Biochemical Characteristics of Acid-Soluble Collagen from Food Processing By-Products of Needlefish Skin (Tylosurus acus melanotus)
Abstract
1. Introduction
2. Materials and Methods
2.1. Raw Materials Preparation
2.2. Sample Pre-Treatment and Defatting Process
Proximate Analysis
2.3. Extraction of Collagen Using Different of Organic Acid
2.3.1. Extraction Yield
2.3.2. Percentage of Swelling
2.4. Characterization of Collagen
2.4.1. Recognition of the Colour
2.4.2. Hydroxyproline Content
2.4.3. Fourier Transform Infrared Spectroscopy (ATR-FTIR)
2.4.4. Ultraviolet–Visible Spectroscopy (UV–Vis) Measurement
2.4.5. Sodium Dodecyl Sulphate-Polyacrylamide Gel Electrophoresis (SDS-PAGE)
2.4.6. Thermal Transition Measurement
2.4.7. Effect of pH and NaCl on Solubility
2.5. Statistical Analysis
3. Results and Discussion
3.1. Proximate Analysis
3.2. Extraction Yield, Hydroxyproline Content, pH, Colour and Thermal Transition Measurement
3.3. Characterization Structure of Collagen
3.3.1. UV-VIS Absorption Spectra
3.3.2. Fourier Transform Infrared Spectroscopy (ATR-FTIR)
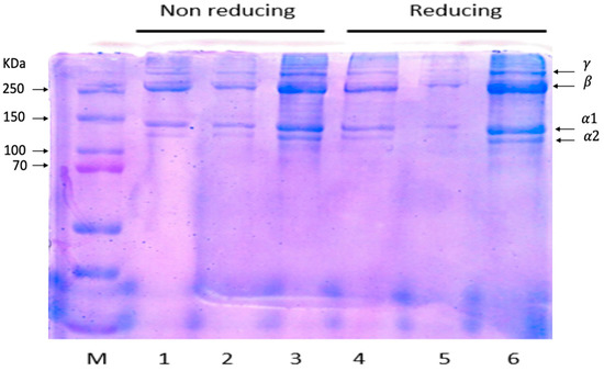
3.3.3. Sodium Dodecyl Sulphate-Polyacrylamide Gel Electrophoresis (SDS-PAGE)
3.3.4. Effect of NaCl Solubility
3.3.5. Effect of pH of Solubility
4. Conclusions
Author Contributions
Funding
Institutional Review Board Statement
Informed Consent Statement
Data Availability Statement
Conflicts of Interest
References
- Gao, R.; Yu, Q.; Shen, Y.; Chu, Q.; Chen, G.; Fen, S.; Yang, M.; Yuan, L.; Clements, D.J.M.; Sun, Q. Production, bioactive properties, and potential applications of fish protein hydrolysates: Developments and challenges. Trends Food Sci. Technol. 2021, 110, 687–699. [Google Scholar] [CrossRef]
- Oslan, S.N.H.; Li, C.X.; Shapawi, R.; Mokhtar, R.A.M.; Noordin, W.N.M.; Huda, N. Extraction and characterization of bioactive fish by-product collagen as promising for potential wound healing agent in pharmaceutical applications: Current trend and future perspective. Int. J. Food Sci. 2022, 2022, 9437878. [Google Scholar] [CrossRef] [PubMed]
- Nurilmala, M.; Suryamarevita, H.; Husein Hizbullah, H.; Jacoeb, A.M.; Ochiai, Y. Fish skin as a biomaterial for halal collagen and gelatin. Saudi J. Biol. Sci. 2022, 29, 1100–1110. [Google Scholar] [CrossRef]
- Schmidt, M.; Dornelles, R.C.P.; Mello, R.; Mazutti, M.; Demiate, I. Collagen extraction process. Int. Food Res. J. 2016, 23, 913–922. [Google Scholar]
- Baco, N.; Oslan, S.N.H.; Shapawi, R.; Mohhtar, R.A.M.; Noordin, W.N.M.; Huda, N. Antibacterial activity of functional bioactive peptides derived from fish protein hydrolysate. IOP Conf. Ser. Earth Environ. Sci. 2022, 967, 012019. [Google Scholar] [CrossRef]
- Coppola, D.; Oliviero, M.; Vitale, G.A.; Lauritano, C.; D’Ambra, I.; Iannace, S.; de Pascale, D. Marine collagen from alternative and sustainable sources: Extraction, processing and applications. Mar. Drugs 2020, 184, 214. [Google Scholar] [CrossRef]
