Analysis of the Complications in Patients Undergoing Orthognathic Surgery by Piezosurgery®: A 13 Years Retrospective Study
Abstract
1. Introduction
2. Materials and Methods
3. Results
4. Discussion
5. Conclusions
Author Contributions
Funding
Institutional Review Board Statement
Informed Consent Statement
Conflicts of Interest
References
- D’Ippolito, S.; Ursini, R.; Giuliante, L.; Deli, R. Correlations between mandibular asymmetries and temporomandibular disorders (TMD). Int. Orthod. 2014, 12, 222–238. [Google Scholar] [CrossRef]
- Lazzarotto, A.; Franz, L.; Stella, E.; Tel, A.; Sembronio, S.; Costa, F.; Bertossi, D.; Nocini, R.; Robony, M. Volumetric Analysis of Fat In-jection by Computerized Tomography in Orthognathic Surgery: Preliminary Report on a Novel Volumetric Analysis Process for the Quantification of Aesthetic Results. J. Craniofac. Surg. 2019, 30, 771–776. [Google Scholar] [CrossRef]
- Ueki, K.; Moroi, A.; Sotobori, M.; Ishihara, Y.; Marukawa, K.; Yoshizawa, K.; Kato, K.; Kawashiri, S. Changes in temporomandibular joint and ramus after sagittal split ramus osteotomy in mandibular prognathism patients with and without asymmetry. J. Cranio-Maxillofac. Surg. 2012, 40, 821–827. [Google Scholar] [CrossRef] [PubMed]
- Manuelli, M. A Peaceful Man. Prog. Orthod. 2012, 13, 1. [Google Scholar] [CrossRef]
- Procacci, P.; Lanaro, L.; Trevisiol, L.; Bertossi, D.; Zotti, F.; Fabio, L.; D’Agostino, A. Is post orthognathic maxillary sinusitis related to sino-nasal anatomical alterations? J. Cranio-Maxillofac. Surg. 2019, 47, 876–882. [Google Scholar] [CrossRef]
- Kim, Y.-K. Complications associated with orthognathic surgery. J. Korean Assoc. Oral Maxillofac. Surg. 2017, 43, 3–15. [Google Scholar] [CrossRef]
- Zotti, F.; Capocasale, G.; Lonardi, F.; Zambotti, T.; Nocini, R.; Albanese, M. Trigeminal thopic syndrome: Strange evolution of max-illofacial surgery. EXCLI J. 2019, 18, 931–935. [Google Scholar] [PubMed]
