Orthodontic Treatment for a Child with Melanotic Neuroectodermal Tumor during Infancy: A Case Report
Abstract
:1. Introduction
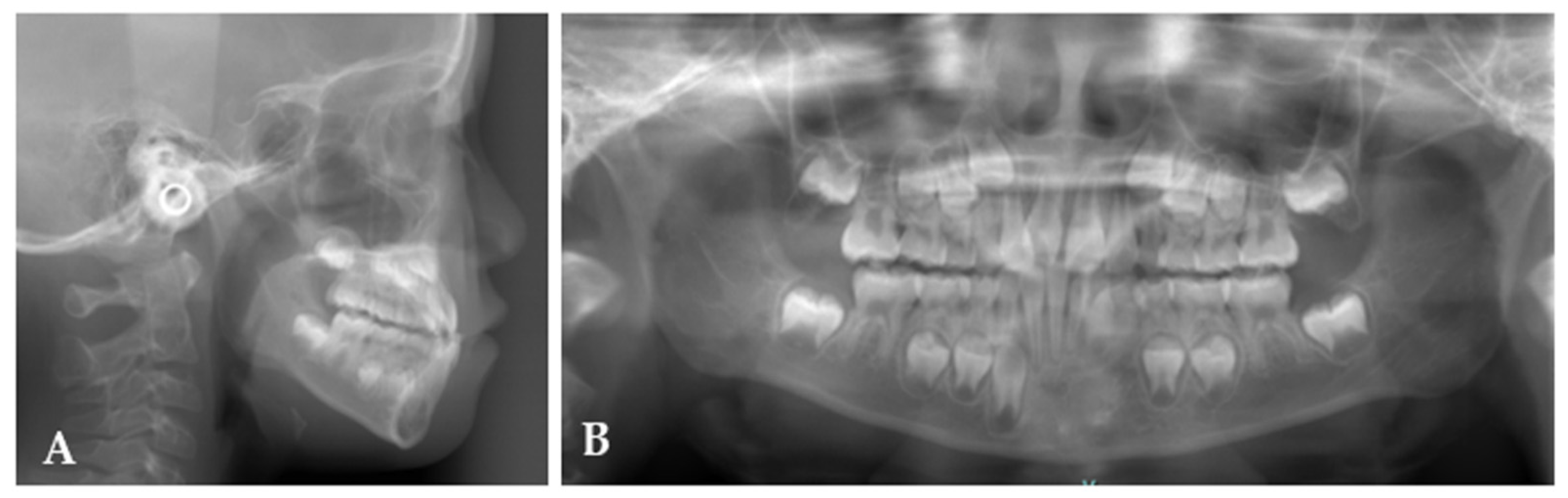
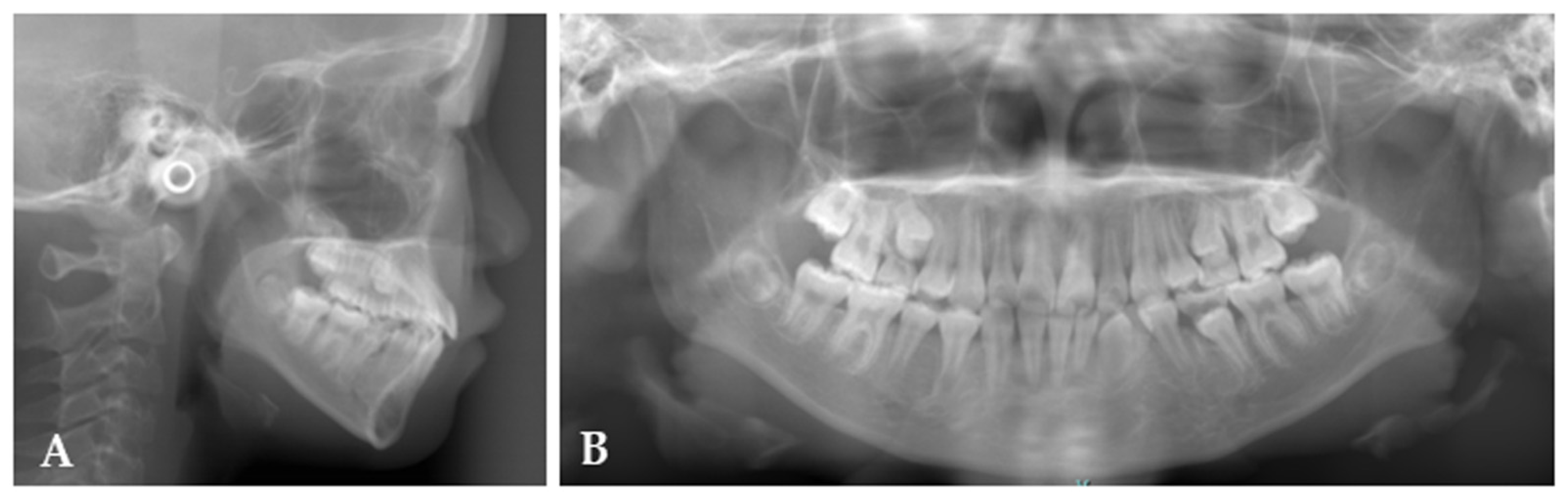
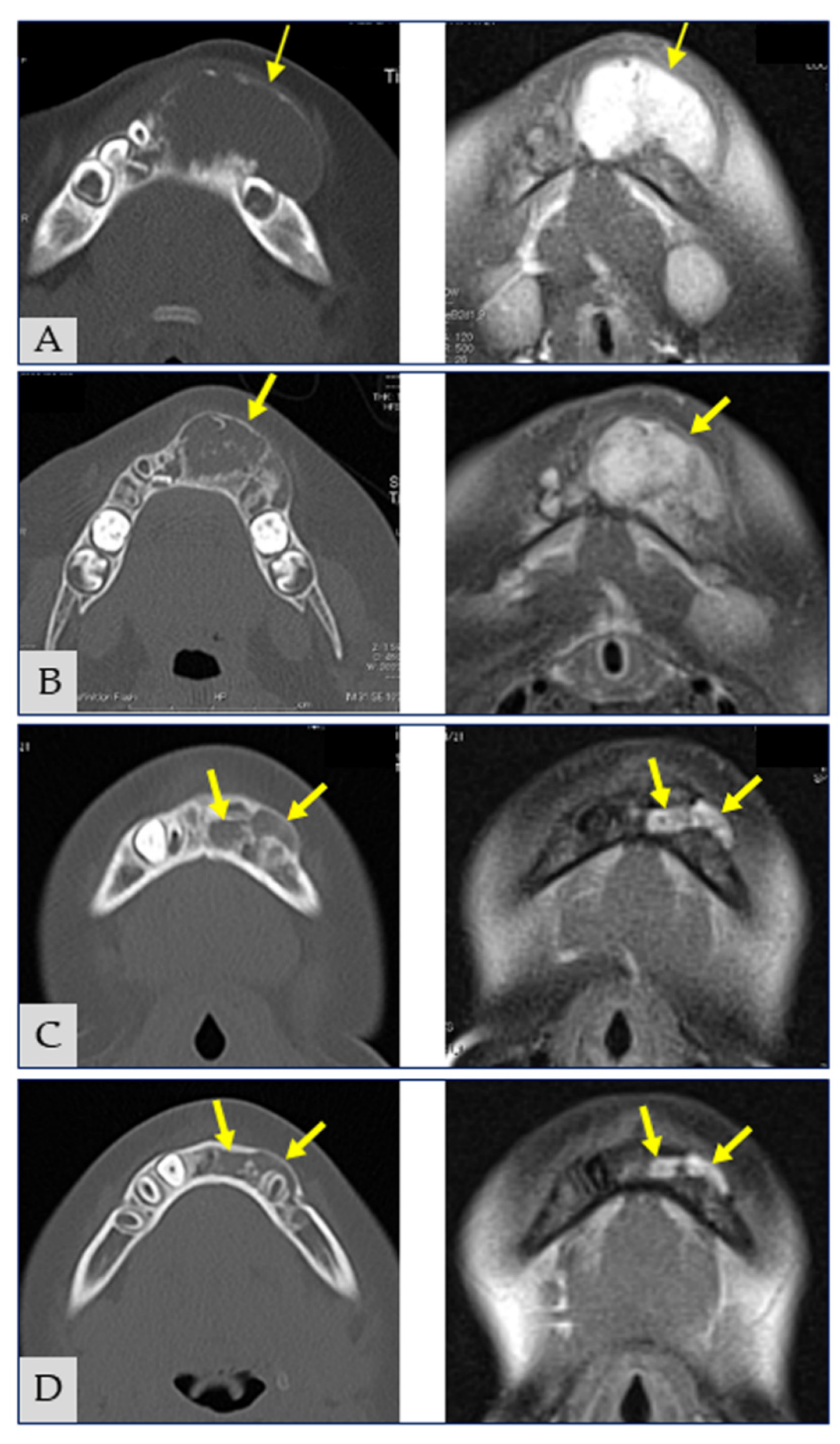
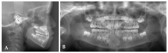
2. Case Report
3. Discussion
4. Conclusions
Author Contributions
Funding
Institutional Review Board Statement
Informed Consent Statement
Data Availability Statement
Conflicts of Interest
References
- Proffit, W.; Fields, H.; Sarver, D. Contemporary Orthodontics, 5th ed.; Mosby: St. Louis, MA, USA, 2012; p. 768. [Google Scholar]
- Battagel, J.M. The aetiological factors in Class III malocclusion. Eur. J. Orthod. 1993, 15, 347–370. [Google Scholar] [CrossRef] [PubMed]
- Staderini, E.; Patini, R.; Meuli, S.; Camodeca, A.; Guglielmi, F.; Gallenzi, P. Indication of clear aligners in the early treatment of anterior crossbite: A case series. Dental Press J. Orthod. 2020, 25, 33–43. [Google Scholar] [CrossRef] [PubMed]
- Staderini, E.; Patini, R.; Camodeca, A.; Guglielmi, F.; Gallenzi, P. Three-dimensional assessment of morphological changes following nasoalveolar molding therapy in cleft lip and palate patients: A case report. Dent. J. 2019, 7, 27. [Google Scholar] [CrossRef] [PubMed] [Green Version]
- Fischer, B.; Masucci, C.; Ruellas, A.; Cevidanes, L.; Giuntini, V.; Nieri, M.; Nardi, C.; Franchi, L.; McNamara, J.A., Jr.; Defraia, E. Three-dimensional evaluation of the maxillary effects of two orthopaedic protocols for the treatment of Class III malocclusion: A prospective study. Orthod. Craniofac. Res. 2018, 21, 248–257. [Google Scholar] [CrossRef] [PubMed]
- Kim, J.H.; Viana, M.A.G.; Graber, T.M.; Omerza, F.F.; BeGole, E.A. The effectiveness of protraction face mask therapy: A meta-analysis. Am. J. Orthod. Dentofac. Orthop. 1999, 115, 675–685. [Google Scholar] [CrossRef]
