Deep Learning for COVID-19 Diagnosis from CT Images
Abstract
:Featured Application
Abstract
1. Introduction
- 1.
- We present a comparative study of several off-the-shelf CNN architectures in order to select a suitable deep learning model to perform a three-class classification on the public COVIDx CT-2A dataset, specifically divided into COVID-19, pneumonia and healthy cases;
- 2.
- On the same dataset, we performed a patient-oriented experiment by grouping all the CT images of the patients, in which the aim was to provide a diagnosis;
- 3.
- We investigated the robustness of the methods by performing two cross-dataset experiments and evaluating the performance of CNNs previously trained on COVIDx CT-2A. In particular, we performed a two-class classification between COVID-19 and healthy cases, on the COVID-CT dataset, without fine-tuning;
- 4.
- We repeated the experiment just described, by fine-tuning the most promising CNNs, demonstrating that it is still problematic to integrate automatic methods in the clinical diagnosis of COVID-19.
- 1.
- Carefully selected the two datasets on which to conduct the experiments described. In fact, Roberts et al. [7] have recently shown that most of the datasets used in the literature for the diagnosis or prognosis of COVID-19 suffer from duplication and quality problems;
- 2.
- Selected COVIDx CT-2A, a public reference dataset specifically proposed for COVID-19 detection from CT imaging, because of the high risks of bias due to source problems and datasets created from unsupervised public online repositories. It has already been provided with train, validation, and testing splits.
Related Work
- 1.
- Using small scale datasets;
- 2.
- Using not robust or multiple unsupervised source datasets;
- 3.
- Testing the method without external validation.
- (i)
- We propose an extensive comparison between different off-the-shelf CNN architectures, in order to obtain the most suitable for the task, using a large and public dataset;
- (ii)
- We avoid the high risks of errors due to datasets created from unsupervised online public repositories, using two public reference datasets, to try to validate our approach;
- (iii)
- We introduce a preliminary solution based on learning by sampling, showing how CNNs need further improvements to generalise the detection of COVID-19 in heterogeneous datasets.
2. Materials and Methods
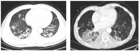
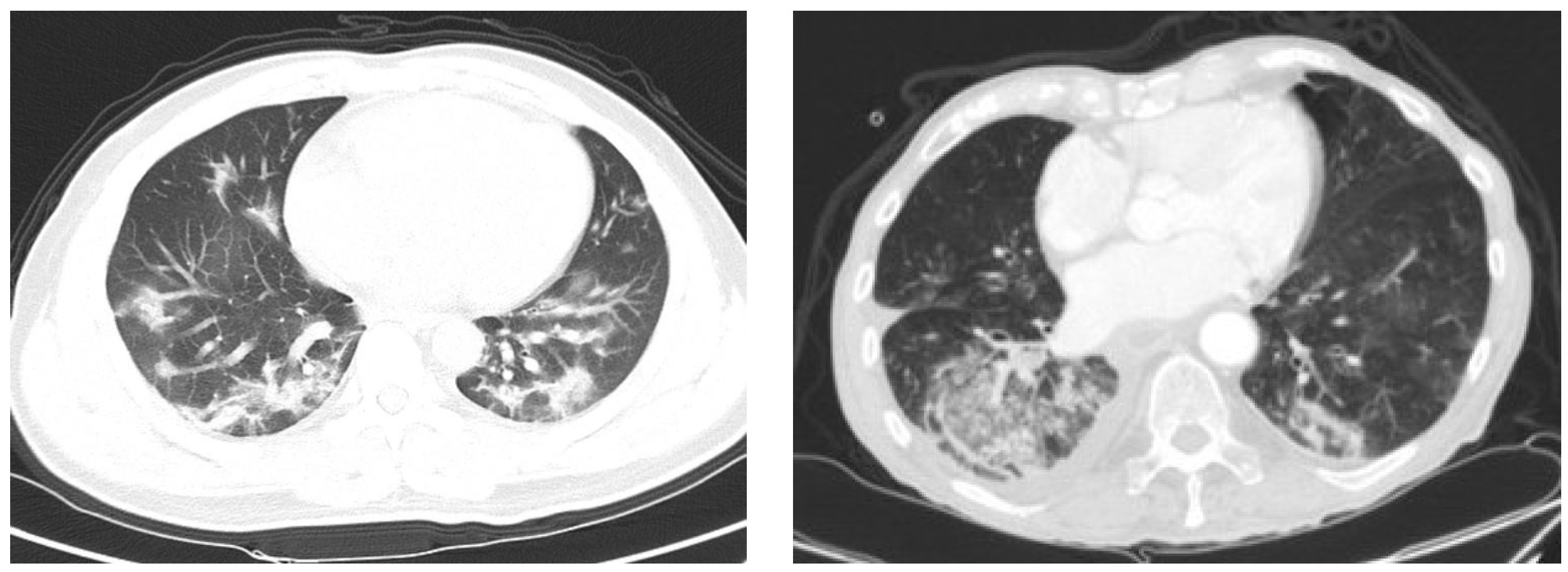
2.1. Datasets
2.1.1. COVIDx CT-2A
- 1.
