Coronally Advanced Flap in the Treatment of Multiple Adjacent Gingival Recessions along with a Connective Tissue Graft Harvested from Augmented or Nonaugmented Palatal Mucous Membrane: A Two-Year Comparative Clinical Evaluation
Abstract
1. Introduction
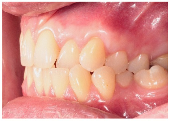
2. Materials and Methods
2.1. Patient Selection
- −
- Control Group—patients not requiring augmentation of the palatal mucous membrane before harvesting the graft (PGT ≥ 2.5 mm in at least 4 out of 5 sites).
- −
- Test Group—patients requiring augmentation (PGT < 2.5 mm in at least 2 out of the 5 examined places).
2.2. Clinical Parameters
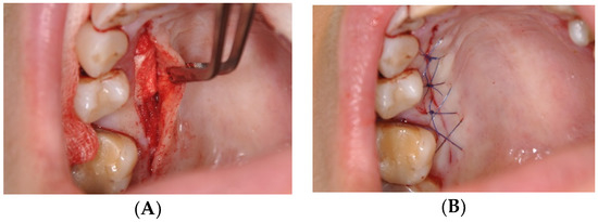
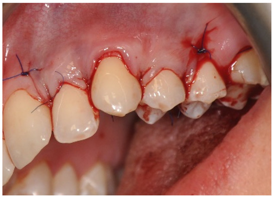
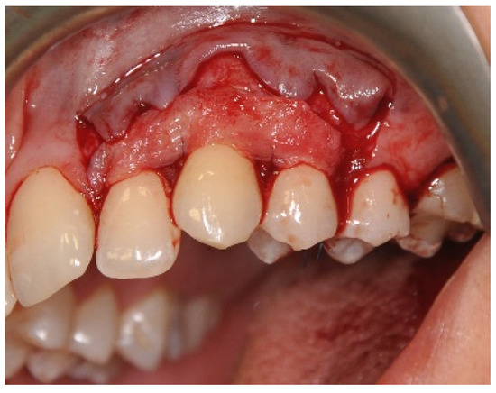
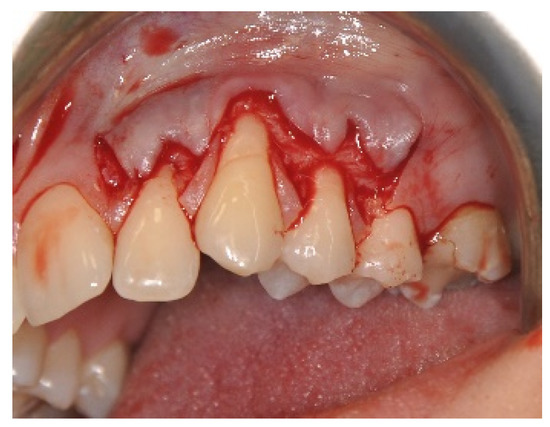
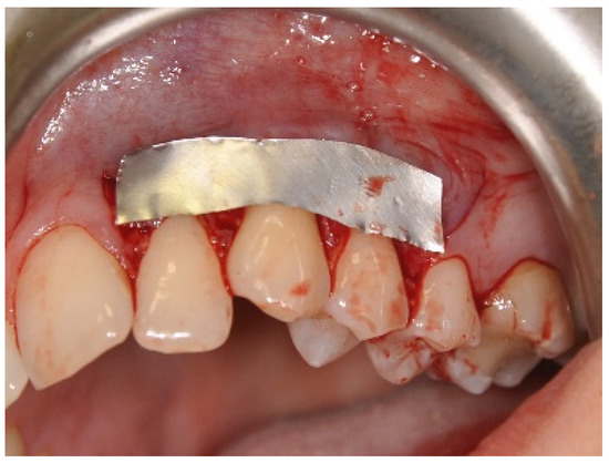
2.3. Surgical Procedures
Surgical Procedure Using Biokol®, the Xenogeneic Lyophilized Collagen Sponge
2.4. Post-Surgical Management
2.5. Statistics
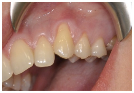
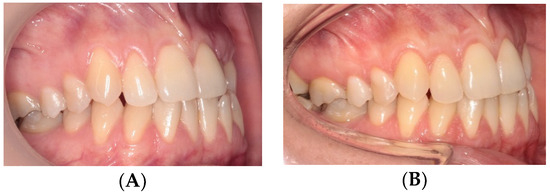
3. Results
3.1. Clinical Measurements for CAL and GRD
3.2. Clinical Measurements for GRW, PD and AG
3.3. Clinical Measurements for BGT1, BGT2, BGT3
3.4. Clinical Values for %BGT1, CRC and ARC
4. Discussion
Limitation of the Study
5. Conclusions
Author Contributions
Funding
Institutional Review Board Statement
Informed Consent Statement
Conflicts of Interest
References
- Pini Prato, G.P. Mucogingival deformities. Ann. Periodontol. 1999, 4, 1–6. [Google Scholar] [CrossRef] [PubMed]
- Dominiak, M.; Gedrange, T. New perspectives in the diagnostic of gingival recession. Adv. Clin. Exp. Med. 2014, 23, 857–863. [Google Scholar] [CrossRef] [PubMed]
- Zucchelli, G.; de Sanctis, M. Treatment of multiple recession-type defects in patients with esthetic demands. J. Periodontol. 2000, 71, 1506–1514. [Google Scholar] [CrossRef] [PubMed]
- McGuire, M.K.; Scheyer, E.T. Long-Term Results Comparing Xenogeneic Collagen Matrix and Autogenous Connective Tissue Grafts with Coronally Advanced Flaps for Treatment of Dehiscence-Type Recession Defects. J. Periodontol. 2016, 87, 221–227. [Google Scholar] [CrossRef] [PubMed]
- Jepsen, K.; Stefanini, M.; Sanz, M.; Zucchelli, G.; Jepsen, S. Long-Term Stability of Root Coverage by Coronally Advanced Flap Procedures. J. Periodontol. 2016, 88, 626–633. [Google Scholar] [CrossRef]
- Chambrone, L.; Ortega, M.A.S.; Sukekava, F.; Rotundo, R.; Kalemaj, Z.; Buti, J.; Pini Prato, G.P. Root coverage procedures for treating single and multiple recession-type defects: An updated Cochrane systematic review. J. Periodontol. 2019, 90, 1399–1422. [Google Scholar] [CrossRef]
- Dellavia, C.; Ricci, G.; Pettinari, L.; Allievi, C.; Grizzi, F.; Gagliano, N. Human Palatal and Tuberosity Mucosa as Donor Sites for Ridge Augmentation. Int. J. Periodontics Restor. Dent. 2014, 34, 178–186. [Google Scholar] [CrossRef]
