Mandibular Second Molar Impaction-Part II: Etiology and Role of the Third Molar
Abstract
1. Introduction
2. Materials and Methods
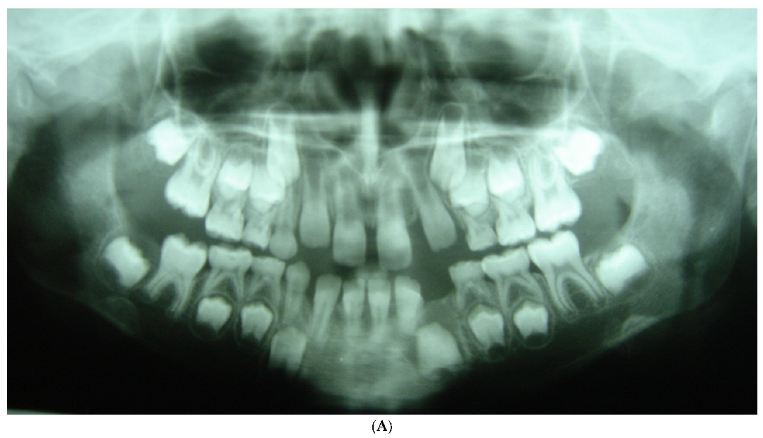
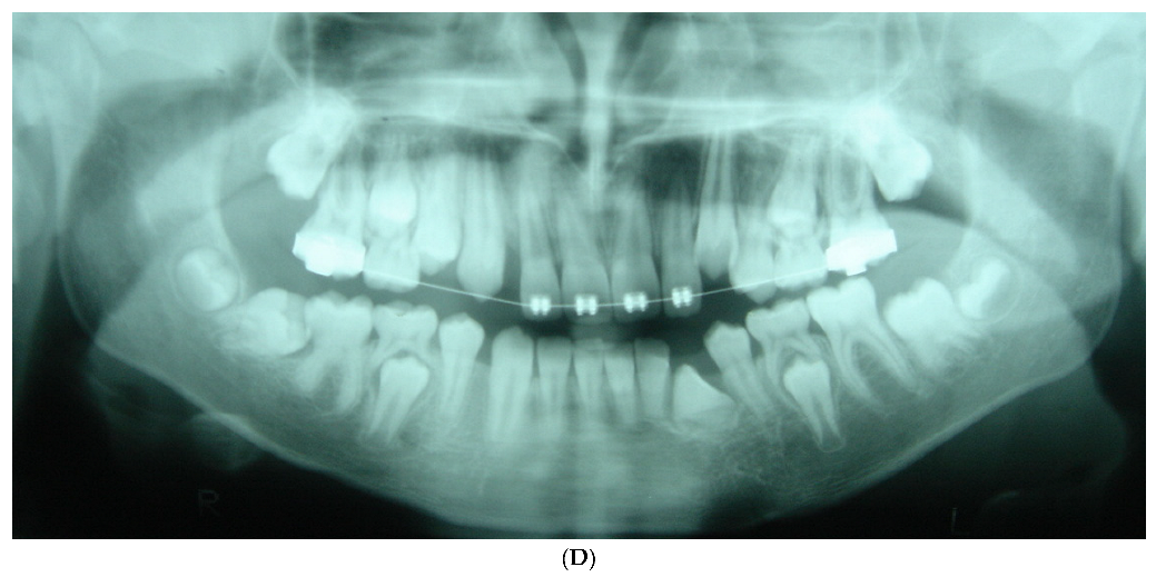
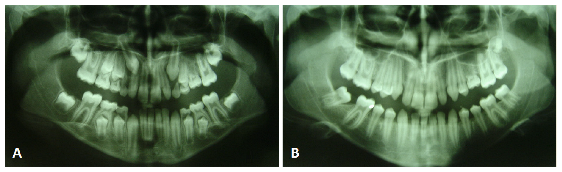
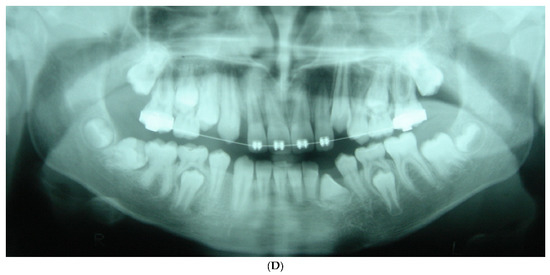
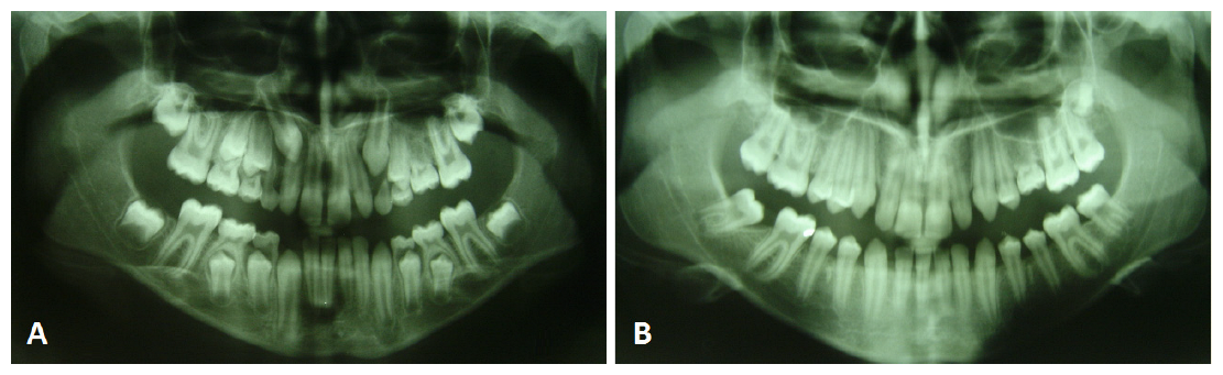
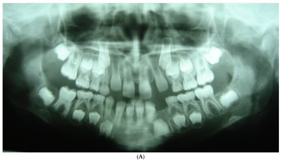
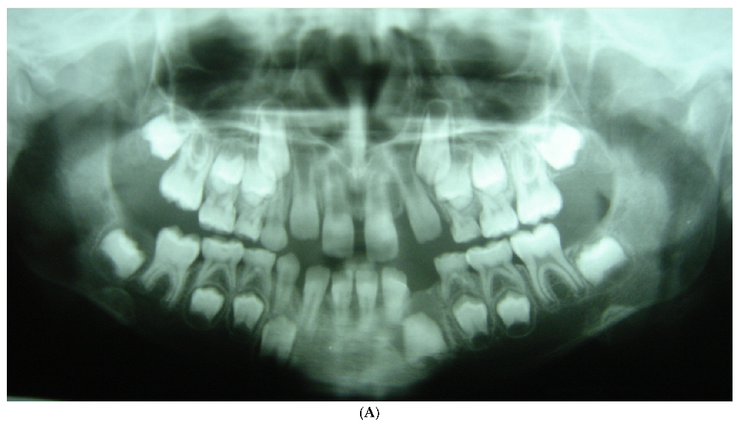
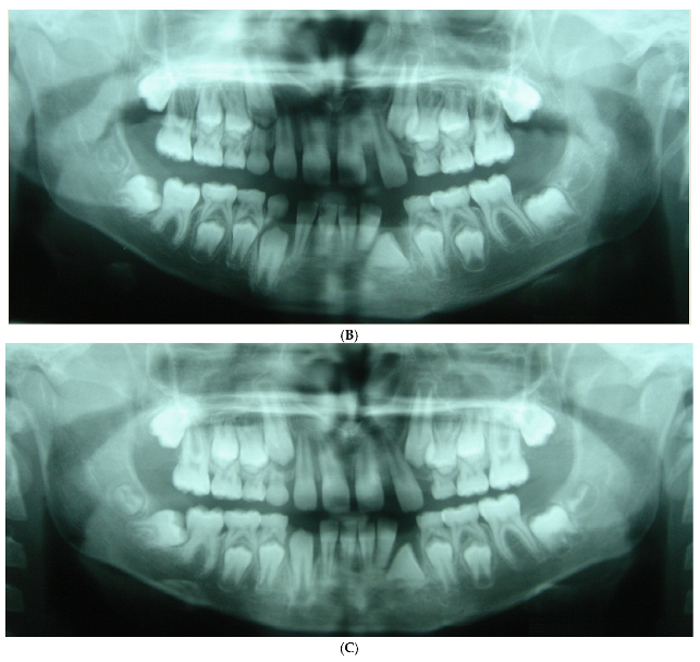
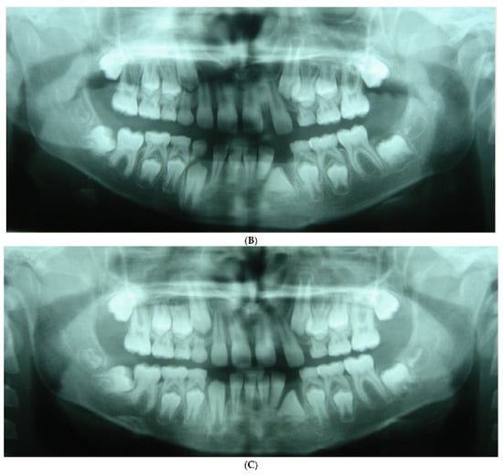
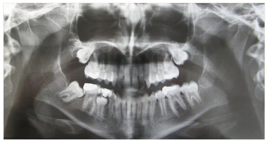
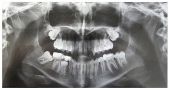
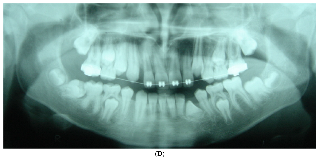
3. Results
4. Discussion
5. Conclusions
Author Contributions
Funding
Institutional Review Board Statement
Informed Consent Statement
Acknowledgments
Conflicts of Interest
References
- Garn, S.M.; Moorrees, C.F.A. Stature, body-build and tooth emergence in Aleutian Aleut children. Child Dev. 1951, 22, 261–270. [Google Scholar] [CrossRef] [PubMed]
- Andreasen, J.O. Review of root resorption systems and models. Etiology of root resorption and the homeostatic mechanisms of the periodontal ligament. In The Biological Mechanism of Tooth Eruption and Root Resorption; Davidovitch, Z., Ed.; EBSCO Media: Birmingham, AL, USA, 1998; pp. 9–21. [Google Scholar]
- Raghoebar, G.M.; Boeing, G.; Vissink, A.; Stegenga, B. Eruption disturbances of permanent molars: A review. J. Oral Pathol. Med. 1991, 20, 159–166. [Google Scholar] [CrossRef] [PubMed]
- Raghoebar, G.M.; Boering, G.; Jansen, H.W.B.; Vissink, A. Secondary retention of permanent molars: A histologic study. J. Oral Pathol. Med. 1989, 18, 427–431. [Google Scholar] [CrossRef] [PubMed]