- China National Center for Bioinformation (CNCB) [49] (China);
- 2.
- National Institutes of Health Intramural Targeted Anti-COVID-19 (ITAC) Program (hosted by TCIA [69], countries unknown);
- 3.
- Negin Radiology Medical Center [70] (Iran);
- 4.
- Union Hospital and Liyuan Hospital of the Huazhong University of Science and Technology [71] (China);
- 5.
- COVID-19 CT Lung and Infection Segmentation initiative annotated and verified by Nanjing Drum Tower Hospital [72] (Iran, Italy, Turkey, Ukraine, Belgium, some countries unknown);
- 6.
- Lung Image Database Consortium (LIDC) and Image Database Resource Initiative (IDRI) [73] (countries unknown);
- 7.
- Radiopaedia collection [74] (Iran, Italy, Australia, Afghanistan, Scotland, Lebanon, England, Algeria, Peru, Azerbaijan, some countries unknown).
2.1.2. COVID-CT Dataset
2.2. Metrics
3. Results
3.1. Experimental Setup
- (i)
- From scratch;
- (ii)
- Fine-tuning the previously trained networks.
3.2. CT Image Classification via Deep Learning
- 1.
- A three-class classification as reported in Section 3.2.1;
- 2.
- A patient-oriented classification, described in Section 3.2.2.
- 1.
- A two-class classification using the four best-performing networks from the previous experiments on the entire dataset;
- 2.
- A two-class classification using the same four networks, fine-tuning them on this dataset.
3.2.1. Three-Class Classification on COVIDx CT-2A
3.2.2. Patient-Oriented Classification on COVIDx CT-2A
3.2.3. Two-Class Classification on COVID-CT
4. Discussion
4.1. On the Three-Class Classification on COVIDx CT-2A
4.1.1. On the Patient-Oriented Classification on COVIDx CT-2A
4.1.2. On the Two-Class Classification on COVID-CT
4.1.3. Comparison with the State-of-the-Art
4.1.4. Limitations of This Work
5. Conclusions
- (i)
- In addition to fine-tuning, some preprocessing steps oriented to the enhancement of CT images could be helpful for the networks to produce more discriminative features; and
- (ii)
- Considering the results of the patient-oriented experiments, a hybrid approach, even involving ad hoc handcrafted features, could improve the results.
- 1.
- Modify VGG19 to investigate the best accuracy density (accuracy divided by the number of parameters) and the best inference time;
- 2.
- Optimise the hyperparameters, for example with Bayesian method;
- 3.
- Use class activation map (CAM) to understand which parts of the image are relevant in the misclassification cases obtained by VGG19 but not from the other networks;
- 4.
- Test our system in the clinical routine and communicate with doctors to understand how such a system can be integrated into the clinical routine.
Author Contributions
Funding
Institutional Review Board Statement
Informed Consent Statement
Data Availability Statement
Conflicts of Interest
Abbreviations
| Acc | Accuracy |
| Pre | Precision |
| Spe | Specificity |
| Rec | Recall |
| F1 | F1-score |
| MAvG | Macro geometric average |
| MAvA | Macro arithmetic mean |
| CT | Computed tomography |
| CNN | Convolutional neural network |
References
- University of Oxford. Coronavirus Pandemic (COVID-19)—The Data. 2021. Available online: https://ourworldindata.org/coronavirus-data (accessed on 30 June 2021).
- Wang, W.; Xu, Y.; Gao, R.; Lu, R.; Han, K.; Wu, G.; Tan, W. Detection of SARS-CoV-2 in different types of clinical specimens. JAMA 2020, 323, 1843–1844. [Google Scholar] [CrossRef] [Green Version]
- Huang, E.P.C.; Sung, C.W.; Chen, C.H.; Fan, C.Y.; Lai, P.C.; Huang, Y.T. Can computed tomography be a primary tool for COVID-19 detection? Evidence appraisal through meta-analysis. Critical Care 2020, 24, 193. [Google Scholar] [CrossRef] [PubMed]
- Long, C.; Xu, H.; Shen, Q.; Zhang, X.; Fan, B.; Wang, C.; Zeng, B.; Li, Z.; Li, X.; Li, H. Diagnosis of the Coronavirus disease (COVID-19): rRT-PCR or CT? Eur. J. Radiol. 2020, 126, 108961. [Google Scholar] [CrossRef] [PubMed]