- Thoma, D.S.; Hilbe, M.; Bienz, S.P.; Sancho-Puchades, M.; Hämmerle, C.H.F.; Jung, R.E. Palatal wound healing using a xenogeneic collagen matrix–histological outcomes of a randomized controlled clinical trial. J. Clin. Periodontol. 2016, 43, 1124–1131. [Google Scholar] [CrossRef]
- Perotto, S.; Romano, F.; Cricenti, L.; Gotti, S.; Aimetti, M. Vascularization and Innervation of Connective Tissue Grafts in the Treatment of Gingival Recessions: A Histologic and Immunohistochemical Study. Int. J. Periodontics Restor. Dent. 2017, 37, 551–558. [Google Scholar] [CrossRef][Green Version]
- Majzoub, Z.; Landi, L.; Grusovin, M.G.; Cordioli, G. Histology of connective tissue graft. A case report. J. Periodontol. 2001, 72, 1607–1615. [Google Scholar] [CrossRef]
- Harris, R.J. Histologic evaluation of connective tissue grafts in humans. Int. J. Periodontics Restor. Dent. 2003, 23, 575–583. [Google Scholar]
- Poggi, P.; Rota, M.T.; Cusella De Angelis, M.G.; Borrato, R. Ultrastructural changes in human gingival fibroblasts in vitro after exposure to vapour phase smoke components. Ann. Anat. 2000, 182, 427–432. [Google Scholar] [CrossRef]
- Benninger, B.; Andrews, K.; Carter, W. Clinical measurements of hard palate and implications for subepithelial connective tissue grafts with suggestions for palatal nomenclature. J. Oral Maxillofac. Surg. 2012, 70, 149–153. [Google Scholar] [CrossRef] [PubMed]
- Romano, F.; Perotto, S.; Cricenti, L.; Gotti, S.; Aimetti, M. Epithelial inclusions following a bilaminar root coverage procedure with a subepithelial connective tissue graft: A histologic and clinical study. Int. J. Periodontics Restor. Dent. 2017, 37, 245–252. [Google Scholar] [CrossRef]
- Carnio, J.; Hallmon, W.W. A technique for augmenting the palatal connective tissue donor site: Clinical case report and histologic evaluation. Int. J. Periodontics Restor. Dent. 2005, 25, 257–263. [Google Scholar]
- Bednarz, W.; Kobierzycki, C.; Dzięgiel, P.; Botzenhartd, U.; Gedrange, T.; Ziętek, M. Augmentation of the hard palate thin masticatory mucosa in the potential connective tissue donor sites using two collagen materials–clinical and histological comparison. Ann. Anat. 2016, 208, 78–84. [Google Scholar] [CrossRef]
- Harris, R.J. Root coverage with a connective tissue with partial thickness double pedicle graft an acellular dermal matrix graft: A clinical and histological evaluation of a case report. J. Periodontol. 1998, 69, 1305–1311. [Google Scholar] [CrossRef]
- Robin, D.H.; Greenwell, H.; Drisko, C.; Regenniter, F.J.; Lamb, J.W.; Mehlbauer, M.J.; Goldsmith, L.J.; Rebitski, G. Predictable multiple site root coverage using an acellular dermal matrix allograft. J. Periodontol. 2001, 72, 571–582. [Google Scholar]
- Sanz, M.; Lorenzo, R. Clinical evaluation of a new collagen matrix (Mucograft prototype) to enhance the width of keratinized tissue in patients with fixed prosthetic restorations: A randomized prospective clinical trial. J. Clin. Periodontol. 2009, 36, 868–876. [Google Scholar] [CrossRef]