- Shapira, Y.; Finkelstein, T.; Shpack, N.; Lai, Y.H.; Kuftinec, M.M.; Vardimon, A. Mandibular second molar impaction. Part 1: Genetic traits and characteristics. Am. J. Orthod. Dentofac. Orthop. 2011, 140, 32–37. [Google Scholar] [CrossRef]
- Varpio, M.; Wellfelt, B. Disturbed eruption of the lower second molar: Clinical appearance, prevalence, and etiology. ASDC J. Dent. Child. 1988, 55, 114–118. [Google Scholar]
- Wellfelt, B.; Varpio, M. Disturbed eruption of the permanent lower second molar: Treatment and results. ASDC J. Dent. Child. 1988, 55, 183–189. [Google Scholar]
- Grover, P.S.; Lorton, L. The incidence of unerupted permanent teeth and related clinical cases. Oral Surg. Oral Med. Oral Path. 1985, 59, 420–425. [Google Scholar] [CrossRef]
- Shapira, Y.; Borell, G.; Nahlieli, O.; Kuftinek, M.M. Uprighting mesially impacted mandibular permanent second molar. Angle Orthod. 1998, 68, 173–178. [Google Scholar]
- Ferrazzini, G. Uprighting of a deeply impacted mandibular second molar. Am. J. Orthod. Dentofac. Orthop. 1989, 96, 168–171. [Google Scholar] [CrossRef]
- Johnsen, J.V.; Quirk, G.P. Surgical repositioning of impacted mandibular second molar teeth. Am. J. Orthod. Dentofac. Orthop. 1987, 91, 242–251. [Google Scholar] [CrossRef]
- McAboy, C.P.; Grumet, J.T.; Siegel, E.B.; Iacopino, A.M. Surgical uprighting and repositioning of severely impacted mandibular second molars. J. Am. Dent. Assoc. 2003, 134, 1459–1462. [Google Scholar] [CrossRef] [PubMed]
- Kavadia, S.; Antoniades, K.; Kaklamanos, E.; Antoniades, V.; Markovitsi, E.; Zafiriadis, L. Early extraction of the mandibular third molar in case of eruption disturbances of the second molar. J. Dent. Child. 2003, 70, 29–32. [Google Scholar]
