Energy-Dispersive X-ray Spectroscopic Investigation of Failed Dental Implants Associated with Odontogenic Maxillary Sinusitis
Abstract
1. Introduction
2. Materials and Methods
2.1. Patient Cases
2.1.1. Case 1: Fractured and Damaged Implant-Related Sinusitis Case
2.1.2. Case 2: Fungal Sinusitis with Involved BRONJ Case
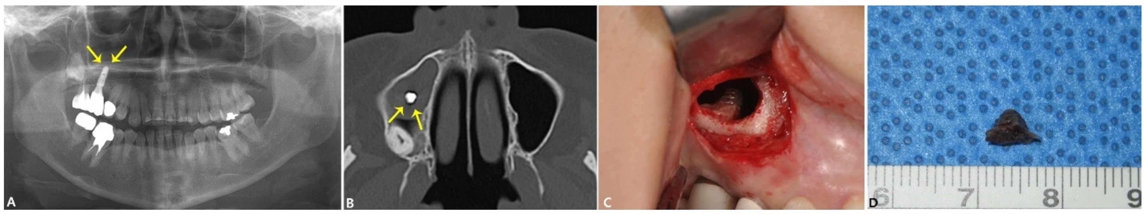
2.1.3. Case 3: Apicoectomy of Fixture Case
2.2. SEM and EDS Investigations of the Implant Surface
3. Results
4. Discussion
5. Conclusions
Author Contributions
Funding
Institutional Review Board Statement
Informed Consent Statement
Data Availability Statement
Acknowledgments
Conflicts of Interest
References
- Esfahrood, Z.R.; Ahmadi, L.; Karami, E.; Asghari, S. Short dental implants in the posterior maxilla: A review of the literature. J. Korean Assoc. Oral. Maxillofac Surg. 2017, 43, 70–76. [Google Scholar] [CrossRef] [PubMed]
- Santosh, V.; Bhukya, P.; Medisetty, B.; Rampalli, V.C.; Kumaar, P.A. Outcomes of intentional perforation of the maxillary sinus floor during implant placement: A single-center, prospective study in 57 subjects. J. Dent. Implant. 2019, 9, 60–65. [Google Scholar] [CrossRef]
- Del Fabbro, M.; Rosano, G.; Taschieri, S. Implant survival rates after maxillary sinus augmentation. Eur. J. Oral Sci. 2008, 116, 497–506. [Google Scholar] [CrossRef] [PubMed]
- Wallace, S.S.; Froum, S.J. Effect of maxillary sinus augmentation on the survival of endosseous dental implants. A systematic review. Ann. Periodontol. 2003, 8, 328–343. [Google Scholar] [CrossRef] [PubMed]
- Branemark, P.I.; Adell, R.; Albrektsson, T.; Lekholm, U.; Lindstrom, J.; Rockler, B. An experimental and clinical study of osseointegrated implants penetrating the nasal cavity and maxillary sinus. J. Oral. Maxillofac. Surg. 1984, 4, 497–505. [Google Scholar] [CrossRef]
- Tabrizi, R.; Amid, R.; Taha Ozkan, B.; Khorshidi, H.; Langner, N.J. Effects of exposing dental implant to the maxillary sinus cavity. J. Craniofac. Surg. 2012, 23, 767–769. [Google Scholar] [CrossRef] [PubMed]
- Ragucci, G.M.; Elnayef, B.; Suarez-Lopez Del Amo, F.; Wang, H.L.; Hernandez-Alfaro, F.; Gargallo-Albiol, J. Influence of exposing dental implants into the sinus cavity on survival and complications rate: A systematic review. Int. J. Implant. Dent. 2019, 5, 6. [Google Scholar] [CrossRef]
- Kayabasoglu, G.; Nacar, A.; Altundag, A.; Cayonu, M.; Muhtarogullari, M.; Cingi, C. A retrospective analysis of the relationship between rhinosinusitis and sinus lift dental implantation. Head Face Med. 2014, 10, 53. [Google Scholar] [CrossRef]
- Kim, S.M. The removal of an implant beneath the optic canal by modified endoscopic-assisted sinus surgery. Eur. Arch. Otorhinolaryngol. 2017, 274, 1167–1171. [Google Scholar] [CrossRef]
- Pettersson, M.; Kelk, P.; Belibasakis, G.N.; Bylund, D.; Molin Thoren, M.; Johansson, A. Titanium ions form particles that activate and execute interleukin-1beta release from lipopolysaccharide-primed macrophages. J. Periodontal Res. 2017, 52, 21–32. [Google Scholar] [CrossRef]
