The Factor VII Variant p.A354V-p.P464Hfs: Clinical versus Intracellular and Biochemical Phenotypes Induced by Chemical Chaperones
Abstract
:1. Introduction
2. Materials and Methods
2.1. Nomenclature
2.2. Patients
2.3. Cell Lines and Transfection
2.4. Treatment with Chemical Chaperones
2.5. Gene Expression Analysis
2.6. ELISA
2.7. SDS-PAGE and Western Blot Analysis
2.8. Generation of Activated FX in Medium
2.9. Immunostaining and Confocal Microscopy
2.10. Data Analysis
3. Results
3.1. Bleeding and Plasma Phenotypes in Patients
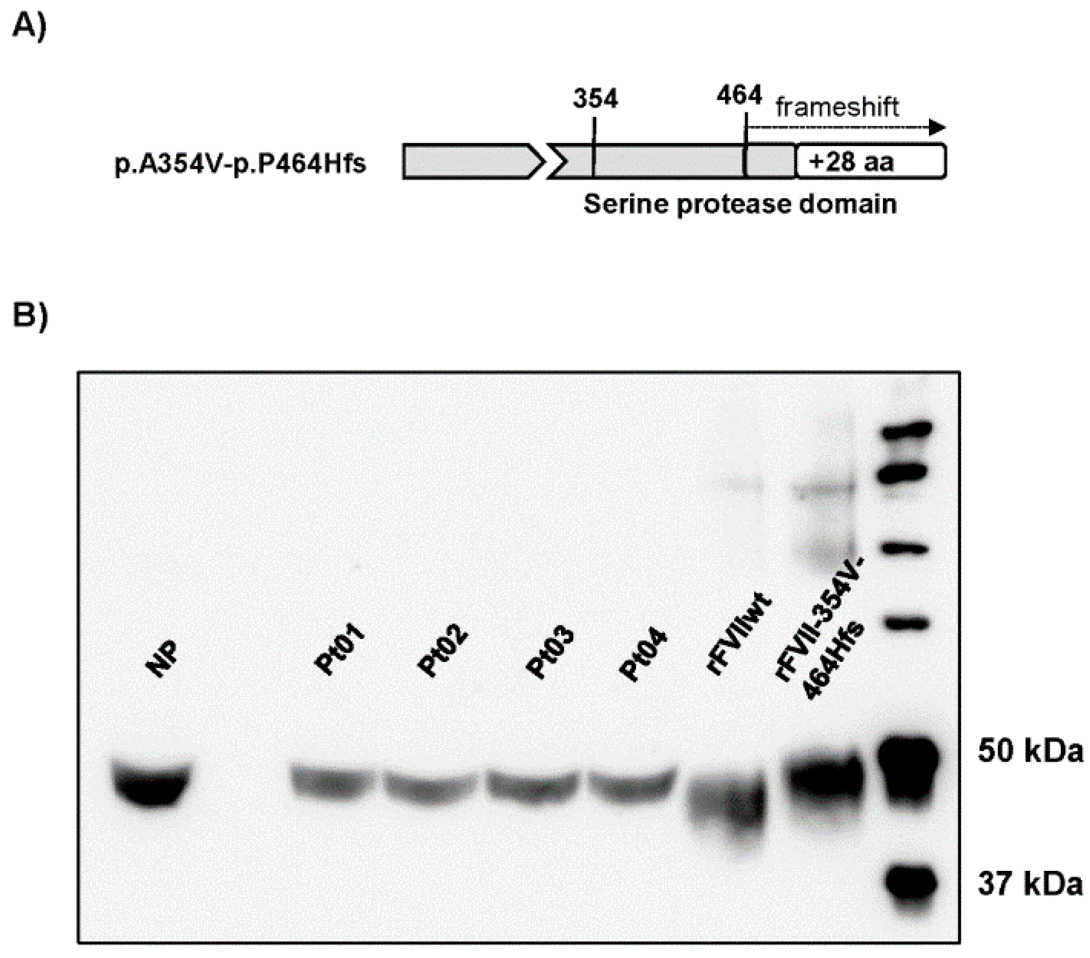
3.2. Comparison of Plasma and Recombinant FVII Variants
3.3. The Effect of Chaperone Treatment on FVII Variant Biosynthesis and Secretion
3.4. The Effect of Chaperone Treatment on the ER Folding Machinery
3.5. Intracellular Localization Studies
3.6. The Effect of 4-PBA Treatment on Biological Activity of FVII
4. Discussion
5. Conclusions
Supplementary Materials
Author Contributions
Funding
Institutional Review Board Statement
Informed Consent Statement
Data Availability Statement
Conflicts of Interest
References
- Kaufman, R.J. Post-translational modifications required for coagulation factor secretion and function. Thromb. Haemost. 1998, 79, 1068–1079. [Google Scholar] [CrossRef] [Green Version]
- Hansson, K.; Stenflo, J. Post-translational modifications in proteins involved in blood coagulation. J. Thromb. Haemost. 2005, 3, 2633–2648. [Google Scholar] [CrossRef] [Green Version]
- Bernardi, F.; Mariani, G. Biochemical, molecular and clinical aspects of coagulation factor VII and its role in hemostasis and thrombosis. Haematologica 2021, 106, 351–362. [Google Scholar] [CrossRef]
- Hagen, F.S.; Gray, C.L.; O’Hara, P.; Grant, F.J.; Saari, G.C.; Woodbury, R.G.; Hart, C.E.; Insley, M.; Kisiel, W.; Kurachi, K.; et al. Characterization of a cDNA coding for human factor VII. Proc. Natl. Acad. Sci. USA 1986, 83, 2412–2416. [Google Scholar] [CrossRef] [PubMed] [Green Version]
- McVey, J.H.; Boswell, E.; Mumford, A.D.; Kemball-Cook, G.; Tuddenham, E.G. Factor VII deficiency and the FVII mutation database. Hum. Mutat. 2001, 17, 3–17. [Google Scholar] [CrossRef]
- Rao, L.V.; Rapaport, S.I. Activation of factor VII bound to tissue factor: A key early step in the tissue factor pathway of blood coagulation. Proc. Natl. Acad. Sci. USA 1988, 85, 6687–6691. [Google Scholar] [CrossRef] [PubMed] [Green Version]
- Mackman, N. The role of tissue factor and factor VIIa in hemostasis. Anesth. Analg. 2009, 108, 1447–1452. [Google Scholar] [CrossRef] [Green Version]
- Girolami, A.; Bertozzi, I.; de Marinis, G.B.; Bonamigo, E.; Fabris, F. Activated FVII levels in factor VII Padua (Arg304Gln) coagulation disorder and in true factor VII deficiency: A study in homozygotes and heterozygotes. Hematology 2011, 16, 308–312. [Google Scholar] [CrossRef] [PubMed]