- Tonetti, M.S.; Cortellini, P.; Pellegrini, G.; Nieri, M.; Bonaccini, D.; Allegri, M.; Bouchard, P.; Cairo, F.; Conforti, G.; Fourmousis, I.; et al. Xenogenic collagen matrix or autologous connective tissue graft as adjunct to coronally advanced flaps for coverage of multiple adjacent gingival recession: Randomized trial assessing non-inferiority in root coverage and superiority in oral health-related. J. Clin. Periodontol. 2018, 45, 78–88. [Google Scholar] [CrossRef]
- Rothamel, D.; Benner, M.; Fienitz, T.; Happe, A.; Kreppel, M.; Nickenig, H.-J.; Zöller, J.E. Biodegradation pattern and tissue integration and cross-linked porcine collagen soft tissue augmentation matrices–an experimental study in rat. Head Face Med. 2014, 10, 10. [Google Scholar] [CrossRef]
- Al Hezaimi, K.; Al Askar, M.; Kim, D.M.; Schupbach, P.; Chung, J.H.; Gil, M.S.; Nevins, M. The Feasability of using coronally advanced flap with an extracellular matrix membrane for treating gingival recession defects. A preclinical study. Int. J. Periodontics Restor. Dent. 2014, 34, 375–380. [Google Scholar] [CrossRef] [PubMed]
- Dominiak, M.; Konopka, T.; Lompart, H.; Kubasiewicz, P. Comparative research concerning clinical efficiency of three surgical methods of periodontium recessions treatment in five-year observations. Adv. Med. Sci. 2006, 51 (Suppl. S1), 18–25. [Google Scholar] [PubMed]
- McGuire, M.K.; Scheyer, E.T. Xenogeneic collagen matrix with coronally advanced flap compared to connective tissue with coronally advanced flap for the treatment of dehiscence-type recession defects. J. Periodontol. 2010, 81, 1108–1117. [Google Scholar] [CrossRef] [PubMed]
- Moraschini, V.; dos Santos Porto Barboza, E. Use of Platelet-Rich Fibrin Membrane in the Treatment of Gingival Recession: A Systematic Review and Meta-Analysis. J. Periodontol. 2016, 87, 281–290. [Google Scholar] [CrossRef]
- Miller, P.D. A classification of marginal tissue recession. Int. J. Periodontics Restor. Dent. 1985, 5, 9–13. [Google Scholar]
- Bednarz, W.; Zielińska, A. Ultrasonic Biometer and its usage in an assessment of periodontal soft tissue thickness and comparison of its measurement accuracy with a bone sounding method. Dent. Med. Probl. 2011, 48, 481–489. [Google Scholar]
- Zucchelli, G.; Mele, M.; Stefanini, M.; Mazzotti, C.; Marzadori, M.; Montebugnoli, L.; de Sanctis, M. Patient morbidity and root coverage outcome after subepithelial connective tissue and de-epithelialized grafts: A randomized-controlled clinical trial. J. Clin. Periodontol. 2010, 37, 728–738. [Google Scholar] [CrossRef]
- Cortellini, P.; Tonetti, M.; Prato, G.P. The partly epithelialized free gingival graft (pe-fgg) at lower incisors. A pilot study with implications for alignment of the muco-gingival junction. J. Clin. Periodontol. 2012, 39, 674–680. [Google Scholar] [CrossRef]
- Aroca, S.; Barbieri, A.; Clementini, M.; Renouard, F.; de Sanctis, M. Treatment of class III multiple gingival recessions: Prognostic factors for achieving a complete root coverage. J. Clin. Periodontol. 2018, 45, 861–868. [Google Scholar] [CrossRef]
