Ozone Therapy for Early Childhood Caries (ECC) Treatment: An In Vivo Prospective Study
Abstract
1. Introduction
2. Materials and Methods
2.1. Study Design and Ethics Approval
2.2. Study Objectives
2.3. Patient Recruitment
2.4. Sample Size Calculation
2.5. Ozone Therapy
2.6. Clinical Evaluations
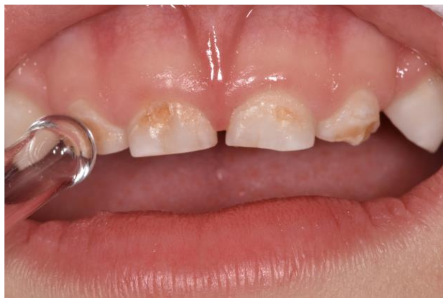
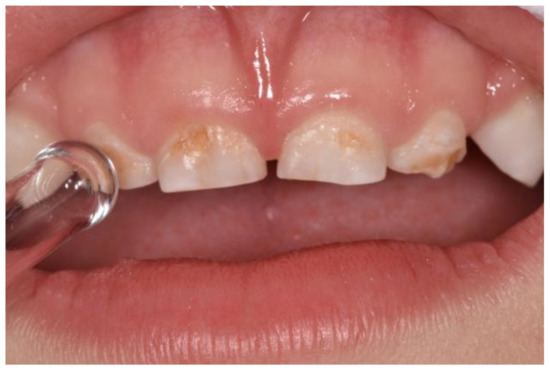
2.6.1. Compactness of the Decayed Dentin
2.6.2. Dentin Hypersensitivity
2.6.3. Tooth Selection
2.6.4. Salivary Bacterial Count
2.6.5. Quality of Life
2.7. Statistical Analysis
3. Results
3.1. Clinical Evaluations
3.1.1. Compactness of the Decayed Dentin
3.1.2. Dentin Hypersensitivity
3.1.3. Salivary Bacterial Count
3.1.4. Quality of Life
4. Discussion
5. Conclusions
Author Contributions
Funding
Institutional Review Board Statement
Informed Consent Statement
Data Availability Statement
Conflicts of Interest
References
- American Academy of Pediatrics. Policy on Early Childhood Caries (ECC): Classifications, Consequences, and Preventive Strategies. In The Reference Manual of Pediatric Dentistry; American Academy of Pediatrics: Itasca, IL, USA, 2020; pp. 79–81. [Google Scholar]
- Anil, S.; Anand, P.S. Early Childhood Caries: Prevalence, Risk Factors, and Prevention. Front. Pediatr. 2017, 5, 157. [Google Scholar] [CrossRef]
- Kirthiga, M.; Murugan, M.; Saikia, A.; Kirubakaran, R. Risk Factors for Early Childhood Caries: A Systematic Review and Meta-Analysis of Case Control and Cohort Studies. Pediatr. Dent. 2019, 41, 95–112. [Google Scholar] [PubMed]
- Congiu, G.; Campus, G.; Lugliè, P.F. Early Childhood Caries (ECC) Prevalence and Background Factors: A Review. Oral Health Prev. Dent. 2014, 12, 71–76. [Google Scholar] [CrossRef] [PubMed]
- Colombo, S.; Gallus, S.; Beretta, M.; Lugo, A.; Scaglioni, S.; Colombo, P.; Paglia, M.; Gatto, R.; Marzo, G.; Caruso, S.; et al. Prevalence and Determinants of Early Childhood Caries in Italy. Eur. J. Paediatr. Dent. 2019, 20, 267–273. [Google Scholar] [CrossRef] [PubMed]
- Nunn, M.E.; Braunstein, N.S.; Krall Kaye, E.A.; Dietrich, T.; Garcia, R.I.; Henshaw, M.M. Healthy Eating Index Is a Predictor of Early Childhood Caries. J. Dent. Res. 2009, 88, 361–366. [Google Scholar] [CrossRef]
- Collado, V.; Pichot, H.; Delfosse, C.; Eschevins, C.; Nicolas, E.; Hennequin, M. Impact of Early Childhood Caries and Its Treatment under General Anesthesia on Orofacial Function and Quality of Life: A Prospective Comparative Study. Med. Oral Patol. Oral Cirugia Bucal 2017, 22, e333–e341. [Google Scholar] [CrossRef]
- Zaror, C.; Matamala-Santander, A.; Ferrer, M.; Rivera-Mendoza, F.; Espinoza-Espinoza, G.; Martínez-Zapata, M.J. Impact of Early Childhood Caries on Oral Health-Related Quality of Life: A Systematic Review and Meta-Analysis. Int. J. Dent. Hyg. 2022, 20, 120–135. [Google Scholar] [CrossRef]