- Peyvandi, F.; Mannucci, P.M.; Asti, D.; Abdoullahi, M.; Di Rocco, N.; Sharifian, R. Clinical manifestations in 28 Italian and Iranian patients with severe factor VII deficiency. Haemophilia 1997, 3, 242–246. [Google Scholar] [CrossRef]
- Mariani, G.; Lo Coco, L.; Bernardi, F.; Pinotti, M. Molecular and clinical aspects of factor VII deficiency. Blood Coagul. Fibrinolysis 1998, 9 (Suppl. 1), S83–S88. [Google Scholar]
- Mariani, G.; Bernardi, F. Factor VII Deficiency. Semin. Thromb. Hemost. 2009, 35, 400–406. [Google Scholar] [CrossRef] [PubMed] [Green Version]
- Perry, D.J. Factor VII Deficiency. Br. J. Haematol. 2002, 118, 689–700. [Google Scholar] [CrossRef]
- Mariani, G.; Herrmann, F.H.; Dolce, A.; Batorova, A.; Etro, D.; Peyvandi, F.; Wulff, K.; Schved, J.F.; Auerswald, G.; Ingerslev, J.; et al. Clinical phenotypes and factor VII genotype in congenital factor VII deficiency. Thromb. Haemost. 2005, 93, 481–487. [Google Scholar] [CrossRef] [PubMed] [Green Version]
- Toso, R.; Pinotti, M.; High, K.A.; Pollak, E.S.; Bernardi, F. A frequent human coagulation Factor VII mutation (A294V, c152) in loop 140s affects the interaction with activators, tissue factor and substrates. Biochem. J. 2002, 363, 411–416. [Google Scholar] [CrossRef]
- Branchini, A.; Baroni, M.; Pfeiffer, C.; Batorova, A.; Giansily-Blaizot, M.; Schved, J.F.; Mariani, G.; Bernardi, F.; Pinotti, M. Coagulationfactor VII variants resistant to inhibitory antibodies. Thromb. Haemost. 2014, 112. [Google Scholar] [CrossRef] [Green Version]
- Arbini, A.A.; Bodkin, D.; Lopaciuk, S.; Bauer, K.A. Molecular analysis of Polish patients with factor VII deficiency. Blood 1994, 84, 2214–2220. [Google Scholar] [CrossRef] [Green Version]
- Wulff, K.; Herrmann, F.H. Twenty two novel mutations of the factor VII gene in factor VII deficiency. Hum. Mutat. 2000, 15, 489–496. [Google Scholar] [CrossRef]
- Fromovich-Amit, Y.; Zivelin, A.; Rosenberg, N.; Tamary, H.; Landau, M.; Seligsohn, U. Characterization of mutations causing factor VII deficiency in 61 unrelated Israeli patients. J. Thromb. Haemost. 2004, 2, 1774–1781. [Google Scholar] [CrossRef] [PubMed]
- Giansily-Blaizot, M.; Rallapalli, P.M.; Perkins, S.J.; Kemball-Cook, G.; Hampshire, D.J.; Gomez, K.; Ludlam, C.A.; McVey, J.H. The EAHAD blood coagulation factor VII variant database. Hum. Mutat. 2020, 41, 1209–1219. [Google Scholar] [CrossRef]
- Herrmann, F.H.; Wulff, K.; Auerswald, G.; Schulman, S.; Astermark, J.; Batorova, A.; Kreuz, W.; Pollmann, H.; Ruiz-Saez, A.; De Bosch, N.; et al. Factor VII deficiency: Clinical manifestation of 717 subjects from Europe and Latin America with mutations in the factor 7 gene. Haemophilia 2009, 15, 267–280. [Google Scholar] [CrossRef] [PubMed]
- Chollet, M.E.; Andersen, E.; Skarpen, E.; Myklebust, C.F.; Koehler, C.; Morth, J.P.; Chuansumrit, A.; Pinotti, M.; Bernardi, F.; Thiede, B.; et al. Factor VII deficiency: Unveiling the cellular and molecular mechanisms underlying three model alterations of the enzyme catalytic domain. Biochim. Biophys. Acta 2017, 1864, 660–667. [Google Scholar] [CrossRef] [PubMed]