- Barootchi, S.; Tavelli, L.; Di Gianfilippo, R.; Byun, H.-Y.; Oh, T.-J.; Barbato, L.; Cairo, F.; Wang, H.-L. Long term assessment of root coverage stability using connective tissue graft with or without an epithelial collar for gingival recession treatment. A 12-year follow-up from a randomized clinical trial. J. Clin. Periodontol. 2019, 46, 1124–1133. [Google Scholar] [CrossRef] [PubMed]
- Doğan, S.B.; Dede, F.Ö.; Ballı, U.; Atalay, E.N.; Durmuşlar, M.C. Concentrated growth factor in the treatment of adjacent multiple gingival recessions: A split-mouth randomized clinical trial. J. Clin. Periodontol. 2015, 42, 868–875. [Google Scholar] [CrossRef]
- Graziani, F.; Gennai, S.; Roldan, S.; Discepoli, N.; Buti, J.; Madianos, P.; Herrera, D. Efficacy of periodontal plastic procedures in the treatment of multiple gingival recessions. J. Clin. Periodontol. 2014, 41, 63–76. [Google Scholar] [CrossRef]
- Zucchelli, G.; Mounssif, I.; Mazzotti, C.; Stefanini, M.; Marzadori, M.; Petracci, E.; Montebugnoli, L. Coronally advanced flap with and without connective tissue graft for the treatment of multiple gingival recessions: A comparative short- and long-term controlled randomized clinical trial. J. Clin. Periodontol. 2014, 41, 396–403. [Google Scholar] [CrossRef]
- Rasperini, G.; Acunzo, R.; Pellegrini, G.; Pagni, G.; Tonetti, M.; Pini Prato, G.P.; Cortellini, P. Predictor factors for long-term outcomes stability of coronally advanced flap with or without connective tissue graft in the treatment of single maxillary gingival recessions: 9 years results of a randomized controlled clinical trial. J. Clin. Periodontol. 2018, 45, 1107–1117. [Google Scholar] [CrossRef] [PubMed]
- Chambrone, L.; Pini Prato, G.P. Clinical insights about the evolution of root coverage procedures: The flap, the graft, and the surgery. J. Periodontol. 2018, 90, 9–15. [Google Scholar] [CrossRef] [PubMed]
- Da Silva, R.C.; Joly, J.C.; De Lima, A.; Tatakis, D. Root coverage using the coronally positioned flap with or without a subepithelial connective tissue graft. J. Periodontol. 2004, 75, 413–419. [Google Scholar] [CrossRef] [PubMed]
- Cairo, F.; Cortellini, P.; Pilloni, A.; Nieri, M.; Cincinelli, S.; Amunni, F.; Pagavino, G.; Tonetti, M. Clinical efficacy of coronally advanced flap with or without connective tissue graft for the treatment of multiple adjacent gingival recessions in the aesthetic area: A randomized controlled clinical trial. J. Clin. Periodontol. 2016, 43, 849–856. [Google Scholar] [CrossRef]
- Garces-McIntyre, T.; Carbonell, J.M.; Vallcorba, L.; Santos, A.; Valles, C.; Nart, J. Coronal advanced flap in combination with a connective tissue graft. Is the thickness of the flap a predictor for root coverage? A prospective clinical study. J. Clin. Periodontol. 2017, 44, 933–940. [Google Scholar] [CrossRef]