- Fang, Y.; Zhang, H.; Xie, J.; Lin, M.; Ying, L.; Pang, P.; Ji, W. Sensitivity of chest CT for COVID-19: Comparison to RT-PCR. Radiology 2020, 296, E115–E117. [Google Scholar] [CrossRef] [PubMed]
- Ai, T.; Yang, Z.; Hou, H.; Zhan, C.; Chen, C.; Lv, W.; Tao, Q.; Sun, Z.; Xia, L. Correlation of chest CT and RT-PCR testing for coronavirus disease 2019 (COVID-19) in China: A report of 1014 cases. Radiology 2020, 296, E32–E40. [Google Scholar] [CrossRef] [PubMed] [Green Version]
- Roberts, M.; Driggs, D.; Thorpe, M.; Gilbey, J.; Yeung, M.; Ursprung, S.; Aviles-Rivero, A.I.; Etmann, C.; McCague, C.; Beer, L.; et al. Common pitfalls and recommendations for using machine learning to detect and prognosticate for COVID-19 using chest radiographs and CT scans. Nat. Mach. Intell. 2021, 3, 199–217. [Google Scholar] [CrossRef]
- Wilson, G.T.; Gopalakrishnan, P.; Tak, T. Noninvasive cardiac imaging with computed tomography. Clin. Med. Res. 2007, 5, 165–171. [Google Scholar] [CrossRef] [Green Version]
- Furqan Qadri, S.; Ai, D.; Hu, G.; Ahmad, M.; Huang, Y.; Wang, Y.; Yang, J. Automatic deep feature learning via patch-based deep belief network for vertebrae segmentation in CT images. Appl. Sci. 2019, 9, 69. [Google Scholar] [CrossRef] [Green Version]
- Ahmad, M.; Ai, D.; Xie, G.; Qadri, S.F.; Song, H.; Huang, Y.; Wang, Y.; Yang, J. Deep belief network modeling for automatic liver segmentation. IEEE Access 2019, 7, 20585–20595. [Google Scholar] [CrossRef]
- Zhang, B.; Qi, S.; Monkam, P.; Li, C.; Yang, F.; Yao, Y.D.; Qian, W. Ensemble learners of multiple deep CNNs for pulmonary nodules classification using CT images. IEEE Access 2019, 7, 110358–110371. [Google Scholar] [CrossRef]
- Tu, X.; Xie, M.; Gao, J.; Ma, Z.; Chen, D.; Wang, Q.; Finlayson, S.G.; Ou, Y.; Cheng, J.Z. Automatic categorization and scoring of solid, part-solid and non-solid pulmonary nodules in CT images with convolutional neural network. Sci. Rep. 2017, 7, 8533. [Google Scholar] [CrossRef] [Green Version]
- Liu, M.; Dong, J.; Dong, X.; Yu, H.; Qi, L. Segmentation of lung nodule in CT images based on mask R-CNN. In Proceedings of the 2018 9th International Conference on Awareness Science and Technology (iCAST), Fukuoka, Japan, 19–21 September 2018; pp. 1–6. [Google Scholar]
- Roth, H.R.; Lu, L.; Seff, A.; Cherry, K.M.; Hoffman, J.; Wang, S.; Liu, J.; Turkbey, E.; Summers, R.M. A New 2.5D Representation for Lymph Node Detection Using Random Sets of Deep Convolutional Neural Network Observations. In Proceedings of the Medical Image Computing and Computer-Assisted Intervention–MICCAI 2014, 17th International Conference, Boston, MA, USA, 14–18 September 2014; Golland, P., Hata, N., Barillot, C., Hornegger, J., Howe, R., Eds.; Springer International Publishing: Basel, Switzerland, 2014; pp. 520–527. [Google Scholar]
- Ma, L.; Liu, X.; Gao, Y.; Zhao, Y.; Zhao, X.; Zhou, C. A new method of content based medical image retrieval and its applications to CT imaging sign retrieval. J. Biomed. Inform. 2017, 66, 148–158. [Google Scholar] [CrossRef] [PubMed]
- Sivaranjini, S.; Sujatha, C. Deep learning based diagnosis of Parkinson’s disease using convolutional neural network. Multimed. Tools Appl. 2020, 79, 15467–15479. [Google Scholar] [CrossRef]
- Isaac, A.; Nehemiah, H.K.; Isaac, A.; Kannan, A. Computer-Aided Diagnosis system for diagnosis of pulmonary emphysema using bio-inspired algorithms. Comput. Biol. Med. 2020, 124, 103940. [Google Scholar] [CrossRef]
- Oulefki, A.; Agaian, S.; Trongtirakul, T.; Laouar, A.K. Automatic COVID-19 lung infected region segmentation and measurement using CT-scans images. Pattern Recognit. 2021, 114, 107747. [Google Scholar] [CrossRef]