- Andersen, E.; Chollet, M.E.; Myklebust, C.F.; Pinotti, M.; Bernardi, F.; Chuansumrit, A.; Skarpen, E.; Sandset, P.M.; Skretting, G. Activation of Endoplasmic Reticulum Stress and Unfolded Protein Response in Congenital Factor VII Deficiency. Thromb. Haemost. 2018, 118, 664–675. [Google Scholar] [CrossRef] [Green Version]
- Triplett, D.A.; Brandt, J.T.; Batard, M.A.; Dixon, J.L.; Fair, D.S. Hereditary factor VII deficiency: Heterogeneity defined by combined functional and immunochemical analysis. Blood 1985, 66, 1284–1287. [Google Scholar] [CrossRef] [PubMed] [Green Version]
- Andersen, E.; Chollet, M.E.; Baroni, M.; Pinotti, M.; Bernardi, F.; Skarpen, E.; Sandset, P.M.; Skretting, G. The effect of the chemical chaperone 4-phenylbutyrate on secretion and activity of the p.Q160R missense variant of coagulation factor FVII. Cell Biosci. 2019, 9, 69. [Google Scholar] [CrossRef] [PubMed] [Green Version]
- den Dunnen, J.T.; Dalgleish, R.; Maglott, D.R.; Hart, R.K.; Greenblatt, M.S.; McGowan-Jordan, J.; Roux, A.F.; Smith, T.; Antonarakis, S.E.; Taschner, P.E. HGVS Recommendations for the Description of Sequence Variants: 2016 Update. Hum. Mutat. 2016, 37, 564–569. [Google Scholar] [CrossRef] [PubMed] [Green Version]
- Goodeve, A.C.; Reitsma, P.H.; McVey, J.H. Nomenclature of genetic variants in hemostasis. J. Thromb. Haemost. 2011, 9, 852–855. [Google Scholar] [CrossRef] [PubMed]
- Hoffman, R.; Benz, E.J., Jr.; Silberstein, L.E.; Heslop, H.; Anastasi, J.; Weitz, J. Hematology, Basic Principles and Practice, 5th ed.; Elsevier: Philadelphia, PA, USA, 2018; Chapter 136; pp. 2023–2033. [Google Scholar]
- Pinotti, M.; Toso, R.; Redaelli, R.; Berrettini, M.; Marchetti, G.; Bernardi, F. Molecular mechanisms of FVII deficiency: Expression of mutations clustered in the IVS7 donor splice site of factor VII gene. Blood 1998, 92, 1646–1651. [Google Scholar] [CrossRef]
- Barbon, E.; Pignani, S.; Branchini, A.; Bernardi, F.; Pinotti, M.; Bovolenta, M. An engineered tale-transcription factor rescues transcription of factor VII impaired by promoter mutations and enhances its endogenous expression in hepatocytes. Sci. Rep. 2016, 6, 28304. [Google Scholar] [CrossRef] [Green Version]
- Baroni, M.; Martinelli, N.; Lunghi, B.; Marchetti, G.; Castagna, A.; Stefanoni, F.; Pinotti, M.; Woodhams, B.; Olivieri, O.; Bernardi, F. Aptamer-modified FXa generation assays to investigate hypercoagulability in plasma from patients with ischemic heart disease. Thromb. Res. 2020, 189, 140–146. [Google Scholar] [CrossRef]
- Ferrarese, M.; Baroni, M.; Della Valle, P.; Spiga, I.; Poloniato, A.; D’Angelo, A.; Pinotti, M.; Bernardi, F.; Branchini, A. Missense changes in the catalytic domain of coagulation factor X account for minimal function preventing a perinatal lethal condition. Haemophilia 2019, 25, 685–692. [Google Scholar] [CrossRef] [PubMed]