- Liu, Z.P.; Li, C.J.; Hu, H.K.; Chen, J.W.; Li, F.; Zou, S.J. Efficacy of short-term chincup therapy for mandibular growth retardation in class III malocclusion. Angle Orthod. 2011, 81, 162–168. [Google Scholar] [CrossRef] [PubMed]
- Miamoto, C.B.; Marques, L.S.; Abreu, L.G.; Paiva, S.M. Comparison of two early treatment protocols for anterior dental crossbite in the mixed dentition: A randomized trial. Angle Orthod. 2018, 88, 144–150. [Google Scholar] [CrossRef] [PubMed] [Green Version]
- Jang, S.J.; Choi, D.S.; Jang, I.; Jost-Brinkmann, P.G.; Cha, B.K. Quantitative comparison of incisal tooth wear in patients receiving one-phase or two-phase treatment for skeletal Class III malocclusion with anterior crossbite. Angle Orthod. 2018, 88, 151–156. [Google Scholar] [CrossRef] [PubMed] [Green Version]
- Pereira da Silva, H.C.F.; de Paiva, J.B.; Rino Neto, J. Anterior crossbite treatment in the primary dentition: Three case reports. Int. Orthod. 2018, 16, 514–529. [Google Scholar] [CrossRef]
- Wiedel, A.P.; Bondemark, L. Fixed versus removable orthodontic appliances to correct anterior crossbite in the mixed dentition𠄄A randomized controlled trial. Eur. J. Orthod. 2015, 37, 123–127. [Google Scholar] [CrossRef] [PubMed] [Green Version]
- Kruse-Lösler, B.; Gaertner, C.; Bürger, H.; Seper, L.; Joos, U.; Kleinheinz, J. Melanotic neuroectodermal tumor of infancy: Systematic review of the literature and presentation of a case. Oral Surg. Oral Med. Oral Pathol. Oral Radiol. Endod. 2006, 102, 204–216. [Google Scholar] [CrossRef] [PubMed]
- Dehner, L.P.; Sibley, R.K.; Sauk, J.J., Jr.; Vickers, R.A.; Nesbit, M.E.; Leonard, A.S.; Waite, D.E.; Neeley, J.E.; Ophoven, J. Malignant melanotic neuroectodermal tumor of infancy: A clinical, pathologic, ultrastructural and tissue culture study. Cancer 1979, 43, 1389–1410. [Google Scholar] [CrossRef]
