Abstract
Background: peritumoral collateral vessels adjacent to renal cell carcinoma (RCC) can be encountered in clinical practice. Cancer cachexia is defined as a decrease of adipose and skeletal muscle tissues. In this study we evaluated, using a quantitative CT imaging-based approach, the distribution of abdominal adipose tissue in clear cell RCC (ccRCC) male patients with and without collateral vessels. Methods: between November 2019 and February 2020, in this retrospective study we enrolled 106 ccRCC male Caucasian patients divided into two groups: a ccRCCa group without collateral vessels (n = 48) and a ccRCCp group with collateral vessels (n = 58). The total adipose tissue (TAT), visceral adipose tissue (VAT) and subcutaneous adipose tissue (SAT) areas were measured in both groups. Moreover, the VAT/SAT ratio was calculated for each subject. Results: a statistically significant difference between the two groups was found in the SAT area (p < 0.05), while no significant differences were found in the TAT area, VAT area and VAT/SAT ratio. Conclusion: this study demonstrates a reduction of SAT in ccRCC patients with peritumoral collateral vessels.
1. Introduction
The decrease of adipose tissue and skeletal muscle not completely compensated by nutritional support causes progressive functional impairment in cancer patients called cancer cachexia [1]. This is an alteration of energy balance due to the maintenance of tumor growth [2]. Cancer patients with advanced disease can lose up to 85% of skeletal muscle and adipose tissue [3]. The decrease of adipose tissue is considered a prognostic marker for poor outcome [3]. Dysregulation of lipid metabolism, including high lipolysis, can cause reduction of adipose tissue [4]. In the lipolysis process there is a reduction of the cell volume of adipocytes associated with a decrease of de novo lipogenesis, but the total number of adipocytes does not change [5,6]. Furthermore, cancer cachexia is determined by several mediating factors such as tumor mediators, cytokines, chemokines and neuroendocrine factors [2].
Body mass index (BMI) does not discriminate among different tissues, nor does it provide any information regarding the quantity and distribution of the two abdominal compartments of adipose tissue individually: visceral adipose tissue (VAT) and subcutaneous adipose tissue (SAT) [7]. VAT differs from SAT in terms of anatomic, cellular and molecular features; VAT has greater metabolic and hormonal activity [8,9]. On the other hand, quantitative evaluation and non-invasive tissue characterization can be performed by means of computed tomography (CT) and magnetic resonance imaging (MRI) [10,11].
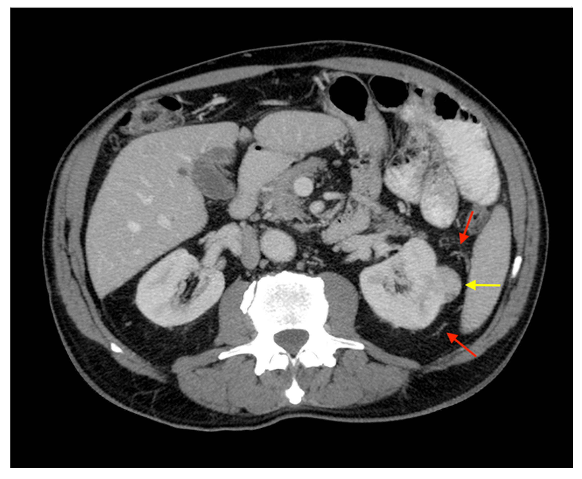
The presence of collateral vessels in renal cell carcinoma (RCC) is considered a sign of locally advanced disease (i.e., pT stage > T3a) [12]. However, this finding can be present in the early stages of RCC (Figure 1).
Figure 1.
Axial CT image with maximum intensity projection (MIP) reconstruction showing ccRCC with T1a of locoregional staging (yellow arrow) and peritumoral collateral vessels (red arrows). Note that peritumoral collateral vessels can be present also in patients with early disease stages.
The meaning of peritumoral collateral vessels around RCC is not fully understood. Recently, a relationship between peritumoral collateral vessels and greater aggressiveness (i.e., Fuhrman grade III and IV) of clear cell RCC (ccRCC) has been demonstrated [13].
The higher cellularity and the amount of blood demand in ccRCC might account for the increased venous drainage, possibly being compensated by dilation of renal capsular veins [13].
Moreover, ccRCC is considered a metabolic disease in which there is modulation of fatty acids as well as of glucose and the tricarboxylic acid cycle [14]. Indeed, since SAT has a well-known function as long-term energy storage [8] it is possible that anatomical and metabolic changes in patients with peritumoral collateral vessels in the perinephric fat may be associated to SAT reduction due to greater tumoral metabolic demand.
