Doxycycline-Loaded Nitric Oxide-Releasing Nanomatrix Gel in Replanted Rat Molar on Pulp Regeneration
Abstract
:1. Introduction
2. Materials and Methods
2.1. Ethics Approval
2.2. Synthesis of NO-Releasing Nanomatrix Gel
2.3. In Vivo Experiment with Rat
2.4. Histomorphometric Analysis
2.5. Statistical Analysis
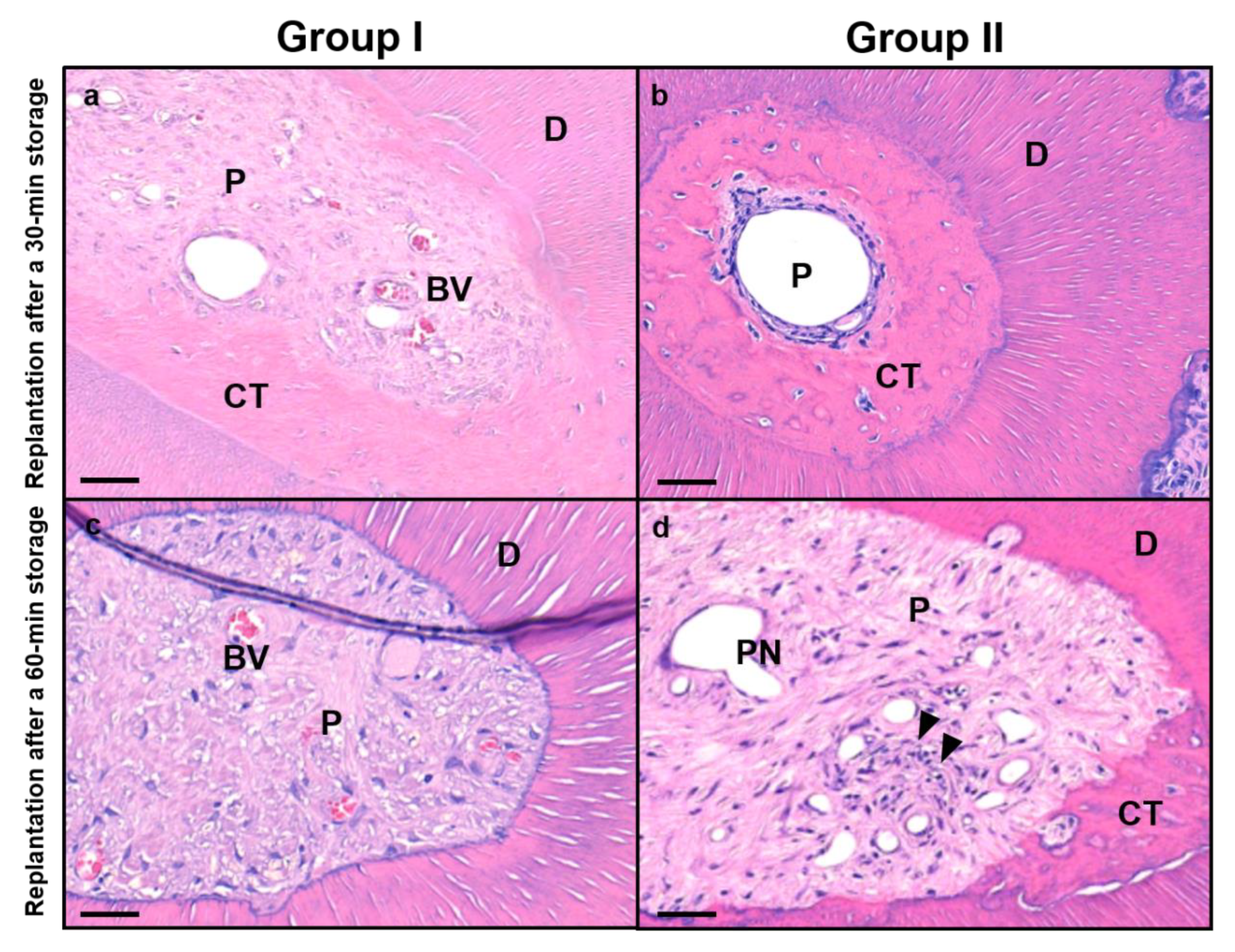
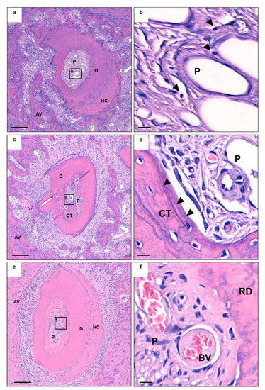
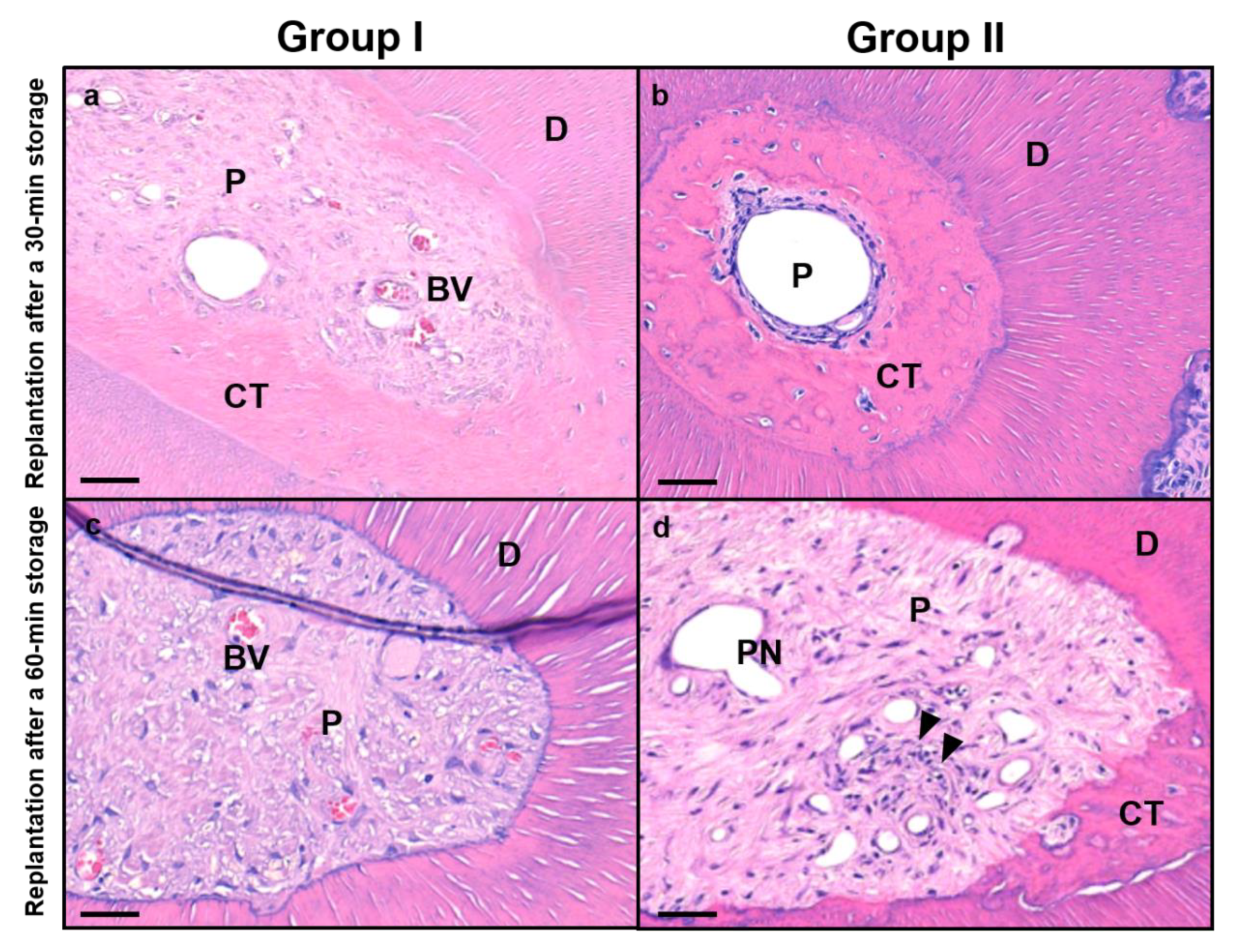
3. Results
4. Discussion
Author Contributions
Funding
Institutional Review Board Statement
Informed Consent Statement
Data Availability Statement
Acknowledgments
Conflicts of Interest
References
- Andreasen, J.O.; Andreasen, F.M.; Andersson, L. Textbook and Color Atlas of Traumatic Injuries to the Teeth; John Wiley & Sons: Hoboken, NJ, USA, 2013. [Google Scholar]
- McIntyre, J.D.; Lee, J.Y.; Trope, M.; Vann, W.F., Jr. Management of avulsed permanent incisors: A comprehensive update. Pediatr. Dent. 2007, 29, 56–63. [Google Scholar]
