Deep Learning Networks for Automatic Retroperitoneal Sarcoma Segmentation in Computerized Tomography
Abstract
Featured Application
Abstract
1. Introduction
2. Materials and Methods
2.1. Population Selection
2.2. CT Imaging
2.3. Manual Segmentation
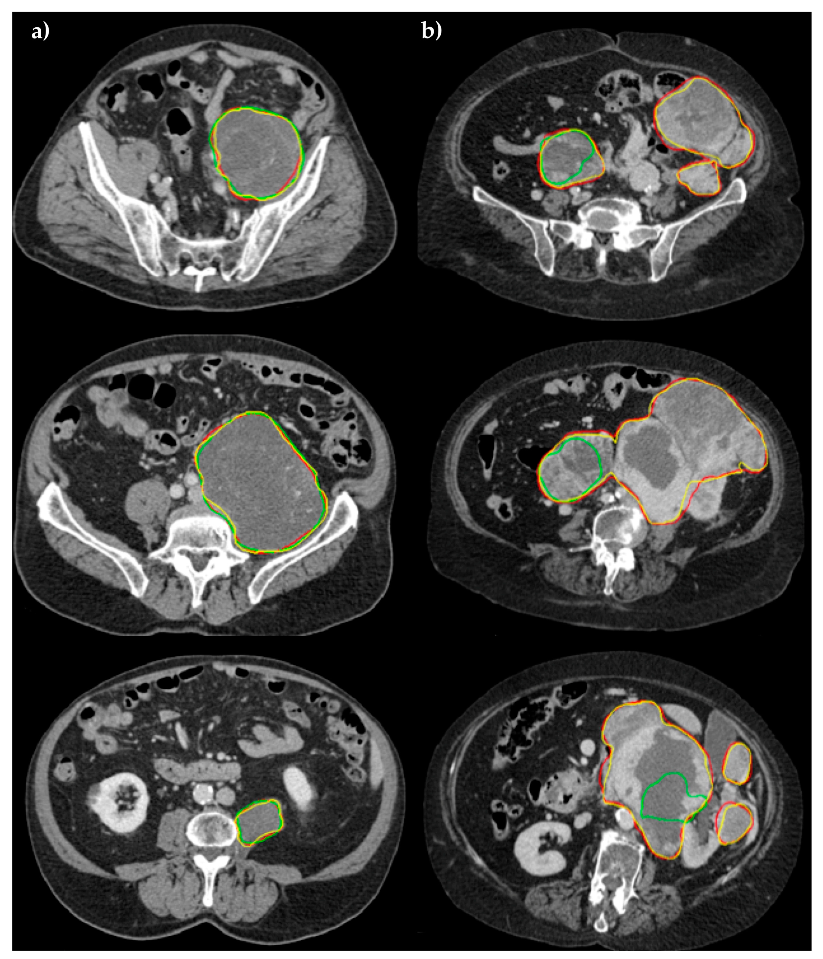
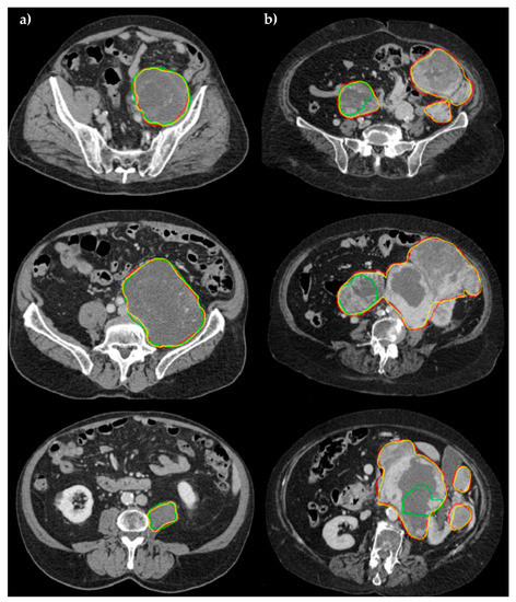
2.4. Automatic and User-Independent Segmentation
2.5. Experimental Detail
2.6. Evaluation Analyses
3. Results
3.1. Population
3.2. ANOVA Analysis
3.3. Performance Analysis
4. Discussion
4.1. Volume Estimation of Retroperitoneal Sarcoma
4.2. Deep Learning Network and Volume Estimation
4.3. Timing Delineation
4.4. Limitations of the Study
5. Conclusions
Author Contributions
Funding
Institutional Review Board Statement
Informed Consent Statement
Data Availability Statement
Conflicts of Interest
References
- Choi, J.H.; Ro, J.Y. Retroperitoneal Sarcomas: An Update on the Diagnostic Pathology Approach. Diagnostics 2020, 10, 642. [Google Scholar] [CrossRef]
- Messiou, C.; Moskovic, E.; Vanel, D.; Morosi, C.; Benchimol, R.; Strauss, D.; Miah, A.; Douis, H.; van Houdt, W.; Bonvalot, S. Primary retroperitoneal soft tissue sarcoma: Imaging appearances, pitfalls and diagnostic algorithm. Eur. J. Surg. Oncol. 2017, 43, 1191–1198. [Google Scholar] [CrossRef]
- Porter, G.A.; Baxter, N.N.; Pisters, P.W.T. Retroperitoneal sarcoma: A population-based analysis of epidemiology, surgery, and radiotherapy. Cancer 2006, 106, 1610–1616. [Google Scholar] [CrossRef]
- Varma, D.G. Imaging of soft-tissue sarcomas. Curr. Oncol. Rep. 2000, 2, 487–490. [Google Scholar] [CrossRef]
- Levy, A.D.; Manning, M.A.; Al-Refaie, W.B.; Miettinen, M.M. Soft-tissue sarcomas of the abdomen and pelvis: Radiologic-pathologic features, part 1—Common sarcomas. Radiographics 2017, 37, 462–483. [Google Scholar] [CrossRef]
- Liles, J.S.; Tzeng, C.W.D.; Short, J.J.; Kulesza, P.; Heslin, M.J. Retroperitoneal and Intra-Abdominal Sarcoma. Curr. Probl. Surg. 2009, 46, 445–503. [Google Scholar] [CrossRef]
- Matthyssens, L.E.; Creytens, D.; Ceelen, W.P. Retroperitoneal Liposarcoma: Current Insights in Diagnosis and Treatment. Front. Surg. 2015, 2. [Google Scholar] [CrossRef]
- Singer, S.; Corson, J.M.; Demetri, G.D.; Healey, E.A.; Marcus, K.; Eberlein, T.J. Prognostic factors predictive of survival for truncal and retroperitoneal soft-tissue sarcoma. Ann. Surg. 1995, 221, 185–195. [Google Scholar] [CrossRef]
- Stoeckle, E.; Coindre, J.M.; Bonvalot, S.; Kantor, G.; Terrier, P.; Bonichon, F.; Bui, B.N. Prognostic factors in retroperitoneal sarcoma: A multivariate analysis of a series of 165 patients of the French Cancer Center Federation Sarcoma Group. Cancer 2001, 92, 359–368. [Google Scholar] [CrossRef]