- Duangthip, D.; Jiang, M.; Chu, C.H.; Lo, E.C.M. Restorative Approaches to Treat Dentin Caries in Preschool Children: Systematic Review. Eur. J. Paediatr. Dent. 2016, 17, 113–121. [Google Scholar]
- Phantumvanit, P.; Makino, Y.; Ogawa, H.; Rugg-Gunn, A.; Moynihan, P.; Petersen, P.E.; Evans, W.; Feldens, C.A.; Lo, E.; Khoshnevisan, M.H.; et al. WHO Global Consultation on Public Health Intervention against Early Childhood Caries. Community Dent. Oral Epidemiol. 2018, 46, 280–287. [Google Scholar] [CrossRef]
- Duangthip, D.; Jiang, M.; Chu, C.H.; Lo, E.C.M. Non-Surgical Treatment of Dentin Caries in Preschool Children—Systematic Review. BMC Oral Health 2015, 15, 44. [Google Scholar] [CrossRef]
- Almaz, M.E.; Sönmez, I.Ş. Ozone Therapy in the Management and Prevention of Caries. J. Formos. Med. Assoc. Taiwan Yi Zhi 2015, 114, 3–11. [Google Scholar] [CrossRef]
- Ximenes, M.; Cardoso, M.; Astorga, F.; Arnold, R.; Pimenta, L.A.; Viera, R.D.S. Antimicrobial Activity of Ozone and NaF-Chlorhexidine on Early Childhood Caries. Braz. Oral Res. 2017, 31, e2. [Google Scholar] [CrossRef][Green Version]
- Dähnhardt, J.E.; Jaeggi, T.; Lussi, A. Treating Open Carious Lesions in Anxious Children with Ozone. A Prospective Controlled Clinical Study. Am. J. Dent. 2006, 19, 267–270. [Google Scholar]
- Suh, Y.; Patel, S.; Kaitlyn, R.; Gandhi, J.; Joshi, G.; Smith, N.L.; Khan, S.A. Clinical Utility of Ozone Therapy in Dental and Oral Medicine. Med. Gas Res. 2019, 9, 163–167. [Google Scholar] [CrossRef]
- Sen, S.; Sen, S. Ozone Therapy a New Vista in Dentistry: Integrated Review. Med. Gas Res. 2020, 10, 189–192. [Google Scholar] [CrossRef]
- Elvis, A.M.; Ekta, J.S. Ozone Therapy: A Clinical Review. J. Nat. Sci. Biol. Med. 2011, 2, 66–70. [Google Scholar] [CrossRef]
- Viebahn-Haensler, R.; León Fernández, O.S. Ozone in Medicine. The Low-Dose Ozone Concept and Its Basic Biochemical Mechanisms of Action in Chronic Inflammatory Diseases. Int. J. Mol. Sci. 2021, 22, 7890. [Google Scholar] [CrossRef]
- Santos, G.M.; Pacheco, R.L.; Bussadori, S.K.; Santos, E.M.; Riera, R.; de Oliveira Cruz Latorraca, C.; Mota, P.; Benavent Caldas Bellotto, E.F.; Martimbianco, A.L.C. Effectiveness and Safety of Ozone Therapy in Dental Caries Treatment: Systematic Review and Meta-Analysis. J. Evid.-Based Dent. Pract. 2020, 20, 101472. [Google Scholar] [CrossRef]
- Azarpazhooh, A.; Limeback, H.; Lawrence, H.P.; Fillery, E.D. Evaluating the Effect of an Ozone Delivery System on the Reversal of Dentin Hypersensitivity: A Randomized, Double-Blinded Clinical Trial. J. Endod. 2009, 35, 1–9. [Google Scholar] [CrossRef]
- Lena, K.; Marianne, K. Ozone Treatment on Dentin Hypersensitivity Surfaces—A Pilot Study. Open Dent. J. 2017, 11, 65–70. [Google Scholar] [CrossRef][Green Version]
