateral sagittal split osteotomy.
Figure 1. Bilateral sagittal split osteotomy.
Applsci 12 03600 g001
Figure 2. Use of computer-aided surgical simulation in BSSO [35]. Reprinted/adapted with permission from Ref. [35]. Copyright 2017, Elsevier.
Figure 2. Use of computer-aided surgical simulation in BSSO [35]. Reprinted/adapted with permission from Ref. [35]. Copyright 2017, Elsevier.
Applsci 12 03600 g002
Figure 3. Telescopic effect on the mandible.
Figure 3. Telescopic effect on the mandible.
Applsci 12 03600 g003
Figure 4. Methodology’s macro-phases.
Figure 4. Methodology’s macro-phases.
Applsci 12 03600 g004
Figure 5. Methodology in form of Workflow.
Figure 5. Methodology in form of Workflow.
Applsci 12 03600 g005
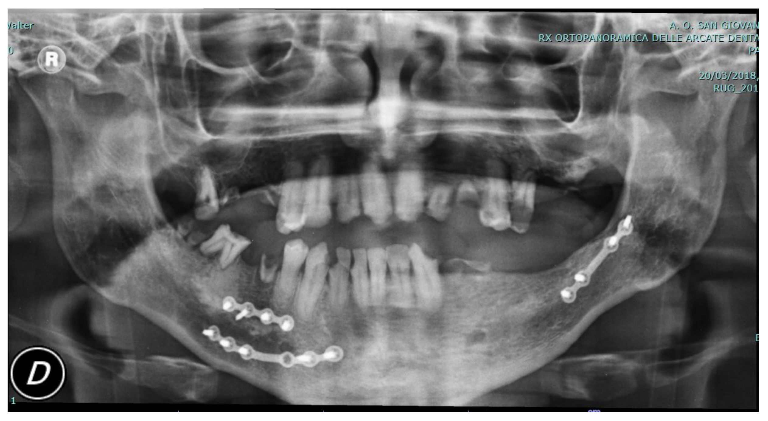
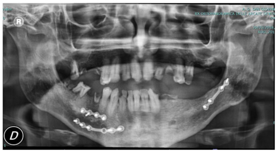
Figure 6. Pre-operative view showing fixation plates following jaw fracture care after the patient’s car accident.
Figure 6. Pre-operative view showing fixation plates following jaw fracture care after the patient’s car accident.
Applsci 12 03600 g006
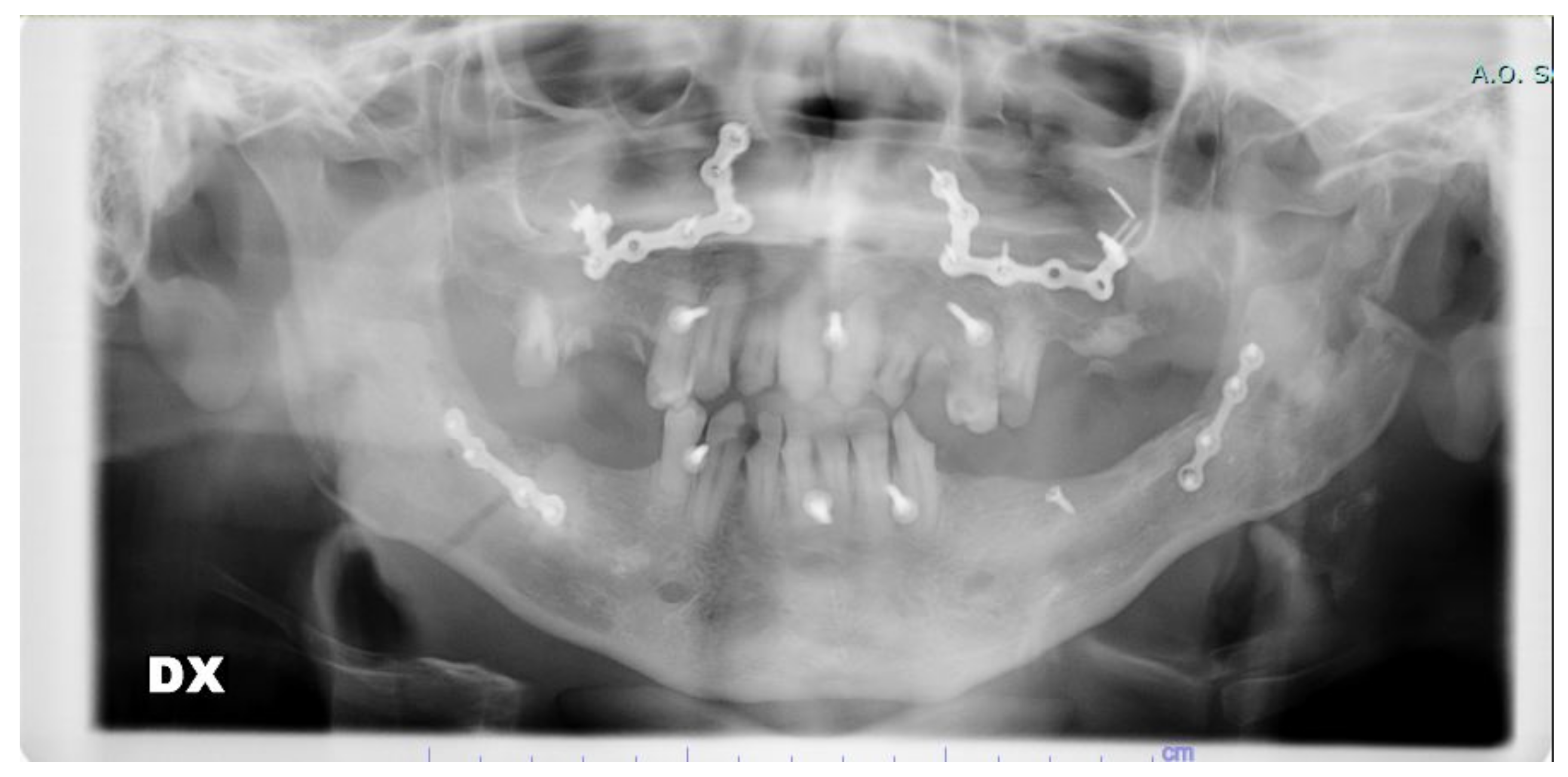
Figure 7. Post-operative view showing personalized CAD/CAM plates after the previously installed plates removal and orthognathic surgery class III correction.
Figure 7. Post-operative view showing personalized CAD/CAM plates after the previously installed plates removal and orthognathic surgery class III correction.
Applsci 12 03600 g007
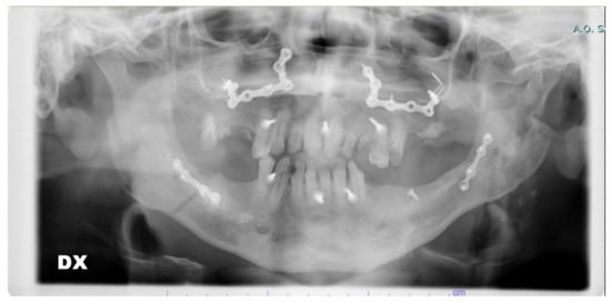
Figure 8. Implanting screws.
Figure 8. Implanting screws.
Applsci 12 03600 g008
Figure 9. Digital reconstruction.
Figure 9. Digital reconstruction.
Applsci 12 03600 g009
Publisher’s Note: MDPI stays neutral with regard to jurisdictional claims in published maps and institutional affiliations.