- Muralidharan, N.; Jeya, S.R.; Sukumar, D.; Jeyasekaran, G. Skin, bone and muscle collagen extraction from the trash fish, Leather Jacket (Odonus niger) and their characterization. J. Food Sci. Technol. 2013, 50, 1106–1113. [Google Scholar] [CrossRef]
- Mahboob, S. Isolation and characterization of collagen from fish waste material-skin, scales and fins of Catla catla and Cirrhinus mrigala. J. Food Sci. Technol. 2015, 52, 4296–4305. [Google Scholar] [CrossRef]
- Munawaroh, H.S.H.; Gumilar, G.G.; Berliana, J.D.; Aisyah, S.; Nuraini, V.A.; Ningrum, A.; Susanto, E.; Martha, L.; Kurniawan, I.; Hidayati, N.A.; et al. In Silico proteolysis and molecular interaction of Tilapia (Oreochromis niloticus) skin collagen-derived peptides for environmental remediation. Environ. Res. 2022, 212, 113002. [Google Scholar] [CrossRef]
- Furtado, M.; Chen, L.; Chen, Z.; Chen, A.; Cui, W. Development of fish collagen in tissue regeneration and drug delivery. Eng. Regen. 2022, 3, 217–231. [Google Scholar] [CrossRef]
- He, L.; Lan, W.; Wang, Y.; Ahmed, S.; Liu, Y. Extraction and characterization of self-assembled collagen isolated from Grass carp and Crucian carp. Foods 2019, 8, 396. [Google Scholar] [CrossRef] [PubMed]
- Kuwahara, J. Extraction of type I collagen from Tilapia scales using acetic acid and ultrafine bubbles. Processes 2021, 9, 288. [Google Scholar] [CrossRef]
- Liu, D.; Wei, G.; Li, T.; Hu, J.; Lu, N.; Regenstein, J.M.; Zhou, P. Effects of alkaline pretreatments and acid extraction conditions on the acid-soluble collagen from Grass carp (Ctenopharyngodon idella) skin. Food Chem. 2015, 172, 836–843. [Google Scholar] [CrossRef] [PubMed]
- Prestes, R.C. Colágeno e seus derivados: Características e aplicações em produtos cárneos. Rev. Unopar Cíent. Ciênc. Biol. Saúde 2013, 1, 65–74. [Google Scholar]
- Jafari, H.; Lista, A.; Siekapen, M.M.; Ghaffari-Bohlouli, P.; Nie, L.; Alimoradi, H.; Shavandi, A. Fish collagen: Extraction, characterization, and applications for biomaterials engineering. Polymers 2020, 12, 2230. [Google Scholar] [CrossRef] [PubMed]
- Subhan, F.; Ikram, M.; Shehzad, A.; Ghafoor, A. Marine collagen: An emerging player in biomedical applications. J. Food Sci. Technol. 2015, 52, 4703–4707. [Google Scholar] [CrossRef]
- Chuaychan, S.; Benjakul, S.; Kishimura, H. Characteristics of acid- and pepsin-soluble collagens from scale of Seabass (Lates calcarifer). LWT-Food Sci. Technol. 2015, 63, 71–76. [Google Scholar] [CrossRef]
- AOAC. Official Maethods of Analysis of AOAC International, 17th ed.; Association of the Official Analytical Chemists (AOAC) International: Gaithersburg, MD, USA, 2003; Available online: https://ums.on.worldcat.org/oclc/476567963 (accessed on 5 January 2022).