- Raafat Abdelaziz, R.; Mosallam, R.S.; Yousry, M.M. Tubular Occlusion of Simulated Hypersensitive Dentin by the Combined Use of Ozone and Desensitizing Agents. Acta Odontol. Scand. 2011, 69, 395–400. [Google Scholar] [CrossRef]
- Johansson, E.; van Dijken, J.W.V.; Karlsson, L.; Andersson-Wenckert, I. Treatment Effect of Ozone and Fluoride Varnish Application on Occlusal Caries in Primary Molars: A 12-Month Study. Clin. Oral Investig. 2014, 18, 1785–1792. [Google Scholar] [CrossRef]
- Atabek, D.; Oztas, N. Effectiveness of Ozone with or without the Additional Use of Remineralizing Solution on Non-Cavitated Fissure Carious Lesions in Permanent Molars. Eur. J. Dent. 2011, 5, 393–399. [Google Scholar] [CrossRef]
- Hauser-Gerspach, I.; Pfäffli-Savtchenko, V.; Dähnhardt, J.E.; Meyer, J.; Lussi, A. Comparison of the Immediate Effects of Gaseous Ozone and Chlorhexidine Gel on Bacteria in Cavitated Carious Lesions in Children in Vivo. Clin. Oral Investig. 2009, 13, 287–291. [Google Scholar] [CrossRef]
- Grocholewicz, K.; Matkowska-Cichocka, G.; Makowiecki, P.; Droździk, A.; Ey-Chmielewska, H.; Dziewulska, A.; Tomasik, M.; Trybek, G.; Janiszewska-Olszowska, J. Effect of Nano-Hydroxyapatite and Ozone on Approximal Initial Caries: A Randomized Clinical Trial. Sci. Rep. 2020, 10, 11192. [Google Scholar] [CrossRef]
- Beretta, M.; Federici Canova, F. A New Method for Deep Caries Treatment in Primary Teeth Using Ozone: A Retrospective Study. Eur. J. Paediatr. Dent. 2017, 18, 111–115. [Google Scholar] [CrossRef]
- Raposo, F.; de Carvalho Rodrigues, A.C.; Lia, É.N.; Leal, S.C. Prevalence of Hypersensitivity in Teeth Affected by Molar-Incisor Hypomineralization (MIH). Caries Res. 2019, 53, 424–430. [Google Scholar] [CrossRef]
- Birnie, K.A.; Hundert, A.S.; Lalloo, C.; Nguyen, C.; Stinson, J.N. Recommendations for Selection of Self-Report Pain Intensity Measures in Children and Adolescents: A Systematic Review and Quality Assessment of Measurement Properties. Pain 2019, 160, 5–18. [Google Scholar] [CrossRef]
- Contaldo, M.; Della Vella, F.; Raimondo, E.; Minervini, G.; Buljubasic, M.; Ogodescu, A.; Sinescu, C.; Serpico, R. Early Childhood Oral Health Impact Scale (ECOHIS): Literature Review and Italian Validation. Int. J. Dent. Hyg. 2020, 18, 396–402. [Google Scholar] [CrossRef]
- Liu, X.-X.; Tenenbaum, H.C.; Wilder, R.S.; Quock, R.; Hewlett, E.R.; Ren, Y.-F. Pathogenesis, Diagnosis and Management of Dentin Hypersensitivity: An Evidence-Based Overview for Dental Practitioners. BMC Oral Health 2020, 20, 220. [Google Scholar] [CrossRef]