- Heslin, M.J.; Lewis, J.J.; Nadler, E.; Newman, E.; Woodruff, J.M.; Casper, E.S.; Leung, D.; Brennan, M.F. Prognostic factors associated with long-term survival for retroperitoneal sarcoma: Implications for management. J. Clin. Oncol. 1997, 15, 2832–2839. [Google Scholar] [CrossRef]
- Van Dalen, T.; Hennipman, A.; Van Coevorden, F.; Hoekstra, H.J.; Van Geel, B.N.; Slootweg, P.; Lutter, C.F.A.; Brennan, M.F.; Singer, S. Evaluation of a clinically applicable post-surgical classification system for primary retroperitoneal soft-tissue sarcoma. Ann. Surg. Oncol. 2004, 11, 483–490. [Google Scholar] [CrossRef]
- Gronchi, A.; Casali, P.G.; Fiore, M.; Mariani, L.; Lo Vullo, S.; Bertulli, R.; Colecchia, M.; Lozza, L.; Olmi, P.; Santinami, M.; et al. Retroperitoneal soft tissue sarcomas: Patterns of recurrence in 167 patients treated at a single institution. Cancer 2004, 100, 2448–2455. [Google Scholar] [CrossRef]
- Perez, E.A.; Gutierrez, J.C.; Moffat, F.L.; Franceschi, D.; Livingstone, A.S.; Spector, S.A.; Levi, J.U.; Sleeman, D.; Koniaris, L.G. Retroperitoneal and truncal sarcomas: Prognosis depends upon type not location. Ann. Surg. Oncol. 2007, 14, 1114–1122. [Google Scholar] [CrossRef]
- Bonvalot, S.; Rivoire, M.; Castaing, M.; Stoeckle, E.; Le Cesne, A.; Blay, J.Y.; Laplanche, A. Primary retroperitoneal sarcomas: A multivariate analysis of surgical factors associated with local control. J. Clin. Oncol. 2009, 27, 31–37. [Google Scholar] [CrossRef]
- Lewis, J.J.; Leung, D.; Woodruff, J.M.; Brennan, M.F. Retroperitoneal soft-tissue sarcoma: Analysis of 500 patients treated and followed at a single institution. Ann. Surg. 1998, 228, 355–365. [Google Scholar] [CrossRef]
- Gronchi, A.; Lo Vullo, S.; Fiore, M.; Mussi, C.; Stacchiotti, S.; Collini, P.; Lozza, L.; Pennacchioli, E.; Mariani, L.; Casali, P.G. Aggressive surgical policies in a retrospectively reviewed single-institution case series of retroperitoneal soft tissue sarcoma patients. J. Clin. Oncol. 2009, 27, 24–30. [Google Scholar] [CrossRef]
- Haas, R.L.; Baldini, E.H.; Chung, P.W.; van Coevorden, F.; DeLaney, T.F. Radiation therapy in retroperitoneal sarcoma management. J. Surg. Oncol. 2018, 117, 93–98. [Google Scholar] [CrossRef]
- Nathan, H.; Raut, C.P.; Thornton, K.; Herman, J.M.; Ahuja, N.; Schulick, R.D.; Choti, M.A.; Pawlik, T.M. Predictors of survival after resection of retroperitoneal sarcoma: A population-based analysis and critical appraisal of the AJCC Staging system. Ann. Surg. 2009, 250, 970–976. [Google Scholar] [CrossRef]
- Cutaia, G.; La Tona, G.; Comelli, A.; Vernuccio, F.; Agnello, F.; Gagliardo, C.; Salvaggio, L.; Quartuccio, N.; Sturiale, L.; Stefano, A.; et al. Radiomics and Prostate MRI: Current Role and Future Applications. J. Imaging 2021, 7, 34. [Google Scholar] [CrossRef]
