A Plaque Instability Index Calculated by Histological Marker Analysis of the Endarterectomy Carotid Artery
Abstract
1. Introduction
2. Materials and Methods
2.1. Patients
2.2. Study Procedures
2.2.1. Carotid Endarterectomy
2.2.2. Risk Factor Analysis
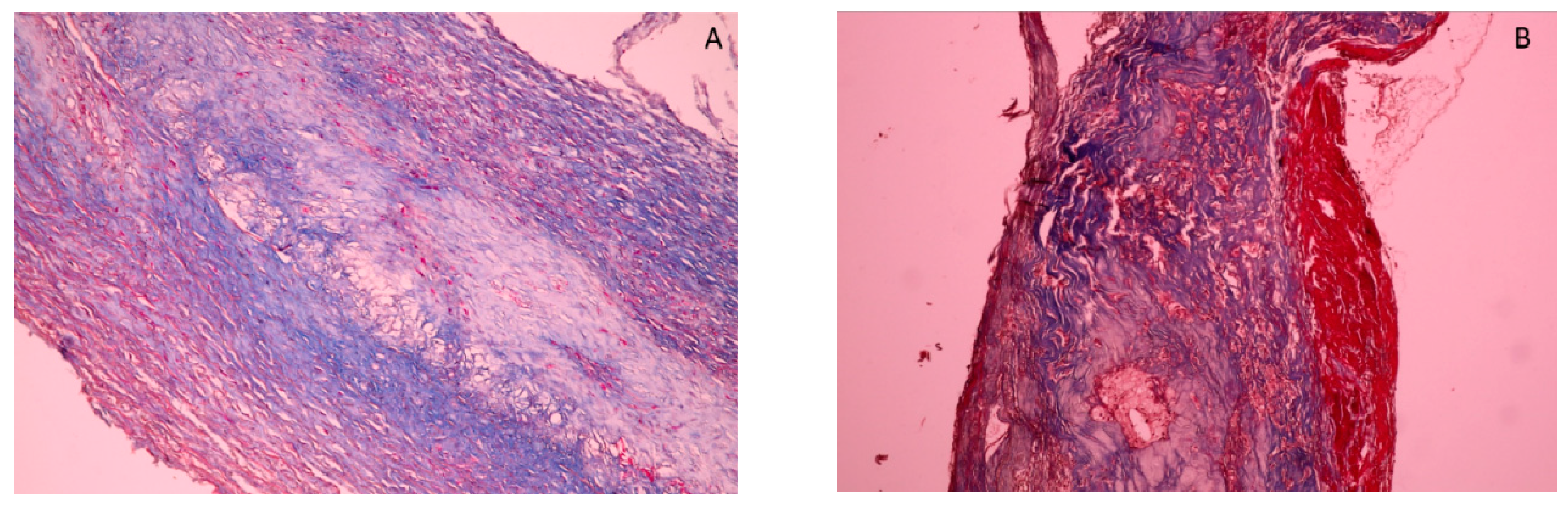
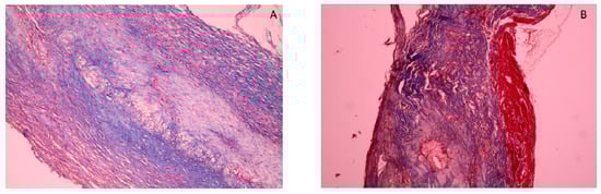
2.2.3. Histopathological and Immunohistochemical Analysis
2.2.4. Morphometrical Analysis
2.2.5. Index Calculation
2.2.6. Statistical Analysis
3. Results
4. Discussion
Limitations
5. Conclusions
Author Contributions
Funding
Institutional Review Board Statement
Informed Consent Statement
Conflicts of Interest
References
- Rothwell, P.M.; Gibson, R.; Warlow, C.P. Interrelation between plaque surface morphology and degree of stenosis on carotid angiograms and the risk of ischemic stroke in patients with symptomatic carotid stenosis. On behalf of the European Carotid Surgery Trialists’ Collaborative Group. Stroke 2000, 31, 615–621. [Google Scholar] [CrossRef] [PubMed]
- Redgrave, J.N.; Lovett, J.K.; Gallagher, P.J.; Rothwell, P.M. Histological assessment of 526 symptomatic carotid plaques in relation to the nature and timing of ischemic symptoms: The Oxford plaque study. Circulation 2006, 113, 2320–2328. [Google Scholar] [CrossRef] [PubMed]
- Virmani, R.; Burke, A.P.; Kolodgie, F.D.; Farb, A. Vulnerable plaque: The pathology of unstable coronary lesions. J. Interv. Cardiol. 2002, 15, 439–446. [Google Scholar] [CrossRef]
- Butcovan, D.; Mocanu, V.; Baran, D.; Ciurescu, D.; Tinica, G. Assessment of vulnerable and unstable carotid atherosclerotic plaques on endarterectomy specimens. Exp. Ther. Med. 2016, 11, 2028–2032. [Google Scholar] [CrossRef]
- Jaffer, F.A.; Verjans, J.W. Molecular imaging of atherosclerosis: Clinical state-of-the-art. Heart 2014, 100, 1469–1477. [Google Scholar] [CrossRef] [PubMed]
- Salem, M.K.; Sayers, R.D.; Bown, M.J.; West, K.; Moore, D.; Robinson, T.G.; Naylor, A.R. Features of unstable carotid plaque during and after the hyperacute period following TIA/stroke. Eur. J. Vasc. Endovasc. Surg. 2013, 45, 114–120. [Google Scholar] [CrossRef]
- Sakakura, K.; Nakano, M.; Otsuka, F.; Ladich, E.; Kolodgie, F.D.; Virmani, R. Pathophysiology of atherosclerosis plaque progression. Heart Lung Circ. 2013, 22, 399–411. [Google Scholar] [CrossRef]
- Kondakov, A.; Lelyuk, V. Clinical Molecular Imaging for Atherosclerotic Plaque. J. Imaging 2021, 7, 211. [Google Scholar] [CrossRef]
- Fishbein, M.C. The vulnerable and unstable atherosclerotic plaque. Cardiovasc. Pathol. 2010, 19, 6–11. [Google Scholar] [CrossRef]