Thus, there is a clear rationale to investigate abdominal adipose tissue distribution in ccRCC patients with or without peritumoral collateral vessels.
CT is the modality of choice for RCC staging [12] and at the same time, images acquired for this purpose can be usefully analyzed from a different standpoint to quantitatively assess body composition of tissues included in the field of view, both in cancer and non-cancer patients.
To date, the direct comparison of abdominal adipose tissue distribution in ccRCC patients with and without peritumoral collateral vessels has never been explored. Elucidating the possible role of peritumoral collateral vessels adjacent to ccRCC would be of clinical benefit to obtain additional information on patients’ metabolic status by means of CT studies performed for disease staging.
Due to the well-known strong association between collateral vessels in RCC patients and locally advanced disease, in this study we evaluate, using a CT imaging-based approach, the distribution of abdominal adipose tissue in ccRCC male patients with and without collateral vessels, to understand if any difference can be detected between these two categories of patients.
We hypothesized that in patients with ccRCC and peritumoral collateral vessels a reduction of SAT and relative preservation of VAT are present as metabolic systemic effects associated to a locally advanced disease.
2. Materials and Methods
The study was designed to be cross-sectional and observational. The procedures were retrospective and agreed with the Declaration of Helsinki. CT images and data of ccRCC patients were acquired at multiple centers and retrieved from The Cancer Imaging Archive (TCIA) [15,16,17]. The TCIA project received the approval of the Institutional Review Board. This subsequent retrospective analysis was on the publicly available, anonymized data and did not require further review due to previous protections implemented by TCIA. All the subjects enrolled signed a written informed consent.
Between November 2019 and February 2020, a total of 267 consecutive patients were assessed and selected, through medical history and CT images, following the exclusion criteria. All the patients received a histologically proven diagnosis of ccRCC.
We decided to use CT in this study over other imaging modalities because it enables the highest spatial resolution making it the best modality for the evaluation of tiny peritumoral collateral vessels.