- Tian, Z.; Liu, L.; Fei, B. Deep convolutional neural network for prostate MR segmentation. In Medical Imaging 2017: Image-Guided Procedures, Robotic Interventions, and Modeling; SPIE: Bellingham, WA, USA, 2017; Volume 10135, p. 101351L. [Google Scholar]
- Available online: https://horosproject.org (accessed on 4 February 2021).
- Paszke, A.; Chaurasia, A.; Kim, S.; Culurciello, E. ENet: A Deep Neural Network Architecture for Real-Time Semantic Segmentation. arXiv 2016, arXiv:1606.02147. [Google Scholar]
- Romera, E.; Alvarez, J.M.; Bergasa, L.M.; Arroyo, R. ERFNet: Efficient Residual Factorized ConvNet for Real-Time Semantic Segmentation. IEEE Trans. Intell. Transp. Syst. 2018, 19, 263–272. [Google Scholar] [CrossRef]
- Cuocolo, R.; Comelli, A.; Stefano, A.; Benfante, V.; Dahiya, N.; Stanzione, A.; Castaldo, A.; De Lucia, D.R.; Yezzi, A.; Imbriaco, M. Deep Learning Whole-Gland and Zonal Prostate Segmentation on a Public MRI Dataset. J. Magn. Reson. Imaging 2021, 54, 452–459. [Google Scholar]
- Comelli, A.; Dahiya, N.; Stefano, A.; Benfante, V.; Gentile, G.; Agnese, V.; Raffa, G.M.; Pilato, M.; Yezzi, A.; Petrucci, G.; et al. Deep learning approach for the segmentation of aneurysmal ascending aorta. Biomed. Eng. Lett. 2021, 11, 15–24. [Google Scholar] [CrossRef]
- Comelli, A.; Coronnello, C.; Dahiya, N.; Benfante, V.; Palmucci, S.; Basile, A.; Vancheri, C.; Russo, G.; Yezzi, A.; Stefano, A. Lung Segmentation on High-Resolution Computerized Tomography Images Using Deep Learning: A Preliminary Step for Radiomics Studies. J. Imaging 2020, 6, 125. [Google Scholar] [CrossRef]
- Stefano, A.; Comelli, A. Customized efficient neural network for covid-19 infected region identification in ct images. J. Imaging 2021, 7, 131. [Google Scholar] [CrossRef]
- Kingma, D.P.; Ba, J.L. Adam: A method for stochastic optimization. arXiv 2015, arXiv:1412.6980. [Google Scholar]
- Salehi, S.S.M.; Erdogmus, D.; Gholipour, A. Tversky loss function for image segmentation using 3D fully convolutional deep networks. In Proceedings of the Lecture Notes in Computer Science (Including Subseries Lecture Notes in Artificial Intelligence and Lecture Notes in Bioinformatics); Springer: Cham, Switzerland, 2017. [Google Scholar]
- Alongi, P.; Stefano, A.; Comelli, A.; Laudicella, R.; Scalisi, S.; Arnone, G.; Barone, S.; Spada, M.; Purpura, P.; Bartolotta, T.V.; et al. Radiomics analysis of 18F-Choline PET/CT in the prediction of disease outcome in high-risk prostate cancer: An explorative study on machine learning feature classification in 94 patients. Eur. Radiol. 2021, 31, 4595–4605. [Google Scholar] [CrossRef]
- Francis, I.R.; Cohan, R.H.; Varma, D.G.K.; Sondak, V.K. Retroperitoneal sarcomas. Cancer Imaging 2005, 5, 89–94. [Google Scholar] [CrossRef]