- Bertossi, D.; Albanese, M.; Mortellaro, C.; Malchiodi, L.; Kumar, N.; Nocini, R.; Nocini, P.F. Osteotomy in Genioplasty by Piezosurgery. J. Craniofac. Surg. 2018, 29, 2156–2159. [Google Scholar] [CrossRef]
- Gandini, P.; Manuelli, A.M.; Camassa, D. Epidemiological survey of caries occurence in school age children. Mondo Ortod. 1989, 14, 63–72. [Google Scholar] [PubMed]
- Rodriguez y Baena, R.; Pastorino, R.; Gherlone, E.; Perillo, L.; Lupi, S.M.; Lucchese, A. Histomorphometric Evaluation of two Different Bone Substitutes in Sinus Augumentation Procedures: A Randomized Controlled Trial in Humans. Int. J. Oral. Maxillofac. Implant. 2017, 32, 188–194. [Google Scholar] [CrossRef]
- Bertossi, D.; Nocini, R.; Luciano, U.; Galzignato, P.F.; Ricciardi, G.; Lucchese, A.; Tacchino, U.; Donadello, D.; Lanaro, L.; Gualdi, A.; et al. Piezoelectric surgery inserts vs. conventional burst: A clinical investigation. J. Boil. Regul. Homeost. Agents 2018, 32, 15–19. [Google Scholar]
- Reyneke, J.; Ferretti, C. Intraoperative diagnosis of condylar sag after bilateral sagittal split ramus osteotomy. Br. J. Oral Maxillofac. Surg. 2002, 40, 285–292. [Google Scholar] [CrossRef]
- Kobayashi, T.; Izumi, N.; Kojima, T.; Sakagami, N.; Saito, I.; Saito, C. Progressive condylar resorption after mandibular advancement. Br. J. Oral Maxillofac. Surg. 2012, 50, 176–180. [Google Scholar] [CrossRef] [PubMed]
- Jędrzejewski, M.; Smektała, T.; Sporniak-Tutak, K.; Olszewski, R. Preoperative, intraoperative, and postoperative complications in orthognathic surgery: A systematic review. Clin. Oral Investig. 2015, 19, 969–977. [Google Scholar] [CrossRef] [PubMed]
- Bays, A.R.; Bouloux, G.F. Complications of orthognathic surgery. Oral Maxillofac. Surg. Clin. 2003, 15, 229–242. [Google Scholar] [CrossRef]
- Rodriguez y Baena, R.; Lupi, S.M.; Pastorino, R.; Maiorana, C.; Lucchese, A.; Rizzo, S. Radiographic evaluation of regenerated bone following poly (Lactic-Co-Glycolic) acid/hydroxyapatite and deproteinized bovine bone graft in sinus lifting. J. Craniofac. Surg. 2013, 24, 845–848. [Google Scholar] [CrossRef] [PubMed]