The selection of ccRCC patients was carried out using the following exclusion criteria: patients with non-Caucasian ethnicity, female patients, patients who had undergone magnetic resonance examination only, patients who had undergone CT without administration of contrast medium, patients who had undergone chest CT only, patients with previous renal ablation, nephrectomized and heminephrectomized patients, cirrhotic patients with collateral vessels, patients with congenital solitary kidney, patients with narrow field of view (FOV) images that did not allow SAT to be quantified, and patients who had undergone upper abdomen CT in which collateral vessels were not entirely visible.
Patients with ccRCC were classified into two groups: absence of collateral vessels (ccRCCa) and presence of collateral vessels (ccRCCp). Furthermore, two subanalyses were performed with patients grouped according to their history of previous malignancy or previous neoadjuvant treatment.
2.1. CT Analysis
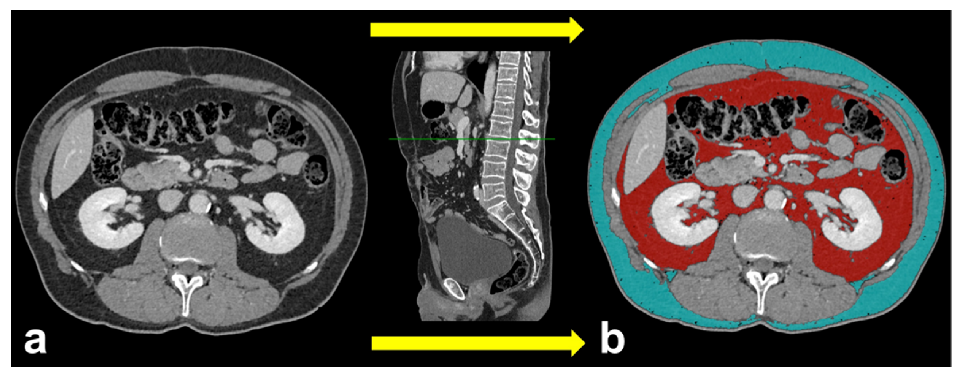
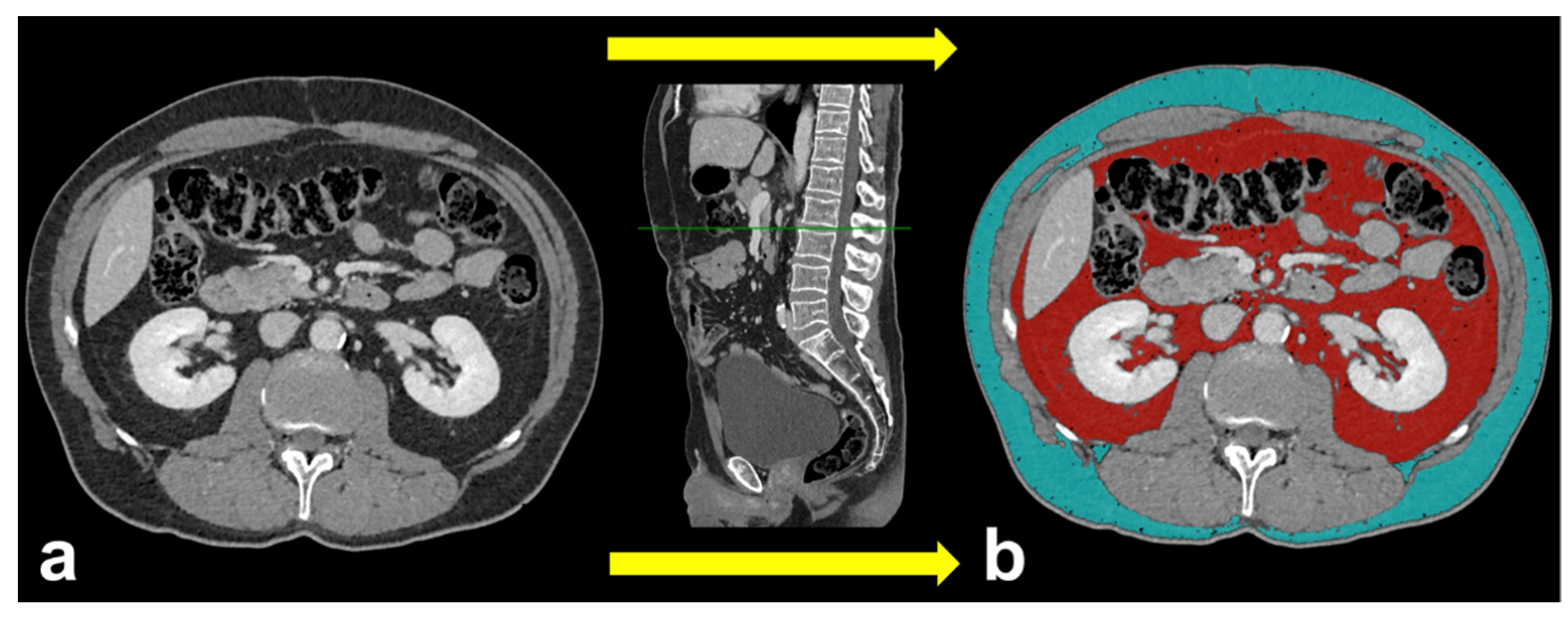
All patients underwent CT examination. For the evaluation of collateral vessels and quantification of adipose tissue we used CT images obtained after intravenous administration of an iodine-based contrast medium. Horos v.4.0.0 RC2 software was used for the quantification of TAT, VAT and SAT, by means of a semi-automatic function that allowed us to detect the attenuation values of adipose tissue (i.e., about −100 Hounsfield Unit). The slice chosen for the measurements of areas (cm2) was located 3 cm above the lower margin of L3, according to a previously described technique (Figure 2) [18]. All the regions of interest (ROIs) were drawn by consensus of two radiologists (F.G., 5 years of experience; C.A.M., 9 years of experience), blinded to clinical data.
Figure 2.
Axial CT images showing a single slice located 3 cm above the lower margin of L3 without ROIs (a) and the same slice with superimposed colored ROIs of VAT area (red ROI) and of SAT area (cyan ROI) (b). The sagittal plane, depicted in the middle, has been used as a reference to drive the correct ROI drawing for each subject.
2.2. Statistical Analysis
The Kolmogorov–Smirnov (KS) test was used to assess data distribution. A comparison of TAT, VAT and SAT areas as well as VAT/SAT ratio was performed between the ccRCCa group and the ccRCCp group using the Student’s t-test. The threshold of statistical significance was set at p < 0.05.
2.3. Results
A total of 106 male Caucasian patients with ccRCC were selected after the first screening according to the exclusion criteria. The two groups were composed as follows: ccRCCa (n = 48; mean age: 57.1, range: 26–78) and ccRCCp (n = 58; mean age: 59.7, range: 34–84). The descriptive data of both groups are summarized in Table 1 and Table 2. Regardless of peritumoral collateral vessels adjacent to ccRCC, a total of 23 patients had a history of previous malignancy and a total of 9 patients had received a neoadjuvant treatment.
