Agastache rugosa Extract and Its Bioactive Compound Tilianin Suppress Adipogenesis and Lipogenesis on 3T3-L1 Cells
Abstract
:1. Introduction
2. Materials and Methods
2.1. Sample Preparation and Reagents
2.2. HPLC Analysis
2.3. Measurement of Total Polyphenol Levels
2.4. Cell Culture and Adipogenic Differentiation
2.5. Cell Viability Assay
2.6. Oil-Red-O Staining
2.7. RNA Extraction and Qualitative Real-Time PCR (qRT-PCR) Analysis
2.8. Western Blotting
2.9. Statistical Analysis
3. Results
3.1. Tilianin, Acacetin and Total Polyphenol Content in ARE
3.2. Effect of Tilianin and ARE on 3T3-L1 Preadipocyte Viability
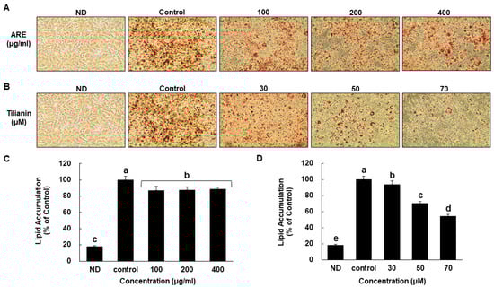
3.3. Inhibitory Effect of Tilianin and ARE on Intracellular Lipid Accumulation in Adipocytes
3.4. Anti-Adipogenic Effect of ARE and Tilianin on the mRNA and Protein Expression Level
3.5. Anti-Lipogenic Effect of ARE and Tilianin on mRNA and Protein Expression Level
3.6. Lipolytic Effect of Tilianin on mRNA Expression Level of 3T3-L1 Cells
4. Discussion
Author Contributions
Funding
Acknowledgments
Conflicts of Interest
References
- Pradhan, A. Obesity, Metabolic Syndrome, and type 2 Diabetes: Inflammatory Basis of Glucose Metabolic Disorders. Nutr. Rev. 2007, 65, S152–S156. [Google Scholar] [CrossRef] [PubMed]
- Beydoun, M.A.; Beydoun, H.A.; Wang, Y. Obesity and Central Obesity as Risk Factors for Incident Dementia and Its Subtypes: A Systematic Review and Meta-Analysis. Obes. Rev. 2008, 9, 204–218. [Google Scholar] [CrossRef]
- Yanovski, S.Z.; Yanovski, J.A. Long-Term Drug Treatment for Obesity: A Systematic and Clinical Review. JAMA 2014, 311, 74–86. [Google Scholar] [CrossRef] [PubMed]
- Evans, R.M.; Barish, G.D.; Wang, Y.X. PPARs and the Complex Journey to Obesity. Nat. Med. 2004, 10, 355–361. [Google Scholar] [CrossRef] [PubMed]
- Brown, M.S.; Goldstein, J.L. The SREBP Pathway: Regulation of Cholesterol Metabolism by Proteolysis of a Membrane-Bound Transcription Factor. Cell 1997, 89, 331–340. [Google Scholar] [CrossRef] [Green Version]
- Magaña, M.M.; Osborne, T.F. Two Tandem Binding Sites for Sterol Regulatory Element Binding Proteins Are Required for Sterol Regulation of Fatty-Acid Synthase Promoter. J. Biol. Chem. 1996, 271, 32689–32694. [Google Scholar] [CrossRef] [PubMed] [Green Version]
- Shimano, H.; Horton, J.D.; Shimomura, I.; Hammer, R.E.; Brown, M.S.; Goldstein, J.L. Isoform 1c of Sterol Regulatory Element Binding Protein Is Less Active than isoform 1a in Livers of Transgenic Mice and in Cultured Cells. J. Clin. Investig. 1997, 99, 846–854. [Google Scholar] [CrossRef] [Green Version]
- Jay, D.H.; Lichiro, S.; Shinji, L.; Urity, B.; Rober, E.H. Overexpression of sterol regulatory element-binding protein-1a in mouse adipose tissue produces adipocyte hypertrophy, increased fatty acid secretion, and fatty liver. J. Biochem. 2003, 278, 36652–36660. [Google Scholar] [CrossRef] [Green Version]