- Katsumi, A.; Senda, T.; Yamashita, Y.; Yamazaki, T.; Hamaguchi, M.; Kojima, T.; Kobayashi, S.; Saito, H. Protein C Nagoya, an elongated mutant of protein C, is retained within the endoplasmic reticulum and is associated with GRP78 and GRP94. Blood 1996, 87, 4164–4175. [Google Scholar] [CrossRef] [Green Version]
- Hayakawa, Y.; Tamura, S.; Suzuki, N.; Odaira, K.; Tokoro, M.; Kawashima, F.; Hayakawa, F.; Takagi, A.; Katsumi, A.; Suzuki, A.; et al. Essential role of a carboxyl-terminal α-helix motif in the secretion of coagulation factor XI. J. Thromb. Haemost. 2021, 19, 920–930. [Google Scholar] [CrossRef]
- Bohm, E.; Seyfried, B.K.; Dockal, M.; Graninger, M.; Hasslacher, M.; Neurath, M.; Konetschny, C.; Matthiessen, P.; Mitterer, A.; Scheiflinger, F. Differences in N-glycosylation of recombinant human coagulation factor VII derived from BHK, CHO, and HEK293 cells. BMC Biotechnol. 2015, 15, 87. [Google Scholar] [CrossRef] [Green Version]
- Kolb, P.S.; Ayaub, E.A.; Zhou, W.; Yum, V.; Dickhout, J.G.; Ask, K. The therapeutic effects of 4-phenylbutyric acid in maintaining proteostasis. Int. J. Biochem. Cell Biol. 2015, 61, 45–52. [Google Scholar] [CrossRef] [PubMed]
- Kasture, A.; Stockner, T.; Freissmuth, M.; Sucic, S. An unfolding story: Small molecules remedy misfolded monoamine transporters. Int. J. Biochem. Cell Biol. 2017, 92, 1–5. [Google Scholar] [CrossRef] [PubMed]
- Chollet, M.E.; Skarpen, E.; Iversen, N.; Sandset, P.M.; Skretting, G. The chemical chaperone sodium 4-phenylbutyrate improves the secretion of the protein CA267T mutant in CHO-K1 cells trough the GRASP55 pathway. Cell Biosci. 2015, 5, 57. [Google Scholar] [CrossRef] [Green Version]
- Pignani, S.; Todaro, A.; Ferrarese, M.; Marchi, S.; Lombardi, S.; Balestra, D.; Pinton, P.; Bernardi, F.; Pinotti, M.; Branchini, A. The chaperone-like sodium phenylbutyrate improves factor IX intracellular trafficking and activity impaired by the frequent p.R294Q mutation. J. Thromb. Haemost. 2018. [Google Scholar] [CrossRef] [PubMed] [Green Version]
- Hughes, H.; Stephens, D.J. Assembly, organization, and function of the COPII coat. Histochem. Cell Biol. 2008, 129, 129–151. [Google Scholar] [CrossRef] [PubMed] [Green Version]
- Lee, M.C.; Miller, E.A. Molecular mechanisms of COPII vesicle formation. Semin. Cell Dev. Biol. 2007, 18, 424–434. [Google Scholar] [CrossRef] [PubMed]
- Griffiths, G.; Simons, K. The trans Golgi network: Sorting at the exit site of the Golgi complex. Science 1986, 234, 438–443. [Google Scholar] [CrossRef] [PubMed]
- Hendershot, L.M. The ER function BiP is a master regulator of ER function. Mt. Sinai J. Med. 2004, 71, 289–297. [Google Scholar] [PubMed]
