Fully Automated Electronic Cleansing Using CycleGAN in Computed Tomography Colonography
Abstract
1. Introduction
2. Methods
2.1. Target Case
2.2. Pretreatment Conditions
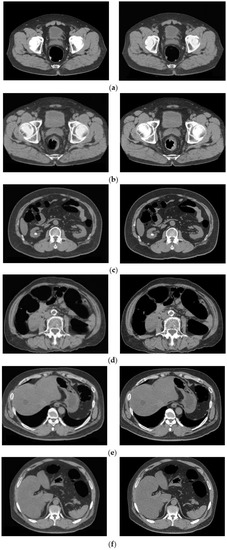
2.3. Manual Cleansing (MC) Image Creation
2.4. Network Structures
2.5. Evaluation Metrics
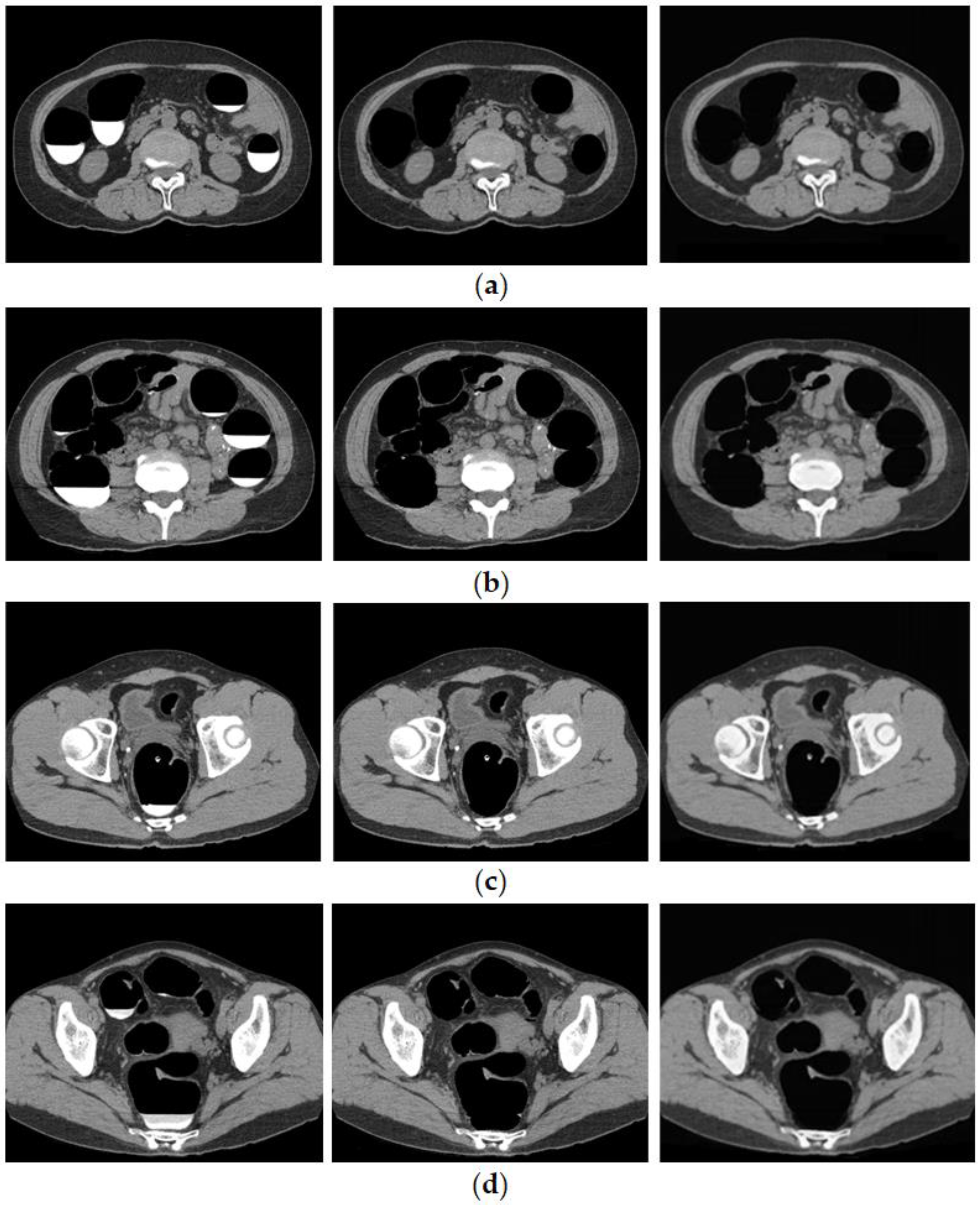
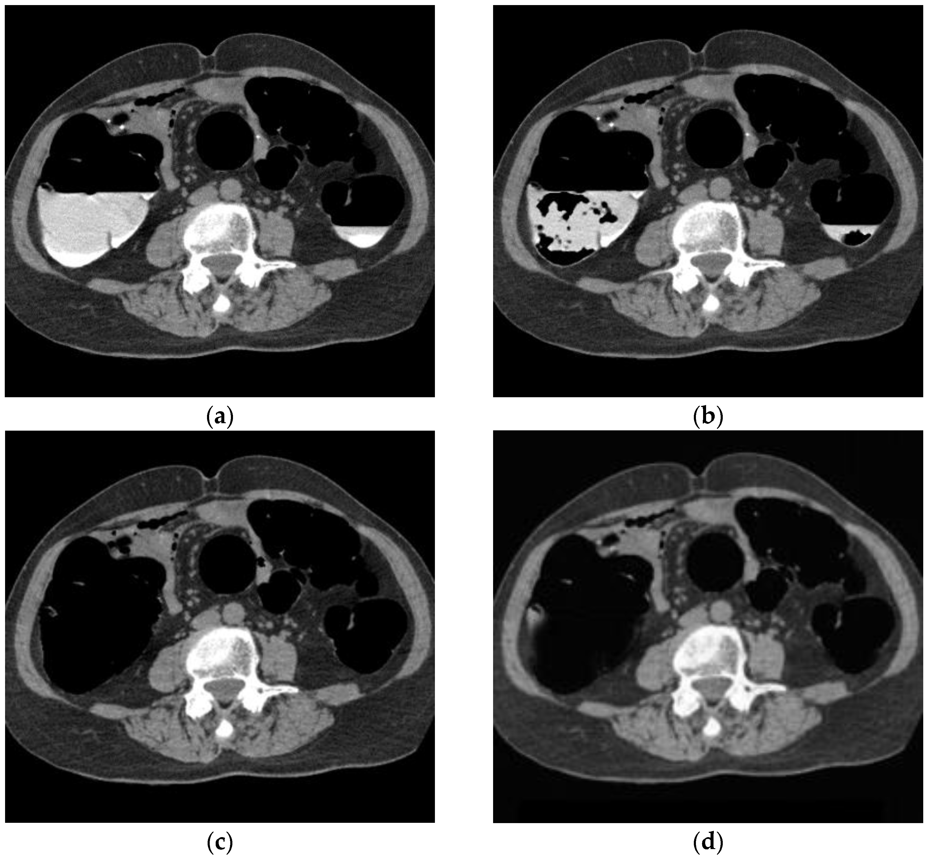
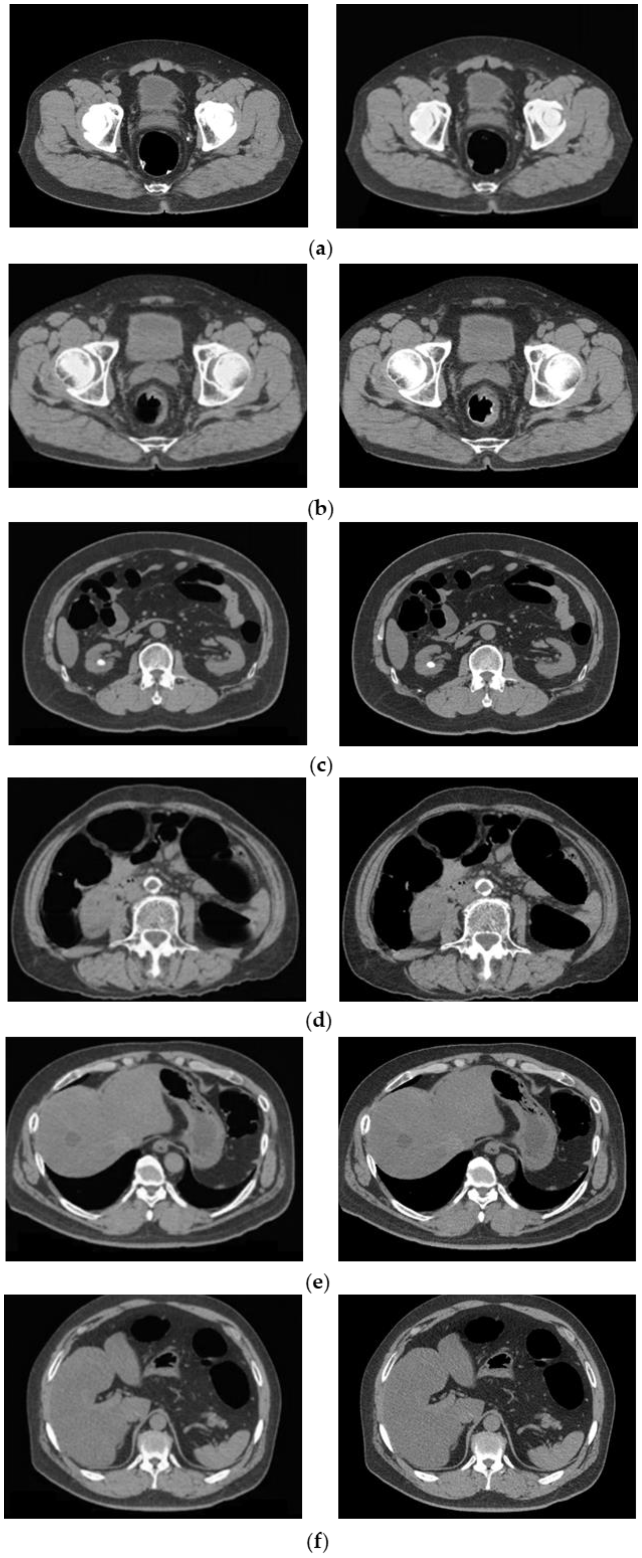
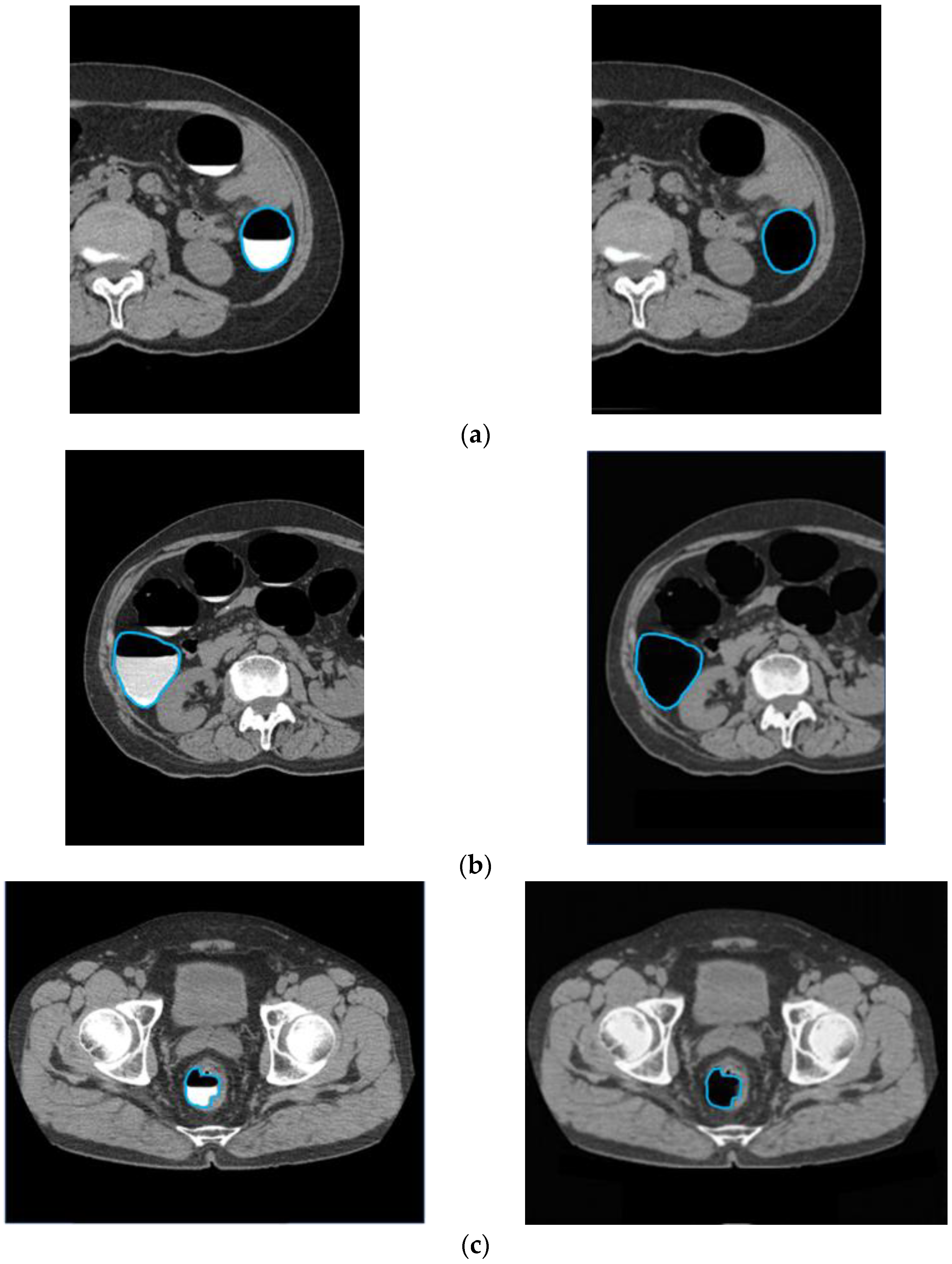
3. Results
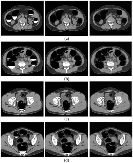
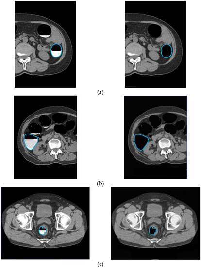
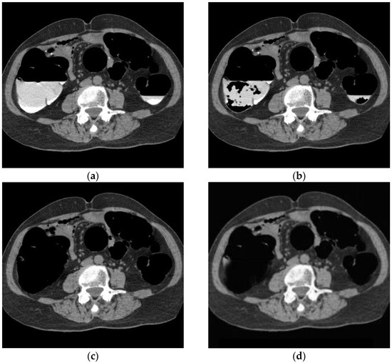
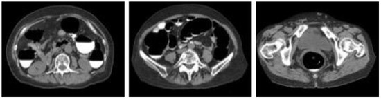
3.1. Cleansing Images Generated Using CycleGAN
3.2. Results of Quantitative Evaluation
4. Discussion
4.1. Images Generated by CycleGAN
4.2. Quantitative Evaluation Considerations
4.3. Possible Interpretation
5. Conclusions
Author Contributions
Funding
Institutional Review Board Statement
Informed Consent Statement
Data Availability Statement
Conflicts of Interest
References
- Siegel, R.L.; Miller, K.D.; Jemal, A. Cancer Statistics, 2020. CA Cancer J. Clin. 2020, 70, 7–30. [Google Scholar] [CrossRef]
- Keum, N.; Giovannucci, E. Global Burden of Colorectal Cancer: Emerging Trends, Risk Factors and Prevention Strategies. Nat. Rev. Gastroenterol. Hepatol. 2019, 16, 713–732. [Google Scholar] [CrossRef] [PubMed]