- Valdez, R.M.A.; Duque, C.; Caiaffa, K.S.; Dos Santos, V.R.; de Loesch, M.L.A.; Colombo, N.H.; Arthur, R.A.; de Negrini, T.C.; Boriollo, M.F.G.; Delbem, A.C.B. Genotypic Diversity and Phenotypic Traits of Streptococcus Mutans Isolates and Their Relation to Severity of Early Childhood Caries. BMC Oral Health 2017, 17, 115. [Google Scholar] [CrossRef] [PubMed]
- Ravikumar, D.; Ramani, P.; Gayathri, R. Genotypic Diversity of Streptococcus Mutans in Children with and without Early Childhood Caries- A Systematic Review. J. Oral Biol. Craniofacial Res. 2021, 11, 308–312. [Google Scholar] [CrossRef] [PubMed]
- Paglia, L. COVID-19 and Paediatric Dentistry after the Lockdown. Eur. J. Paediatr. Dent. 2020, 21, 89. [Google Scholar] [CrossRef] [PubMed]
- Butera, A.; Pascadopoli, M.; Gallo, S.; Lelli, M.; Tarterini, F.; Giglia, F.; Scribante, A. SEM/EDS Evaluation of the Mineral Deposition on a Polymeric Composite Resin of a Toothpaste Containing Biomimetic Zn-Carbonate Hydroxyapatite (MicroRepair®) in Oral Environment: A Randomized Clinical Trial. Polymers 2021, 13, 2740. [Google Scholar] [CrossRef]




| 1 | Shiny, hard, blackish-brown decayed dentin |
| 2 | Decayed dentin slightly explorable by the dental explorer’s tip that produces slight grooves |
| 3 | Decayed dentin explorable by the dental explorer’s tip that produces marked grooves |
| 4 | Completely softened decayed dentin; the dental explorer penetrates the dentin, the excavator removes it in layers |
| T0 | T1 | T2 | T3 | T4 |
|---|---|---|---|---|
| 3.2 ± 0.4 | 2.1 ± 0.5 | 2.0 ± 0.5 | 2.0 ± 0.5 | 1.9 ± 0.6 |
Publisher’s Note: MDPI stays neutral with regard to jurisdictional claims in published maps and institutional affiliations. |
© 2022 by the authors. Licensee MDPI, Basel, Switzerland. This article is an open access article distributed under the terms and conditions of the Creative Commons Attribution (CC BY) license (https://creativecommons.org/licenses/by/4.0/).
Share and Cite
Luppieri, V.; Manfra, A.; Ronfani, L.; Chermetz, M.; Cadenaro, M. Ozone Therapy for Early Childhood Caries (ECC) Treatment: An In Vivo Prospective Study. Appl. Sci. 2022, 12, 1964. https://doi.org/10.3390/app12041964
Luppieri V, Manfra A, Ronfani L, Chermetz M, Cadenaro M. Ozone Therapy for Early Childhood Caries (ECC) Treatment: An In Vivo Prospective Study. Applied Sciences. 2022; 12(4):1964. https://doi.org/10.3390/app12041964
Chicago/Turabian StyleLuppieri, Valentina, Antonio Manfra, Luca Ronfani, Maddalena Chermetz, and Milena Cadenaro. 2022. "Ozone Therapy for Early Childhood Caries (ECC) Treatment: An In Vivo Prospective Study" Applied Sciences 12, no. 4: 1964. https://doi.org/10.3390/app12041964
APA StyleLuppieri, V., Manfra, A., Ronfani, L., Chermetz, M., & Cadenaro, M. (2022). Ozone Therapy for Early Childhood Caries (ECC) Treatment: An In Vivo Prospective Study. Applied Sciences, 12(4), 1964. https://doi.org/10.3390/app12041964