- Fuss, Z.; Tsesis, I.; Lin, S. Root resorption—Diagnosis, classification and treatment choices based on stimulation factors. Dent. Traumatol. 2003, 19, 175–182. [Google Scholar] [CrossRef]
- Andersson, L.; Andreasen, J.O.; Day, P.; Heithersay, G.; Trope, M.; Diangelis, A.J.; Kenny, D.J.; Sigurdsson, A.; Bourguignon, C.; Flores, M.T.; et al. International Association of Dental Trausmatology guidelines for the management of traumatic dental injuries: 2. Avulsion of permanent teeth. Dent. Traumatol. 2012, 28, 88–96. [Google Scholar] [CrossRef]
- Cvek, M.; Cleaton-Jones, P.; Austin, J.; Lownie, J.; Kling, M.; Fatti, P. Effect of topical application of doxycycline on pulp revascularization and periodontal healing in reimplanted monkey incisors. Endod. Dent. Traumatol. 1990, 6, 170–176. [Google Scholar] [CrossRef]
- Ritter, A.L.; Ritter, A.V.; Murrah, V.; Sigurdsson, A.; Trope, M. Pulp revascularization of replanted immature dog teeth after treatment with minocycline and doxycycline assessed by laser Doppler flowmetry, radiography, and histology. Dent. Traumatol. 2004, 20, 75–84. [Google Scholar] [CrossRef] [PubMed]
- Yanpiset, K.; Trope, M. Pulp revascularization of replanted immature dog teeth after different treatment methods. Endod. Dent. Traumatol. 2000, 16, 211–217. [Google Scholar] [CrossRef] [PubMed] [Green Version]
- Mohammadi, Z.; Abbott, P.V. On the local applications of antibiotics and antibiotic-based agents in endodontics and dental traumatology. Int. Endod. J. 2009, 42, 555–567. [Google Scholar] [CrossRef] [PubMed]
- Tsilingaridis, G.; Malmgren, B.; Skutberg, C.; Malmgren, O. The effect of topical treatment with doxycycline compared to saline on 66 avulsed permanent teeth—A retrospective case-control study. Dent. Traumatol. 2015, 31, 171–176. [Google Scholar] [CrossRef]
- Definition of Special Health Care Needs. Pediatr. Dent. 2016, 38, 16.