- Kazuo, M. Current Situation of Colorectal Cancer Deaths and Challenges in Colorectal Cancer Screening in Japan and Comparison with the UK and the US. J. Gastrointest. Cancer Screen. 2020, 58, 972–982. [Google Scholar]
- de Wijkerslooth, T.R.; de Haan, M.C.; Stoop, E.M.; Bossuyt, P.M.; Thomeer, M.; van Leerdam, M.E.; Essink-Bot, M.L.; Fockens, P.; Kuipers, E.J.; Stoker, J.; et al. Reasons for Participation and Nonparticipation in Colorectal Cancer Screening: A Randomized Trial of Colonoscopy and CT Colonography. Am. J. Gastroenterol. 2012, 107, 1777–1783. [Google Scholar] [CrossRef] [PubMed]
- Utano, K.; Nagata, K.; Honda, T.; Mitsushima, T.; Yasuda, T.; Kato, T.; Horita, S.; Asano, M.; Oda, N.; Majima, K.; et al. Diagnostic Performance and Patient Acceptance of Reduced-Laxative CT Colonography for the Detection of Polypoid and Non-polypoid Neoplasms: A Multicenter Prospective Trial. Radiology 2017, 282, 399–407. [Google Scholar] [CrossRef]
- Levin, B.; Lieberman, D.A.; McFarland, B.; Smith, R.A.; Brooks, D.; Andrews, K.S.; Dash, C.; Giardiello, F.M.; Glick, S.; Levin, T.R.; et al. Screening and Surveillance for the Early Detection of Colorectal Cancer and Adenomatous Polyps, 2008: A Joint Guideline from the American Cancer Society, the US Multi-Society Task Force on Colorectal Cancer, and the American College of Radiology. CA Cancer J. Clin. 2008, 58, 130–160. [Google Scholar] [CrossRef]