- Thompson, D.; Lei, Y. Mini review: Recent progress in RT-LAMP enabled COVID-19 detection. Sens. Actuators Rep. 2020, 2, 100017. [Google Scholar] [CrossRef]
- Thi, V.L.D.; Herbst, K.; Boerner, K.; Meurer, M.; Kremer, L.P.; Kirrmaier, D.; Freistaedter, A.; Papagiannidis, D.; Galmozzi, C.; Stanifer, M.L.; et al. A colorimetric RT-LAMP assay and LAMP-sequencing for detecting SARS-CoV-2 RNA in clinical samples. Sci. Transl. Med. 2020, 12, eabc7075. [Google Scholar]
- Shatri, J.; Tafilaj, L.; Turkaj, A.; Dedushi, K.; Shatri, M.; Bexheti, S.; Mucaj, S.K. The role of chest computed tomography in asymptomatic patients of positive coronavirus disease 2019: A case and literature review. J. Clin. Imaging Sci. 2020, 10, 35. [Google Scholar] [CrossRef]
- Guan, W.j.; Ni, Z.y.; Hu, Y.; Liang, W.h.; Ou, C.q.; He, J.x.; Liu, L.; Shan, H.; Lei, C.l.; Hui, D.S.; et al. Clinical characteristics of coronavirus disease 2019 in China. N. Engl. J. Med. 2020, 382, 1708–1720. [Google Scholar] [CrossRef]
- Bai, H.X.; Hsieh, B.; Xiong, Z.; Halsey, K.; Choi, J.W.; Tran, T.M.L.; Pan, I.; Shi, L.B.; Wang, D.C.; Mei, J.; et al. Performance of radiologists in differentiating COVID-19 from non-COVID-19 viral pneumonia at chest CT. Radiology 2020, 296, E46–E54. [Google Scholar] [CrossRef]
- Mei, X.; Lee, H.C.; Diao, K.y.; Huang, M.; Lin, B.; Liu, C.; Xie, Z.; Ma, Y.; Robson, P.M.; Chung, M.; et al. Artificial intelligence—Enabled rapid diagnosis of patients with COVID-19. Nat. Med. 2020, 26, 1224–1228. [Google Scholar] [CrossRef]
- Huang, Z.; Zhao, S.; Li, Z.; Chen, W.; Zhao, L.; Deng, L.; Song, B. The battle against coronavirus disease 2019 (COVID-19): Emergency management and infection control in a radiology department. J. Am. Coll. Radiol. 2020, 17, 710–716. [Google Scholar] [CrossRef]
- Krizhevsky, A.; Sutskever, I.; Hinton, G.E. ImageNet classification with deep convolutional neural networks. Commun. ACM 2012, 60, 84–90. [Google Scholar] [CrossRef]
- Lundervold, A.S.; Lundervold, A. An overview of deep learning in medical imaging focusing on MRI. Z. FüR Med. Phys. 2019, 29, 102–127. [Google Scholar] [CrossRef]
- Di Ruberto, C.; Loddo, A.; Puglisi, G. Blob detection and deep learning for leukemic blood image analysis. Appl. Sci. 2020, 10, 1176. [Google Scholar] [CrossRef]
- Hu, K.; Huang, Y.; Huang, W.; Tan, H.; Chen, Z.; Zhong, Z.; Li, X.; Zhang, Y.; Gao, X. Deep supervised learning using self-adaptive auxiliary loss for COVID-19 diagnosis from imbalanced CT images. Neurocomputing 2021, 458, 232–245. [Google Scholar] [CrossRef]
- van Sloun, R.J.G.; Cohen, R.; Eldar, Y.C. Deep Learning in Ultrasound Imaging. Proc. IEEE 2020, 108, 11–29. [Google Scholar] [CrossRef] [Green Version]
- Çallı, E.; Sogancioglu, E.; van Ginneken, B.; van Leeuwen, K.G.; Murphy, K. Deep learning for chest X-ray analysis: A survey. Med. Image Anal. 2021, 72, 102125. [Google Scholar] [CrossRef]
- Shen, L.; Margolies, L.R.; Rothstein, J.H.; Fluder, E.; McBride, R.; Sieh, W. Deep learning to improve breast cancer detection on screening mammography. Sci. Rep. 2019, 9, 12495. [Google Scholar] [CrossRef]
- Liu, M.; Zhang, J.; Adeli, E.; Shen, D. Landmark-based deep multi-instance learning for brain disease diagnosis. Med. Image Anal. 2018, 43, 157–168. [Google Scholar] [CrossRef] [PubMed]
- Dadar, M.; Pascoal, T.A.; Manitsirikul, S.; Misquitta, K.; Fonov, V.S.; Tartaglia, M.C.; Breitner, J.; Rosa-Neto, P.; Carmichael, O.T.; Decarli, C.; et al. Validation of a regression technique for segmentation of white matter hyperintensities in Alzheimer’s disease. IEEE Trans. Med. Imaging 2017, 36, 1758–1768. [Google Scholar] [CrossRef]
- Padilla, P.; Lopez, M.; Gorriz, J.M.; Ramirez, J.; Salas-Gonzalez, D.; Alvarez, I. NMF-SVM Based CAD Tool Applied to Functional Brain Images for the Diagnosis of Alzheimer’s Disease. IEEE Trans. Med. Imaging 2012, 31, 207–216. [Google Scholar] [CrossRef] [PubMed]