- Rekhi, B.; Suryavanshi, P.; Desai, S.; Gulia, A.; Desai, S.; Juvekar, S.L.; Puri, A.; Jambhekar, N.A. Melanotic neuroectodermal tumor of infancy in thigh of an infant—A rare case report with diagnostic implications. Skelet. Radiol. 2011, 40, 1079–1084. [Google Scholar] [CrossRef]
- Rickart, A.J.; Drummond-Hay, V.; Suchak, A.; Sadiq, Z.; Sebire, N.J.; Slater, O.; Mills, C. Melanotic neuroectodermal tumour of infancy: Refining the surgical approach. Int. J. Oral. Maxillofac. 2019, 48, 1307–1312. [Google Scholar] [CrossRef] [PubMed]
- Mosby, E.L.; Lowe, M.W.; Cobb, C.M.; Ennis, R.L. Melanotic neuroectodermal tumor of infancy: Review of the Literature and report of a case. J. Oral. Maxillofac. Surg. 1992, 50, 886–894. [Google Scholar] [CrossRef]
- Rachidi, S.; Sood, A.J.; Patel, K.G.; Nguyen, S.A.; Hamilton, H.; Neville, B.W.; Day, T.A. Melanotic Neuroectodermal Tumor of Infancy: A Systematic Review. J. Oral. Maxillofac. Surg. 2015, 73, 1946–1956. [Google Scholar] [CrossRef] [PubMed]
- Neven, J.; van der Kaa, C.H.; Loonen, J.G.; de Wilde, P.C.; Merkx, M.A. Recurrent melanotic neuroectodermal tumor of infancy: A proposal for treatment protocol with surgery and adjuvant chemotherapy. Oral Surg. Oral Med. Oral Pathol. Oral Radiol. Endod. 2008, 106, 493–496. [Google Scholar] [CrossRef] [PubMed]
- Cutler, L.S.; Chaudhry, A.P.; Topazian, R. Melanotic neuroectodermal tumor of infancy: An ultrastructural study, literature review, and reevaluation. Cancer 1981, 48, 257–270. [Google Scholar] [CrossRef]
- Crockett, D.M.; McGill, T.J.; Healy, G.B.; Fried-man, E.M. Melanotic neuroectodermal tumor of infancy. Otolaryngol. Head Neck Surg. 1987, 96, 194–197. [Google Scholar] [CrossRef] [PubMed]
- Azarisamani, A.; Petrisor, D.; Wright, J.; Ghali, G.E. Metastatic melanotic neuroectodermal tumor of infancy: Report of a case and review of the literature. J. Oral. Maxillofac. Surg. 2016, 74, 2431–2440. [Google Scholar] [CrossRef]