- Johnsen, D.C. Prevalence of delayed emergence of permanent teeth as a result of local factors. J. Am. Dent. Assoc. 1977, 94, 100–106. [Google Scholar] [CrossRef] [PubMed]
- Radlanski, R.J.; Renz, H. Explainable and critical periods during human dental morphogenesis and their control. Arch. Oral Biol. 2005, 50, 199–203. [Google Scholar] [CrossRef] [PubMed]
- Cho, S.Y.; Ki, Y.; Chu, V.; Chan, J. Impaction of permanent mandibular second molars in ethnic Chinese schoolchildren. J. Can. Dent. Assoc. 2008, 76, 521–521e. [Google Scholar]
- Ling, J.Y.; Wong, R.W. Tanaka-Johnston mixed dentition analysis for Southern Chinese in Hong Kong. Angle Orthod. 2006, 76, 632–636. [Google Scholar]
- Vedtofte, H.; Andreasen, J.O.; Kjaer, I. Arrested eruption of the permanent lower second molar. Euro. J. Orthod. 1999, 21, 31–40. [Google Scholar] [CrossRef]
- Gorlin, R.J.; Goldman, H.M. Thoma’s Oral Pathology, 6th ed.; C.V. Mosby Co.: St. Louis, MI, USA, 1970; pp. 103–109, 124–125. [Google Scholar]
- Valmaseda-Castellon, E.; de-la-Rosa-Gay, C.; Gay-Escoda, C. Eruption disturbances of the first and second permanent molars: Results of treatment in 43 cases. Am. J. Orthod. Dentofac. Orthop. 1999, 116, 651–658. [Google Scholar] [CrossRef]
- Palma, C.; Coelho, A.; Gonzalez, Y.; Cahuana, A. Failure of eruption of first and second permanent molars. J. Clin. Pediatr. Dent. 2003, 27, 239–245. [Google Scholar] [CrossRef]
- Freeman, R.S. Mandibular second molar problems. Am. J. Orthod. Dentofac. Orthop. 1988, 94, 19–21. [Google Scholar] [CrossRef]