Table 1.
Descriptive data of ccRCCa group.
Table 2.
Descriptive data of ccRCCp group.
Age was not significantly different between the ccRCCa and ccRCCp groups (p = 0.25).
Statistically significant differences between the ccRCCa group and the ccRCCp group were obtained for the SAT area (p < 0.05). No statistically significant difference was obtained for the TAT area (p = 0.09), VAT area and (p = 0.45) VAT/SAT ratio (p = 0.15). The results are listed in Table 3 and are represented in Figure 3.
Table 3.
Mean, range and standard deviation of the ccRCCa group and ccRCCp group and Student’s t-test results.
Figure 3.
Bar chart showing mean values with error bars of SAT areas in ccRCCa and ccRCCp groups.
Furthermore, to understand the impact of possible confounding variables on our statistically significant result we conducted two subanalyses on SAT. No significant differences in terms of SAT area were detected by comparing patients with and without previous malignancy (p = 0.23) and patients with and without previous neoadjuvant treatment (p = 0.85). Lastly, no statistically significant differences were found between ccRCC patients with low Fuhrman grade (i.e., I/II) (n = 39; 1 Fuhrman grade I and 38 Fuhrman grade II) and high Fuhrman grade (i.e., III/IV) (n = 67; 53 Fuhrman grade III and 14 Fuhrman grade IV) for TAT area (p = 0.95), VAT area (p = 0.64), SAT area (p = 0.48) and VAT/SAT ratio (p = 0.62).
3. Discussion
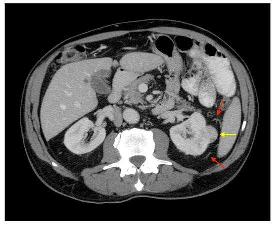
This cross-sectional observational study shows a significant decrease of SAT in ccRCCp patients compared to ccRCCa patients (Figure 3 and Figure 4).
Figure 4.
Axial CT images showing the orange ROIs of SAT areas in ccRCCa patients (a–c) and ccRCCp patients (d–f), the tumors in ccRCCa patients (yellow arrows in a–c) and ccRCCp patients (yellow arrows in d–f) and peritumoral collateral vessels in ccRCCp patients (red arrows in d–f). Note that there is a clear reduction of SAT in ccRCCp patients (d–f).
In the regulation of the body composition molecular crosstalk between adipose tissue, liver, muscles, heart and brain play a fundamental role [2].
Adipose tissue secretes a series of hormones such as adipokines and chemokines which can regulate tumor behavior, tumor microenvironment and inflammation [2]. Lipotoxicity in cancer cachexia is determined by several factors such as adipokine and myokine secretion, increased lipolytic activity and chronic inflammation [19].
The systemic inflammation present in advanced cancer patients is based on the excessive release of cytokines which seem to modulate cancer cachexia, comprising interleukin-1β (IL-1β), interleukin-6 (IL-6), tumor necrosis factor-α (TNF-α) and interferon-γ (IFN-γ) [5,20,21,22].
IL-6 inhibits synthesis and increases lipid and protein catabolism in adipocytes and myocytes respectively, causing loss of body mass with reduction of the amount of adipose tissue contributing to muscle atrophy [5,23]. In fact, high concentrations of IL-6 have been correlated with high tumor growth rate [5]. This explains the lipolytic action of IL-6 in adipose tissue [2].
TNF-α released from both adipose tissue and muscle plays an important role in cancer cachexia acting on the reduction of glucose transporter 4 (GLUT4) levels and on the inhibition of glucose transport, thereby reducing substrates for lipogenesis [19,24]. In cancer cachexia TNF-α recalls monocytes in adipose tissue and consequently the infiltrating macrophages cause an increase of IL-6 and IL-1β levels [25,26]. Similar to TNF-α, IFN-γ acts on the metabolism of adipose tissue in cancer cachexia; in fact, in rodent tumor models, a relationship with weight loss and anorexia has been demonstrated [27].
Leptin increases energy expenditure and suppresses food intake [28]. Physiologically it is believed that lipogenesis inhibition and an increase of fatty acids oxidation protects the adipocytes from lipotoxicity [28]. In cancer cachexia, the adipose tissue produces leptin which, acting on the hypothalamus, regulates the amount of energy stored in the adipose tissue by influencing the appetite [29]. It also upregulates inflammatory cytokines production [30].