- Akanda, M.R.; Uddin, M.N.; Kim, I.S.; Ahn, D.; Tae, H.J.; Park, B.Y. The Biological and Pharmacological Roles of Polyphenol Flavonoid Tilianin. Eur. J. Pharmacol. 2019, 842, 291–297. [Google Scholar] [CrossRef] [PubMed]
- Dauer, W.; Przedborski, S. Parkinson’s Disease: Mechanisms and Models. Neuron 2003, 39, 889–909. [Google Scholar] [CrossRef] [Green Version]
- Gálvez, J.; Estrada-Reyes, R.; Benítez-King, G.; Araujo, G.; Orozco, S.; Fernández-Mas, R.; Almazán, S.; Calixto, E. Involvement of the GABAergic System in the Neuroprotective and Sedative Effects of Acacetin 7-O-Glucoside in Rodents. Restor. Neurol. Neurosci. 2015, 33, 683–700. [Google Scholar] [CrossRef] [Green Version]
- Wang, Y.; Yuan, Y.; Wang, X.; Wang, Y.; Cheng, J.; Tian, L.; Guo, X.; Qin, D.; Cao, W. Tilianin Post-Conditioning Attenuates Myocardial Ischemia/Reperfusion Injury via Mitochondrial Protection and Inhibition of Apoptosis. Med. Sci. Monit. 2017, 23, 4490–4499. [Google Scholar] [CrossRef] [Green Version]
- Zeng, C.; Jiang, W.; Zheng, R.; He, C.; Li, J.; Xing, J. Cardioprotection of Tilianin Ameliorates Myocardial Ischemia-Reperfusion Injury: Role of the Apoptotic Signaling Pathway. PLoS ONE 2018, 13, e0193845. [Google Scholar] [CrossRef] [PubMed]
- Kim, T.H.; Shin, J.H.; Baek, H.H.; Lee, H.J. Volatile Flavour Compounds in Suspension Culture of Agastache rugosa Kuntze (Korean Mint). J. Sci. Food Agric. 2001, 81, 569–575. [Google Scholar] [CrossRef]
- Desta, K.T.; Kim, G.S.; Kim, Y.H.; Lee, W.S.; Lee, S.J.; Jin, J.S.; Abd El-Aty, A.M.; Shin, H.C.; Shim, J.H.; Shin, S.C. The Polyphenolic Profiles and Antioxidant Effects of Agastache rugosa Kuntze (Banga) Flower, Leaf, Stem and Root. Biomed. Chromatogr. 2016, 30, 225–231. [Google Scholar] [CrossRef] [PubMed]
- Unachukwu, U.J.; Ahmed, S.; Kavalier, A.; Lyles, J.T.; Kennelly, E.J. White and green teas (Camellia sinensis var. sinensis): Variation in phenolic, methylxanthine, and antioxidant profiles. J. Food Sci. 2010, 75, C541–C548. [Google Scholar] [CrossRef] [Green Version]
- Oh, H.M.; Kang, Y.J.; Kim, S.H.; Lee, Y.S.; Park, M.K.; Heo, J.M.; Sun, J.J.; Kim, H.J.; Kang, E.S.; Kim, H.J.; et al. Agastache rugosa Leaf Extract Inhibits the iNOS Expression in ROS 17/2.8 Cells Activated with TNF-α and IL-1β. Arch. Pharm. Res. 2005, 28, 305–310. [Google Scholar] [CrossRef]
- Hong, J.J.; Choi, J.H.; Oh, S.R.; Lee, H.K.; Park, J.H.; Lee, K.Y.; Kim, J.J.; Jeong, T.S.; Oh, G.T. Inhibition of Cytokine-Induced Vascular Cell Adhesion Molecule-1 Expression; Possible Mechanism for Anti-Atherogenic Effect of Agastache Rugosa. FEBS Lett. 2001, 495, 142–147. [Google Scholar] [CrossRef] [Green Version]
- Shin, S.; Kang, C.A. Antifungal Activity of the Essential Oil of Agastache rugosa Kuntze and Its Synergism with Ketoconazole. Lett. Appl. Microbiol. 2003, 36, 111–115. [Google Scholar] [CrossRef]