- Zaelani, B.; Safithri, M.; Tarman, K.; Setyaningsih, I. Collagen isolation with acid soluble method from the skin of Red snapper (lutjanus sp.). IOP Conf. Ser. Earth Environ. Sci. 2019, 241, 012033. [Google Scholar] [CrossRef]
- Normah, I.; Maidzatul, A.M. Effect of extraction time on the physico-chemical characteristics of collagen from Sin croaker (Johniecop sina) waste. Int. Food Res. J. 2018, 25, 1074–1080. [Google Scholar]
- Huda, N.; Seow, E.K.; Normawati, M.N.; Nik Aisyah, N.M.; Fazilah, A.; Easa, A.M. Effect of duck feet collagen addition on physicochemical properties of surimi. Int. Food Res. J. 2013, 20, 537–544. [Google Scholar]
- Huda, N.; Seow, E.K.; Normawati, M.N.; Nik Aisyah, N.M.; Fazilah, A.; Easa, A.M. Preliminary study on physicochemical properties of duck feet collagen. Int. J. Poult. Sci. 2013, 12, 615–621. [Google Scholar] [CrossRef]
- Nalinanon, S.; Benjakul, S.; Visessanguan, W.; Kishimura, H. Use of pepsin for collagen extraction from the skin of bigeye snapper (Priacanthus tayenus). Food Chem. 2007, 104, 593–601. [Google Scholar] [CrossRef]
- Matmaroh, K.; Benjakul, S.; Prodpran, T.; Encarnacion, A.B.; Kishimura, H. Characteristics of acid soluble collagen and pepsin soluble collagen from scale of spotted golden Goatfish (Parupeneus heptacanthus). Food Chem. 2011, 129, 1179–1186. [Google Scholar] [CrossRef] [PubMed]
- Chinh, N.T.; Manh, V.Q.; Trung, V.Q.; Lam, T.D.; Huynh, M.D.; Tung, N.Q.; Hoang, T. Characterization of collagen derived from tropical freshwater carp fish scale wastes and its amino acid sequence. Nat. Prod. Commun. 2019, 14, 1934578X19866288. [Google Scholar] [CrossRef]
- Jeong, H.S.; Venkatesan, J.; Kim, S.K. Isolation and characterization of collagen from marine fish (Thunnus obesus). Biotechnol. Bioprocess Eng. 2013, 18, 1185–1191. [Google Scholar] [CrossRef]
- Zeng, S.; Yin, J.; Yang, S.; Zhang, C.; Yang, P.; Wu, W. Structure and characteristics of acid and pepsin-solubilized collagens from the skin of Cobia (Rachycentron canadum). Food Chem. 2012, 135, 1975–1984. [Google Scholar] [CrossRef] [PubMed]
- Jamilah, B.; Hartina, M.U.; Hashim, D.M.; Sazili, A.Q. Properties of collagen from Barramundi (Lates calcarifer) skin. Int. Food Res. J. 2013, 20, 835–842. [Google Scholar]
- Depmson, I.B.; Schwarz, C.J.; Shea, M. Comparative proximate body Atlantic salmon with emphasis on parr from fluvial and lacustrine habitats. J. Fish. Biol. 2004, 64, 1257–1271. [Google Scholar]
- Maktoof, A.A.; Jafar Elherarlla, R.; Ethaib, S. Identifying the nutritional composition of fish waste, bones, scales, and fins. IOP Conf. Ser. Mater Sci. Eng. 2020, 871, 012013. [Google Scholar] [CrossRef]
- Nurnadia, A.A.; Azrina, A.; Amin, I. Proximate composition and energetic value of selected marine fish and shellfish coast of peninsular Malaysia. Int. Food Res. J. 2011, 18, 137–148. [Google Scholar]
- da Trindade Alfaro, A.; Simões Da Costa, C.; Graciano Fonseca, G.; Prentice, C. Effect of extraction parameters on the properties of gelatin from King weakfish (Macrodon ancylodon) bones. Food Sci. Technol. Int. 2011, 15, 553–562. [Google Scholar] [CrossRef]