- Finn, A.V.; Nakano, M.; Narula, J.; Kolodgie, F.D.; Virmani, R. Concept of vulnerable/unstable plaque. Arterioscler. Thromb. Vasc. Biol. 2010, 30, 1282–1292. [Google Scholar] [CrossRef] [PubMed]
- Virmani, R.; Kolodgie, F.D.; Burke, A.P.; Farb, A.; Schwartz, S.M. Lessons from sudden coronary death: A comprehensive morphological classification scheme for atherosclerotic lesions. Arterioscler. Thromb. Vasc. Biol. 2000, 20, 1262–1275. [Google Scholar] [CrossRef] [PubMed]
- Libby, P.; Buring, J.E.; Badimon, L.; Hansson, G.K.; Deanfield, J.; Bittencourt, M.S.; Tokgozoglu, L.; Lewis, E.F. Atherosclerosis. Nat. Rev. Dis. Primers 2019, 5, 56. [Google Scholar] [CrossRef] [PubMed]
- Virmani, R.; Kolodgie, F.D.; Farb, A.; Burke, A.P. Pathologic Evaluation of Carotid Endarterectomy. Pathol. Case Rev. 2001, 6, 236–243. [Google Scholar] [CrossRef]
- Rothwell, P.M.; Eliasziw, M.; Gutnikov, S.A.; Warlow, C.P.; Barnett, H.J.; Carotid Endarterectomy Trialists Collaboration. Endarterectomy for symptomatic carotid stenosis in relation to clinical subgroups and timing of surgery. Lancet 2004, 363, 915–924. [Google Scholar] [CrossRef]
- Naghavi, M.; Libby, P.; Falk, E.; Casscells, S.W.; Litovsky, S.; Rumberger, J.; Badimon, J.J.; Stefanadis, C.; Moreno, P.; Pasterkamp, G.; et al. From vulnerable plaque to vulnerable patient: A call for new definitions and risk assessment strategies: Part II. Circulation 2003, 108, 1772–1778. [Google Scholar] [CrossRef]
- Virmani, R.; Burke, A.P.; Farb, A.; Kolodgie, F.D. Pathology of the vulnerable plaque. J. Am. Coll. Cardiol. 2006, 47, C13–C18. [Google Scholar] [CrossRef]
- Falk, E.; Nakano, M.; Bentzon, J.F.; Finn, A.V.; Virmani, R. Update on acute coronary syndromes: The pathologists’ view. Eur. Heart J. 2013, 34, 719–728. [Google Scholar] [CrossRef]
- Lovett, J.K.; Gallagher, P.J.; Hands, L.J.; Walton, J.; Rothwell, P.M. Histological correlates of carotid plaque surface morphology on lumen contrast imaging. Circulation 2004, 110, 2190–2197. [Google Scholar] [CrossRef]
- Xu, D.; Hippe, D.S.; Underhill, H.R.; Oikawa-Wakayama, M.; Dong, L.; Yamada, K.; Yuan, C.; Hatsukami, T.S. Prediction of high-risk plaque development and plaque progression with the carotid atherosclerosis score. JACC Cardiovasc. Imaging 2014, 7, 366–373. [Google Scholar] [CrossRef]
- van der Wal, A.C.; Becker, A.E.; van der Loos, C.M.; Das, P.K. Site of intimal rupture or erosion of thrombosed coronary atherosclerotic plaques is characterized by an inflammatory process irrespective of the dominant plaque morphology. Circulation 1994, 89, 36–44. [Google Scholar] [CrossRef] [PubMed]