- Aghaloo, T.L.; Hadaya, D. Basic principles of bioengineering and regeneration. Oral. Maxillofac. Surg. Clin. N. Am. 2017, 29, 1–7. [Google Scholar] [CrossRef] [Green Version]
- Atala, A. Regenerative medicine strategies. J. Pediatr. Surg. 2012, 47, 17–28. [Google Scholar] [CrossRef] [PubMed]
- Scheller, E.L.; Krebsbach, P.H.; Kohn, D.H. Tissue engineering: State of the art in oral rehabilitation. J. Oral. Rehabil. 2009, 36, 368–389. [Google Scholar] [CrossRef] [PubMed] [Green Version]
- Granger, D.N.; Kubes, P. Nitric oxide as antiinflammatory agent. Methods Enzymol. 1996, 269, 434–442. [Google Scholar] [CrossRef] [PubMed]
- Sieber, C.C.; Sumanovski, L.T.; Stumm, M.; van der Kooij, M.; Battegay, E. In vivo angiogenesis in normal and portal hypertensive rats: Role of basic fibroblast growth factor and nitric oxide. J. Hepatol. 2001, 34, 644–650. [Google Scholar] [CrossRef]
- Collin-Osdoby, P.; Rothe, L.; Bekker, S.; Anderson, F.; Osdoby, P. Decreased nitric oxide levels stimulate osteoclastogenesis and bone resorption both in vitro and in vivo on the chick chorioallantoic membrane in association with neoangiogenesis. J. Bone Miner. Res. 2000, 15, 474–488. [Google Scholar] [CrossRef]
- Kumar, S.; Singh, R.K.; Bhardwaj, T.R. Therapeutic role of nitric oxide as emerging molecule. Biomed. Pharmacother. 2017, 85, 182–201. [Google Scholar] [CrossRef]
- Backlund, C.J.; Sergesketter, A.R.; Offenbacher, S.; Schoenfisch, M.H. Antibacterial efficacy of exogenous nitric oxide on periodontal pathogens. J. Dent. Res. 2014, 93, 1089–1094. [Google Scholar] [CrossRef] [Green Version]
- Ban, K.; Park, H.J.; Kim, S.; Andukuri, A.; Cho, K.W.; Hwang, J.W.; Cha, H.J.; Kim, S.Y.; Kim, W.S.; Jun, H.W.; et al. Cell therapy with embryonic stem cell-derived cardiomyocytes encapsulated in injectable nanomatrix gel enhances cell engraftment and promotes cardiac repair. ACS Nano 2014, 8, 10815–10825. [Google Scholar] [CrossRef]
- Lim, D.J.; Antipenko, S.V.; Anderson, J.M.; Jaimes, K.F.; Viera, L.; Stephen, B.R.; Bryant, S.M.; Yancey, B.D.; Hughes, K.J.; Cui, W.; et al. Enhanced rat islet function and survival in vitro using a biomimetic self-assembled nanomatrix gel. Tissue Eng. Part A 2011, 17, 399–406. [Google Scholar] [CrossRef]
- Kushwaha, M.; Anderson, J.M.; Bosworth, C.A.; Andukuri, A.; Minor, W.P.; Lancaster, J.R., Jr.; Anderson, P.G.; Brott, B.C.; Jun, H.W. A nitric oxide releasing, self assembled peptide amphiphile matrix that mimics native endothelium for coating implantable cardiovascular devices. Biomaterials 2010, 31, 1502–1508. [Google Scholar] [CrossRef] [Green Version]
- Moon, C.Y.; Nam, O.H.; Kim, M.; Lee, H.S.; Kaushik, S.N.; Cruz Walma, D.A.; Jun, H.W.; Cheon, K.; Choi, S.C. Effects of the nitric oxide releasing biomimetic nanomatrix gel on pulp-dentin regeneration: Pilot study. PLoS ONE 2018, 13, e0205534. [Google Scholar] [CrossRef] [PubMed] [Green Version]