- Pietruska, M.; Skurska, A.; Podlewski, Ł.; Milewski, R.; Pietruski, J. Clinical evaluation of Miller class I and II recessions treatment with the use of modified coronally advanced tunnel technique with either collagen matrix or subepithelial connective tissue graft: A randomized clinical study. J. Clin. Periodontol. 2019, 46, 86–95. [Google Scholar] [CrossRef]
- Zucchelli, G.; De Sanctis, M. Long-term outcome following treatment of multiple Miller class I and II recession defects in esthetic areas of the mouth. J. Periodontol. 2005, 76, 2286–2292. [Google Scholar] [CrossRef]
- Pini-Prato, G.P.; Cairo, F.; Nieri, M.; Franceschi, D.; Rotundo, R.; Cortellini, P. Coronally advanced flap versus connective tissue graft in the treatment of multiple gingival recessions: A split-mouth study with a 5-year follow-up. J. Clin. Periodontol. 2010, 37, 644–650. [Google Scholar] [CrossRef] [PubMed]
- Tavelli, L.; Barootchi, S.; Greenwell, H.; Wang, H.L. Is a soft tissue graft harvested from the maxillary tuberosity the approach of choice in an isolated site? J. Periodontol. 2019, 90, 821–825. [Google Scholar] [CrossRef] [PubMed]
- Clementini, M.; Discepoli, N.; Danesi, C.; de Sanctis, M. Biologically guided flap stability: The role of flap thickness including periosteum retention on the performance of the coronally advanced flap–A double- blind randomized clinical trial. J. Clin. Periodontol. 2018, 45, 1238–1246. [Google Scholar] [CrossRef] [PubMed]
- Cordaro, L.; di Torresanto, V.M.; Torsello, F. Split-mouth comparison of a coronally advanced flap with or without enamel matrix derivative for coverage of multiple gingival recession defects: 6- and 24-month follow-up. Int. J. Periodontics Restor. Dent. 2012, 32, e10–e20. [Google Scholar]
- Gholami, G.A.; Saberi, A.; Kadkhodazadeh, M.; Amid, R.; Karami, D. Comparison of the clinical outcomes of connective tissue and acellular dermal matrix in combination with double papillary flap for root coverage: A 6 month trial. Dent. Res. J. 2013, 10, 506–513. [Google Scholar]
- Tavelli, L.; Barootchi, S.; Di Gianfilippo, R.; Modarressi, M.; Cairo, F.; Rasperini, G.; Wang, H.-L. Acellular dermal matrix and coronally advanced flap or tunnel technique in the treatment of multiple adjacent gingival recessions. A 12-year follow-up from a randomized clinical trial. J. Clin. Periodontol. 2019, 46, 937–948. [Google Scholar] [CrossRef]
- Huang, L.-H.; Neiva, R.E.F.; Wang, H.-L. Factors affecting the outcomes of coronally advanced flap root coverage procedure. J. Periodontol. 2005, 76, 1729–1734. [Google Scholar] [CrossRef]
- Hwang, D.; Wang, H.-L. Flap thickness as a predictor of root coverage: A systematic review. J. Periodontol. 2006, 77, 1625–1634. [Google Scholar] [CrossRef]
- Rebele, S.F.; Zuhr, O.; Schneider, D.; Jung, R.E.; Hurzeler, M.B. Tunnel technique with connective tissue graft versus coronally advanced flap with enamel matrix derivative for root coverage: A RCT using 3D digital measuring methods. Part II. Volumetric studies on healing dynamics and gingival dimensions. J. Clin. Periodontol. 2014, 41, 593–603. [Google Scholar] [CrossRef]