- McCarthy, M.J.; Loftus, I.M.; Thompson, M.M.; Jones, L.; London, N.J.; Bell, P.R.; Naylor, A.R.; Brindle, N.P. Angiogenesis and the atherosclerotic carotid plaque: An association between symptomatology and plaque morphology. J. Vasc. Surg. 1999, 30, 261–268. [Google Scholar] [CrossRef]
- Virmani, R.; Kolodgie, F.D.; Burke, A.P.; Finn, A.V.; Gold, H.K.; Tulenko, T.N.; Wrenn, S.P.; Narula, J. Atherosclerotic plaque progression and vulnerability to rupture: Angiogenesis as a source of intraplaque hemorrhage. Arterioscler. Thromb. Vasc. Biol. 2005, 25, 2054–2061. [Google Scholar] [CrossRef]
- Nandalur, K.R.; Baskurt, E.; Hagspiel, K.D.; Phillips, C.D.; Kramer, C.M. Calcified carotid atherosclerotic plaque is associated less with ischemic symptoms than is noncalcified plaque on MDCT. Am. J. Roentgenol. 2005, 184, 295–298. [Google Scholar] [CrossRef] [PubMed]
- Lammie, G.A.; Sandercock, P.A.; Dennis, M.S. Recently occluded intracranial and extracranial carotid arteries. Relevance of the unstable atherosclerotic plaque. Stroke 1999, 30, 1319–1325. [Google Scholar] [CrossRef] [PubMed][Green Version]
- Hafiane, A. Vulnerable Plaque, Characteristics, Detection, and Potential Therapies. J. Cardiovasc Dev. Dis. 2019, 6, 26. [Google Scholar] [CrossRef] [PubMed]
- Niccoli, G.; Montone, R.A.; Di Vito, L.; Gramegna, M.; Refaat, H.; Scalone, G.; Leone, A.M.; Trani, C.; Burzotta, F.; Porto, I.; et al. Plaque rupture and intact fibrous cap assessed by optical coherence tomography portend different outcomes in patients with acute coronary syndrome. Eur. Heart J. 2015, 36, 1377–1384. [Google Scholar] [CrossRef] [PubMed]
- Watanabe, Y.; Nagayama, M.; Sakata, A.; Okumura, A.; Amoh, Y.; Ishimori, T.; Nakashita, S.; Dodo, Y. Evaluation of Fibrous Cap Rupture of Atherosclerotic Carotid Plaque with Thin-Slice Source Images of Time-of-Flight MR Angiography. Ann. Vasc. Dis. 2014, 7, 127–133. [Google Scholar] [CrossRef][Green Version]
- Hansson, G.K.; Libby, P.; Tabas, I. Inflammation and plaque vulnerability. J. Intern. Med. 2015, 278, 483–493. [Google Scholar] [CrossRef] [PubMed]
- Liuzzo, G.; Biasucci, L.M.; Gallimore, J.R.; Grillo, R.L.; Rebuzzi, A.G.; Pepys, M.B.; Maseri, A. The prognostic value of C-reactive protein and serum amyloid a protein in severe unstable angina. N. Engl. J. Med. 1994, 331, 417–424. [Google Scholar] [CrossRef] [PubMed]
- de Boer, O.J.; van der Wal, A.C.; Teeling, P.; Becker, A.E. Leucocyte recruitment in rupture prone regions of lipid-rich plaques: A prominent role for neovascularization? Cardiovasc. Res. 1999, 41, 443–449. [Google Scholar] [CrossRef]
- Jander, S.; Sitzer, M.; Schumann, R.; Schroeter, M.; Siebler, M.; Steinmetz, H.; Stoll, G. Inflammation in high-grade carotid stenosis: A possible role for macrophages and T cells in plaque destabilization. Stroke 1998, 29, 1625–1630. [Google Scholar] [CrossRef] [PubMed]