- St Pierre, C.A.; Chan, M.; Iwakura, Y.; Ayers, D.C.; Kurt-Jones, E.A.; Finberg, R.W. Periprosthetic osteolysis: Characterizing the innate immune response to titanium wear-particles. J. Orthop. Res. 2010, 28, 1418–1424. [Google Scholar] [CrossRef] [PubMed]
- Gallo, J.; Kamínek, P.; Tichá, V.; Riháková, P.; Ditmar, R. Particle disease. A comprehensive theory of periprosthetic osteolysis: A review. Biomed. Pap. Med. Fac. Univ. Palacky Olomouc Czech. Repub. 2002, 146, 21–28. [Google Scholar] [CrossRef] [PubMed]
- Landgraeber, S.; Jäger, M.; Jacobs, J.J.; Hallab, N.J. The pathology of orthopedic implant failure is mediated by innate immune system cytokines. Mediat. Inflamm. 2014, 2014, 185150. [Google Scholar] [CrossRef] [PubMed]
- Belibasakis, G.N.; Charalampakis, G.; Bostanci, N.; Stadlinger, B. Peri-implant infections of oral biofilm etiology. Adv. Exp Med. Biol. 2015, 830, 69–84. [Google Scholar] [CrossRef]
- Delgado-Ruiz, R.; Romanos, G. Potential causes of titanium particle and ion release in implant dentistry: A systematic review. Int. J. Mol. Sci. 2018, 19, 3585. [Google Scholar] [CrossRef]
- Brook, I. Aerobic and anaerobic bacterial flora of normal maxillary sinuses. Laryngoscope 1981, 91, 372–376. [Google Scholar] [CrossRef]
- Guler, B.; Uraz, A.; Cetiner, D. The chemical surface evaluation of black and white porous titanium granules and different commercial dental implants with energy-dispersive x-ray spectroscopy analysis. Clin. Implant. Dent. Relat. Res. 2019, 2, 352–359. [Google Scholar] [CrossRef]
- Dohan Ehrenfest, D.M.; Vazquez, L.; Park, Y.J.; Sammartino, G.; Bernard, J.P. Identification card and codification of the chemical and morphological characteristics of 14 dental implant surfaces. J. Oral. Implantol. 2011, 37, 525–542. [Google Scholar] [CrossRef]
- Schupbach, P.; Glauser, R.; Bauer, S. Al2O3 Particles on Titanium dental implant systems following sandblasting and acid-etching process. Int. J. Biomater. 2019, 2019, 9–12. [Google Scholar] [CrossRef] [PubMed]
- Rodrigues, D.C.; Valderrama, P.; Wilson, T.G.; Palmer, K.; Thomas, A.; Sridhar, S.; Adapalli, A.; Burbano, M.; Wadhwani, C. Titanium corrosion mechanisms in the oral environment: A Retrieval Study. Materials 2013, 6, 5258–5274. [Google Scholar] [CrossRef]
- Park, Y.J.; Song, Y.H.; An, J.H.; Song, H.J.; Anusavice, K.J. Cytocompatibility of pure metals and experimental binary titanium alloys for implant materials. J. Dent. 2013, 41, 1251–1258. [Google Scholar] [CrossRef]
- Li, H.; Huang, T.; Wang, Y.; Pan, B.; Zhang, L.; Zhang, Q.; Niu, Q. Toxicity of alumina nanoparticles in the immune system of mice. Nanomedicine 2020, 15, 927–946. [Google Scholar] [CrossRef]
- Goldstein, J.I.; Newbury, D.E.; Echlin, P.; Joy, D.C.; Lyman, C.E.; Lifshin, E.; Sawyer, L.; Michael, J.R. Scanning Electron Mi-croscopy and X-ray Microanalysis, 3rd ed.; Springer: New York, NY, USA, 2003; pp. 391–449. [Google Scholar] [CrossRef]