- Jung, H.-D.; Kim, S.Y.; Park, H.-S.; Jung, Y.-S. Orthognathic surgery and temporomandibular joint symptoms. Maxillofac. Plast. Reconstr. Surg. 2015, 37, 1–11. [Google Scholar] [CrossRef]
- Lee, E.G.; Ryan, F.S.; Shute, J.; Cunningham, S.J. The Impact of Altered Sensation Affecting the Lower Lip After Orthognathic Treatment. J. Oral Maxillofac. Surg. 2011, 69, e431–e445. [Google Scholar] [CrossRef]
- Kim, Y.-K.; Kim, S.-G.; Kim, J.-H. Altered Sensation After Orthognathic Surgery. J. Oral Maxillofac. Surg. 2011, 69, 893–898. [Google Scholar] [CrossRef]
- Acebal-Bianco, F.; Vuylsteke, P.L.; Mommaerts, M.Y.; De Clercq, C.A. Perioperative complicationsin corrective facial orthopedic surgery: A 5-year retrospective study. J. Oral Maxillofac. Surg. 2000, 58, 60–754. [Google Scholar] [CrossRef]
- Pagotto, L.E.C.; Santos, T.D.S.; Vasconcellos, S.J.D.A.D.; Santos, J.S.; Martins-Filho, P.R.S. Piezoelectric versus conventional techniques for orthognathic surgery: Systematic review and meta-analysis. J. Cranio-Maxillofac. Surg. 2017, 45, 1607–1613. [Google Scholar] [CrossRef]
- Zotti, F.; Nocini, R.; Capocasale, G.; Fior, A.; Peretti, M.; Albanese, M. Malignant transformation evidences of Oral Lichen Planus: When the time is of the essence. Oral Oncol. 2020, 104, 104594. [Google Scholar] [CrossRef] [PubMed]
- Altman, J.I.; Oeltjen, J.C. Nasal deformities associated with orthognathic surgery: Analysis, prevention, and correction. J. Craniofac. Surg. 2007, 18, 9–734. [Google Scholar] [CrossRef] [PubMed]
- Honrado, C.P.; Lee, S.; Bloomquist, D.S.; Larrabee, W.F. Quantitative Assessment of Nasal Changes After Maxillomandibular Surgery Using a 3-Dimensional Digital Imaging System. Arch. Facial Plast. Surg. 2006, 8, 26–35. [Google Scholar] [CrossRef] [PubMed]
- Van Loon, B.; Verhamme, L.; Xi, T.; de Koning, M.J.; Bergé, S.J.; Maal, T.J. Three-dimensional evaluation of the alar cinch suture after Le Fort I osteotomy. Int. J. Oral Maxillofac. Surg. 2016, 45, 14–1309. [Google Scholar] [CrossRef] [PubMed]