- Lefere, P.A.; Gryspeerdt, S.S.; Dewyspelaere, J.; Baekelandt, M.; Van Holsbeeck, B.G. Dietary Fecal Tagging as a Cleansing Method before CT Colonography: Initial Results Polyp Detection and Patient Acceptance. Radiology 2002, 224, 393–403. [Google Scholar] [CrossRef]
- Zalis, M.E.; Perumpillichira, J.; Del Frate, C.; Hahn, P.F. CT Colonography: Digital Subtraction Bowel Cleansing with Mucosal Reconstruction Initial Observations. Radiology 2003, 226, 911–917. [Google Scholar] [CrossRef]
- Bielen, D.; Thomeer, M.; Vanbeckevoort, D.; Kiss, G.; Maes, F.; Marchal, G.; Rutgeerts, P. Dry Preparation for Virtual CT Colonography with Fecal Tagging Using Water-soluble Contrast Medium: Initial Results. Eur. Radiol. 2003, 13, 453–458. [Google Scholar] [CrossRef]
- Mitsuzaki, K.; Iinuma, G.; Morimoto, T.; Miyake, M.; Tomimatsu, H. Computed Tomographic Colonography with a Reduced Dose of Laxative Using a Novel Barium Sulfate Contrast Agent in Japan. Jpn. J. Radiol. 2019, 37, 245–254. [Google Scholar] [CrossRef]
- Cai, W.; Lee, J.G.; Zhang, D.; Kim, S.H.; Zalis, M.; Yoshida, H. Electronic Cleansing in Fecal-Tagging Dual-Energy CT Colonography Based on Material Decomposition and Virtual Colon Tagging. IEEE Trans. Biomed. Eng. 2015, 62, 754–765. [Google Scholar] [CrossRef] [PubMed]