- Wei, P.; Zheng, H.; Shi, Z.; Li, D.; Xiang, Y. Isolation and charazterization of acid-soluble collagen and pepsin-soluble collagen from the skin of hybrid Sturgeon. J. Wuhan Univ. Technol. Mater. Sci. Ed. 2019, 34, 950–959. [Google Scholar] [CrossRef]
- Skierka, E.; Sadowska, M. The influence of different acids and pepsin on the extractability of collagen from the skin of Baltic cod (Gadus morhua). Food Chem. 2007, 105, 1302–1306. [Google Scholar] [CrossRef]
- Nagai, T.; Suzuki, N. Isolation of collagen from fish waste material—Skin, bone and fins. Food Chem. 2000, 68, 277–281. [Google Scholar] [CrossRef]
- Govindharaj, M.; Roopavath, U.K.; Rath, S.N. Valorization of discarded Marine Eel fish skin for collagen extraction as a 3D printable blue biomaterial for tissue engineering. J. Clean. Prod. 2019, 230, 412–419. [Google Scholar] [CrossRef]
- Liu, D.C.; Lin, Y.K.; Chen, M.T. Optimum condition of extracting collagen from chicken feet and its characteristics. Asian-Australas. J. Anim. Sci. 2001, 14, 1638–1644. [Google Scholar] [CrossRef]
- Cheng, F.Y.; Hsu, F.W.; Chang, H.S.; Lin, L.C.; Sakata, R. Effect of different acids on the extraction of pepsin-solubilised collagen containing melanin from silky fowl feet. Food Chem. 2009, 113, 563–567. [Google Scholar] [CrossRef]
- Kittiphattanabawon, P.; Benjakul, S.; Visessanguan, W.; Nagai, T.; Tanaka, M. Characterisation of acid-soluble collagen from skin and bone of Bigeye snapper (Priacanthus tayenus). Food Chem. 2005, 89, 363–372. [Google Scholar] [CrossRef]
- Blanco, M.; Vázquez, J.A.; Pérez-Martín, R.I.; Sotelo, C.G. Hydrolysates of fish skin collagen: An opportunity for valorizing fish industry byproducts. Mar. Drugs 2017, 15, 131. [Google Scholar] [CrossRef]
- Sionkowska, A.; Kozłowska, J.; Skorupska, M.; Michalska, M. Isolation and characterization of collagen from the skin of Brama australis. Int. J. Biol. Macromol. 2015, 80, 605–609. [Google Scholar] [CrossRef]
- Angel Martínez-Ortiz, M.; Delia Hernández-Fuentes, A.; Pimentel-González, D.J.; Campos-Montiel, R.G.; Vargas-Torres, A.; Aguirre-Álvarez, G. Extraction and characterization of collagen from rabbit skin: Partial characterization. CYTA J. Food 2015, 13, 253–258. [Google Scholar] [CrossRef]
- Usha, R.; Ramasami, T. The effects of urea and n -propanol on collagen denaturation: Using DSC, circular dicroism and viscosity. Thermochim. Acta 2004, 409, 201–206. [Google Scholar] [CrossRef]
- Capella-Monsonís, H.; Coentro, J.Q.; Graceffa, V.; Wu, Z.; Zeugolis, D.I. An experimental toolbox for characterization of mammalian collagen type I in biological specimens. Nat. Protoc. 2018, 13, 507–529. [Google Scholar] [CrossRef]
- Zhang, J.; Tu, X.; Wang, W.; Nan, J.; Wei, B.; Xu, C.; Lang, H.; Yuling, X.; Sheng, L.; Wang, H. Insight into the role of grafting density in the self-assembly of acrylic acid-grafted-collagen. Int. J. Biol. Macromol. 2019, 128, 885–892. [Google Scholar] [CrossRef] [PubMed]