The presence of collateral vessels showed a specificity of 94% and a positive predictive value of 88% in predicting locally advance disease in RCC patients, considered as final histopathological staging [12]. However, there is not always overlap between histopathology and radiology, mostly due to well-known CT pitfalls which can produce disagreements between radiological locoregional staging and final histopathological staging [31,32,33,34].
According to the results of the present study, the significant decrease in the amount of SAT in ccRCCp patients compared to ccRCCa patients could be considered a clue to cancer cachexia associated with advanced ccRCC.
It is known that adipose tissue exhibits several functions in the pathogenesis and development of RCC, as well as a relationship with VHL and KDM5C ccRCC genetic mutations [35,36,37]. SAT might be a primary source of energy used by the tumor, which would explain the decrease observed in ccRCCp patients (therefore with locally advanced disease) compared to ccRCCa patients.
By international consensus, cancer cachexia has been clarified as “a multifactorial syndrome defined by an ongoing loss of skeletal muscle mass with or without loss of fat mass that cannot be fully reversed by conventional nutritional support and leads to progressive functional impairment” [38]. It has been suggested that elevated lipolysis might account for fat loss in cancer cachexia, although the precise underlying physiopathological mechanism is not fully understood [6,39]. Interestingly, fat loss seems to precede muscle loss and it has been associated to shorter survival [3,40]. Thus, abdominal fat as a novel biomarker of cancer cachexia in the present study was chosen because it has not previously been investigated in ccRCC and is potentially of great clinical importance as it might show changes earlier than muscle tissues. Moreover, this is the first study linking peritumoral collateral vessels adjacent to ccRCC, a finding that can be present in CT or MR studies, to cancer cachexia which is a clinically important diagnosis to make because it is associated to prognostic impact. Thus, the presence of peritumoral collateral vessels associated to the reduction of SAT should be further tested as potential marker of cancer cachexia with prognostic implications.
Our results are not likely to be influenced by the age of the patients since no statistically significant difference between groups was present in terms of age. Moreover, by subgrouping the patients according to the history of previous malignancy or neoadjuvant treatment, we found no statistically significant differences suggesting no significant impact of these potentially confounding variables on our results. Of note, only 4 out of 54 ccRCCp patients received neoadjuvant therapy, making it highly unlikely as a bias for the evaluation of collateral vessels. Finally, no difference in TAT, VAT and SAT areas and VAT/SAT ratio between low and high Fuhrman grade groups was found, suggesting a lack of association between histopathological signs of aggressive disease and abdominal fat distribution. However, a high Fuhrman grade has been recently reported as significantly more prevalent in patients with ccRCC and peritumoral collateral vessels [13].
The retrospective design of this study was associated with limitations such as a lack of some clinical data including BMI, hormonal status, histological data related to staging, progression-free survival (PFS) or overall survival (OS). PFS and OS data would have been important to show the impact of SAT reduction on the prognosis of ccRCC patients as well as the impact on surgery or neoadjuvant medical treatments.
Further studies, including larger samples more representative of the whole society, will evaluate SAT loss in ccRCC patients to clearly validate this potential biomarker for cancer cachexia.
4. Conclusions
This study demonstrates a reduction of SAT in ccRCC patients with peritumoral collateral vessels. The presence of peritumoral collateral vessels adjacent to ccRCC might be a subtle and novel diagnostic clue to kidney cancer cachexia.
Author Contributions
Conceptualization, F.G. and C.A.M.; methodology, F.G. and C.A.M.; software, F.G. and C.A.M.; validation, F.G., L.G.Q., A.C., M.G., R.F.G., B.B.Z. and C.A.M.; formal analysis, F.G. and C.A.M.; investigation, F.G. and C.A.M.; resources, F.G. and C.A.M.; data curation, F.G. and C.A.M.; writing—original draft preparation, F.G. and C.A.M.; writing—review and editing, F.G., L.G.Q., A.C., M.G., R.F.G., B.B.Z. and C.A.M.; visualization, F.G. and C.A.M.; supervision, F.G., B.B.Z. and C.A.M.; project administration, F.G. and C.A.M. All authors have read and agreed to the published version of the manuscript.
Funding
This research did not receive any specific grant from funding agencies in the public, commercial, or not-for-profit sectors.
Institutional Review Board Statement
All the procedures were retrospective and agreed with the Declaration of Helsinki. CT images and data of ccRCC patients were retrieved from The Cancer Imaging Archive (TCIA). The TCIA project received approval of the Institutional Review Board. This subsequent retrospective analysis was on the publicly available, anonymized data and did not require further review due to previous protections implemented by TCIA.