- Carrillo, V.A.; Venezian, B.C. Maxillary mucocele after an orthognathic surgery: Case report. Medwave 2017, 17, e6841. [Google Scholar] [CrossRef]
- Pingarrón, M.L.; Arias, L.J.; López-Arcas, J.M.; Pons, M.C.; Carratero, J.L.; Garcia, M.B. Fibroscopic findings in patients following maxillary osteotomies in orthognathic surgery. J. Craniomaxillofac. Surg. 2011, 39, 92–588. [Google Scholar] [CrossRef] [PubMed]
- Moses, J.; Lange, C.; Arredondo, A. Endoscopic treatment of sinonasal disease in patients who have had orthognathic surgery. Br. J. Oral Maxillofac. Surg. 2000, 38, 177–184. [Google Scholar] [CrossRef]
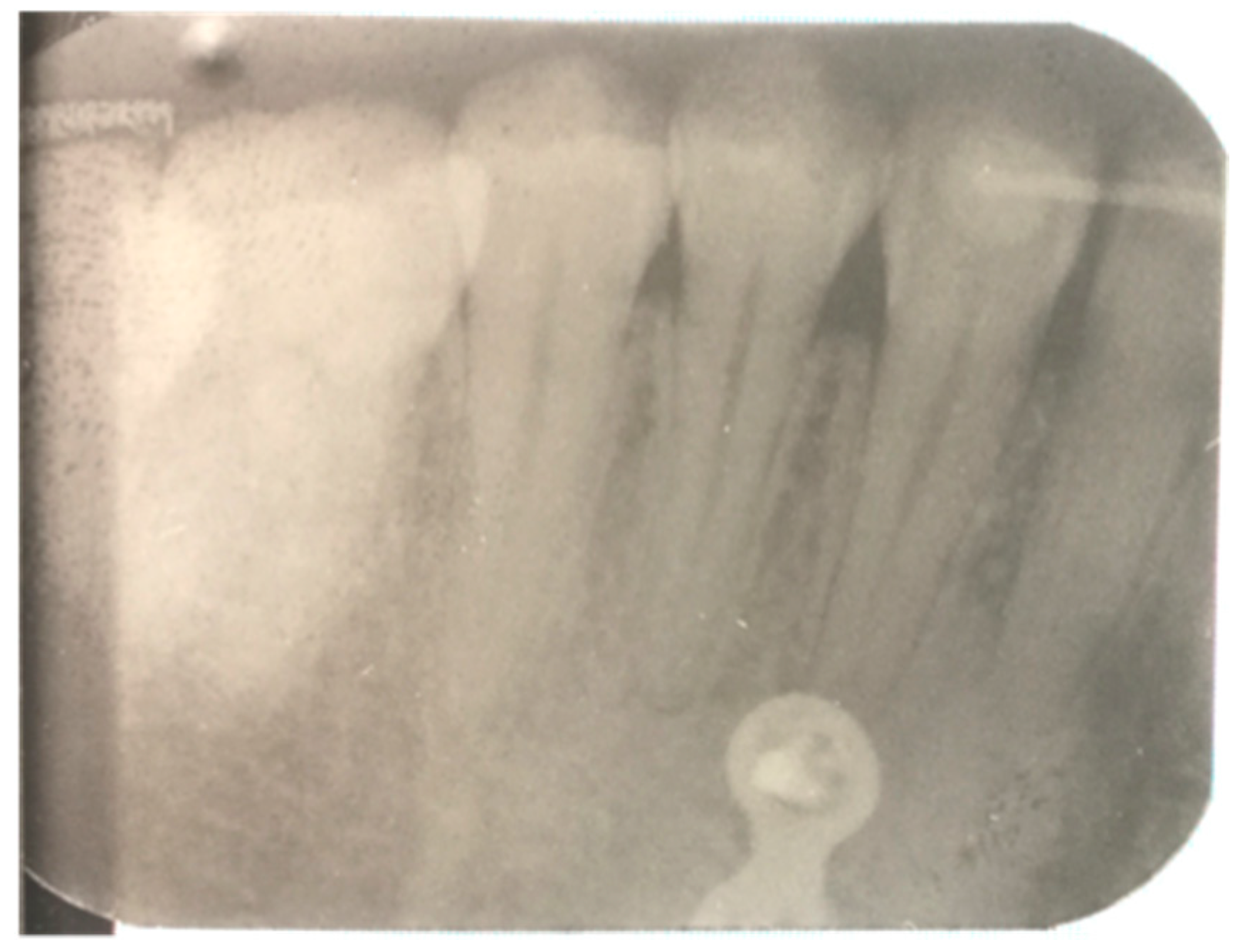
- Lee, U.-L.; Lee, E.-J.; Seo, H.-Y.; Han, S.-H.; Choi, W.-C.; Choi, Y.-J. Prevalence and risk factors of tooth discolouration after orthognathic surgery: A retrospective study of 1455 patients. Int. J. Oral Maxillofac. Surg. 2016, 45, 1464–1470. [Google Scholar] [CrossRef]
- Vedtofte, P. Pulp canal obliteration after Le Fort I osteotomy. Endod. Dent. Traumatol. 1989, 5, 8–274. [Google Scholar] [CrossRef]
- Gan, T.J.; Diemunsch, P.; Habib, A.S.; Kovac, A.; Kranke, P.; Meyer, T.A.; Watcha, M.; Chung, F.; Angus, S.; Apfel, C.C.; et al. Consensus guidelines for the management of postoperative nausea and vomiting. Anesth. Analg. 2014, 118, 85–113. [Google Scholar] [CrossRef] [PubMed]
- Kahnberg, K.-E.; Engström, H. Recovery of maxillary sinus and tooth sensibility after le Fort I osteotomy. Br. J. Oral Maxillofac. Surg. 1987, 25, 68–73. [Google Scholar] [CrossRef]
- Islam, I.; Lim, A.; Wong, R. Changes in bite force after orthognathic surgical correction of mandibular prognathism: A systematic review. Int. J. Oral Maxillofac. Surg. 2017, 46, 746–755. [Google Scholar] [CrossRef]