- Kumar, N.S.S.; Nazeer, R.A. Erratum to: Wound healing properties of collagen from the bone of two marine fishes. Int. J. Pept. Res. Ther. 2012, 18, 193. [Google Scholar] [CrossRef][Green Version]
- Liu, D.; Liang, L.; Regenstein, J.M.; Zhou, P. Extraction and characterisation of pepsin-solubilised collagen from fins, scales, skins, bones and swim bladders of Bighead carp (Hypophthalmichthys nobilis). Food Chem. 2012, 133, 1441–1448. [Google Scholar] [CrossRef]
- Wang, J.; Pei, X.; Liu, H.; Zhou, D. Extraction and characterization of acid-soluble and pepsin-soluble collagen from skin of Loach (Misgurnus anguillicaudatus). Int. J. Biol. Macromol. 2018, 106, 544–550. [Google Scholar] [CrossRef]
- Ahmad, M.; Benjakul, S. Extraction and characterisation of pepsin-solubilised collagen from the skin of unicorn Leather jacket (Aluterus monocerous). Food Chem. 2010, 120, 817–824. [Google Scholar] [CrossRef]
- Kumar, N.S.S.; Nazeer, R.A. Characterization of acid and pepsin soluble collagen from the skin of Horse mackerels (Magalaspis cordyla) and Croaker (Otolithes ruber). Int. J. Food Prop. 2013, 16, 613–621. [Google Scholar] [CrossRef][Green Version]
- Chen, S.; Chen, H.; Xie, Q.; Hong, B.; Chen, J.; Hua, F.; Bai, K.; He, J.; Yi, R.; Wu, H. Rapid isolation of high purity pepsin-soluble type I collagen from scales of Red drum fish (Sciaenops ocellatus). Food Hydrocoll. 2016, 52, 468–477. [Google Scholar] [CrossRef]
- Liao, W.; Guanghua, X.; Li, Y.; Shen, X.R.; Li, C. Comparison of characteristics and fibril-forming ability of skin collagen from Barramundi (Lates calcarifer) and Tilapia (Oreochromis niloticus). Int. J. Biol. Macromol. 2018, 107, 549–559. [Google Scholar] [CrossRef]
- Göçer, M. Extraction and characterization of collagen from the skin and bone of Shabout (Arabibarbus grypus Heckel, 1843). Iran. J. Fish. Sci. 2022, 21, 671–687. [Google Scholar]
- Hukmi, N.M.M.; Sarbon, N.M. Isolation and characterization of acid soluble collagen (ASC) and pepsin soluble collagen (PSC) extracted from silver Catfish (Pangasius sp.) skin. Int. Food Res. J. 2018, 6, 2601–2607. [Google Scholar]
- Yu, D.; Chi, C.F.; Wang, B.; Ding, G.F.; Li, Z.R. Characterization of acid-and pepsin-soluble collagens from spines and skulls of skipjack tuna (Katsuwonus pelamis). Chin. J. Nat. Med. 2014, 12, 712–720. [Google Scholar] [CrossRef] [PubMed]
- Saallah, S.; Roslan, J.; Julius, F.S.; Saallah, S.; Mohamad Razali, U.H.; Pindi, W.; Sulaiman, M.R.; Pa’ee, K.F.; Mustapa, K.S.M. Comparative study of the yield and physicochemical properties of collagen from Sea cucumber (Holothuria scabra), obtained through dialysis and the ultrafiltration membrane. Molecules 2021, 26, 2564. [Google Scholar] [CrossRef]
- Seixas, M.J.; Martins, E.; Reis, R.L.; Silva, T.H. Extraction and characterization of collagen from elasmobranch byproducts for potential biomaterial use. Mar. Drugs 2020, 18, 617. [Google Scholar] [CrossRef]