- Zhong, A.; Li, X.; Wu, D.; Ren, H.; Kim, K.; Kim, Y.; Buch, V.; Neumark, N.; Bizzo, B.; Tak, W.Y.; et al. Deep metric learning-based image retrieval system for chest radiograph and its clinical applications in COVID-19. Med. Image Anal. 2021, 70, 101993. [Google Scholar] [CrossRef]
- Guan, Q.; Huang, Y.; Zhong, Z.; Zheng, Z.; Zheng, L.; Yang, Y. Thorax disease classification with attention guided convolutional neural network. Pattern Recognit. Lett. 2020, 131, 38–45. [Google Scholar] [CrossRef]
- Wang, H.; Jia, H.; Lu, L.; Xia, Y. Thorax-net: An attention regularized deep neural network for classification of thoracic diseases on chest radiography. IEEE J. Biomed. Health Inform. 2019, 24, 475–485. [Google Scholar] [CrossRef]
- Liu, X.; Wang, K.; Wang, K.; Chen, T.; Zhang, K.; Wang, G. KISEG: A Three-Stage Segmentation Framework for Multi-level Acceleration of Chest CT Scans from COVID-19 Patients. In Proceedings of the International Conference on Medical Image Computing and Computer-Assisted Intervention; Springer: Berlin, Germany, 2020; pp. 25–34. [Google Scholar]
- Parekh, M.; Donuru, A.; Balasubramanya, R.; Kapur, S. Review of the chest CT differential diagnosis of ground-glass opacities in the COVID era. Radiology 2020, 297, E289–E302. [Google Scholar] [CrossRef] [PubMed]
- Zhao, J.; Zhang, Y.; He, X.; Xie, P. COVID-CT-Dataset: A CT scan dataset about COVID-19. arXiv 2020, arXiv:2003.13865. [Google Scholar]
- Chiroma, H.; Ezugwu, A.E.; Jauro, F.; Al-garadi, M.A.; Abdullahi, I.N.; Shuib, L. Early survey with bibliometric analysis on machine learning approaches in controlling COVID-19 outbreaks. PeerJ Comput. Sci. 2020, 6, e313. [Google Scholar] [CrossRef]
- Signoroni, A.; Savardi, M.; Benini, S.; Adami, N.; Leonardi, R.; Gibellini, P.; Vaccher, F.; Ravanelli, M.; Borghesi, A.; Maroldi, R.; et al. BS-Net: Learning COVID-19 pneumonia severity on a large chest X-ray dataset. Med. Image Anal. 2021, 71, 102046. [Google Scholar] [CrossRef]
- Born, J.; Beymer, D.; Rajan, D.; Coy, A.; Mukherjee, V.V.; Manica, M.; Prasanna, P.; Ballah, D.; Guindy, M.; Shaham, D.; et al. On the role of artificial intelligence in medical imaging of COVID-19. Patterns 2021, 2, 100269. [Google Scholar] [CrossRef]
- Dong, D.; Tang, Z.; Wang, S.; Hui, H.; Gong, L.; Lu, Y.; Xue, Z.; Liao, H.; Chen, F.; Yang, F.; et al. The Role of Imaging in the Detection and Management of COVID-19: A Review. IEEE Rev. Biomed. Eng. 2021, 14, 16–29. [Google Scholar] [CrossRef]
- Ouyang, X.; Huo, J.; Xia, L.; Shan, F.; Liu, J.; Mo, Z.; Yan, F.; Ding, Z.; Yang, Q.; Song, B.; et al. Dual-sampling attention network for diagnosis of COVID-19 from community acquired pneumonia. IEEE Trans. Med. Imaging 2020, 39, 2595–2605. [Google Scholar] [CrossRef]
- Wang, X.; Deng, X.; Fu, Q.; Zhou, Q.; Feng, J.; Ma, H.; Liu, W.; Zheng, C. A weakly-supervised framework for COVID-19 classification and lesion localization from chest CT. IEEE Trans. Med. Imaging 2020, 39, 2615–2625. [Google Scholar] [CrossRef]
- Jin, C.; Chen, W.; Cao, Y.; Xu, Z.; Tan, Z.; Zhang, X.; Deng, L.; Zheng, C.; Zhou, J.; Shi, H.; et al. Development and evaluation of an artificial intelligence system for COVID-19 diagnosis. Nat. Commun. 2020, 11, 5088. [Google Scholar] [CrossRef] [PubMed]
- Zhang, K.; Liu, X.; Shen, J.; Li, Z.; Sang, Y.; Wu, X.; Zha, Y.; Liang, W.; Wang, C.; Wang, K.; et al. Clinically applicable AI system for accurate diagnosis, quantitative measurements, and prognosis of COVID-19 pneumonia using computed tomography. Cell 2020, 181, 1423–1433. [Google Scholar] [CrossRef] [PubMed]
- Minaee, S.; Kafieh, R.; Sonka, M.; Yazdani, S.; Soufi, G.J. Deep-covid: Predicting covid-19 from chest x-ray images using deep transfer learning. Med. Image Anal. 2020, 65, 101794. [Google Scholar] [CrossRef] [PubMed]