- Hiyama, T.; Tanaka, T.; Endo, S.; Komine, K.; Kudo, T.; Kobayashi, H.; Shiokawa, Y. Angiogenesis in atherosclerotic plaque obtained from carotid endarterectomy: Association between symptomatology and plaque morphology. Neurol. Med. Chir. 2010, 50, 1056–1061. [Google Scholar] [CrossRef] [PubMed]
- Fleiner, M.; Kummer, M.; Mirlacher, M.; Sauter, G.; Cathomas, G.; Krapf, R.; Biedermann, B.C. Arterial neovascularization and inflammation in vulnerable patients: Early and late signs of symptomatic atherosclerosis. Circulation 2004, 110, 2843–2850. [Google Scholar] [CrossRef]
- Altaf, N.; Daniels, L.; Morgan, P.S.; Auer, D.; MacSweeney, S.T.; Moody, A.R.; Gladman, J.R. Detection of intraplaque hemorrhage by magnetic resonance imaging in symptomatic patients with mild to moderate carotid stenosis predicts recurrent neurological events. J. Vasc. Surg. 2008, 47, 337–342. [Google Scholar] [CrossRef] [PubMed]
- Rothwell, P.M.; Villagra, R.; Gibson, R.; Donders, R.C.; Warlow, C.P. Evidence of a chronic systemic cause of instability of atherosclerotic plaques. Lancet 2000, 355, 19–24. [Google Scholar] [CrossRef]
- Zheng, H.; Gasbarrino, K.; Veinot, J.P.; Lai, C.; Daskalopoulou, S.S. New Quantitative Digital Image Analysis Method of Histological Features of Carotid Atherosclerotic Plaques. Eur. J. Vasc. Endovasc. Surg. 2019, 58, 654–663. [Google Scholar] [CrossRef]
- Goncalves, I.; Sun, J.; Tengryd, C.; Nitulescu, M.; Persson, A.F.; Nilsson, J.; Edsfeldt, A. Plaque Vulnerability Index Predicts Cardiovascular Events: A Histological Study of an Endarterectomy Cohort. J. Am. Heart Assoc. 2021, 10, e021038. [Google Scholar] [CrossRef]
- Perisic, L.; Aldi, S.; Sun, Y.; Folkersen, L.; Razuvaev, A.; Roy, J.; Lengquist, M.; Akesson, S.; Wheelock, C.E.; Maegdefessel, L.; et al. Gene expression signatures, pathways and networks in carotid atherosclerosis. J. Intern. Med. 2016, 279, 293–308. [Google Scholar] [CrossRef]
- Waden, K.; Karlof, E.; Narayanan, S.; Lengquist, M.; Hansson, G.K.; Hedin, U.; Roy, J.; Matic, L. Clinical risk scores for stroke correlate with molecular signatures of vulnerability in symptomatic carotid patients. iScience 2022, 25, 104219. [Google Scholar] [CrossRef]
- Huang, S.; Wu, X.; Zhang, L.; Wu, J.; He, Y.; Lai, M.; Xu, J.; Li, Z. Assessment of Carotid Plaque Stability Using Contrast-Enhanced Ultrasound and Its Correlation with the Expression of CD147 and MMP-9 in the Plaque. Front. Comput. Neurosci. 2021, 15, 778946. [Google Scholar] [CrossRef]