- Dimmeler, S.; Zeiher, A.M. Nitric oxide-an endothelial cell survival factor. Cell Death Differ. 1999, 6, 964–968. [Google Scholar] [CrossRef] [Green Version]
- Tran-Hung, L.; Mathieu, S.; About, I. Role of human pulp fibroblasts in angiogenesis. J. Dent. Res. 2006, 85, 819–823. [Google Scholar] [CrossRef] [PubMed]
- Jun, H.-W.; Paramonov, S.E.; Hartgerink, J.D. Biomimetic self-assembled nanofibers. Soft Matter 2006, 2, 177–181. [Google Scholar] [CrossRef] [PubMed]
- Hubbell, J.A. Materials as morphogenetic guides in tissue engineering. Curr. Opin. Biotechnol. 2003, 14, 551–558. [Google Scholar] [CrossRef]
- Alexander, G.C.; Vines, J.B.; Hwang, P.; Kim, T.; Kim, J.A.; Brott, B.C.; Yoon, Y.S.; Jun, H.W. Novel multifunctional nanomatrix reduces inflammation in dynamic conditions in vitro and dilates arteries ex vivo. ACS Appl. Mater. Interfaces 2016, 8, 5178–5187. [Google Scholar] [CrossRef] [Green Version]
- Kaushik, S.N.; Kim, B.; Walma, A.M.; Choi, S.C.; Wu, H.; Mao, J.J.; Jun, H.W.; Cheon, K. Biomimetic microenvironments for regenerative endodontics. Biomater. Res. 2016, 20, 14. [Google Scholar] [CrossRef] [Green Version]
- Cho, M.I.; Garant, P.R. The effect of beta-aminoproprionitrile on the periodontal ligament: II. Radioautographic study of collagen secretion from fibroblasts. Anat. Rec. 1984, 209, 41–52. [Google Scholar] [CrossRef]
- Andreasen, J.O. Relationship between cell damage in the periodontal ligament after replantation and subsequent development of root resorption. A time-related study in monkeys. Acta Odontol. Scand. 1981, 39, 15–25. [Google Scholar] [CrossRef]
- Go, E.-J.; Jung, H.-S.; Kim, E.-S.; Jung, I.-Y.; Lee, S.-J. Histology of dental pulp healing after tooth replantation in rats. J. Korean Acad Conserv. Dent. 2010, 35, 273–284. [Google Scholar] [CrossRef] [Green Version]
- McCabe, P.S.; Dummer, P.M. Pulp canal obliteration: An endodontic diagnosis and treatment challenge. Int. Endod. J. 2012, 45, 177–197. [Google Scholar] [CrossRef] [PubMed]
- Yamauchi, N.; Nagaoka, H.; Yamauchi, S.; Teixeira, F.B.; Miguez, P.; Yamauchi, M. Immunohistological characterization of newly formed tissues after regenerative procedure in immature dog teeth. J. Endod. 2011, 37, 1636–1641. [Google Scholar] [CrossRef]
- Zhu, X.; Wang, Y.; Liu, Y.; Huang, G.T.; Zhang, C. Immunohistochemical and histochemical analysis of newly formed tissues in root canal space transplanted with dental pulp stem cells plus platelet-rich plasma. J. Endod. 2014, 40, 1573–1578. [Google Scholar] [CrossRef]
- Wang, X.; Thibodeau, B.; Trope, M.; Lin, L.M.; Huang, G.T. Histologic characterization of regenerated tissues in canal space after the revitalization/revascularization procedure of immature dog teeth with apical periodontitis. J. Endod. 2010, 36, 56–63. [Google Scholar] [CrossRef]
- Nelson-Filho, P.; Borsatto, M.C.; de Oliveira, P.T.; da Silva, R.A. Partial replacement of the dentin-pulp complex by periodontal supporting tissues in a traumatically intruded primary maxillary incisor. Dent. Traumatol. 2008, 24, 553–555. [Google Scholar] [CrossRef] [PubMed]