- Tachibana, R.; Näppi, J.J.; Ota, J.; Kohlhase, N.; Hironaka, T.; Kim, S.H.; Regge, D.; Yoshida, H. Deep Learning Electronic Cleansing for Single- and Dual-Energy CT Colonography. Radiographics 2018, 38, 2034–2050. [Google Scholar] [CrossRef] [PubMed]
- Pickhardt, P.J.; Choi, J.H. Electronic Cleansing and Stool Tagging in CT Colonography: Advantages and Pitfalls with Primary Three-Dimensional Evaluation. Am. J. Roentgenol. 2003, 181, 799–805. [Google Scholar] [CrossRef] [PubMed]
- Zalis, M.E.; Perumpillichira, J.J.; Magee, C.; Kohlberg, G.; Hahn, P.F. Tagging-Based, Electronically Cleansed CT Colonography: Evaluation of Patient Comfort and Image Readability. Radiology 2006, 239, 149–159. [Google Scholar] [CrossRef]
- Goodfellow, I.; Pouget-Abadie, J.; Mirza, M.; Xu, B.; Warde-Farley, D.; Ozair, S.; Courville, A.; Bengio, Y. Generative Adversarial Networks. Commun. ACM 2020, 63, 139–144. [Google Scholar] [CrossRef]
- Onishi, Y.; Teramoto, A.; Tsujimoto, M.; Tsukamoto, T.; Saito, K.; Toyama, H.; Imaizumi, K.; Fujita, H. Investigation of Pulmonary Nodule Classification Using Multi-scale Residual Network Enhanced with 3DGAN-Synthesized Volumes. Radiol. Phys. Technol. 2020, 13, 160–169. [Google Scholar] [CrossRef]
- Teramoto, A.; Tsukamoto, T.; Yamada, A.; Kiriyama, Y.; Imaizumi, K.; Saito, K.; Fujita, H. Deep Learning Approach to Classification of Lung Cytological Images: Two-Step Training Using Actual and Synthesized Images by Progressive Growing of Generative Adversarial Networks. PLoS ONE 2020, 15, e0229951. [Google Scholar] [CrossRef]