- Kramer, F.-J.; Baethge, C.; Swennen, G.; Teltzrow, T.; Schulze, A.; Berten, J.; Brachvogel, P. Intra- and Perioperative Complications of the LeFort I Osteotomy: A Prospective Evaluation of 1000 Patients. J. Craniofacial Surg. 2004, 15, 971–977. [Google Scholar] [CrossRef] [PubMed]
- Foushee, D.G.; Moriarty, J.D.; Simpson, D.M. Effects of Mandibular Orthognathic Treatment on Mucogingival Tissues. J. Periodontol. 1985, 56, 727–733. [Google Scholar] [CrossRef]
- De Santis, D.; Sinigaglia, S.; Pancera, P.; Faccioni, P.; Luciano, U.; Setti, A.P.; Bursi, P.; Nocini, R.; Nocini, P.F.; Bertossi, D. An overview of guided bone regeneration. J. Biol. Regul. Homeost. Agents 2019, 33, 49–53. [Google Scholar]
- Traini, T.; Danza, M.; Zollino, I.; Altavilla, R.; Lucchese, A.; Sollazzo, V.; Trapella, G.; Brunelli, G.; Carinci, F. Histomorphometric evaluation of an immediately loaded implant retrieved from human mandible after 2 years. Int. J. Immunopathol. Pharmacol. 2011, 24, 31–36. [Google Scholar] [CrossRef]
- Lin, S.; Chen, C.; Yao, C.-F.; Chen, Y.-A.; Chen, Y.-R. Comparison of different hypotensive anaesthesia techniques in orthognathic surgery with regard to intraoperative blood loss, quality of the surgical field, and postoperative nausea and vomiting. Int. J. Oral Maxillofac. Surg. 2016, 45, 1526–1530. [Google Scholar] [CrossRef]
- Jang, S.Y.; Kim, M.K.; Choi, S.M.; Jang, J.W. Nasolacrimal Duct Obstruction After Maxillary Orthognathic Surgery. J. Oral Maxillofac. Surg. 2013, 71, 1085–1098. [Google Scholar] [CrossRef]
- Kang, S.; Jang, S.Y.; Lee, A.; Jang, J.W. Loss of reflex tearing after maxillary orthognathic surgery: A report of two cases. BMC Ophthalmol. 2014, 14, 37. [Google Scholar] [CrossRef][Green Version]
- Alpha, C.; O’Ryan, F.; Silva, A.; Poor, D. The incidence of postoperative wound healing problems following sagittal ramus oste-otomies stabilized with miniplates and monocortical screws. J. Oral Maxillofac. Surg. 2006, 64, 68–659. [Google Scholar] [CrossRef]
- Davis, C.M.; Gregoire, C.E.; Steeves, T.W.; Demsey, A. Prevalence of surgical site infections following orthognathic surgery: A ret-rospective cohort analysis. J. Oral Maxillofac. Surg. 2016, 74, 206–1199. [Google Scholar] [CrossRef]