- Moreau, A.; Galmiche, L.; Minard-Colin, V.; Rachwalski, M.; Belhous, K.; Orbach, D.; Joly, A.; Picard, A.; Kadlub, N. Melanotic neuroec-todermal tumor of infancy (MNTI) of the head and neck: A French multicenter study. J. Craniomaxillofac. Surg. 2018, 46, 201–206. [Google Scholar] [CrossRef] [PubMed]
- Wada, K.; Matsushita, K.; Shimazaki, S.; Miwa, Y.; Hasuike, Y.; Susami, R. An evaluation of a new case analysis of a lateral cephalometric roentgenogram. J. Kanazawa Med. Univ. 1981, 6, 60–70. [Google Scholar]
- Kayukawa, W. The Morphological study of the Japanese maxillary protrusion with the “Wits” appraisal. Odontology 1988, 76, 925–940. [Google Scholar] [PubMed]
- Alhaija Abu, E.S.; Richardson, A. Long-term effect of the chincap on hard and soft tissues. Eur. J. Orthod. 1999, 21, 291–298. [Google Scholar] [CrossRef] [PubMed] [Green Version]
- De Clerck, H.J.; Proffit, W.R. Growth modification of the face: A current perspective with emphasis on Class III treatment. Am. J. Orthod. Dentofac. Orthop. 2015, 148, 37–46. [Google Scholar] [CrossRef] [PubMed]
- Under, O.; Yüksel, S.; Uçüncü, N. Long-term evaluation after chincap treatment. Eur. J. Orthod. 1995, 17, 135–141. [Google Scholar] [CrossRef]
- Janson, M.; Pithon, G.; Henriques, J.F.C.; Janson, G. Tratamento da mordida cruzada total: Abordagem em duas fases. R Clin. Ortodon Dental Press 2004, 3, 55–65. [Google Scholar]
- Jacobson, A. Psychology and early orthodontic treatment. Am. J. Orthod. 1979, 2, 511–529. [Google Scholar] [CrossRef]
- Lurie, H.I. Congenital melanocarcinoma, melanotic adamantinoma, retinal anlage tumor, progonoma, and pigmented epulis of infancy; summary and review of the literature and report of the first case in an adult. Cancer 1961, 14, 1090–1108. [Google Scholar] [CrossRef]
- Jain, P.; Garg, R.K.; Kapoor, A. Melanotic neuroectodermal tumor of infancy in oral cavity at unusual age. Fetal Pediatr. Pathol. 2010, 29, 344–352. [Google Scholar] [CrossRef] [PubMed]