- Morosi, C.; Stacchiotti, S.; Marchianò, A.; Bianchi, A.; Radaelli, S.; Sanfilippo, R.; Colombo, C.; Richardson, C.; Collini, P.; Barisella, M.; et al. Correlation between radiological assessment and histopathological diagnosis in retroperitoneal tumors: Analysis of 291 consecutive patients at a tertiary reference sarcoma center. Eur. J. Surg. Oncol. 2014, 40, 1662–1670. [Google Scholar] [CrossRef]
- Schwarzbach, M.H.M.; Dimitrakopoulou-Strauss, A.; Willeke, F.; Hinz, U.; Strauss, L.G.; Zhang, Y.M.; Mechtersheimer, G.; Attigah, N.; Lehnert, T.; Herfarth, C. Clinical value of [18-F] fluorodeoxyglucose positron emission tomography imaging in soft tissue sarcomas. Ann. Surg. 2000, 231, 380–386. [Google Scholar] [CrossRef]
- Sambri, A.; Bianchi, G.; Longhi, A.; Righi, A.; Donati, D.M.; Nanni, C.; Fanti, S.; Errani, C. The role of 18F-FDG PET/CT in soft tissue sarcoma. Nucl. Med. Commun. 2019, 40, 626–631. [Google Scholar] [CrossRef]
- Neubauer, T.; Wimmer, M.; Berg, A.; Major, D.; Lenis, D.; Beyer, T.; Saponjski, J.; Bühler, K. Soft Tissue Sarcoma Co-Segmentation in Combined MRI and PET/CT Data. Lect. Notes Comput. Sci. 2020, 12445, 97–105. [Google Scholar]
- Panda, N.; Das, R.; Banerjee, S.; Chatterjee, S.; Gumta, M.; Bandyopadhyay, S.K. Retroperitoneal Sarcoma. Outcome Analysis in a Teaching Hospital in Eastern India- a Perspective. Indian J. Surg. Oncol. 2015, 6, 99–105. [Google Scholar] [CrossRef] [PubMed][Green Version]
- Ecker, B.L.; Peters, M.G.; McMillan, M.T.; Sinnamon, A.J.; Zhang, P.J.; Fraker, D.L.; Levin, W.P.; Roses, R.E.; Karakousis, G.C. Preoperative radiotherapy in the management of retroperitoneal liposarcoma. Br. J. Surg. 2016, 103, 1839–1846. [Google Scholar] [CrossRef] [PubMed]
- Lieman-Sifry, J.; Le, M.; Lau, F.; Sall, S.; Golden, D. Fastventricle: Cardiac segmentation with ENet. Lect. Notes Comput. Sci. 2017, 10263, 127–138. [Google Scholar]
- Salvaggio, G.; Comelli, A.; Portoghese, M.; Cutaia, G.; Cannella, R.; Vernuccio, F.; Stefano, A.; Dispensa, N.; La Tona, G.; Salvaggio, L.; et al. Deep Learning Network for Segmentation of the Prostate Gland With Median Lobe Enlargement in T2-weighted MR Images: Comparison With Manual Segmentation Method. Curr. Probl. Diagn. Radiol. 2021. [Google Scholar] [CrossRef] [PubMed]
- Comelli, A.; Dahiya, N.; Stefano, A.; Vernuccio, F.; Portoghese, M.; Cutaia, G.; Bruno, A.; Salvaggio, G.; Yezzi, A. Deep learning-based methods for prostate segmentation in magnetic resonance imaging. Appl. Sci. 2021, 11, 782. [Google Scholar] [CrossRef] [PubMed]
- Carass, A.; Roy, S.; Gherman, A.; Reinhold, J.C.; Jesson, A.; Arbel, T.; Maier, O.; Handels, H.; Ghafoorian, M.; Platel, B.; et al. Evaluating White Matter Lesion Segmentations with Refined Sørensen-Dice Analysis. Sci. Rep. 2020, 10, 1–19. [Google Scholar] [CrossRef] [PubMed]



| Minimum | 25th Percentile | Median | 75th Percentile | Maximum | |
|---|---|---|---|---|---|
| Manual | 227.20 cc | 515.30 cc | 1108.00 cc | 2836.00 cc | 13,820.00 cc |