- Faggioli, G.L.; Pini, R.; Mauro, R.; Pasquinelli, G.; Fittipaldi, S.; Freyrie, A.; Serra, C.; Stella, A. Identification of carotid ‘vulnerable plaque’ by contrast-enhanced ultrasonography: Correlation with plaque histology, symptoms and cerebral computed tomography. Eur. J. Vasc. Endovasc. Surg. 2011, 41, 238–248. [Google Scholar] [CrossRef]
- Zhang, Y.; Cao, J.; Zhou, J.; Zhang, C.; Li, Q.; Chen, S.; Feinstein, S.; Grayburn, P.A.; Huang, P. Plaque Elasticity and Intraplaque Neovascularisation on Carotid Artery Ultrasound: A Comparative Histological Study. Eur. J. Vasc. Endovasc. Surg. 2021, 62, 358–366. [Google Scholar] [CrossRef] [PubMed]
- Ignatyev, I.M.; Gafurov, M.R.; Krivosheeva, N.V. Criteria for Carotid Atherosclerotic Plaque Instability. Ann. Vasc. Surg. 2021, 72, 340–349. [Google Scholar] [CrossRef] [PubMed]
- Ruan, W.; Wang, M.; Sun, C.; Yao, J.; Ma, Y.; Ma, H.; Ding, J.; Lian, X. Correlation between neutrophil-to-lymphocyte ratio and stability of carotid plaques. Clin. Neurol. Neurosurg. 2022, 212, 107055. [Google Scholar] [CrossRef] [PubMed]
- Cao, Y.; Xiao, X.; Liu, Z.; Yang, M.; Sun, D.; Guo, W.; Cui, L.; Zhang, P. Detecting vulnerable plaque with vulnerability index based on convolutional neural networks. Comput. Med. Imaging Graph. 2020, 81, 101711. [Google Scholar] [CrossRef]


| Risk Factors | Score | |
|---|---|---|
| Grade 1 | Grade 2 | |
| Age (years) | <70 | >70 |
| Sex | Female | Male |
| Fibrous Cap Thickness (FCT) | A band like FCT > 200 µm | <200 µm |
| Lipid core (LC) | Small LC < 2 mm2 | Large LC > 2 mm2 |
| CD68 | <50 cells | >50 cells |
| CD3 | <10 cells in cap | >10 cells in cap |
| CD31 | <20 per section | >20 per section |
| Calcium salts | Spotty only | Calcified nodules |
| IPH | Small amounts | Large amounts |
| Thrombi | Parietal | Occlusive |
| Instability Index (Score) | Patients | |||||||||
|---|---|---|---|---|---|---|---|---|---|---|
| 1 | 2 | 3 | 4 | 5 | 6 | 7 | 8 | 9 | 10 | |
| Sex | F | F | M | M | M | M | M | M | M | M |
| (0) | (0) | (1) | (1) | (1) | (1) | (1) | (1) | (1) | (1) | |
| Age | 75 | 67 | 60 | 60 | 73 | 63 | 68 | 71 | 67 | 61 |
| (1) | (0) | (0) | (0) | (1) | (0) | (0) | (1) | (0) | (0) | |
| FCT (µM) | 948 | 1.115 | 468 | 552 | 351 | 7.7 | 41.6 | 2.45 | 101 | 15 |
| (0) | (0) | (0) | (0) | (0) | (1) | (1) | (1) | (1) | (1) | |
| LC (mm2) | 9.3 | 0.08 | 0.94 | 0.29 | 0.62 | 10.8 | 9.34 | 2.45 | − | 2.05 |
| (1) | (0) | (0) | (0) | (0) | (1) | (1) | (1) | (0) | (1) | |
| CD68 > 50 | 52 | 88 | 27 | 31 | 51 | 19 | 20 | 67 | 54 | 39 |
| (1) | (1) | (0) | (0) | (1) | (0) | (0) | (1) | (1) | (0) | |
| CD3 > 10 | 7 (0) | 9 (0) | 5 (0) | 6 (0) | 14 (1) | 11 (1) | 12 (1) | 8 (0) | 6 (0) | 4 (1) |