- Lee, H.W.; Ryu, H.W.; Baek, S.C.; Kang, M.G.; Park, D.; Han, H.Y.; An, J.H.; Oh, S.R.; Kim, H. Potent Inhibitions of Monoamine Oxidase A and B by Acacetin and Its 7-O-(6-O-malonylglucoside) Derivative from Agastache rugosa. Int. J. Biol. Macromol. 2017, 104, 547–553. [Google Scholar] [CrossRef]
- Liou, C.J.; Wu, S.J.; Chen, L.C.; Yeh, K.W.; Chen, C.Y.; Huang, W.C. Acacetin from Traditionally Used Saussurea involucrata Kar. et Kir. Suppressed Adipogenesis in 3T3-L1 Adipocytes and Attenuated Lipid Accumulation in Obese Mice. Front. Pharmacol. 2017, 8, 589. [Google Scholar] [CrossRef] [PubMed] [Green Version]
- Park, M.J.; Song, J.H.; Shon, M.S.; Kim, H.O.; Kwon, O.J.; Roh, S.S.; Kim, C.Y.; Kim, G.N. Anti-Adipogenic Effects of Ethanol Extracts Prepared from Selected Medicinal Herbs in 3T3-L1 Cells. Prev. Nutr. Food Sci. 2016, 21, 227–235. [Google Scholar] [CrossRef] [PubMed]
- Farmer, S.R. Regulation of PPAR γ Activity During Adipogenesis. Int. J. Obes. 2005, 29, S13–S16. [Google Scholar] [CrossRef] [PubMed] [Green Version]
- Brown, N.F.; Hill, J.K.; Esser, V.; Kirkland, J.L.; Corkey, B.E.; Foster, D.W.; Mcgarry, J.D. Mouse White Adipocytes and 3T3-L1 Cells Display an Anomalous Pattern of Carnitine Palmitoyltransferase (CPT) I Isoform Expression During Differentiation. Inter-Tissue and Inter-Species Expression of CPT I and CPT II Enzymes. Biochem. J. 1997, 327, 225–231. [Google Scholar] [CrossRef] [PubMed]
- Gong, H.; Li, S.; He, L. Microscopic identification and in vitro activity of Agastache rugosa (Fisch. et Mey) from Xinjiang, China. BMC Complementary Altern. Med. 2017, 17, 95. [Google Scholar] [CrossRef] [PubMed] [Green Version]
- Marranzano, M.; Ray, S.; Godos, J.; Galvano, F. Association between dietary flavonoids intake and obesity in a cohort of adults living in the Mediterranean area. Int. J. Food Sci. Nutr. 2018, 69, 1020–1029. [Google Scholar] [CrossRef] [PubMed]
- Song, D.; Cheng, L.; Zhang, X.; Wu, Z.; Zheng, X. The modulatory effect and the mechanism of flavonoids on obesity. J. Food Biochem. 2019, 43, e12954. [Google Scholar] [CrossRef]
- Rufino, A.T.; Costa, V.M.; Carvalho, F.; Fernandes, E. Flavonoids as antiobesity agents: A review. Med. Res. Rev. 2021, 41, 556–585. [Google Scholar] [CrossRef] [PubMed]
- Onal, G.; Kutlu, O.; Gozuacik, D.; Emre, S.D. Lipid droplets in health and disease. Lipids Health Dis. 2017, 16, 128. [Google Scholar] [CrossRef] [PubMed] [Green Version]
- Madsen, M.S.; Siersbæk, R.; Boergesen, M.; Nielsen, R.; Mandrup, S. Peroxisome proliferator-activated receptor γ and C/EBPα synergistically activate key metabolic adipocyte genes by assisted loading. Mol. Cell. Biol. 2014, 34, 939–954. [Google Scholar] [CrossRef] [PubMed] [Green Version]