- Duddeck, D.U.; Albrektsson, T.; Wennerberg, A.; Larsson, C.; Beuer, F. On the cleanliness of different oral implant systems: A pilot study. J. Clin. Med. 2019, 8, 1280. [Google Scholar] [CrossRef]
- Green, L.J.; Eick, J.D.; Miller, W.A.; Leitner, J.W. Electron microprobe analysis of Ca, P, and Mg in mandibular bone. J. Dent. Res. 1970, 49, 608–615. [Google Scholar] [CrossRef] [PubMed]
- Shibli, J.A.; Marcantonio, E.; d’Avila, S.; Guastaldi, A.C.; Marcantonio, E., Jr. Analysis of failed commercially pure titanium dental implants: A scanning electron microscopy and energy-dispersive spectrometer x-ray study. J. Periodontol. 2005, 76, 1092–1099. [Google Scholar] [CrossRef] [PubMed]
- Esposito, M.; Lausmaa, J.; Hirsch, J.M.; Thomsen, P. Surface analysis of failed oral titanium implants. J. Biomed. Mater. Res. 1999, 48, 559–568. [Google Scholar] [CrossRef]
- Čabanová, K.; Motyka, O.; Čábalová, L.; Hrabovská, K.; Bielniková, H.; Kuzníková, Ľ.; Dvořáčková, J.; Zeleník, K.; Komínek, P.; Kukutschová, J. Metal particles in mucus and hypertrophic tissue of the inferior nasal turbinates from the human upper respiratory tract. Environ. Sci. Pollut. Res. Int. 2020, 27, 28146–28154. [Google Scholar] [CrossRef] [PubMed]
- Jiang, Z.; Zhang, K.; Huang, W.; Yuan, Q. A preliminary study on sinus fungus ball with Micro-CT and X-Ray Fluorescence technique. PLoS ONE 2016, 11, e0148515. [Google Scholar] [CrossRef]
- Berglund, F.; Carlmark, B. Titanium, sinusitis, and the yellow nail syndrome. Biol. Trace Elem. Res. 2011, 143, 1–7. [Google Scholar] [CrossRef] [PubMed]
- Kim, K.T.; Eo, M.Y.; Nguyen, T.T.H.; Kim, S.M. General review of titanium toxicity. Int. J. Implant. Dent. 2019, 5, 10. [Google Scholar] [CrossRef] [PubMed]
- Kim, J.; Jang, H. A review of complications of maxillary sinus augmentation and available treatment methods. J. Korean Assoc. Oral Maxillofac Surg. 2019, 45, 220–224. [Google Scholar] [CrossRef] [PubMed]





| Patient No. | Diagnosis | Implant Position | EDS Examined Position | EDS Result | Surface Morphology (SEM Result) | ||
|---|---|---|---|---|---|---|---|
| C ≥ 10% | 10% > C ≥ 1% | C < 1% | |||||
| No. 1 | Maxillary sinusitis, retention pseudocyst | #16i | Implant surface at the first thread of the fixture (0101-T) | Ti: 82.98% O: 10.93% | C: 3.58% F: 1.07% | Au: 0.59% Na: 0.37 %Ca: 0.32% Si: 0.16% | The SEM image showed the typical morphology of the sandblasted and acid-etched surface with signs of oxidation. |
| Ti level in the normal range Presence of organic components/particles Contaminating significant level of C, F Traces of Au, Na, Si, Ca | |||||||
| Bone tissue in the upper region (0102-U) | Ca: 35.61% O: 24.86% C: 19.97% | Zr: 9.19% P: 8.7% | Ti: 0.64% Na: 0.58% Si: 0.45% | Bone tissue showed irregular structure. | |||
| Ca/P ratio: 4.1 → turn over bone High level of O and C → large portion of organic contents Homogenous distribution of Ti and Zr ions in the bone tissue. | |||||||