| CD31 > 20 | 38 | 20 | 18 | 14 | 9 | 28 | 21 | 6 | 30 | 24 |
| (1) | (1) | (0) | (0) | (0) | (1) | (1) | (0) | (1) | (1) | |
| Calcification | S | S | − | − | S | − | − | − | NC | − |
| (0) | (0) | (0) | (0) | (0) | (0) | (0) | (0) | (1) | (0) | |
| IPH | − | − | + | + | + | − | − | − | − | − |
| (0) | (0) | (1) | (1) | (1) | (0) | (0) | (0) | (0) | (0) | |
| PT | − | − | − | − | + | − | + | − | + | + |
| (0) | (0) | (0) | (0) | (1) | (0) | (1) | (0) | (1) | (1) | |
| Diagnostic | SP | SP | SP | SP | EP | TCFA | EP | TCFA | NC | EP |
| Total score | 4 | 2 | 2 | 2 | 6 | 5 | 6 | 5 | 6 | 6 |
| Variable | Plaques with Low Instability Index ≤ 5 (n = 4) | Plaques with High Instability Index > 5 (n = 6) | p-Value |
|---|---|---|---|
| Age > 70 years | 1 (25%) | 2 (33%) | 0.91 |
| Sex (Male) | 2 (50%) | 6 (100%) | 0.26 |
| FCT (<200 µm) | 0 (0%) | 5 (83%) | 0.04 |
| Lipid core (>2 mm2) | 1 (25%) | 4 (67%) | 0.40 |
| CD68 (>50 cells) | 2 (50%) | 3 (50%) | 1.00 |
| CD3 (>10 cells in cap) | 0 (0%) | 4 (67%) | 0.11 |
| CD31 (>20 per section) | 2 (50%) | 4 (67%) | 0.76 |
| Calcium salts (calcified nodules) | 0 (0%) | 1 (17%) | 0.76 |
| IPH (large amounts) | 2 (50%) | 1 (17%) | 0.48 |
| Thrombi (occlusive) | 0 (0%) | 4 (67%) | 0.11 |
| Total index | 0.01 |
Publisher’s Note: MDPI stays neutral with regard to jurisdictional claims in published maps and institutional affiliations. |
© 2022 by the authors. Licensee MDPI, Basel, Switzerland. This article is an open access article distributed under the terms and conditions of the Creative Commons Attribution (CC BY) license (https://creativecommons.org/licenses/by/4.0/).
Share and Cite
Butcovan, D.; Mocanu, V.; Enache, M.; Ioan, B.G.; Tinica, G. A Plaque Instability Index Calculated by Histological Marker Analysis of the Endarterectomy Carotid Artery. Appl. Sci. 2022, 12, 8040. https://doi.org/10.3390/app12168040
Butcovan D, Mocanu V, Enache M, Ioan BG, Tinica G. A Plaque Instability Index Calculated by Histological Marker Analysis of the Endarterectomy Carotid Artery. Applied Sciences. 2022; 12(16):8040. https://doi.org/10.3390/app12168040
Chicago/Turabian StyleButcovan, Doina, Veronica Mocanu, Mihai Enache, Beatrice Gabriela Ioan, and Grigore Tinica. 2022. "A Plaque Instability Index Calculated by Histological Marker Analysis of the Endarterectomy Carotid Artery" Applied Sciences 12, no. 16: 8040. https://doi.org/10.3390/app12168040
APA StyleButcovan, D., Mocanu, V., Enache, M., Ioan, B. G., & Tinica, G. (2022). A Plaque Instability Index Calculated by Histological Marker Analysis of the Endarterectomy Carotid Artery. Applied Sciences, 12(16), 8040. https://doi.org/10.3390/app12168040