- Shpack, N.; Finkelstein, T.; Lai, Y.H.; Kuftinec, M.M.; Vardimon, A.; Shapira, Y. Mandibular permanent second molar impaction treatment options and outcome. Open J. Dent. Oral Med. 2013, 1, 9–14. [Google Scholar] [CrossRef]
- Kim, T.H.; Bae, C.H.; Lee, J.C.; KOSO; Yang, X.; Juang, R.; Cho, E.S. Betta-catenin is required in odontoblasts for tooth root formation. J. Dent. Res. 2013, 92, 215–221. [Google Scholar] [CrossRef]
- Bae, C.H.; Lee, J.Y.; Kim, T.H.; Baek, J.A.; Lee, J.C.; Yang, X.; Taketo, M.M.; Jiang, R.; Cho, E.S. Excessive Wnt/betta-catenin signaling disturbs tooth root formation. J. Periodo. Res. 2013, 48, 405–410. [Google Scholar] [CrossRef] [PubMed]
- Lim, W.H.; Liu, B.; Hunter, D.J.; Cheng, D.; Mah, S.J.; Helms, J.A. Downregulation of Wnt causes root resorption. Am. J. Orthod. Dentofac. Orthop. 2014, 146, 337–345. [Google Scholar] [CrossRef] [PubMed]
- Bae, C.H.; Kim, T.H.; Ko, S.O.; Lee, J.C.; Yang, X.; Cho, E.S. Wntless regulates dentin apposition and root elongation in the mandibular molar. J. Dent. Res. 2015, 94, 439–445. [Google Scholar] [CrossRef] [PubMed]
- Zang, R.; Yang, G.; Wu, X.; Xie, J.; Yang, X.; Li, T. Disruption of Wnt/betta-catenin signaling in odontoblasts and cementoblasts arrests tooth root development in postnatal mouse teeth. Int. J. Biol. Sci. 2013, 9, 228–236. [Google Scholar] [CrossRef]
- Henry, C.B. Prophylactic enucleation of lower wisdom tooth follicles. Lancent 1936, 18, 921. [Google Scholar] [CrossRef]
- Ricketts, R.M.; Turley, P.; Chaconas, S.; Schulhof, R.J. Third molar enucleation: Diagnosis and technique. J. Calif. Dent. Assoc. 1976, 4, 52–57. [Google Scholar]