Informed Consent Statement
All the subjects enrolled signed a written informed consent.
Data Availability Statement
The data presented in this study are openly available in The Cancer Imaging Archive (https://wiki.cancerimagingarchive.net/display/Public/TCGA-KIRC, accessed on 1 November 2019).
Conflicts of Interest
The authors declare that they have no conflict of interest.
References
- Tisdale, M. Mechanisms of cancer cachexia. Physiol. Rev. 2009, 89, 381–410. [Google Scholar] [CrossRef] [PubMed] [Green Version]
- Daas, S.I.; Rizeq, B.R.; Nasrallah, G.K. Adipose tissue dysfunction in cancer cachexia. J. Cell. Physiol. Jan. 2018, 234, 13–22. [Google Scholar] [CrossRef] [Green Version]
- Murphy, R.A.; Wilke, M.S.; Perrine, M.; Pawlowicz, M.; Mourtzakis, M.; Lieffers, J.R.; Maneshgar, M.; Bruera, E.; Clandinin, M.T.; Baracos, V.E.; et al. Loss of adipose tissue and plasma phospholipids: Relationship to survival in advanced cancer patients. Clin. Nutr. 2010, 29, 482–487. [Google Scholar] [CrossRef] [PubMed]
- Ryden, M.; Arner, P. Fat loss in cachexia—Is there a role for adipocyte lipolysis? Clin. Nutr. 2007, 26, 1–6. [Google Scholar] [CrossRef] [PubMed]
- Fearon, K.C.; Glass, D.J.; Guttridge, D.C. Cancer cachexia: Mediators, signaling, and metabolic pathways. Cell. Metab. 2012, 16, 153–166. [Google Scholar] [CrossRef] [PubMed] [Green Version]
- Agustsson, T.; Ryden, M.; Hoffstedt, J.; van Harmelen, V.; Dicker, A.; Laurencikiene, J. Mechanism of increased lipolysis in cancer cachexia. Cancer Res. 2007, 67, 5531–5537. [Google Scholar] [CrossRef] [Green Version]
- Park, Y.H.; Lee, J.K.; Kim, K.M.; Kook, H.R.; Lee, H.; Kim, K.B.; Sangchul, L.; Byun, S.-S.; Lee, S.E. Visceral obesity in predicting oncologic outcomes of localized renal cell carcinoma. J. Urol. 2014, 192, 1043–1049. [Google Scholar] [CrossRef] [PubMed]
- Ibrahim, M.M. Subcutaneous and visceral adipose tissue: Structural and functional differences. Obes. Rev. 2010, 11, 11–18. [Google Scholar] [CrossRef]
- Fox, C.S.; Massaro, J.M.; Hoffmann, U.; Pou, K.M.; Maurovich-Horvat, P.; Liu, C.Y.; Vasan, R.S.; Murabito, J.M.; Meigs, J.B.; Cupples, L.A.; et al. Abdominal visceral and subcutaneous adipose tissue compartments: Association with metabolic risk factors in the Framingham Heart Study. Circulation 2007, 116, 39–48. [Google Scholar] [CrossRef] [Green Version]
- Prado, C.M.; Heymsfield, S.B. Lean tissue imaging: A new era for nutritional assessment and intervention. JPEN 2014, 38, 940–953. [Google Scholar] [CrossRef] [Green Version]
- Greco, F.; Faiella, E.; Santucci, D.; Mallio, C.A.; Nezzo, M.; Quattrocchi, C.C.; Beomonte Zobel, B.; Grasso, R.F. Imaging of Renal Medullary Carcinoma. J. Kidney Cancer VHL 2017, 4, 1–7. [Google Scholar] [CrossRef] [PubMed] [Green Version]
- Bradley, A.J.; MacDonald, L.; Whiteside, S.; Johnson, R.J.; Ramani, V.A. Accuracy of preoperative CT T staging of renal cell carcinoma: Which features predict advanced stage? Clin. Radiol. 2015, 70, 822–829. [Google Scholar] [CrossRef] [PubMed]
- Greco, F.; Quarta, L.G.; Bernetti, C.; Grasso, R.F.; van Berge Henegouwen, M.I.; Beomonte Zobel, B.; Mallio, C.A. Composition of Perinephric Fat and Fuhrman Grade in Clear Cell Renal Cell Carcinoma: The Role of Peritumoral Collateral Vessels. Appl. Sci. 2021, 11, 3941. [Google Scholar] [CrossRef]
- Wettersten, H.I.; Aboud, O.A.; Lara, P.N., Jr.; Weiss, R.H. Metabolic reprogramming in clear cell renal cell carcinoma. Nat. Rev. Nephrol. 2017, 13, 410–419. [Google Scholar] [CrossRef]
- NIH National Cancer Institute. Available online: https://cancergenome.nih.gov/ (accessed on 1 November 2019).