- Rigo, L.; Viscioni, A.; Franco, M.; Lucchese, A.; Zollino, I.; Brunelli, G.; Carinci, F. Overdentures on implants placed in bone aug-mented with fresh frozen bone. Minerva Stomatol. 2011, 60, 5–14. [Google Scholar]
- Hågensli, N.; Stenvik, A.; Espeland, L. Asymmetric mandibular prognathism: Outcome, stability and patient satisfaction after BSSO surgery. A retrospective study. J. Cranio-Maxillofac. Surg. 2014, 42, 1735–1741. [Google Scholar] [CrossRef] [PubMed]
- Bertossi, D.; Giampaoli, G.; Lucchese, A.; Manuelli, M.; Albanese, M.; Nocini, R.; Nocini, P.F. The skin rejuvenation associated trat-ment-Fraxel laser, Microbotox, and low G prime hyaluronic acid: Preliminary results. Laser Med. Sci. 2019, 34, 1449–1455. [Google Scholar] [CrossRef]
- Raffaini, M.; Pisani, C.; Conti, M. Orthognathic surgery “again” to correct aesthetic failure of primary surgery: Report on outcomes and patient satisfaction in 70 consecutive cases. J. Cranio-Maxillofac. Surg. 2018, 46, 1069–1078. [Google Scholar] [CrossRef] [PubMed]
- El Deeb, M.; Wolford, L.; Bevis, R. Complications of Orthognathic Surgery. Clin. Plast. Surg. 1989, 16, 825–840. [Google Scholar] [CrossRef]
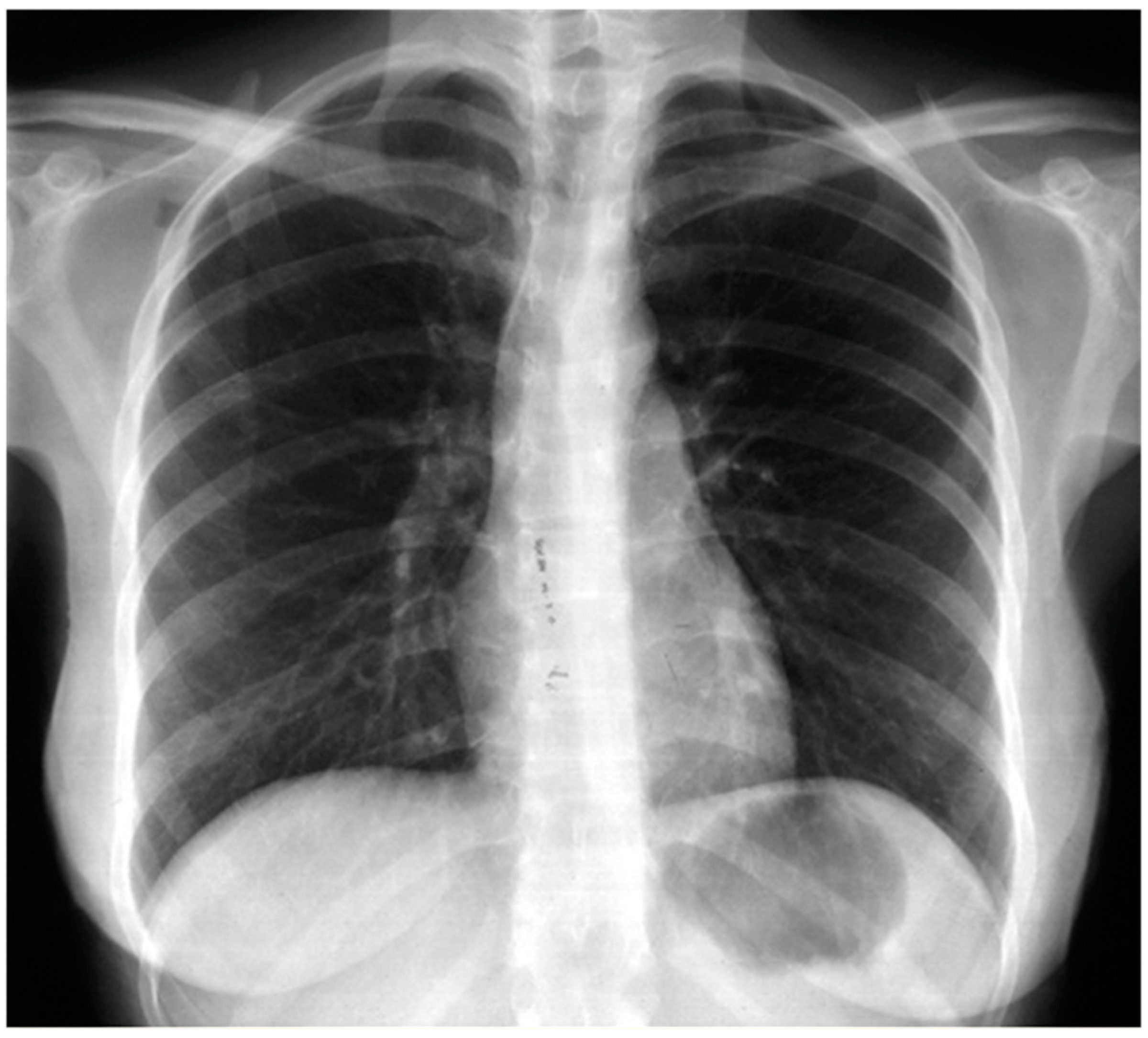
- Corega, C.; Vaida, L.; Festila, D.; Bertossi, D. Bilateral pneumothorax and pneumomediastinum after orthognathic surgery. Chirurgia 2014, 109, 271–274. [Google Scholar]
- Landes, C.A.; Stübinger, S.; Ballon, A.; Sader, R. Piezoosteotomy in orthognathic surgery versus conventional saw and chisel osteotomy. Oral Maxillofac. Surg. 2008, 12, 139–147. [Google Scholar] [CrossRef] [PubMed]
- Tabrizi, R.; Pakshir, H.; Nasehi, B. Does the Type of Maxillomandibular Deformity Influence Complication Rate in Orthognathic Surgery? J. Craniofac. Surg. 2015, 26, e643–e647. [Google Scholar] [CrossRef]