| Bone tissue in the apical region (0103-A) | O: 31.18% Ca: 29.26% C: 22.02% P: 11.2% | Na: 2.17% Si: 1.87% Ti: 1.22% | Au: 0.56% Al: 0.32% Mg:0.19% | SEM image showed the bone surface with debris and particles. | |||
| Ca/P ratio: 2.6 Ti particle was detected on the EDS elemental distribution map. Minor levels of Na and Si Trace metals included Au, Al, Mg | |||||||
| No. 2 | Fungal maxillary sinusitis | #26i | Bone tissue in the middle region (0204-M) | Ca: 40.75% O: 31.06% Au: 14.17% | Si: 7.14% Na: 5.87% Ti: 1.01% | Detected fungal hyphae in the implant apical region. | |
| High level of Ca, but no detection of Ca. High level of Au, minor sign of Ti | |||||||
| Implant surface in the apical region(0205-A) | Ti: 67.03% Au: 15.68% O: 12.57% | Si: 1.9% Ca: 1.71% Na: 1.1% | The SEM image showed irregular bone tissue with no presence of cell and bone lacunae | ||||
| Ti level was within the normal range Au was detected at a high level Minor signs of Si, Ca, and Na | |||||||
| No. 3 | Maxillary sinusitis, retention pseudocyst | #16i | Implant surface of the implant apex | Ti: 71.06% O: 14.44% C: 11.25% | Si: 0.4% Ca: 0.3% | The membrane/biofilm could be observed The morphology of the fixture surface revealed an irregular and defected sandblasted and acid-etched surface Blood cells, fibrin, bacteria, and Ti particles were observed | |
| Normal level of Ti, surface covered by a layer of Ti oxide Trace amounts of Si and Ca | |||||||
Publisher’s Note: MDPI stays neutral with regard to jurisdictional claims in published maps and institutional affiliations. |
© 2021 by the authors. Licensee MDPI, Basel, Switzerland. This article is an open access article distributed under the terms and conditions of the Creative Commons Attribution (CC BY) license (https://creativecommons.org/licenses/by/4.0/).
Share and Cite
Nguyen, T.T.H.; Eo, M.Y.; Sodnom-Ish, B.; Myoung, H.; Kim, S.M. Energy-Dispersive X-ray Spectroscopic Investigation of Failed Dental Implants Associated with Odontogenic Maxillary Sinusitis. Appl. Sci. 2021, 11, 3684. https://doi.org/10.3390/app11083684
Nguyen TTH, Eo MY, Sodnom-Ish B, Myoung H, Kim SM. Energy-Dispersive X-ray Spectroscopic Investigation of Failed Dental Implants Associated with Odontogenic Maxillary Sinusitis. Applied Sciences. 2021; 11(8):3684. https://doi.org/10.3390/app11083684
Chicago/Turabian StyleNguyen, Truc Thi Hoang, Mi Young Eo, Buyanbileg Sodnom-Ish, Hoon Myoung, and Soung Min Kim. 2021. "Energy-Dispersive X-ray Spectroscopic Investigation of Failed Dental Implants Associated with Odontogenic Maxillary Sinusitis" Applied Sciences 11, no. 8: 3684. https://doi.org/10.3390/app11083684
APA StyleNguyen, T. T. H., Eo, M. Y., Sodnom-Ish, B., Myoung, H., & Kim, S. M. (2021). Energy-Dispersive X-ray Spectroscopic Investigation of Failed Dental Implants Associated with Odontogenic Maxillary Sinusitis. Applied Sciences, 11(8), 3684. https://doi.org/10.3390/app11083684