| ENet | 205.90 cc | 550.00 cc | 1173.00 cc | 3024.00 cc | 11,780.00 cc |
| ERFNet | 163.10 cc | 519.50 cc | 605.70 cc | 1577.00 cc | 6196.00 cc |
| F-Value | F Critic Value | p-Value | |
|---|---|---|---|
| ENet vs. Manual | 0.0069 | 4.494 | 0.935 |
| ERFNet vs. Manual | 0.3854 | 4.494 | 0.544 |
| ENet vs. ERFNet | 2.3263 | 4.494 | 0.119 |
| Sensitivity | PPV | DSC | VOE | VD | |
|---|---|---|---|---|---|
| ENet | |||||
| Mean ± SD | 91.54 ± 7.49% | 89.85 ± 5.66% | 90.52 ± 5.49% | 16.87 ± 8.81% | 2.11 ± 8.53% |
| ±CI (95%) | 4.89% | 3.70% | 3.59% | 5.76% | 5.58% |
| ERFNet | |||||
| Mean ± SD | 72.21 ± 26.11% | 87.00 ± 8.00% | 74.85 ± 19.28% | 36.85 ± 21.87% | −14.80 ± 33.32% |
| ±CI (95%) | 17.06% | 5.23% | 12.60% | 14.29% | 21.77% |
| Number of Parameters | Size on Disk | Inference Times (s)/Sataset | Training Times (Days)/Dataset | |||
|---|---|---|---|---|---|---|
| Trainable | Non-Trainable | CPU | GPU | GPU | ||
| ENet | 363,069 | 8354 | 5.8 MB | 113.10 | 15.64 | 5.31 |
| ERFNet | 2,056,440 | 0 | 25.3 MB | 58.08 | 13.49 | 4.16 |
Publisher’s Note: MDPI stays neutral with regard to jurisdictional claims in published maps and institutional affiliations. |
© 2022 by the authors. Licensee MDPI, Basel, Switzerland. This article is an open access article distributed under the terms and conditions of the Creative Commons Attribution (CC BY) license (https://creativecommons.org/licenses/by/4.0/).
Share and Cite
Salvaggio, G.; Cutaia, G.; Greco, A.; Pace, M.; Salvaggio, L.; Vernuccio, F.; Cannella, R.; Algeri, L.; Incorvaia, L.; Stefano, A.; et al. Deep Learning Networks for Automatic Retroperitoneal Sarcoma Segmentation in Computerized Tomography. Appl. Sci. 2022, 12, 1665. https://doi.org/10.3390/app12031665
Salvaggio G, Cutaia G, Greco A, Pace M, Salvaggio L, Vernuccio F, Cannella R, Algeri L, Incorvaia L, Stefano A, et al. Deep Learning Networks for Automatic Retroperitoneal Sarcoma Segmentation in Computerized Tomography. Applied Sciences. 2022; 12(3):1665. https://doi.org/10.3390/app12031665
Chicago/Turabian StyleSalvaggio, Giuseppe, Giuseppe Cutaia, Antonio Greco, Mario Pace, Leonardo Salvaggio, Federica Vernuccio, Roberto Cannella, Laura Algeri, Lorena Incorvaia, Alessandro Stefano, and et al. 2022. "Deep Learning Networks for Automatic Retroperitoneal Sarcoma Segmentation in Computerized Tomography" Applied Sciences 12, no. 3: 1665. https://doi.org/10.3390/app12031665
APA StyleSalvaggio, G., Cutaia, G., Greco, A., Pace, M., Salvaggio, L., Vernuccio, F., Cannella, R., Algeri, L., Incorvaia, L., Stefano, A., Galia, M., Badalamenti, G., & Comelli, A. (2022). Deep Learning Networks for Automatic Retroperitoneal Sarcoma Segmentation in Computerized Tomography. Applied Sciences, 12(3), 1665. https://doi.org/10.3390/app12031665