- Lucchese, A.; Carinci, F.; Brunelli, G.; Monguzzi, R. Everstick® and Ribbond® fiber reinforced composites: Scanning Electron Microscope (SEM) comparative analysis. Eur. J. Inflamm. 2011, 9, 73–79. [Google Scholar]
- Danza, M.; Zollino, I.; Avantaggiato, A.; Lucchese, A.; Carinci, F. Distance between Implants Has a Potential Impact of CrestalBone Resorption. Saudi Dent. J. 2011, 23, 129–133. [Google Scholar] [CrossRef] [PubMed]
- Roncati, M.; Polizzi, E.; Cingano, L.; Gherlone, E.F.; Lucchese, A. An oral health aid for disabled patients. Dent. Cadmos. 2013, 81, 447–452. [Google Scholar] [CrossRef]
- Prati, C.; Chersoni, S.; Lucchese, A.; Pashley, D.H.; Mongiorgi, R. Dentin permeability after toothbrushing with different toothpastes. Am. J. Dent. 1999, 12, 190–193. [Google Scholar] [PubMed]
- Palmieri, A.; Zollino, I.; Clauser, L.; Lucchese, A.; Girardi, A.; Farinella, F.; Carinci, F. Biological Effect of Resorbable Plates on Normal Osteoblasts and Osteoblasts Derived From Pfeiffer Syndrome. J. Craniofac. Surg. 2011, 22, 860–863. [Google Scholar] [CrossRef] [PubMed]
- Matarese, G.; Isola, G.; Ramaglia, L.; Dalessandri, D.; Lucchese, A.; Alibrandi, A.; Fabiano, F.; Cordasco, G. Periodontal biotype: Characteristic, prevalence and dimensions related to dental malocclusion. Minerva Stomatol. 2016, 65, 231–238. [Google Scholar]







| Number of Patients | Percentage (%) | |
|---|---|---|
| TMJ and TMD Disorders | 14 | 24.14 |
| Paraesthesia | 13 | 22.41 |
| Hypoesthesia | 7 | 12.07 |
| Asymmetries | 8 | 13.79 |
| Enlargement of the Wing of the Nose | 0 | 0 |
| Septal Deviation | 0 | 0 |
| Nasal Obstruction | 1 | 1.72 |
| Dental Discromies and Pulpal Necrosis | 4 | 6.89 |
| Occlusion and Masticatory Dissatisfaction | 4 | 6.89 |
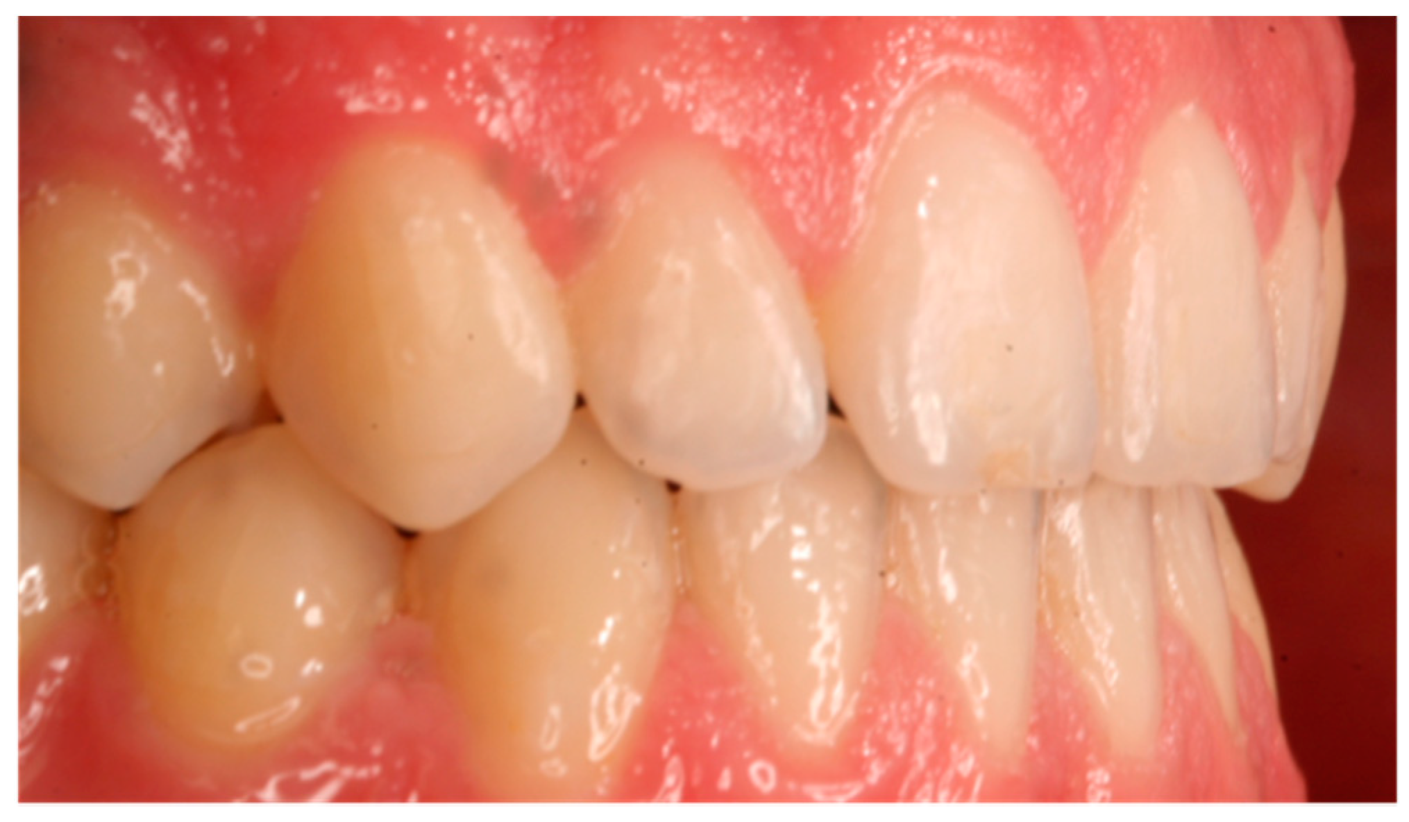
| Gingival Recessions | 1 | 1.72 |
| Periodontal Problems | 1 | 1.72 |
| Dysgeusia | 1 | 1.72 |
| Nausea and/or Vomiting | 1 | 1.72 |
| Alteration of Crying | 0 | 0 |
| Hearing Problems | 1 | 1.72 |
| Delay Healing | 2 | 3.45 |
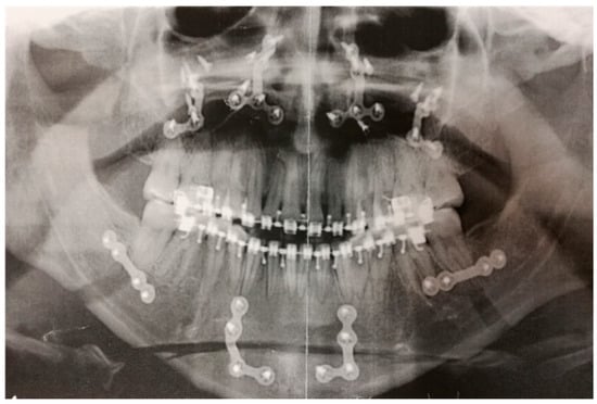