- Hu, S.; Gao, Y.; Niu, Z.; Jiang, Y.; Li, L.; Xiao, X.; Wang, M.; Fang, E.F.; Menpes-Smith, W.; Xia, J.; et al. Weakly supervised deep learning for covid-19 infection detection and classification from ct images. IEEE Access 2020, 8, 118869–118883. [Google Scholar] [CrossRef]
- Polsinelli, M.; Cinque, L.; Placidi, G. A light CNN for detecting COVID-19 from CT scans of the chest. Pattern Recognit. Lett. 2020, 140, 95–100. [Google Scholar] [CrossRef]
- Biswas, S.; Chatterjee, S.; Majee, A.; Sen, S.; Schwenker, F.; Sarkar, R. Prediction of COVID-19 from Chest CT Images Using an Ensemble of Deep Learning Models. Appl. Sci. 2021, 11, 7004. [Google Scholar] [CrossRef]
- Gunraj, H.; Sabri, A.; Koff, D.; Wong, A. COVID-Net CT-2: Enhanced Deep Neural Networks for Detection of COVID-19 from Chest CT Images Through Bigger, More Diverse Learning. arXiv 2021, arXiv:eess.IV/2101.07433. [Google Scholar]
- Zhao, W.; Jiang, W.; Qiu, X. Deep learning for COVID-19 detection based on CT images. Sci. Rep. 2021, 11, 14353. [Google Scholar] [CrossRef] [PubMed]
- Oyelade, O.N.; Ezugwu, A.E.; Chiroma, H. CovFrameNet: An Enhanced Deep Learning Framework for COVID-19 Detection. IEEE Access 2021, 9, 77905–77919. [Google Scholar] [CrossRef]
- Simonyan, K.; Zisserman, A. Very Deep Convolutional Networks for Large-Scale Image Recognition. In Proceedings of the 3rd International Conference on Learning Representations, ICLR 2015, San Diego, CA, USA, 7–9 May 2015. [Google Scholar]
- Iandola, F.N.; Moskewicz, M.W.; Ashraf, K.; Han, S.; Dally, W.J.; Keutzer, K. SqueezeNet: AlexNet-level accuracy with 50× fewer parameters and <1 MB model size. arXiv 2016, arXiv:1602.07360. [Google Scholar]
- He, K.; Zhang, X.; Ren, S.; Sun, J. Deep Residual Learning for Image Recognition. In Proceedings of the 2016 IEEE Conference on Computer Vision and Pattern Recognition, CVPR 2016, Las Vegas, NV, USA, 27–30 June 2016; IEEE Computer Society: Washington, DC, USA, 2016; pp. 770–778. [Google Scholar] [CrossRef] [Green Version]
- Chollet, F. Xception: Deep learning with depthwise separable convolutions. In Proceedings of the 2017 IEEE Conference on Computer Vision and Pattern Recognition (CVPR), Honolulu, HI, USA, 21–26 July 2017; pp. 1800–1807. [Google Scholar]
- Krizhevsky, A. Learning Multiple Layers of Features from Tiny Images; Technical Report; University of Toronto: Toronto, ON, Canada, 2009. [Google Scholar]
- Jia, D.; Wei, D.; Socher, R.; Li, J.-L.; Kai, L.; Li, F.-F. Imagenet: A large-scale hierarchical image database. In Proceedings of the 2009 IEEE Conference on Computer Vision and Pattern Recognition, Miami, FL, USA, 20–25 June 2009; pp. 248–255. [Google Scholar]
- Russakovsky, O.; Deng, J.; Su, H.; Krause, J.; Satheesh, S.; Ma, S.; Huang, Z.; Karpathy, A.; Khosla, A.; Bernstein, M.; et al. Imagenet large scale visual recognition challenge. Int. J. Comput. Vis. 2015, 115, 211–252. [Google Scholar] [CrossRef] [Green Version]
- Huang, G.; Liu, Z.; Van Der Maaten, L.; Weinberger, K.Q. Densely connected convolutional networks. In Proceedings of the 2017 IEEE Conference on Computer Vision and Pattern Recognition (CVPR), Honolulu, HI, USA, 1–26 July 2017; pp. 4700–4708. [Google Scholar]
- Cohen, J.P.; Morrison, P.; Dao, L. COVID-19 Image Data Collection. arXiv 2020, arXiv:eess.IV/2003.11597. [Google Scholar]
- Sajid, N. COVID-19 Patients Lungs X-ray Images 10000. 2021. Available online: https://www.kaggle.com/nabeelsajid917/covid-19-x-ray-10000-images (accessed on 28 August 2021).
- MedSeg. COVID-19 CT Segmentation Dataset. 2021. Available online: http://medicalsegmentation.com/covid19/ (accessed on 28 August 2021).
- Gunraj, H. COVID-Net Open Source Initiative-COVIDx CT-2 Dataset. 2020. Available online: https://www.kaggle.com/hgunraj/covidxct (accessed on 30 June 2021).