- Vitale, M.; Bakunts, A.; Orsi, A.; Lari, F.; Tade, L.; Danieli, A.; Rato, C.; Valetti, C.; Sitia, R.; Raimondi, A.; et al. Inadequate BiP availability defines endoplasmic reticulum stress. Elife 2019, 8. [Google Scholar] [CrossRef]
- Kudo, T.; Kanemoto, S.; Hara, H.; Morimoto, N.; Morihara, T.; Kimura, R.; Tabira, T.; Imaizumi, K.; Takeda, M. A molecular chaperone inducer protects neurons from ER stress. Cell Death Differ. 2008, 15, 364–375. [Google Scholar] [CrossRef] [Green Version]
- You, Y.D.; Deng, W.H.; Guo, W.Y.; Zhao, L.; Mei, F.C.; Hong, Y.P.; Zhou, Y.; Yu, J.; Xu, S.; Wang, W.X. 4-Phenylbutyric Acid Attenuates Endoplasmic Reticulum Stress-Mediated Intestinal Epithelial Cell Apoptosis in Rats with Severe Acute Pancreatitis. Dig. Dis. Sci. 2019, 64, 1535–1547. [Google Scholar] [CrossRef] [PubMed]
- Yam, G.H.; Gaplovska-Kysela, K.; Zuber, C.; Roth, J. Sodium 4-phenylbutyrate acts as a chemical chaperone on misfolded myocilin to rescue cells from endoplasmic reticulum stress and apoptosis. Investig. Ophthalmol. Vis. Sci. 2007, 48, 1683–1690. [Google Scholar] [CrossRef] [PubMed]







Publisher’s Note: MDPI stays neutral with regard to jurisdictional claims in published maps and institutional affiliations. |
© 2021 by the authors. Licensee MDPI, Basel, Switzerland. This article is an open access article distributed under the terms and conditions of the Creative Commons Attribution (CC BY) license (https://creativecommons.org/licenses/by/4.0/).
Share and Cite
Andersen, E.; Chollet, M.E.; Bernardi, F.; Branchini, A.; Baroni, M.; Mariani, G.; Dolce, A.; Batorova, A.; Skarpen, E.; Myklebust, C.F.; et al. The Factor VII Variant p.A354V-p.P464Hfs: Clinical versus Intracellular and Biochemical Phenotypes Induced by Chemical Chaperones. Appl. Sci. 2021, 11, 5762. https://doi.org/10.3390/app11135762
Andersen E, Chollet ME, Bernardi F, Branchini A, Baroni M, Mariani G, Dolce A, Batorova A, Skarpen E, Myklebust CF, et al. The Factor VII Variant p.A354V-p.P464Hfs: Clinical versus Intracellular and Biochemical Phenotypes Induced by Chemical Chaperones. Applied Sciences. 2021; 11(13):5762. https://doi.org/10.3390/app11135762
Chicago/Turabian StyleAndersen, Elisabeth, Maria Eugenia Chollet, Francesco Bernardi, Alessio Branchini, Marcello Baroni, Guglielmo Mariani, Alberto Dolce, Angelika Batorova, Ellen Skarpen, Christiane Filion Myklebust, and et al. 2021. "The Factor VII Variant p.A354V-p.P464Hfs: Clinical versus Intracellular and Biochemical Phenotypes Induced by Chemical Chaperones" Applied Sciences 11, no. 13: 5762. https://doi.org/10.3390/app11135762
APA StyleAndersen, E., Chollet, M. E., Bernardi, F., Branchini, A., Baroni, M., Mariani, G., Dolce, A., Batorova, A., Skarpen, E., Myklebust, C. F., Skretting, G., & Sandset, P. M. (2021). The Factor VII Variant p.A354V-p.P464Hfs: Clinical versus Intracellular and Biochemical Phenotypes Induced by Chemical Chaperones. Applied Sciences, 11(13), 5762. https://doi.org/10.3390/app11135762