| Superinfection without necessity to remove of Osteosynthesis Devices | 8 | 13.79 |
| Superinfection and Removal of Osteosynthesis Devices | 5 | 8.62 |
| Reoperation | 4 | 6.89 |
| Cicatricial Outcomes | 3 | 5.17 |
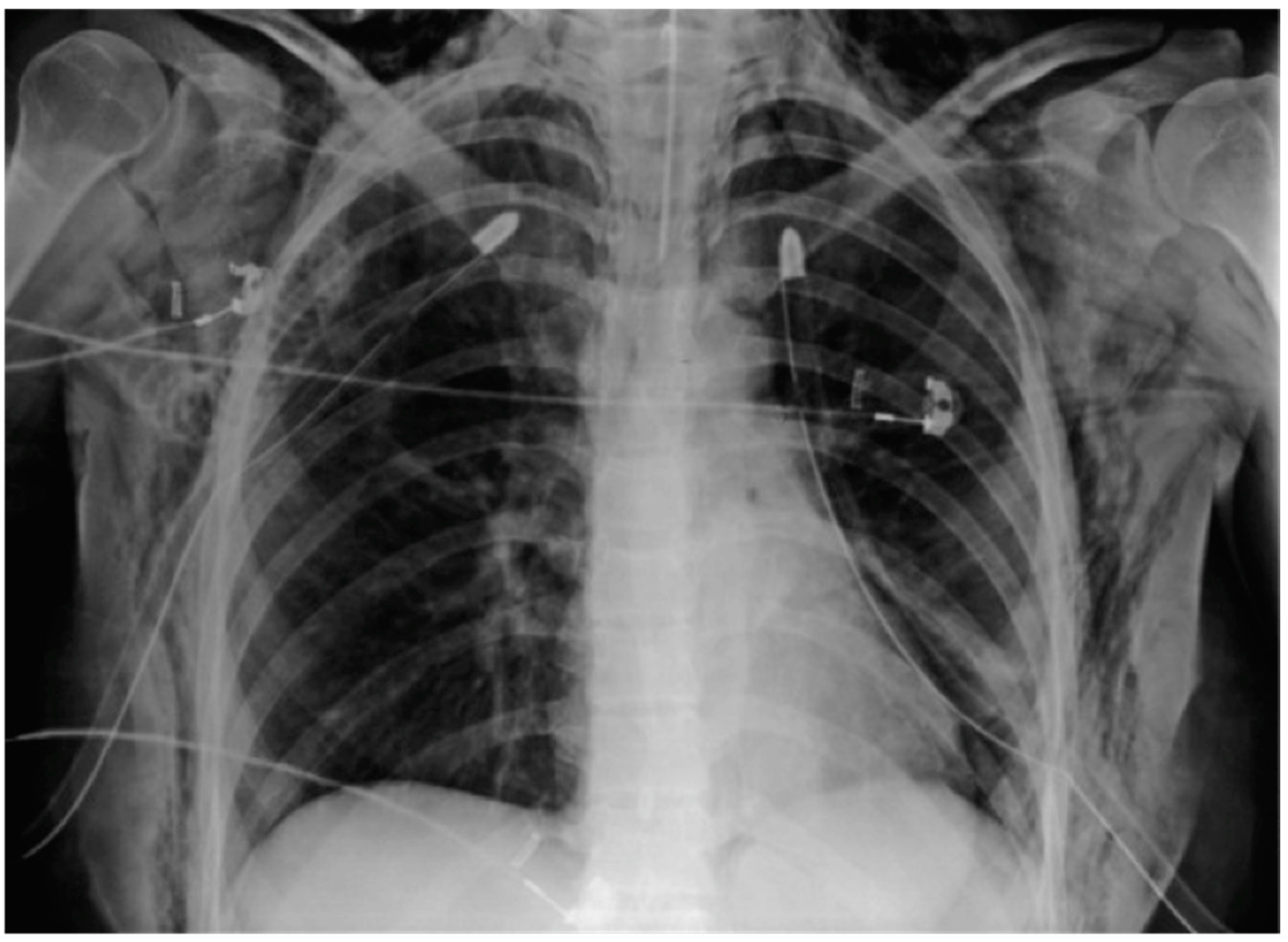
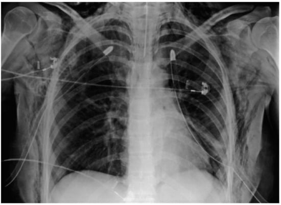
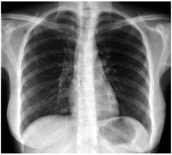
| Bilateral Pneumothorax | 1 | 1.72 |
Publisher’s Note: MDPI stays neutral with regard to jurisdictional claims in published maps and institutional affiliations. |
© 2021 by the authors. Licensee MDPI, Basel, Switzerland. This article is an open access article distributed under the terms and conditions of the Creative Commons Attribution (CC BY) license (https://creativecommons.org/licenses/by/4.0/).
Share and Cite
Bertossi, D.; Albanese, M.; Donadello, D.; Carletta, L.C.; Nocini, R.; Ricciardi, G.; Lucchese, A. Analysis of the Complications in Patients Undergoing Orthognathic Surgery by Piezosurgery®: A 13 Years Retrospective Study. Appl. Sci. 2021, 11, 4271. https://doi.org/10.3390/app11094271
Bertossi D, Albanese M, Donadello D, Carletta LC, Nocini R, Ricciardi G, Lucchese A. Analysis of the Complications in Patients Undergoing Orthognathic Surgery by Piezosurgery®: A 13 Years Retrospective Study. Applied Sciences. 2021; 11(9):4271. https://doi.org/10.3390/app11094271
Chicago/Turabian StyleBertossi, Dario, Massimo Albanese, Dario Donadello, Luca Calogero Carletta, Riccardo Nocini, Giulia Ricciardi, and Alessandra Lucchese. 2021. "Analysis of the Complications in Patients Undergoing Orthognathic Surgery by Piezosurgery®: A 13 Years Retrospective Study" Applied Sciences 11, no. 9: 4271. https://doi.org/10.3390/app11094271
APA StyleBertossi, D., Albanese, M., Donadello, D., Carletta, L. C., Nocini, R., Ricciardi, G., & Lucchese, A. (2021). Analysis of the Complications in Patients Undergoing Orthognathic Surgery by Piezosurgery®: A 13 Years Retrospective Study. Applied Sciences, 11(9), 4271. https://doi.org/10.3390/app11094271