- Toda, R.; Teramoto, A.; Tsujimoto, M.; Toyama, H.; Imaizumi, K.; Saito, K.; Fujita, H. Synthetic CT Image Generation of Shape-Controlled Lung Cancer Using Semi-conditional InfoGAN and Its Applicability for Type Classification. Int. J. Comput. Assist. Rad. Surg. 2021, 16, 241–251. [Google Scholar] [CrossRef]
- Zhu, J.-Y.; Park, T.; Isola, P.; Efros, A.A. Unpaired Image-to-Image Translation Using Cycle-Consistent Adversarial Networks. In Proceedings of the IEEE International Conference on Computer Vision, Venice, Italy, 22–29 October 2017; pp. 2223–2232. [Google Scholar]
- Hiasa, Y.; Otake, Y.; Takao, M.; Matsuoka, T.; Takashima, K.; Carass, A.; Prince, J.L.; Sugano, N.; Sato, Y. Cross-modality image synthesis from unpaired data using CycleGAN. In International Workshop on Simulation and Synthesis in Medical Imaging; Lecture Notes in Computer; Springer: Cham, Switzerland, 2018; Volume 11037, pp. 31–41. [Google Scholar] [CrossRef]
- Zhou, L.; Schaefferkoetter, J.D.; Tham, I.W.K.; Huang, G.; Yan, J. Supervised Learning with Cyclegan for Low-Dose FDG PET Image Denoising. Med. Image Anal. 2020, 65, 101770. [Google Scholar] [CrossRef]
- Nappi, J.J.; Yoshida, H. Cycle-consistent 3D-generative adversarial network for virtual bowel cleansing in CT colonography. In Medical Imaging 2019: Image Processing; SPIE: Bellingham, WA, USA, 2019; Volume 10949, p. 109492Z. [Google Scholar]