- Vojinovic, O.; Vojinovic, J. Periodontal cell migration into the apical pulp during the repair process after pulpectomy in immature teeth: An autoradiographic study. J. Oral. Rehabil. 1993, 20, 637–652. [Google Scholar] [CrossRef] [PubMed]
- Bjorvatn, K.; Selvig, K.A.; Klinge, B. Effect of tetracycline and SnF2 on root resorption in replanted incisors in dogs. Scand. J. Dent. Res. 1989, 97, 477–482. [Google Scholar] [PubMed]
- Shah, D.; Lynd, T.; Ho, D.; Chen, J.; Vines, J.; Jung, H.D.; Kim, J.H.; Zhang, P.; Wu, H.; Jun, H.W.; et al. Pulp-dentin tissue healing response: A discussion of current biomedical approaches. J. Clin. Med. 2020, 9, 434. [Google Scholar] [CrossRef] [PubMed] [Green Version]




| Grade | Description and Degree |
|---|---|
| 0 | Not observed pulp inflammation or regeneration |
| 1 | Less than 25% observed (<25%) |
| 2 | Less than 50% observed (<50%) |
| 3 | Less than 75% observed (<75%) |
| 4 | More than 75% observed (≥75%) |
| Group I | Group II | p-Value | |
|---|---|---|---|
| Pulp regeneration | 2.43 ± 0.85 | 2.21 ± 1.37 | 0.721 |
| Pulp inflammation | 1.00 ± 1.11 | 2.21 ± 1.25 | 0.014 * |
| Group I | Group II | p-Value | |
|---|---|---|---|
| Pulp regeneration | 2.57 ± 0.85 | 1.57 ± 1.02 | 0.012 * |
| Pulp inflammation | 1.00 ± 0.68 | 1.57 ± 0.51 | 0.025 * |
Publisher’s Note: MDPI stays neutral with regard to jurisdictional claims in published maps and institutional affiliations. |
© 2021 by the authors. Licensee MDPI, Basel, Switzerland. This article is an open access article distributed under the terms and conditions of the Creative Commons Attribution (CC BY) license (https://creativecommons.org/licenses/by/4.0/).
Share and Cite
Yun, K.-H.; Ko, M.-J.; Chae, Y.-K.; Lee, K.; Nam, O.-H.; Lee, H.-S.; Cheon, K.; Choi, S.-C. Doxycycline-Loaded Nitric Oxide-Releasing Nanomatrix Gel in Replanted Rat Molar on Pulp Regeneration. Appl. Sci. 2021, 11, 6041. https://doi.org/10.3390/app11136041
Yun K-H, Ko M-J, Chae Y-K, Lee K, Nam O-H, Lee H-S, Cheon K, Choi S-C. Doxycycline-Loaded Nitric Oxide-Releasing Nanomatrix Gel in Replanted Rat Molar on Pulp Regeneration. Applied Sciences. 2021; 11(13):6041. https://doi.org/10.3390/app11136041
Chicago/Turabian StyleYun, Kwan-Hee, Mi-Ja Ko, Yong-Kown Chae, Koeun Lee, Ok-Hyung Nam, Hyo-Seol Lee, Kyounga Cheon, and Sung-Chul Choi. 2021. "Doxycycline-Loaded Nitric Oxide-Releasing Nanomatrix Gel in Replanted Rat Molar on Pulp Regeneration" Applied Sciences 11, no. 13: 6041. https://doi.org/10.3390/app11136041
APA StyleYun, K.-H., Ko, M.-J., Chae, Y.-K., Lee, K., Nam, O.-H., Lee, H.-S., Cheon, K., & Choi, S.-C. (2021). Doxycycline-Loaded Nitric Oxide-Releasing Nanomatrix Gel in Replanted Rat Molar on Pulp Regeneration. Applied Sciences, 11(13), 6041. https://doi.org/10.3390/app11136041