- Carnio, J.; Koutouzis, T. Palatal Augmentation Technique. A Predictable Method to Increase the Palatal Connective Tissue Donor Site: A Consecutive Case Series. Int. J. Periodontics Restor. Dent. 2015, 35, 707–713. [Google Scholar] [CrossRef] [PubMed]
- Zucchelli, G.; Tavelli, L.; Ravida, A.; Stefanini, M.; Suarez-Lopez Del Amo, F.; Wang, H.-L. Influence of tooth location on coronally advanced flap procedures for root coverage. J. Periodontol. 2018, 89, 1428–1441. [Google Scholar] [CrossRef] [PubMed]
- Zucchelli, G.; Tavelli, L.; Barootchi, S.; Stefanini, M.; Rasperini, G.; Valles, C.; Nart, J.; Wang, H.-L. The influence of tooth location on the outcomes of multiple adjacent gingival recessions treated with coronally advanced flap: A multicenter re-analysis study. J. Periodontol. 2019, 90, 1244–1251. [Google Scholar] [CrossRef] [PubMed]












| Test Group (CAF + A − CTG) | Control Group (CAF + NA − CTG) | |
|---|---|---|
| Number enrolled patients | 16 (12 females, 4 males) | 19 (15 females, 4 males) |
| Number covered recessions | 77 | 71 |
| Number type of recession (Miller) | ||
| I | 34 | 36 |
| II | 30 | 30 |
| III | 13 | 5 |
| Number treated teeth per patient | ||
| Mean value ± SD | 4.81 ± 2.40 | 3.74 ± 2.08 |
| Range | 2–10 | 2–9 |
| Number localisation of recessions | ||
| Incisor | 19 | 24 |
| Canine | 22 | 13 |
| Premolar | 30 | 28 |
| Molar | 6 | 6 |
| Maxilla | 66 | 54 |
| Mandible | 11 | 17 |
| Number surgical sessions per patient | ||
| Mean value ± SD | 1.63 ± 0.62 | 1.26 ± 0.56 |
| Range | 1–3 | 1–3 |
| Mean Value in mm ± Standard Deviation | |||||||||
|---|---|---|---|---|---|---|---|---|---|
| Group/Time | CAL | PD | GRD | GRW | AG | BGT1 | BGT2 | BGT3 | |
| Test group (CAF + A − CTG) | Baseline | 4.19 ± 1.07 ** | 1.47 ± 0.48 | 2.72 ± 1.00 ** | 3.47 ± 0.92 | 1.33 ± 1.41 | 1.04 ± 0.21 | 1.17 ± 0.20 | 1.02 ± 0.28 |
| 6 months | 1.17 ± 0.67 * | 1.22 ± 0.33 | 0.21 ± 0.37 * | 0.69 ± 1.14 * | 3.73 ± 1.00 * | 2.09 ± 0.25 *,** | 1.93 ± 0.28 *,** | 1.85 ± 0.22 *,** | |
| 12 months | 1.12 ± 0.72 * | 1.18 ± 0.31 | 0.22 ± 0.36 * | 0.73 ± 1.13 * | 3.70 ± 0.94 * | 1.90 ± 0.27 *,** | 1.74 ± 0.23 * | 1.67 ± 0.18 * | |
| 24 months | 1.14 ± 0.77 * | 1.19 ± 0.34 | 0.27 ± 0.44 * | 0.80 ± 1.21 * | 3.69 ± 0.98 * | 1.79 ± 0.28 *,** | 1.60 ± 0.28 * | 1.55 ± 0.19 * | |
| Control group (CAF + NA − CTG) | Baseline | 4.62 ± 1.26 ** | 1.54 ± 0.48 | 3.08 ± 1.14 ** | 3.64 ± 1.25 | 1.51 ± 1.78 | 1.11 ± 0.27 | 1.17 ± 0.29 | 0.86 ± 0.39 |
| 6 months | 1.25 ± 0.75 * | 1.13 ± 0.26 | 0.30 ± 0.49 * | 0.85 ± 1.24 * | 3.93 ± 1.33 * | 1.63 ± 0.31 *,** | 1.70 ± 0.33 *,** | 1.60 ± 0.46 *,** | |
| 12 months | 1.25 ± 0.77 * | 1.08 ± 0.29 | 0.34 ± 0.49 * | 0.95 ± 1.16 * | 3.91 ± 1.29 * | 1.63 ± 0.27 *,** | 1.64 ± 0.34 * | 1.55 ± 0.43 * | |