- Davide, B.; Domenico, D.; Damiano, C.; Marco, R.; Riccard, F.; Tommaso, B.; Andrea, L. Bowel Preparation in CT Colonography: Is Diet Restriction Necessary? A Randomised Trial. Eur. Radiol. 2018, 28, 382–389. [Google Scholar]
- Isola, P.; Zhu, J.-Y.; Zhou, T.; Efros, A.A. Image-to-Image Translation with Conditional Adversarial Networks. In Proceedings of the IEEE Conference on Computer Vision and Pattern Recognition (CVPR), Honolulu, HI, USA, 21–26 July 2017; pp. 5967–5976. [Google Scholar] [CrossRef]
- Pickhardt, P.J.; Kim, D.H.; Meiners, R.J.; Wyatt, K.S.; Hanson, M.E.; Barlow, D.S.; Cullen, P.A.; Remtulla, R.A.; Cash, B.D. Colorectal and Extracolonic Cancers Detected at Screening CT Colonography in 10,286 Asymptomatic Adults. Radiology 2010, 255, 83–88. [Google Scholar] [CrossRef] [PubMed]
- Veerappan, G.R.; Ally, M.R.; Choi, J.R.; Pak, J.S.; Maydonovitch, C.; Wong, R.K.H. Extracolonic Findings on CT Colonography Increases Yield of Colorectal Cancer Screening. Am. J. Roentgenol. 2010, 195, 677–686. [Google Scholar] [CrossRef] [PubMed]
- Kumamaru, K.K.; Machitori, A.; Koba, R.; Ijichi, S.; Nakajima, Y.; Aoki, S. Global and Japanese regional variations in radiologist potential work load for computed tomography and magnetic resonance imaging examinations. Jpn. J. Radiol. 2018, 36, 273–281. [Google Scholar] [CrossRef] [PubMed]