- Akin, O.; Elnajjar, P.; Heller, M.; Jarosz, R.; Erickson, B.J.; Kirk, S.; Keith Smith, J.; Linehan, M.; Gautam, R.; Vikram, R.; et al. Radiology Data from The Cancer Genome Atlas Kidney Renal Clear Cell Carcinoma [TCGA-KIRC] collection. Cancer Imaging Arch. 2016. [Google Scholar] [CrossRef]
- Clark, K.; Vendt, B.; Smith, K.; Freymann, J.; Kirby, J.; Koppel, P.; Moore, S.; Phillips, S.; Maffitt, D.; Pringle, M.; et al. The Cancer Imaging Archive (TCIA): Maintaining and Operating a Public Information Repository. J. Digit. Imaging 2013, 26, 1045–1057. [Google Scholar] [CrossRef] [PubMed] [Green Version]
- Noumura, Y.; Kamishima, T.; Sutherland, K.; Nishimura, H. Visceral adipose tissue area measurement at a single level: Can it represent visceral adipose tissue volume? Br. J. Radiol. 2017, 90, 20170253. [Google Scholar] [CrossRef]
- Dalamaga, M. Interplay of adipokines and myokines in cancer pathophysiology: Emerging therapeutic implications. World J. Exp. Med. 2013, 3, 26. [Google Scholar] [CrossRef]
- Ebadi, M.; Mazurak, V.C. Potential biomarkers of fat loss as a feature of cancer cachexia. Mediat. Inflamm. 2015, 2015, 820934. [Google Scholar] [CrossRef] [Green Version]
- Porporato, P.E. Understanding cachexia as a cancer metabolism syndrome. Oncogenesis 2016, 5, e200. [Google Scholar] [CrossRef] [Green Version]
- Tsoli, M.; Swarbrick, M.M.; Robertson, G.R. Lypolitic and thermogenic depletion of adipose tissue in cancer cachexia. In Seminars in Cell & Developmental Biology; Academic Press: Cambridge, MA, USA, 2016; Volume 54, pp. 68–81. [Google Scholar]
- Chen, J.L.; Walton, K.L.; Qian, H.; Colgan, T.D.; Hagg, A.; Watt, M.J.; Harrison, C.A.; Gregorevic, P. Differential Effects of IL6 and Activin A in the Development of Cancer Associated Cachexia. Cancer Res. 2016, 76, 5372–5382. [Google Scholar] [CrossRef] [PubMed] [Green Version]
- Choe, S.S.; Huh, J.Y.; Hwang, I.J.; Kim, J.I.; Kim, J.B. Adipose Tissue Remodeling: Its Role in Energy Metabolism and Metabolic Disorders. Front. Endocrinol. 2016, 7, 30. [Google Scholar] [CrossRef] [Green Version]
- Uversky, V.N.; El-Baky, N.A.; El-Fakharany, E.M.; Sabry, A.; Mattar, E.H.; Uversky, A.V.; Redwan, E.M. Functionality of intrinsic disorder in tumor necrosis factor-α and its receptors. FEBS J. 2017, 284, 3589–3618. [Google Scholar] [CrossRef] [PubMed] [Green Version]
- Jeanson, Y.; Carrière, A.; Casteilla, L. A New Role for Browning as a Redox and Stress Adaptive Mechanism? Front. Endocrinol. 2015, 6, 158. [Google Scholar] [CrossRef] [PubMed] [Green Version]
- Petruzzelli, M.; Schweiger, M.; Schreiber, R.; Campos-Olivas, R.; Tsoli, M.; Allen, J.; Swarbrickì, M.; Rose-John, S.; Rincon, M.; Robertson, G.; et al. A switch from white to brown fat increases energy expenditure in cancer-associated cachexia. Cell. Metab. 2014, 20, 433–447. [Google Scholar] [CrossRef] [Green Version]
- Smitka, K.; Marešová, D. Adipose Tissue as an Endocrine Organ: An Update on Pro-inflammatory and Anti-inflammatory Microenvironment. Prague Med. Rep. 2015, 116, 87–111. [Google Scholar] [CrossRef] [Green Version]
- Bastard, J.P.; Maachi, M.; Lagathu, C.; Kim, M.J.; Caron, M.; Vidal, H.; Capeau, J.; Feve, B. Recent advances in the relationship between obesity, inflammation, and insulin resistance. Eur. Cytokine Netw. 2006, 17, 4–12. [Google Scholar]