| Variables | Japanese Norm | SD | Pretreatment (7 Years 4 Months) | Posttreatment (9 Years 11 Months) |
|---|---|---|---|---|
| Angles (°) | ||||
| ANB | 2.8 | 2.4 | −2.0 | 0.5 |
| SNA | 80.8 | 3.6 | 80.5 | 80.5 |
| SNB | 77.9 | 4.5 | 82.5 | 80.0 |
| Mand.pl.–SN pl. | 37.1 | 4.6 | 34.2 | 34.4 |
| U1-SN pl. | 105.9 | 8.8 | 97.0 | 118.0 |
| L1-Mand. pl. | 93.4 | 6.8 | 80.6 | 82.0 |
| Interincisal angle | 123.6 | 10.6 | 148.2 | 125.6 |
| Linear (mm) | ||||
| Wits value | −1.92 | 2.52 | −7.0 | −4.2 |
| Overjet | 3.1 | 1.1 | −2.0 | 3.5 |
| Overbite | 3.3 | 1.9 | 3.0 | 3.0 |
Publisher’s Note: MDPI stays neutral with regard to jurisdictional claims in published maps and institutional affiliations. |
© 2021 by the authors. Licensee MDPI, Basel, Switzerland. This article is an open access article distributed under the terms and conditions of the Creative Commons Attribution (CC BY) license (https://creativecommons.org/licenses/by/4.0/).
Share and Cite
Hichijo, N.; Noguchi, T.; Sasaguri, K.; Mori, Y. Orthodontic Treatment for a Child with Melanotic Neuroectodermal Tumor during Infancy: A Case Report. Appl. Sci. 2021, 11, 11541. https://doi.org/10.3390/app112311541
Hichijo N, Noguchi T, Sasaguri K, Mori Y. Orthodontic Treatment for a Child with Melanotic Neuroectodermal Tumor during Infancy: A Case Report. Applied Sciences. 2021; 11(23):11541. https://doi.org/10.3390/app112311541
Chicago/Turabian StyleHichijo, Natsuko, Tadahide Noguchi, Kenichi Sasaguri, and Yoshiyuki Mori. 2021. "Orthodontic Treatment for a Child with Melanotic Neuroectodermal Tumor during Infancy: A Case Report" Applied Sciences 11, no. 23: 11541. https://doi.org/10.3390/app112311541
APA StyleHichijo, N., Noguchi, T., Sasaguri, K., & Mori, Y. (2021). Orthodontic Treatment for a Child with Melanotic Neuroectodermal Tumor during Infancy: A Case Report. Applied Sciences, 11(23), 11541. https://doi.org/10.3390/app112311541