- Harmon, S.A.; Sanford, T.H.; Xu, S.; Turkbey, E.B.; Roth, H.; Xu, Z.; Yang, D.; Myronenko, A.; Anderson, V.; Amalou, A.; et al. Artificial intelligence for the detection of COVID-19 pneumonia on chest CT using multinational datasets. Nat. Commun. 2020, 11, 4080. [Google Scholar] [CrossRef] [PubMed]
- Rahimzadeh, M.; Attar, A.; Sakhaei, S.M. A fully automated deep learning-based network for detecting covid-19 from a new and large lung ct scan dataset. Biomed. Signal Process. Control 2021, 68, 102588. [Google Scholar] [CrossRef]
- Ning, W.; Lei, S.; Yang, J.; Cao, Y.; Jiang, P.; Yang, Q.; Zhang, J.; Wang, X.; Chen, F.; Geng, Z.; et al. Open resource of clinical data from patients with pneumonia for the prediction of COVID-19 outcomes via deep learning. Nat. Biomed. Eng. 2020, 4, 1197–1207. [Google Scholar] [CrossRef]
- Ma, J.; Wang, Y.; An, X.; Ge, C.; Yu, Z.; Chen, J.; Zhu, Q.; Dong, G.; He, J.; He, Z.; et al. Towards efficient covid-19 ct annotation: A benchmark for lung and infection segmentation. arXiv 2020, arXiv:2004.12537v2. [Google Scholar]
- Armato III, S.G.; McLennan, G.; Bidaut, L.; McNitt-Gray, M.F.; Meyer, C.R.; Reeves, A.P.; Zhao, B.; Aberle, D.R.; Henschke, C.I.; Hoffman, E.A.; et al. The lung image database consortium (LIDC) and image database resource initiative (IDRI): A completed reference database of lung nodules on CT scans. Med. Phys. 2011, 38, 915–931. [Google Scholar] [CrossRef] [PubMed]
- Bell, D.J. COVID-19. 2021. Available online: https://radiopaedia.org/articles/covid-19-4 (accessed on 9 August 2021).
- Alejo, R.; Antonio, J.A.; Valdovinos, R.M.; Pacheco-Sanchez, J.H. Assessments Metrics for Multi-class Imbalance Learning: A Preliminary Study. In Proceedings of the Pattern Recognition-5th Mexican Conference, MCPR 2013, Querétaro, Mexico, 26–29 June 2013; Springer: Berlin, Germany, 2013; Volume 7914, pp. 335–343. [Google Scholar] [CrossRef] [Green Version]
- Szegedy, C.; Liu, W.; Jia, Y.; Sermanet, P.; Reed, S.E.; Anguelov, D.; Erhan, D.; Vanhoucke, V.; Rabinovich, A. Going deeper with convolutions. In Proceedings of the IEEE Conference on Computer Vision and Pattern Recognition, CVPR 2015, Boston, MA, USA, 7–12 June 2015; pp. 1–9. [Google Scholar]
- Zhang, X.; Zhou, X.; Lin, M.; Sun, J. ShuffleNet: An Extremely Efficient Convolutional Neural Network for Mobile Devices. In Proceedings of the 2018 IEEE Conference on Computer Vision and Pattern Recognition, CVPR 2018, Salt Lake City, UT, USA, 18–22 June 2018; pp. 6848–6856. [Google Scholar] [CrossRef] [Green Version]
- Sandler, M.; Howard, A.G.; Zhu, M.; Zhmoginov, A.; Chen, L. MobileNetV2: Inverted Residuals and Linear Bottlenecks. In Proceedings of the 2018 IEEE Conference on Computer Vision and Pattern Recognition, CVPR 2018, Salt Lake City, UT, USA, 18–22 June 2018; pp. 4510–4520. [Google Scholar] [CrossRef] [Green Version]
- Szegedy, C.; Vanhoucke, V.; Ioffe, S.; Shlens, J.; Wojna, Z. Rethinking the Inception Architecture for Computer Vision. In Proceedings of the 2016 IEEE Conference on Computer Vision and Pattern Recognition, CVPR 2016, Las Vegas, NV, USA, 27–30 June 2016; pp. 2818–2826. [Google Scholar]
- Jarrett, K.; Kavukcuoglu, K.; Ranzato, M.; LeCun, Y. What is the best multi-stage architecture for object recognition? In Proceedings of the IEEE 12th International Conference on Computer Vision, ICCV 2009, Kyoto, Japan, 27 September–4 October 2009; pp. 2146–2153. [Google Scholar] [CrossRef] [Green Version]
- Richard, A.; Gall, J. A BoW-equivalent Recurrent Neural Network for Action Recognition. In Proceedings of the British Machine Vision Conference 2015, BMVC 2015, Swansea, UK, 7–10 September 2015; pp. 57.1–57.3. [Google Scholar] [CrossRef]