- Stern, J.H.; Rutkowski, J.M.; Scherer, P.E. Adiponectin, leptin, and fatty acids in the maintenance of metabolic homeostasis through adipose tissue crosstalk. Cell. Metab. 2016, 23, 770–784. [Google Scholar] [CrossRef] [Green Version]
- Frank, I.; Blute, M.L.; Cheville, J.C.; Lohse, C.M.; Weaver, A.L.; Zincke, H. An outcome prediction model patients with clear cell renal cell carcinoma treated with radical nephrectomy, based on tumour stage, size, grade and necrosis: The SSIGN score. J. Urol. 2002, 168, 2395–2400. [Google Scholar] [CrossRef]
- Ficarra, V.; Galfano, A.; Mancini, M.; Martignoni, G.; Artibani, W. TNM staging system for renal-cell carcinoma: Current status and future perspectives. Lancet Oncol. 2007, 8, 554–558. [Google Scholar] [CrossRef]
- Ates, F.; Akoyl, I.; Sildiroglu, O.; Kucukodaci, Z.; Soydan, H.; Karademir, K.; Baykal, K. Preoperative imaging in renal masses: Does size on computed tomography correlate with actual tumour size? Int. Urol. Nephrol. 2010, 42, 861–866. [Google Scholar] [CrossRef]
- Kurta, J.M.; Thompson, R.H.; Kundu, S.; Kaag, M.; Manion, M.T.; Herr, H.W.; Russo, P. Contemporary imaging of patients with a renal mass: Does size on computed tomography equal pathological size? BJU Int. 2009, 103, 24–27. [Google Scholar] [CrossRef] [Green Version]
- Greco, F.; Mallio, C.A. Relationship between Visceral Adipose Tissue and Genetic Mutations (VHL and KDM5C) in Clear Cell Renal Cell Carcinoma. Radiol. Med. 2021, 126, 645–651. [Google Scholar] [CrossRef]
- Greco, F.; Mallio, C.A.; Grippo, R.; Messina, L.; Vallese, S.; Rabitti, C.; Quarta, L.G.; Grasso, R.F.; Beomonte Zobel, B. Increased visceral adipose tissue in male patients with non-clear cell renal cell carcinoma. Radiol. Med. 2020, 125, 538–543. [Google Scholar] [CrossRef]
- Greco, F.; Quarta, L.G.; Grasso, R.F.; Beomonte Zobel, B.; Mallio, C.A. Increased visceral adipose tissue in clear cell renal cell carcinoma with and without peritumoral collateral vessels. Br. J. Radiol. 2020, 93, 20200334. [Google Scholar] [CrossRef]
- Fearon, K.; Strasser, F.; Anker, S.D.; Bosaeus, I.; Bruera, E.; Fainsinger, R.L.; Jatoi, A.; Loprinzi, C.; MacDonald, N.; Mantovani, G. Definition and classification of cancer cachexia: An international consensus. Lancet. Oncol. 2011, 12, 489–495. [Google Scholar] [CrossRef]
- Rydén, M.; Agustsson, T.; Laurencikiene, J.; Britton, T.; Sjölin, E.; Isaksson, B.; Permert, J.; Arner, P. Lipolysis—Not inflammation, cell death, or lipogenesis--is involved in adipose tissue loss in cancer cachexia. Cancer 2008, 113, 1695–1704. [Google Scholar] [CrossRef] [Green Version]
- Fouladiun, M.; Körner, U.; Bosaeus, I.; Daneryd, P.; Hyltander, A.K.; Lundholm, K.G. Body composition and time course changes in regional distribution of fat and lean tissue in unselected cancer patients on palliative care--correlations with food intake, metabolism, exercise capacity, and hormones. Cancer 2005, 103, 2189–2198. [Google Scholar] [CrossRef]
Publisher’s Note: MDPI stays neutral with regard to jurisdictional claims in published maps and institutional affiliations. |
© 2021 by the authors. Licensee MDPI, Basel, Switzerland. This article is an open access article distributed under the terms and conditions of the Creative Commons Attribution (CC BY) license (https://creativecommons.org/licenses/by/4.0/).