- Becker, A.; Zilberman, Y.; Tsur, B. Root length of lateral incisors adjacent to palatally displaced maxillary cuspids. Angle Orthod. 1984, 54, 218–225. [Google Scholar]










| Ethnicity | No. of Patients | Male | Female | Unilateral | Bilateral | Total No. of Impacted MM2 |
|---|---|---|---|---|---|---|
| Chinese-Americans | 151 | 73 | 78 | 90 | 61 | 212 |
Publisher’s Note: MDPI stays neutral with regard to jurisdictional claims in published maps and institutional affiliations. |
© 2022 by the authors. Licensee MDPI, Basel, Switzerland. This article is an open access article distributed under the terms and conditions of the Creative Commons Attribution (CC BY) license (https://creativecommons.org/licenses/by/4.0/).
Share and Cite
Shapira, Y.; Lai, Y.; Schonberger, S.; Shpack, N.; Finkelstein, T. Mandibular Second Molar Impaction-Part II: Etiology and Role of the Third Molar. Appl. Sci. 2022, 12, 11520. https://doi.org/10.3390/app122211520
Shapira Y, Lai Y, Schonberger S, Shpack N, Finkelstein T. Mandibular Second Molar Impaction-Part II: Etiology and Role of the Third Molar. Applied Sciences. 2022; 12(22):11520. https://doi.org/10.3390/app122211520
Chicago/Turabian StyleShapira, Yehoshua, Yon Lai, Shirley Schonberger, Nir Shpack, and Tamar Finkelstein. 2022. "Mandibular Second Molar Impaction-Part II: Etiology and Role of the Third Molar" Applied Sciences 12, no. 22: 11520. https://doi.org/10.3390/app122211520
APA StyleShapira, Y., Lai, Y., Schonberger, S., Shpack, N., & Finkelstein, T. (2022). Mandibular Second Molar Impaction-Part II: Etiology and Role of the Third Molar. Applied Sciences, 12(22), 11520. https://doi.org/10.3390/app122211520