- Zhang, J.; Xia, Y.; Xie, Y.; Fulham, M.J.; Feng, D.D. Classification of Medical Images in the Biomedical Literature by Jointly Using Deep and Handcrafted Visual Features. IEEE J. Biomed. Health Inform. 2018, 22, 1521–1530. [Google Scholar] [CrossRef]




| Params | Value |
|---|---|
| Solver | Adam |
| Max Epochs | 20 |
| Mini Batch Size | 8 |
| Initial Learn Rate | 1 × 10 −4 |
| Learn Rate Drop Period | 10 |
| Learn Rate Drop Factor | 0.1 |
| L2 Regularisation | 0.1 |
| Validation Frequency | 8000 |
| Net | Pre | Rec | Spe | Acc | F1 | MAvA | MAvG |
|---|---|---|---|---|---|---|---|
| AlexNet | 91.88% | 92.50% | 96.64% | 95.38% | 92.17% | 91.75% | 91.88% |
| GoogLeNet | 89.46% | 88.96% | 95.13% | 93.59% | 89.08% | 89.46% | 89.39% |
| InceptionV3 | 95.48% | 94.34% | 97.54% | 96.97% | 94.84% | 95.48% | 95.48% |
| VGG16 | 96.65% | 96.57% | 98.44% | 97.93% | 96.58% | 96.65% | 96.63% |
| VGG19 | 97.85% | 97.87% | 99.08% | 98.87% | 97.86% | 97.85% | 97.84% |
| ShuffleNet | 95.36% | 94.92% | 97.94% | 97.28% | 95.13% | 95.36% | 95.34% |
| MobileNetV2 | 94.24% | 93.05% | 97.31% | 96.38% | 93.38% | 94.24% | 94.14% |
| ResNet18 | 96.41% | 96.67% | 98.22% | 97.71% | 95.98% | 96.41% | 96.40% |
| ResNet50 | 92.19% | 89.53% | 95.61% | 94.62% | 90.45% | 92.19% | 92.16% |
| ResNet101 | 94.99% | 93.06% | 97.16% | 96.53% | 93.08% | 94.99% | 94.97% |
| Net | COVID-19 | Normal | Pneumonia | AVG |
|---|---|---|---|---|
| AlexNet | 88.89% | 96.83% | 94.40% | 93.97% |
| GoogLeNet | 73.10% | 92.06% | 94.90% | 86.52% |
| Inception V3 | 83.63% | 98.41% | 98.40% | 93.48% |
| VGG16 | 90.64% | 97.62% | 100.00% | 96.09% |
| VGG19 | 95.91% | 98.41% | 97.60% | 97.31% |
| ShuffleNet | 85.96% | 98.41% | 96.00% | 93.46% |
| MobileNet V2 | 77.78% | 98.41% | 100.00% | 92.06% |
| ResNet18 | 82.46% | 98.41% | 98.40% | 93.09% |
| ResNet50 | 66.08% | 99.21% | 96.00% | 87.10% |
| ResNet101 | 71.93% | 99.21% | 99.20% | 90.11% |
| Net | Pre | Rec | Spe | Acc | F1 |
|---|---|---|---|---|---|
| VGG19 | 52.23% | 52.13% | 52.13% | 52.82% | 51.88% |
| VGG16 | 45.28% | 45.94% | 45.94% | 47.18% | 44.43% |
| ResNet18 | 49.70% | 49.81% | 49.81% | 51.74% | 45.75% |
| MobileNetV2 | 49.11% | 49.33% | 49.33% | 50.94% | 46.72% |
| Net | Pre | Rec | Spe | Acc | F1 |
|---|---|---|---|---|---|
| VGG19 | 70.19% | 68.70% | 68.70% | 69.15% | 68.40% |
| VGG16 | 61.19% | 60.94% | 60.94% | 61.19% | 60.84% |
| ResNet18 | 70.16% | 70.01% | 70.01% | 70.15% | 70.02% |
| MobileNetV2 | 67.13% | 67.05% | 67.05% | 67.16% | 67.07% |
Publisher’s Note: MDPI stays neutral with regard to jurisdictional claims in published maps and institutional affiliations. |
© 2021 by the authors. Licensee MDPI, Basel, Switzerland. This article is an open access article distributed under the terms and conditions of the Creative Commons Attribution (CC BY) license (https://creativecommons.org/licenses/by/4.0/).
Share and Cite
Loddo, A.; Pili, F.; Di Ruberto, C. Deep Learning for COVID-19 Diagnosis from CT Images. Appl. Sci. 2021, 11, 8227. https://doi.org/10.3390/app11178227
Loddo A, Pili F, Di Ruberto C. Deep Learning for COVID-19 Diagnosis from CT Images. Applied Sciences. 2021; 11(17):8227. https://doi.org/10.3390/app11178227
Chicago/Turabian StyleLoddo, Andrea, Fabio Pili, and Cecilia Di Ruberto. 2021. "Deep Learning for COVID-19 Diagnosis from CT Images" Applied Sciences 11, no. 17: 8227. https://doi.org/10.3390/app11178227
APA StyleLoddo, A., Pili, F., & Di Ruberto, C. (2021). Deep Learning for COVID-19 Diagnosis from CT Images. Applied Sciences, 11(17), 8227. https://doi.org/10.3390/app11178227