Share and Cite

MDPI and ACS Style

Di Brigida, L.; Naddeo, A.; Cappetti, N.; Borri, A.; Cortese, A. Computer Aided Orthognathic Surgery: A General Method for Designing and Manufacturing Personalized Cutting/Repositioning Templates. Appl. Sci. 2022, 12, 3600. https://doi.org/10.3390/app12073600

AMA Style

Di Brigida L, Naddeo A, Cappetti N, Borri A, Cortese A. Computer Aided Orthognathic Surgery: A General Method for Designing and Manufacturing Personalized Cutting/Repositioning Templates. Applied Sciences. 2022; 12(7):3600. https://doi.org/10.3390/app12073600

Chicago/Turabian Style

Di Brigida, Liliana, Alessandro Naddeo, Nicola Cappetti, Antonio Borri, and Antonio Cortese. 2022. "Computer Aided Orthognathic Surgery: A General Method for Designing and Manufacturing Personalized Cutting/Repositioning Templates" Applied Sciences 12, no. 7: 3600. https://doi.org/10.3390/app12073600

APA Style

Di Brigida, L., Naddeo, A., Cappetti, N., Borri, A., & Cortese, A. (2022). Computer Aided Orthognathic Surgery: A General Method for Designing and Manufacturing Personalized Cutting/Repositioning Templates. Applied Sciences, 12(7), 3600. https://doi.org/10.3390/app12073600

Note that from the first issue of 2016, this journal uses article numbers instead of page numbers. See further details here.

Article Metrics

Back to TopTop