| 24 months | 1.31 ± 0.81 * | 1.11 ± 0.26 | 0.37 ± 0.55 * | 0.98 ± 1.21 * | 3.87 ± 1.33 * | 1.51 ± 0.27 *,** | 1.57 ± 0.33 * | 1.42 ± 0.45 * | |
| Percentage % ± Standard Deviation | |||||||
|---|---|---|---|---|---|---|---|
| Group/Time | ARC | %CAL | %BGT1 | %BGT2 | %BGT3 | CRC | |
| Test group (CAF + A − CTG) | 6 months | 93.22 ± 12.24 | 71.96 ± 15.89 | 49.99 ± 9.42 ** | 38.93 ± 10.91 ** | 44.21 ± 16.02 | 71.43 |
| 12 months | 92.64 ± 12.29 | 73.48 ± 16.72 | 44.66 ± 10.76 ** | 32.04 ± 13.25 | 38.74 ± 16.83 ** | 68.83 | |
| 24 months | 91.76 ± 13.29 | 73.56 ± 16.77 | 42.15 ± 14.65 ** | 25.67 ± 25.85 | 34.21 ± 16.10 | 67.53 | |
| Control group (CAF + NA − CTG) | 6 months | 91.47 ± 15.50 | 72.93 ± 15.38 | 31.56 ± 10.61 ** | 31.59 ± 11.02 ** | 48.03 ± 18.31 | 66.20 |
| 12 months | 90.48 ± 12.66 | 73.12 ± 14.56 | 31.60 ± 11.41 ** | 28.92 ± 11.87 | 47.33 ± 16.51 ** | 57.75 | |
| 24 months | 89.90 ± 13.36 | 71.98 ± 13.96 | 26.63 ± 9.55 ** | 26.07 ± 10.32 | 42.26 ± 16.91 | 57.75 | |
Publisher’s Note: MDPI stays neutral with regard to jurisdictional claims in published maps and institutional affiliations. |
© 2021 by the authors. Licensee MDPI, Basel, Switzerland. This article is an open access article distributed under the terms and conditions of the Creative Commons Attribution (CC BY) license (http://creativecommons.org/licenses/by/4.0/).
Share and Cite
Bednarz, W.; Majer, J.; Pakuszyńska-Błaszczyk, J.; Dominiak, M.; Gedrange, T.; Zielińska-Pałasz, A. Coronally Advanced Flap in the Treatment of Multiple Adjacent Gingival Recessions along with a Connective Tissue Graft Harvested from Augmented or Nonaugmented Palatal Mucous Membrane: A Two-Year Comparative Clinical Evaluation. Appl. Sci. 2021, 11, 1081. https://doi.org/10.3390/app11031081
Bednarz W, Majer J, Pakuszyńska-Błaszczyk J, Dominiak M, Gedrange T, Zielińska-Pałasz A. Coronally Advanced Flap in the Treatment of Multiple Adjacent Gingival Recessions along with a Connective Tissue Graft Harvested from Augmented or Nonaugmented Palatal Mucous Membrane: A Two-Year Comparative Clinical Evaluation. Applied Sciences. 2021; 11(3):1081. https://doi.org/10.3390/app11031081
Chicago/Turabian StyleBednarz, Wojciech, Jennifer Majer, Justyna Pakuszyńska-Błaszczyk, Marzena Dominiak, Tomasz Gedrange, and Agata Zielińska-Pałasz. 2021. "Coronally Advanced Flap in the Treatment of Multiple Adjacent Gingival Recessions along with a Connective Tissue Graft Harvested from Augmented or Nonaugmented Palatal Mucous Membrane: A Two-Year Comparative Clinical Evaluation" Applied Sciences 11, no. 3: 1081. https://doi.org/10.3390/app11031081
APA StyleBednarz, W., Majer, J., Pakuszyńska-Błaszczyk, J., Dominiak, M., Gedrange, T., & Zielińska-Pałasz, A. (2021). Coronally Advanced Flap in the Treatment of Multiple Adjacent Gingival Recessions along with a Connective Tissue Graft Harvested from Augmented or Nonaugmented Palatal Mucous Membrane: A Two-Year Comparative Clinical Evaluation. Applied Sciences, 11(3), 1081. https://doi.org/10.3390/app11031081