- Vasileva, L.V.; Savova, M.S.; Tews, D.; Wabitsch, M.; Georgiev, M.I. Rosmarinic acid attenuates obesity and obesity-related inflammation in human adipocytes. Food Chem. Toxicol. 2021, 149, 112002. [Google Scholar] [CrossRef] [PubMed]
- Kim, M.; Yoo, G.; Randy, A.; Son, Y.-J.; Hong, C.R.; Kim, S.M.; Nho, C.W. Lemon balm and its constituent, rosmarinic acid, alleviate liver damage in an animal model of nonalcoholic steatohepatitis. Nutrients 2020, 12, 1166. [Google Scholar] [CrossRef] [Green Version]
- Mao, X.; Kikani, C.K.; Riojas, R.A.; Langlais, P.; Wang, L.; Ramos, F.J.; Fang, Q.; Christ-Roberts, C.Y.; Hong, J.Y.; Kim, R.-Y. APPL1 binds to adiponectin receptors and mediates adiponectin signalling and function. Nat. Cell Biol. 2006, 8, 516–523. [Google Scholar] [CrossRef] [PubMed]
- Hong, S.; Song, W.; Zushin, P.-J.H.; Liu, B.; Jedrychowski, M.P.; Mina, A.I.; Deng, Z.; Cabarkapa, D.; Hall, J.A.; Palmer, C.J. Phosphorylation of Beta-3 adrenergic receptor at serine 247 by ERK MAP kinase drives lipolysis in obese adipocytes. Mol. Metab. 2018, 12, 25–38. [Google Scholar] [CrossRef] [PubMed]





| Target Gene | Forward | Reverse |
|---|---|---|
| C/EBPα | CGGGAACGCAACAACATCGC | TGTCCAGTTCACGGCTCAGC |
| CPT1 | ACTCCTGGAAGAAGAAGTTCAT | AGTATCTTTGACAGCTGGGAC |
| FABP4 | TGGGAACCTGGAAGCTTGTCTC | GAATTCCACGCCCAGTTTGA |
| FAS | TGGGCATAACGGTCTCTGGT | TCCATGTGCGGTGTGAAAAC |
| PPARγ | CGGAAGCCCTTTGGTGACTTTATG | GCAGCAGGTTGTCTTGGATGTC |
| SREBP1 | CCCTGTGTGTACTGGCCTTT | ACGGTGTGTACCCGTAGCAT |
| β-actin | TGAGAGGGAAATCGTGCGTGAC | GCTCGTTGCCAATAGTGATGACC |
Publisher’s Note: MDPI stays neutral with regard to jurisdictional claims in published maps and institutional affiliations. |
© 2021 by the authors. Licensee MDPI, Basel, Switzerland. This article is an open access article distributed under the terms and conditions of the Creative Commons Attribution (CC BY) license (https://creativecommons.org/licenses/by/4.0/).
Share and Cite
Hwang, J.M.; Lee, M.-H.; Lee, J.-H.; Lee, J.H. Agastache rugosa Extract and Its Bioactive Compound Tilianin Suppress Adipogenesis and Lipogenesis on 3T3-L1 Cells. Appl. Sci. 2021, 11, 7679. https://doi.org/10.3390/app11167679
Hwang JM, Lee M-H, Lee J-H, Lee JH. Agastache rugosa Extract and Its Bioactive Compound Tilianin Suppress Adipogenesis and Lipogenesis on 3T3-L1 Cells. Applied Sciences. 2021; 11(16):7679. https://doi.org/10.3390/app11167679
Chicago/Turabian StyleHwang, Jae Min, Mun-Hoe Lee, Jin-Hee Lee, and Jong Hun Lee. 2021. "Agastache rugosa Extract and Its Bioactive Compound Tilianin Suppress Adipogenesis and Lipogenesis on 3T3-L1 Cells" Applied Sciences 11, no. 16: 7679. https://doi.org/10.3390/app11167679
APA StyleHwang, J. M., Lee, M.-H., Lee, J.-H., & Lee, J. H. (2021). Agastache rugosa Extract and Its Bioactive Compound Tilianin Suppress Adipogenesis and Lipogenesis on 3T3-L1 Cells. Applied Sciences, 11(16), 7679. https://doi.org/10.3390/app11167679