Publisher’s Note: MDPI stays neutral with regard to jurisdictional claims in published maps and institutional affiliations. |
© 2022 by the authors. Licensee MDPI, Basel, Switzerland. This article is an open access article distributed under the terms and conditions of the Creative Commons Attribution (CC BY) license (https://creativecommons.org/licenses/by/4.0/).
Share and Cite
Isobe, Y.; Teramoto, A.; Morita, F.; Saito, K.; Fujita, H. Fully Automated Electronic Cleansing Using CycleGAN in Computed Tomography Colonography. Appl. Sci. 2022, 12, 10789. https://doi.org/10.3390/app122110789
Isobe Y, Teramoto A, Morita F, Saito K, Fujita H. Fully Automated Electronic Cleansing Using CycleGAN in Computed Tomography Colonography. Applied Sciences. 2022; 12(21):10789. https://doi.org/10.3390/app122110789
Chicago/Turabian StyleIsobe, Yoshitaka, Atsushi Teramoto, Fujio Morita, Kuniaki Saito, and Hiroshi Fujita. 2022. "Fully Automated Electronic Cleansing Using CycleGAN in Computed Tomography Colonography" Applied Sciences 12, no. 21: 10789. https://doi.org/10.3390/app122110789
APA StyleIsobe, Y., Teramoto, A., Morita, F., Saito, K., & Fujita, H. (2022). Fully Automated Electronic Cleansing Using CycleGAN in Computed Tomography Colonography. Applied Sciences, 12(21), 10789. https://doi.org/10.3390/app122110789