- Xu, S.; Yang, H.; Shen, L.; Li, G. Purity and yield of collagen extracted from southern Catfish (Silurus meridionalis Chen) skin through improved pretreatment methods. Int. J. Food Prop. 2017, 20, S141–S153. [Google Scholar] [CrossRef]
- Pamungkas, B.F.; Murdiati, A.S.; Indrati, R. Characterization of the acid- and pepsin-soluble collagens from Haruan (Channa striatus) Scales. Pak. J. Nutr. 2019, 18, 324–332. [Google Scholar] [CrossRef][Green Version]
- Nurkhoeriyati, T.; Huda, N.; Ahmad, R. Gelation properties of spent duck meat surimi-like material produced using acid-alkaline solubilization methods. J. Food Sci. 2011, 76, S48–S55. [Google Scholar] [CrossRef]





| Composition (%) | Skins Sample | 
|---|---|
| Moisture | 61.65 ± 1.15 d | 
| Protein | 27.39 ± 0.08 c | 
| Lipid | 8.59 ± 0.07 b | 
| Ash | 2.16 ± 0.03 a | 
| Parameters | AAC | LAC | CAC | 
|---|---|---|---|
| Yield (% dry weight basis) | 3.13 ± 0.02 c | 0.56 ± 0.011 | 1.03 ± 0.03 b | 
| Swelling (%) | 226.37± 0.03 c | 198.37± 0.03 a | 210.41± 0.16 b | 
| Hydroxyproline content (mg/g dry sample) | 81.69 ± 2.01 b | 79.07 ± 0.3 a | 79.95 ± 0.09 a | 
| pH | 4.85 ± 0.49 a | 4.81 ± 0.19 a | 4.51 ± 0.07 a | 
| Colour scale, L* | 69.77 ± 4.04 b | 71.89 ± 1.52 c | 57.14 ± 4.13 a | 
| a* | 0.15 ± 0.16 a | 0.92 ± 0.22 b | 0.73 ± 0.09 b | 
| b* | 5.52 ± 1.23 a | 5.20 ± 0.02 a | 4.69 ± 0.65 a | 
| Tmax (°C) | 39.00± 0.25 a | 38.60± 0.19 a | 38.15 ± 0.12 a | 
| Enthalpy (∆H) (mJ/g) | 0.0398 | 0.0346 | 0.0218 | 
| Publisher’s Note: MDPI stays neutral with regard to jurisdictional claims in published maps and institutional affiliations. | 
© 2022 by the authors. Licensee MDPI, Basel, Switzerland. This article is an open access article distributed under the terms and conditions of the Creative Commons Attribution (CC BY) license (https://creativecommons.org/licenses/by/4.0/).
Share and Cite
Ramle, S.Z.; Oslan, S.N.H.; Shapawi, R.; Mokhtar, R.A.M.; Noordin, W.N.M.; Huda, N. Biochemical Characteristics of Acid-Soluble Collagen from Food Processing By-Products of Needlefish Skin (Tylosurus acus melanotus). Appl. Sci. 2022, 12, 12695. https://doi.org/10.3390/app122412695
Ramle SZ, Oslan SNH, Shapawi R, Mokhtar RAM, Noordin WNM, Huda N. Biochemical Characteristics of Acid-Soluble Collagen from Food Processing By-Products of Needlefish Skin (Tylosurus acus melanotus). Applied Sciences. 2022; 12(24):12695. https://doi.org/10.3390/app122412695
Chicago/Turabian StyleRamle, Siti Zulaikha, Siti Nur Hazwani Oslan, Rossita Shapawi, Ruzaidi Azli Mohd Mokhtar, Wan Norhana Md. Noordin, and Nurul Huda. 2022. "Biochemical Characteristics of Acid-Soluble Collagen from Food Processing By-Products of Needlefish Skin (Tylosurus acus melanotus)" Applied Sciences 12, no. 24: 12695. https://doi.org/10.3390/app122412695
APA StyleRamle, S. Z., Oslan, S. N. H., Shapawi, R., Mokhtar, R. A. M., Noordin, W. N. M., & Huda, N. (2022). Biochemical Characteristics of Acid-Soluble Collagen from Food Processing By-Products of Needlefish Skin (Tylosurus acus melanotus). Applied Sciences, 12(24), 12695. https://doi.org/10.3390/app122412695
 
        




 
       